v
Search
Advanced

Publications > Journals > Journal of Clinical and Translational Pathology> Article Full Text

  • OPEN ACCESS

The World Health Organization Reporting System for Lung Cytopathology–A Review of the First Edition

  • Darin Dolezal1,
  • Ivana Kholová2,3 and
  • Guoping Cai1,4,* 
 Author information 

Abstract

The World Health Organization Reporting System for lung cytopathology is the first international system that was developed to standardize the reporting of lung cytopathology specimens across all settings of cytopathology practice. The system is composed of five diagnostic categories, which apply to all lung cytopathology specimen types. Each category contains cytomorphologic criteria, an estimated risk of malignancy, and clinical management recommendations. International uniformity in the reporting of lung cytopathology will refine the communication between cytopathologists and clinicians and ultimately improve patient care. Furthermore, standardizing the cytomorphologic criteria for each lesion will improve reproducibility among cytopathologists and highlight areas in lung cytopathology that require further research. The system also provides best practice recommendations for the selection of ancillary tests to aid in the diagnosis of each lesion, or group of lesions, keeping in mind that resources will vary across different practice settings. The goal of this review is to summarize the cytomorphologic criteria, potential diagnostic pitfalls, ancillary testing, estimated risk of malignancy, and clinical management recommendations for each diagnostic category.

Keywords

Lung, Cytopathology, WHO Reporting System, Risk of malignancy

Introduction

Lung cancer is the leading cause of cancer death and the second most common cancer diagnosis in both men and women.1 Lung cytopathology, via examination of sputum, bronchial brushing (BB), bronchial wash (BW), bronchioalveolar lavage (BAL), and fine needle aspiration biopsy (FNAB) specimens, plays a critical role in the diagnosis of suspected cancer, which often occurs at a late stage of disease when prompt and precise diagnosis offers the best opportunity for effective treatment. In recent years, utility of the lung FNAB has increased due to integration of endobronchial ultrasound (EBUS) bronchoscopy, which allows diagnosis and staging to be performed by a single EBUS-FNAB procedure. The increasing clinical importance of molecular testing has required a more precise classification of lung tumors that are diagnosed via FNAB and small biopsies. Therefore, consistent terminology and reporting standards are greatly needed to improve the clarity and reproducibility of communications between cytopathologists and clinicians, highlight areas in need of research, and facilitate clinical trial enrollment. The new first edition of the World Health Organization Reporting System for Lung Cytopathology (WHO System) provides categorical reporting to share information with clinicians in a uniform manner. It also aims to standardize the cytomorphology criteria for diagnosing each entity and provide guidelines for the selection of diagnostic ancillary testing.

In 2016, the Papanicolaou Society of Cytopathology proposed a 6-tiered lung cytopathology reporting system.2,3 This was followed by the proposed 4-tiered system from the Japan Lung Cancer Society and Japanese Society of Clinical Cytology (2020).4 The newly proposed WHO System, developed by the International Academy of Cytology (IAC) in collaboration with the International Agency for Research (IARC), represents an international consensus for the reporting of lung cytopathology. It is designed for use in a variety of practice conditions and recognizes diversity amongst different institutions. The five WHO System categories are classified with their estimated risk of malignancy (ROM): “Insufficient/Inadequate/Non-diagnostic,” “Benign,” “Atypical,” “Suspicious for malignancy,” and “Malignant” (Table 1). The estimated ROM for each WHO System category has, in this first edition, relied upon literature that uses older nomenclature and therefore will require refinement in future editions. Each category is also associated with further diagnostic recommendations and clinical management options, each of which considers the complexities of lung cancer patient populations and regional differences in the availability of medical resources. In all categories, management discussions require that cytopathology be correlated with clinical and imaging findings.

Table 1

The WHO Reporting System-estimated risk of malignancy (ROM) and clinical management following fine needle aspiration biopsy (FNAB)*

Diagnostic CategoryROMClinical Management Options
Insufficient/Inadequate/Non-diagnostic (1)43–53%Ideally, discuss at a multidisciplinary team meeting.
  Repeat FNAB +/− core needle biopsy
Benign (1, 2)19–64%Clinically confirmed to be benign?
  Inflammatory processes  Routine follow-up in 3–6 months
  Benign neoplastic lesionsNo clinical confirmation of a benign diagnosis?
  Repeat FNAB +/− core needle biopsy
Atypical (1, 2, 3, 4)46–55%Clinical correlation supports a benign diagnosis?
  Routine follow-up in 3–6 months
If there is no correlation with clinical findings?
  Repeat FNAB with ROSE +/− core needle biopsy
Suspicious for malignancy (1, 3, 4)75–88%Clinical correlation supports a malignant diagnosis?
  Consider definitive treatment
No clinical correlation that lesion is malignant?
  Repeat FNAB with ROSE +/− core needle biopsy
Malignancy (1, 4)87–100%Clinical correlation supports a malignant diagnosis?
  Non-small cell carcinomas  Provide definitive treatment
  Neuroendocrine neoplasmsNo clinical correlation that lesion is malignant?
  Lymphoproliferative diseases  Repeat FNAB with ROSE +/− core needle biopsy
  Other specific malignancies

The WHO System report is structured to improve quality and reproducibility within single practices, across institutions, and between countries. A final report is recommended to include a category heading, followed by either a specific diagnosis or likely differential diagnoses and, when applicable, a description of the relevant cytomorphologic features. Regarding the latter, the WHO System aims to provide cytomorphologic correlation with the entities listed in the 5th edition of the WHO Classification for Thoracic Tumors. The establishment of cytomorphologic criteria for each entity will further improve diagnostic accuracy and clarity in later WHO editions. Results of ancillary testing are recommended to be reported as an addendum or supplementary report, while studies performed at different laboratories (e.g. flow cytometry or molecular profiling) should also be referenced within the final report. As highlighted by the authors of this first edition, these recommendations for structured reporting are expected to prompt further debate that will inform subsequent WHO editions and ultimately improve patient care. The purpose of this article is to provide a concise overview of this new reporting system.

The reporting system

Insufficient/inadequate/non-diagnostic

A specimen that lacks sufficient material, in quantity or quality, to render a reliable diagnosis (Fig. 1). Although the terms, “Insufficient”, “Inadequate”, or “Non-diagnostic”, are equivocal, a single term should be routinely used by a single cytopathologist or institution.

Insufficient/Inadequate/Non-diagnostic.
Fig. 1  Insufficient/Inadequate/Non-diagnostic.

(a) Diff-Quik stained smear preparation with extensive crush/pressure artifact resulting in loss of cellular details. (b) FNAB specimen from a patient with a lung mass seen on imaging contains benign ciliated bronchial epithelial cells (Pap stain, liquid-based prep). Note that this specimen may also be reported as “Benign” with a statement that the material may not be representative of the lesion seen on imaging. FNAB, fine needle aspiration biopsy.

Diagnostic criteria

  • Insufficient cellular material, or cellular degeneration;

  • Preparation artifacts, including poor smearing, fixation, or staining;

  • Obscuring artifacts, including blood or mucus.

Absence of cytologic atypia; pathological microorganisms such as bacteria, fungi and parasites; nuclear or cytoplasmic viral cytopathic effects; abundant inflammatory cells or a granulomatous process; or diagnostic acellular material, including amyloid and aspiration material.

