v
Search
Advanced

Publications > Journals > Journal of Clinical and Translational Hepatology> Article Full Text

  • OPEN ACCESS

Quality and Quantity? The Clinical Significance of Myosteatosis in Various Liver Diseases: A Narrative Review

  • Jie Yang1,2,
  • Qing Liu1,2 and
  • Chao Sun1,2,* 
 Author information 

Abstract

Myosteatosis is associated with poor outcomes in various liver diseases. However, standardized methods for assessing, defining, and diagnosing myosteatosis in the context of liver diseases remain unclear. Furthermore, the underlying mechanisms by which myosteatosis leads to pathophysiological progression and adverse health outcomes remain elusive. Therefore, in this review, we elaborate on the currently available measures, definitions, and diagnostic criteria of myosteatosis in the existing literature. We thoroughly clarify the recent evidence and data regarding the possible involvement of myosteatosis in the progression and deterioration of various liver diseases and resulting complications, including liver cirrhosis, chronic viral hepatitis, non-alcoholic/metabolic-associated fatty liver disease, primary sclerosing cholangitis, liver transplantation, and hepatocellular carcinoma. Additionally, it synthesizes insights from basic research on the pathogenesis of myosteatosis, which involves multifactorial mechanisms, including insulin resistance, mitochondrial dysfunction, and chronic inflammation. Finally, from an operational and pragmatic perspective, several regimens, including physical, nutritional, and pharmacological therapies, have been discussed as potential treatments for myosteatosis.

Graphical Abstract

Keywords

Myosteatosis, Pathogenesis, Liver cirrhosis, Hepatocellular carcinoma, Muscle quality, Interventions

Introduction

Body composition has been widely investigated in the medical field, defined as the proportion and distribution of fat and lean tissues in the human body.1 Abnormalities in body composition are highly prevalent among patients with chronic liver disease and have been closely associated with adverse clinical outcomes.2,3 Body mass index (BMI) serves as a widely used metric in clinical practice to evaluate body composition. However, it has limited accuracy in distinguishing between muscular tissue and fat tissue, which can be masked by the presence of edema or ascites, common complications in the context of decompensated cirrhosis. Given these substantial limitations in the applicability and validity of BMI for patients with various liver diseases, there has been growing interest in exploring alternative methods to evaluate body composition abnormalities and their clinical implications.4 Muscles are primarily involved in the process of mechanical activity, along with the production of various myokines. Adipose tissue is capable of regulating energy levels through metabolic activity. The body composition of patients with liver disease differs considerably in terms of muscle and adipose tissue characteristics.5

In recent years, changes in the skeletal muscle compartment have been shown to possess predictive value in a wide range of pathological conditions, including but not limited to chronic kidney disease, cardiovascular diseases, and cancer.6 Skeletal muscle abnormalities, including myosteatosis (abnormal muscle quality) and sarcopenia (abnormal muscle quantity), are frequently observed in the context of liver diseases. Accumulating evidence has shown that the presence of sarcopenia is linked to inferior outcomes in different pathological conditions, while little is known about the clinical relevance of myosteatosis.7 Recently, several studies have demonstrated that myosteatosis, an entity distinct from sarcopenia, exhibits a close relationship with worsening physical status, debilitating conditions, and poor prognosis in cirrhosis.8–11 Nachit et al. found that myosteatosis significantly increased the mortality risk in asymptomatic adults.12 According to the updated guideline by the European Working Group on Sarcopenia in Older People, evaluation of muscle quality has attracted extensive attention due to its clinical significance, as skeletal muscle mass not only predicts longevity in older adults but also serves as a critical prognostic marker for mortality in conditions like cancer, type II diabetes, and cardiovascular disease.13,14

Despite the growing recognition of myosteatosis as a clinically relevant phenotype in chronic liver diseases, three interrelated challenges have impeded its translation into clinical practice and the advancement of research: first, the lack of a unified definition for myosteatosis in the context of liver disorders; second, the absence of standardized diagnostic criteria and measurement modalities, which preclude cross-study comparison and consistent clinical assessment; and third, the underappreciation of myosteatosis as an independent prognostic factor, given that it is frequently conflated with sarcopenia in prior literature. Collectively, these gaps create ambiguity in interpreting the clinical significance of myosteatosis, underscoring the need for a systematic synthesis to resolve inconsistencies and clarify its relevance to liver disease management.

To address these critical gaps, our narrative review critically examines three core aspects: (a) existing definitions, measurement modalities, and the challenges inherent in standardizing diagnostic criteria for myosteatosis in liver diseases; (b) the independent contributions of myosteatosis to the progression and outcomes of diverse liver conditions; and (c) mechanistic insights into the pathogenesis of myosteatosis derived from experimental and clinical studies. We further synthesize the available evidence to develop practical management strategies, while explicitly highlighting unresolved knowledge gaps and prioritizing directions for future research.

Methodology

To address the research questions, a comprehensive search was conducted in PubMed, which analyzed the pathogenesis and clinical implications of myosteatosis in the context of liver disease. Search terms comprised [(Non-alcoholic fatty liver disease) or (metabolic associated fatty liver diseases) or (NAFLD) or (MAFLD) or (liver cirrhosis) or (hepatocellular carcinoma) or (PSC) or (primary sclerosing cholangitis) or (hepatitis C virus) or (hepatitis B virus) or (chronic viral hepatitis) or (liver disease)] AND [(myosteatosis) or (muscle quality)], and publication dates from January 1, 2014 to November 1, 2023 were included. Among 687 publications identified through the database search, we excluded non-full-text or irrelevant clinical studies, duplicates, and case reports. To identify additional relevant publications, the identified articles were manually searched. Finally, 85 studies were collected.

Notably, non-alcoholic fatty liver disease (NAFLD) was officially renamed “metabolic dysfunction-associated fatty liver disease (MAFLD)” by an international expert panel in June 2023, to better reflect the disease’s pathogenesis, centered on metabolic dysfunction rather than the exclusion of alcohol. Throughout this review, we use “MAFLD” to denote this condition.15,16

Definition, measuring modalities, and diagnostic criteria of myosteatosis

Definition of myosteatosis

Myosteatosis represents a distinct clinical entity that can occur independently of sarcopenia or obesity. Unlike sarcopenia or obesity, there is currently no standardized diagnostic approach for myosteatosis.

Myosteatosis refers to the abnormal accumulation of adipose tissue within skeletal muscle, resulting in detrimental metabolic effects and musculoskeletal dysfunction.17 This condition encompasses three distinct adipose depots: intramyocellular lipids (within fibers), intramuscular adipose tissue (between fibers), and intermuscular adipose tissue (between muscle groups).18 Since intramyocellular lipids serve as an energy substrate for muscle activity, their classification as a pathological factor may not be fully justified. On the contrary, intramuscular fat can disrupt muscle fiber alignment, leading to a loss of pennation angle and, therefore, weakening mechanical action due to reduced muscle quality.19,20 Taken together, we argue that intramuscular and intermuscular adipose tissue-defined myosteatosis appears to be more appropriate.

Measuring modalities and diagnostic criteria of myosteatosis

As myosteatosis is primarily a histological diagnosis, biopsy is regarded as the gold standard for evaluation. Given the invasiveness of tissue sampling, biopsies are not widely adopted in daily clinical practice.19 Accordingly, a myriad of direct and indirect instruments have been proposed to estimate adipose infiltration in skeletal muscle. Non-invasive measuring tools based on imaging include computed tomography (CT), peripheral quantitative CT, magnetic resonance imaging (MRI), magnetic resonance spectroscopy, and quantitative ultrasound.18,21 However, studies have not been able to use dual-energy X-ray absorptiometry to determine muscle density as a measure of myosteatosis.18

CT accounts for the most widely applied tool to indirectly evaluate myosteatosis, which has been recommended by the Clinical Practice Guidelines of the European Association for the Study of the Liver in 2019.22 Myosteatosis represents a clinically relevant biomarker for assessing degenerative muscular changes. Standardized measurement is performed through cross-sectional area segmentation at the third lumbar vertebra (L3) level, which has been established as the reference anatomical site. This region consistently encompasses both core musculature (including the psoas and paraspinal muscles) and adipose tissue compartments, and has been strongly correlated with whole-body muscle mass.23 In contrast, some studies prioritize the psoas major alone, arguing it is less affected by abdominal adiposity and simpler and more convenient to measure. However, a recent study found that a psoas-only analysis underestimates the prevalence of myosteatosis compared to the total L3 musculature (27.7% vs. 66.0%, P < 0.0001).24

Although low radiation attenuation (RA) values in Hounsfield units (HU) are the standard method for determining myosteatosis, other groups have also introduced and employed heterogeneous selection criteria to characterize myosteatosis and identify patients susceptible to this muscle quality irregularity. The frequent metrics include absolute muscle attenuation values judged by gender-specific cut-offs concerning the total skeletal muscle area versus the bilateral psoas muscle area.25–27 A significant increase in muscle RA following contrast administration suggests that non-contrast imaging may be more feasible in accurately identifying myosteatosis.28 In oncological populations, RA cut-off values were established as follows: <33 HU for patients with BMI ≥ 25 kg/m2 and <41 HU for those with BMI <25 kg/m2, based on L3-level muscle assessment. The effectiveness has been verified by a range of observational studies regarding myosteatosis.10,25,29–33 Bannangkoon et al. defined it as skeletal muscle density ≤ 44.4 HU and ≤39.3 HU in males and females, respectively.34 Zeng et al. determined the diagnostic threshold for myosteatosis as skeletal muscle density < 32.82 HU in females and <38.93 HU in males among the Chinese population.35

