v
Search
Advanced

Publications > Journals > Journal of Exploratory Research in Pharmacology> Article Full Text

  • OPEN ACCESS

Ethanol Extracts of Justicia carnea Leaves Mitigate Pancreatic Oxidative Stress and Preserve Islet Glucagon Expression in TNBS-treated Mice

  • Mamerhi Taniyohwo Enaohwo1,
  • Osuvwe Clement Orororo2,* ,
  • Jennifer Efe Jaiyeoba-Ojigho1,
  • Chukwudi Cyril Dunkwu1,
  • Kingsley Chinedu Enyi2,
  • Joan Mode1 and
  • Othuke Bensandy Odeghe2
 Author information 

Abstract

Background and objectives

Chronic pancreatitis is an inflammatory disease and is difficult to manage despite advancements in medical science. This study examined the effect of water/ethanol extracts of Justicia carnea leaves on oxidative stress and glucagon expression in a mouse model of chronic pancreatitis induced by trinitrobenzenesulfonic acid (TNBS).

Methods

Twenty-five male Swiss albino mice were randomized and treated intrarectally with vehicle (the control group) or TNBS. Some TNBS-treated mice were treated orally with 200 mg/kg or 400 mg/kg J. carnea extracts, or with the positive control, 500 mg/kg sulfasalazine, every other day on three occasions. Oxidative stress markers and pancreatic glucagon expression were assessed.

Results

Compared with the healthy control mice, treatment with TNBS significantly decreased the levels of pancreatic glutathione (0.89 µmol/g tissue vs. 7.16 µmol/g tissue in the control) and glutathione peroxidase activity, but significantly increased the levels of α-amylase and lipase activities, lipid peroxidation, total antioxidant capacity, and nitric oxide, as well as serum C-reactive protein (P < 0.05 for all), accompanied by severe inflammation and reduced glucagon expression in the pancreatic tissues. The toxic effects of TNBS were significantly mitigated by treatment with J. carnea extracts.

Conclusions

These findings provide evidence that treatment with J. carnea extracts inhibited oxidative stress and preserved glucagon expression in the pancreatic tissues of mice.

Keywords

Pancreas, Glucagon, Trinitrobenzenesulfonic acid, TNBS, Justicia carnea, Inflammation

Introduction

Common gastrointestinal conditions like pancreatitis, which can arise during hospital and emergency room visits, result in significant morbidity, mortality, and higher medical bills. Its symptoms include bloating, nausea, and abdominal pain. Its pathology involves an inflammatory response triggered by multiple factors, including bleeding, edema, digestion, and even pancreatic tissue necrosis and systemic inflammation.1,2 Due to its function in controlling blood sugar, the pancreas is an essential organ in diabetes mellitus.3 Depending on the kind and stage of the disease, pancreatitis can have a substantial impact on the expression and secretion of glucagon (a peptide hormone produced by the alpha cells of the islets of Langerhans in the pancreas). Chronic pancreatitis can lead to dysregulation and reduced glucagon output because of islet cell destruction.4,5

Over six million instances of pancreatitis were reported globally in 2017.6 Patients’ lives and health are put in grave danger when acute pancreatitis (AP) advances to severe acute pancreatitis (hereinafter referred to as SAP).7 Certain treatments, like fluid resuscitation, pain management, and nutritional assistance, can postpone the onset of AP.8 The current treatment for AP is a phased, interdisciplinary, and gradual symptomatic approach, partly due to the absence of suitable targets for AP treatment. There are currently no specific medications for treating SAP or AP, despite recent advancements in AP treatment.9

A common chemical agent used in models intended to induce inflammation and ulcerative colitis is 2,4,6-trinitrobenzenesulfonic acid (TNBS).10 This chemical is useful in researching the complex pathways that lead to inflammation due to its ability to initiate immunological reactions and inflammatory processes.11 This enables the simulation and analysis of situations akin to those observed in inflammatory illnesses in humans.10,12,13 This experimental approach creates room to systematically examine the underlying mechanisms, find potential therapeutic targets, and create innovative treatments meant to lessen the detrimental effects of inflammatory diseases on human health.14,15

According to Fousekis et al.,16 ulcerative colitis and pancreatitis have similar immunologic characteristics, microbiologic alterations, genetic susceptibility, and clinical symptoms. According to some research, there is a connection between colitis and pancreatitis,16,17 and people with Crohn’s disease and ulcerative colitis are more likely to have these pancreatic conditions.18 Although TNBS is commonly applied to induce colitis, its biological actions extend beyond the intestine and trigger systemic oxidative stress, immune activation, and cytokine release, all of which contribute to pancreatic injury.

The pathophysiology of AP is significantly influenced by oxidative stress. Malondialdehyde (MDA), a consequence of lipid peroxidation, is produced in pancreatic tissue when reactive oxygen species (ROS) damage the lipids and proteins of cell membranes.19,20 One important pathophysiologic component that contributes to the development and course of inflammation is oxidative/nitrosative stress.21–24 Because inflammatory cells secrete a lot of cytokines and chemokines, inflammation causes an excess of ROS to be produced, which in turn triggers oxidative stress.25,26 From the foregoing, treatment approaches that include compounds with anti-inflammatory and antioxidant potentials are being explored.27–30 Değer et al.31 showed that glutamine had protective effects against colonic and pancreatic harm triggered by TNBS.

Kolgazi et al.32 concluded that α-lipoic acid has benefits in TNBS-induced gut inflammation in animals by suppressing the accumulation of neutrophils, preserving endogenous glutathione (GSH), and inhibiting the generation of reactive oxidants. Polat et al.33 examined the influence of hesperetin on inflammatory and oxidative status in an experimental colitis model induced by TNBS. Hesperetin administration significantly decreased levels of proinflammatory agents (TNF, IL-6, and NF) and lipid peroxidation (MPO, MDA).

According to Orororo et al.34 and Ekakitie et al.,35 medicinal plants have proven advantageous qualities that make them less hazardous and less expensive when used to treat conditions triggered by oxidative damage. Natural products provide a sustainable source with considerable efficacy to treat and overcome several disorders and fatal diseases, including cancer.36Justicia carnea, a flowering plant in the Acanthaceae family, is one of these plants that researchers have recently focused on.37J. carnea, called Pink jacobinia, and known by its native Yoruba and Igbo names, “Ewe eje” and “Ogwuobara,” which means “blood tonic,” is a perennial shrub grown extensively in subtropical and tropical regions.38Justicia species are deployed in treating different illnesses, including gastrointestinal issues, arthritis, diabetes, cancer, anemia, and inflammation.39,40 The histological lesions on the pancreas, liver, and kidney of streptozotocin-induced diabetic rats were lessened by J. carnea methanol leaf extract.41 Additionally, the plant has been reported to have hepato-protective, lipid-lowering, antiviral, hypocholesterolemic, antidiabetic, antioxidant, and cardioprotective qualities.11,22,37,38,42–44 Active phytochemicals (phenols, flavonoids, alkaloids, etc.), essential micronutrients, and minerals (selenium, folic acid, iron, zinc, and copper) are associated with the health benefits of J. carnea leaves.45,46

With few effective treatment choices, pancreatitis is still a difficult condition to manage despite advancements in medical science. Most of the existing treatments concentrate on supportive care and symptom management, which emphasizes the need for new therapeutic agents that can influence the underlying inflammatory processes and encourage tissue healing. Examining J. carnea’s effects on TNBS-induced pancreatitis could reveal important information about its potential for use in treating pancreatitis. For this reason, this study examined how ethanol extracts of J. carnea leaves mitigate pancreatic oxidative stress and preserve islet glucagon expression in TNBS-treated mice.

