Home
JournalsCollections
For Authors For Reviewers For Editorial Board Members
Article Processing Charges Open Access
Ethics Advertising Policy
Editorial Policy Resource Center
Company Information Contact Us Membership Collaborators Partners
OPEN ACCESS

Spitz Melanoma of Childhood: A Review Compendium and Terminology Clarification

  • Sepideh Nikki Asadbeigi and
  • Zhongxin Yu* 
Journal of Clinical and Translational Pathology   2023;3(4):178-183

doi: 10.14218/JCTP.2023.00023

Received:

Revised:

Accepted:

Published online:

 Author information

Citation: Asadbeigi SN, Yu Z. Spitz Melanoma of Childhood: A Review Compendium and Terminology Clarification. J Clin Transl Pathol. 2023;3(4):178-183. doi: 10.14218/JCTP.2023.00023.

Abstract

Pediatric melanoma is a rare skin cancer in children. Among the various subtypes, Spitz melanoma is particularly difficult to diagnose and poses a significant challenge in the fields of pediatric dermatopathology and surgical pathology. Due to the uncertainty surrounding this diagnosis, a diverse approach is necessary for both diagnosing and treating these rare lesions. This review aims to provide a comprehensive overview of the clinical presentation, histopathology, and ancillary studies associated with pediatric Spitz melanoma, with the goal of formulating more uniform diagnostic criteria and work-up algorithms for these challenging lesions.

Keywords

Spitz melanoma, Spitz tumor, Spitz nevus, Spitzoid

Introduction

Although melanoma is a rare cancer in children, it is the most common skin cancer in the pediatric population. 1 Spitz tumors, which encompass a wide spectrum of tumors ranging from benign nevi to melanoma, have a specific histologic morphology and distinct molecular pathway.2 The 2018 World Health Organization classification of skin tumors subclassified Spitz tumors into 3 groups: Spitz nevi, Spitz melanocytoma (atypical Spitz tumor), and Spitz melanoma.3 Pediatric melanomas are predominantly Spitzoid, i.e., Spitz melanoma, with conventional melanoma rarely occurring in this population.4 Pediatric conventional melanoma has histological and clinical features similar to those of adult melanoma arising from sun-exposed skin.5 Conventional melanoma in pediatric patients includes superficial spreading and nodular subtypes. Other types of adult conventional melanoma, such as acral, lentiginous melanoma, or lentigo maligna melanoma, rarely occur in the pediatric population. One of the rarest pediatric melanomas is melanoma arising from congenital nevi. The risk of malignant transformation in congenital nevi is low, but the size of the nevi plays a major role in the risk assessment.4

The diagnosis of the Spitzoid or Spitz melanoma remains one of the most challenging diagnostic dilemmas in dermatopathology.6 The terms Spitzoid melanoma and Spitz melanoma are frequently used interchangeably. Generally, Spitzoid melanoma refers to a malignant melanoma that shows a Spitzoid morphology, such as large epithelioid and spindle cell cytology with abundant eosinophilic cytoplasm. On the other hand, the term Spitz melanoma is reserved for lesions with Spitz genetic hallmarks.7 Given the rarity of these lesions and advancements in molecular studies, their diagnostic criteria and treatment protocols are constantly evolving as new data become available. In this study, we review the histologic and clinical features of Spitz melanoma and examine the molecular and immunohistochemical landscapes of these tumors. Additionally, the challenges and uncertainties associated with this diagnosis have led pathologists to utilize various terms to diagnose malignant Spitz tumors. To decrease the confusion among clinicians and pathologists, we have thoroughly reviewed these terms and propose a new terminology that accurately reflects the morphology and clinical behavior of these challenging lesions.

Clinical features

Spitz melanomas often present as rapidly growing or changing color lesions. These tumors are commonly larger than Spitz nevi or atypical Spitz tumors and have a diameter of 10 mm or greater. While they can occur at any anatomical site, pediatric cases, frequently present in the limbs. The majority of pediatric Spitz melanoma cases treated at our institution were located on the head and neck, and the next most common areas were the shoulder and extremities. In the study conducted by Carreia et al., the mean age of pediatric cases diagnosed with Spitz melanoma was 12.5 years at the time of diagnosis.8 It’s worth mentioning that patients harboring Spitz-specific fusions are generally younger than those without fusion.9

Morphologically, Spitz melanoma typically appears as reddish or pink nodules or polypoid lesions. Frequently, they are amelanotic or have an ulcerated surface with bleeding mimicking a pyogenic granuloma. It is important to note that the ABCD criteria (asymmetry, border, colors, and different structures) commonly used for clinical melanoma diagnosis are observed in less than 50% of Spitz melanoma cases.

