Home
JournalsCollections
For Authors For Reviewers For Editorial Board Members
Article Processing Charges Open Access
Ethics Advertising Policy
Editorial Policy Resource Center
Company Information Contact Us Membership Collaborators Partners
OPEN ACCESS

Diagnostic Challenges in Philadelphia Chromosome-positive B-Lymphoblastic Leukemia/Lymphoma with Persistent BCR::ABL1 Fusion after Treatment: A Pediatric Case Report

  • Qihan Guo1,
  • Wei Xie2,
  • Andrea Fuentes1 and
  • Wen Shuai1,* 
Journal of Clinical and Translational Pathology   2025;5(2):86-90

doi: 10.14218/JCTP.2025.00012

Received:

Revised:

Accepted:

Published online:

 Author information

Citation: Guo Q, Xie W, Fuentes A, Shuai W. Diagnostic Challenges in Philadelphia Chromosome-positive B-Lymphoblastic Leukemia/Lymphoma with Persistent BCR::ABL1 Fusion after Treatment: A Pediatric Case Report. J Clin Transl Pathol. 2025;5(2):86-90. doi: 10.14218/JCTP.2025.00012.

Abstract

Background

Philadelphia chromosome-positive (Ph+) B-lymphoblastic leukemia/lymphoma (B-ALL/LBL) is an aggressive hematologic malignancy driven by the BCR::ABL1 fusion. While many cases respond well to treatment, some patients exhibit persistent BCR::ABL1 expression after therapy, presenting significant diagnostic challenges.

Case presentation

We present the case of a seven-year-old girl diagnosed with Ph+ B-ALL. Despite low percentages or negative results for blasts post-treatment, molecular and cytogenetic studies persistently detected high levels of BCR::ABL1, suggesting a high disease burden at the genetic level. This discordance supported multilineage involvement and the potential for retrospective revision of the initial diagnosis to lymphoblast crisis of chronic myeloid leukemia (LBC-CML).

Conclusions

Classifying such cases as de novo Ph+ B-ALL with multilineage involvement or LBC-CML is challenging, as there is currently no consensus among experts. Further studies are necessary to clarify the distinction, given the different management strategies and treatment responses between these two conditions.

Keywords

Philadelphia chromosome, BCR::ABL1 fusion, Chronic myeloid leukemia (CML), CML-like, B-lymphoblastic leukemia/lymphoma (B-ALL/LBL)

Introduction

Philadelphia chromosome-positive (Ph+) B-lymphoblastic leukemia/lymphoma (B-ALL/LBL) is a subtype of B-ALL/LBL defined by the presence of the BCR::ABL1 fusion on derivative chromosome 22, resulting from a translocation between chromosomes 9 and 22.1,2 This fusion gene encodes a constitutively active tyrosine kinase, which promotes the uncontrolled growth of malignant cells.3 Given the aggressive nature of B-ALL, assessing minimal residual disease (MRD) has become a standard practice in patient management.4 However, discrepancies can arise between flow cytometry MRD analysis and molecular/cytogenetic studies, such as real-time quantitative reverse transcription polymerase chain reaction (RT-qPCR) or fluorescence in situ hybridization (FISH).5 These inconsistencies can complicate clinical decision-making and patient management. Our case exemplifies this challenge, highlighting the discordance between morphology, flow cytometry, and molecular/cytogenetic testing results in a pediatric patient with Ph+ B-ALL. The aim of reporting this case was to draw attention to such challenges and to advocate for further study to clarify classification.

Case presentation

A seven-year-old girl with no significant past medical history presented at a local hospital with symptoms of bruising, petechiae, and bone pain for three days. Physical examination and imaging studies showed no hepatosplenomegaly or lymphadenopathy. The initial peripheral blood (PB) complete blood count (CBC) revealed a white blood cell (WBC) count of 186×109/L with 76% blasts, a hemoglobin level of 7.3 g/dL, and a platelet count of 7×109/L (Table 1). Her hemoglobin and platelet counts improved after receiving packed red blood cell and platelet transfusions. Bone marrow (BM) biopsy revealed 93% blasts by differential count. BM flow cytometry analysis identified 73% B-lymphoblasts, which were positive for markers CD10, CD19, CD20 (heterogeneous), CD22, CD34, CD38, CD45 (dim), CD58, CD79a, and TdT, and negative for CD3, CD66c, CD117, CD123, and myeloperoxidase. Chromosomal banding analysis (CBA) showed a karyotype of 46, XX, t(9;22)(q34;q11.2)[12]/46, XX[8], confirming the diagnosis of Ph+ B-ALL. Cerebrospinal fluid showed a normal cell count, and cytology examination was negative for malignant cells. The patient was treated with induction therapy according to the AALL1131 protocol, which included intrathecal cytarabine, dexamethasone, vincristine, pegaspargase, and daunorubicin. Post-induction treatment with dasatinib was administered according to the AALL1631 regimen (not in the study group).