Materials and methods

Reagents

Standard reagents were employed in carrying out this study.

Plant identification and extract preparation

A natural farm in the rural area of Abraka, Delta State, provided this plant in its freshest state. Authentication was done by a licensed botanist in Delta State University’s Botany Department in Abraka with voucher number DELSU/BOT/272. Distilled water was used to wash the fresh leaves. At temperatures between 28 and 30 °C, they were then air-dried in the laboratory for a week.47 Thereafter, they were blended smoothly using a sterilized blender. Fifty (50) grams of the powder were extracted with 500 milliliters of 70% ethanol for three days while being shaken periodically. After filtration through filter paper, the mixture was further concentrated using a water bath at 40 °C. Following that, the extracts were stored at 4 °C in the refrigerator until further use.48

Animal grouping and treatment

Twenty-five male mice were used in this investigation. The mice had an average weight of 22 ± 2.5 grams. The mice were given standard mice feed and unlimited access to clean water as they acclimated for seven days. Animals were handled according to the Institutional Animal Ethics Committee guidelines, and the experimental protocol was approved by the Research and Ethics Committee of the Faculty of Basic Medical Science, Delta State University, Abraka (RBC/FBMC/DELSU/24/444).

The mice were randomized into the following groups:

  • Group 1 - Control (given normal saline orally);

  • Group 2 - TNBS only (intrarectally);

  • Group 3 - TNBS + 200 mg/kg of J. carnea extract orally;

  • Group 4 - TNBS + 400 mg/kg of J. carnea extract orally;

  • Group 5 - TNBS + 500 mg/kg of sulfasalazine orally.

Initiation of inflammation and treatments

Some mice were administered intrarectally with TNBS (150mg/kg body weight) for 72 h to induce inflammation, as described by Tanideh et al.49

This dose had been demonstrated to reliably deplete endogenous antioxidants (GSH, superoxide dismutase (SOD), catalase (CAT)) and elevate lipid peroxidation (MDA) while stimulating pro-inflammatory cytokines such as TNF-α, IL-1β, and IL-6, thereby creating a reproducible inflammatory environment for evaluating therapeutic interventions.22,50 The mice in the therapeutic groups were treated orally with the specific dose of J. carnea extracts or sulfasalazine every other day for three doses.

Animal sacrifice

After one week of treatment, the mice were sacrificed, and blood samples were collected. After standing at room temperature for ten minutes, the blood samples were centrifuged at 1,200 g, and their serum samples were used for biochemical assays. The pancreatic tissues were dissected; some were homogenized in 0.2 mL of phosphate buffer at a pH of 7.4. The remaining pancreatic tissues were fixed in 10% formalin overnight for histological and immunohistochemical analyses.

Biochemical analysis

Measurement of pancreatic oxidative stress indices in tissue homogenate

A thiobarbituric acid reactive substance assessment was used to measure the amount of MDA.51 Thiobarbituric acid and MDA, a marker of lipid peroxidation, combined to generate the pink MDA-thiobarbituric acid adduct, which was detected at 532 nm.

The compound 5,5′-dithiobis-2-nitrobenzoic acid (hereinafter referred to as DTNB) was the reagent utilized in a spectrophotometric examination to assess reduced glutathione (GSH levels.52 In the experiment, GSH reacted with DTNB to yield 5-thio-2-nitrobenzoic acid, a yellow substance that was detected at 412 nm.

Cumene hydroperoxide was employed in a spectrophotometric technique to measure glutathione peroxidase (GPx) activity.53

The Misra and Fridovich method was used to measure the activity of SOD.54 The superoxide anion (O2) is dismutated into hydrogen peroxide and oxygen by SOD. In the test, superoxide radicals produced reacted with a chromogenic substance, and the ability of SOD to inhibit this reaction was quantified at 560 nm.

Using hydrogen peroxide as a substrate, a spectrophotometric technique was used to evaluate the activity of CAT.55 The CAT-containing samples were added to a reaction mixture previously prepared with phosphate buffer (pH 7.0) and H2O2. The absorbance at 240 nm was observed as it decreased over time.

2,2′-Azino-bis (3-ethylbenzothiazoline-6-sulfonic acid) (ABTS) was used in a spectrophotometric assay to evaluate total antioxidant capacity (TAC).56 The experiment assessed the sample’s total capacity to scavenge free radicals. ABTS and potassium persulfate were reacted to produce the ABTS•+ radical cation. The sample was then added to the reaction mixture, and the decline in absorbance at 734 nm was used to track the decrease of ABTS•+.

The Griess reaction was employed to measure nitric oxide (NO) levels.57 The Griess reagent measures nitrite, which is created when NO combines with oxygen. Nitrate reductase was used in the test to convert nitrate to nitrite, which was further reacted with Griess reagent. The resulting colored azo dye was detected at 540 nm.

Assay in serum

Measurement of C-reactive protein (CRP)

CRP levels were determined using a high-sensitivity enzyme-linked immunosorbent assay following the manufacturer’s protocol. Serum samples were diluted 1:3 and tested in duplicate in 96-well plates. The serum samples were probed with anti-CRP, and bound antibodies were detected with horseradish peroxidase–conjugated secondary antibody, followed by the addition of chromogenic substrate solution (tetramethylbenzidine). The absorbance was measured at 450 nm in a microplate reader. Serum CRP levels were calculated using the standard curve established with known concentrations of CRP.58

Lipase assay

Following the guidelines provided by Nurcan,59 lipase levels were ascertained spectrophotometrically. Triglycerides are hydrolyzed by lipase to produce glycerol and free fatty acids. The hydrolysis of p-nitrophenyl palmitate, which yields p-nitrophenol (pNP), is a typical spectrophotometric procedure. The yellow pNP product absorbs at 410 nm. P-nitrophenyl palmitate was dissolved in an appropriate solvent (e.g., isopropanol) to create a substrate solution. Additionally, bile salts and gum arabic were added to an assay solution (Tris-HCl buffer, pH 8.0) to emulsify the substrate. The enzyme sample was then introduced to the assay buffer’s substrate solution. The resultant mixture was incubated at 37 °C for 15 min. The release of pNP was determined by measuring the rise in absorbance at 410 nm.

Amylase assay

According to Xiao et al.,60 the spectrophotometric method was used to ascertain α-amylase activity by tracking variations in absorbance at specific wavelengths. The breakdown of starch into sugars, such as glucose and maltose, is catalyzed by amylase. The assay quantifies the increase in reducing sugars or the decrease in starch content. The iodine-starch assay was employed, in which iodine forms a blue complex with starch. Spectrophotometric measurement reveals a reduction in blue color when amylase breaks down starch. The enzyme sample was added to a reaction mixture prepared with soluble starch as the substrate and phosphate buffer (pH 6.9). Incubation was carried out for ten minutes at 37 °C. Iodine solution (iodine-potassium iodide), which combines with the remaining starch to generate a blue complex, was added to stop the reaction. The blue-starch-iodine complex’s absorbance was then measured at 660 nm. The amylase activity is directly correlated with the absorbance decrease.