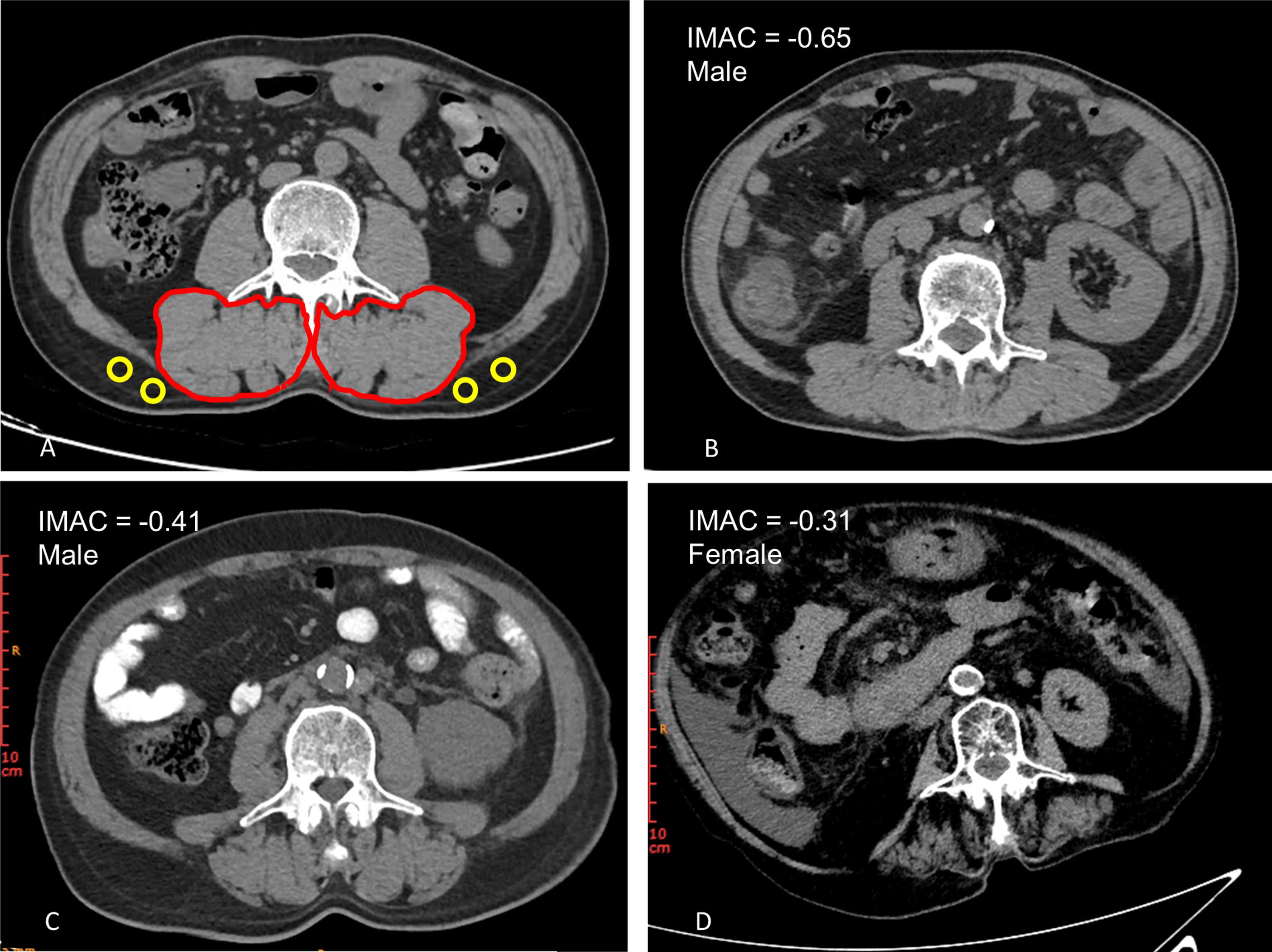
Given the marked prevalence of fluid retention in patients with cirrhosis, the validity and feasibility of these BMI-adjusted cut-offs are ambiguous. Fluid accumulation increases tissue water content, which can artificially lower muscle RA and lead to the overdiagnosis of myosteatosis, as edematous muscle may fall below the standard HU thresholds even without significant fat infiltration. To address this limitation, intramuscular adipose tissue content (IMAC), a novel selection criterion for assessing myosteatosis, has been proposed. IMAC is calculated as the L3 region of interest of the multifidus muscle divided by the region of interest of subcutaneous adipose tissue (Fig. 1).36,37 Accordingly, we utilized IMAC-defined myosteatosis at the L3 level, with cut-offs of >−0.44 and >−0.37 in males and females, respectively.38 It is highlighted that there are other selection criteria or relevant cut-offs to define and diagnose myosteatosis (Table 1).39–44

Abdominal computed tomography images taken at the third lumbar vertebra to quantify intramuscular adipose tissue and muscle radiodensity in patients with cirrhosis.
Fig. 1  Abdominal computed tomography images taken at the third lumbar vertebra to quantify intramuscular adipose tissue and muscle radiodensity in patients with cirrhosis.

(A) Cross-sectional computed tomography image of subfascial muscular tissue in the multifidus muscle (two red circles) and subcutaneous fat (four yellow circles). (B) Cross-sectional computed tomography image for a male patient with IMAC of −0.65. (C) Cross-sectional computed tomography image for a male patient experiencing myosteatosis with IMAC of −0.41. (D) Cross-sectional computed tomography image for a female patient experiencing myosteatosis with IMAC of -0.31. IMAC, intramuscular adipose tissue content.

Table 1

Different assessing modalities regarding myosteatosis and relevant cut-off values

StudySpecific study populationCountry of study populationBody compositionArea and definitionaInterpretationPatient cut-off values
FemaleMale
Geladari et al., 202329Cirrhotic patientsGreeceL3 Musle-RA (HU)L3 psoas, erector spinae, quadratus lumborum, abdominal obliques, and rectus abdominis muscleDecreased values indicated lower attenuation in myosteatotic muscle, suggestive of inferior muscle quality<33 in BMI ≥25 kg/m2, <41 in BMI <25 kg/m2
Ebadi et al., 202230Cirrhotic patientsCanadaL3 SMD (HU)L3 rectus abdominus, external/internal oblique muscles, transversus abdominus, psoas, and paraspinal (quadratus lumborum, erector spinae)Decreased values indicated lower attenuation in myosteatotic muscle, suggestive of inferior muscle quality<33<28
Bhanji et al., 201932Patients undergoing LTAmericaL3 Musle-RA (HU)L3 psoas, paraspinal, and abdominal wall (including rectus abdominis, transverse abdominis, and internal and external oblique) musclesDecreased values indicated lower attenuation in myosteatotic muscle, suggestive of inferior muscle quality<33 in BMI ≥25 kg/m2, <41 in BMI <25 kg/m2
Meister et al., 202127Cirrhotic patients undergoing LTGermanyL3 Psoas-RA (HU)L3 bilateral psoas areaDecreased values indicated lower attenuation of myosteatotic muscle, thus inferior muscle quality (similar to L3 Muscle-RA)<38.9<40.0
Sano et al., 202133Patients with HCCJapanL3 Musle-RA (HU)L3 psoas, erector spinae, quadratus lumborum, abdominal obliques, and rectus abdominis muscleDecreased values indicated lower attenuation in myosteatotic muscle, suggestive of inferior muscle quality<33 in BMI ≥25 kg/m2, <41 in BMI <25 kg/m2
Bannangkoon et al., 202334HCC patients undergoing TACEAmericaL3 SMD (HU)L3 abdominal wall and back musclesDecreased values indicated intramuscular fat deposition and low-grade skeletal muscle≤44.4≤39.3
Zeng et al., 202335Cirrhotic patientsChinaL3 SMD (HU)L3 psoas major, erector spinalis, quadratus psoas, external abdominal oblique, and internal abdominal oblique on the right and left sides, and the transverse abdominisDecreased values indicated intramuscular fat deposition and low-grade skeletal muscle<32.82<38.93
Wang et al., 202237Cirrhotic patientsChinaL3 IMAC (HU)L3 ROI of the multifidus muscle/ROI of the subcutaneousIncreased values indicated lower attenuation of myosteatotic muscle, thus inferior muscle quality> −0.37> −0.44
Kaibori et al., 201541HCC patients undergoing R0 resectionJapanL3 IMAC (HU)L3 ROI of the multifidus muscle/ROI of subcutaneous
fat
Increased values indicated lower attenuation of myosteatotic muscle, thus inferior muscle quality> −0.31> −0.44

However, CT is incapable of directly measuring fat deposition and the location of lipid droplets in the muscle or discriminating between possible fat distribution phenotypes. Hence, it is necessary to investigate further the specific location and features of infiltrated muscle fat in the context of different liver diseases.18,45 The magnitude of myosteatosis can be accurately captured by using chemical shift MRI to determine the muscle fat fraction, which shows a strong correlation with histopathologic analyses.46 In this respect, a study measured the fat fraction of erector spinae muscles based on MRI and identified myosteatosis as a fat fraction less than 0.8 in liver transplantation (LT) recipients.47

Notably, the prevalence of myosteatosis in liver diseases is not a fixed value. Still, it varies substantially by the diagnostic criteria employed, including the choice of measurement modality and associated cut-off values. This methodological variability explains the wide range of prevalence estimates across studies and underscores the need to contextualize all prevalence data with the specific tools used to define myosteatosis.

The choice of myosteatosis assessment modality depends on a balance of accuracy, practicality, and patient factors (Supplementary Table 1). CT remains the most widely used method in clinical research due to its high accessibility and robust correlation with histopathological findings (the gold standard for myosteatosis). However, its radiation risk limits use in longitudinal studies or vulnerable populations. MRI offers superior accuracy for quantifying intramuscular fat fraction with no radiation but is constrained by high cost, long scan time, and limited availability. The potential of ultrasound as a low-cost, point-of-care tool for screening is limited by its operator dependency and current lack of standardized diagnostic criteria for myosteatosis. For researchers designing cohort studies, CT is recommended for large-scale analyses (balancing accuracy and feasibility), while MRI is prioritized for mechanistic studies requiring precise fat fraction quantification.

Contributory role of myosteatosis in various liver diseases

Effect of myosteatosis in NAFLD

MAFLD (formerly NAFLD) has progressively emerged as a leading etiology of chronic liver disease and the predominant cause of hepatocellular carcinoma (HCC) among LT candidates in the United States.48,49 During the last two decades, the global prevalence of MAFLD has approached 30%, and a trend analysis indicates that 37% of adults worldwide are likely to experience MAFLD by 2019.50 Notably, the prevalence of myosteatosis in the context of MAFLD without obesity is reported to be around 31.7%.39

Adverse muscle composition (AMC), characterized by high muscle fat and low muscle volume, is prevalent in subjects with MAFLD (14.0%).51 This AMC phenotype is also linked to a high prevalence of metabolic comorbidity along with reduced function. Ding et al. demonstrated a positive, independent connection between plasma Cathepsin D (CTSD) levels and myosteatosis in patients with MAFLD, supporting the notion that skeletal muscle plays a pivotal role and its derangement may lead to metabolic disturbances, consequently resulting in the progression of metabolic syndrome.52 In children with MAFLD, researchers have found that intermuscular abdominal adipose tissue mediates the reduction of hepatic steatosis via a multicomponent intervention.53 Kitajima et al. showed a correlation between the stage of non-alcoholic steatohepatitis (NASH) and IMAC (odds ratio = 2.444, P < 0.05).54 Hsieh et al. demonstrated that severe myosteatosis may give rise to an increased risk of NASH in patients at an early stage of MAFLD.55 Collectively, these findings suggest that muscle lipid infiltration may represent a potential biomarker associated with NASH progression.43,55 In addition, severe myosteatosis exhibited a significant association with fibrosis progression in the context of MAFLD.55–58 Furthermore, Nachit et al. used proton density fat fraction derived from MRI to evaluate myosteatosis within skeletal muscles at the L3 level and showed that the magnitude and heterogeneity of myosteatosis were linked to HCC independent of fibrosis stage in individuals with MAFLD. In particular, this phenomenon was more pronounced in those with NASH.59 Linge et al. established a reference of high muscle fat infiltration over the 75th percentile of a whole population (40,177 subjects) with respective male and female thresholds (>7.69% and >8.82%), in the manner of MRI-screened thighs.60 Their findings revealed that AMC could predict all-cause mortality in individuals diagnosed with MAFLD. In contrast, some other studies revealed that the degree of myosteatosis had no relation to the levels of transaminases, magnitude of hepatic fat, or significant hepatic fibrosis (Table 2).46,61

Table 2

Summary of studies concerning the clinical relevance of myosteatosis in patients with MAFLD