Histopathological patterns

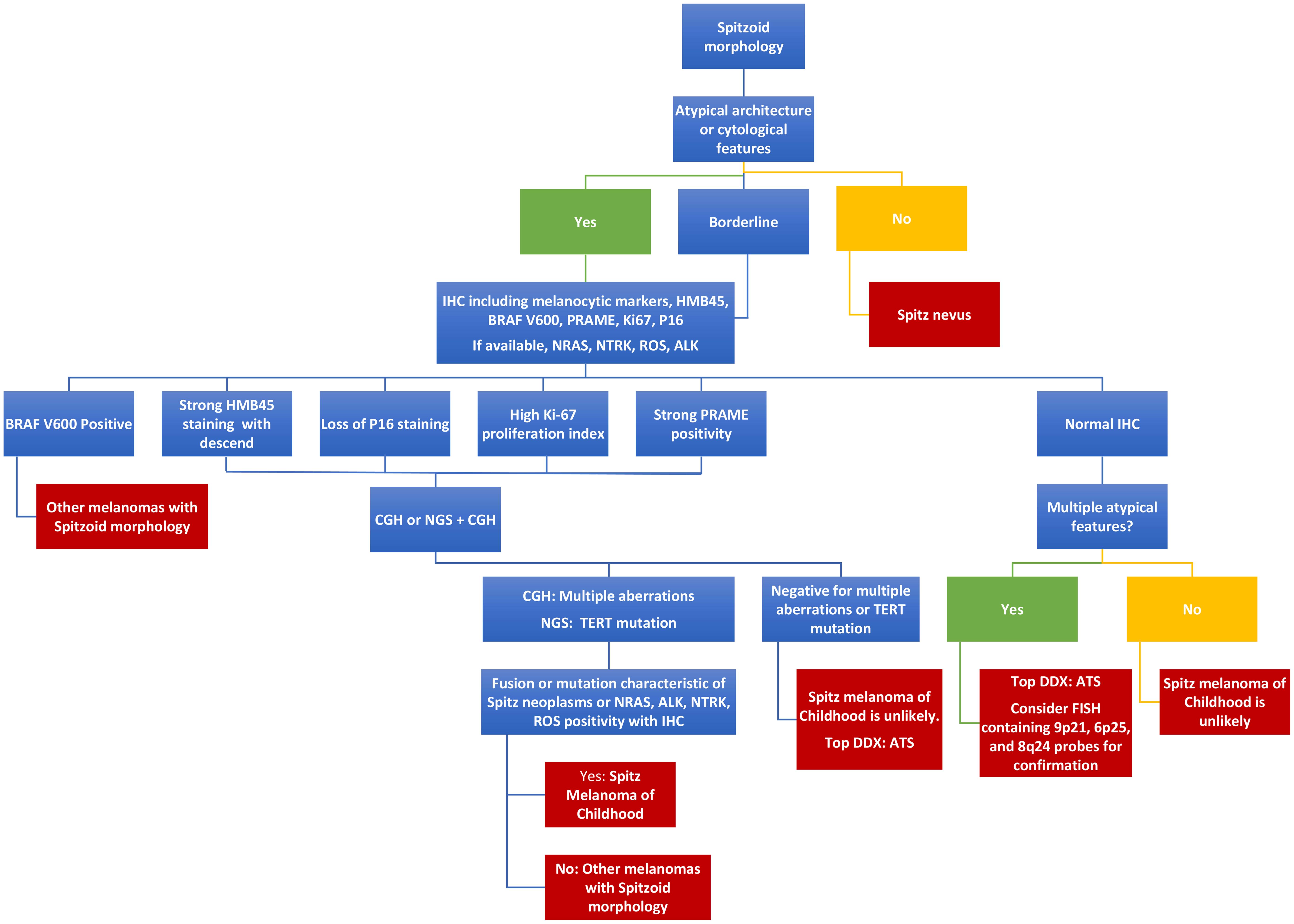
The assessment of Spitz melanomas consists of two components : architecture and cytology. Spitz melanomas often extend to the deep dermis and subcutis, with a proliferating bulbous deep edge. While these lesions can still preserve some degree of symmetry, they are often less symmetrical than benign Spitz nevi. Although some atypical cytological features can be observed in Spitz nevi, Spitz melanoma shows a higher degree of atypia, such as frequent mitotic figures, the presence of atypical mitosis, and a lack of maturation. Additional features that support Spitz melanoma include ulceration and consumption of the epidermis by atypical melanocytes (Fig. 1).4,10,11

Diagnostic flowchart for the evaluation of pediatric melanocytic neoplasms with Spitzoid histology.
Fig. 1  Diagnostic flowchart for the evaluation of pediatric melanocytic neoplasms with Spitzoid histology.

