v
Search
Advanced

Publications > Journals > Neurosurgical Subspecialties> Article Full Text

  • OPEN ACCESS

Medulloblastoma with Metastasis in the Right Temporoparietal Region: A Case Report and Literature Review

  • Anna Sergeevna Yasinskaya1,* ,
  • Artemy Yuryevich Novikov2 ,
  • Boris Mikhailovich Dianov2 ,
  • Aliya Rabisovna Khisamutdinova3 ,
  • Sofya Marsovna Musina4  and
  • Ural Albertovich Shamsiev4 
 Author information 

Abstract

Medulloblastoma (MB) is a malignant neoplasm that is relatively common in children but rare in young adults, accounting for less than 1% of all intracranial tumors. This study reports a rare case of MB metastasis to the right temporoparietal region in a 42-year-old woman, presenting with focal neurological symptoms such as weakness in the left arm and leg, speech disturbances, and impaired coordination. The patient had a history of cerebellar MB and underwent surgical resection, radiation therapy, and chemotherapy. Despite treatment, metastasis occurred, highlighting the diagnostic and therapeutic challenges in adult MB cases. The article also reviews the literature on MB in young adults, emphasizing the importance of dynamic neuroclinical monitoring and timely instrumental diagnosis for early detection and management of MB metastases.

Keywords

Medulloblastoma, Metastasis, Brain tumor, Craniotomy, Ventriculoperitoneal shunting, Right temporoparietal region, Case report

Introduction

Medulloblastoma (MB) is one of the most common central nervous system (CNS) tumors of embryonal origin.1 MB is a malignant neoplasm that occurs relatively frequently in pediatric patients but represents only a small fraction of brain tumors in young adults. The incidence of adult MB is less than 1% of all intracranial tumors in adults.2 The peak age of diagnosis in children is between three and six years, and only about 25% of cases occur in patients aged 15 to 44 years.3 Advances in molecular profiling have revealed significant heterogeneity among MBs, leading to the identification of four distinct subgroups, which represent separate disease entities both biologically and clinically.4 MB rarely metastasizes outside the CNS but almost exclusively spreads to the spinal and intracranial leptomeninges, with dissemination occurring directly through cerebrospinal fluid. However, there is also an alternative route of MB metastasis through the bloodstream, then spreading to the leptomeningeal membrane.5

Over the past ten years, approximately 4,000 publications related to MB have been identified, including a limited number of retrospective case reports on adult MB, disease recurrence, and studies focused on molecular, genetic, radiological, and etiopathogenetic characteristics, along with reviews of modern MB classifications.6 Reports of MB in adults remain relatively limited, which may reflect both its low prevalence and potentially insufficient diagnosis due to the non-specific clinical presentation in adults.

A search for MB cases in young patients in Russia revealed only two clinical reports of adult MB, in patients aged 27 and 29 years, respectively.7,8 In adult patients, the Sonic Hedgehog subtype is the most common, followed by the Wingless subtype and Group 4.1 The five-year overall survival rate ranges from 60% to 80%, depending on the MB subtype.6 Treatment resistance remains a significant challenge. Moreover, the lack of prospective randomized controlled trials in adult patients creates an important research gap regarding therapeutic efficacy. MB predominantly spreads through cerebrospinal fluid pathways, producing leptomeningeal and drop metastases along the spinal axis. Parenchymal and ventricular seeding is less common but well-documented. Extraneural metastases to bones, bone marrow, lungs, or lymph nodes are rare. In adults, recurrent MB most often presents in metastatic form and is associated with poor prognosis.4 Given the rarity of MB metastasis in adults in the Russian literature, this study aims to contribute a clinical case of an adult patient with CNS metastasis of MB in Russia and to summarize reported cases of MB in young adults worldwide over the past ten years.

Case presentation

A 42-year-old female patient was admitted to the neurosurgical department of the State Budgetary Institution of Healthcare of the Republic of Bashkortostan, City Clinical Hospital No. 21 in Ufa (Russia) on February 2, 2022, in critical condition, and was transferred to the neurosurgical intensive care unit. Upon admission, the patient complained of severe headaches, weakness in the left arm and leg, speech disturbances, impaired coordination, and generalized weakness. She was examined by both a neurosurgeon and a neurologist.