AuthorStudy populationDiagnostic criteriaCut-offMean (± SD)/median (IQR)PrevalenceOutcome associated with myosteatosis/Major findings
Kitajima et al. 201354208 patients with MAFLD (formerly NAFLD)cCT: L3 IMACNA−0.23 ± 0.13NAIMAC and aging were risk factors associated with the severity of NASH
Hsieh et al. 202355338 patients with MAFLD (formerly NAFLD)CT: L3 muscle RA<40.03 HU in femalea; <47.13 HU in male47.39 ± 5.75 in MAFLD; 45.63 ± 5.98 in early NASH21.1% in the MAFLD; 33.3% in early NASHSevere myosteatosis was significantly associated with early NASH and fibrosis progression in early-stage MAFLD
Hsieh et al. 202156521 patients with MAFLD (formerly NAFLD)CT: L3 muscle RA<39.77 HU in BMI ≥25kg/m2; <42.57 HU in BMI <25kg/m246.81 ± 6.63 in F0-F1; 44.32 ± 7.15 in F2-F446.1% in significant fibrosisMyosteatosis had additive values for predicting significant fibrosis
Nachit et al. 20215748 obese patientsCT: L3 SMFINA32.9 ± 6.5NAMyosteatosis, but not sarcopenia, was strongly and independently associated with liver stiffness in obese patients with MAFLD
Kim et al. 20235813,452 subjectsCT: L3 NAMA/TAMA indexNAMAFLD; 68.3 ± 9.9 in females; 76.4 ± 7.9 in malesNAThe NAMA/TAMA index may help identify subjects at a high risk of MAFLD and liver fibrosis for further evaluation
Nachit et al. 20235972 patients with MAFLD (formerly NAFLD)MRI: L3 PDFFESNA9.6 ± 5.5% in NAFLD with HCC; 5.7 ± 3.0% in those withoutNAMyosteatosis was associated with the presence of HCC in a population of biopsy-proven MAFLD patients
Linge et al. 20236010,138 subjectsMRI: thighs MFIbHigh MFI: >8.82% in females; >7.69% in males8.03% ± 2.16%NAHigh muscle fat was a strong predictor of all-cause mortality in individuals with MAFLD

Effect of myosteatosis in chronic viral hepatitis

The mainstays of chronic viral hepatitis B (HBV) and chronic viral hepatitis C (HCV) have posed a heavy public burden on healthcare resources worldwide. In 2006, it was estimated that 360 million individuals were suffering from chronic hepatitis B, and two billion individuals were infected with HBV globally.62 Chronic viral hepatitis causes permanent liver inflammation, resulting in severe and ultimately irreversible fibrotic damage to the hepatic parenchyma. Due to a proactive vaccination policy, the burden of HBV is markedly decreasing, but HBV prevalence remains endemic in specific regions.63 HCV affects an estimated 3% of the global population, and subjects inaccessible to effective treatment are prone to a high risk of developing cirrhosis over a span of twenty years.

Endo et al. found that the IMAC values were significantly increased in response to interferon-free direct-acting antiviral treatment (−0.33 versus −0.34, P < 0.01), indicating a connection between myosteatosis and HCV.64 Han et al. analyzed a cohort of patients with HBV and sarcopenia. They stated a higher prevalence of evident liver fibrosis relative to those without sarcopenia but experiencing central obesity, presented as BMI ≥ 25 kg/m2.65 Notably, another study reported that 96.5% of patients with sarcopenia also exhibited myosteatosis, implicating a reciprocal effect between sarcopenia and myosteatosis.29 Taken together, further investigation is warranted to delve into the contributory role of myosteatosis in the context of chronic viral hepatitis.

Effect of myosteatosis in liver cirrhosis

About one million deaths worldwide annually are attributable to cirrhosis, which ranks as the eleventh most prevalent cause of death, alongside the third major cause among individuals aged 45–64 years, accounting for 3.5% of all global deaths in combination with liver cancer.66 The prevalence of myosteatosis in cirrhosis varies substantially by diagnostic methodology. When defined using CT-derived muscle RA with BMI-adjusted cut-offs (<41 HU for BMI < 25 kg/m2 and <33 HU for BMI ≥ 25 kg/m2), the reported prevalence ranges from 52% to 74%.9,10,29,31 In contrast, when diagnosed via IMAC at the L3 level (cut-offs: >−0.44 for males and >−0.37 for females), the prevalence in cirrhotic cohorts is markedly lower, at 17.55% (83/473 patients) and 18.8% (38/202 patients), respectively.8,37 This discrepancy directly reflects the impact of diagnostic criteria on epidemiological estimates.

Previous studies have shown that myosteatosis worsens the prognosis of patients with cirrhosis, which is related to a higher Child-Pugh score, decompensated stage, and higher long-term mortality.10,29,31 Compared with the traditional Model for End-stage Liver Disease (MELD) score, Lattanzi et al. constructed a MELD-Sarco-Myo-HE score by incorporating the presence of myosteatosis to improve predictive accuracy regarding three- and six-month all-cause mortality.31 Ebadi et al. also revealed that a 2% decrease in the mortality risk accompanies every one HU increase in the muscle radio density.30 Additionally, myosteatosis has been linked to overt hepatic encephalopathy (HE) and minimal HE among cirrhosis before and after transjugular intrahepatic portosystemic shunt.9,67 Bhanji and colleagues demonstrated a significantly higher prevalence of myosteatosis in patients with overt HE (70%) compared to those without (45%; P < 0.001), suggesting a potential association between myosteatosis and complications in cirrhosis.9 Relative to sarcopenia, myosteatosis also exhibited a closer correlation with portal hypertension (r = −0.266, P < 0.001). Moreover, myosteatosis has proved to be associated with several complications, such as variceal bleeding, spontaneous bacterial peritonitis, ascites, infections, and HCC.35,68 Collectively, current evidence demonstrates a significant association between myosteatosis and worse clinical outcomes in cirrhosis. However, the exact nature of this relationship (whether causal, synergistic, or parallel processes) requires further investigation through longitudinal mechanistic studies (Table 3).

Table 3

Summary of studies concerning the clinical relevance of myosteatosis in patients with cirrhosis

AuthorStudy populationDiagnostic criteriaCut-offPrevalenceOutcome associated with myosteatosis/Major findings
Feng et al. 20218202 patients with cirrhosisCT: L3 IMAC> −0.37 in female; > −0.44 in male18.8%Significant relationships between IMAC and frailty phenotype were exclusively expressed in males
Bhanji et al. 20189675 patients with cirrhosisCT: L3 Musle-RA<33 HU in BMI ≥ 25 kg/m2; <41 HU in BMI <25 kg/m252%Myosteatosis was independently associated with overt hepatic encephalopathy in patients with cirrhosis
Montano-Loza et al. 201610678 patients with cirrhosisCT: L3 Muscle-RA<33 HU in BMI ≥25 kg/m2; <41 HU in BMI <25 kg/m252%Myosteatosis was independently associated with a higher risk of long-term mortality in cirrhosis
Geladari et al. 202329197 patients with cirrhosisCT: L3 Muscle-RA<33 HU in BMI ≥25 kg/m2; <41 HU in BMI <25 kg/m273.6%Myosteatosis was associated with advanced age, low skeletal mass, more severe liver cirrhosis, and poor prognosis
Ebadi et al. 202230855 patients with cirrhosisCT: L3 Muscle-RA<33 HU in males; <28 HU in females34%Myosteatosis was associated with increased mortality. The coexistence of myosteatosis and sarcopenia has been linked to worse outcomes
Lattanzi et al. 201931249 patients with cirrhosisCT: L3 Muscle-RA<33 HU in BMI ≥25 kg/m2; <41 HU in BMI <25 kg/m254%Myosteatosis was independently associated with mortality
Zeng et al. 202335168 patients with cirrhosisCT: L3-SMD<32.82 in female; <38.93 in male49.4% in those aged 60 - 69 years, 80.0% in those older than 70 yearsMyosteatosis, rather than sarcopenia, had a close correlation with portal hypertension
Wang et al. 202237473 patients with decompensated cirrhosisCT: L3 IMAC> −0.37 in female; > −0.44 in male17.55%Higher VSR/VATI and advanced age were associated with myosteatosis. Myosteatosis was not significantly related to longer LOH
Yin et al. 202367108 cirrhotic patients undergoing TIPSCT: L3 right psoas muscle-RA<33 HU in BMI ≥25 kg/m2; <41 HU in BMI <25 kg/m232.4%Myosteatosis can serve as a reliable predictor of developing overt HE and mortality in cirrhotic patients after TIPS

Effect of myosteatosis in LT

For patients with end-stage liver disease, LT remains the most effective treatment option. The influence of nutritional status on postoperative outcomes following LT is still under intensive investigation. Bhanji et al. noticed that the frequency of myosteatosis increased while awaiting LT.69 In addition, they also revealed that the percentage change in mean HU per 100 days post-transplant exhibited a significant decrease (median of −2.7%, P < 0.001), suggestive of an increase in myosteatosis.

Myosteatosis has been identified as being interconnected with a spectrum of outcomes, including postoperative ventilation time, post-LT infections, hospital and intensive care unit stay, significant morbidity and mortality, graft- and patient survival, costs, and pulmonary outcomes.25,70–73 A study recruiting 152 patients undergoing LT, with a long-term follow-up of 56 months, demonstrated that myosteatosis was associated with increased post-transplant mortality (three months, one year, and five years survival probabilities: 72% versus 95%, 63% versus 90%, 54% versus 84%, respectively, P = 0.001).70 Incorporating myosteatosis into the MELD score can enhance its predictive accuracy regarding pre-LT mortality and improve the prognostic value of the Balance-of-Risk score, with the aim of screening patients for early LT and facilitating the utilization of organ resources.25,31 These findings suggest that myosteatosis may serve as an important prognostic marker during the perioperative period. These results highlight the need for future studies to investigate whether multimodal interventions addressing myosteatosis and its underlying pathophysiology could potentially benefit high-risk patients (Table 4).

Table 4

Summary of studies concerning the clinical relevance of myosteatosis in patients undergoing liver transplant

AuthorStudy populationDiagnostic criteriaCut-offMean (± SD)/median (IQR)PrevalenceOutcome associated with myosteatosis/Major findings
Bhanji et al. 201969293 patients undergoing LDLTCT: L3 Muscle-RA<33 HU in BMI ≥25 kg/m2; <41 HU in BMI <25 kg/m242.8 ± 9.1 in non-sarcopenia; 41.4 ± 9.0 in sarcopeniaNAMyosteatosis progressively increased in both pre- and post-transplant groups
Molwitz et al. 202370152 patients undergoing LDLTCT: L3 Muscle-RANA38 ± 8 in pre-LT; 35 ± 10 in post-LTNAMyosteatosis was associated with a higher post-transplant mortality, and did not improve after transplant
Czigany et al. 202171225 patients undergoing OLTCT: L3 Muscle-RA<33 HU in BMI ≥25 kg/m2 <41 HU in BMI <25 kg/m232 ± 11 in female; 35 ± 11 in males44%The probability of graft and patient survival was significantly lower in patients with myosteatosis
Irwin et al. 202173106 patients undergoing LTCT: L3 Muscle-RA<33 HU in BMI ≥25 kg/m2 <41 HU in BMI <25 kg/m232 ± 872%Patients with myosteatosis had a higher risk of death and allograft failure at 1 year

Effect of myosteatosis in HCC

HCC often originates from advanced hepatic parenchymal disorders in addition to cirrhosis, and is the third most common cause of cancer-associated mortality globally. Previous investigations covering both basic and clinical aspects have uncovered a robust association between chronic liver disease and pathological alterations of body composition.74 Chen et al. identified myosteatosis in 15.2% of 138 patients receiving immune checkpoint inhibitor therapy, using a muscle RA with BMI-adjusted cut-offs (<41 HU for BMI < 25 kg/m2 and <33 HU for BMI ≥ 25 kg/m2).75 In comparison, Hamaguchi et al. reported a preoperative myosteatosis prevalence of 43% among 606 patients undergoing hepatectomy, defining myosteatosis by IMAC (>−0.229 in females, >−0.358 in males).76 Similarly, Masetti et al. observed the highest prevalence (76%) in their cohort of 151 patients treated with trans-arterial embolization, defined by IMAC with sex-specific cut-off values of >−0.229 for females and >−0.358 for males.40 This wide range likely reflects variations in the study populations and diagnostic criteria.