Some fusions in Spitz tumors are associated with distinct morphological features. ALK-rearranged Spitz tumors present with fascicles of spindle-shaped melanocytes. They mostly show a wedge-shaped or bulbous base. Kamino bodies are rare within this category.12 Spitz tumors with an HRAS mutation, also known as desmoplastic Spitz tumors, often present with hypocellular spindled melanocytes with desmoplastic stroma. Kamino bodies are more often presented in melanocytic lesions with ROS1 fusions. Spitz tumors with NTRK1 fusion show elongated and thin rete ridges, variable-sized lobulated nests, and pseudorosette.13–15RET fusion has fewer characteristic features.15

Immunohistochemistry

Immunohistochemistry is one of the fastest and easiest methods to initiate the evaluation of Spitz melanoma. Due to the absence of a single or specific marker for a definitive diagnosis in many cases, an appropriate panel of immunohistochemistry can be used to guide further investigations. Spitz melanomas usually express melanocytic markers, such as SOX10, S100, MITF, tyrosinase and Melan A. The absence of staining for p16 is strongly suggestive of Spitz melanocytoma (atypical Spitz tumor) or Spitz melanoma because most benign Spitz nevi retain this marker.15 Many congenital and dysplastic nevi, as well as melanomas, exhibit activating point mutations BRAF V600. The presence of BRAF V600 staining suggested that the neoplasms did not belong to the Spitz family.16 PRAME usually shows strong positive staining in conventional melanoma and is a marker frequently used to facilitate the diagnosis of conventional melanoma. PRAME is generally negative in Spitz nevi but can show patchy or strong positivity in Spitz melanoma.17 Most Spitz nevi show a diminished gradient of HMB45 staining with depth, although HMB45 can still be positive in some pigmented lesions. In non-pigmented Spitz tumors, diffuse positivity for HMB45 should raise suspicion of an atypical Spitz tumor or Spitz melanoma. There is also a strong correlation between the positive immunohistochemical reactivity of ROS1 and ALK and the presence of corresponding molecular fusions in Spitz tumors.13 This correlation, but to a lesser degree, also exists for lesions with pan-TRK immunohistochemical reactivity and NTRK fusions. The lesions with NTRK1 fusion show a more intense and cytoplasmic staining pattern of pan-TRK compared to NTRK3 fusion cases, which show both cytoplasmic and nuclear staining pattern.15 The other immunohistochemistry marker that can help guide diagnosis is Ki-67, as a higher Ki-67 labeling index can suggest a higher degree of atypia.18 However, Ki-67 should be used with caution as it can be increased in the background lymphocytic infiltration, which is often present in Spitz tumors.

Genetic

Spitz melanomas show different genetic alterations compared to conventional or Spitzoid melanoma. For instance, the BRAF V600 mutation is the most common mutation in conventional melanoma; however, it is absent in Spitz melanomas. HRAS mutations and an increase in 11p copy numbers are almost exclusive to Spitz tumors. Other molecular aberrations identified in Spitz neoplasms include kinase fusions, which are further divided into two subgroups: tyrosine kinase fusions (ROS1, RET, MET, ALK, NTRK1, NTRK3) and serine-threonine kinase fusions (BRAF, MAP3K8). These fusions, which exist in both benign and malignant Spitz neoplasms, can have different fusion partners. An additional TERT promoter mutation, or biallelic inactivation of CDKN2A, is found in malignant transformations of some of these fusion neoplasms.13 The Spitz melanocytic proliferation with serine-threonine kinase fusion has a more aggressive behavior and is usually classified as an atypical Spitz tumor or Spitz melanoma. FISH or chromosomal microarrays are also used for specific chromosomal abnormalities, such as chromosome 6p25 (RREB1), 6q23 (MYB), Cep6 (centromere region of chromosome 6), 11q13 (CCND1), 9p21 (CDKN2A), Cep9 and 8q23 (c-MYC). The presence of clonal segmental chromosomal aberrations favors a malignant Spitz lesion. Homozygous deletion in 9p21 is known to have the worst clinical behavior among these deletions. No reports indicate metastasis in Spitz melanomas with FISH results using commonly used melanoma probes. Isolated loss of 6q23 in Spitz melanoma is associated with a more indolent clinical course compared to conventional melanoma. Cases with this mutation have not shown distant metastasis beyond the sentinel node. The TERT mutation is correlated with an increased risk of metastasis.4