According to the medical history, headaches and dizziness first appeared in 2020. Brain magnetic resonance imaging (MRI) revealed a cerebellar neoplasm and signs of hydrocephalus. The patient underwent ventriculoperitoneal shunt surgery. The patient was then regularly monitored by a neurosurgeon, oncologist, and neurologist at her local outpatient clinic. On March 2, 2021, due to negative dynamics, clinical picture, and instrumental data, she underwent surgical intervention—posterior cranial fossa craniotomy with subtotal resection of a cerebellar MB. Histological examination (No. 760k21.1.-7) confirmed MB with necrosis and desmoplastic foci, Grade IV. From April 16 to May 31, 2021, the patient received external beam radiation therapy according to a radical protocol for craniospinal irradiation, delivered with an Elekta-Infinity (Sweden) apparatus (6–10 MeV). The fraction dose was 2 Gy per day, five fractions per week. The total focal dose was 22 Gy for the spinal cord and 54 Gy for the cerebellar tumor bed over seven weeks.

Her past medical history included duodenal ulcer disease in remission. Allergological history was negative. Gynecological history: menarche at age 13, menstruation lasting three to five days with a cycle of 27–28 days; the last menstrual period occurred in 2019. Tests for hepatitis B surface antigen and human immunodeficiency virus antigens were negative, as was the rapid plasma reagin (anticardiolipin) test. She had previously contracted COVID-19 caused by SARS-CoV-2, which resulted in 15% lung parenchyma involvement.

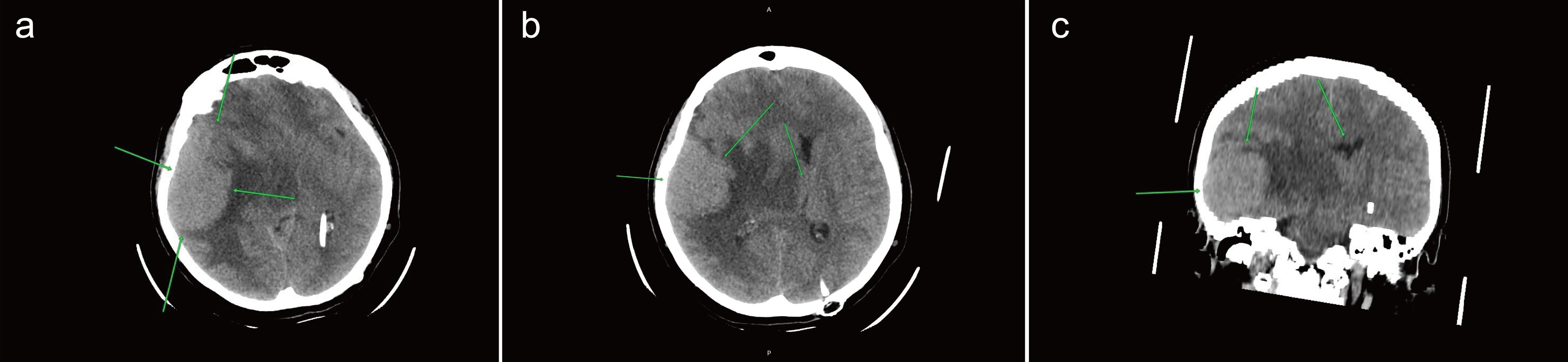
On admission, her neurological status was as follows: palpebral fissures equal (D=S), pupils equal (OD=OS) with preserved light reaction, normal ocular movements without nystagmus or diplopia; slightly asymmetrical nasolabial folds; tongue deviated to the left; moderate dysarthria and reduced pharyngeal reflex. Tendon reflexes were hyperactive on the left in both upper and lower extremities, while abdominal reflexes were diminished. Muscle tone was normal, with muscle strength of 3/5 on the left (upper and lower limbs) and 5/5 on the right. Pathological reflexes included positive Babinski and Rossolimo signs on the left. No sensory disturbances were noted, and meningeal signs were questionable. Coordination testing revealed an intention tremor on the left; the Romberg test was not performed due to moderate central hemiparesis. Clinical scales: Visual Analog Scale, 70 mm; Rivermead Mobility Index, 1 point; modified Rankin Scale, 4 points. Laboratory findings: leukocytosis and elevated erythrocyte sedimentation rate. Complete blood count showed erythrocytes 4.1×1012/L, leukocytes 14.9 × 109/L, platelets 388×103/L, hemoglobin 121 g/L, erythrocyte sedimentation rate 31 mm/h. Coagulation profile indicated hypocoagulability (international normalized ratio 1.5, activated partial thromboplastin time 37.4 sec, soluble fibrin-monomer complexes 9.0 mg/%). Blood type: 0(I) Rh(+). Urinalysis was unremarkable. Biochemical analysis revealed hypoproteinemia (61 g/L). Electrocardiography demonstrated a sinus rhythm with a heart rate of 70 bpm. A computed tomography (CT) scan of the brain revealed a space-occupying lesion in the right temporal region with a hemorrhagic component in adjacent areas. Lateral displacement of midline structures to the left was noted. The patient was in a postoperative state following craniectomy with occipital bone trephination. (Fig. 1).

