v
Search
Advanced

Publications > Journals > Journal of Clinical and Translational Pathology> Article Full Text

  • OPEN ACCESS

Atypia of Undetermined Significance in Thyroid Fine Needle Aspiration Cytology Revisited

  • Mª Jesús Fernández-Aceñero1,* ,
  • Salomé Merino2,
  • Desirée Hernández3,
  • Santiago Ochagavia4,
  • Melchor Saiz-Pardo1,
  • Pablo Pérez Alonso3,
  • Tomas Ganado2,
  • Jesús Vega3 and
  • Cristina Díaz del Arco1
 Author information 

Abstract

Background and objectives

Fine needle aspiration cytology (FNAC) is a cost-efficient technique for the management of thyroid nodules. Changes in the World Health Organization classification of thyroid tumors can influence reliability of cytology. The 2023 Bethesda System for Reporting Thyroid Cytopathology has adapted cytological nomenclature to these changes. The aim of this paper was to analyze the management of atypia of undetermined significance (AUS) in our institution.

Methods

Retrospective review of thyroid FNAC diagnosed with AUS in a single hospital between 2014 and 2022. We analyzed the management of patients and the risk of malignancy associated with AUS.

Results

AUS represented 7.5% of all thyroid FNAC diagnoses (273 patients). In 74.1% of the patients, FNAC was repeated, and 54.9% of the lesions were downgraded. Surgical resection of the nodule was performed in 38.2% of the patients, mostly after a repeat FNAC with upgrading. Ninety-one percent of the patients downgraded in the repeat FNAC did not undergo surgery. The risk of malignancy of the AUS category after repeat FNAC was 26.1%. AUS diagnosis was due to nuclear atypia in 32% of the patients, and we found a significant association between nuclear atypia and upgrading in repeat FNAC. Of the 96 patients who underwent surgery in our series, 42 had malignant lesions, including noninvasive follicular thyroid neoplasms with papillary-like features.

Conclusion

The clinical management of AUS patients includes repeat FNAC, which is strongly correlated with the risk of malignancy. Nuclear atypia seems to be more predictive of malignancy than architectural patterns.

Keywords

Thyroid, Fine needle aspiration cytology, Bethesda system, Management, Risk of malignancy, Atypia

Introduction

Thyroid nodules are common in everyday clinical practice. More than 60% of the population has thyroid nodules, and this figure seems to be increasing due to the growing use of imaging techniques for other reasons. Most of these nodules are incidental findings with limited clinical relevance.1,2

Therapy for symptomatic large nodules is traditional surgical resection.2 However, more conservative approaches (e.g., radiofrequency) are increasingly used after confirmation of the benign nature of the lesions.3 Currently, surgery is largely restricted to nodules that cause compressive symptoms, those associated with functional abnormalities, or those potentially malignant. Moreover, surgical interventions are becoming more conservative than ever before.

In addition to clinical and laboratory findings, ultrasonography and cytology are the mainstays for management decisions. Ultrasonography is highly sensitive, and its diagnostic accuracy can be further improved with the integration of artificial intelligence algorithms, which are increasingly being adopted in clinical practice.4

Fine needle aspiration cytology (FNAC) of suspicious nodules plays a crucial role in classifying lesions and guiding therapy. FNAC is associated with low risk for patients and shows high reliability when performed by experienced professionals.5 Since the introduction of the Bethesda System for Thyroid Cytopathology (BSRTC) in 2010,6 cytological diagnoses have been standardized. This widely used system allows the development of clinical guidelines for the management of thyroid nodules, providing an estimation of the risk of malignancy for each category.

The recently published third edition of BSRTC has included some relevant changes to adapt to the new 2022 classification of thyroid tumors and incorporates molecular tools.7,8 One of the categories that has been revised is category III, one of the equivocal ones. The aim of our study was to review our recent experience with category III FNAC in everyday clinical practice and to determine how it could benefit from this new proposal.

Materials and methods

Study design

This was a retrospective longitudinal study of all patients who underwent thyroid FNAC in a single large tertiary hospital in Madrid, Spain, between 2014 and 2022.

Study variables

Demographic, clinical, and imaging information was obtained from the clinical records of the patients and stored in Clinica, a proprietary software used in our hospital.