Clinical course

Spitz melanoma in the pediatric population has a favorable prognosis in most cases. Merkel and her colleagues introduced the term “Spitzoid melanoma of childhood” for children.4 In their experience, metastasis in lymph nodes or in-transit lesions was found in only a small percentage of these patients, and distant metastasis and death were extremely rare. They suggested using the term “low-grade type of melanoma” to emphasize a better prognosis. The involvement of sentinel lymph nodes by conventional melanoma is associated with adverse effects. However, the need for a sentinel lymph node biopsy has been a topic of debate for Spitz melanoma because its prognostic value is uncertain in clinical practice. The largest systemic review, involving 500 patients, showed a 39% chance of having a positive sentinel lymph node in patients with atypical Spitz tumors.19 However, 99% of these patients survived after the 5-year follow-up. Cearrato et al. reported a very similar result and did not find any disease progression in 29 children with atypical pediatric tumors.20 Merkel and her colleagues did not recommend a sentinel node biopsy in patients with Spitzoid neoplasms. They suggested serial ultrasound as an alternative option for evaluating children with Spitzoid melanoma.4Table 1 highlights the distinguishing diagnostic features between Spitz nevi and Spitz melanoma.

Table 1

Distinguishing diagnostic features between Spitz nevi and Spitz melanoma

Diagnostic featuresSpitz NeviSpitz melanoma
Aggressive clinical behavior such as rapidly growing or changing colorNoYes
Size greater than 10 mmRareOften
Architecture symmetryYesNo
Extend to the deep dermis and subcutis, with a proliferating bulbous deep edgeRareOften
Spitzoid morphology (large epithelioid and spindle cell cytology with abundant eosinophilic cytoplasm)YesYes
Atypical cytological features such as frequent mitotic figures, atypical mitosis, lack of maturation, ulceration and consumption of the epidermis by atypical melanocytesRareOften
Expression of melanocytic marks such as SOX10, S100, MITF, tyrosinase, and Melan AYesYes
Loss of p16 expressionNoOften
Diminished gradient of HMB45 immunostaining with depthYesNo
Ki-67 proliferative indexLowHigh
PRAME immunostainingNegativeMaybe positive (patchy or strong)
Spitz-specific mutations such as HRAS mutations, increase in chromosomal 11p copy numbers, kinase fusionsYesYes
Addition mutation to kinase fusion tumors such as TERT promoter mutation, or biallelic inactivation of CDKN2ANoMaybe positive
Presence BRAF V600 mutationNoNo

Discussion

Sophie Spitz made significant contributions to the field by introducing the concept of “melanomas of childhood” in 1948 to describe childhood neoplasms with distinct clinical and histological features.21 Subsequently, advancements in molecular and histological technologies have led to the subdivision of these melanocytic lesions into multiple subcategories. Spitz tumors or Spitz neoplasms encompass a spectrum of melanocytic tumors ranging from benign to malignant. The terms “Spitzoid melanoma,” “Spitz melanocytoma,” or “atypical Spitz tumor” have often been used interchangeably in the literature. However, it is important to reserve the term “Spitz melanoma” for malignant melanocytic lesions, which exhibit genomic aberrations associated with Spitz nevi.7 It should be noted that not all melanomas with Spitzoid morphology harbor aberrations related to Spitz nevi. Recent studies have shown that most melanocytic neoplasms with a spitzoid morphology and aggressive behavior have BRAF V600 or NRAS mutations.16