Table 1

Complete blood count (CBC) and differential count across the disease course, with reference ranges in the top row

Time after diagnosisWBC (3.8–12.7 ×109/L)Hgb (11.4–15.5 g/dL)PLT (150–400 ×109/L)CBC differential (%)
BlastNeut (39–65%)Baso (0–2%)Eos (0–9%)Mono (1–12%)Lymph (27–50%)
0 D1867.3776NANANANANA
1 D12311.2288730019
29 D3.19.01580300691
15 M2.913.4314063.60.72.418.215.1
16 M8.213.62700541.80.526.116.5
25 M (1 M PT)3.09.0249054201232
28 M (4 M PT)4.211278067.20.51.214.316.6
33 M (9 M PT)6.513.2279066.40.64.310.817.7

On day 8, PB RT-qPCR detected BCR::ABL1 (p190) at 17.83%. By day 29, BM showed leukemia remission, and flow cytometry MRD analysis was negative (Table 2), indicating a favorable initial response to treatment. At the three-month follow-up, BM biopsy demonstrated no leukemic involvement by both morphology and flow cytometry. BM RT-qPCR measured BCR::ABL1 (p190) at 2.46%. Eleven months after diagnosis, BM biopsy continued to show leukemia remission by morphology. However, flow cytometry MRD analysis was reported as positive by the Children’s Oncology Group. BM RT-qPCR remained positive for BCR::ABL1 (p190) at 7.37%. Maintenance therapy was then initiated.

Table 2

Flow cytometry, molecular, and cytogenetic monitoring across the disease course

Time after diagnosisFlow cytometry MRDClonoSEQ MRDBM RT-qPCR of BCR::ABL1 (p190)FISH BCR::ABL1 (%)
29 DNegativeNANANA
3 MNegativeNA2.46%NA
11 MPositiveNA7.37%NA
15 MNegativeNegative24.95%NA
16–17 MNegativeNegative40.45–59.02%90–99.5%
25 M (1 M PT)NegativeNegative1.06%NA
28 M (4 M PT)NegativeNegative20.24%NA
33 M (9 M PT)NegativeNA0.99%NA

Approximately fifteen months post-diagnosis, the patient was referred to our hospital due to concerns about refractory disease. The CBC revealed a WBC count of 2.9×109/L with no blasts. BM evaluation showed leukemia remission by morphology, flow cytometry MRD analysis, and the clonoSEQ MRD assay (Adaptive Biotechnologies). The megakaryocytes demonstrated normal morphology. Central nervous system involvement was also ruled out. However, BM RT-qPCR detected a high BCR::ABL1 (p190) expression at 24.95%. As a result, the patient underwent lymphodepleting chemotherapy with cyclophosphamide and fludarabine, followed by a Kymriah (tisagenlecleucel) chimeric antigen receptor T cell infusion.