Specimen adequacy is poorly defined, mainly because there are no universal criteria for the number of cells required. Adequate sputum samples should have at least a few alveolar macrophages, ciliated columnar bronchial cells, and a sufficient volume to make at least two smears. Adequate BW and BAL samples should have >10 alveolar macrophages per 2 mm2 (approximately 20 per 10 HPFs).5 The number of bronchial epithelial cells should not exceed the number of macrophages in bronchial washes and BALs. Adequate bronchial brushing specimens should include many bronchial epithelial cells and alveolar macrophages may be present. Transthoracic FNAB should include alveolar macrophages with carbon particles, and potentially bronchial epithelial cells, Type II pneumocytes, and collapsed fragments of alveolar septal tissue. EBUS-FNABs should include >40 lymphocytes per high power field in an area of the highest cellularity or reactive bronchial cells.6

Rapid on-site evaluation (ROSE) is generally recommended at the time of FNAB to maximize adequacy and triage material for ancillary testing, thereby reducing the need for repeat procedures. ROSE has been shown to reduce the number of “Insufficient” FNABs compared to FNABs without ROSE.7,8 If ROSE is not available, then multiple FNAB passes are recommended to improve adequacy rates.

Differential diagnosis and potential pitfalls

If a cytopathology specimen contains only normal-appearing respiratory epithelial cells and pneumocytes, but the patient has an abnormal imaging finding such as a pulmonary nodule, should such a specimen be placed in the “Non-diagnostic” or the “Benign” category? In the Papanicolaou Society of Cytopathology System, such specimens are assigned to the “Non-diagnostic” category. In the first edition of the WHO Reporting System for Lung Cytopathology, such specimens may be assigned to the “Benign” category, but the final report must also include a statement that the sample material may not be representative of the target lesion and that further biopsy is recommended. Individual cytopathologists or institutions may still choose how they will report on such cases, as this decision may depend on local accessibility of clinical and imaging information, historical usage of certain terminology, and/or potential billing concerns.

Ancillary testing

Results of ancillary testing performed on inadequate specimens are of limited utility due to the high number of potential false negatives.

Risk of malignancy and clinical management recommendation

The risk of malignancy for the “Non-diagnostic” category is estimated to be 43–53% depending on the mode of sampling.9 For FNAB samples, the reported ROM is approximately 40% for endobronchial-guided procedures and as high as 60% for transthoracic procedures.3 Non-diagnostic exfoliative specimens including BBs, BWs, and BALs have a ROM of >60%. A high ROM is reported in non-diagnostic specimens from patients with a clearly defined pulmonary mass or lesion.

Although additional investigations are needed, new reassignment of specimens originally classified as “Non-diagnostic” to the “Benign” category will likely increase the risk of malignancy within the “Benign” category. Regardless, close clinical follow-up is essential to address the high ROM in both the “Non-diagnostic” and “Benign” categories. Routine auditing of “Non-diagnostic” rates is recommended to identify potential problems with specimen procurement, triage, and reporting.

Benign/negative for malignancy

A cytopathology specimen with unequivocally benign features, which may or may not be diagnostic of a specific process or benign neoplasm. The lesions in this diagnostic category may include both inflammatory processes and benign neoplastic disorders.

Diagnostic criteria

  • Cases diagnostic of acute inflammation, granulomatous disorders, or histiocytic/lymphocytic/eosinophilic inflammation;

  • Specific benign neoplasms;

  • Cases containing normal lung tissue components (respiratory epithelium, macrophages, and pneumocytes).

Inflammatory processes (Table 2)

Acute inflammation/suppuration (Fig. 2)
  • Neutrophils predominate, macrophages predominate in the resolution phase, and fibrinous proteinaceous background with or without degenerative changes;

  • Acutely inflamed fragments of bronchial epithelial cells and inflamed alveolar septa;

  • Variable counts of macrophages, eosinophils, lymphocytes, and plasma cells;

  • Bacteria or fungal elements commonly observed in special stains.

Table 2

Cytomorphologic features and ancillary testing findings of benign inflammatory processes

Specific EntitiesKey Cytomorphologic FeaturesAncillary Testing
Acute inflammation
Lung abscessAbundant neutrophils; Dirty necrotic background ; Variable atypia in epitheliumCultures for aerobic and anaerobic bacteria; Acid-fast bacteria as well as fungi
Aspiration pneumoniaNeutrophil accumulation (early); Birefringent plant cells and muscle fibers derived from food; Multinucleated giant cells and squamous metaplasia (late)GMS, PAS, Gram, and acid-fast stains; Cultures for bacteria and fungi; ICC and PCR for viral infections
Pulmonary infarctBronchial cell hyperplasia, enlarged nuclei with prominent nucleoli; Cytoplasmic vacuolization and loss of cilia &/or terminal bar; Neutrophils and hemosiderin-laden macrophagesGMS, PAS, and AFB stains to evaluate for fungi and acid-fast bacteria
Histiocytic, lymphocytic, and eosinophilic patterns
Lipoid pneumoniaExogenous lipid-laden macrophages; Foamy histiocytes with endogenous lipidsOil-Red-O or Sudan stain highlights lipid droplets
E-cigarette or vaping product use-associated lung injury (EVALI)Foamy and/or pigment-laden histiocytes; Mixed inflammatory infiltrateNegative for bacteria, fungi, and AFB; Macrophages may stain positive with Oil-Red-O
Pulmonary alveolar proteinosisMacrophages with cytoplasmic proteinaceous material; Homogenous proteinaceous globules in backgroundGlobules may be resistant to Pap stain; PAS stain is positive in proteinaceous material
Amiodarone-induced lung injuryMacrophages with fine, clear vacuoles, no protein globulesOil-Red-O and PAS stains negative
AsbestosisLipid-laden macrophages; Asbestos bodies (rod or dumbbell-shaped structures)Asbestos bodies are highlighted by iron stain; mass spectrometry may help in identification
Eosinophilic pneumoniaEosinophilia in background; Charcot-Leyden crystals (slender, pointed, up to 50 µm)Evaluate for parasites and other infection; Evaluation for drug-related toxicity
Langerhans Cell HistiocytosisMixed inflammation with larger histiocyte-like cells; Nuclei with longitudinal grooves (“coffee beans”); Vesicular chromatinS100, CD1a, and Langerin positive; Birbeck granules seen on electron microscopy; BRAF V600E common
Pneumocystis pneumonia (PCP)Foamy exudate with alveolar casts; Organisms refractile on Pap; Background inflammationGMS stain shows oval or crescentic cysts (2–5 µm); P. jirovecii immunofluorescence staining; PCR
Viral pneumoniasReactive atypia in epithelial cells, background lymphocytes; Intranuclear inclusions seen in HSV, CMV, and adenovirus; Cytoplasmic inclusions seen in RSV and measlesICC and PCR for specific organisms
Granulomatous disorders
SarcoidosisClearly demarcated nodules of epithelioid histiocytes; No necrosisNegative GMS and AFB stains
TuberculosisSmall epithelioid granulomas; Background caseating necrosis; Multinucleate giant cellsZiehl-Neelsen, Kinyoun, Fite stains show slender rods of acid-fast bacilli; PCR is more sensitive
Aspergillosis (acute invasive and chronic necrotizing)Aspergilloma (ball of fungus) with necrotic center; Slender septate hyphae (3–6 µm) with acute branching; Abundant epithelioid histiocytesSeptate hyphae at acute branch angles seen on GMS and PAS stains; Serum galactomannan assay
Other specific benign entities
Amyloidoma (Amyloid tumor)Dense acellular material, scant inflammationCongo Red stain displays apple-green birefringence
Aspergilloma.
Fig. 2  Aspergilloma.