Immunohistochemical staining

Antibodies against glucagon (ThermoFisher Scientific, Waltham, MA) at a dilution of 1:100 were used to stain pancreatic sections. After immunohistochemical staining, the slides were digitally imaged at 600× magnification using microimaging software (Cell Sens Entry, Olympus Corp., Center Valley, PA) and a digital camera attached to a microscope (DP25, Olympus Corp., Center Valley, PA). To ascertain the degree of immunoreactivity for the hormone, the images were digitally examined using image processing software.61

Data analysis

All collected data were presented as mean ± SD of triplicate measurements, and differences among groups were tested by ANOVA and post hoc Tukey’s test using GraphPad Prism (v7.0). A P-value <0.05 was considered statistically significant.

Results

J. carnea leaf extracts mitigate the effect of TNBS on oxidative stress in the pancreas of mice

The mitigating effect of J. carnea leaf extract on oxidative stress in the pancreas of mice exposed to TNBS is shown in Table 1.

Table 1

Justicia carnea leaf extracts mitigate the effect of TNBS on oxidative stress in the pancreas of mice

GroupsParameters of oxidative stress
MDAGSHGPxSODCATTACNO
1 - Control (normal saline)19.24 ± 3.2a7.16 ± 3.1a4.72 ± 1.9a0.72 ± 0.5a11.20 ± 0.8a0.07 ± 0.02a16.24 ± 2.8a
2–TNBS only (intrarectally)58.68 ± 6.8b0.89 ± 0.04b0.29 ± 0.05b2.62 ± 0.6b17.02 ± 0.9b0.03 ± 0.01b78.82 ± 1.64b
3 – TNBS + J. carnea extract (200 mg/kg)20.84 ± 3.6a9.24 ± 3.4c4.98 ± 0.88c0.87 ± 0.2a12.46 ± 0.8a0.08 ± 0.04a20.28 ± 3.0c
4- TNBS + J. carnea extract (400 mg/kg)21.48 ± 2.4a8.92 ± 4.1c3.71 ± 1.5d0.82 ± 0.2a12.02 ± 0.6a0.09 ± 0.02c18.90 ± 1.9a
5 - TNBS + sulfasalazine (500 mg/kg).21.50 ± 5.4a9.88 ± 4.8d3.69 ± 1.2d0.89 ± 0.3a12.28 ± 0.7a0.08 ± 0.04a19.92 ± 6.8a

MDA levels in Group 1 were 19.24, which was significantly (P <0.05) elevated to 58.68 in the group exposed to TNBS alone (Group 2). Treatment of TNBS-exposed mice with the two selected doses of the extract caused a significant reduction in MDA levels compared to the untreated group. This reduction brought MDA levels to a value not significantly different from the control. A similar trend was observed in TNBS-exposed animals treated with the standard drug, sulfasalazine.

There was a statistically significant decrease in GSH levels in Group 2 (TNBS alone) compared to the control group. TNBS-exposed animals treated with the extract (Groups 3 and 4) and those treated with the standard drug (Group 5) showed significantly higher GSH levels. However, no statistically significant difference was observed between TNBS-exposed animals treated with 200 mg of the extract (Group 3) and those treated with 400 mg of the extract (Group 4).

GPx activity in the pancreas of mice exposed to TNBS alone (Group 2) was 0.29, a significant (P < 0.05) decrease from that observed in the control animals (Group 1). When TNBS-exposed mice were treated with the extract (Groups 3 and 4) or the standard drug (Group 5), there was a significant increase in GPx activity to 4.98, 3.71, and 3.69, respectively. Animals treated with 200 mg of the extract (Group 3) had the highest GPx activity.

As shown in Table 1, SOD activity was not significantly changed in animals given normal saline alone (Group 1) and those given TNBS and subsequently treated with J. carnea extracts (Groups 3 and 4) or the standard drug (Group 5). However, administration of TNBS alone (Group 2) caused a significant (P < 0.05) increase in SOD activity compared to the control and all groups administered J. carnea extract.

J. carnea’s modulatory effect on CAT activity in the pancreas of mice administered TNBS is also depicted in Table 1. Group 2 displayed a statistically significant (P < 0.05) increase in CAT activity compared to Group 1 (Control), TNBS-exposed mice administered 200 mg of the extract (Group 3), those treated with 400 mg of the extract (Group 4), and those treated with the standard drug (Group 5).

TAC in the pancreas of mice was 0.07 in the control group, 0.03 in animals exposed to TNBS alone (Group 2), 0.08 in TNBS-exposed mice treated with 200 mg of the extract, 0.09 in TNBS-exposed mice treated with 400 mg of the extract, and 0.08 in TNBS-exposed mice treated with sulfasalazine. The results showed that exposure to TNBS caused a significant (P < 0.05) reduction in TAC levels, which was significantly ameliorated upon administration of the extract. Conversely, a statistically significant increase in NO levels was observed upon TNBS exposure (Group 2) compared to the control and all other experimental groups.

J. carnea’s modulatory effect on CRP levels in mice administered TNBS

J. carnea’s modulatory effect on CRP levels in mice administered TNBS is shown in Figure 1. A statistically significant increase in CRP levels was observed in mice exposed to TNBS alone (Group 2) compared to the control and TNBS-exposed mice subsequently treated with 200 mg and 400 mg of the extract (Groups 3 and 4) or the standard drug (Group 5). No statistically significant difference was observed between TNBS-exposed mice treated with 200 mg (Group 3) and 400 mg (Group 4) of the extract.

<italic>Justicia carnea</italic> leaf extracts mitigate TNBS-elevated CRP levels in the pancreatic tissues of mice.
Fig. 1  Justicia carnea leaf extracts mitigate TNBS-elevated CRP levels in the pancreatic tissues of mice.

Values are mean ± SD (n = 3). Values with different superscripts differ significantly (P < 0.05). Group 1 – Control (normal saline orally); Group 2 – TNBS only (intrarectally); Group 3 – TNBS + J. carnea extract (200mg/kg orally); Group 4 – TNBS + J. carnea extract (400mg/kg orally); Group 5 – TNBS + Sulfasalazine (500mg/kg orally). CRP, C-reactive protein; SD, standard deviation; TNBS, trinitrobenzenesulfonic acid.

J. carnea’s modulatory effect on lipase activity in mice given TNBS

Figure 2 shows J. carnea’s modulatory effect on lipase activity in mice given TNBS. A statistically significant increase in lipase activity was seen in mice exposed to TNBS alone (Group 2) compared to the control (Group 1), animals treated with the standard drug (Group 5), and all groups treated with J. carnea extract (Groups 3 and 4). No statistically significant difference was observed between the control and TNBS-exposed mice treated with the two doses of the extract or the standard drug.