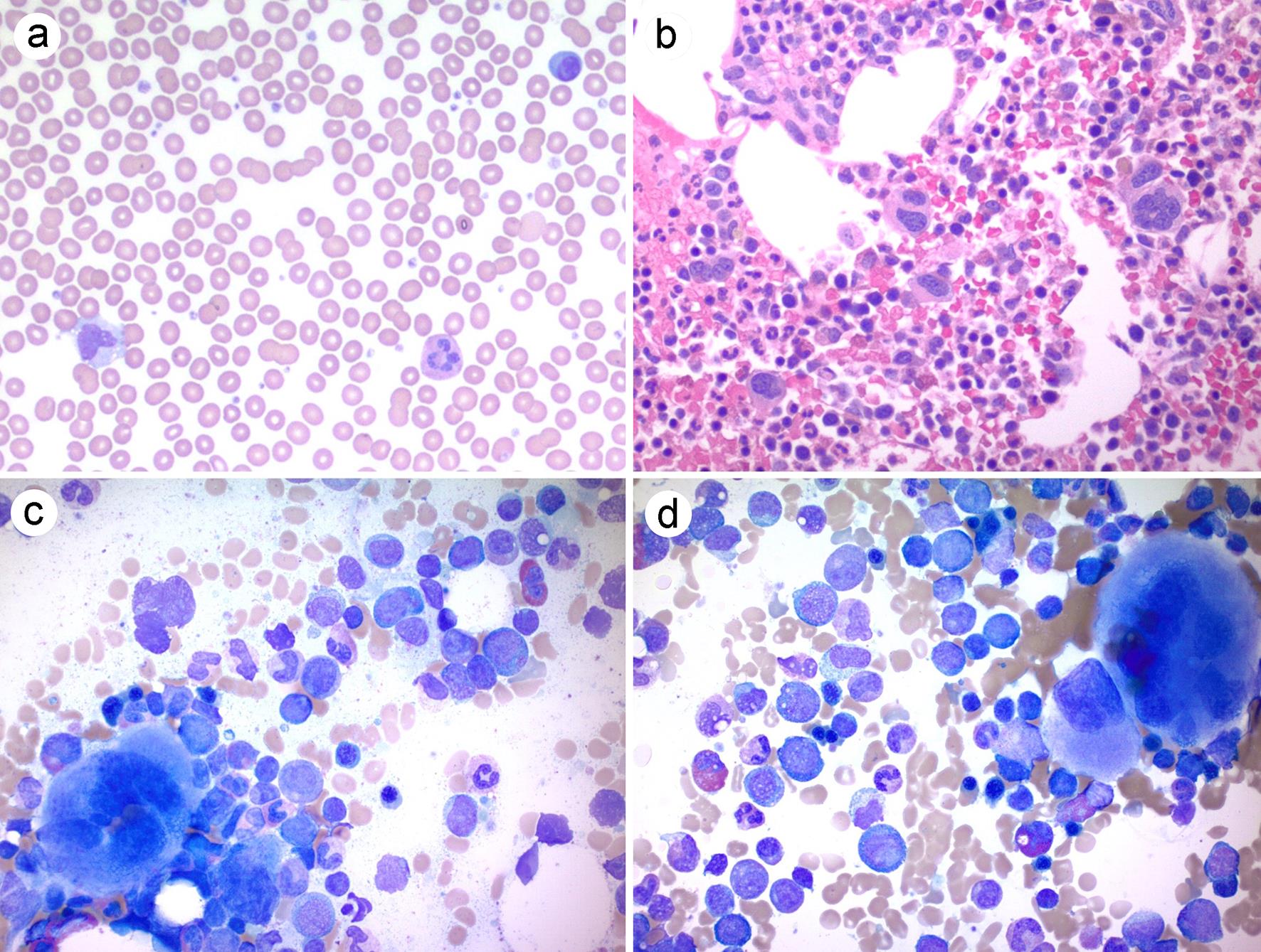
Approximately sixteen to seventeen months post-diagnosis, BM evaluation continued to show leukemia remission by flow cytometry MRD analysis and the clonoSEQ MRD assay. However, RT-qPCR revealed persistently high levels of BCR::ABL1 (p190), ranging from 40.45% to 59.02%. FISH demonstrated BCR::ABL1 in 90–99.5% of nuclei. A sample FISH image is shown in Figure 1. CBA showed a karyotype of 46, XX, t(9;22)(q34;q11.2)[19]/46, XX[1]. The persistently high level of BCR::ABL1 in cells other than blasts supported multilineage involvement and raised the possibility of a retrospective revision of the initial diagnosis to lymphoblast crisis of chronic myeloid leukemia (LBC-CML). Although BCR::ABL1 levels remained high, the morphological characteristics of PB and BM did not align with those typically observed in CML (Fig. 2). At sixteen months post-diagnosis, the CBC showed a WBC count of 8.2×109/L with monocytosis and no blasts. Chemotherapy with vincristine, methotrexate, 6-mercaptopurine, and dasatinib was restarted. The patient also received four cycles of blinatumumab.