The diagnosis of Spitz melanoma poses a substantial challenge in the fields of dermatopathology and surgical pathology. Currently, there is no single marker or test available that can provide a definitive diagnosis. The conventional criteria employed for assessing conventional melanoma cannot be applied to these patients, as some benign Spitz lesions may exhibit similar morphological features, such as nuclear atypia, upward scatter of melanocytes, epidermis consumption, lymphoid aggregation, deep dermal mitosis, and lack of maturation, which may also be observed in benign Spitz neoplasms. These diagnostic challenges have contributed to a lack of confidence in making a definitive diagnosis and have led to the use of multiple descriptive terms, such as “spitzoid melanocytic lesion”. The wide range of terms that have been frequently utilized to address this ambiguous diagnostic dilemma and the uncertainty in diagnosis present significant challenges for clinical teams and may have implications for treatment decisions. However, most experts agree that Spitzoid melanoma is a subtype of melanoma that shows a Spitzoid morphology. To be classified as “Spitz melanoma”, a melanoma must not only exhibit Spitzoid morphology but also possess a Spitz-initiating oncogene, such as an HRAS aberration or kinase fusions typically associated with Spitz tumors.22 Merkel and her colleagues introduced the term “Spitzoid melanoma of childhood” for pediatric melanomas that harbor chromosomal rearrangements observed in Spitz tumors.4 Considering the favorable biological behavior of these melanomas, they recommended the use of this distinct term to emphasize the uneventful clinical course in the pediatric population. While we generally agree with their proposed term, we suggest using the term “Spitz melanoma of childhood” not only to highlight its involvement in the pediatric population but also to emphasize its association with the genomic profile typically observed in Spitz tumors.

Most experts in the field agree that patients with Spitz melanoma have a favorable survival opportunity and that these lesions can be classified as low-grade melanocytic tumors.4,23 However, Gerami et al. studied the histomorphologic features and clinical outcomes of 75 cases with atypical Spitz tumors and found poor diagnostic agreement in categorizing lesions as malignant versus nonmalignant among dermatopathology experts.2 Thus, predicting clinical behavior based on histology alone can lead to inaccurate prognostic prediction. Therefore, a comprehensive approach that integrates clinical history, histopathological features, and molecular testing should be employed to collectively evaluate these lesions. By utilizing this multifaceted approach, a more accurate and conclusive diagnosis can be achieved. Molecular testing can also predict the biological behavior of these tumors.

In regards to the clinical appearance of these tumors, in our experience, many patients with Spitz melanoma who underwent surgical excision were referred with the initial impression of an ulcerated pyogenic granuloma. The rapid growth, rich vascular network, and presence of ulceration in these malignancies probably contributed to this clinical impression.

With the numerous challenges surrounding the diagnosis and clinical behavior of these lesions, recent literature widely acknowledges a list of atypical features that suggest the diagnosis of Spitz melanoma. However, it is important to note that some of these features can also be observed in benign Spitz tumors. Even though the lack of symmetry in Spitz tumors is not always considered a characteristic feature of melanoma, it has been found to be correlated with disease progression. Gerami et al. reported asymmetry as one of the main histologic criteria in the evaluation of these atypical lesions.2 The other criteria recommended by their group, which are more specific to advanced lesions, include atypical cytologic features, high mitotic activity and deep dermal mitosis, atypical mitosis, ulceration, and angiotropism. In our center’s pediatric Spitz melanoma cohort, we noticed the presence of the latter criteria. We also noticed the absence of a sharp epidermal-dermal junctional edge, which is usually seen in Spitz nevi. Similarly, the deep tumoral border was pushed, and the mitosis rate was universally increased (at least 4 mitosis/mm2).

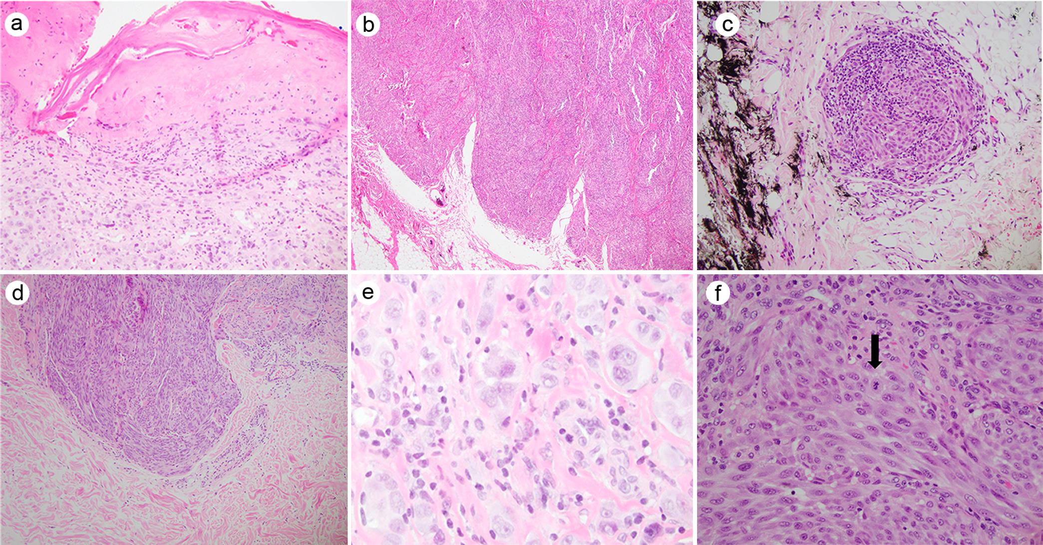
Immunohistochemistry is a fast diagnostic tool for Spitz tumors. PRAME immunohistochemistry is a helpful marker for the assessment of Spitz tumors. This marker is useful for distinguishing Spitz melanomas from benign or atypical Spitz tumors. The childhood melanoma is also shown to have the loss of expression in p16 staining.24 Ki-67 has also been found to be a useful marker for assessing these lesions, and it shows high proliferation activity in malignant lesions. However, Ki-67 should be used with caution because keratinocytes, inflammatory cells, and mesenchymal cells can stain positive with Ki-67. Hideko Kamino suggested that the presence of mitosis in hematoxylin and eosin-stained sections offers a more reliable method for assessing proliferation activity in inflamed lesions. HMB45 is a melanocytic marker which has a negative reaction in deeper dermal components of tumors. The presence of HMB45 reactivity in the deep dermal component favors the diagnosis of Spitz melanoma (Fig. 2).