Space-occupying lesion in the right temporal lobe parenchyma.
Fig. 1  Space-occupying lesion in the right temporal lobe parenchyma.

On a series of non-contrast brain computed tomography scans, a homogeneous hyperdense lesion with well-defined margins is visualized within the right temporal lobe parenchyma (a), surrounded peripherally by a hypodense zone representing brain tissue edema (February 2, 2022). There is displacement of midline structures to the left (b), along with compression and deformation of the ventricular system (c).

The patient was clinically diagnosed with a bulky mass in the right temporal lobe of the brain (suspected metastasis), with moderate left-sided central hemiparesis and mild dysarthria. She had previously undergone trepanation of the posterior cranial fossa and ventriculoperitoneal shunting. Complications included dislocation syndrome and occlusive internal hydrocephalus.

On February 5, 2022, a team of neurosurgeons performed trepanation of the right temporal region with removal of the brain tumor. The biopsy material was sent for histological examination. According to the histological results (No. 763k22.1-10), connective tissue proliferation and blood vessels of various calibers were present. Collagen and reticulin fibers were closely associated with the vascular walls and the pia mater. In some areas, the fibers were loosely arranged, surrounding individual clusters of tumor cells; in other regions, they formed large septa, giving the tumor a lobulated architecture. A significant number of “pale islands” were observed—rounded clusters of cells with optically clear cytoplasm. Within the prominent connective tissue component, these “pale islands” represented aggregates of tumor cells. The histological findings confirmed metastasis of desmoplastic MB. Postoperatively, the patient’s neurological status showed mild central hemiparesis, right-sided oculomotor nerve neuropathy, and regression of mild dysarthria.

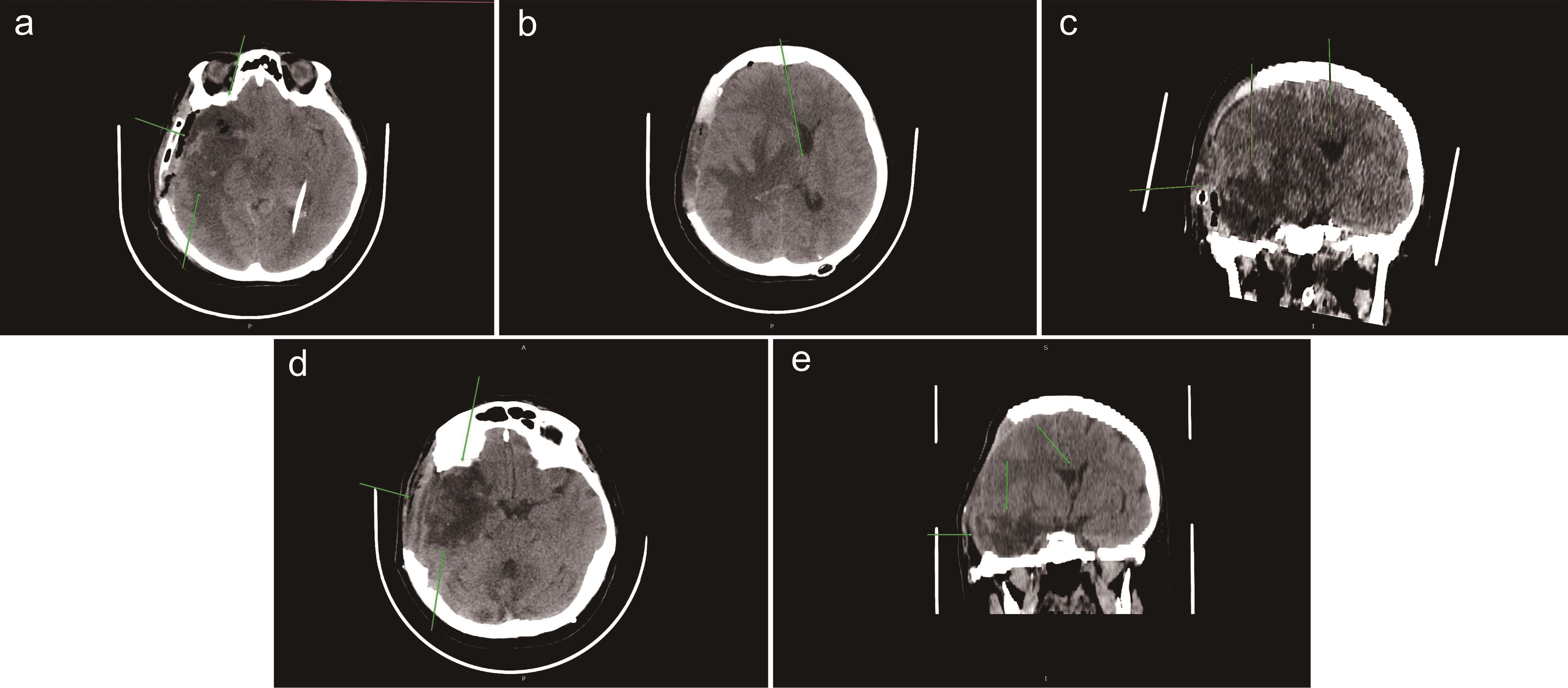
A dynamic CT scan of the brain performed after surgery revealed bone resection trepanation of the right temporoparietal skull region and removal of the bulky mass. Hypodense zones were noted in the parenchyma of the right frontal, temporal, and occipital lobes (secondary ischemia and cerebral edema), along with pneumocephaly. There was a displacement of midline structures to the left. Findings also included the postoperative state after bone resection trepanation in the left occipital region, with a bone defect measuring 43 × 25 mm, and postoperative changes after ventricular bypass surgery (Fig. 2). An MRI scan of the brain performed on March 5, 2022, demonstrated postoperative changes following tumor resection in the right temporal lobe and cerebellum (2022), as well as the previously placed ventriculoperitoneal shunt (2020) (Fig. 3).

