Home
JournalsCollections
For Authors For Reviewers For Editorial Board Members
Article Processing Charges Open Access
Ethics Advertising Policy
Editorial Policy Resource Center
Company Information Contact Us Membership Collaborators Partners
OPEN ACCESS

Mesonephric Carcinoma and Mesonephric-like Adenocarcinoma of the Female Genital Tract

  • Yanjun Hou1,* ,
  • Deyin Xing2 and
  • Zaibo Li3
Journal of Clinical and Translational Pathology   2025;5(3):114-120

doi: 10.14218/JCTP.2025.00020

Received:

Revised:

Accepted:

Published online:

 Author information

Citation: Hou Y, Xing D, Li Z. Mesonephric Carcinoma and Mesonephric-like Adenocarcinoma of the Female Genital Tract. J Clin Transl Pathol. 2025;5(3):114-120. doi: 10.14218/JCTP.2025.00020.

Abstract

Background and objectives

Mesonephric carcinoma (MC) is a rare type of cervical carcinoma that arises from mesonephric remnants. It is characterized by a mixture of a wide variety of growth patterns and typically exhibits positive immunoreactivity for GATA binding protein 3, thyroid transcription factor 1, and apical common acute lymphoblastic leukemia antigen. A subset of adenocarcinomas in the uterine corpus and ovary with similar morphology and immunophenotype is classified as mesonephric-like adenocarcinoma (MLA) in the current World Health Organization classification. This review aimed to summarize the clinicopathological features of mesonephric remnants, mesonephric hyperplasia, and MC, provide an update on the current understanding of MLA, and highlight the molecular differences between MC and MLA.

Methods

A literature review was conducted on mesonephric remnants, mesonephric hyperplasia, MC, and MLA. The clinicopathological and molecular features were summarized from previously published studies and compared across these entities.

Results

Both MC and MLA exhibit a mixture of growth patterns and show immunoreactivity for GATA binding protein 3, thyroid transcription factor 1, and common acute lymphoblastic leukemia antigen. They commonly harbor genetic alterations in KRAS and NRAS. However, key differences exist between these two entities. MC is associated with mesonephric remnants, whereas no such association has been identified for MLA. Additionally, although KRAS and NRAS mutations are common in both, a subset of MLA cases also harbors PIK3CA and/or PTEN mutations, genetic alterations commonly seen in endometrioid adenocarcinoma.

Conclusions

Although the exact pathogenesis of MLA remains unclear, it is favored to originate from Müllerian-derived epithelium undergoing differentiation along the mesonephric pathway, rather than from true mesonephric remnants. Both MC and MLA tend to follow a relatively aggressive clinical course, underscoring the importance of accurate diagnosis.

Keywords

Mesonephric, Mesonephric-like adenocarcinoma, Immunohistochemistry, Molecular, Müllerian, KRAS

Introduction

Mesonephric carcinoma (MC) is a rare type of cervical adenocarcinoma that arises from mesonephric remnants.1–5 MC is characterized by a mixture of growth patterns, including tubular, papillary, ductal, solid, spindled, retiform, sex cord-like, hobnail, glomeruloid, and sieve-like architectures, and it typically shows positive staining for paired-box 8 (PAX8), GATA binding protein 3 (GATA3), and luminal staining of common acute lymphoblastic leukemia antigen (CD10).6–8 A subset of adenocarcinomas arising in the uterine corpus and ovary with similar morphological features and immunophenotype is currently classified as mesonephric-like adenocarcinoma (MLA) in the World Health Organization classification of female genital tumors.7 MLA typically exhibits diffuse nuclear staining for thyroid transcription factor 1 (TTF1), but shows less frequent GATA3 expression compared to MC. While both MC and MLA commonly harbor KRAS or NRAS mutations, MLA may also demonstrate additional genetic alterations in PIK3CA and PTEN.9–15 Current evidence suggests that MLA is not associated with mesonephric remnants but rather arises from Müllerian epithelium undergoing mesonephric-like differentiation, although its exact origin remains unclear.11,16,17

Given their rarity and significant morphological variability, the diagnosis of MC and MLA can be challenging, with a broad range of entities to consider in the differential diagnosis. The aim of this mini-review was to discuss the clinicopathological features, molecular alterations, current understanding, and differential diagnoses of mesonephric remnants, mesonephric hyperplasia, MC, and MLA. Our goal was to increase awareness of these rare entities and emphasize the importance of ancillary studies in facilitating accurate diagnosis.

Mesonephric remnants and hyperplasia

Mesonephric remnants are vestiges of the mesonephric (Wolffian) ducts. During early embryologic development, human embryos contain paired mesonephric and paramesonephric (Müllerian) ducts.5 In females, the mesonephric ducts regress, leaving only vestigial mesonephric remnants with no known function, while the paramesonephric ducts develop into the fallopian tubes, uterus, and part of the vagina. In males, the paramesonephric ducts regress, and the mesonephric ducts give rise to the efferent ducts of the testis, epididymis, vas deferens, seminal vesicles, ejaculatory ducts, and portions of the prostate and urethra.18

Mesonephric remnants are typically identified in asymptomatic women and are most commonly located in the lateral wall of the cervix (at the three or nine o’clock positions), found in up to one-third of cervical specimens.19 Occasionally, they may be present within the myometrium of the uterine corpus, vagina, ovarian hilum, or mesosalpinx.5 These remnants are usually non-mass forming and are often identified incidentally in specimens obtained for unrelated reasons.