In our hospital, FNAC is performed under sonographic guidance with rapid on-site evaluation (ROSE) by an expert cytopathologist. Morphological data were obtained from PatWin (the laboratory information system of the Department of Surgical Pathology). For the aim of the present study, we included all patients diagnosed with Bethesda category III, excluding those lost to follow-up. We reviewed the cytological slides of the surgically resected cases to determine whether classification in the Bethesda III category was due to the presence of nuclear or architectural atypia, as recommended in the 2023 new classification.

Statistical analysis

Data were stored in an Excel file and exported to SPSS 20.0 for Windows for analysis. Qualitative variables are summarized as percentages and quantitative variables are summarized as the mean and standard deviation. Associations between variables were analyzed with the Chi-squared test or Student’s t test as needed.

Results

General results

Between 2014 and 2022, 5,250 diagnostic FNACs were identified, 397 of which were Bethesda category III (7.5%), corresponding to 273 patients. For the final analysis, we included 251 patients who were not followed up at our hospital.

Table 1 summarizes the characteristics of our series. Most patients were women (75.3%), with a mean age of 57.34 years (standard deviation (SD), 15.05). Nodules were equally distributed between both lobes. In terms of imaging findings, most nodules were described as solid (52.2%), and 38.6% were hypoechogenic, both of which are considered suspicious ultrasonographic features. The mean number of FNAC passes was 1.98 (SD 0.74), ranging from 1 to 4. The mean number of slides obtained per patient was 5.72 (SD 3.047).

Table 1

Summary of the characteristics of our patients

Results
Gender
  Male62 (24.7%)
  Female189 (75.3%)
Location
  Right lobe128 (51%)
  Isthmus19 (7.6%)
  Left lobe104 (41.4%)
Ultrasonographic features
  Solid131 (52.2%)
  Hypoechogenic97 (38.6%)
  Mixed23 (9.1%)
Age57.34 (15.05)
Nodule size1.67 cm (1.06)
Number of passes1.8 (0.74)
Number of smears5.72 (3.04)

Management issues

Table 2 summarizes the management of patients with a diagnosis of atypia of undetermined significance (AUS). FNAC was repeated in most patients (74.1%; 186), with a mean time until the new FNAC was 4.33 months (SD 3.6). The Bethesda category remained unchanged in 20.4% of the patients, was upgraded in 24.7%, and was downgraded in 54.9% of patients.

Table 2

Management of the patients after AUS diagnosis

Repeat FNAC
  No65 (25.9%)
  Yes186 (74.1%)
Time until repeat FNAC4.3 month (3.6)
Diagnosis of the repeat FNAC
  Inadequate for diagnosis18 (9.6%)
  Downgrading (benign)84 (45.1%)
  AUS38 (20.4%)
  Upgrading46 (24.7%)
Surgical resection
  No155 (61.8%)
  Yes96 (38.2%)
Diagnosis of the surgical specimen
  Hyperplasia26 (27.3%)
  Benign nodule (adenoma)28 (29.1%)
  Malignant42 (43.75%)
Results of repeat FNAC in malignant cases
  Not done10 (23.8%)
  Downgrading2 (4.7%)
  Upgrading23 (54.7%)
  AUS7 (16.6%)

A total of 96 patients (38.2%) underwent resection of the nodule, with two-thirds of them undergoing a new FNAC. Age and sex had no statistically significant influence on the rate of surgical resection or new FNAC. Among the surgical resection specimens, 42 patients were found to have malignancies, including 7 cases of noninvasive follicular thyroid neoplasms with papillary-like features (NIFTPs). The most common diagnosis was papillary carcinoma (29 patients).

A total of 31 patients (41.9%) who underwent surgery without repeat FNAC had hyperplastic lesions, but 8 (25.8%) had malignant neoplasms, mainly papillary carcinomas. The reasons for surgical resection in these patients were mostly medical (large nodules that caused obstructive symptoms) or significant growth of the lesion during imaging follow-up.

Among the patients who underwent surgery after a new FNAC (65 patients), the diagnosis was mainly upgraded (63.1%) or unchanged (23.1%), as most patients who were downgraded in the new FNAC did not undergo surgery (91%). Upgrading was significantly associated with the diagnosis of neoplastic disease in the surgical specimen, with carcinoma being diagnosed in 50% of the 41 patients upgraded in the second FNAC, compared to 26% of the 15 patients who remained in the same category and 18% of those patients who were downgraded.