Postoperative state after decompressive craniectomy in the right temporal region and removal of a space-occupying lesion in the right temporal lobe parenchyma (a) (February 6, 2022).
Fig. 2  Postoperative state after decompressive craniectomy in the right temporal region and removal of a space-occupying lesion in the right temporal lobe parenchyma (a) (February 6, 2022).

Displacement of midline structures to the left (b), compression (c), and deformation (d) of the ventricular system are observed (e).

Postoperative state after tumor resection in the right temporal lobe (March 5, 2022).
Fig. 3  Postoperative state after tumor resection in the right temporal lobe (March 5, 2022).

In the right temporal lobe, a pathological zone with unclear margins is identified, including a cyst (a), residual tumor (b), and a gliosis-affected area visible on T2-weighted image (T2WI) and fluid attenuated inversion recovery (FLAIR) sequences with surrounding perifocal edema (c) and signs of restricted diffusion on diffusion-weighted imaging (DWI) (d). In the region of the cerebellar vermis and right cerebellar hemisphere, a zone of cystic-gliotic changes is identified (e, f). Displacement of midline structures is also observed (f).

On June 23, 2022, the patient was discharged for outpatient follow-up under the care of a neurosurgeon, oncologist, and neurologist with the following clinical diagnosis: space-occupying lesion of the right temporal lobe of the brain (metastasis), accompanied by mild left-sided central hemiparesis, right-sided oculomotor nerve neuropathy, and cerebellar ataxia. At discharge, the patient scored 20 mm on the Visual Analog Scale, 12 points on the Rivermead Mobility Index, and 2 points on the modified Rankin Scale.

In April 2022, the patient underwent a palliative course of external beam radiation therapy. Volumetric modulated arc therapy was delivered with an individual thermoplastic mask for fixation. A single fraction dose of 2.0 Gy was prescribed, in a 5-fraction regimen, three times per week. In June 2022, she received one cycle of antitumor chemotherapy according to the following regimen: SH1110—cisplatin 25 mg/m2 on days 1–4 and etoposide 80 mg/m2 on days 1–4, repeated every 21 days, calculated based on her height of 164 cm and weight of 81 kg.

On July 4, 2022, the patient presented to the clinic’s therapist with complaints of deteriorating health, general weakness, and fever up to 37.5°C. She was diagnosed with an acute upper respiratory tract infection and received treatment recommendations. However, her condition rapidly worsened, and she developed acute respiratory failure. The patient unfortunately passed away on July 5, 2022.

Discussion

In adult MB patients, guidelines for diagnosis and treatment are based on pediatric practice as well as retrospective data analysis, highlighting the lack of a unified registry for adult MB cases.9 Despite the recent establishment of a 934-patient MB database by Wang et al.,10 the scarcity of adult-onset cases underscores the continued importance of reporting individual cases.