Features that support Spitz melanoma.
Fig. 2  Features that support Spitz melanoma.

(a) Hematoxylin and eosin (H&E) staining, 4×10; Spitz melanoma with ulceration involving the full epidermis and epidermal consumption in a 12-year-old patient. The patient has not shown any recurrence to date. (b) H&E staining, 4×10; the dermis shows crowded and back-to-back nests of melanocytes that do not show maturation. (c) H&E staining, 10×10; the presence of solitary and satellite lesions within the subcutaneous tissue strongly suggestive of Spitz melanoma. The patient was 6 years old with a fast-growing nodule on the face. The initial clinical impression was a pyogenic granuloma. Targeted sequencing of the tissue showed TPM3-ALK fusion. The patient underwent a complete excision, and recurrence has now been observed. (d) H&E staining, 10×10; the proliferating bulbous deep edge of a Spitz melanoma in the same 6-year-old patient. (e) H&E staining, 40×10; large epithelioid nests with high-grade atypia. The cells had irregular nuclear borders and prominent nucleoli. The CGH study showed multiple aberrations. The patient underwent complete excision and sentinel lymph node biopsy. The sentinel node was negative for a metastatic lesion, and the patient has not shown recurrence to date. (f) H&E staining, 40×10; the sections show an atypical and deep mitotic figure (arrow). Melanocytes exhibit pleomorphic nuclei. AST, atypical Spitz tumor; IHC, immunohistochemistry; CGH, comparative genomic hybridization; FISH, fluorescence in situ hybridization; NGS, next-generation sequencing; DDX, differential diagnosis.

For the evaluation of genomic instability, fluorescence in situ hybridization (FISH) targeting chromosomes 6 and 11 has been found to be capable of detecting high-frequency copy number alterations. FISH probes (6p25, cen6, 6q23, 11q13, 8q24, and 9p21) are frequently used for assessing melanoma.25 Comparative genomic hybridization (CGH) can locate chromosomal imbalances, such as isolated copy number gains. However, it is found that FISH and the CGH array do not have a complete overlap, and some imbalances are detected only via FISH.26 Even though CGH is a more comprehensive technique, FISH is the method that can detect intra-tumor heterogeneity, which is commonly seen in melanoma. The other component to consider is the quantity of tumor cells needed for each of these tests. The CGH array needs more tissue; therefore, in cases where the tissue is hypocellular or small, FISH can be a more helpful tool. A single and infrequent chromosomal aberration, which is historically not associated with melanoma, may be indicative of the diagnosis of an atypical Spitz tumor. However, the presence of multiple chromosomal gains or losses should raise the suspicion for Spitz melanoma. Redon and her colleagues suggested using FISH as the first step in identifying suspected melanoma lesions. If the FISH result is negative or borderline, then the CGH array is recommended.26 Reverse-transcriptase polymerase chain reaction (RT–PCR), DNA, and RNA-based next-generation sequencing (NGS) are the other methods used to study the genomic landscape. RNA-based NGS is known as the gold standard for fusion identification. However, this approach is costly and is usually not used as a first-line diagnostic tool.