(a) Diff-Quik stained smear showing the branched, septate hyphae of Aspergillus admixed with necrotic debris. (b) A mass of hyphal organisms that are strongly positive for GMS stain. GMS, Grocott methenamine silver stain.

Histiocytic, lymphocytic, and eosinophilic inflammatory patterns
  • Numerous histiocytes of variable cytomorphology, including multinucleated cells, and lipid- or hemosiderin-laden macrophages;

  • Numerous lymphoid cells of variable size and morphology, admixed with plasma cells, histiocytes, and eosinophils;

  • Numerous eosinophils, occasionally Charcot-Leyden crystals.

Granulomatous disorders (Figs. 3 and 4)
  • Epithelioid histiocytes in tissue fragments, elongated, indented nuclei, vaguely demarcated cytoplasm;

  • Necrosis present or absent, variable amount of hyaline sclerosis;

  • Possible microorganisms such as Mycobacterium tuberculosis, atypical mycobacteria, Aspergillus spp., Blastomyces, Cryptococcus, Coccidioides immitis, histoplasmosis, Mucormycosis, Francisella tularensis, and Pneumocystis jirovecii;

  • Correlate with microbiology studies, including culture and PCR-based tests;

  • Autoimmune diseases, foreign body reactions, hypersensitivity pneumonitis, and drug-related reactions.

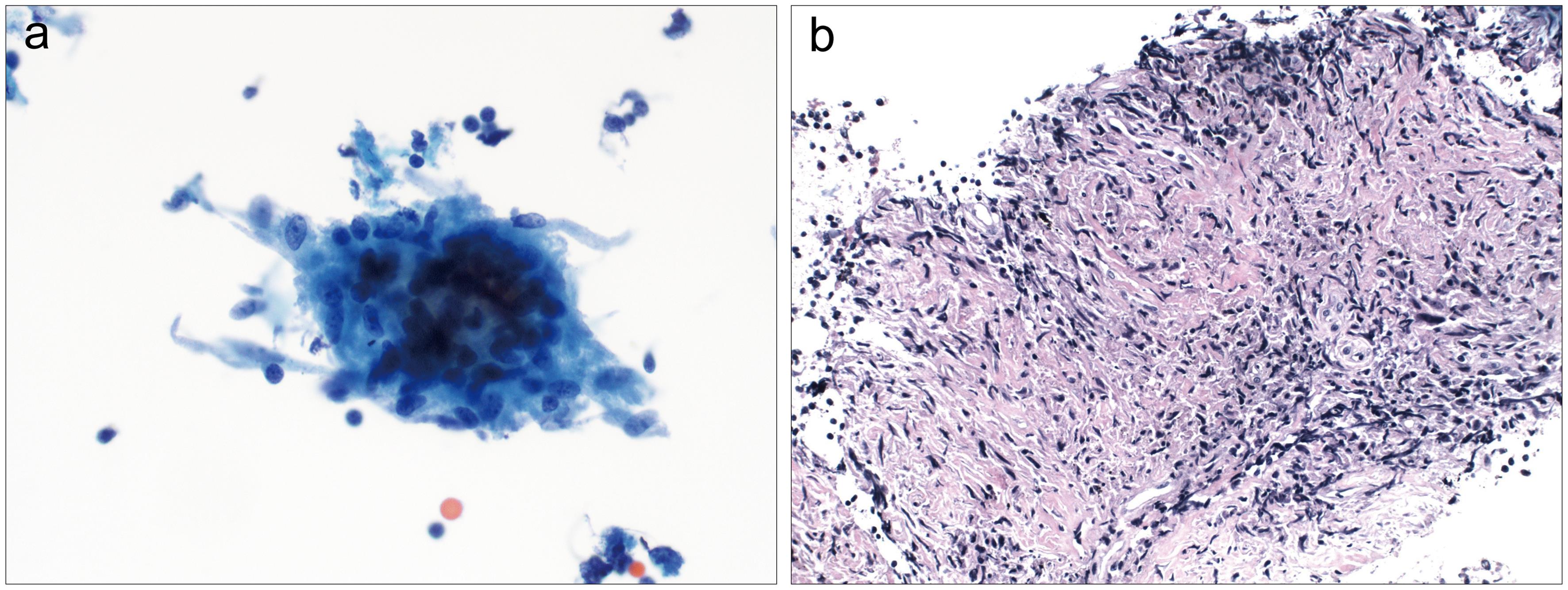
Tuberculosis.
Fig. 3  Tuberculosis.

(a) A small, loose-appearing epithelioid granuloma with background necrosis seen in a patient with Mycobacterium tuberculosis (Pap stain, liquid-based prep). (b) Loose-appearing granuloma composed of epithelioid histiocytes with foamy cytoplasm (H&E stain, cell block).

Sarcoidosis.
Fig. 4  Sarcoidosis.

(a) Pap-stained FNAB smear shows a non-necrotizing granuloma composed of epithelioid histiocytes (Pap stain, liquid-based prep). (b) H&E-stained cell block showing many epithelioid histiocytes with delicate cytoplasm and elongated nuclei. FNAB, fine needle aspiration biopsy.

Benign neoplastic lesions

Pulmonary hamartoma (Fig. 5)
  • Epithelial components can be prominent, in sheets;

  • Wispy fibromyxoid stroma with feathery outlines, containing bland fusiform and stellate stromal cells;

  • Mature cartilage tissue, and other mesenchymal elements such as adipose, bone, and muscle;

  • Immunocytochemistry: CK7 and TTF1 positive; fibromyxoid stroma can express S100.