Histologically, mesonephric remnants are composed of clusters or linear arrays of small to medium-sized tubules lined by cuboidal cells with scant eosinophilic cytoplasm, lacking cilia, mucin, or squamous differentiation. The nuclei are uniform, round to ovoid, with occasional slight irregularities. The tubules often contain dense eosinophilic periodic acid-Schiff-positive intraluminal secretions.20 Mitoses are generally absent. Mesonephric remnants are typically located deeper within the cervical stroma compared to normal endocervical glands.

Mesonephric hyperplasia is a proliferation of mesonephric tubules with features similar to those of mesonephric remnants. It is usually encountered as an incidental finding but may rarely form a discrete mass, in which complete excision is important to exclude the possibility of potential MC.20–22 Histologically, it resembles mesonephric remnants, but with a greater abundance of tubules and ducts.20,21 A size cut-off of 6 mm was arbitrarily proposed by Ferry and Scully to help distinguish remnants from hyperplasia.20 The most common growth pattern is the lobular variant, in which simple tubules are arranged in lobules with a variable amount of intervening stroma.19 Diffuse mesonephric hyperplasia lacks a lobular or clustered growth pattern. The least common pattern is ductal hyperplasia, characterized by a proliferation of ductal structures rather than simple round tubules. The ductal variant usually lacks eosinophilic intraluminal secretions.23

Immunohistochemically, mesonephric remnants, mesonephric hyperplasia, and MC have similar staining patterns. The mesonephric-derived epithelium is usually positive for PAX8, GATA3, TTF1, and calretinin, and is negative for estrogen receptor (ER), progesterone receptor (PR), and p16.3,8,24,25 CD10 typically highlights the luminal aspect of the epithelial cells.26,27

Entities that commonly enter the differential diagnosis of mesonephric remnants or hyperplasia include endometriosis, deeply sited endocervical glands, endocervical adenocarcinoma (including in situ), MC, and endometrial carcinoma with cervical stromal involvement. Endometriosis shows endometrial-type glands with endometrial stroma and/or evidence of old hemorrhage. Deeply sited endocervical glands typically have columnar epithelium containing intracytoplasmic mucin but lack intraluminal secretions. Human papillomavirus (HPV)-associated endocervical adenocarcinoma is characterized by hyperchromatic nuclei, abundant apical mitotic figures, apoptotic bodies, and block-type p16 positivity. Carcinomas show architectural complexity, back-to-back glands without intervening stroma, higher degrees of cytologic atypia, elevated mitotic activity, and haphazard infiltrative growth. Mesonephric hyperplasia does not harbor KRAS or NRAS mutations, a characteristic feature of MC.23

Mesonephric carcinoma

MC affects a wide age range, with a mean age of approximately 53 years.7 It is frequently associated with mesonephric remnants and mesonephric hyperplasia, and shares similar immunohistochemical characteristics. MC can arise in the uterine cervix, lateral vaginal wall, broad ligament, mesosalpinx, ovarian hilum, and very rarely, in the uterine corpus; however, the vast majority occur in the cervix.1–5 MC is rare and accounts for less than 1% of cervical adenocarcinomas.2,4,28

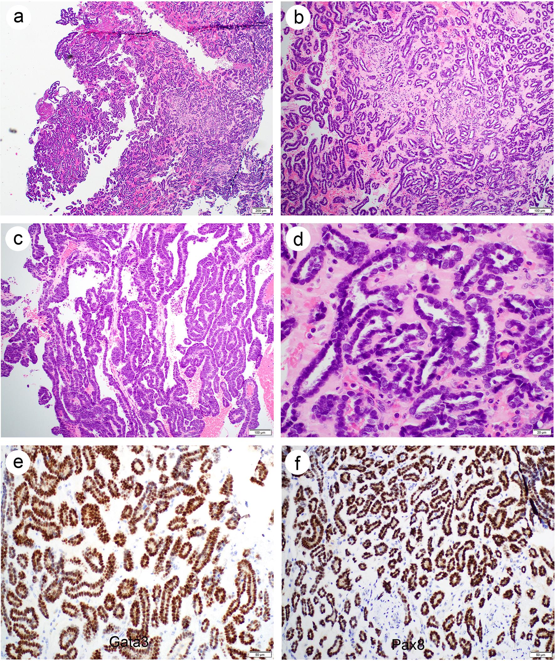
Patients typically present with vaginal bleeding, abnormal Papanicolaou smears, or a firm mass in the lateral cervical wall; however, MC may also be discovered incidentally.2,4 Histologically, MC exhibits a wide range of architectural patterns, including tubular, papillary, ductal, solid, spindled, retiform, sex cord-like, hobnail, glomeruloid, and sieve-like formations.6,7 A mixture of these patterns is frequently present within the same tumor (Fig. 1). The classic tubular pattern is composed of cuboidal cells and may contain densely eosinophilic intraluminal secretions resembling those seen in mesonephric remnants. The ductal (pseudoendometrioid) pattern features angulated glands lined by columnar cells. The nuclei are typically uniform with coarse or vesicular chromatin, irregular membranes, and frequent nuclear grooves. Occasional nuclear pseudoinclusions may also be observed. Overall, the cytologic features can resemble those of papillary thyroid carcinoma (PTC). Mitotic activity is variable. Squamous differentiation and intracytoplasmic mucin are absent.