According to a literature search on adult MB, we summarized new cases from the last 10 years worldwide (2016–2025) in Tables 1 and 2.7,8,11–18 When analyzing the cases, it was noted that symptoms in young adults developed over one to five months, with an average of two to three months, and that metastases appeared on average after 2.5 years. Symptoms such as headache, nausea, vomiting, and dizziness were common complaints at the initial doctor visit, as in our case. The main complaint of young patients with MB was headache of varying intensity, along with dizziness and loss of balance, which is reflected in Table 1. Metastases in the brain and spine were detected one to five years after diagnosis, with an average of two to three years. MB in adults is mainly represented by classical and desmoplastic histological subtypes (Table 2). According to Table 1, in desmoplastic MB, tumor metastases were detected in the brain parenchyma, lymph nodes, spine, and flat bones.

Table 1

Literature review of medulloblastoma cases in young adults over the past ten years (2016–2025)

Author/YearAge/SexComplaintsNeurological StatusTime interval from the onset of first symptoms to diagnosis (weeks)//metastasis (months)Tumor localization/MetastasisSurgical treatmentRadiation therapy/ChemotherapyOutcome
1Faried et al.12/Indonesia 201633/MPeriodic headache for 1 year, blurred vision in both eyes for 5 monthsVisual acuity in both eyes was 3/60 without optic disc edema20/–Posterior cranial fossa/none+Unspecified/UnspecifiedAlive
2Saad et al.14/USA 201741/МRapidly increasing headache, dizzinessUnspecified4/−Vermis and bilateral hemispheres, bilateral caudate nuclei, left temporal lobe/none-Unspecified/UnspecifiedUnspecified
3Al Anazi et al.15/Saudi Arabia 201731/MHeadaches, nausea, visual impairmentUnspecified4/−The right lobe of the cerebellum/none+-/UnspecifiedUnspecified
4de Oliveira et al.13/USA 201819/FHeadache, vomitingAtaxia, dysmetria, and intentional tremor8/−The left hemisphere of the cerebellum/none++/−Unspecified
5Kit et al.7/Russia 202127/FWeakness in the right arm, dizziness, pain in the bonesUnspecifiedUnspecified/10The right hemisphere of the cerebellum/multiple metastatic lesions of bones, intrathoracic, retroperitoneal, axillary lymph nodes, and the right ovary++/UnspecifiedUnspecified
6Baranova et al.8/Russia 202229/FHeadaches, tremors, weaknessDiplopia12/−The cerebellar worm/none+Unspecified/UnspecifiedUnspecified
7Liserre et al.16/Italy 202326/MHeadache, vomiting, unstable postureCerebellar syndrome, nystagmus4/−The left hemisphere of the cerebellum/None++/UnspecifiedAlive
8Vo et al.11/USA 202421/FHeadache, dizziness accompanied by nausea, difficulty walking, unstable postureAtaxia, emotional lability, mutism3/−Posterior cranial fossa/None++/+Alive
9Zaresharifi et al.17/Iran 202439/MDizziness, loss of balance, difficulty walking, nausea and vomitingCerebellar syndromeUnspecified/84Posterior cranial fossa/Metastases to the spine, ribs, sternum, proximal bilateral humerus, pelvic bones, and proximal bilateral femurs++/+Alive
10Maireche et al.18/Algeria 202522/MHeadache,Ataxia, Unsteady gait3/−The left place is the cerebellar angle/multiple metastases at various levels of the cervical, thoracic, and lumbar spine+Unspecified/UnspecifiedUnspecified
11Yasinskaya et al./Russia 202542/FHeadache, loss of coordination, weakness in the left arm and leg, speech impairmentDysarthria, left-sided hemiparesis of the central type8/11Posterior cranial fossa/Metastasis of the right temporal lobe+Radiation therapy/ChemotherapyFatal outcome
Table 2

Characteristics of medulloblastoma cases in young adults over the past ten years (2016–2025)