A FISH image showing several cells with <italic>BCR::ABL1</italic> fusion signals, including a possible segmented neutrophil (arrow).
Fig. 1  A FISH image showing several cells with BCR::ABL1 fusion signals, including a possible segmented neutrophil (arrow).

FISH, fluorescence in situ hybridization; RGFF, a signal pattern with one red, one green, and two fusion signals.

Peripheral blood and bone marrow morphology at 16 months post-diagnosis.
Fig. 2  Peripheral blood and bone marrow morphology at 16 months post-diagnosis.

Peripheral blood (a), bone marrow core biopsy (b), and aspirate smears (c, d) demonstrate morphology that is not typical of chronic myeloid leukemia (CML). Original magnification: a: 200×; b: 400×; c, d: 500×.

A matched unrelated donor stem cell transplant was performed two years post-diagnosis. Although BM continued to show leukemia remission by morphology, flow cytometry MRD analysis, and the clonoSEQ MRD assay after the transplant, RT-qPCR revealed persistent BCR::ABL1 (p190) levels of 1.06% and 20.24%, one month and four months post-transplant, respectively. A third-generation tyrosine kinase inhibitor (TKI), ponatinib, was initiated two months post-transplant. At the last follow-up, nine months post-transplant, BM was negative for leukemia by morphology and flow cytometry MRD analysis. RT-qPCR showed a low BCR::ABL1 (p190) level of 0.99%. Corresponding BM engraftment studies are shown in Table 3. The patient remains on ponatinib.

Table 3

Bone marrow engraftment post-transplant analysis of donor cell percentage

Time after transplantWhole BMCD3+ fractionCD15+ fraction
1 M>98%>98%>98%
3 M39%>98%34%
4 M70%82%66%
5 M84%97%84%
8 M95%94%95%
9 M97%95%98%

Discussion

This case presents a diagnostic challenge. Despite initial successful treatment and apparent leukemia remission indicated by BM morphology, flow cytometry MRD analysis, and the clonoSEQ MRD assay, persistently high levels of the BCR::ABL1 fusion gene were detected. This significant discrepancy raises critical questions about the true nature of the patient’s condition: is it a case of de novo Ph+ B-ALL, or should it be more accurately diagnosed as LBC-CML? Pediatric patients with CML are more likely to initially present in the lymphoblast phase,6 making the classification of this case more difficult. Accurate classification of this condition is not merely academic but has significant implications for patient management and outcomes.7–9 Treatment regimens and dosages may differ. For Ph+ B-ALL, although TKI and concurrent chemotherapy are standard treatments,9 chemotherapy-free regimens combining immunotherapy (e.g., blinatumomab) with TKI might offer a promising option.10,11 Ph+ B-ALL with hematopoietic stem cell/myeloid compartment involvement is potentially resistant to blinatumomab therapy.12 Allogeneic stem cell transplantation is a potential curative therapy for LBC-CML,13 but it may not be offered early in Ph+ B-ALL patients.9

In recent years, researchers have proposed methods to differentiate between these two conditions. Chen et al.14 described three main features to distinguish LBC-CML from Ph+ B-ALL. The diagnosis of LBC-CML is supported when at least one of the following characteristics is observed: a notable disparity between the blast count and the proportion of the Ph+ clone, persistent Ph+ clones despite remission of B-ALL, or the presence of BCR::ABL1 fusion signals in segmented neutrophils. The rationale behind these diagnostic criteria lies in the biological behavior and cellular origin of the leukemias. CML arises from multipotent hematopoietic stem cells,15 meaning that the genetic hallmark BCR::ABL1 fusion in CML affects not only all the myeloid lineages but also the lymphoid cells. This multipotent nature is a key reason why CML can present with a range of cellular abnormalities and why it can progress to the lymphoid blast phase. In contrast, B-ALL typically arises from more lineage-restricted progenitor cells, specifically committed to the lymphoid lineage.16 Therefore, the BCR::ABL1 fusion in B-ALL is generally confined to lymphoblasts.