A mesonephric carcinoma (MC) of the uterine cervix with admixed growth patterns (a, 40×), including classic tubular (b, 100×) and papillary (c, 100×) architecture. Rare intraluminal eosinophilic secretions are present (d, 400×). The neoplastic cells are relatively uniform, with coarse or vesicular chromatin, irregular nuclear membranes, and occasional nuclear grooves (d, 400×). The neoplastic cells are diffusely and strongly positive for GATA3 (e, 200×) and PAX8 (f, 200×).
Fig. 1  A mesonephric carcinoma (MC) of the uterine cervix with admixed growth patterns (a, 40×), including classic tubular (b, 100×) and papillary (c, 100×) architecture. Rare intraluminal eosinophilic secretions are present (d, 400×). The neoplastic cells are relatively uniform, with coarse or vesicular chromatin, irregular nuclear membranes, and occasional nuclear grooves (d, 400×). The neoplastic cells are diffusely and strongly positive for GATA3 (e, 200×) and PAX8 (f, 200×).

The majority of MC cases are GATA3-positive, though there is considerable variability in both staining intensity and extent of staining. Other types of carcinomas in the female genital tract are usually negative or only focally positive for GATA3. GATA3, GATA binding protein 3; PAX8, paired box gene 8

Immunohistochemically, MC shares a similar staining pattern with mesonephric remnants. PAX8 positivity and apical CD10 staining are typically present. GATA3 is less frequently positive in MC compared to mesonephric remnants and hyperplasia; however, approximately 95% of MC are GATA3 positive (Fig. 1), with wide variability in intensity and extent of staining.8 TTF1 may be focally positive. The p53 staining pattern is wild-type. Mismatch repair (MMR) proteins (MLH1, PMS2, MSH2, MSH6) show intact nuclear expression. p16 is patchy (non-block-type), and HPV is not detected. Calretinin and inhibin are variably positive. MC is usually negative for ER, PR, Napsin A, and Alpha-methylacyl-CoA racemase (AMACR), although focal positivity for ER and PR may be occasionally observed.2,3,8,25,27,29–31

Genetically, the majority of MCs harbor KRAS/NRAS mutations and a gain in chromosome 1q, with a subset also exhibiting loss of 1p. Two-thirds have mutations in chromatin remodeling genes such as ARID1A/B or SMARCA4, and one-third harbor BCOR/BCORL1 mutations. A minority have CTNNB1 mutations. Other recurrent copy number alterations include gain of 2p and chromosomes 10, 12, and 20, as well as loss of 9p, chromosome 9, and chromosome 19. MCs demonstrate a low tumor mutation burden and lack microsatellite instability. Mutations in PIK3CA and PTEN, commonly seen in endometrial endometrioid adenocarcinoma, are not identified in MC.6,32

Mesonephric-like adenocarcinoma

A subset of endometrial and ovarian adenocarcinomas shares morphological features similar to MC but has a distinct immunophenotype, including negative expression of ER and PR, and often diffuse nuclear staining with TTF1. These adenocarcinomas are found to be associated with endometriosis, cystadenoma, adenofibroma, borderline tumors, and low-grade serous carcinoma in the ovaries.33,34 In the uterine corpus, they appear to arise from the endometrium, rather than being predominantly myometrial based. Some cases are arising from atypical endometrial hyperplasia. Mesonephric remnants or hyperplasia are not seen in the background.16,35 All available evidence indicates that these neoplasms may not be mesonephric origin but arise from Müllerian epithelium that differentiates along a mesonephric pathway. In 2016, McFarland and McCluggage first proposed the terminology MLA to reflect the uncertainty of tissue origin.33 This terminology was later incorporated into the 2020 World Health Organization Classification of Female Genital Tumors.7

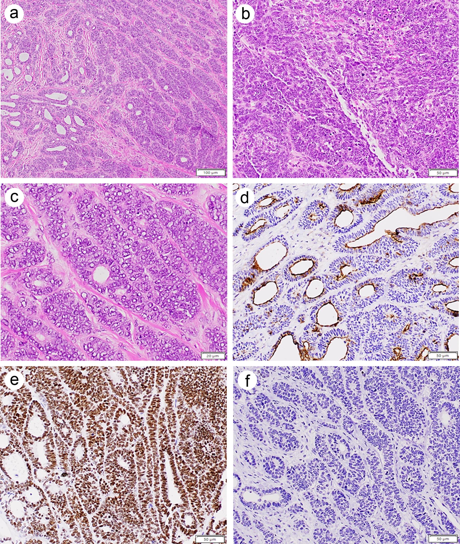
The mean age at diagnosis of MLA is 60 years.36 The characteristic morphological features of MLA include an admixture of variety of architectural growth patterns in various combination and frequent eosinophilic colloid-like material in tubular lumens, which are identical to those seen in MC.7 The neoplastic cells typically exhibit moderate nuclear atypia. The nuclei are clear to vesicular and angulated, with a variable number of nuclear grooves. The nuclei are frequently crowded and overlapping, resembling those seen in PTC (Fig. 2). The cytoplasm is generally scant, and mitotic figures are conspicuous. Similar to MC, no squamous or mucinous elements are present. The nuclei can be ovoid or spindled in the solid component.