Our study also revealed a statistically significant difference in the mean number of passes in the first FNAC between patients who were upgraded and those who remained in the same category or were downgraded (mean 1.81 vs. 2.3; p = 0.02).

Risk of malignancy estimation

The percentages of malignant lesions in patients with a Bethesda III diagnosis according to the repeat FNAC were 26.1%: 31% for Bethesda IV, 70% for Bethesda V, and 100% for Bethesda VI. None of the 5 patients diagnosed in the Bethesda II category who underwent surgery were found to have malignant lesions, although 3 had benign neoplasms. Figures 1, 2, and 3 show representative cases of AUS cytology with surgical resection of the lesion. Figure 1 corresponds to AUS in the repeat cytology and adenoma in the surgical specimen, Figure 2 to AUS in the repeat cytology and a final diagnosis of hyperplastic nodule, and Figure 3 to a case upgraded to the Bethesda V category in repeat cytology, which was diagnosed as a papillary carcinoma.

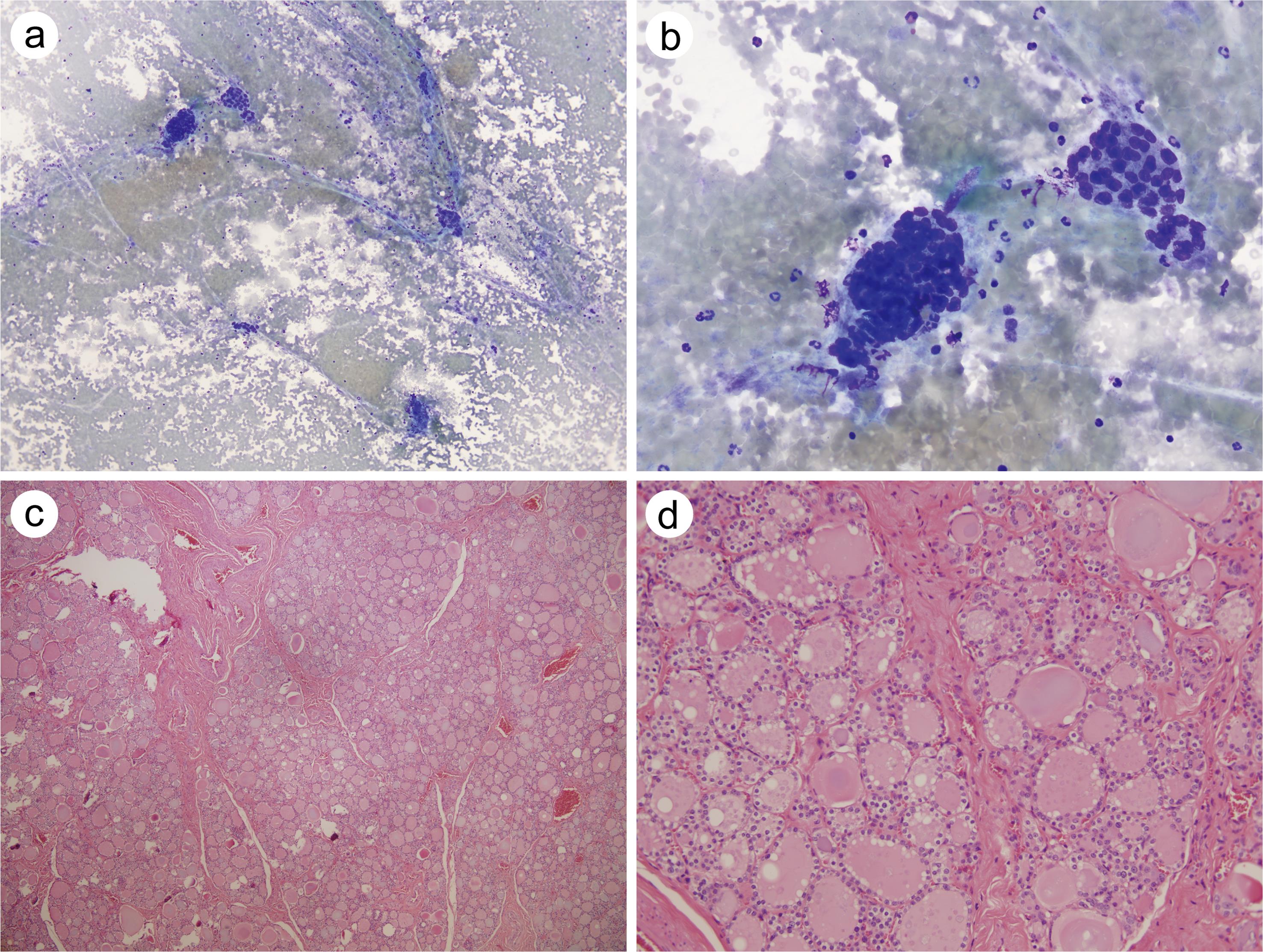
FNAC of a patient diagnosed with AUS via repeat cytology who underwent surgery and was diagnosed with a follicular adenoma.
Fig. 1  FNAC of a patient diagnosed with AUS via repeat cytology who underwent surgery and was diagnosed with a follicular adenoma.