<italic>Justicia carnea</italic> leaf extracts mitigate TNBS-elevated lipase activity in the pancreatic tissues of mice.
Fig. 2  Justicia carnea leaf extracts mitigate TNBS-elevated lipase activity in the pancreatic tissues of mice.

Values are mean ± SD (n = 3). Values with different superscripts differ significantly (P < 0.05). Group 1 – Control (normal saline orally); Group 2 – TNBS only (intrarectally); Group 3 – TNBS + J. carnea extract (200mg/kg orally); Group 4 – TNBS + J. carnea extract (400mg/kg orally); Group 5 – TNBS + Sulfasalazine (500mg/kg orally). SD, standard deviation; TNBS, trinitrobenzenesulfonic acid.

J. carnea’s modulatory effect on α-amylase activity in mice exposed to TNBS

Figure 3 shows that TNBS exposure (Group 2) significantly increased α-amylase activity compared with the control group and all groups administered J. carnea extract or the standard drug (Group 5).

<italic>Justicia carnea</italic> leaf extracts mitigate TNBS-elevated α-amylase activity in the pancreatic tissues of mice.
Fig. 3  Justicia carnea leaf extracts mitigate TNBS-elevated α-amylase activity in the pancreatic tissues of mice.

Values are mean ± SD (n = 3). Values with different superscripts differ significantly (P < 0.05). Group 1 – Control (normal saline orally); Group 2 – TNBS only (intrarectally); Group 3 – TNBS + J. carnea extract (200mg/kg orally); Group 4 – TNBS + J. carnea extract (400mg/kg orally); Group 5 – TNBS + Sulfasalazine (500mg/kg orally). SD, standard deviation; TNBS, trinitrobenzenesulfonic acid.

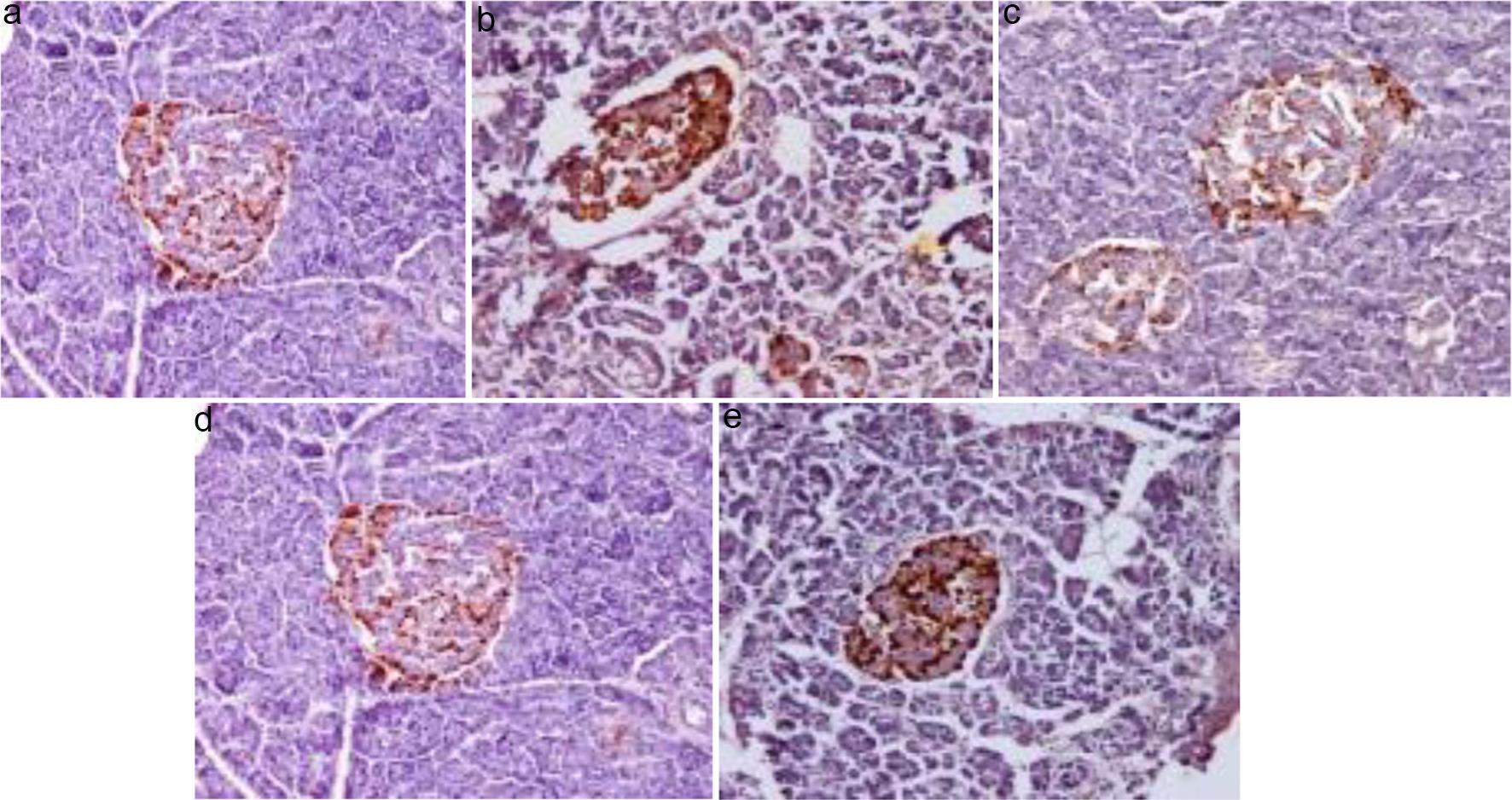
J. carnea’s modulatory effect on glucagon expression in mice administered TNBS

J. carnea’s modulatory effect on glucagon expression in TNBS-administered mice is depicted in the immunohistochemical results in Figure 4, Tables 2 and 3. Exposure to TNBS (Group 2) caused reduced glucagon expression and significant histopathological damage to the pancreas, which were ameliorated upon treatment with J. carnea extract.

Immunohistochemistry of pancreas (glucagon stain).
Fig. 4  Immunohistochemistry of pancreas (glucagon stain).

(a) Control (normal saline orally); (b) TNBS only (intrarectally); (c) TNBS + J. carnea extract (200 mg/kg orally); (d) TNBS + J. carnea extract (400 mg/kg orally); (e) TNBS + sulfasalazine (500 mg/kg orally). TNBS, trinitrobenzenesulfonic acid.