A mesonephric-like adenocarcinoma (MLA) of the ovary showing tubular and trabecular (a, 100×), solid and spindled (b, 200×) architecture. The nuclei exhibit open chromatin, irregular nuclear contours, and frequent nuclear grooves, reminiscent of papillary thyroid carcinoma (c, 400×). Neoplastic cells are positive for luminal CD10 (d, 200×) and TTF1 (e, 200×), but negative for GATA3 (f, 200×).
Fig. 2  A mesonephric-like adenocarcinoma (MLA) of the ovary showing tubular and trabecular (a, 100×), solid and spindled (b, 200×) architecture. The nuclei exhibit open chromatin, irregular nuclear contours, and frequent nuclear grooves, reminiscent of papillary thyroid carcinoma (c, 400×). Neoplastic cells are positive for luminal CD10 (d, 200×) and TTF1 (e, 200×), but negative for GATA3 (f, 200×).

MLA typically shows diffuse nuclear immunoreactivity for TTF1 and negative or focal staining for GATA3. In some MLA cases, TTF1 and GATA3 expression demonstrate an inverse relationship, as illustrated in this case. CD10, common acute lymphoblastic leukemia antigen; GATA3, GATA binding protein 3; TTF1, thyroid transcription factor 1.

Immunohistochemically, MLA usually shows, though not always, diffuse nuclear staining with TTF1. GATA3 may be positive in some cases, but this is less common compared to MC. In some MLA cases, TTF1 and GATA3 show an inverse relationship, meaning that cells positive for GATA3 may be negative for TTF1, and vice versa. CD10 (luminal) and calretinin are positive in a proportion of cases (Fig. 2). ER, PR, HNF1-beta, and Napsin A are characteristically, but not always, negative. Focal positivity for ER (up to 40%) can be seen, but PR is more consistently negative in MLA. MMR is proficient, and the p53 staining pattern is wild-type.8,33

Similar to MC, MLA exhibits distinct molecular aberrations, including mutations in KRAS or NRAS, loss of 1p, gain of 1q, and gains in chromosomes 10 and 12. A subset of MLAs demonstrates additional mutations in PIK3CA, CTNNB1, ARID1A, and PTEN, which are commonly seen in endometrioid adenocarcinoma.6,9–15 This raises the intriguing possibility that these neoplasms exhibit dual mesonephric and endometrioid differentiation or are alternatively derived from Müllerian epithelium with mesonephric differentiation. Additional studies have shown mixed endometrial endometrioid adenocarcinoma and MLA arising from atypical endometrial hyperplasia, as well as mixed low-grade serous carcinoma and MLA in the ovary, with evidence of shared clonal relationships. These provide evidence supporting divergent differentiation and suggest a Müllerian origin for the entire malignant process.11,16,17 However, whole-proteomic analysis failed to provide substantial evidence to separate MLA and MC into two distinct entities.25 Although both MC and MLA share similarities at the morphological, immunophenotypic, and molecular levels, the precise origin of MLA remains unclear.

MLA does not exhibit alterations in TP53,12 loss of MMR protein expression, or DNA polymerase epsilon exonuclease domain hotspot mutations. Instead, MLA belongs to the molecular group classified as having no specific molecular profile.

Both MC and MLA tend to present at higher stages, with frequent recurrences, most commonly to distant sites, with the lung being the most common metastatic site. The five-year disease-specific survival is poor.9,10,36–38 Close monitoring, particularly with thoracic imaging, is recommended for patients with MC or MLA to enable early detection of recurrence.

Differential diagnosis of MC and MLA

Due to the wide range of morphological appearances of MC and MLA, often with an admixture of tubular, ductal, papillary, retiform, solid, spindled, and sex-cord-like elements, the differential diagnosis is broad. It includes mesonephric hyperplasia, endocervical adenocarcinoma, endometrioid adenocarcinoma, clear cell carcinoma, high-grade serous carcinoma, and carcinosarcoma, among others. The admixture of growth patterns may serve as a clue to the diagnosis of MC or MLA. Most MC and MLA are positive for GATA3 (less common in MLA), TTF1, and CD10, but none of these markers are sufficiently sensitive or specific. GATA3 is usually positive in mesonephric remnants and hyperplasia, but is less reliable in MC and MLA, especially in solid and spindled patterns.6 A small percentage of endometrial endometrioid adenocarcinoma (EEC), serous carcinoma, clear cell carcinoma (CCC), and carcinosarcoma may show positivity for GATA3 and/or TTF1.8,30,36 However, the PTC-like nuclear features of MC and MLA are not characteristic of other types of adenocarcinoma in the female genital tract. Squamous and ciliated differentiation are common features of EEC but are not seen in MC and MLA. Low-grade EEC is usually ER and PR positive. A subset of EEC may harbor TP53 mutations and exhibit MMR deficiency. High-grade serous carcinoma shows significant cytological atypia with greater than three times variation in cell size and is characterized by TP53 alterations, which are never seen in MC and MLA. CCC demonstrates papillary, tubulocystic, and/or solid architecture. The papillae often have hyalinized stroma. The neoplastic cells are cuboidal, polygonal, or hobnailing, with clear or eosinophilic cytoplasm. Although ER and PR are negative, CCC is typically positive for Napsin A, HNF1-beta, and AMACR, which are usually negative in MC and MLA. A subset of CCC can harbor TP53 mutations and be MMR deficient. Hobnail cells and cytoplasmic clearing are rarely seen in MC and MLA. Recent studies have shown that the majority of MLA are negative or exhibit low expression of SRY-box transcription factor 17 (SOX17), in contrast to the diffuse and strong expression commonly seen in other types of Müllerian carcinoma. Therefore, the absence of SOX17 staining is supportive for the diagnosis of MLA when the differential includes other non-mucinous Müllerian carcinomas.39,40KRAS/NRAS mutations are the most common molecular alterations in MC and MLA but are less common in other cervical and endometrial adenocarcinomas.39,40 MC and MLA may exhibit sarcomatous differentiation, including chondrosarcoma, rhabdomyosarcoma, and osteosarcoma, which supports a diagnosis of mesonephric carcinosarcoma. The carcinomatous components in Müllerian-type carcinosarcoma usually show endometrioid and serous differentiation, though clear cell and undifferentiated carcinomas can also be encountered. The carcinomatous components exhibit the corresponding histopathological features described earlier.