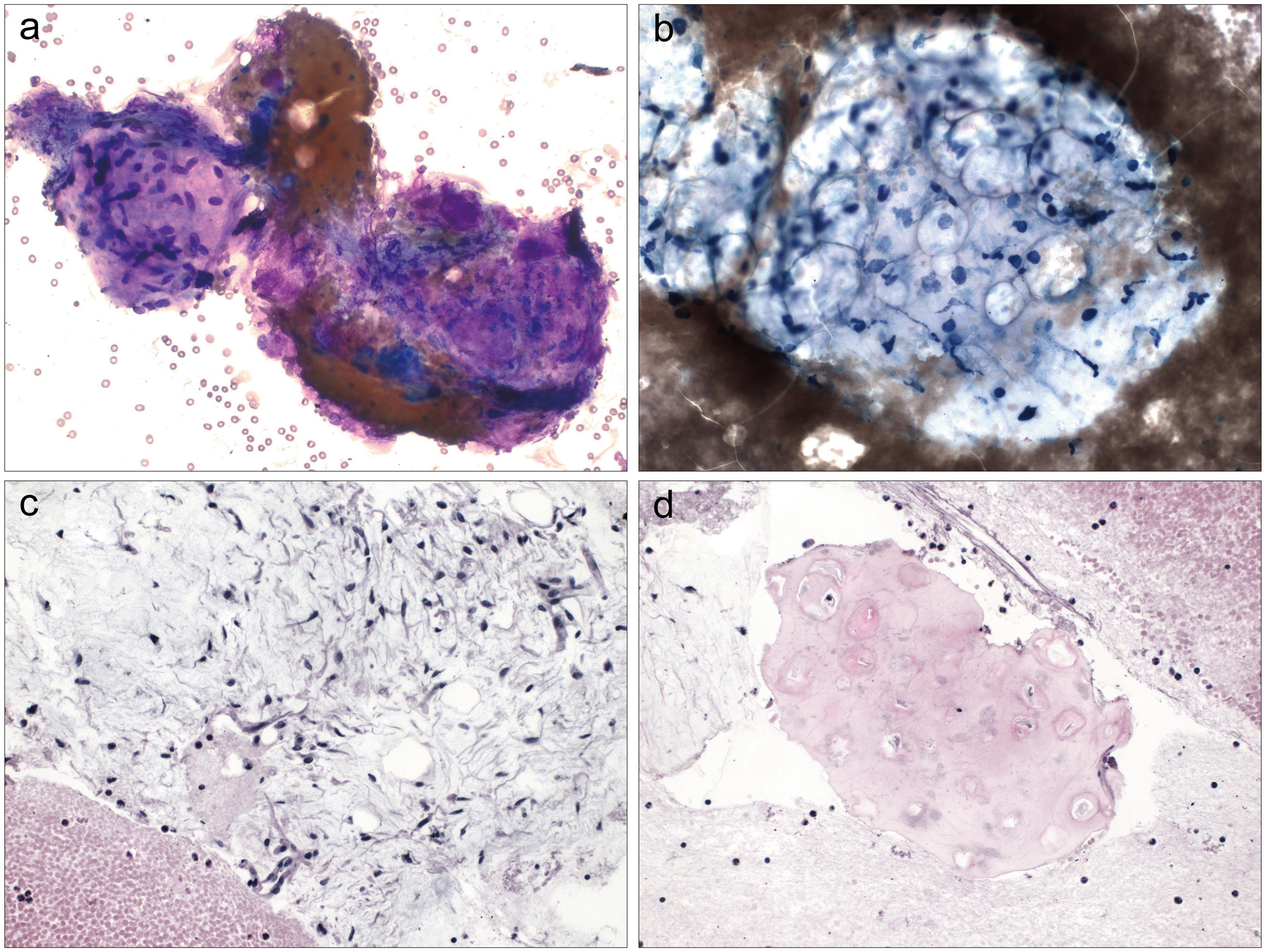
Hamartoma.
Fig. 5  Hamartoma.

Diff-Quik stained smear from lung FNAB showing fibromyxoid stroma with bland stellate cells (a) and admixed adipose tissue (b). The cell block from the same case shows myxoid area with bland spindle cells (c) and cartilaginous metaplasia (d, H&E stain). FNAB, fine needle aspiration biopsy.

Sclerosing pneumocytoma
  • Papillary fragments with stromal cores;

  • Dual population of epithelioid cells (polygonal to cuboidal) and stromal cells (round to spindled);

  • Nuclei can show varying degrees of atypia and mild anisonucleosis, and may contain intranuclear pseudoinclusions, nuclear grooves, and indistinct nucleoli;

  • Hyalinized stromal fragments may be seen;

  • Immunocytochemistry: surface cells are pan-CK, CK7, EMA, TTF1, and Napsin A positive; round cells are TTF1, EMA, and sometimes SMA and PR positive, but often negative for cytokeratins and Napsin A.

Solitary tracheobronchial papilloma
  • Rare; may be glandular, squamous, or mixed;

  • Loosely cohesive fragments of squamous cells ± keratinization, anucleated cells, koilocytic atypia;

  • Enlarged or hyperplastic columnar cells, cilia may be retained.

Salivary gland neoplasms
  • Pleomorphic adenoma – epithelial cells, myoepithelial cells, and chondromyxoid or fibrillary matrix;

  • Myoepithelioma – loose tissue fragments and single cells with clear, spindled, epithelioid, or plasmacytoid features; variable fibrillary or myxoid matrix;

  • Oncocytoma – loosely cohesive, large epithelioid cells, abundant granular cytoplasm, round nuclei with prominent nucleoli.

PEComa
  • Moderately cellular smears;

  • Cohesive fragments traversed by thin capillaries and scattered spindle cells;

  • Bland cells with round to oval nuclei, mild anisonucleosis, indistinct nucleoli; no atypia or mitoses;

  • Abundant clear or finely vacuolated cytoplasm; numerous bare nuclei may be observed in the background;

  • Immunocytochemistry: HMB45, S100, MART1, MyoD1, SMA, alpha-1 antitrypsin, NSE, and synaptophysin positive, PAS stain positive reflecting abundant glycogen.

Spindle cell tumors
  • Benign spindle cell tumors include Schwannoma, desmoid tumor, leiomyoma, solitary fibrous tissue, and inflammatory fibroblastic tumor. Their cytomorphologic features and ancillary testing are detailed in Table 3.