Table 2

Histopathological grading criteria for pancreatic tissue evaluation

Histopathological criteria0123
Presence of BRBCsNone<40%/HPF41–70%/HPF71–100%/HPF
OedemaNoneInterlobular septumInterglandular septum, mildInterglandular septum, Severe
HaemorrhageNoneInterlobular septumInterglandular septum, mildInterglandular septum, Severe
Inflammatory infiltrationNoneIn 1–2 lobulesIn 3–4 lobulesIn >4 lobules
Acinar necrosisNoneIn 1–2 lobulesIn 3–4 lobulesIn >4 lobules
Fat necrosisNoneMildModerateSevere
FibrosisNoneIn 1–2 lobulesIn 3–4 lobulesIn >4 lobules
Total score 3+3+3+3+3+3+3=21
Table 3

Histopathological grading of pancreatic tissue

Histopathological criteriaGroup 1 ControlGroup 2 – TNBS aloneGroup 3 – TNBS + 200mg J. carnea extractGroup 4 – TNBS + 400mg J. carnea +TNBSGroup 5- TNBS + sulfasalazine
Presence of BRBCs03000
Oedema03110
Hemorrhage03101
Inflammatory infiltration03001
Acinar necrosis02100
Fat necrosis02010
Fibrosis03000
Total score0/2119/213/212/212/21

Discussion

One important pathophysiologic component that contributes to the toxicological consequences of TNBS is oxidative/nitrosative stress.11,23 Because inflammatory cells emit a large number of cytokines and chemokines, inflammation causes an overproduction of ROS, which in turn triggers oxidative stress.22,23,30,62 In light of this, treatment approaches that include compounds with anti-inflammatory and antioxidant potentials are being explored as ways to lessen the harmful consequences of TNBS.63

The present study examined J. carnea’s modulatory effects on pancreatic oxidative harm instigated by TNBS. To investigate the inflammatory pathways and possible therapeutic medicines, it is standard practice to use TNBS to produce inflammation in experimental mice. According to Kitadi,13 TNBS-induced models can be used to study therapeutic targets and mechanisms because they closely resemble human inflammatory situations. This strategy is buttressed by the technique used in the current study, which offers a reliable model for evaluating J. carnea's effectiveness. The findings indicated that J. carnea significantly improved a number of biomarkers, signifying that it may have therapeutic benefits.

In comparison to the group maintained on TNBS alone, the study established that mice treated with J. carnea had statistically significantly lower MDA levels. This result supports the findings of Oloruntola et al.,45 who documented the antioxidant activity of powdered J. carnea leaf and showed a notable lessening in lipid peroxidation. Similarly, in a model of oxidative stress, Orjiakor et al.38 discovered that J. carnea decreased MDA levels, demonstrating its ability to suppress lipid peroxidation. This proposes that by lowering lipid peroxidation and cell damage, J. carnea may be deployed as a treatment for oxidative stress-related illnesses like pancreatitis.64

Onyeabo et al.47 reported consistent antioxidant properties of J. carnea, supporting the observed increases in GSH, GPx, and TAC levels. The potential of J. carnea as a preventive agent against diseases connected to oxidative stress is supported by the fact that improving these antioxidant enzymes helps shield cells from oxidative damage. SOD, GPx, and CAT are examples of enzymatic antioxidants that preserve a balance essential to cellular health.65 Superoxide anions are converted into hydrogen peroxide by SOD, which is then neutralized by GPx and CAT. Catalase contributes to cellular tolerance against oxidative stress by shielding cells from damage triggered by hydrogen peroxide.66

In alignment with Falode et al.,43 who documented comparable anti-inflammatory potentials of J. carnea in a diabetes model, the drop in NO, CRP, lipase, and α-amylase levels in the treated groups points to an anti-inflammatory effect. Moreover, J. carnea aqueous leaf extract showed strong antioxidant action and suppressed α-amylase activity, suggesting possible anti-inflammatory and anti-diabetic properties, according to studies by Anigboro et al.44 and Oloruntola et al.45J. carnea may be used to treat inflammatory diseases including pancreatitis and other chronic inflammatory conditions, since lower levels of these inflammatory markers suggest less inflammation. In the early stages of AP, aberrant alterations in abdominal imaging may be seen, along with typical upper abdominal pain and abnormal increases in serum lipase or amylase.9

One of the most important methods used in the study to assess the expression of certain markers associated with inflammation and oxidative stress in the pancreatic tissues of mice with TNBS-induced pancreatitis was immunohistochemistry. The study evaluated the influence of J. carnea treatment visually and quantitatively on cellular and molecular alterations in the pancreas by employing antibodies that bind to these markers.

In this study, TNBS administration caused significant pancreatic damage and a reduction in glucagon expression. TNBS is known to induce systemic oxidative stress and inflammatory responses, resulting in the generation of ROS and depletion of antioxidants such as GSH, SOD, and CAT. This oxidative imbalance contributes to acinar and islet cell injury, as evidenced by edema, cellular degeneration, and inflammatory infiltration observed in pancreatic tissue. The reduction in glucagon likely reflects α-cell vulnerability to oxidative and inflammatory stress, as well as cytokine-mediated suppression of hormone production. Impairment of the islet microvasculature may further compromise α-cell function, impairing glucagon secretion and potentially affecting glucose homeostasis. These findings demonstrate that TNBS reliably models pancreatic oxidative injury and functional impairment, making it suitable for evaluating interventions aimed at preserving pancreatic structure and endocrine function.

The results also showed that treatment with the extract lessened TNBS-induced pancreatic damage and reduction in glucagon expression. The particular goal of examining how J. carnea affects pancreatic glucagon expression was accomplished, and the results showed that the extract affects glucagon levels, which are essential for controlling inflammation and glucose homeostasis. Depending on the kind and stage of the disease, pancreatitis can have a substantial impact on glucagon expression and secretion, resulting in both increases and decreases. While chronic pancreatitis can lead to dysregulation and reduced glucagon output because of islet cell destruction, AP frequently causes increased glucagon levels, particularly during the initial episode. This may contribute to post-pancreatitis diabetes. Thus, the immunohistochemistry data demonstrate the extract’s capacity to alter substantial inflammatory pathways and offer molecular support for the observed biochemical and histological findings.

In TNBS-induced pancreatitis, J. carnea extract dramatically decreased inflammatory indicators such as oedema, bleeding, and inflammatory infiltration, according to the biochemical and histological examination of the current study. This is in line with Onyeabo et al.,47 which provided evidence that J. carnea leaf extract had anti-inflammatory and haematological effects in rats with phenylhydrazine-induced anemia. Overall, the tissue-protective effects were in line with the present findings, even though the precise parameters varied.

This study is limited by several factors. First, the lack of a dose–response evaluation for J. carnea restricts accurate assessment of its optimal therapeutic range. Second, reliance on crude plant extract without isolating its bioactive constituents limits reproducibility and clarity regarding the specific agents mediating the observed effects. Third, the TNBS-induced model may not completely mimic the complex oxidative and hormonal disturbances seen in human pancreatic disorders, which affects the generalizability of the findings. Finally, a key limitation of this study is its short duration, which restricts the ability to evaluate the long-term effects, safety profile, and potential cumulative impact of J. carnea on oxidative stress and pancreatic glucagon expression.

Future directions

Given that J. carnea extract meaningfully reduced inflammation and oxidative stress markers, it may be turned into a natural anti-inflammatory treatment. For diseases like pancreatitis, where inflammation is a major factor, this could be especially helpful. In both conventional and alternative medicine, J. carnea may be marketed as an adjuvant management for inflammatory diseases. It is a viable option for herbal treatments and supplements due to its natural origin and proven effectiveness. The study’s encouraging findings open the door for additional investigation and clinical testing. A crucial next step would be to carry out human clinical trials to verify J. carnea’s safety and effectiveness in treating inflammatory diseases. Its approval and broad use in clinical settings could result from successful experiments.