Author/YearAge/SexHistological characteristicsImmunohistochemical diagnosisMolecular study
1Faried et al.12/Indonesia 201633/MClassic typePositivity for synaptophysin, glial fibrillary acidic protein (GFAP), and smooth muscle actinUnspecified
2Saad et al.14/USA 201741/МClassic typeSynaptophysin +. INI-1 immunostaining was retained in the tumor cells. β-catenin immunostaining showed cytoplasmic positivity with no nuclear staining. The tumor cells showed nuclear and cytoplasmic positivity for YAP1 and strong cytoplasmic positivity for GAB1Revealed monosomy of chromosome 14, loss on chromosome 11q21 (35Mb), gain on chromosome 19p13.3 [STK11 gene (602216), 7.5Mb] and loss of heterozygosity on chromosome 8p11p23 (40Mb). In addition, we found loss on chromosome 10p11.23 [MAP3K8 gene (191195)], 19q13.2 [PRX gene (605725)], and 13q34 [RASA3 gene (605182)]
3Al Anazi et al.15/Saudi Arabia 201731/MClassic typeKi67 Proliferative Activity Index: 80%Unspecified
4de Oliveira et al.13/USA 201819/FClassic typeConductedNo MYCN amplification or TP53 mutation was detected
5Kit et al.7/Russia 202127/FClassic typeSynaptophysin+/−, GGAP-/+, S-100-/+, β-Catenin +/−, membrane-cytoplasmic reaction +, Ki67 proliferative activity index: 70%Unspecified
6Baranova et al.8/Russia 202229/FClassic typeSynaptophysin + , Membrane expression CD56, Ki67 Proliferative Activity Index: 90%Unspecified
7Liserre R. et al.16/Italy 202326/MClassic typeIN-1 and ATRX expression is conserved, Cytoplasmic immunoreactivity for GFAP(Glial fibrillary acidic protein)), GAB 1, AP 1, β-Catenin -, Ki67 proliferative activity index: 30%IN or MIC amplification and/or deletion of chromosome 9q (PTCH1). It was detected in both components, although in different allele fractions (26% vs. 12.4%; GFAP-enriched and GFAP-negative components of MB, respectively), the GNAS mutation was detected only in the GFAP-negative component of MB
8Vo. et al.11/USA 202421/FClassic typeSynaptophysin, +, Membrane, immunoreactivity + on β-Catenin -, combined nuclear and cytoplasmic positivity for YAP1, spot-positive for p75-NGFR. The Ki67 proliferative activity index has increasedInconclusive data in the classification of DNA methylation and clustering of gene expression, but a heterozygous somatic LOF mutation was found in E3 BIRC2 ligase, another E3 ubiquitin ligase that interacts with TRAF2
9Zaresharifi et al.17/Iran 202439/MDesmoplastic typeSynaptophysin +, GFAP(Glial fibrillary acidic protein)+, D2–40 +, ATRX +, β-catenin (cytoplasmic) +, Ki67: Ki67 Proliferative activity index: 50%Unspecified
10Maireche et al.18/Algeria 202522/MUnspecifiedUnspecifiedUnspecified
11Yasinskaya A.S. et al./Russia 202542/FDesmoplastic typeNot carried outNot carried out

Immunohistochemical analysis is necessary to determine specific parameters of MB. These may include a positive reaction to synaptophysin, membrane and cytoplasmic reactions, a lack of reaction to β-catenin, and a high proliferative activity index, among others. This is important because MB may resemble other embryonic tumors on histological examination, such as neuroblastoma, atypical teratoid–rhabdoid tumor, primitive neuroectodermal tumor, or ganglioneuroblastoma.19,20

Molecular genetic analysis determines not only the amplification of MYCN or MYC but also the clustering of gene expression characteristic of MB. Vo et al.11 reported a case of a 21-year-old woman with MB in which DNA methylation and gene expression clustering provided inconclusive classification. However, they identified a heterozygous somatic loss-of-function mutation in the E3 ligase BIRC2, another E3 ubiquitin ligase that interacts with TRAF2. This finding makes the case unique and provides opportunities for further study of MB biopsy sites and for expanding the research panel, as summarized in Table 2. Molecular-genetic identification of MB subtypes can aid in risk stratification, prediction of disease progression, assessment of treatment sensitivity, and guidance of adjuvant therapy.21

MB is a heterogeneous brain tumor that occurs very rarely in adults, particularly in those over 40 years of age, accounting for less than 1% of all primary brain tumors in adults.2 Its clinical presentation is diverse and depends on localization. The management of MB in pediatric patients differs significantly from that in adults, encompassing not only molecular characteristics but also therapeutic response, tolerability, and resistance to treatment. These distinctions underscore the need for more tailored approaches to adult MB care. In our case, the patient developed focal neurological symptoms, initially raising suspicion for an acute cerebrovascular event. A thorough history suggested two possible diagnoses: MB metastasis or tumor recurrence. The definitive diagnosis was established by histological examination of a surgical biopsy, which confirmed MB metastasis.