(a) and (b): Cytology showing three-dimensional grouping of follicle cells and poorly developed microfollicles (Diff-Quik, magnification: a, 400×; b, 200×). (c) and (d): Histological sections of the hemithyroidectomy specimen showing an encapsulated lesion on the left with compressive changes in the normal thyroid to the right (hematoxylin-eosin, magnification: c, 40×; d, 200×). AUS, atypia of undetermined significance; FNAC, fine needle aspiration cytology.

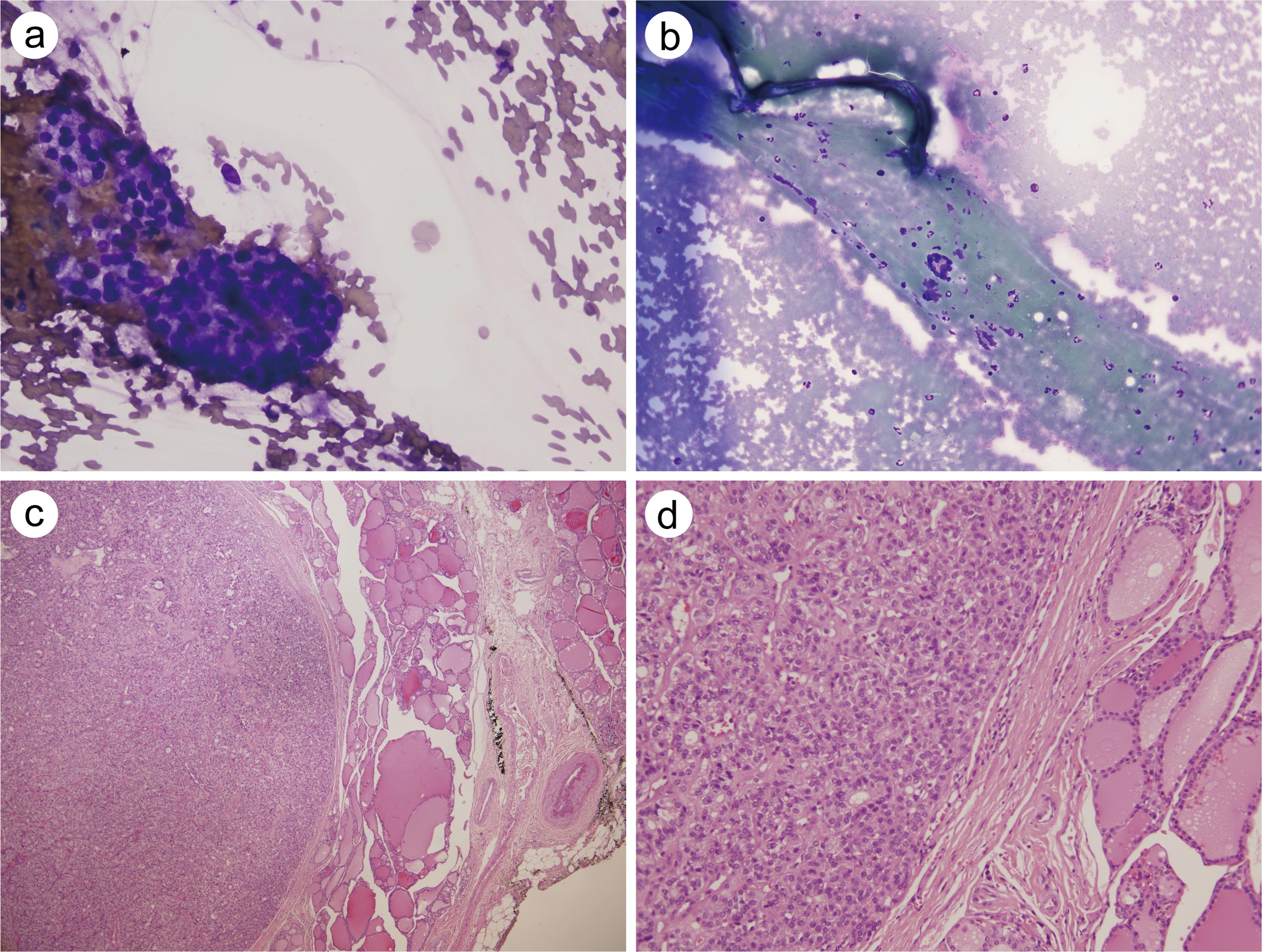
FNAC of a patient diagnosed with AUS via repeat cytology who underwent surgery and was diagnosed with hyperplastic changes.
Fig. 2  FNAC of a patient diagnosed with AUS via repeat cytology who underwent surgery and was diagnosed with hyperplastic changes.