Conclusions

In mice with pancreatitis initiated by TNBS, extract from J. carnea showed strong antioxidant and anti-inflammatory properties. While increasing levels of antioxidant enzymes including GSH, GPx, SOD, CAT, and TAC, the therapy effectively decreased oxidative stress markers like MDA. Additionally, a noteworthy anti-inflammatory effect is indicated by the reduction in NO, lipase, and α-amylase levels. The study’s immunohistochemical and histological analyses provide evidence of J. carnea’s ability to effectively treat pancreatic damage instigated by TNBS.

Declarations

Acknowledgement

None.

Ethical statement

Ethical approval for this study was obtained from the Research and Ethics Committee of the Faculty of Basic Medical Sciences, Delta State University, Abraka (Approval No.: RBC/FBMC/DELSU/24/444). All experimental procedures involving animals were conducted in accordance with institutional guidelines of Delta State University for the care and use of laboratory animals, as well as national guidelines for animal research and welfare. Animals were handled humanely throughout the study. Anesthesia was administered prior to all invasive procedures to minimize pain and distress, and all efforts were made to reduce animal suffering and the number of animals used. Sample collection and sacrifice procedures were performed using approved humane methods to ensure minimal discomfort.

Data sharing statement

Data presented in this study are available on request from the corresponding author.

Funding

This research did not receive any specific grant from funding agencies. The research was financed from the authors’ own funds.

Conflict of interest

The authors declare that they have no conflict of interest.

Authors’ contributions

Study design and analysis (EMT, OOC, JJE), data collection (DCC, EKC, TOE, MJ, OOB), data analysis (OOC, DCC), writing and editing of the manuscript (OOC, EMT). All authors contributed to conception, design, analysis, and/or interpretation of the data. All authors have read and approved the manuscript.