MB metastases most commonly occur in the spinal cord and its coverings, and less frequently in the cerebral hemispheres and ventricular system, due to cerebrospinal fluid pathways.5 There are relatively few publications in both international and domestic literature regarding metastatic MB in adults; such reports are either presented as individual clinical cases or combined with analyses of pediatric MB metastases.12 In this case, molecular-genetic subtyping was not feasible due to the unavailability of such testing in the hospital laboratory. A significant factor in survival analysis is the patient’s age at diagnosis.13 The nonspecific neurological symptoms of MB in adults can delay instrumental investigations and targeted treatment, constituting an unfavorable prognostic factor.

We present here a single clinical case without molecular or genetic profiling of the tumor, which limits our ability to stratify the patient’s risk and predict treatment response with precision. Consequently, the findings cannot be generalized to the broader population.

Conclusions

The metastasis of MB to the CNS represents a serious clinical and diagnostic challenge. In our report, the development of focal neurological symptoms could indicate either an acute cerebrovascular accident or tumor recurrence, given the patient’s medical history. It is important to note that the diagnosis and confirmation of MB in our case relied on neurological examination, CT, and MRI, and, most importantly, immunohistochemical analysis of the tumor. Despite radiation therapy, two years after diagnosis, neurological deterioration was observed, and metastasis of desmoplastic MB occurred in the temporal region. We propose that molecular genetic testing of the MB subtype could help guide further treatment strategies and provide a more accurate prognosis.

Declarations

Acknowledgement

None.

Ethical statement

This study was conducted in accordance with the ethical standards of the Medical Ethics Committee of Bashkir State Medical University and the 2024 Helsinki Declaration and its subsequent amendments. Patient information is presented in an anonymized manner. Written informed consent was obtained from the patient for the publication of this case report and accompanying images on June 7, 2022.

Funding

This research did not receive any specific grant from funding agencies in the public, commercial, or not-for-profit sectors.

Conflict of interest

The authors declare that they have no known competing financial interests or personal relationships that could have influenced the work reported in this article.

Authors’ contributions

Conceptualization, methodology, investigation of this study, data curation (ASY), formal analysis (AYN), drafting and editing of the manuscript (ASY, SMM, UAS), image analysis and preparation (BMD, ARK), literature review and tables preparation (ASY, BMD, SMM, UAS), validation, resources, and supervision (ASY, ARK, SMM). All authors participated in the review and editing of the manuscript and approved the final version for publication.