When MLA arises in the ovary, the female adnexal tumor of probable Wolffian origin (FATWO) and serine/threonine kinase 11 (STK11) adnexal tumor may also enter the differential diagnosis. Most FATWOs arise in the broad ligament, with a subset developing in the ovary. FATWO is presumed to be of mesonephric origin and displays an admixture of hollow and solid tubules with solid and sometimes spindled growth. Eosinophilic luminal secretions may be present. The morphology resembles that of MLA, but FATWO is often well-circumscribed with a sieve-like architecture. It is typically negative for PAX8, EMA, GATA3, and TTF1, although focal weak staining may occur.41 The STK11 adnexal tumor is morphologically diverse, with intermixed architectural patterns and characterized by interanastomosing cords and trabeculae in a myxoid matrix. Its immunohistochemical profile is nonspecific, generally negative for PAX8, EMA, TTF1, and GATA3, and it does not harbor KRAS/NRAS mutations. As the name implies, STK11 adnexal tumors harbor STK11 alterations, resulting in the corresponding loss of cytoplasmic staining for STK11. Approximately 50% of patients with STK11 tumors are associated with Peutz-Jeghers syndrome.41–46

Distinguishing between MC and MLA can be challenging. While both harbor KRAS or NRAS mutations, the presence of PIK3CA and PTEN mutations would support the diagnosis of MLA. The cervical location and the background of mesonephric remnants or hyperplasia can help in recognizing MC. The main characteristic features of morphology, immunohistochemistry, and molecular alterations of MC, MLA, and their common differentials are summarized in Table 1.

Table 1

Characteristic features of morphology, immunohistochemistry, and molecular alterations of MC, MLA, and common differential diagnoses

EntityMorphologyIHCMolecular
MCUterine cervix; Mixed architectural patterns; Dense eosinophilic luminal secretion; PTC-like nuclear featuresPositive: GATA3 > TTF1 (focal), CD10 (luminal), PAX8, calretinin; Negative: ER, PR, Napsin A, AMACR; p53: WT; MMR: intact; HPV: independentKRAS/NRAS; gain of 1q; loss of 1p; ARID1A/B ; SMARCA4 BCOR/BCORL1 CTNNB1
MLAEndometrium or ovary; Similar to MCSimilar to MC; TTF1 (diffuse) > GATA3; Negative: SOX17, inhibin, WT1, ER, PRKRAS/NRAS; gain of 1q; loss of 1p; ARID1A/B; CTNNB1; *PIK3CA;*PTEN
EECGlandular, papillary or solid; Squamous, cilia or intracytoplasmic mucinPositive: ER, PR, EMA, PAX8; Negative: GATA3, TTF1, inhibin, WT1; MMR: deficient (subset); p53: WT or aberrant; HPV: independentPTEN; PIK3CA; ARID1A; CTNNB1; KRAS; POLE EDM hotspot
HGSCPapillary, glandular, solid; Slit-like spaces; Marked nuclear pleomorphismPositive: EMA, PAX8; Negative: GATA3, TTF1; p53: aberrant; MMR: intact; ER, PR: variableTP53; ERBB2 (HER2); PIK3CA
CCCPapillary, tubulocystic, solid; Hyalinized stroma; Hobnailing; Clear or eosinophilic cytoplasmPositive: HNF1-beta, Napsin A, AMACR, EMA, PAX8; Negative: ER, PR, GATA3, TTF1; MMR: intact or deficient; p53: WT or aberrantARID1A; PIK3CA; TSPYL2; SPOP; FBXW7; TP53
FATWOBroad ligament or ovary; Well circumscribed; Mixed architectural patterns; Sieve-like architecturePositive: Cytokeratin, inhibin, calretinin, WT1, CD10 (non-luminal), ER, SF1; Negative: PAX8, EMA, GATA3, TTF1Non-specific; Negative: KRAS/NRAS
STK11 adnexal tumorMixed architectural patterns; Interanastomosing cords and trabeculae in a myxoid matrix; Prominent nucleoliPositive: Cytokeratin, inhibin, calretinin, WT1, CD10 (non-luminal), ER; Negative: STK11, PAX8, EMA, TTF1, GATA3, SF1STK11

Limitations

Due to word limitations as a mini-review, only selected literature was included in this manuscript. The discussion is limited to characteristic morphological, immunohistochemical features, and key molecular alterations. The manuscript is not comprehensive in covering the entire scope of all entities, particularly the differential diagnoses.