In our case, after the blasts were eliminated following treatment, the remaining cells still exhibited high expression of BCR::ABL1 at the genetic level, indicating that the Ph+ clone is present in multiple lineages. There were no features such as dwarf megakaryocytes, absolute basophilia, or eosinophilia to suggest CML, although it is important to note that not all CML patients exhibit these features.17 Many CML cases with the p190 isoform of BCR::ABL1 exhibit features such as monocytosis,18,19 similar to our patient’s CBC at sixteen months post-diagnosis. Our case involved the p190 isoform of BCR::ABL1, which is less common in CML than the typical p210 isoform. The p190 isoform is predominantly found in most cases of Ph+ B-ALL and is more commonly associated with LBC-CML in CML patients.19,20 These features further complicate the diagnosis of this case.

Currently, there is still disagreement about whether cases of Ph+ B-ALL with multilineage involvement should be reclassified as LBC-CML. The 2022 International Consensus Classification proposed a new subtype: “Ph+ B-ALL with multilineage involvement” (BCR::ABL1+ ALL-M), which seems akin to CML presenting in lymphoblast crisis.21 However, the 5th edition of the World Health Organization Classification of Haematolymphoid Tumors did not provide explicit guidance on this matter.2 Multilineage involvement has long been recognized in Ph+ B-ALL. Some experts refer to it as CML-like Ph+ ALL.22 The subtypes of Ph+ B-ALL with lymphoid-only versus multilineage involvement showed distinct gene expression profiles.23 For BCR::ABL1+ ALL-M, the transformation events occur in multipotent progenitor cells. When sorted using FISH, the fusion signals can be detected in cells in addition to the B lineage. In a study by Hovorkova et al.,22 between 12% and 83% of non-leukemic cells, including B lymphocytes, T cells, and/or myeloid cells, harbored BCR::ABL1 fusion in 48 patients with childhood ALL who exhibited discrepant MRD results. This multilineage finding suggests a characteristic similar to LBC-CML,22 hence the term CML-like Ph+ ALL.

Before the introduction of TKI therapy, a minority of patients initially diagnosed with Ph+ lymphoblastic leukemia relapsed into chronic phase (CP) CML following treatment. Anastasi et al.24 reported four cases of Ph+ B-ALL with multilineage involvement, where three patients, including two children, transitioned to CP-CML post-treatment. Their findings retrospectively support revising the initial diagnosis to LBC-CML. Patients with lymphoblast-restricted disease did not show these findings.24 As the response of CML patients to TKI therapy progresses through the stages of hematologic, cytogenetic, and molecular responses, complete reversion to CP-CML with typical hematologic features in the era of TKIs is uncommon. This is likely because TKIs effectively inhibit the BCR::ABL1 oncoprotein. In an unusual case recently reported by Hu et al.,25 a patient diagnosed with Ph+ B-ALL experienced multiple relapses after discontinuing medication several times, transitioning from Ph+ B-ALL to genetic CP and then progressing to typical hematologic CP. Thus, we believe that Ph+ B-ALL with multilineage involvement is fundamentally LBC-CML rather than a subtype of de novo Ph+ B-ALL, regardless of the patient’s age. However, some believe this represents a subset of Ph+ B-ALL with multilineage involvement as undiagnosed LBC-CML. Further studies are needed for clarification.

Conclusions

Our case represents a rare instance of pediatric Ph+ B-ALL with the p190 isoform and multilineage involvement. There is controversy regarding whether it should be reclassified as LBC-CML or remain within the category of de novo Ph+ B-ALL as a subtype with multilineage involvement. Accurate classification in the early stages of the disease is crucial, as it dictates the choice of therapeutic approaches and may influence treatment responses. We call for further studies to clarify this distinction, ensuring that these patients are managed appropriately.

Declarations

Acknowledgement

We would like to thank Drs. Wei Cui and Weina Chen for their invaluable input and the references they provided.

Ethical statement

This single case report was a retrospective analysis of three or fewer clinical cases and is not considered human research according to U.S. federal policy and institutional review board regulations of Duke Hospital. The case report did not include any identifiable patient information and, according to institutional policy, was exempt from IRB approval and informed consent. This study was conducted in accordance with the Declaration of Helsinki (as revised in 2013).

Data sharing statement

Data presented in this study are available from the corresponding author upon request.

Funding

This study received no specific funding.