Myosteatosis independently predicts worse outcomes in advanced HCC patients receiving immunotherapy. Multivariable analysis (adjusted for liver function, tumor extent, and demographics) revealed that myosteatosis was significantly associated with reduced disease control rates and worse progression-free survival (hazard ratio = 2.0, P = 0.014).75 In a cohort of 606 patients with HCC, Hamaguchi and colleagues demonstrated that patients with a high IMAC had significantly lower recurrence-free survival (RFS) and overall survival (OS) rates.76 Furthermore, high IMAC was identified as a significant risk factor for mortality after hepatectomy. Regarding a single-center HCC cohort, myosteatosis was linked to suboptimal outcomes, such as various clinical conditions, but had a limited impact on the RFS and long-term OS.77

Some articles have demonstrated that preoperative muscle steatosis, determined by IMAC, was strongly linked to an increased likelihood of major postoperative complications (intra-abdominal abscess, ascites, and pleural effusion), especially infectious complications.78,79 Intriguingly, Masetti et al. found that myosteatosis was not related to the complication rate or OS rate in a cohort of 151 patients with cirrhosis receiving trans-arterial embolization.40 On the other hand, Bannangkoon and colleagues found that the presence of myosteatosis was closely associated with reduced trans-arterial chemoembolization response (56.1% versus 68.7%, adjusted odds ratio = 0.49) and poor survival (15.9 versus 27.1 months, P < 0.001).34 Although the existing literature reports conflicting results, preoperative identification of patients with elevated IMAC remains clinically recommended before hepatectomy. Therefore, preoperative optimization of myosteatosis may be beneficial to patient selection and improve postoperative outcomes in the context of hepatectomy (Table 5).

Table 5

Summary of studies concerning the clinical relevance of myosteatosis in patients with hepatocellular carcinoma

AuthorStudy populationDiagnostic criteriaCut-offMean (± SD)/median (IQR)PrevalenceOutcome associated with myosteatosis/Major findings
Bannangkoon et al. 202334611 HCC patients undergoing TACECT: L3-SMD≤39.3 in female; ≤44.4 in male39.7 (35.0, 43.3) in females; 46.0 (41.9, 50.2) in males38.8%Patients with myosteatosis had shorter overall survival than those without
Masetti et al. 202240151 HCC patients undergoing TAECT: L3 IMAC> −0.31 in female; > −0.44 in maleNA76%Myosteatosis was not associated with a different burden of HCC, length of hospitalization, complication rate, or readmission within the first 30 days after discharge, and it also showed no association with overall survival
Kaibori et al. 201541141 HCC patients undergoing hepatectomyCT: L3 IMAChigh IMAC: > −0.31 in female; > −0.44 in maleNANAHigh IMAC was significantly correlated with liver dysfunction, higher intraoperative blood loss, the need for blood transfusion, and comorbid diabetes mellitus
Chen et al. 202375138 HCC patients undergoing ICI immunotherapyCT: L3 Musle-RA<33 HU in BMI ≥25 kg/m2 <41 HU in BMI <25 kg/m245.7 ± 7.415.2%Myosteatosis was an independent prognostic factor in patients receiving immunotherapy for advanced HCC
Hamaguchi et al. 201976606 HCC patients undergoing hepatectomyCT: L3 IMAChigh IMAC: > −0.229 in female; > −0.358 in maleNAhigh IMAC: 43%A high VSR, low SMI, and high IMAC contributed to an increased risk of death and HCC recurrence in an additive manner
Meister et al. 202277100 HCC patients undergoing partial hepatectomyCT: L3 Muscle-RA<33 HU in BMI ≥25 kg/m2; <41 HU in BMI <25 kg/m233 ± 1060%Myosteatotic patients had significantly inferior outcomes in terms of major postoperative complications
Hamaguchi et al. 201678492 HCC patients undergoing hepatectomyCT: L3 IMAChigh IMAC: > −0.138 in female; > −0.324 in male−0.169 ± 0.171 in female; −0.336 ± 0.129 in maleNAIMAC was closely correlated with increased postoperative complications, especially infectious complications
Harimoto et al. 2018 79146 hepatic malignancy patients undergoing curative hepatic resectionCT: L3 IMAChigh IMAC: > −0.502 in female; > −0.730 in male−0.60 (−1.25, −0.27)NAHigh IMAC was an independent risk factor for postoperative complications

Effect of myosteatosis in primary sclerosing cholangitis (PSC)

As a chronic cholestatic liver disease, PSC is characterized by fibroinflammatory destruction of the biliary tree, leading to liver failure, cirrhosis, and eventually cholangiocarcinoma.80 From a clinical perspective, significant challenges remain in improving outcomes for patients with PSC.

Total skeletal muscle mass has been established as a significant prognostic factor for diverse clinical outcomes in chronic liver disease, including risks of hepatic decompensation, post-treatment complications, and mortality. More recently, the clinical relevance of myosteatosis has also been recognized in this patient group. Praktiknjo et al. established intramuscular fat fraction as a proxy for myosteatosis, which is independently predictive of 10-year transplant-free survival in the PSC population.81 The finding suggested that indices of body composition may constitute alternative indicators for organ allocation proposed for PSC patients at the stage of cirrhosis.

Miscellaneous

Horii et al. recruited 115 subjects who underwent initial liver resection for colorectal liver metastasis (CLM) and found that high IMAC was linked to postoperative complications of Clavien-Dindo grade 3 or worse, in addition to lower OS and RFS.42 Dijk et al. verified that myosteatosis was independently associated with shorter OS.82 Additionally, Shiozawa et al. indicated that IMAC before the second liver resection was the most important predictor for RFS and OS in patients undergoing two-stage hepatectomy for CLM.83 Early identification of apparent variations in body composition is imperative to perform timely perioperative intervention and thereby enhance postoperative outcomes in the context of CLM.

Etiological determinants and pathophysiological pathways of myosteatosis

Both intermuscular and intramuscular fat deposition are significantly influenced by age and race.20,45 Aging is associated with diminished differentiation capacity of muscle stem cells into myocytes, which promotes preferential adipocyte differentiation. This process ultimately leads to increased intermuscular fat deposition in both males and females.84–86 Miljkovic and colleagues demonstrated that the incidence of intermuscular fat was higher among African individuals compared to Caucasian individuals. However, the precipitating factors responsible for these differences remain unknown, and they hypothesized that the variation in skeletal muscle fat accumulation may be triggered by ethnic variation in carnitine palmitoyltransferase-1B allele frequencies.87

The pathogenesis of myosteatosis involves multifactorial and complex mechanisms, primarily driven by alterations in fatty acid and glycogen metabolism. Previous fundamental studies have stated that muscular changes not only contribute to hepatic dysfunction but also reflect disease-stage progression in liver disorders.45 Data explaining the mechanisms by which excess muscle fat infiltration and accumulation in chronic liver disease occur are scarce. Therefore, further research is warranted to elucidate the mechanical pathways from both clinical and molecular perspectives. Based on current evidence, we herein propose several potential pathogenic mechanisms, with a particular focus on conducting a preliminary analysis of the liver-muscle axis (Fig. 2).

A summary of mechanistic pathways responsible for the advent and progression of myosteatosis-center on the liver-muscle axis.
Fig. 2  A summary of mechanistic pathways responsible for the advent and progression of myosteatosis-center on the liver-muscle axis.

Evidence-supported pathways are represented by solid lines. Hypothetical pathways are represented by dashed lines. Insulin resistance could impact glucose disposal and increase uptake of FAA, giving rise to lipogenesis. Hyperammonemia could increase uptake of ammonia by muscular tissue and induce mitochondrial dysfunction, responsible for reduced muscular lipid oxidation. Chronic inflammation, characterized by the release of proinflammatory cytokines, is positively correlated with fat mass accumulation. Nutritional status and functional genes and proteins could promote myosteatosis by influencing lipid metabolism. Mitochondrial dysfunction leads to impaired mitochondrial oxidative phosphorylation and decreased lipid oxidation, resulting in excessive lipid storage in the skeletal muscle. Cathepsin D may mediate the development of myosteatosis by instigating ectopic lipid accumulation. ASNSD1, asparagine synthetase domain containing 1; DAGs, differentially abundant genes; CRP, C-reactive protein; IL-6, interleukin-6; TNF-α, tumor necrosis factor α; FFA, free fatty acid. α-KG, α-ketoglutarate; ↓, decrease; ↑, increase. (Created with bioRender.com)

Hyperammonemia

Liver dysfunction impairs urea cycle activity, leading to systemic hyperammonemia, which may be a predisposing factor in the development of myosteatosis in cirrhosis. Research has shown that hyperammonemia can induce the transcriptional upregulation of myostatin, which subsequently suppresses muscle protein synthesis and promotes fat accumulation.88,89 Stretch et al. found that all 18 differentially abundant genes (DAGs) linked to oxidative phosphorylation were downregulated in the muscles of patients with myosteatosis, implying that oxidative phosphorylation is a canonical pathway.90 Increased uptake of ammonia by muscular tissue induces mitochondrial dysfunction through the cataplerosis of α-ketoglutarate, which further leads to impaired mitochondrial oxidative phosphorylation in addition to reduced muscular lipid oxidation.91

Insulin resistance (IR)

IR is a key mediator of the liver-muscle axis in myosteatosis, which is a common pathophysiological dysregulation in patients with MAFLD or cirrhotic patients.92 Additionally, it is hypothesized that IR in the context of cirrhosis is associated with a reduction in peripheral (muscle) glucose uptake, rather than an increase in liver glucose production.93 Fat load in the muscle and hepatocyte cells is closely linked to IR in lean, obese, and diabetic individuals. IR leads to compensatory hyperinsulinemia, which impairs the suppression of gluconeogenesis, decreases glycogen synthesis, increases the uptake of free fatty acids and lipogenesis, alters the transport of triglycerides, and inhibits beta-oxidation in steatotic hepatocytes.94 Taken together, myosteatosis is associated with excessive circulating fatty acids and IR.

Chronic inflammation

Chronic liver disease triggers persistent hepatic inflammation, characterized by the activation of Kupffer cells and the release of proinflammatory cytokines. These cytokines, including C-reactive protein (CRP), interleukin-6, and tumor necrosis factor-α, enter the systemic circulation and target skeletal muscle, where they disrupt lipid metabolism and promote the accumulation of fat. High levels of interleukin-6 and CRP positively correlate with the magnitude of fat mass accumulation.95 Kim et al. also revealed a significant correlation between myosteatosis indices and CRP levels, partially explaining the pathogenesis of inflammation-dictated myosteatosis.58 In addition to their direct impact on insulin signaling, cytokines modulate the secretion of myokines from skeletal muscle. A consequent dysregulation of these myokines can exacerbate conditions of muscle wasting and metabolic dysfunction.96

Other underlying mechanisms in liver diseases

Shared pathogenic factors that can underlie the development of both chronic liver disease and myosteatosis are enumerated in the following section.

Mitochondrial dysfunction and energy metabolism

Mitochondrial dysfunction may lead to reduced oxidation of fatty acids, resulting in excessive lipid storage in the muscle cells. In a rat model of rotator cuff injury, Gumucio and colleagues observed a decline in the ability of mitochondria to oxidize lipids during the early process.97 Meanwhile, transcriptional changes were evident, including an increase in lipid droplet storage with a decrease in fatty acid uptake and mobilization from lipid droplet stores. In patients with myosteatosis, transcriptomic analysis revealed a lower expression of DAGs linked to oxidative phosphorylation in the muscles (i.e., Ndufa3 and ATP5G1).90 Mitoquinone Q, as a mitochondria-targeting antioxidant, was also verified to enhance the utilization of accumulated lipids and reduce the magnitude of myosteatosis in mice bearing C26 tumors.98 Retinoic acid receptor-related orphan receptor-αwas found to enhance mitochondrial oxidative capacity by controlling the expression of GABPα and TFAM, thus reducing muscular lipid accumulation.99 Wu et al. demonstrated that adenosine monophosphate-activated protein kinase (a promoter of mitochondrial health) regulated lipid accumulation in skeletal muscle cells via fat mass and obesity-associated protein expression, which is responsible for the demethylation of N6-methyladenosine in experimental models of C2C12 cells and mice.100 Therefore, adenosine monophosphate-activated protein kinase could regulate the energy state of skeletal muscle cells by facilitating mitochondrial biogenesis.