(a) and (b): Cytology showing three-dimensional grouping of follicle cells with scant colloid and no clear nuclear features of papillary carcinoma (Diff-Quik, magnification: a, 200×; b, 400×). (c) and (d): Histological sections of the hemithyroidectomy specimen showing hyperplastic changes with collagen bands separating irregular nodules of thyroid tissue (hematoxylin-eosin, magnification: c, 40×; d, 200×). AUS, atypia of undetermined significance; FNAC, fine needle aspiration cytology.

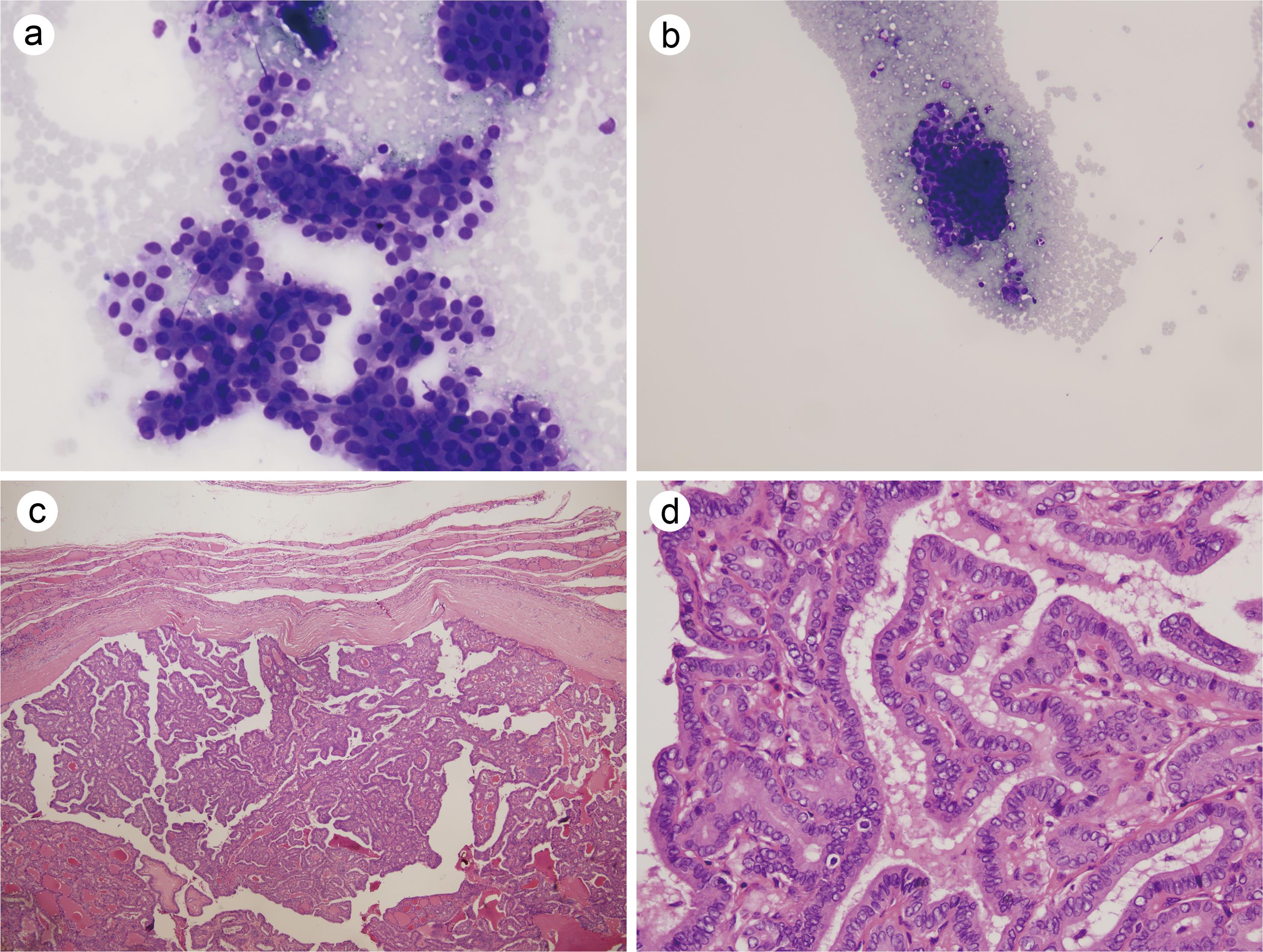
FNAC of a patient who was diagnosed with a suspicious malignancy via repeat cytology, underwent surgery, and was diagnosed with papillary thyroid carcinoma.
Fig. 3  FNAC of a patient who was diagnosed with a suspicious malignancy via repeat cytology, underwent surgery, and was diagnosed with papillary thyroid carcinoma.