Conflict of interest

The authors declare no conflicts of interest related to this publication.

Authors’ contributions

Drafting of the manuscript (QG), editing of the manuscript (WX, WS), and FISH images (AF). All authors have approved the final version and publication of the manuscript.

References

  1. Moorman AV, Chilton L, Wilkinson J, Ensor HM, Bown N, Proctor SJ. A population-based cytogenetic study of adults with acute lymphoblastic leukemia. Blood 2010;115(2):206-214 View Article PubMed/NCBI
  2. Alaggio R, Amador C, Anagnostopoulos I, Attygalle AD, Araujo IBO, Berti E, et al. The 5th edition of the World Health Organization Classification of Haematolymphoid Tumours: Lymphoid Neoplasms. Leukemia 2022;36(7):1720-1748 View Article PubMed/NCBI
  3. Pui CH, Robison LL, Look AT. Acute lymphoblastic leukaemia. Lancet 2008;371(9617):1030-1043 View Article PubMed/NCBI
  4. van Dongen JJ, van der Velden VH, Brüggemann M, Orfao A. Minimal residual disease diagnostics in acute lymphoblastic leukemia: need for sensitive, fast, and standardized technologies. Blood 2015;125(26):3996-4009 View Article PubMed/NCBI
  5. Rocha JMC, Xavier SG, Souza MEL, Murao M, de Oliveira BM. Comparison between flow cytometry and standard PCR in the evaluation of MRD in children with acute lymphoblastic leukemia treated with the GBTLI LLA - 2009 protocol. Pediatr Hematol Oncol 2019;36(5):287-301 View Article PubMed/NCBI
  6. Sembill S, Ampatzidou M, Chaudhury S, Dworzak M, Kalwak K, Karow A, et al. Management of children and adolescents with chronic myeloid leukemia in blast phase: International pediatric CML expert panel recommendations. Leukemia 2023;37(3):505-517 View Article PubMed/NCBI
  7. Kamoda Y, Izumi K, Iioka F, Akasaka T, Nakamura F, Kishimori C, et al. Philadelphia Chromosome-Positive Acute Lymphoblastic Leukemia Is Separated into Two Subgroups Associated with Survival by BCR-ABL Fluorescence in situ Hybridization of Segmented Cell Nuclei: Report from a Single Institution. Acta Haematol 2016;136(3):157-166 View Article PubMed/NCBI
  8. Nishiwaki S, Kim JH, Ito M, Maeda M, Okuno Y, Koyama D, et al. Multi-Lineage BCR-ABL Expression in Philadelphia Chromosome-Positive Acute Lymphoblastic Leukemia Is Associated With Improved Prognosis but No Specific Molecular Features. Front Oncol 2020;10:586567 View Article PubMed/NCBI
  9. Zuna J, Hovorkova L, Krotka J, Koehrmann A, Bardini M, Winkowska L, et al. Minimal residual disease in BCR::ABL1-positive acute lymphoblastic leukemia: different significance in typical ALL and in CML-like disease. Leukemia 2022;36(12):2793-2801 View Article PubMed/NCBI
  10. Short NJ, Kantarjian H. Using immunotherapy and novel trial designs to optimise front-line therapy in adult acute lymphoblastic leukaemia: breaking with the traditions of the past. Lancet Haematol 2023;10(5):e382-e388 View Article PubMed/NCBI
  11. Jabbour E, Short NJ, Jain N, Huang X, Montalban-Bravo G, Banerjee P, et al. Ponatinib and blinatumomab for Philadelphia chromosome-positive acute lymphoblastic leukaemia: a US, single-centre, single-arm, phase 2 trial. Lancet Haematol 2023;10(1):e24-e34 View Article PubMed/NCBI
  12. Nagel I, Bartels M, Duell J, Oberg HH, Ussat S, Bruckmueller H, et al. Hematopoietic stem cell involvement in BCR-ABL1-positive ALL as a potential mechanism of resistance to blinatumomab therapy. Blood 2017;130(18):2027-2031 View Article PubMed/NCBI