Collectively, current evidence suggests that decreased lipid oxidation and impaired mitochondrial oxidative phosphorylation in skeletal muscle significantly contribute to the development of myosteatosis. These findings suggest that targeting mitochondrial dysfunction may represent a promising therapeutic strategy; however, further research is needed to fully elucidate the multifactorial etiology.

CTSD levels

CTSD, a lysosomal aspartyl endopeptidase, is present in nearly all cell types and organ systems, where it plays critical roles in metabolic functions.101 CTSD correlates with impaired lipid metabolism, disease severity, and higher levels of inflammation in MAFLD, and Ding et al. found a positive correlation between plasma CTSD levels and myosteatosis.52 Furthermore, this connection was independent of BMI, age, sex, hepatic steatosis, and waist circumference. The authors proposed that CTSD, as a mediator instigating ectopic fat accumulation, promotes the onset and development of myosteatosis. Notably, Yadati and colleagues demonstrated that extracellular CTSD inhibition in mouse models promoted the activation of several lipid metabolic pathways (linoleic acid metabolism, steroid hormone biosynthesis, and fatty acid synthesis/elongation), partially responsible for a modest attenuation of systemic inflammation.102 The protein encoded by the CTSD gene is involved in processes such as protein turnover and proteolytic activation of hormones and growth factors. Mutations in the CTSD gene may disrupt these normal physiological processes, impair muscle metabolism, and thereby contribute to the development and progression of myosteatosis. Further research is needed to precisely identify the genetic components that may underlie the observed correlation between CTSD and myosteatosis. Collectively, the precise molecular mechanisms through which CTSD induces or exacerbates myosteatosis require further elucidation.

Nutritional status

Intriguingly, both nutrient overload and nutritional deficiencies can lead to myosteatosis. Previous studies demonstrate that excessive fat and calorie intake contribute to myosteatosis, as evidenced by animal models of myosteatosis that primarily employ diet-induced obesity paradigms.103 Plin2, a lipid droplet protein repressing lipolysis, has been regarded as a causative factor of steatosis in the muscle and liver. A study showed that the E3 ubiquitin ligase Ubr1 targeted Plin2 for degradation in a specific amino acid-dependent manner. Specifically, Ubr1 is allosterically activated by binding to type 1 (arginine, histidine, and lysine) or type 2 (leucine, isoleucine, phenylalanine, tryptophan, and tyrosine) free amino acids via its UBR-box-1 and UBR-box-2 domains, respectively. In the absence of these amino acids, Ubr1 remains auto-inhibited, leading to the failure of Ubr1-mediated Plin2 ubiquitination and degradation, which ultimately promotes the accumulation of lipid droplets and the onset of steatosis.104 Another study indicated that leucine can reduce intramyocellular lipid independent of the rapamycin complex 1 to upregulate gene expression associated with fatty acid metabolism in palmitate-treated C2C12 myotubes.105 Muscle cell lipid infiltration has also been proven to correlate with reduced protein synthesis.106

Function of genes and proteins

Age-related changes in skeletal muscle include pathological fat accumulation. Through integrative analysis of single-nucleus transcriptomic data from aged human skeletal muscle and Laiwu pigs exhibiting elevated intramuscular adiposity, Wang and colleagues identified both conserved and species-specific cellular subpopulations linked to myosteatosis pathogenesis. Their findings demonstrated significant upregulation of established senescence markers (VIM and AGT) in elderly human muscle tissue, paralleled by enhanced expression of key adipogenic regulators, including ADIPOQ, FABP4, PPARG, CPT1A, and SCD.107 The protein asparagine synthetase domain-containing 1 (hereinafter referred to as ASNSD1), which is structurally conserved across many species, exhibits maximum expression in skeletal muscle in humans, according to whole-body gene expression studies. One study found that ASNSD1−/− mice develop a progressively degenerative myopathy responsible for severe myosteatosis.108 Furthermore, five DAGs impacting lipid metabolism (ADIPOR2, APOL1, APOL2, APOO, and PON3), which may contribute to lipid accumulation, were identified in myosteatosis but not, or to a much lesser extent, compared with sarcopenia.90

Prevention and treatment of myosteatosis

Currently, there is no consensus or guideline on the treatment options for myosteatosis in patients with liver diseases, a gap attributed to the lack of evidence, as well as a lack of solid data based on randomized controlled trials. The following are potential treatments and management strategies aimed at improving myosteatosis (Supplementary Table 2).

Nutritional intervention

Excessive fat and calorie intake have been reported to augment myosteatosis.103 In NASH, one suitable treatment option is energy restriction, commonly achieved through a low-carbohydrate diet, low-fat, and low-calorie intake.109 However, a dilemma exists, as caloric restriction-related weight loss in overweight/obese patients may result in concurrent loss of fat mass (75%) and skeletal muscle mass (25%). Therefore, energy intake should be adjusted according to the patient’s BMI and corrected for fluid overload (edema/ascites).

Nutritional intervention serves as the foundation for managing myosteatosis, with tailored strategies based on the stage of the disease. For high-risk populations, the core goal of nutritional intervention is to maintain skeletal muscle metabolic homeostasis, thereby preventing the initiation of intramuscular fat accumulation. Specifically, the general high-risk population can adhere to a high-quality protein intake of 1.2–1.5 g per kilogram of ideal body weight per day, which provides essential amino acids to support muscle protein synthesis and preserve muscle mass.110 Meanwhile, dietary patterns should prioritize balanced meals characterized by low saturated fat and high dietary fiber.

For patients with established myosteatosis, nutritional strategies should focus on halting disease progression and restoring muscle lipid balance. Implementing a “small, frequent meal” pattern, along with a late-evening protein-rich snack, has been shown to decrease lipid oxidation and improve nitrogen balance and skeletal muscle mass.111 Accumulating evidence suggests that supplementation with specific amino acid subsets, including essential basic amino acids (arginine, histidine, and lysine) and hydrophobic amino acids (leucine, isoleucine, phenylalanine, tryptophan, and tyrosine), may be beneficial in reversing myosteatosis, particularly among patients deficient in protein.104 Notably, recent clinical research has further indicated that polyunsaturated fatty acids exert a protective effect against myosteatosis.112,113

Exercise prescription

While exercise therapy has been proven to bring beneficial effects on myosteatosis in the elderly and obese,114 its specific mechanisms of action regarding intramuscular lipid redistribution require further in-depth investigation. Current evidence suggests that exercise therapy, when combined with proper nutrition management, may be beneficial in preventing or slowing the progression of myosteatosis. Hoek et al. showed that exercise and dietary change can reverse evident NASH/fibrosis in obese Ldlr−/− mice. Leiden mice improved myosteatosis and muscle function with additional effects following joint treatments.115 While these findings provide mechanistic insights, their direct applicability to clinical practice requires further validation through human studies. The effectiveness of exercise prescription has been analyzed in several recent reviews and meta-analyses that aim to deliver healthcare and counseling.116,117 As a result, these physical approaches can serve as recommendations to relieve myosteatosis.

For high-risk populations, the primary goal of exercise intervention is to establish foundational exercise habits that preserve skeletal muscle function and metabolic homeostasis, thereby preventing the onset of myosteatosis. This stage focuses on initiating a combined regimen of aerobic and resistance exercises, modalities that synergistically maintain muscle mass and enhance lipid oxidation. As individuals transition to a confirmed diagnosis of myosteatosis, exercise progression should follow a gradual, individualized escalation principle, one that aligns with both personal physical capacity and disease-specific characteristics.

Pharmacological therapy

Given the pathogenic contribution of hyperammonemia to myosteatosis, researchers have shown increasing interest in nutritional and pharmacological interventions that modify ammonia metabolism. Pichon et al. already found that long-term supplementation with L-ornithine L-aspartate can efficiently prevent myosteatosis in mice.118 AdipoRon is an adiponectin receptor agonist that potently protects against myosteatosis due to aging or calorie excess in mice.103 These findings provide a proof-of-concept for both AdipoRon and L-ornithine L-aspartate’s potential in preventing myosteatosis. However, further investigation, particularly through human clinical trials, is indispensable for establishing broader clinical applicability.

Considerations for future clinical trials

Currently, some pioneers have conducted several clinical trials on the treatment of myosteatosis in the field of oncology. For instance, Pring et al. conducted a double-blind, randomized controlled trial investigating whether neuromuscular electrical stimulation can prevent myosteatosis, as determined by a CT scan.119 Another research group carried out a single-blind randomized controlled study evaluating the combined effect of vibration treatment and dietary supplements on myosteatosis among patients with concomitant sarcopenia. These clinical trials have provided clues, prompting subsequent investigations in the context of liver diseases.120 Additionally, we suggest that the measurement of myosteatosis should be CT-dictated and apply gender-specific cut-offs, since BMI-specific cut-offs may be curtailed by fluid retention.

Conclusions

The true prevalence and clinical significance of this distinct skeletal muscle abnormality remain unclear due to inconsistent assessment modalities and a lack of standardized definitions alongside diagnostic criteria across published studies. In the case of MAFLD, the onset of myosteatosis appears to be associated with dysregulated metabolic conditions and histological alterations. Myosteatosis accounts for additional negative impacts on morbidity and mortality in patients experiencing decompensated cirrhosis. In the context of LT, myosteatosis is linked to poor survival and adverse outcomes. Myosteatosis may also serve as an independent risk factor for the recurrence of HCC.

The underlying mechanisms of myosteatosis are multifaceted and complicated in the context of liver diseases, including but not limited to mitochondrial dysfunction, IR, and permanent inflammatory responses. Additionally, the development of various body composition abnormalities may be partly explained by an interplay between the muscle-liver tissue axis. Currently, all available therapies for myosteatosis, including exercise prescription, pharmacotherapy, and nutritional intervention, primarily aim to replace deficiencies rather than targeting mechanistic pathways. In light of concurrent myosteatosis and liver diseases, the identification of potential therapeutic strategies is of utmost importance due to those unmet clinical needs.

Supporting information

Supplementary Table 1

Critical comparison of myosteatosis assessment modalities.

(DOCX)

Supplementary Table 2

Myosteatosis interventions in liver disease.

(DOCX)

Declarations

Acknowledgement

We acknowledge the use of BioRender.com for creating the Graphical Abstract/Figure 2 in this manuscript.

Funding

None to declare.

Conflict of interest

CS has been an Editorial Board Member of the Journal of Clinical and Translational Hepatology since 2020. The other authors have no conflicts of interest related to this publication.

Authors’ contributions

Review’s concept and design (JY, CS), literature search and synthesis of the evidence (JY). All authors were involved in the writing and revision of the manuscript. All authors have read and approved the final manuscript.