Conclusions

Mesonephric remnants are vestiges of the Wolffian ducts in females and can be identified in multiple anatomical sites, most commonly in the lateral wall of the cervix. MC arising from these remnants exhibits a diverse range of architectural patterns, including tubular, ductal, papillary, solid, spindled, retiform, sex cord-like, glomeruloid, and sieve-like formations. It is typically positive for GATA3, TTF1, CD10, and harbors molecular aberrations in KRAS or NRAS. MLA, which arises in the endometrium and ovary, shares similar morphology, immunophenotype, and molecular alterations with MC, but lacks an association with mesonephric remnants. MLA shows evidence of shared clonality with background Müllerian neoplasms and frequently harbors additional mutations in PIK3CA and PTEN. While the exact pathogenesis of MLA remains unclear, it is thought to originate from Müllerian-derived epithelium undergoing secondary mesonephric transdifferentiation. Both MC and MLA exhibit a relatively aggressive clinical course with a propensity for distant metastasis, underscoring the importance of accurate diagnosis.

Declarations

Acknowledgement

None.

Funding

No funding support for this mini-review.

Conflict of interest

Dr. Deyin Xing has been an editorial board member of Journal of Clinical and Translational Pathology since May 2021. Dr. Zaibo Li has served as an associate editor of Journal of Clinical and Translational Pathology since May 2021. The authors declare no other conflicts of interest.

Authors’ contributions

Study concept and design (YH), acquisition of data (YH, DX, ZL), drafting of the manuscript (YH), and critical revision of the manuscript for important intellectual content (YH, DX, ZL). All authors have made significant contributions to this study and have approved the final manuscript.