References

  1. Orr BA. Pathology, diagnostics, and classification of medulloblastoma. Brain Pathol 2020;30(3):664-678 View Article PubMed/NCBI
  2. Penas-Prado M, Armstrong TS, Gilbert MR. Proposed Additions to the NCCN Guidelines for Adult Medulloblastoma. J Natl Compr Canc Netw 2020;18(11):1579-1584 View Article PubMed/NCBI
  3. Ulitin AY, Zheludkova OG, Ivanov PI, Kobyakov GL, Matsko MV, Nashletashvili DR, et al. Practical recommendations for drug treatment of primary tumors of the central nervous system. Practical recommendations RUSSCO, part 1. Malignant Tumors 2023;13(3s2):120-147 View Article
  4. Majd N, Penas-Prado M. Updates on Management of Adult Medulloblastoma. Curr Treat Options Oncol 2019;20(8):64 View Article PubMed/NCBI
  5. Fults DW, Taylor MD, Garzia L. Leptomeningeal dissemination: a sin- ister pattern of medulloblastoma growth. J Neurosurg Pediatr 2019;23(5):613-621 View Article PubMed/NCBI
  6. Eibl RH, Schneemann M. Medulloblastoma: From TP53 Mutations to Molecular Classification and Liquid Biopsy. Biology (Basel) 2023;12(2):267 View Article PubMed/NCBI
  7. Kit OI, Guskova NK, Selyutina ON, Rostorguev EE, Vladimirova LYu, Donskaya AK, et al. A rare case of extracranial metastasis of medulloblastoma into the bone marrow in an adult patient. Trudnyj Pacient 2021;19(4):65-70 View Article
  8. Baranova IB, Slavnova EN. Cytological and immunocytochemical examination of cerebrospinal fluid: Two clinical observations. Russian News of Clinical Cytology 2022;26(1):16-20 View Article
  9. Franceschi E, Hofer S, Brandes AA, Frappaz D, Kortmann RD, Bromberg J, et al. EANO-EURACAN clinical practice guideline for diagnosis, treatment, and follow-up of post-pubertal and adult patients with medulloblastoma. Lancet Oncol 2019;20(12):e715-e728 View Article PubMed/NCBI
  10. Wang YJ, Wang P, Yan Z, Zhou Q, Gunturkun F, Li P, et al. Advancing presurgical non-invasive molecular subgroup prediction in medulloblastoma using artificial intelligence and MRI signatures. Cancer Cell 2024;42(7):1239-1257.e7 View Article PubMed/NCBI
  11. Vo JN, Franson A, Waszak SM, Wu YM, Becker N, Chinnaiyan AM, et al. Germline loss-of-function variant in the E3 ubiquitin ligase TRAF2 in a young adult patient with medulloblastoma: a case report. Acta Neuropathol Commun 2024;12(1):195 View Article PubMed/NCBI
  12. Faried A, Pribadi MA, Sumargo S, Arifin MZ, Hernowo BS. Adult medulloblastoma: A rare case report and literature review. Surg Neurol Int 2016;11(Suppl 17):S481-S484 View Article PubMed/NCBI
  13. de Oliveira F, Landeiro JA, de Castro I. Adult hemispheric cerebellar medulloblastoma. Surg Neurol Int 2018;9:34 View Article PubMed/NCBI
  14. Saad AG, Balik V, Parvez A, El Jamal SM. Multifocal Supra and Infratentorial Medulloblastoma in an Adult: Histologic, Immunohistochemical, and Molecular Evaluation of a Rare Case and Review of the Literature. Appl Immunohistochem Mol Morphol 2017;25(10):e89-e94 View Article PubMed/NCBI
  15. Al Anazi AH, Hendam AT, Al Nemer AM, Al Anazi RA. Adult Desmoplastic Medulloblastoma. Saudi J Med Med Sci 2017;5(2):181-184 View Article PubMed/NCBI
  16. Liserre R, Branzoli F, Pagani F, Gryzik M, Cominelli M, Miele E, et al. Exceptionally rare IDH1-mutant adult medulloblastoma with concurrent GNAS mutation revealed by in vivo magnetic resonance spectroscopy and deep sequencing. Acta Neuropathol Commun 2023;11(1):47 View Article PubMed/NCBI
  17. Zaresharifi N, Abbaspour E, Yousefzade-Chabok S, Reihanian Z, Karimian P, Karimzadhagh S. Rare incidence of parietal lobe metastasis in an adult with desmoplastic/nodular medulloblastoma: A case report and review of the literature. Int J Surg Case Rep 2024;115:109322 View Article PubMed/NCBI
  18. Maireche A, Lounici N, Saadat MR, Atik O, Boucheffa F, Maireche ELA, et al. Extra axial medulloblastoma of the cerebellopontine angle: A rare case report. Radiol Case Rep 2025;20(6):3134-3139 View Article PubMed/NCBI
  19. Matsko MV, Matsko DE, Imyanitov EN, Sklyar SS, Ulitin AYu, Yakovenko IV, et al. Embryonal Tumors of The Central Nervous System In Adults: A Report of Three Cases. Review of The Literature. Siberian Journal of Oncology 2021;20(1):105-114 View Article
  20. Matsko DE, Zhelbunova EA, Matsko MV, Ulitin AYu, Paltsev AA, Ievleva AG, et al. Rare embryonic brain tumor in a patient 27 years. Pediatr 2012;3(4):88-91
  21. Luque R, Benavides M, Del Barco S, Egaña L, García-Gómez J, Martínez-García M, et al. SEOM clinical guideline for management of adult medulloblastoma (2020). Clin Transl Oncol 2021;23(5):940-947 View Article PubMed/NCBI

About this Article

Cite this article
Yasinskaya AS, Novikov AY, Dianov BM, Khisamutdinova AR, Musina SM, Shamsiev UA. Medulloblastoma with Metastasis in the Right Temporoparietal Region: A Case Report and Literature Review. Neurosurgical Subspecialties. 2025;1(3):151-158. doi: 10.14218/NSSS.2025.00012.
Copy        Export to RIS        Export to EndNote
Article History
Received Revised Accepted Published
March 7, 2025 September 2, 2025 September 2, 2025 September 30, 2025
DOI http://dx.doi.org/10.14218/NSSS.2025.00012
  • Neurosurgical Subspecialties
  • pISSN 0000-0000
  • eISSN 3067-6150
Back to Top

Medulloblastoma with Metastasis in the Right Temporoparietal Region: A Case Report and Literature Review

Anna Sergeevna Yasinskaya, Artemy Yuryevich Novikov, Boris Mikhailovich Dianov, Aliya Rabisovna Khisamutdinova, Sofya Marsovna Musina, Ural Albertovich Shamsiev
  • Reset Zoom
  • Download TIFF