References

  1. Baracos VE, Arribas L. Sarcopenic obesity: hidden muscle wasting and its impact for survival and complications of cancer therapy. Ann Oncol 2018;29(suppl_2):ii1-ii9 View Article PubMed/NCBI
  2. Nishikawa H, Kim SK, Asai A. Body Composition in Chronic Liver Disease. Int J Mol Sci 2024;25(2):964 View Article PubMed/NCBI
  3. Liu Q, Liu J, Sun C. Clinical Significance and Therapeutic Approach Concerning Various Abdominal Adipose Tissue Irregularities in End-Stage Liver Disease. Obes Rev 2025;26(10):e13955 View Article PubMed/NCBI
  4. Hui Y, Cui B, Wang X, Sun M, Li Y, Yang W, et al. Sarcopenic obesity in liver disease: Handling both sides of the penny. Portal Hypertens Cirrhosis 2022;1(1):42-56 View Article
  5. Ebadi M, Bhanji RA, Tandon P, Mazurak V, Baracos VE, Montano-Loza AJ. Review article: prognostic significance of body composition abnormalities in patients with cirrhosis. Aliment Pharmacol Ther 2020;52(4):600-618 View Article PubMed/NCBI
  6. Damluji AA, Alfaraidhy M, AlHajri N, Rohant NN, Kumar M, Al Malouf C, et al. Sarcopenia and Cardiovascular Diseases. Circulation 2023;147(20):1534-1553 View Article PubMed/NCBI
  7. Ebadi M, Tsien C, Bhanji RA, Dunichand-Hoedl AR, Rider E, Motamedrad M, et al. Myosteatosis in Cirrhosis: A Review of Diagnosis, Pathophysiological Mechanisms and Potential Interventions. Cells 2022;11(7):1216 View Article PubMed/NCBI
  8. Feng H, Wang X, Mao L, Yu Z, Cui B, Lin L, et al. Relationship between sarcopenia/myosteatosis and frailty in hospitalized patients with cirrhosis: a sex-stratified analysis. Ther Adv Chronic Dis 2021;12:20406223211026996 View Article PubMed/NCBI
  9. Bhanji RA, Moctezuma-Velazquez C, Duarte-Rojo A, Ebadi M, Ghosh S, Rose C, et al. Myosteatosis and sarcopenia are associated with hepatic encephalopathy in patients with cirrhosis. Hepatol Int 2018;12(4):377-386 View Article PubMed/NCBI
  10. Montano-Loza AJ, Angulo P, Meza-Junco J, Prado CM, Sawyer MB, Beaumont C, et al. Sarcopenic obesity and myosteatosis are associated with higher mortality in patients with cirrhosis. J Cachexia Sarcopenia Muscle 2016;7(2):126-135 View Article PubMed/NCBI
  11. Ahn H, Kim DW, Ko Y, Ha J, Shin YB, Lee J, et al. Updated systematic review and meta-analysis on diagnostic issues and the prognostic impact of myosteatosis: A new paradigm beyond sarcopenia. Ageing Res Rev 2021;70:101398 View Article PubMed/NCBI
  12. Nachit M, Horsmans Y, Summers RM, Leclercq IA, Pickhardt PJ. AI-based CT Body Composition Identifies Myosteatosis as Key Mortality Predictor in Asymptomatic Adults. Radiology 2023;307(5):e222008 View Article PubMed/NCBI
  13. Cruz-Jentoft AJ, Bahat G, Bauer J, Boirie Y, Bruyère O, Cederholm T, et al. Sarcopenia: revised European consensus on definition and diagnosis. Age Ageing 2019;48(1):16-31 View Article PubMed/NCBI
  14. Bodine SC. Edward F. Adolph Distinguished Lecture. Skeletal muscle atrophy: Multiple pathways leading to a common outcome. J Appl Physiol (1985) 2020;129(2):272-282 View Article PubMed/NCBI
  15. Eslam M, George J. Two years on, a perspective on MAFLD. eGastroenterology 2023;1(2):e100019 View Article PubMed/NCBI
  16. Rinella ME, Lazarus JV, Ratziu V, Francque SM, Sanyal AJ, Kanwal F, et al. A multisociety Delphi consensus statement on new fatty liver disease nomenclature. J Hepatol 2023;79(6):1542-1556 View Article PubMed/NCBI
  17. Wang L, Valencak TG, Shan T. Fat infiltration in skeletal muscle: Influential triggers and regulatory mechanism. iScience 2024;27(3):109221 View Article PubMed/NCBI
  18. Correa-de-Araujo R, Addison O, Miljkovic I, Goodpaster BH, Bergman BC, Clark RV, et al. Myosteatosis in the Context of Skeletal Muscle Function Deficit: An Interdisciplinary Workshop at the National Institute on Aging. Front Physiol 2020;11:963 View Article PubMed/NCBI
  19. Altajar S, Baffy G. Skeletal Muscle Dysfunction in the Development and Progression of Nonalcoholic Fatty Liver Disease. J Clin Transl Hepatol 2020;8(4):414-423 View Article PubMed/NCBI
  20. Hausman GJ, Basu U, Du M, Fernyhough-Culver M, Dodson MV. Intermuscular and intramuscular adipose tissues: Bad vs. good adipose tissues. Adipocyte 2014;3(4):242-255 View Article PubMed/NCBI
  21. Harris-Love MO, Avila NA, Adams B, Zhou J, Seamon B, Ismail C, et al. The Comparative Associations of Ultrasound and Computed Tomography Estimates of Muscle Quality with Physical Performance and Metabolic Parameters in Older Men. J Clin Med 2018;7(10):340 View Article PubMed/NCBI
  22. European Association for the Study of the Liver. EASL Clinical Practice Guidelines on nutrition in chronic liver disease. J Hepatol 2019;70(1):172-193 View Article PubMed/NCBI
  23. Mourtzakis M, Prado CM, Lieffers JR, Reiman T, McCargar LJ, Baracos VE. A practical and precise approach to quantification of body composition in cancer patients using computed tomography images acquired during routine care. Appl Physiol Nutr Metab 2008;33(5):997-1006 View Article PubMed/NCBI
  24. Rollins KE, Gopinath A, Awwad A, Macdonald IA, Lobo DN. Computed tomography-based psoas skeletal muscle area and radiodensity are poor sentinels for whole L3 skeletal muscle values. Clin Nutr 2020;39(7):2227-2232 View Article PubMed/NCBI
  25. Czigany Z, Kramp W, Bednarsch J, van der Kroft G, Boecker J, Strnad P, et al. Myosteatosis to predict inferior perioperative outcome in patients undergoing orthotopic liver transplantation. Am J Transplant 2020;20(2):493-503 View Article PubMed/NCBI
  26. Ebadi M, Wang CW, Lai JC, Dasarathy S, Kappus MR, Dunn MA, et al. Poor performance of psoas muscle index for identification of patients with higher waitlist mortality risk in cirrhosis. J Cachexia Sarcopenia Muscle 2018;9(6):1053-1062 View Article PubMed/NCBI
  27. Meister FA, Bednarsch J, Amygdalos I, Boecker J, Strnad P, Bruners P, et al. Various myosteatosis selection criteria and their value in the assessment of short- and long-term outcomes following liver transplantation. Sci Rep 2021;11(1):13368 View Article PubMed/NCBI
  28. Ebadi M, Montano-Loza AJ. Clinical relevance of skeletal muscle abnormalities in patients with cirrhosis. Dig Liver Dis 2019;51(11):1493-1499 View Article PubMed/NCBI
  29. Geladari E, Alexopoulos T, Kontogianni MD, Vasilieva L, Mani I, Tenta R, et al. The Presence of Myosteatosis Is Associated with Age, Severity of Liver Disease and Poor Outcome and May Represent a Prodromal Phase of Sarcopenia in Patients with Liver Cirrhosis. J Clin Med 2023;12(9):3332 View Article PubMed/NCBI
  30. Ebadi M, Tsien C, Bhanji RA, Dunichand-Hoedl AR, Rider E, Motamedrad M, et al. Skeletal Muscle Pathological Fat Infiltration (Myosteatosis) Is Associated with Higher Mortality in Patients with Cirrhosis. Cells 2022;11(8):1345 View Article PubMed/NCBI
  31. Lattanzi B, Nardelli S, Pigliacelli A, Di Cola S, Farcomeni A, D’Ambrosio D, et al. The additive value of sarcopenia, myosteatosis and hepatic encephalopathy in the predictivity of model for end-stage liver disease. Dig Liver Dis 2019;51(11):1508-1512 View Article PubMed/NCBI
  32. Bhanji RA, Narayanan P, Moynagh MR, Takahashi N, Angirekula M, Kennedy CC, et al. Differing Impact of Sarcopenia and Frailty in Nonalcoholic Steatohepatitis and Alcoholic Liver Disease. Liver Transpl 2019;25(1):14-24 View Article PubMed/NCBI
  33. Sano A, Tsuge S, Kakazu E, Iwata T, Ninomiya M, Tsuruoka M, et al. Plasma free amino acids are associated with sarcopenia in the course of hepatocellular carcinoma recurrence. Nutrition 2021;84:111007 View Article PubMed/NCBI
  34. Bannangkoon K, Hongsakul K, Tubtawee T, Ina N, Chichareon P. Association of myosteatosis with treatment response and survival in patients with hepatocellular carcinoma undergoing chemoembolization: a retrospective cohort study. Sci Rep 2023;13(1):3978 View Article PubMed/NCBI
  35. Zeng X, Shi ZW, Yu JJ, Wang LF, Sun CY, Luo YY, et al. Skeletal muscle alterations indicate poor prognosis in cirrhotic patients: a multicenter cohort study in China. Hepatol Int 2024;18(2):673-687 View Article PubMed/NCBI
  36. Hamaguchi Y, Kaido T, Okumura S, Kobayashi A, Shirai H, Yao S, et al. Proposal for new selection criteria considering pre-transplant muscularity and visceral adiposity in living donor liver transplantation. J Cachexia Sarcopenia Muscle 2018;9(2):246-254 View Article PubMed/NCBI
  37. Wang X, Sun M, Li Y, Guo G, Yang W, Mao L, et al. Association of myosteatosis with various body composition abnormalities and longer length of hospitalization in patients with decompensated cirrhosis. Front Nutr 2022;9:921181 View Article PubMed/NCBI
  38. Hou L, Deng Y, Fan X, Zhao T, Cui B, Lin L, et al. A Sex-Stratified Prognostic Nomogram Incorporating Body Compositions for Long-Term Mortality in Cirrhosis. JPEN J Parenter Enteral Nutr 2021;45(2):403-413 View Article PubMed/NCBI
  39. Kim HK, Bae SJ, Lee MJ, Kim EH, Park H, Kim HS, et al. Association of Visceral Fat Obesity, Sarcopenia, and Myosteatosis with Non-Alcoholic Fatty Liver Disease without Obesity. Clin Mol Hepatol 2023;29(4):987-1001 View Article PubMed/NCBI
  40. Masetti C, Pugliese N, Lofino L, Colapietro F, Ceriani R, Lleo A, et al. Myosteatosis Is Not Associated with Complications or Survival in HCC Patients Undergoing Trans Arterial Embolization. J Clin Med 2022;12(1):262 View Article PubMed/NCBI
  41. Kaibori M, Ishizaki M, Iida H, Matsui K, Sakaguchi T, Inoue K, et al. Effect of Intramuscular Adipose Tissue Content on Prognosis in Patients Undergoing Hepatocellular Carcinoma Resection. J Gastrointest Surg 2015;19(7):1315-1323 View Article PubMed/NCBI