Even though tumors with fusions, such as ALK, ROS, and RET, can be treated with kinase inhibitors, Spitz melanoma in childhood exhibits an indolent behavior, and targeted treatment is typically not necessary.15

Conclusion

In conclusion, the young age of patients and the complexity involved in the diagnosis of melanoma, especially when presenting with an indolent clinical course, pose significant challenges in diagnosing childhood melanoma. In childhood, patients with Spitz melanoma exhibit favorable behavior, which should be highlighted in the pathological report. It takes more than a single test to diagnose Spitz melanoma, and it is crucial to use the existing diagnostic criteria along with new immunohistochemical and genomic testing to achieve an accurate and reproducible diagnosis. The presence of highly atypical architectural and cytological features in a Spitzoid melanocytic lesion should prompt the utilization of a comprehensive immunohistochemistry panel and molecular analyses such as FISH or CGH in the evaluation. With the increasing availability of sequencing technology, the work-up algorithm may potentially change, leading to a better understanding of the diagnosis and clinical behavior of these challenging and rare neoplasms. Additionally, we propose using the term “Spitz melanoma of childhood” to encompass the morphology, genomic profile, and biological behavior of this tumor in the pediatric population. It is important to acknowledge that initial biopsies are often obtained from the skin of young children, resulting in a limited quantity of biopsied material. Further insights are gleaned from subsequent procedures, such as complete excision and/or sentinel node biopsy, which contribute to a more comprehensive and definitive final diagnosis, encompassing the differentiation between atypical and malignant lesions.

Abbreviations

AST: 

atypical Spitz tumor

CGH: 

comparative genomic hybridization

FISH: 

fluorescence in situ hybridization

IHC: 

immunohistochemistry

NGS: 

next-generation sequencing

SM: 

Spitz melanoma

Declarations

Acknowledgement

None.

Funding

None.

Conflict of interest

The authors have no conflict of interests related to this publication.

Authors’ contributions

Study concept and design (SNA and ZY), analysis and interpretation of the data (SNA and ZY), manuscript writing (SNA and ZY), and critical revision (SNA and ZY).