  13. Jabbour E, Kantarjian H. Chronic myeloid leukemia: 2018 update on diagnosis, therapy and monitoring. Am J Hematol 2018;93(3):442-459 View Article PubMed/NCBI
  14. Chen Z, Hu S, Wang SA, Konopleva M, Tang Z, Xu J, et al. Chronic myeloid leukemia presenting in lymphoblastic crisis, a differential diagnosis with Philadelphia-positive B-lymphoblastic leukemia. Leuk Lymphoma 2020;61(12):2831-2838 View Article PubMed/NCBI
  15. Holyoake TL, Vetrie D. The chronic myeloid leukemia stem cell: stemming the tide of persistence. Blood 2017;129(12):1595-1606 View Article PubMed/NCBI
  16. Mullighan CG. Molecular genetics of B-precursor acute lymphoblastic leukemia. J Clin Invest 2012;122(10):3407-3415 View Article PubMed/NCBI
  17. Rivera D, Cui W, Gao J, Peker D, Zhang QY, Dewar R, et al. Aleukemic Chronic Myeloid Leukemia Without Neutrophilia and Thrombocytosis: A Report From the BCR::ABL1 Pathology Group. Mod Pathol 2024;37(2):100406 View Article PubMed/NCBI
  18. Pardanani A, Tefferi A, Litzow MR, Zent C, Hogan WJ, McClure RF, et al. Chronic myeloid leukemia with p190BCR-ABL: prevalence, morphology, tyrosine kinase inhibitor response, and kinase domain mutation analysis. Blood 2009;114(16):3502-3503 View Article PubMed/NCBI
  19. Gong Z, Medeiros LJ, Cortes JE, Zheng L, Khoury JD, Wang W, et al. Clinical and prognostic significance of e1a2 BCR-ABL1 transcript subtype in chronic myeloid leukemia. Blood Cancer J 2017;7(7):e583 View Article PubMed/NCBI
  20. Komorowski L, Fidyt K, Patkowska E, Firczuk M. Philadelphia Chromosome-Positive Leukemia in the Lymphoid Lineage-Similarities and Differences with the Myeloid Lineage and Specific Vulnerabilities. Int J Mol Sci 2020;21(16):5776 View Article PubMed/NCBI
  21. Duffield AS, Mullighan CG, Borowitz MJ. International Consensus Classification of acute lymphoblastic leukemia/lymphoma. Virchows Arch 2023;482(1):11-26 View Article PubMed/NCBI
  22. Hovorkova L, Zaliova M, Venn NC, Bleckmann K, Trkova M, Potuckova E, et al. Monitoring of childhood ALL using BCR-ABL1 genomic breakpoints identifies a subgroup with CML-like biology. Blood 2017;129(20):2771-2781 View Article PubMed/NCBI
  23. Bastian L, Beder T, Barz MJ, Bendig S, Bartsch L, Walter W, et al. Developmental trajectories and cooperating genomic events define molecular subtypes of BCR::ABL1-positive ALL. Blood 2024;143(14):1391-1398 View Article PubMed/NCBI
  24. Anastasi J, Feng J, Dickstein JI, Le Beau MM, Rubin CM, Larson RA, et al. Lineage involvement by BCR/ABL in Ph+ lymphoblastic leukemias: chronic myelogenous leukemia presenting in lymphoid blast vs Ph+ acute lymphoblastic leukemia. Leukemia 1996;10(5):795-802 View Article PubMed/NCBI
  25. Hu S, Jabbour EJ, Hu CY, Tang G, Wang W, Medeiros LJ, et al. Recurrent lymphoid and myeloid relapses due to treatment cessations reveal natural history of Ph-positive B-ALL and pose a diagnostic challenge. Am J Hematol 2024;99(4):721-726 View Article PubMed/NCBI

About this Article

Cite this article
Guo Q, Xie W, Fuentes A, Shuai W. Diagnostic Challenges in Philadelphia Chromosome-positive B-Lymphoblastic Leukemia/Lymphoma with Persistent BCR::ABL1 Fusion after Treatment: A Pediatric Case Report. J Clin Transl Pathol. 2025;5(2):86-90. doi: 10.14218/JCTP.2025.00012.
Copy Export to RIS Export to EndNote
Article History
Received Revised Accepted Published
February 27, 2025 March 18, 2025 April 1, 2025 May 9, 2025
DOI http://dx.doi.org/10.14218/JCTP.2025.00012