Table 3

Cytmorphologic features and ancillary testing findings of spindle cell neoplasms

Specific entitiesKey Cytomorphologic FeaturesAncillary Testing (1,2)
Benign
SchwannomaFocal palisading; spindled or wavy nuclei with pointed ends and fine, smooth chromatin; Fibrillary, fibrotic, or myxoid stroma; rare atypiaDiffuse, strong S100 and SOX10; Pancytokeratin staining is common; GFAP and CD34 is variable
Desmoid tumor (fibromatoses)Long fascicular fragments; Bland spindled fibroblasts/myofibroblasts; Oval nuclei with even chromatinNuclear β-catenin staining; CTNNB1 or APC mutations in up to 75% of cases; Patchy SMA staining, and rare desmin staining
LeiomyomaIrregular contoured cohesive fragments; Bland ovoid nuclei with blunted ends; Dense cytoplasm with distinct boundariesPositive for SMA and desmin; Negative for S100, c-kit, DOG1, β-catenin, and ALK
Solitary fibrous tumorDiscohesive fragments, irregular fascicles; Bland spindle cells, pale indistinct cytoplasm; Fusiform nuclei, prominent collagenous stromaCD34, STAT6 (nuclear), BCL2, EMA positive; Negative for pancytokeratin, S100, desmin, c-kit; Characteristic NAB2::STAT6 fusion
Inflammatory fibroblastic tumorFibroblast-like to epithelioid cells; Prominent nuclear atypia and nucleoli; Abundant plasma cells and lymphocytesPositive for SMA and ALK; ALK gene rearrangements
Malignant
Malignant peripheral nerve sheath tumorFascicles of spindle or epithelioid cells; Enlarged slender, wavy nuclei; Marked pleomorphism and mitosesS100 and SOX10 show patchy positivity
LeiomyosarcomaHypercellular; fascicles and dispersed cells; Blunt-ended nuclei, eosinophilic cytoplasm; Mitoses and necrosisPositive for SMA and desmin; Negative for S100, c-kit, DOG1, β-catenin, and ALK
Type A thymomaSpindled cells with oval nuclei and inconspicuous nucleoli; Type AB: admixed with lymphocytesPositive for pancytokeratin, p63, and p40
LymphangioleiomyomatosisSpindled to cuboidal cells with oval nuclei and minimal atypiaPositive for SMA, HMB45, melan-A, ER and PR; Negative for pancytokeratin and S100
Synovial sarcomaMonophasic: Uniform spindle cells with ovoid nuclei. Biphasic: Spindle and epithelioid cells in varying proportionsPositive for BCL2, EMA, pancytokerain, and CD99; TLE1 positivity is highly specific, negative for CD34; Characteristic SS18::SSX fusion
Sarcomatoid mesotheliomaHypocellular smears; few cohesive fragments of atypical spindle cells, ranging from bland to pleomorphic, occasionally collagenous stromaPositive often for low molecular weight cytokeratin, vimentin, WT1, D2-40, and calretinin; BAP1 is often retained in sarcomatoid form; Homozygous deletion of 9p21 (CDKN2A)
Spindle cell carcinomaFascicles and single spindle cells with pleomorphism, mitosis, and necrosisPositive for vimentin, variable cytokeratin and TTF1 staining; MET exon 14-skipping mutations
Spindle cell melanomaWhorls and single slender spindle cells; Variable nuclear pleomorphism; melanin pigmentPositive for S100, SOX10, and MART1; BRAF p.V600E
Spindle cell neuroendocrine tumorSingle cells, uniform ovoid or spindle nuclei: +/− plexiform vessels Carcinoid v. atypical carcinoid; +/− atypia, necrosis, mitosisPositive for neuroendocrine markers; MEN1 mutations
Pulmonary artery intimal sarcomaLoosely cohesive fascicles of malignant-appearing spindle cells; Variable nuclear atypiaVariable mesenchymal differentiation, may be positive for desmin, SMA, myogenin, S100, ERG, and CD31; MDM2, PDGFRA, and KIT amplifications
Meningiomas
  • Cohesive small sheets occasionally with a whorled pattern, spindled or epithelioid cells;

  • Fusiform nuclei, fine chromatin and small nucleoli, presence or absence of necrosis and mitoses, psammoma bodies;

  • Immunocytochemistry: EMA variable; vimentin positive.

Granular cell tumor (Fig. 6)
  • Medium to large-sized monomorphic round to oval polygonal cells, round nuclei, and small nucleoli;

  • Characteristic eccentric granular eosinophilic cytoplasm; fragile granules observed in the background;

  • Immunocytochemistry: S100, CD68, calretinin, and PAS positive; negative for cytokeratins, TTF1, SOX10 and DOG1.

Granular cell tumor.
Fig. 6  Granular cell tumor.

(a) Diff-Quik stain of FNAB specimen shows abundant bland polygonal cells with dense cytoplasm. The cell block shows tumor cells with small eccentric nuclei and abundant granular cytoplasm (b, H&E stain) that stain strongly for S100 (c). FNAB, fine needle aspiration biopsy.

Ectopic thyroid tissues
  • Cytomorphologic features of ectopic thyroid tissue include abundant thin colloids, macrophages, and follicular sheets without nuclear atypia;

  • Immunocytochemistry: Thyroid tissue confirmed with TTF1, thyroglobulin, and PAX8 antibodies.

Ectopic parathyroid tissues
  • Ectopic parathyroid neoplasms are hypercellular, display sheets and acini of epithelial cells with round nuclei, clear to dense cytoplasm, and have thin traversing blood vessels;

  • Immunocytochemistry: Parathyroid origin confirmed with PTH, GATA3, and chromogranin.

Differential diagnosis and potential pitfalls

The WHO System “Benign” category includes BWs, BBs, and FNABs containing normal bronchial cells and that lack evidence of a specific benign process or lesion. Under the Papanicolaou Society of Cytopathology system, such specimens would be assigned to the ‘Non-diagnostic’ category. This change in definition seeks to minimize the number of insufficient specimens while balancing risk of false-negative diagnoses. In cases with suspicious imaging findings but where only respiratory epithelial cells are observed on smears, the final report should include a statement that material may not be representative of the lesion observed via imaging.

In this new WHO System, neoplasms with uncertain malignant potential are assigned to the “Benign” category, including such entities as solitary fibrous tumor and inflammatory myofibroblastic tumor (Table 3). Smears of these entities may show bland spindled cells without the distinctive features to arrive at a specific diagnosis. Such cases may be reported as ‘benign spindle cell tumor’ and immunocytochemistry (ICC) on cell blocks may help to arrive at a more specific diagnosis. In general, when tumors of uncertain malignant potential are included in the differential diagnosis, the final report should include a statement about their possible aggressive nature.

Risk of malignancy and clinical management recommendation

The “Benign” category has a published ROM that varies from 19% to 64% across different practices.3,9 The final report of a benign specimen should be correlated with clinical and imaging findings when available (i.e. the ‘Triple Test’). In cases with discordant clinical/imaging and cytopathology findings, a statement should be included in the final report to communicate that the material in the specimen may not represent the lesion seen on imaging (Table 1). If a specific diagnosis cannot be established via cytology, recommendations for further diagnostic testing should be offered in the final report.

When a cytologic diagnosis of an inflammatory process correlates with imaging findings, then routine follow-up at 3–6 months (e.g. following treatment of infection) may be recommended. For benign neoplasms diagnosed on cytology that correlate with imaging findings, the decision of whether to perform a limited surgical resection depends on the type of tumor and the patient’s symptoms (e.g. bronchial obstruction). Benign sputum samples from patients with indeterminant or suspicious imaging findings should prompt consideration of a BW, BB, or FNAB. A FNAB with a benign categorization that does not correlate with clinical/imaging findings should prompt consideration of either repeat sampling with a core needle biopsy or a limited resection if clinically appropriate.

Atypical

A specimen with cytomorphologic features that are predominantly benign, but there are some features that may raise the possibility of a malignant lesion.

Diagnostic criteria

  • Scant cellularity specimens with features suggestive of epithelial malignancy or lymphoproliferative disorder;

  • Nuclear atypia secondary to iatrogenic effects, particularly radiation and chemotherapy:

    • Low N:C ratio, cytoplasmic vacuolization, nucleomegaly and pleomorphism;

  • Atypical bronchial or epithelial cells with extreme reactive or reparative changes:

    • Loss of architectural polarity, cytomegaly, anisonucleosis, minor nuclear membrane irregularities, lack of cilia;

  • Reserve cell hyperplasia (RCH):

    • Small cells with high N:C ratio, round nuclei, and hyperchromasia;

  • Squamous or other metaplastic changes (e.g. goblet cell hyperplasia mimicking mucinous adenocarcinoma):

    • Low N:C ratio, hyperchromasia, round/elongated nuclei;

  • Background elements suggestive of a neoplasm, such as necrotic or keratinous debris, thick mucin, or apoptotic cells;

  • Spindle cell lesions with bland cytopathology, in the absence of (or prior to result of) ancillary testing that can provide a more definitive diagnosis.