References

  1. Bagué S, Rodríguez IM, Prat J. Malignant mesonephric tumors of the female genital tract: a clinicopathologic study of 9 cases. Am J Surg Pathol 2004;28(5):601-607 View Article PubMed/NCBI
  2. Silver SA, Devouassoux-Shisheboran M, Mezzetti TP, Tavassoli FA. Mesonephric adenocarcinomas of the uterine cervix: a study of 11 cases with immunohistochemical findings. Am J Surg Pathol 2001;25(3):379-387 View Article PubMed/NCBI
  3. Kenny SL, McBride HA, Jamison J, McCluggage WG. Mesonephric adenocarcinomas of the uterine cervix and corpus: HPV-negative neoplasms that are commonly PAX8, CA125, and HMGA2 positive and that may be immunoreactive with TTF1 and hepatocyte nuclear factor 1-β. Am J Surg Pathol 2012;36(6):799-807 View Article PubMed/NCBI
  4. Clement PB, Young RH, Keh P, Ostör AG, Scully RE. Malignant mesonephric neoplasms of the uterine cervix. A report of eight cases, including four with a malignant spindle cell component. Am J Surg Pathol 1995;19(10):1158-1171 View Article PubMed/NCBI
  5. Howitt BE, Nucci MR. Mesonephric proliferations of the female genital tract. Pathology 2018;50(2):141-150 View Article PubMed/NCBI
  6. Mirkovic J, Sholl LM, Garcia E, Lindeman N, MacConaill L, Hirsch M, et al. Targeted genomic profiling reveals recurrent KRAS mutations and gain of chromosome 1q in mesonephric carcinomas of the female genital tract. Mod Pathol 2015;28(11):1504-1514 View Article PubMed/NCBI
  7. WHO Classification of Tumours Editorial Board. Female genital tumours. WHO classification of tumours series, 5th ed; vol. 4. Lyon (France): International Agency for Research on Cancer; 2020 View Article PubMed/NCBI
  8. Howitt BE, Emori MM, Drapkin R, Gaspar C, Barletta JA, Nucci MR, et al. GATA3 Is a Sensitive and Specific Marker of Benign and Malignant Mesonephric Lesions in the Lower Female Genital Tract. Am J Surg Pathol 2015;39(10):1411-1419 View Article PubMed/NCBI
  9. Na K, Kim HS. Clinicopathologic and Molecular Characteristics of Mesonephric Adenocarcinoma Arising From the Uterine Body. Am J Surg Pathol 2019;43(1):12-25 View Article PubMed/NCBI
  10. Kolin DL, Costigan DC, Dong F, Nucci MR, Howitt BE. A Combined Morphologic and Molecular Approach to Retrospectively Identify KRAS-Mutated Mesonephric-like Adenocarcinomas of the Endometrium. Am J Surg Pathol 2019;43(3):389-398 View Article PubMed/NCBI
  11. Chapel DB, Joseph NM, Krausz T, Lastra RR. An Ovarian Adenocarcinoma With Combined Low-grade Serous and Mesonephric Morphologies Suggests a Müllerian Origin for Some Mesonephric Carcinomas. Int J Gynecol Pathol 2018;37(5):448-459 View Article PubMed/NCBI
  12. Mirkovic J, McFarland M, Garcia E, Sholl LM, Lindeman N, MacConaill L, et al. Targeted Genomic Profiling Reveals Recurrent KRAS Mutations in Mesonephric-like Adenocarcinomas of the Female Genital Tract. Am J Surg Pathol 2018;42(2):227-233 View Article PubMed/NCBI
  13. Pors J, Ho J, Prentice L, Thompson E, Cochrane D, Gibbard E, et al. c-KIT Analysis and Targeted Molecular Sequencing of Mesonephric Carcinomas of the Female Genital Tract. Am J Surg Pathol 2020;44(4):495-502 View Article PubMed/NCBI
  14. Xu J, Park KJ, Rehrauer WM, Weisman PS. Mesonephric-like adenocarcinoma of the ovary with squamoid morular metaplasia, aberrant β-catenin expression, and concurrent FGFR2 and CTNNB1 mutations: a case report. Virchows Arch 2024;484(1):147-150 View Article PubMed/NCBI
  15. Ma T, Chai M, Shou H, Ru G, Zhao M. Mesonephric-Like Adenocarcinoma of Uterine Corpus: A Clinicopathological and Targeted Genomic Profiling Study in a Single Institution. Front Oncol 2022;12:911695 View Article PubMed/NCBI
  16. Mirkovic J, Olkhov-Mitsel E, Amemiya Y, Al-Hussaini M, Nofech-Mozes S, Djordjevic B, et al. Mesonephric-like adenocarcinoma of the female genital tract: novel observations and detailed molecular characterisation of mixed tumours and mesonephric-like carcinosarcomas. Histopathology 2023;82(7):978-990 View Article PubMed/NCBI
  17. Pors J, Hoang L, Singh N, Gilks CB. Commentary: novel observations and detailed molecular characterisation of mixed tumours and mesonephric-like carcinosarcomas by Mirkovic et al. (2023). Histopathology 2023;82(7):974-977 View Article PubMed/NCBI
  18. Gibbard E, Cochrane DR, Pors J, Negri GL, Colborne S, Cheng AS, et al. Whole-proteome analysis of mesonephric-derived cancers describes new potential biomarkers. Hum Pathol 2021;108:1-11 View Article PubMed/NCBI
  19. Seidman JD, Tavassoli FA. Mesonephric hyperplasia of the uterine cervix: a clinicopathologic study of 51 cases. Int J Gynecol Pathol 1995;14(4):293-299 View Article PubMed/NCBI
  20. Ferry JA, Scully RE. Mesonephric remnants, hyperplasia, and neoplasia in the uterine cervix. A study of 49 cases. Am J Surg Pathol 1990;14(12):1100-1111 View Article PubMed/NCBI
  21. Jones MA, Andrews J, Tarraza HM. Mesonephric remnant hyperplasia of the cervix: a clinicopathologic analysis of 14 cases. Gynecol Oncol 1993;49(1):41-47 View Article PubMed/NCBI
  22. Lang G, Dallenbach-Hellweg G. The histogenetic origin of cervical mesonephric hyperplasia and mesonephric adenocarcinoma of the uterine cervix studied with immunohistochemical methods. Int J Gynecol Pathol 1990;9(2):145-157 View Article PubMed/NCBI
  23. Mirkovic J, Schoolmeester JK, Campbell F, Miron A, Nucci MR, Howitt BE. Cervical mesonephric hyperplasia lacks KRAS/NRAS mutations. Histopathology 2017;71(6):1003-1005 View Article PubMed/NCBI
  24. Roma AA, Goyal A, Yang B. Differential Expression Patterns of GATA3 in Uterine Mesonephric and Nonmesonephric Lesions. Int J Gynecol Pathol 2015;34(5):480-486 View Article PubMed/NCBI
  25. Goyal A, Yang B. Differential patterns of PAX8, p16, and ER immunostains in mesonephric lesions and adenocarcinomas of the cervix. Int J Gynecol Pathol 2014;33(6):613-619 View Article PubMed/NCBI