References

  1. Aldrink JH, Polites SF, Austin M. Pediatric Melanoma-Diagnosis, Management, and Anticipated Outcomes. Surg Oncol Clin N Am 2021;30(2):373-388 View Article PubMed/NCBI
  2. Gerami P, Busam K, Cochran A, Cook MG, Duncan LM, Elder DE. Histomorphologic assessment and interobserver diagnostic reproducibility of atypical spitzoid melanocytic neoplasms with long-term follow-up. Am J Surg Pathol 2014;38(7):934-940 View Article PubMed/NCBI
  3. Elder DE, Massi D, Scolyer RA, Willemze R. WHO Classification of Skin Tumours, 4th Edition, Volume 11. International Agency for Research on Cancer; 2018 View Article PubMed/NCBI
  4. Merkel EA, Mohan LS, Shi K, Panah E, Zhang B, Gerami P. Paediatric melanoma: clinical update, genetic basis, and advances in diagnosis. Lancet Child Adolesc Health 2019;3(9):646-654 View Article PubMed/NCBI
  5. Lu C, Zhang J, Nagahawatte P, Easton J, Lee S, Liu Z, et al. The genomic landscape of childhood and adolescent melanoma. J Invest Dermatol 2015;135(3):816-823 View Article PubMed/NCBI
  6. Zedek DC, McCalmont TH. Spitz nevi, atypical spitzoid neoplasms, and spitzoid melanoma. Clin Lab Med 2011;31(2):311-320 View Article PubMed/NCBI
  7. Raghavan SS, Peternel S, Mully TW, North JP, Pincus LB, LeBoit PE, et al. Spitz melanoma is a distinct subset of spitzoid melanoma. Mod Pathol 2020;33(6):1122-1134 View Article PubMed/NCBI
  8. Carrera C, Scope A, Dusza SW, Argenziano G, Nazzaro G, Phan A, et al. Clinical and dermoscopic characterization of pediatric and adolescent melanomas: Multicenter study of 52 cases. J Am Acad Dermatol 2018;78(2):278-288 View Article PubMed/NCBI
  9. Wiesner T, He J, Yelensky R, Esteve-Puig R, Botton T, Yeh I, et al. Kinase fusions are frequent in Spitz tumours and spitzoid melanomas. Nat Commun 2014;5:3116 View Article PubMed/NCBI
  10. Harms KL, Lowe L, Fullen DR, Harms PW. Atypical Spitz Tumors: A Diagnostic Challenge. Arch Pathol Lab Med 2015;139(10):1263-1270 View Article PubMed/NCBI
  11. Sondak VK, Messina JL. What’s new in pediatric melanoma and Spitz tumors? Pretty much everything. Cancer 2021;127(20):3720-3723 View Article PubMed/NCBI
  12. Yeh I, de la Fouchardiere A, Pissaloux D, Mully TW, Garrido MC, Vemula SS, et al. Clinical, histopathologic, and genomic features of Spitz tumors with ALK fusions. Am J Surg Pathol 2015;39(5):581-591 View Article PubMed/NCBI
  13. Šekoranja D, Pižem J, Luzar B. An Update on Molecular Genetic Aberrations in Spitz Melanocytic Proliferations: Correlation with Morphological Features and Biological Behavior. Acta Med Acad 2021;50(1):157-174 View Article PubMed/NCBI
  14. Amin SM, Haugh AM, Lee CY, Zhang B, Bubley JA, Merkel EA, et al. A Comparison of Morphologic and Molecular Features of BRAF, ALK, and NTRK1 Fusion Spitzoid Neoplasms. Am J Surg Pathol 2017;41(4):491-498 View Article PubMed/NCBI
  15. Wiesner T, Kutzner H, Cerroni L, Mihm MC, Busam KJ, Murali R. Genomic aberrations in spitzoid melanocytic tumours and their implications for diagnosis, prognosis and therapy. Pathology 2016;48(2):113-131 View Article PubMed/NCBI
  16. Hagstrom M, Fumero-Velázquez M, Dhillon S, Olivares S, Gerami P. An update on genomic aberrations in Spitz naevi and tumours. Pathology 2023;55(2):196-205 View Article PubMed/NCBI
  17. Koh SS, Lau SK, Scapa JV, Cassarino DS. PRAME immunohistochemistry of spitzoid neoplasms. J Cutan Pathol 2022;49(8):709-716 View Article PubMed/NCBI
  18. Cheng TW, Ahern MC, Giubellino A. The Spectrum of Spitz Melanocytic Lesions: From Morphologic Diagnosis to Molecular Classification. Front Oncol 2022;12:889223 View Article PubMed/NCBI
  19. Lallas A, Kyrgidis A, Ferrara G, Kittler H, Apalla Z, Castagnetti F, et al. Atypical Spitz tumours and sentinel lymph node biopsy: a systematic review. Lancet Oncol 2014;15(4):e178-e183 View Article PubMed/NCBI
  20. Cerrato F, Wallins JS, Webb ML, McCarty ER, Schmidt BA, Labow BI. Outcomes in pediatric atypical spitz tumors treated without sentinel lymph node biopsy. Pediatr Dermatol 2012;29(4):448-453 View Article PubMed/NCBI
  21. SPITZ S. Melanomas of childhood. Am J Pathol 1948;24(3):591-609 View Article PubMed/NCBI
  22. Yeh I, Busam KJ. Spitz melanocytic tumours - a review. Histopathology 2022;80(1):122-134 View Article PubMed/NCBI
  23. Batra S. Spitzoid melanoma of childhood: a case series and review. Melanoma Manag 2015;2(2):121-125 View Article PubMed/NCBI
  24. Al Dhaybi R, Agoumi M, Gagné I, McCuaig C, Powell J, Kokta V. p16 expression: a marker of differentiation between childhood malignant melanomas and Spitz nevi. J Am Acad Dermatol 2011;65(2):357-363 View Article PubMed/NCBI
  25. Tetzlaff MT, Reuben A, Billings SD, Prieto VG, Curry JL. Toward a Molecular-Genetic Classification of Spitzoid Neoplasms. Clin Lab Med 2017;37(3):431-448 View Article PubMed/NCBI
  26. Redon S, Guibourg B, Talagas M, Marcorelles P, Uguen A. A Diagnostic Algorithm Combining Immunohistochemistry and Molecular Cytogenetics to Diagnose Challenging Melanocytic Tumors. Appl Immunohistochem Mol Morphol 2018;26(10):714-720 View Article PubMed/NCBI

About this Article

Cite this article
Asadbeigi SN, Yu Z. Spitz Melanoma of Childhood: A Review Compendium and Terminology Clarification. J Clin Transl Pathol. 2023;3(4):178-183. doi: 10.14218/JCTP.2023.00023.
Copy Export to RIS Export to EndNote
Article History
Received Revised Accepted Published
July 19, 2023 November 9, 2023 December 4, 2023 December 30, 2023
DOI http://dx.doi.org/10.14218/JCTP.2023.00023