Differential diagnosis and potential pitfalls

The “Atypical” category includes lesions with intrinsic cytopathological characteristics that cannot be confidently called benign. Distinction should be made as to whether the atypical cells represent a distinct cell population, which favors a neoplastic lesion, or whether there is a continuum of normal to atypical respiratory epithelial cells, which favors a reactive process.2,3,10 Before categorizing a specimen as “Atypical,” it is recommended that clinical and imaging findings are reviewed. Chest imaging studies are helpful in differentiating mass-forming lesions from diffuse, cystic, or cavitary lesions.

Nonspecific reactive changes may be present in the setting of inflammatory conditions, and such cases usually demonstrate a prominent inflammatory background. RCH, which is expressed in chronic inflammation, is a classic mimic of neuroendocrine tumors. Specimens displaying RCH usually have low cellularity and rare, atypical tissue fragments. Individual cells show a high N:C ratio, coarse chromatin, and single nucleoli. Hyperplastic Type 2 pneumocytes, which display enlarged nuclei, prominent nucleoli, crowding, and overlapping (Creola bodies), may be encountered in the setting of acute respiratory distress syndrome or chronic obstructive pulmonary disease and mimic a mucinous adenocarcinoma. Bronchial cells infected with viruses (e.g. HSV, CMV) may display cytomegaly, abnormal chromatin margination, multinucleation, and inclusions. It is recommended that inflammatory, degenerative/regenerative, therapy-related, and other reactive conditions be described as ‘changes’ rather than ‘atypical.’

Precursor lesions (i.e. dysplasia) leading to squamous cell carcinoma of the respiratory tract cannot be diagnosed on cytopathology and may also be included in the “Atypical” category. The category may also include specimens that have technical issues related to obtaining and preparing the material (e.g. poor smear preparation). Suboptimal and paucicellular specimens may remain equivocal, even following attempts at ancillary testing.

Ancillary testing

Following the identification of atypical cells, an attempt should be made to resolve the diagnosis by performing additional tests. Additional liquid-based preparations and/or cell blocks may be helpful. Atypical lymphoid cells should be submitted for flow cytometric analysis. Immunohistochemistry studies may be helpful for distinguishing, in particular, spindle cell neoplasms (Table 3). Microbiology cultures and molecular-based techniques may result in the identification of a specific infectious organism. Considering ancillary test results, ‘Atypical’ cases may be reclassified as “Benign,” “Suspicious for malignancy,” or “Malignant.” However, in general, ancillary studies are not recommended on specimens with scanty atypical cells due to the high risk of false-negative results.11–13

Risk of malignancy and clinical management recommendation

Reported ROMs for the “Atypical” category vary widely, in part due to a limited number of published studies. Considering all respiratory cytopathology specimens together, the estimated ROM is reported to be 46–55%, ranging from 22% to 62% in the literature.3,14 The initial step in the clinical management of an ‘Atypical’ case includes correlation with clinical and imaging findings. An atypical sputum sample may be repeated, or a more invasive procedure (e.g. bronchial washing, brushing, or FNAB) may be indicated. An atypical FNAB may prompt either a repeat FNAB or a core needle biopsy, if there is clinical suspicion of malignancy. If an atypical FNAB correlates with benign clinical and imaging findings, then clinical observation may be appropriate.

Suspicious for Malignancy

A specimen that is most likely malignant but where the features are insufficient either in quality or quantity to render a definitive diagnosis of malignancy.

Diagnostic criteria

  • Features of malignancy are either insufficient in quality or in number to favor a benign or malignant process:

    • Architectural features include the loss of cellular polarity, crowding and overlapping of nuclei, nuclear molding, and variability in cell size;

    • Nuclear features include nuclear size and shape, nucleolar size, and chromatin pattern;

  • Presence of significant cytologic atypia (e.g. nuclear enlargement, anisonucleosis, irregular nuclear membranes, hyperchromatic chromatin, prominent nucleoli) in only a small number of cells;

  • Prior radiation or chemotherapy may result in atypical specimens with low cellularity;

  • Necrosis, inflammation, granulomatous reactions, or fibrosis may result in specimens with low cellularity;

  • Alternatively, only subtle features of cytologic atypia (e.g., cells are minimally crowded and overlapping, slight nuclear enlargement, and mild nuclear pleomorphism) can be observed:

    • Atypical features may overlap with reactive bronchial epithelium;

    • Well-differentiated adenocarcinomas, including those with a lepidic pattern, show low nuclear atypia.

Differential diagnosis and potential pitfalls

The “Suspicious for Malignancy” category is used to convey a high degree of concern for malignancy, but making this distinction is subjective and has high interobserver variability. The differential diagnosis for the “Suspicious for malignancy” category usually includes entities in both “Atypical” and “Malignant” categories. A differential diagnosis should always be included in the final cytopathology report.

Highly reactive cellular changes can result in cytomegaly and anisonucleosis, although nuclei tend to show uniform changes within a given tissue fragment. They may display nuclear membrane irregularities or indentations. The presence of cilia is a helpful clue to distinguish normal bronchial epithelial cells from malignant cells, although it is important to remember that cilia can still be lost in reactive conditions. Squamous metaplasia may occur in the setting of abscess, infection, or following radiotherapy, and may mimic well-differentiated squamous cell carcinoma. Metaplastic cells display low N:C ratio, regular round nuclei, and hyperchromatic chromatin. Keratinaceous debris may mimic tumor necrosis.

Although ROSE has been shown to reduce the rate of “Suspicious for malignancy,” there are some tumors with intrinsic characteristics, such as abundant necrosis or fibrosis, which limit the ability to obtain highly cellular specimens. Prior radiation and/or chemotherapy may result in a specimen of low cellularity that displays significant cytologic atypia. Small tumor size and tumor location may also result in cytopathology specimens of low cellularity. In such cases, the ability to obtain a definitive diagnosis may be limited by the technical ability of the interventionalist to obtain sufficient tissue.

Ancillary testing

ICC may be employed to confirm the presence of metastatic tumors or to confirm the presence of tumors with neuroendocrine differentiation. Site-specific markers (e.g. breast, colon, kidney) may be useful to demonstrate the presence of metastatic carcinoma in suboptimal lung cytopathology specimens. However, overall poor specimen quantity or quality may still preclude a definitive diagnosis even following ICC evaluation. ICC may also be helpful in differentiating crush artifact from neuroendocrine carcinoma or lymphoma, although the interpretation ICC in this setting may be challenging. ICC cannot be used to distinguish primary non-small cell lung carcinoma (NSCLC) from benign/reactive conditions because TTF1 (marker of lung adenocarcinoma) and p40 (marker of squamous cell carcinoma) are also expressed in reactive lung epithelium.

Risk of malignancy and clinical management recommendation

The ROM in this category is 75–88% and can be as high as 100% for exfoliative specimens.4,9,15 Cases in this category are not considered definitive and therefore good communication with the clinical team is critical. For sputum samples in this category, a repeat sputum, BW, BB, BAL, or FNAB may be indicated (Table 1). For suspicious FNABs, repeat FNAB with ROSE with or without a core needle biopsy may be performed. Definitive treatment may be considered following discussion in a multidisciplinary setting and when clinical and imaging findings also support a diagnosis of malignancy.