References

  1. Gardner TB. Acute Pancreatitis. Ann Intern Med 2021;174(2):ITC17-ITC32 View Article PubMed/NCBI
  2. Fang LH, Zhang JQ, Huang JK, Tang XD. Inflammatory bowel disease increases the risk of pancreatitis: a two-sample bidirectional Mendelian randomization analysis. BMC Gastroenterol 2025;25(1):13 View Article PubMed/NCBI
  3. Longnecker DS, Gorelick F, Thompson ED. Anatomy, Histology, and Fine Structure of the Pancreas. The Pancreas. The pancreas: an integrated textbook of basic science, medicine, and surgery. 3rd ed. In: Beger HG, Warshaw AL, Hruban RH, Büchler MW, Lerch MM, Neoptolemos JP, et al 2018:10-23 View Article
  4. Davidsen L, Lebech Cichosz S, Knoph CS, Larsen IM, Stæhr PB, Vestergaard P, et al. Unravelling the heterogeneity of diabetes in chronic pancreatitis: Alpha and beta cell dysfunction and association with glycaemic control. Diabet Med 2025;42(8):e70080 View Article PubMed/NCBI
  5. Capozzi ME, Svendsen B, Encisco SE, Lewandowski SL, Martin MD, Lin H, et al. β Cell tone is defined by proglucagon peptides through cAMP signaling. JCI Insight 2019;4(5):126742 View Article PubMed/NCBI
  6. Ouyang G, Pan G, Liu Q, Wu Y, Liu Z, Lu W, et al. The global, regional, and national burden of pancreatitis in 195 countries and territories, 1990-2017: a systematic analysis for the Global Burden of Disease Study 2017. BMC Med 2020;18(1):388 View Article PubMed/NCBI
  7. Schepers NJ, Bakker OJ, Besselink MG, Ahmed Ali U, Bollen TL, Gooszen HG, et al. Impact of characteristics of organ failure and infected necrosis on mortality in necrotising pancreatitis. Gut 2019;68(6):1044-1051 View Article PubMed/NCBI
  8. Boxhoorn L, Voermans RP, Bouwense SA, Bruno MJ, Verdonk RC, Boermeester MA, et al. Acute pancreatitis. Lancet 2020;396(10252):726-734 View Article PubMed/NCBI
  9. Jiang W, Li X, Zhang Y, Zhou W. Natural Compounds for the Treatment of Acute Pancreatitis: Novel Anti-Inflammatory Therapies. Biomolecules 2024;14(9):1101 View Article PubMed/NCBI
  10. Mosna K, Janega P, Sedlak J, Babal P. Complex changes of circadian proteins expression in inflammatory bowel disease. Bratisl Lek Listy 2021;122(4):235-241 View Article PubMed/NCBI
  11. Enaohwo MT, Orororo OC, Basil-Iwhiwhu OP, Jaiyeoba-ojigho JE, Dunkwu CC, Enyi KC, et al. Effects of Justicia carnea leaf extract on cerebral oxidative stress parameters and expression of cellular adhesion molecule–1 in albino mice exposed to TNBS. J Basic Appl Zool 2025;86:26 View Article
  12. Antoniou E, Margonis GA, Angelou A, Pikouli A, Argiri P, Karavokyros I, et al. The TNBS-induced colitis animal model: An overview. Ann Med Surg (Lond) 2016;11:9-15 View Article PubMed/NCBI
  13. Kitadi JM, Lengbiye EM, Gbolo BZ, Inkoto CL, Muanyishay CL, Lufuluabo GL, et al. Justicia secunda Vahl species: Phytochemistry, pharmacology and future directions: A mini-review. Discov Phytomed 2019;6(4):157-171 View Article
  14. Davies MJ, Hawkins CL. The Role of Myeloperoxidase in Biomolecule Modification, Chronic Inflammation, and Disease. Antioxid Redox Signal 2020;32(13):957-981 View Article PubMed/NCBI
  15. Sack GH. Serum Amyloid A (SAA) Proteins. Subcell Biochem 2020;94:421-436 View Article PubMed/NCBI
  16. Fousekis FS, Katsanos KH, Theopistos VI, Baltayiannis G, Kosmidou M, Glantzounis G, et al. Hepatobiliary and pancreatic manifestations in inflammatory bowel diseases: a referral center study. BMC Gastroenterol 2019;19(1):48 View Article PubMed/NCBI
  17. Li P, Chen K, Mao Z, Luo Y, Xue Y, Zhang Y, et al. Association between Inflammatory Bowel Disease and Pancreatitis: A PRISMA-Compliant Systematic Review. Gastroenterol Res Pract 2020;2020:7305241 View Article PubMed/NCBI
  18. Fousekis FS, Theopistos VI, Katsanos KH, Christodoulou DK. Pancreatic Involvement in Inflammatory Bowel Disease: A Review. J Clin Med Res 2018;10(10):743-751 View Article PubMed/NCBI
  19. Tang Y, Sun M, Liu Z. Phytochemicals with protective effects against acute pancreatitis: a review of recent literature. Pharm Biol 2022;60(1):479-490 View Article PubMed/NCBI
  20. Idenyi OM, Orororo OC, Efejene IO, Aisuodionoe ME, Umoren UF. Evaluation of Anti-Inflammatory and Analgesic Effects of Allophylus spicatus Lead Extract in Mice. J Complement Altern Med Res 2024;25(9):59-68 View Article
  21. Orororo OC, Efekemo O, Egbune EO, Awhin EP, Odeghe OB, Okoro EO. Amelioration of Cadmium toxicity in the liver and kidney of Wistar rats by combined Citrus sinensis and Manihot esculenta Leaf extract. Int J Biochem Res Rev 2024;23(6):71-79 View Article
  22. Enaohwo MT, Orororo OC, Jaiyeoba-Ojigho JE, Dunkwu CC, Enyi KC, Oghaimeh GO, et al. Justicia carnea Extract Mitigates TNBS-Induced Liver Inflammation by Ameliorating Oxidative Stress, Improving Liver Function Indices, and Normalizing NF-Κb/Caspase 3 Expression. Trop J Nat Prod Res 2025;9(4):1574-1583 View Article
  23. Busari AA, Orororo OC, Opute UA, Efejene IO, Badmos K, Obadiah CC, et al. Effects of Black Seed Oil on Oxidative Stress Parameters and Gingival Expression of Inducible Nitric Oxide Synthase in Diabetes and Periodontitis-Induced Rats. African Scientist 2023;24(3):376-386
  24. Oyem JC, Chris-Ozoko LE, Enaohwo MT, Otabor FO, Okudayo VA, Udi OA. Antioxidative properties of Ocimum gratissimum alters Lead acetate induced oxidative damage in lymphoid tissues and hematological parameters of adult Wistar rats. Toxicol Rep 2021;8:215-222 View Article PubMed/NCBI
  25. Ekakitie LI, Orororo OC, Okpoghono J. Changes in haematological parameters of aluminium-exposed rats treated with natural bee honey. IOSR J Environ Sci Toxicol Food Technol 2021;15(5):22-25 View Article
  26. Esiekpe GT, George BO, Orororo OC, Akpede AA, Okevwe GE, Onotugoma E, et al. Monodora myristica seed extracts ameliorate crude oil contaminated diet-induced cardiotoxicity in rats. Thai J Pharm Sci 2020;44(3):145-151 View Article
  27. Ugbome AO, Orororo OC, Efejene OI, Busari AA, Badmos K, Obadiah CC, et al. Effects of Black Seed (Nigella sativa) oil on Hepatic Function Parameters in Rats Induced with Diabetes Mellitus and Periodontitis. Nigerian J Biochem Molecul Biol 2025;39(3):161-169 View Article
  28. Ovuakporaye SI, Enaohwo MT, Mordi JC, Naiho AO. Serum electrolytes and renal histology of Wistar rats treated with seed extract of Citrullus lanatus. J Pharm Bioresources 2020;17(1):66-74 View Article
  29. Eduviere AT, Enaohwo MT, Awhin PE, Otomewo LO, Iwalio O. Gotu Kola Supplement Ameliorates Stress-Induced Liver Injury in Mice. Trop J Nat Prod Res 2022;6(6):121-129 View Article
  30. Odeghe HE, Ojieh AE, Ossai NR, Enaohwo MT. Ameliorative potentials of methanol bark extract of detarium senegalense (Tallow Tree) in streptozotocin induced diabetic male wistar rats. Plant Cell Biotechnol Mol Biol 2023;24(1-2):64-80 View Article
  31. Değer C, Erbil Y, Giriş M, Yanik BT, Tunca F, Olgaç V, et al. The effect of glutamine on pancreatic damage in TNBS-induced colitis. Dig Dis Sci 2006;51(10):1841-1846 View Article PubMed/NCBI
  32. Kolgazi M, Jahovic N, Yüksel M, Ercan F, Alican I. Alpha-lipoic acid modulates gut inflammation induced by trinitrobenzene sulfonic acid in rats. J Gastroenterol Hepatol 2007;22(11):1859-1865 View Article PubMed/NCBI
  33. Polat FR, Karaboga I, Polat MS, Erboga Z, Yilmaz A, Güzel S. Effect of hesperetin on inflammatory and oxidative status in trinitrobenzene sulfonic acid-induced experimental colitis model. Cell Mol Biol (Noisy-le-grand) 2018;64(11):58-65 View Article PubMed/NCBI
  34. Orororo OC, Asagba SO, Egbune EO, Efejene OI. Sperm parameters and histological changes in testes of cadmium-exposed rats treated with Hibiscus sabdarrifa L. anthocyanins. Sokoto Journal of Medical Laboratory Science 2022;7(3):114-122 View Article
  35. Ekakitie LI, Okpoghono J, Orororo OC, Ekakitie OA. Ameliorative prowess of bee honey in the tissues of rats administered aluminium nitrate. Sci Afr 2021;12:e00782 View Article
  36. Asma ST, Acaroz U, Imre K, Morar A, Shah SRA, Hussain SZ, et al. Natural Products/Bioactive Compounds as a Source of Anticancer Drugs. Cancers (Basel) 2022;14(24):6203 View Article PubMed/NCBI
  37. Ani ON, Udedi SC, Akpata EI, Ezeigwe OC, Oguazu CE, Onyishi CK, et al. Effects of Ethanol Leaf Extract of Justicia Carnea on Biochemical Indices of Alloxan-Induced Diabetic Rats. IOSR J Biotechnol Biochem 2020;6(2):39-46 View Article
  38. Orjiakor CA, Uroko R, Njoku OU, Ezeanyika LUS. Nutritive properties of aqueous extract Justicia carnea leaves and its effects on haematological and some biochemical indices of anaemia induced male wistar albino rats. Biomed Res 2019;30(4):645-654 View Article
  39. Corrêa GM, de C Alcântara AF. Chemical constituents and biological activities of species of Justicia - A Review. Brazilian Journal of Pharmacognosy 2012;22(1):220-238 View Article
  40. Igbinaduwa PO, Kabari KM, Chikwue TC. Phytochemical and Anti-Anaemic Properties of Ethanol Leaf Extract of Justicia carnea Vahl (Acantheceae). Nigerian Journal of Pharmaceutical and Applied Science Research 2019;8(2):55-61
  41. Ojeaburu1 SI, Olasehinde O. Ameliorative Effect of Justicia carnea Methanol Leaf Extract against Nephrotoxicity in Streptozotocin-Induced Diabetic Wistar Rats. Sahel Journal of Life Sciences FUDMA 2024;2(2):141-148 View Article
  42. Obia O, Eifuobhokhan J, Okpara EP. Effect of Justicia Carnea Leaf Extract on The Liver Enzymes of High-Fat Diet Fed Wistar Rats. IOSR J Pharm Biol Sci 2019;19(6):33-36 View Article
  43. Falode JA, Dada EO, Ajigbayi OP, Ajayi OI, Yusuf MM, Adeoye AO, et al. Antioxidant and Antidiabetic Properties, and High-Performance Liquid Chromatography (HPLC) Fingerprinting of Justicia carnea Leaf Extracts. FUOYE J Pure Appl Sci 2022;7(3):50-76 View Article
  44. Anigboro AA, Avwioroko OJ, Akeghware O, Tonukari NJ. Anti-obesity, antioxidant and in silico evaluation of Justicia carnea bioactive compounds as potential inhibitors of an enzyme linked with obesity: Insights from kinetics, semi-empirical quantum mechanics and molecular docking analysis. Biophys Chem 2021;274:106607 View Article PubMed/NCBI
  45. Oloruntola OD, Ayodele SO, Adeyeye SA, Fasuhami OS, Osowe CO, Ganiyu TO. Proximate composition, phytochemical profile, antioxidant, antidiabetic and anti-inflammatory properties of Justicia carnea leaf powder. BSJ Agri 2022;5(4):415-423 View Article
  46. Asogwa KK, Udedi SC, Ani ON, Ekwualor KU. Evaluation of micronutrient composition and antioxidant effects of the extracts of the leaf of Justicia carnea. Sky J Biochem Res 2020;7(2):021-031
  47. Onyeabo C, Achi NK, Ekeleme-Egedigwe CA, Ebere CU, Okoro CK. Haematological and biochemical studies on Justicia carnea leaves extract in phenylhydrazine induced-anemia in albino rats. Acta Sci Pol Technol Aliment 2017;16(2):217-230 View Article PubMed/NCBI
  48. Umeh VN, Udochukwu KO, Jude NO. Evaluation of anti-inflammatory and analgesic properties of J. carnea leaf extract. Inter J Modern Pharma Res 2023;7(2):01-06
  49. Tanideh M, Bahrani MJ, Khoshnood-Mansoorkhani ET. Evaluating the effect of Melillotus officinalis L. Aqueous extracts on healing of acetic acid-induced ulcerative colitis in male rats. Annals of Colorectal Research 2016;4(3):35-43 View Article
  50. Baqerkhani M, Soleimanzadeh A, Mohammadi R. Effects of intratesticular injection of hypertonic mannitol and saline on the quality of donkey sperm, indicators of oxidative stress and testicular tissue pathology. BMC Vet Res 2024;20(1):99 View Article PubMed/NCBI
  51. Varshney R, Kale RK. Effects of calmodulin antagonists on radiation-induced lipid peroxidation in microsomes. Int J Radiat Biol 1990;58(5):733-743 View Article PubMed/NCBI
  52. ELLMAN GL. Tissue sulfhydryl groups. Arch Biochem Biophys 1959;82(1):70-77 View Article PubMed/NCBI
  53. Paglia DE, Valentine WN. Studies on the quantitative and qualitative characterization of erythrocyte glutathione peroxidase. J Lab Clin Med 1967;70(1):158-169 PubMed/NCBI
  54. Misra HP, Fridovich I. The role of superoxide anion in the autoxidation of epinephrine and a simple assay for superoxide dismutase. J Biol Chem 1972;247(10):3170-3175 View Article PubMed/NCBI
  55. Aebi H. Catalase in vitro. Methods Enzymol 1984;105:121-126 View Article PubMed/NCBI
  56. Nilsson J, Pillai D, Onning G, Persson C, Nilsson A, Akesson B. Comparison of the 2,2′-azinobis-3-ethylbenzotiazo-line-6-sulfonic acid (ABTS) and ferric reducing anti-oxidant power (FRAP) methods to asses the total antioxidant capacity in extracts of fruit and vegetables. Mol Nutr Food Res 2005;49(3):239-246 View Article PubMed/NCBI
  57. Odeghe OB, Orororo OC, Agboola OE, Onyeso G, Dennis-Eboh U, Ekakitie LI, et al. Phytochemical Profiling and In vitro Antioxidant Activity of Methanolic Extracts from Fadogia cienkowskii Leaves. Asian Plant Res J 2024;12(6):110-120 View Article
  58. Aziz N, Fahey JL, Detels R, Butch AW. Analytical performance of a highly sensitive C-reactive protein-based immunoassay and the effects of laboratory variables on levels of protein in blood. Clin Diagn Lab Immunol 2003;10(4):652-657 View Article PubMed/NCBI
  59. Nurcan VY. Investigation of The Activity of Lipase Variants on Different 4-Nitrophenyl Esters by Spectrophotometric Assay. Caucasian Journal of Science 2021;8(2):292-303 View Article
  60. Xiao Z, Storms R, Tsang A. A quantitative starch-iodine method for measuring alpha-amylase and glucoamylase activities. Anal Biochem 2006;351(1):146-148 View Article PubMed/NCBI
  61. Gurlo T, Butler PC, Butler AE. Evaluation of immunohistochemical staining for glucagon in human pancreatic tissue. J Histotechnol 2016;39(1):8-16 View Article PubMed/NCBI
  62. Orororo OC, Asagba SO, Tonukari NJ, Okandeji OJ, Mbanugo JJ. Hibiscus sabdarrifa L. Anthocyanins-Induced Changes in Reproductive Hormones of Cadmium-Exposed Rats. Int J Sci Res 2018;12(4):308-311 View Article
  63. Sahoo DK, Heilmann RM, Paital B, Patel A, Yadav VK, Wong D, et al. Oxidative stress, hormones, and effects of natural antioxidants on intestinal inflammation in inflammatory bowel disease. Front Endocrinol (Lausanne) 2023;14:1217165 View Article PubMed/NCBI
  64. Soleimanzadeh A, Kian M, Moradi S, Malekifard F. Protective effects of hydro-alcoholic extract of Quercus brantii against lead-induced oxidative stress in the reproductive system of male mice. Avicenna J Phytomed 2018;8(5):448-456 PubMed/NCBI
  65. Jomova K, Alomar SY, Alwasel SH, Nepovimova E, Kuca K, Valko M. Several lines of antioxidant defense against oxidative stress: antioxidant enzymes, nanomaterials with multiple enzyme-mimicking activities, and low-molecular-weight antioxidants. Arch Toxicol 2024;98(5):1323-1367 View Article PubMed/NCBI
  66. Anwar S, Alrumaihi F, Sarwar T, Babiker AY, Khan AA, Prabhu SV, et al. Exploring Therapeutic Potential of Catalase: Strategies in Disease Prevention and Management. Biomolecules 2024;14(6):697 View Article PubMed/NCBI