(a) and (b): Cytology showing three-dimensional grouping of follicle cells with few colloids. No conclusive nuclear features of papillary carcinoma were observed (Diff-Quik, magnification: a, 200×; b, 400×). (c) and (d): Histological sections of the thyroidectomy specimen showing papillary growth with typical nuclear features of papillary carcinoma (hematoxylin-eosin, magnification: c, 40×; d, 200×). AUS, atypia of undetermined significance; FNAC, fine needle aspiration cytology.

After reviewing the cytological slides of the surgical patients, we found that nuclear atypia was present in 32% of the patients (often described as incomplete nuclear features of papillary carcinoma), architectural atypia in 46% of patients, and both in 10% of patients. In the remaining 12% of patients, the main reason for the diagnosis of Bethesda category III nodules was the scarcity of material, the presence of a small number of oncocytes as the only cell type, and/or the lack of colloid on the slides. Figure 4 shows the different changes found in AUS smears. We also found a statistically significant association between the presence of nuclear atypia and upgrading in the repeat FNAC, as well as between nuclear atypia and the rate of malignancy (p = 0.03).

Main morphological changes leading to the diagnosis of AUS.
Fig. 4  Main morphological changes leading to the diagnosis of AUS.

(a) and (b): Incomplete nuclear features of papillary carcinoma with nuclear clearing and pseudoinclusions (a: Diff-Quik, magnification: 200×; b: PAP, magnification: 200×). (c): Left: highly cellular smear with oncocytic features (Diff-Quik, magnification: 200×). (d): Three-dimensional grouping of the cells (Diff-Quik, magnification: 200×). AUS, atypia of undetermined significance; FNAC, fine needle aspiration cytology.

Discussion

The recent 2023 BSRTC has proposed discontinuation of the use of the term “follicular lesion of undetermined significance” and advocates using only atypia of undetermined significance. The authors suggest subclassifying this category according to the presence of nuclear atypia or only architectural and/or oncocytic changes because these factors seem to be associated with different risks of malignancy (ROM).9 Our results indicate that the presence of nuclear atypia indicates a higher ROM and could help better define patients who could be surgical candidates.

The ROM of the Bethesda III category ranges from 11–54%, with a mean of 28%, although this figure is lower when new entities such as NIFTPs are excluded from the malignant group and should be less than 20%. Our percentage was 26.1%, including NIFTP cases, and decreased to 19.4% when excluding them.