Malignant

The ‘Malignant’ category is used when a specimen demonstrates unequivocal cytomorphologic features of malignancy. Malignant neoplasms include non-small cell carcinomas, neuroendocrine neoplasms, lymphoproliferative diseases, and other malignancies.

Diagnostic criteria

Non-small cell carcinomas

Adenocarcinoma (Fig. 7)
  • Variable cellularity, high in BBs and FNABs and low in sputum samples;

  • Patterns include flat sheets, three-dimensional clusters, glandular/acini formations, papillae with fibrovascular cores, and disaggregated single cells;

  • Large columnar or cuboidal cells with loss of polarity and basal nuclei;

  • Prominent nucleoli, minor nuclear membrane irregularities, and fine to coarse chromatin;

  • Abundant foamy cytoplasm is common; intracytoplasmic mucin is present in mucinous and enteric variants;

  • Background necrotic debris, mucin, and psammoma bodies.

Adenocarcinoma.
Fig. 7  Adenocarcinoma.

(a) Dispersed well-differentiated adenocarcinoma cells with mild anisonucleosis, round nuclei with regular nuclear membranes, and conspicuous nucleoli (Pap stain, liquid-based prep). (b) Cohesive fragments of tumor cells with large, peripherally-located nuclei and vacuolated cytoplasm (Diff-Quik stain, smear). (c) Tumor cells with enlarged round nuclei, occasional macronucleoli, and delicate cytoplasm admixed with inflammatory cells (Pap stain, smear). (d) A crowded sheet of poorly-differentiated adenocarcinoma cells showing loss of polarity, nuclear pleomorphism, and hyperchromasia (Pap stain, liquid-based prep).

Squamous cell carcinoma (SCC) (Fig. 8)
  • Cellular specimen with flat sheets and single cells;

  • Orangeophilic (Pap) or ‘robin’s egg’ blue (Diff-Quik) cytoplasm in well-differentiated keratinizing SCC;

  • Keratinized cells with dense pyknotic nuclei or large angular nuclei with inconspicuous nucleoli common in well differentiated keratinizing SCC;

  • Centrally placed, pleomorphic nuclei with dense chromatin and prominent nucleoli observed in poorly differentiated non-keratinizing SCC;

  • Basaloid subtype shows high N:C ratio, dense granular chromatin, and nuclear palisading;

  • Background dirty necrosis, keratin debris, or multinucleated giant cells may be prominent.

Squamous cell carcinoma.
Fig. 8  Squamous cell carcinoma.

(a) A cohesive tumor fragment with dense, waxy cytoplasm and hyperchromatic nuclei on Pap stain (liquid-based prep). (b) Tumor fragments showing well-demarcated cell borders, pleomorphic nuclei with irregular chromatin, and numerous mitoses (H&E stain, cell block).

Non-small cell carcinoma (NSCC), NOS
  • Specimens lacking cytopathologic features of glandular or squamous differentiation, including glandular architecture, presence of mucin, keratinization, intercellular bridging, and dense cytoplasm;

  • The use of ICC has reduced the proportion of NSCC, NOS to 7–14%.16,17

Other specific carcinomas

Salivary gland-type carcinomas
  • Vast majority of primary pulmonary salivary gland-type tumors are malignant;

  • Mucoepidermoid carcinoma is most common and consists of mucous cells, epidermoid cells, and intermediate cells; high grade features include solid growth pattern, necrosis, and mitosis;

  • Adenoid cystic carcinoma most commonly shows a cribriform architecture (less commonly tubular or solid) with small basaloid cells surrounding dense, acellular material.

Adenosquamous carcinoma
  • Specimen shows components of both adenocarcinoma and squamous cell carcinoma;

  • Squamous component may be basaloid, keratinizing, or nonkeratinizing.

Pleomorphic carcinoma
  • Large, discohesive, highly pleomorphic cells (either rounded or spindled);

  • Tumor giant cells, necrotic debris, inflammation, and collagen-rich stroma often present in the background.

Pulmonary blastoma
  • A biphasic tumor composed of a well-differentiated fetal adenocarcinoma component, with focal squamoid cells forming morules, and an adjacent blastemal sarcomatous component;

  • ICC: Nuclear and cytoplasmic ß-catenin are observed in both components.

Carcinosarcoma
  • A biphasic tumor composed of an adenocarcinoma, squamous, or undifferentiated carcinoma component, with malignant mesenchymal cells (spindled or giant cell morphology) cells, and heterologous stromal differentiation including primitive skeletal muscle, and/or malignant bone or cartilage.

NUT carcinoma
  • Tight nests and discohesive single cells, monotonous, round, and with high N:C ratio;

  • Nuclei show finely granular chromatin, prominent nucleoli, and abundant mitoses;

  • ICC: Pan-cytokeratin and p63 positive; usually negative for TTF1 and neuroendocrine markers;

  • Detecting NUTM1 gene rearrangement by FISH or ICC is useful.

Thoracic SMARCA4-deficient undifferentiated tumor (SMARCA4-UT)
  • Loosely cohesive, relatively monotonous epithelioid cells (although may be pleomorphic);

  • Rhabdoid morphology may be present, eccentric round nuclei with prominent nucleoli and high mitotic activity;

  • ICC: Loss of SMARCA4 (BRG1) expression is sufficient for diagnosis, cytokeratin and claudin-4 expression is usually absent or focal/weak, and synaptophysin expression is common;

  • Rare NSCLCs are SMARCA4-deficient, but may be differentiated from SMARCA4-UT by presence of gland formation or keratinization, absence of rhabdoid morphology, and strong expression of cytokeratin.

Neuroendocrine neoplasms

Carcinoid/neuroendocrine tumors (Fig. 9)
  • Neoplastic cells arranged in nested, trabecular, and pseudorosette patterns;

  • Plasmacytoid, spindled, and oncocytic cell morphology;

  • Nuclei are uniform, round, and display fine ‘salt and pepper’ chromatin;

  • Binucleation, neuroendocrine atypia, and naked nuclei may be present;

  • Prominent nucleoli and increased mitoses may be observed in atypical carcinoid;

  • Usually, a clean or finely granular background.

Carcinoid/neuroendocrine tumors.
Fig. 9  Carcinoid/neuroendocrine tumors.

(a) Pap-stained smear showing loosely-cohesive tumor cells with smooth round nuclei and finely granular chromatin, admixed with thin fibrovascular strands. (b) Cell block preparation from case shown in (a) (H&E stain).

Small cell carcinoma (Fig. 10)
  • Single discohesive cells, forming into cords and pseudorosettes, with molding and crush artifact;

  • Malignant cells have high N:C ratio, scant cytoplasm and pale eosinophilic cytoplasm;

  • Nuclei are large, angulated, and display fine ‘salt and pepper’ chromatin;

  • Frequent mitoses, background necrosis and apoptotic bodies.

Small cell carcinoma.
Fig. 10  Small cell carcinoma.

(a) Single intact tumor cells with high N:C ratio and finely granular chromatin admixed with inflammatory cells (Pap stain, liquid-based prep). (b) Abundant tumor cells displaying scant cytoplasm and small dark nuclei, with background apoptotic debris (H&E stain, cell block).