  26. McCluggage WG, Oliva E, Herrington CS, McBride H, Young RH. CD10 and calretinin staining of endocervical glandular lesions, endocervical stroma and endometrioid adenocarcinomas of the uterine corpus: CD10 positivity is characteristic of, but not specific for, mesonephric lesions and is not specific for endometrial stroma. Histopathology 2003;43(2):144-150 View Article PubMed/NCBI
  27. Ordi J, Romagosa C, Tavassoli FA, Nogales F, Palacin A, Condom E, et al. CD10 expression in epithelial tissues and tumors of the gynecologic tract: a useful marker in the diagnosis of mesonephric, trophoblastic, and clear cell tumors. Am J Surg Pathol 2003;27(2):178-186 View Article PubMed/NCBI
  28. Stolnicu S, Barsan I, Hoang L, Patel P, Terinte C, Pesci A, et al. International Endocervical Adenocarcinoma Criteria and Classification (IECC): A New Pathogenetic Classification for Invasive Adenocarcinomas of the Endocervix. Am J Surg Pathol 2018;42(2):214-226 View Article PubMed/NCBI
  29. Roma AA. Mesonephric carcinosarcoma involving uterine cervix and vagina: report of 2 cases with immunohistochemical positivity For PAX2, PAX8, and GATA-3. Int J Gynecol Pathol 2014;33(6):624-629 View Article PubMed/NCBI
  30. Pors J, Cheng A, Leo JM, Kinloch MA, Gilks B, Hoang L. A Comparison of GATA3, TTF1, CD10, and Calretinin in Identifying Mesonephric and Mesonephric-like Carcinomas of the Gynecologic Tract. Am J Surg Pathol 2018;42(12):1596-1606 View Article PubMed/NCBI
  31. Pors J, Segura S, Cheng A, Ji JX, Tessier-Cloutier B, Cochrane D, et al. Napsin-A and AMACR are Superior to HNF-1β in Distinguishing Between Mesonephric Carcinomas and Clear Cell Carcinomas of the Gynecologic Tract. Appl Immunohistochem Mol Morphol 2020;28(8):593-601 View Article PubMed/NCBI
  32. Montalvo N, Redrobán L, Galarza D. Mesonephric adenocarcinoma of the cervix: a case report with a three-year follow-up, lung metastases, and next-generation sequencing analysis. Diagn Pathol 2019;14(1):71 View Article PubMed/NCBI
  33. McFarland M, Quick CM, McCluggage WG. Hormone receptor-negative, thyroid transcription factor 1-positive uterine and ovarian adenocarcinomas: report of a series of mesonephric-like adenocarcinomas. Histopathology 2016;68(7):1013-1020 View Article PubMed/NCBI
  34. McCluggage WG, Vosmikova H, Laco J. Ovarian Combined Low-grade Serous and Mesonephric-like Adenocarcinoma: Further Evidence for A Mullerian Origin of Mesonephric-like Adenocarcinoma. Int J Gynecol Pathol 2020;39(1):84-92 View Article PubMed/NCBI
  35. Yano M, Shintani D, Katoh T, Hamada M, Ito K, Kozawa E, et al. Coexistence of endometrial mesonephric-like adenocarcinoma and endometrioid carcinoma suggests a Müllerian duct lineage: a case report. Diagn Pathol 2019;14(1):54 View Article PubMed/NCBI
  36. Pors J, Segura S, Chiu DS, Almadani N, Ren H, Fix DJ, et al. Clinicopathologic Characteristics of Mesonephric Adenocarcinomas and Mesonephric-like Adenocarcinomas in the Gynecologic Tract: A Multi-institutional Study. Am J Surg Pathol 2021;45(4):498-506 View Article PubMed/NCBI
  37. Kim HG, Kim H, Yeo MK, Won KY, Kim YS, Han GH, et al. Mesonephric-like Adenocarcinoma of the Uterine Corpus: Comprehensive Analyses of Clinicopathological, Molecular, and Prognostic Characteristics With Retrospective Review of 237 Endometrial Carcinoma Cases. Cancer Genomics Proteomics 2022;19(4):526-539 View Article PubMed/NCBI
  38. Dierickx A, Göker M, Braems G, Tummers P, Van den Broecke R. Mesonephric adenocarcinoma of the cervix: Case report and literature review. Gynecol Oncol Rep 2016;17:7-11 View Article PubMed/NCBI
  39. Tahir M, Xing D, Ding Q, Wang Y, Singh K, Suarez AA, et al. Identifying mesonephric-like adenocarcinoma of the endometrium by combining SOX17 and PAX8 immunohistochemistry. Histopathology 2025;86(2):268-277 View Article PubMed/NCBI
  40. Zhang X, McCluggage WG, Howitt BE, Hirsch MS. SOX17 expression in mesonephric-like adenocarcinomas and mesonephric remnants/hyperplasia of the female genital tract: Expanding its utility as a Müllerian biomarker. Histopathology 2024;85(5):820-825 View Article PubMed/NCBI
  41. Bennett JA, Ritterhouse LL, Furtado LV, Lastra RR, Pesci A, Newell JM, et al. Female adnexal tumors of probable Wolffian origin: morphological, immunohistochemical, and molecular analysis of 15 cases. Mod Pathol 2020;33(4):734-747 View Article PubMed/NCBI
  42. Mirkovic J, Dong F, Sholl LM, Garcia E, Lindeman N, MacConaill L, et al. Targeted Genomic Profiling of Female Adnexal Tumors of Probable Wolffian Origin (FATWO). Int J Gynecol Pathol 2019;38(6):543-551 View Article PubMed/NCBI
  43. Dehghani A, Sharma AE, Siegmund SE, Carreon CK, Stewart CJR, Medeiros F, et al. STK11 (LKB1) immunohistochemistry is a sensitive and specific marker for STK11 adnexal tumours. Histopathology 2024;85(5):769-782 View Article PubMed/NCBI
  44. Hou Y, Yang B, Zhang G. Female Adnexal Tumor of Probable Wolffian Origin. Arch Pathol Lab Med 2022;146(2):166-171 View Article PubMed/NCBI
  45. Bennett JA, Oliva E. STK11 Adnexal Tumor: Exploring the Association With Peutz-Jeghers Syndrome and its Distinction From Morphologic Mimickers. Adv Anat Pathol 2025;32(1):98-108 View Article PubMed/NCBI
  46. Bennett JA, Young RH, Howitt BE, Croce S, Wanjari P, Zhen C, et al. A Distinctive Adnexal (Usually Paratubal) Neoplasm Often Associated With Peutz-Jeghers Syndrome and Characterized by STK11 Alterations (STK11 Adnexal Tumor): A Report of 22 Cases. Am J Surg Pathol 2021;45(8):1061-1074 View Article PubMed/NCBI

About this Article

Cite this article
Hou Y, Xing D, Li Z. Mesonephric Carcinoma and Mesonephric-like Adenocarcinoma of the Female Genital Tract. J Clin Transl Pathol. 2025;5(3):114-120. doi: 10.14218/JCTP.2025.00020.
Copy Export to RIS Export to EndNote
Article History
Received Revised Accepted Published
April 1, 2025 May 24, 2025 June 6, 2025 July 14, 2025
DOI http://dx.doi.org/10.14218/JCTP.2025.00020