In 2023, according to the BSRTC, the recommended management for this category remains repeat FNAC or surgical resection, depending on the patient’s ultrasonographic and clinical information. A review of our experience confirmed that repeat FNAC is the preferred approach for almost 75% of patients. When the Bethesda category remained unchanged or was upgraded, most patients underwent surgery, and the ROM was the expected for the definite category, ranging from 26.1% for Bethesda III to 100% for Bethesda VI. Interestingly, in our series, the mean number of FNAC passes and the number of slides reviewed were significantly lower in patients who were upgraded. This occurred despite the ROSE of the material and underscores the importance of ensuring the quality of the material to avoid the need for repeat FNACs. Few patients in the downgraded cohort underwent surgery, and none of them were malignant. In a previous report by our group,10 we reviewed the approach to Bethesda III nodules until 2014 and found a somewhat erratic approach with a lower percentage of repeat cytology and a higher percentage of surgical resections with a lower percentage of malignancy. We believe that the implementation of conjoined protocols and an interdisciplinary approach to treating thyroid nodules has led to improvements in the management of these patients in our hospital, resulting in a lower percentage of surgically resected hyperplastic nodules.

The use of molecular tools to help determine the nature of indeterminate nodules has been proposed and included in the last BSRTC,11,12 but in our setting, it is not yet employed due to financial restraints and a lack of experience with its results. RAS mutations could help determine the management of follicular neoplasms, including NIFTP.13

There is some concern among cytopathologists that the changes in the World Health Organization classification of thyroid tumors may negatively influence the reliability and diagnostic yield of thyroid FNAC.14 Many issues remain unsettled, and despite efforts to better estimate the risk of malignancy in oncocytic cell lesions and to diagnose NIFTPs,15,16 most of these lesions will still remain in undetermined or suspicious cytologic categories, necessitating surgery for a definitive diagnosis.

In summary, we herein review our experience with the management of Bethesda category III thyroid nodules. We have confirmed an improvement in the management of lesions after the implementation of protocols, including an increase in the number of repeat FNACs and a more precise selection of patients for surgical intervention, resulting in a significant reduction in surgeries for hyperplastic nodules. After applying the new criteria for the Bethesda III category in our series, specifying the reasons for inclusion in this category has helped in better identifying potentially malignant cases. Additionally, ROSE continues to be an essential tool for enhancing the diagnostic yield of FNAC.

Declarations

Acknowledgement

None.

Ethical statement

This study was carried out in accordance with the recommendations of Helsinki Declaration (as revised in 2013). The protocol was approved by the Institutional Review Board Hospital Clínico San Carlos. The individual consent for this retrospective analysis was waived.

Data sharing statement

The dataset used in support of the findings of this study are available from the corresponding author at mgg10167@gmail.com upon request.

Funding

The authors have received no funding.

Conflict of interest

The authors declare no conflict of interest related to this publication.

Authors’ contributions

Design (MJFA, CDdA), writing (MJFA, MSP, PP, DH, JV), analysis (MJFA), imaging review and classification (SM, TG), review of cytological slides (MSP, PPA), review of surgical cases (SO). All authors have made a significant contribution to this study and have approved the final manuscript.