  42. Horii N, Sawda Y, Kumamoto T, Tsuchiya N, Murakami T, Yabushita Y, et al. Impact of intramuscular adipose tissue content on short- and long-term outcomes of hepatectomy for colorectal liver metastasis: a retrospective analysis. World J Surg Oncol 2020;18(1):68 View Article PubMed/NCBI
  43. Nachit M, Kwanten WJ, Thissen JP, Op De Beeck B, Van Gaal L, Vonghia L, et al. Muscle fat content is strongly associated with NASH: A longitudinal study in patients with morbid obesity. J Hepatol 2021;75(2):292-301 View Article PubMed/NCBI
  44. Kalafateli M, Mantzoukis K, Choi Yau Y, Mohammad AO, Arora S, Rodrigues S, et al. Malnutrition and sarcopenia predict post-liver transplantation outcomes independently of the Model for End-stage Liver Disease score. J Cachexia Sarcopenia Muscle 2017;8(1):113-121 View Article PubMed/NCBI
  45. Henin G, Lanthier N, Dahlqvist G. Pathophysiological changes of the liver-muscle axis in end-stage liver disease: what is the right target?. Acta Gastroenterol Belg 2022;85(4):611-624 View Article PubMed/NCBI
  46. De Munck TJI, Verhaegh P, Lodewick T, Bakers F, Jonkers D, Masclee AAM, et al. Myosteatosis in nonalcoholic fatty liver disease: An exploratory study. Clin Res Hepatol Gastroenterol 2021;45(3):101500 View Article PubMed/NCBI
  47. Shenvi SD, Taber DJ, Hardie AD, Botstein JO, McGillicuddy JW. Assessment of magnetic resonance imaging derived fat fraction as a sensitive and reliable predictor of myosteatosis in liver transplant recipients. HPB (Oxford) 2020;22(1):102-108 View Article PubMed/NCBI
  48. Younossi ZM. Non-alcoholic fatty liver disease - A global public health perspective. J Hepatol 2019;70(3):531-544 View Article PubMed/NCBI
  49. Wen Y, Ma L, Ju C. Recent insights into the pathogenesis and therapeutic targets of chronic liver diseases. eGastroenterology 2023;1(2):e100020 View Article PubMed/NCBI
  50. Shah PA, Patil R, Harrison SA. NAFLD-related hepatocellular carcinoma: The growing challenge. Hepatology 2023;77(1):323-338 View Article PubMed/NCBI
  51. Linge J, Ekstedt M, Dahlqvist Leinhard O. Adverse muscle composition is linked to poor functional performance and metabolic comorbidities in NAFLD. JHEP Rep 2021;3(1):100197 View Article PubMed/NCBI
  52. Ding L, De Munck TJI, Oligschlaeger Y, Dos Reis IM, Verbeek J, Koek GH, et al. Myosteatosis in NAFLD patients correlates with plasma Cathepsin D. Biomol Concepts 2021;12(1):27-35 View Article PubMed/NCBI
  53. Cadenas-Sanchez C, Idoate F, Cabeza R, Villanueva A, Rodríguez-Vigil B, Medrano M, et al. Effect of a Multicomponent Intervention on Hepatic Steatosis Is Partially Mediated by the Reduction of Intermuscular Abdominal Adipose Tissue in Children With Overweight or Obesity: The EFIGRO Project. Diabetes Care 2022;45(9):1953-1960 View Article PubMed/NCBI
  54. Kitajima Y, Hyogo H, Sumida Y, Eguchi Y, Ono N, Kuwashiro T, et al. Severity of non-alcoholic steatohepatitis is associated with substitution of adipose tissue in skeletal muscle. J Gastroenterol Hepatol 2013;28(9):1507-1514 View Article PubMed/NCBI
  55. Hsieh YC, Joo SK, Koo BK, Lin HC, Lee DH, Chang MS, et al. Myosteatosis, but not Sarcopenia, Predisposes NAFLD Subjects to Early Steatohepatitis and Fibrosis Progression. Clin Gastroenterol Hepatol 2023;21(2):388-397.e10 View Article PubMed/NCBI
  56. Hsieh YC, Joo SK, Koo BK, Lin HC, Kim W. Muscle alterations are independently associated with significant fibrosis in patients with nonalcoholic fatty liver disease. Liver Int 2021;41(3):494-504 View Article PubMed/NCBI
  57. Nachit M, Lanthier N, Rodriguez J, Neyrinck AM, Cani PD, Bindels LB, et al. A dynamic association between myosteatosis and liver stiffness: Results from a prospective interventional study in obese patients. JHEP Rep 2021;3(4):100323 View Article PubMed/NCBI
  58. Kim HS, Lee J, Kim EH, Lee MJ, Bae IY, Lee WJ, et al. Association of Myosteatosis with Nonalcoholic Fatty Liver Disease, Severity, and Liver Fibrosis Using Visual Muscular Quality Map in Computed Tomography. Diabetes Metab J 2023;47(1):104-117 View Article PubMed/NCBI
  59. Nachit M, Dioguardi Burgio M, Abyzov A, Garteiser P, Paradis V, Vilgrain V, et al. Hepatocellular carcinoma in patients with non-alcoholic fatty liver disease is associated with heterogeneous pattern of fat infiltration in skeletal muscles. Eur Radiol 2024;34(3):1461-1470 View Article PubMed/NCBI
  60. Linge J, Nasr P, Sanyal AJ, Dahlqvist Leinhard O, Ekstedt M. Adverse muscle composition is a significant risk factor for all-cause mortality in NAFLD. JHEP Rep 2023;5(3):100663 View Article PubMed/NCBI
  61. Machado MV, Ferreira DM, Castro RE, Silvestre AR, Evangelista T, Coutinho J, et al. Liver and muscle in morbid obesity: the interplay of fatty liver and insulin resistance. PLoS One 2012;7(2):e31738 View Article PubMed/NCBI
  62. Odenwald MA, Paul S. Viral hepatitis: Past, present, and future. World J Gastroenterol 2022;28(14):1405-1429 View Article PubMed/NCBI
  63. Kruszon-Moran D, Paulose-Ram R, Martin CB, Barker LK, McQuillan G. Prevalence and Trends in Hepatitis B Virus Infection in the United States, 2015-2018. NCHS Data Brief 2020:1-8 PubMed/NCBI
  64. Endo K, Sato T, Suzuki A, Yoshida Y, Kakisaka K, Miyasaka A, et al. Sustained virologic response by direct-acting antivirals suppresses skeletal muscle loss in hepatitis C virus infection. J Gastroenterol Hepatol 2020;35(9):1602-1609 View Article PubMed/NCBI
  65. Han E, Lee YH, Kim BK, Park JY, Kim DY, Ahn SH, et al. Sarcopenia is associated with the risk of significant liver fibrosis in metabolically unhealthy subjects with chronic hepatitis B. Aliment Pharmacol Ther 2018;48(3):300-312 View Article PubMed/NCBI
  66. Ginès P, Krag A, Abraldes JG, Solà E, Fabrellas N, Kamath PS. Liver cirrhosis. Lancet 2021;398(10308):1359-1376 View Article PubMed/NCBI
  67. Yin L, Chu SL, Lv WF, Zhou CZ, Liu KC, Zhu YJ, et al. Contributory roles of sarcopenia and myosteatosis in development of overt hepatic encephalopathy and mortality after transjugular intrahepatic portosystemic shunt. World J Gastroenterol 2023;29(18):2875-2887 View Article PubMed/NCBI
  68. Di Cola S, Nardelli S, Ridola L, Gioia S, Riggio O, Merli M. Ammonia and the Muscle: An Emerging Point of View on Hepatic Encephalopathy. J Clin Med 2022;11(3):611 View Article PubMed/NCBI
  69. Bhanji RA, Takahashi N, Moynagh MR, Narayanan P, Angirekula M, Mara KC, et al. The evolution and impact of sarcopenia pre- and post-liver transplantation. Aliment Pharmacol Ther 2019;49(6):807-813 View Article PubMed/NCBI
  70. Molwitz I, Recklies F, Stark M, Horvatits T, Salamon J, Huber S, et al. Muscle quality determined by computed tomography predicts short-term and long-term survival after liver transplantation. Sci Rep 2023;13(1):7631 View Article PubMed/NCBI
  71. Czigany Z, Kramp W, Lurje I, Miller H, Bednarsch J, Lang SA, et al. The role of recipient myosteatosis in graft and patient survival after deceased donor liver transplantation. J Cachexia Sarcopenia Muscle 2021;12(2):358-367 View Article PubMed/NCBI
  72. Reichelt S, Pratschke J, Engelmann C, Neumann UP, Lurje G, Czigany Z. Body composition and the skeletal muscle compartment in liver transplantation: Turning challenges into opportunities. Am J Transplant 2022;22(8):1943-1957 View Article PubMed/NCBI
  73. Irwin NEA, Fabian J, Hari KR, Lorentz L, Mahomed A, Botha JF. Myosteatosis, the More Significant Predictor of Outcome: An Analysis of the Impact of Myosteatosis, Sarcopenia, and Sarcopenic Obesity on Liver Transplant Outcomes in Johannesburg, South Africa. Exp Clin Transplant 2021;19(9):948-955 View Article PubMed/NCBI
  74. Nachit M, Leclercq IA. Emerging awareness on the importance of skeletal muscle in liver diseases: time to dig deeper into mechanisms!. Clin Sci (Lond) 2019;133(3):465-481 View Article PubMed/NCBI
  75. Chen BB, Liang PC, Shih TT, Liu TH, Shen YC, Lu LC, et al. Sarcopenia and myosteatosis are associated with survival in patients receiving immunotherapy for advanced hepatocellular carcinoma. Eur Radiol 2023;33(1):512-522 View Article PubMed/NCBI
  76. Hamaguchi Y, Kaido T, Okumura S, Kobayashi A, Shirai H, Yao S, et al. Preoperative Visceral Adiposity and Muscularity Predict Poor Outcomes after Hepatectomy for Hepatocellular Carcinoma. Liver Cancer 2019;8(2):92-109 View Article PubMed/NCBI
  77. Meister FA, Lurje G, Verhoeven S, Wiltberger G, Heij L, Liu WJ, et al. The Role of Sarcopenia and Myosteatosis in Short- and Long-Term Outcomes Following Curative-Intent Surgery for Hepatocellular Carcinoma in a European Cohort. Cancers (Basel) 2022;14(3):720 View Article PubMed/NCBI
  78. Hamaguchi Y, Kaido T, Okumura S, Kobayashi A, Fujimoto Y, Ogawa K, et al. Muscle Steatosis is an Independent Predictor of Postoperative Complications in Patients with Hepatocellular Carcinoma. World J Surg 2016;40(8):1959-1968 View Article PubMed/NCBI
  79. Harimoto N, Hoshino H, Muranushi R, Hagiwara K, Yamanaka T, Ishii N, et al. Skeletal Muscle Volume and Intramuscular Adipose Tissue Are Prognostic Predictors of Postoperative Complications After Hepatic Resection. Anticancer Res 2018;38(8):4933-4939 View Article PubMed/NCBI
  80. Assis DN, Bowlus CL. Recent Advances in the Management of Primary Sclerosing Cholangitis. Clin Gastroenterol Hepatol 2023;21(8):2065-2075 View Article PubMed/NCBI
  81. Praktiknjo M, Zhou T, Krüsken M, Jacob T, Sprinkart AM, Nowak S, et al. Myosteatosis independently predicts transplant-free survival in patients with primary sclerosing cholangitis. Dig Liver Dis 2023;55(11):1543-1547 View Article PubMed/NCBI
  82. van Dijk DPJ, Zhao J, Kemter K, Baracos VE, Dejong CHC, Rensen SS, et al. Ectopic fat in liver and skeletal muscle is associated with shorter overall survival in patients with colorectal liver metastases. J Cachexia Sarcopenia Muscle 2021;12(4):983-992 View Article PubMed/NCBI