About this Article

Cite this article
Enaohwo MT, Orororo OC, Jaiyeoba-Ojigho JE, Dunkwu CC, Enyi KC, Mode J, et al. Ethanol Extracts of Justicia carnea Leaves Mitigate Pancreatic Oxidative Stress and Preserve Islet Glucagon Expression in TNBS-treated Mice. J Explor Res Pharmacol. 2026;11(1):e00044. doi: 10.14218/JERP.2025.00044.
Copy        Export to RIS        Export to EndNote
Article History
Received Revised Accepted Published
September 1, 2025 October 7, 2025 January 21, 2026 March 5, 2026
DOI http://dx.doi.org/10.14218/JERP.2025.00044
  • Journal of Exploratory Research in Pharmacology
  • pISSN 2993-5121
  • eISSN 2572-5505
Back to Top

Ethanol Extracts of Justicia carnea Leaves Mitigate Pancreatic Oxidative Stress and Preserve Islet Glucagon Expression in TNBS-treated Mice

Mamerhi Taniyohwo Enaohwo, Osuvwe Clement Orororo, Jennifer Efe Jaiyeoba-Ojigho, Chukwudi Cyril Dunkwu, Kingsley Chinedu Enyi, Joan Mode, Othuke Bensandy Odeghe
  • Reset Zoom
  • Download TIFF