References

  1. Senashova O, Samuels M. Diagnosis and Management of Nodular Thyroid Disease. Tech Vasc Interv Radiol 2022;25(2):100816 View Article PubMed/NCBI
  2. Durante C, Grani G, Lamartina L, Filetti S, Mandel SJ, Cooper DS. The Diagnosis and Management of Thyroid Nodules: A Review. JAMA 2018;319(9):914-924 View Article PubMed/NCBI
  3. Papini E, Pacella CM, Solbiati LA, Achille G, Barbaro D, Bernardi S, et al. Minimally-invasive treatments for benign thyroid nodules: a Delphi-based consensus statement from the Italian minimally-invasive treatments of the thyroid (MITT) group. Int J Hyperthermia 2019;36(1):376-382 View Article PubMed/NCBI
  4. Alyas T, Hamid M, Alissa K, Faiz T, Tabassum N, Ahmad A. Empirical Method for Thyroid Disease Classification Using a Machine Learning Approach. Biomed Res Int 2022;2022:9809932 View Article PubMed/NCBI
  5. Turkkan E, Uzum Y. Evaluation of Thyroid Nodules in Patients With Fine-Needle Aspiration Biopsy. Cureus 2023;15(9):e44569 View Article PubMed/NCBI
  6. Cibas ES, Ali SZ. The Bethesda System for Reporting Thyroid Cytopathology. Thyroid 2009;19(11):1159-1165 View Article PubMed/NCBI
  7. Ali SZ, VanderLaan PA. The Bethesda System for reporting thyroid Cytopathology: Definitions, Criteria and Explanatory notes, 3rd ed. Cham: Springer; 2023 View Article
  8. Basolo F, Macerola E, Poma AM, Torregrossa L. The 5(th) edition of WHO classification of tumors of endocrine organs: changes in the diagnosis of follicular-derived thyroid carcinoma. Endocrine 2023;80(3):470-476 View Article PubMed/NCBI
  9. Ali SZ, Baloch ZW, Cochand-Priollet B, Schmitt FC, Vielh P, VanderLaan PA. The 2023 Bethesda System for Reporting Thyroid Cytopathology. Thyroid 2023;33(9):1039-1044 View Article PubMed/NCBI
  10. Estrada Muñoz L, Díaz Del Arco C, Ortega Medina L, Fernández Aceñero MJ. Thyroid Atypia/Follicular Lesion of Undetermined Significance: Attitudes towards the Diagnosis of Bethesda System III Nodules. Acta Cytol 2017;61(1):21-26 View Article PubMed/NCBI
  11. Jinih M, Foley N, Osho O, Houlihan L, Toor AA, Khan JZ, et al. BRAF(V600E) mutation as a predictor of thyroid malignancy in indeterminate nodules: A systematic review and meta-analysis. Eur J Surg Oncol 2017;43(7):1219-1227 View Article PubMed/NCBI
  12. Jia Y, Yu Y, Li X, Wei S, Zheng X, Yang X, et al. Diagnostic value of B-RAF(V600E) in difficult-to-diagnose thyroid nodules using fine-needle aspiration: systematic review and meta-analysis. Diagn Cytopathol 2014;42(1):94-101 View Article PubMed/NCBI
  13. Brandler TC, Liu CZ, Cho M, Zhou F, Cangiarella J, Yee-Chang M, et al. Does Noninvasive Follicular Thyroid Neoplasm With Papillary-Like Nuclear Features (NIFTP) Have a Unique Molecular Profile?. Am J Clin Pathol 2018;150(5):451-460 View Article PubMed/NCBI
  14. Díaz Del Arco C, Fernández Aceñero MJ. Preoperative Diagnosis of Neoplastic or Malignant Hürthle Cell Lesions: A Chimera?. Acta Cytol 2018;62(3):193-203 View Article PubMed/NCBI
  15. Pusztaszeri M, Bongiovanni M. The impact of non-invasive follicular thyroid neoplasm with papillary-like nuclear features (NIFTP) on the diagnosis of thyroid nodules. Gland Surg 2019;8(Suppl 2):S86-S97 View Article PubMed/NCBI
  16. Díaz Del Arco C, Fernández Aceñero MJ. Noninvasive Follicular Thyroid Neoplasm with Papillary-Like Nuclear Features: Can Cytology Face the Challenge of Diagnosis in the Light of the New Classification?. Acta Cytol 2018;62(4):265-272 View Article PubMed/NCBI

About this Article

Cite this article
Fernández-Aceñero MJ, Merino S, Hernández D, Ochagavia S, Saiz-Pardo M, Pérez Alonso P, et al. Atypia of Undetermined Significance in Thyroid Fine Needle Aspiration Cytology Revisited. J Clin Transl Pathol. 2024;4(2):55-60. doi: 10.14218/JCTP.2023.00062.
Copy        Export to RIS        Export to EndNote
Article History
Received Revised Accepted Published
November 29, 2023 January 15, 2024 March 8, 2024 May 6, 2024
DOI http://dx.doi.org/10.14218/JCTP.2023.00062
  • Journal of Clinical and Translational Pathology
  • pISSN 2993-5202
  • eISSN 2771-165X
Back to Top

Atypia of Undetermined Significance in Thyroid Fine Needle Aspiration Cytology Revisited

Mª Jesús Fernández-Aceñero, Salomé Merino, Desirée Hernández, Santiago Ochagavia, Melchor Saiz-Pardo, Pablo Pérez Alonso, Tomas Ganado, Jesús Vega, Cristina Díaz del Arco
  • Reset Zoom
  • Download TIFF