  83. Shiozawa T, Kikuchi Y, Wakabayashi T, Matsuo K, Takahashi Y, Tanaka K. Body composition as reflected by intramuscular adipose tissue content may influence short- and long-term outcome following 2-stage liver resection for colorectal liver metastases. Langenbecks Arch Surg 2020;405(6):757-766 View Article PubMed/NCBI
  84. Miljkovic I, Zmuda JM. Epidemiology of myosteatosis. Curr Opin Clin Nutr Metab Care 2010;13(3):260-264 View Article PubMed/NCBI
  85. Pietrangelo T, Puglielli C, Mancinelli R, Beccafico S, Fanò G, Fulle S. Molecular basis of the myogenic profile of aged human skeletal muscle satellite cells during differentiation. Exp Gerontol 2009;44(8):523-531 View Article PubMed/NCBI
  86. Brzeszczyńska J, Meyer A, McGregor R, Schilb A, Degen S, Tadini V, et al. Alterations in the in vitro and in vivo regulation of muscle regeneration in healthy ageing and the influence of sarcopenia. J Cachexia Sarcopenia Muscle 2018;9(1):93-105 View Article PubMed/NCBI
  87. Miljkovic I, Yerges LM, Li H, Gordon CL, Goodpaster BH, Kuller LH, et al. Association of the CPT1B gene with skeletal muscle fat infiltration in Afro-Caribbean men. Obesity (Silver Spring) 2009;17(7):1396-1401 View Article PubMed/NCBI
  88. Guo T, Jou W, Chanturiya T, Portas J, Gavrilova O, McPherron AC. Myostatin inhibition in muscle, but not adipose tissue, decreases fat mass and improves insulin sensitivity. PLoS One 2009;4(3):e4937 View Article PubMed/NCBI
  89. Qiu J, Thapaliya S, Runkana A, Yang Y, Tsien C, Mohan ML, et al. Hyperammonemia in cirrhosis induces transcriptional regulation of myostatin by an NF-κB-mediated mechanism. Proc Natl Acad Sci U S A 2013;110(45):18162-18167 View Article PubMed/NCBI
  90. Stretch C, Aubin JM, Mickiewicz B, Leugner D, Al-Manasra T, Tobola E, et al. Sarcopenia and myosteatosis are accompanied by distinct biological profiles in patients with pancreatic and periampullary adenocarcinomas. PLoS One 2018;13(5):e0196235 View Article PubMed/NCBI
  91. Davuluri G, Allawy A, Thapaliya S, Rennison JH, Singh D, Kumar A, et al. Hyperammonaemia-induced skeletal muscle mitochondrial dysfunction results in cataplerosis and oxidative stress. J Physiol 2016;594(24):7341-7360 View Article PubMed/NCBI
  92. Horn P, Tacke F. Key takeaways from the updated multidisciplinary European MASLD guidelines. eGastroenterology 2025;3(2):e100196 View Article PubMed/NCBI
  93. Clarembeau F, Bale G, Lanthier N. Cirrhosis and insulin resistance: current knowledge, pathophysiological mechanisms, complications and potential treatments. Clin Sci (Lond) 2020;134(16):2117-2135 View Article PubMed/NCBI
  94. Bhanji RA, Narayanan P, Allen AM, Malhi H, Watt KD. Sarcopenia in hiding: The risk and consequence of underestimating muscle dysfunction in nonalcoholic steatohepatitis. Hepatology 2017;66(6):2055-2065 View Article PubMed/NCBI
  95. Kob R, Bollheimer LC, Bertsch T, Fellner C, Djukic M, Sieber CC, et al. Sarcopenic obesity: molecular clues to a better understanding of its pathogenesis?. Biogerontology 2015;16(1):15-29 View Article PubMed/NCBI
  96. Isakov V. Metabolic dysfunction-associated steatotic liver disease: A story of muscle and mass. World J Gastroenterol 2025;31(20):105346 View Article PubMed/NCBI
  97. Gumucio JP, Qasawa AH, Ferrara PJ, Malik AN, Funai K, McDonagh B, et al. Reduced mitochondrial lipid oxidation leads to fat accumulation in myosteatosis. FASEB J 2019;33(7):7863-7881 View Article PubMed/NCBI
  98. Pin F, Huot JR, Bonetto A. The Mitochondria-Targeting Agent MitoQ Improves Muscle Atrophy, Weakness and Oxidative Metabolism in C26 Tumor-Bearing Mice. Front Cell Dev Biol 2022;10:861622 View Article PubMed/NCBI
  99. Kim HJ, Lee SH, Jeong C, Han YH, Lee MO. RORα-GABP-TFAM axis alleviates myosteatosis with fatty atrophy through reinforcement of mitochondrial capacity. J Cachexia Sarcopenia Muscle 2024;15(2):615-630 View Article PubMed/NCBI
  100. Wu W, Feng J, Jiang D, Zhou X, Jiang Q, Cai M, et al. AMPK regulates lipid accumulation in skeletal muscle cells through FTO-dependent demethylation of N(6)-methyladenosine. Sci Rep 2017;7:41606 View Article PubMed/NCBI
  101. Minarowska A, Gacko M, Karwowska A, Minarowski Ł. Human cathepsin D. Folia Histochem Cytobiol 2008;46(1):23-38 View Article PubMed/NCBI
  102. Yadati T, Houben T, Bitorina A, Oligschlaeger Y, Gijbels MJ, Mohren R, et al. Inhibition of Extracellular Cathepsin D Reduces Hepatic Lipid Accumulation and Leads to Mild Changes in Inflammationin NASH Mice. Front Immunol 2021;12:675535 View Article PubMed/NCBI
  103. Selvais CM, Davis-López de Carrizosa MA, Nachit M, Versele R, Dubuisson N, Noel L, et al. AdipoRon enhances healthspan in middle-aged obese mice: striking alleviation of myosteatosis and muscle degenerative markers. J Cachexia Sarcopenia Muscle 2023;14(1):464-478 View Article PubMed/NCBI
  104. Zhao W, Zhang Y, Lin S, Li Y, Zhu AJ, Shi H, et al. Identification of Ubr1 as an amino acid sensor of steatosis in liver and muscle. J Cachexia Sarcopenia Muscle 2023;14(3):1454-1467 View Article PubMed/NCBI
  105. Wu H, Dridi S, Huang Y, Baum JI. Leucine decreases intramyocellular lipid deposition in an mTORC1-independent manner in palmitate-treated C2C12 myotubes. Am J Physiol Endocrinol Metab 2020;318(2):E152-E163 View Article PubMed/NCBI
  106. Zambon Azevedo V, Silaghi CA, Maurel T, Silaghi H, Ratziu V, Pais R. Impact of Sarcopenia on the Severity of the Liver Damage in Patients With Non-alcoholic Fatty Liver Disease. Front Nutr 2021;8:774030 View Article PubMed/NCBI
  107. Wang L, Zhou Y, Wang Y, Shan T. Integrative cross-species analysis reveals conserved and unique signatures in fatty skeletal muscles. Sci Data 2024;11(1):290 View Article PubMed/NCBI
  108. Vogel P, Ding ZM, Read R, DaCosta CM, Hansard M, Small DL, et al. Progressive Degenerative Myopathy and Myosteatosis in ASNSD1-Deficient Mice. Vet Pathol 2020;57(5):723-735 View Article PubMed/NCBI
  109. Italian Association for the Study of the Liver (AISF). AISF position paper on nonalcoholic fatty liver disease (NAFLD): Updates and future directions. Dig Liver Dis 2017;49(5):471-483 View Article PubMed/NCBI
  110. Carbone JW, Pasiakos SM. Dietary Protein and Muscle Mass: Translating Science to Application and Health Benefit. Nutrients 2019;11(5):1136 View Article PubMed/NCBI
  111. Tsien CD, McCullough AJ, Dasarathy S. Late evening snack: exploiting a period of anabolic opportunity in cirrhosis. J Gastroenterol Hepatol 2012;27(3):430-441 View Article PubMed/NCBI
  112. Huang CW, Chien YS, Chen YJ, Ajuwon KM, Mersmann HM, Ding ST. Role of n-3 Polyunsaturated Fatty Acids in Ameliorating the Obesity-Induced Metabolic Syndrome in Animal Models and Humans. Int J Mol Sci 2016;17(10):1689 View Article PubMed/NCBI
  113. Brun A, Denis P, Rambeau M, Rigaudière JP, Jouve C, Mazurak V, et al. Polyunsaturated fatty acids prevent myosteatosis and lipotoxicity. J Nutr Biochem 2024;134:109722 View Article PubMed/NCBI
  114. Ramírez-Vélez R, Ezzatvar Y, Izquierdo M, García-Hermoso A. Effect of exercise on myosteatosis in adults: a systematic review and meta-analysis. J Appl Physiol (1985) 2021;130(1):245-255 View Article PubMed/NCBI
  115. van den Hoek AM, de Jong JCBC, Worms N, van Nieuwkoop A, Voskuilen M, Menke AL, et al. Diet and exercise reduce pre-existing NASH and fibrosis and have additional beneficial effects on the vasculature, adipose tissue and skeletal muscle via organ-crosstalk. Metabolism 2021;124:154873 View Article PubMed/NCBI
  116. Duarte-Rojo A, Ruiz-Margáin A, Montaño-Loza AJ, Macías-Rodríguez RU, Ferrando A, Kim WR. Exercise and physical activity for patients with end-stage liver disease: Improving functional status and sarcopenia while on the transplant waiting list. Liver Transpl 2018;24(1):122-139 View Article PubMed/NCBI
  117. Tandon P, Ismond KP, Riess K, Duarte-Rojo A, Al-Judaibi B, Dunn MA, et al. Exercise in cirrhosis: Translating evidence and experience to practice. J Hepatol 2018;69(5):1164-1177 View Article PubMed/NCBI
  118. Pichon C, Nachit M, Gillard J, Vande Velde G, Lanthier N, Leclercq IA. Impact of L-ornithine L-aspartate on non-alcoholic steatohepatitis-associated hyperammonemia and muscle alterations. Front Nutr 2022;9:1051157 View Article PubMed/NCBI
  119. Pring ET, Gould LE, Malietzis G, Lung P, Bharal M, Fadodun T, et al. BiCyCLE NMES-neuromuscular electrical stimulation in the perioperative treatment of sarcopenia and myosteatosis in advanced rectal cancer patients: design and methodology of a phase II randomised controlled trial. Trials 2021;22(1):621 View Article PubMed/NCBI
  120. Li MCM, Cheng YK, Cui C, Chow SKH, Wong RMY, Kwok TC, et al. Biophysical and nutritional combination treatment for myosteatosis in patients with sarcopenia: a study protocol for single-blinded randomised controlled trial. BMJ Open 2024;14(1):e074858 View Article PubMed/NCBI

About this Article

Cite this article
Yang J, Liu Q, Sun C. Quality and Quantity? The Clinical Significance of Myosteatosis in Various Liver Diseases: A Narrative Review. J Clin Transl Hepatol. Published online: Oct 28, 2025. doi: 10.14218/JCTH.2025.00383.
Copy        Export to RIS        Export to EndNote
Article History
Received Revised Accepted Published
July 30, 2025 October 3, 2025 October 13, 2025 October 28, 2025
DOI http://dx.doi.org/10.14218/JCTH.2025.00383
  • Journal of Clinical and Translational Hepatology
  • pISSN 2225-0719
  • eISSN 2310-8819
Back to Top

Quality and Quantity? The Clinical Significance of Myosteatosis in Various Liver Diseases: A Narrative Review

Jie Yang, Qing Liu, Chao Sun
  • Reset Zoom
  • Download TIFF