Large cell neuroendocrine carcinoma
  • Highly cellular with loosely cohesive fragments and single cells;

  • Cytomorphologic features overlap with small cell carcinoma (SCLC), including enlarged nuclei displaying fine ‘salt and pepper’ chromatin, frequent mitoses, and prominent necrosis;

  • Compared to SCLC: less nuclear molding, more abundant cytoplasm, and more often prominent nucleoli.

Lymphoproliferative discorder

Extranodal marginal zone lymphoma (MZL)
  • Monocytoid cells with clear cytoplasm and background lymphoglandular bodies;

  • Plasma cells abundant, amyloid may be present;

  • Flow cytometry studies are critical in demonstrating CD20+ clonal B-cells;

  • ICC is of limited use due to lack of characteristic phenotypic markers.

Primary pulmonary diffuse large B-cell lymphoma (DLBCL)
  • Large discohesive cells with single prominent nucleolus and eccentric cytoplasm (immunoblastic subtype) or multiple nucleoli (centroblastic subtype), and scant cytoplasm;

  • Frequent mitoses and apoptotic bodies;

  • Flow cytometry has lower sensitivity for DLBCL owing to the fragility of the cells;

  • ICC is often required to distinguish from poorly differentiated carcinoma or melanoma.

Pulmonary Langerhans cell histiocytosis
  • Large cells with pale nuclei and nuclear grooves, multinucleation, and background inflammatory cells including eosinophils;

  • Immunocytochemistry: Langerhans cells express CD1a and S100.

Erdheim-Chester disease
  • Histiocytes with abundant foamy cytoplasm and without nuclear grooves, and background Touton-type giant cells may be observed;

  • Immunocytochemistry: Positive for CD68 and CD163, and negative for CD1a, Langerin, and S100 (usually).

Malignant spindle cell tumors (Table 3, Fig. 11) and other malignancies

Paraganglioma
  • Syncytial groups of tumor cells with intervening thin fibrovascular septa (Zellballen);

  • Epithelioid or spindled cells with round nuclei, even chromatin, clear or granular cytoplasm, and showing occasional endocrine atypia;

  • Immunocytochemistry: Positive for neuroendocrine markers and negative for cytokeratins and TTF1 (S100 may highlight sustentacular cells).

Synovial sarcoma.
Fig. 11  Synovial sarcoma.

(a) Medium-sized bland spindle cells with tapered borders and finely granular chromatin (Pap stain, liquid-based prep). (b) Spindle cells with ovoid nuclei and scant cytoplasm, showing no significant atypia (H&E stain, cell block). (c) Bcl2 immunostaining shows robust nuclear and cytoplasmic staining in tumor cells. (d) Break-apart FISH SYT rearrangement analysis showing split green and red signals in tumor cells, indicating that a SYT gene rearrangement is detected.

Diffuse pleural mesothelioma (Fig. 12)
  • Very high cellularity specimen;

  • Variable growth pattern, pleomorphism ranging from that of benign to gigantic cells, atypical mitoses;

  • Loss of nuclear BAP1 staining by ICC and homozygous deletion of CDKN2A by FISH help to distinguish from benign proliferations;

  • BerEP4 and MOC31 show focal ICC staining in a significant number of mesotheliomas, whereas claudin-4, CEA, and B72.3 are more specific for carcinoma.

Malignant mesothelioma, epithelioid subtype.
Fig. 12  Malignant mesothelioma, epithelioid subtype.

(a) Pap-stained smear displaying morular clusters with slightly enlarged nuclei and features otherwise characteristic of mesothelial cells including windows, scalloped borders, and two-tone cytoplasm. (b) Cell block preparation from case shown in (a) (H&E stain). BerEP4 immunostaining is focally positive (c) and calretinin immunostaining is diffusely and strongly positive (d).

Primary germ cell tumors of the mediastinum
  • Seminoma: dispersed tumor cells with a fragile cytoplasm, stripped nuclei, prominent nucleoli, and tigroid (PAS+ glycogen) background;

  • Yolk sac tumor (YST): often less uniform than seminomas, with background ropy metachromatic material;

  • Embryonal carcinoma: high-grade pleomorphism and numerous mitoses;

  • Choriocarcinoma: characteristic cytotrophoblasts and/or intermediate trophoblasts, and bizarre syncytiotrophoblasts, with abundant necrosis;

  • Immunocytochemistry: On limited material, a panel including OCT3/4, CD30, glypican-3, AFP, HCG, and pancytokeratin is recommended. OCT3/4 is positive in seminomatous and embryonal carcinoma components, whereas YST is positive for glypican-3 and AFP. Embryonal carcinoma and choriocarcinoma are positive for CD30 and HCG, respectively;

  • Mature teratomas: benign epithelial components, often mucoid or cystic background;

  • Immature teratomas: small round blue cell tumor with rosettes, high N:C ratios, and neuropil.

Primary angiosarcoma of the lung
  • Single cells and tissue fragments with irregular vascular spaces, tumor cells with spindled to epithelioid morphology, with elongated or pleomorphic nuclei and coarse chromatin;

  • Immunocytochemistry: Positive for endothelial markers CD31, CD34, ERG, and FLI1; may also be positive for cytokeratin.

Metastases
  • Metastatic adenocarcinoma from breast, prostate, gastrointestinal tract, and kidney mimics their morphology at primary sites;

  • Breast carcinomas frequently show small nests and single cells with high N:C ratio, eccentric nuclei and cytoplasmic vacuoles;

  • Colorectal carcinomas typically show glandular structures with oriented columnar cells and necrosis;

  • Determining primary lung vs. metastatic squamous cell carcinoma requires clinical/radiologic correlation.

Differential diagnosis and potential pitfalls

Small cell carcinoma vs. mimics

The SCLC differential diagnosis includes other neoplasms composed of small round blue cells, including carcinoid/atypical carcinoid, basaloid squamous cell carcinoma, LCNEC, adenoid cystic carcinoma, and lymphomas. See Table 4 for distinguishing cytomorphologic and immunophenotypic features of these entities. SCLC may even be mistaken for benign elements such as lymphocytes and reserve cell hyperplasia, particularly in scant or degenerated samples. Although smaller than adenocarcinoma cells, a typical SCLC cell is still significantly larger than a lymphocyte (but usually <3x). SLCLs are usually positive for cytokeratins (characteristic dot-like cytoplasmic staining) and neuroendocrine markers chromogranin A, synaptophysin, CD56, and INSM1.18–21 Chromogranin and synaptophysin stains are negative in a subset of SCLC, and CD56 and INSM1 may be helpful in confirming neuroendocrine differentiation in such cases.19–21 Ki-67 can be utilized in cytopathological specimens to help distinguish between high-grade NEC from atypical carcinoid, although it is not part of the diagnostic criteria. TTF1 is usually positive in SCLC cases (∼80–90%) but this is not specific for lung origin,18,19 whereas Napsin A is reliably negative in SCLC.22 An extrapulmonary small cell carcinoma cannot be ruled out by ICC or ancillary testing and this diagnosis must rely on clinical history. Markers of squamous differentiation (e.g. p40) are almost always negative in SCLC, although rare patchy staining may sometimes be observed.18,19

Table 4

Cytmorphologic features and ancillary testing findings of small cell carcinoma and its mimics

Specific entitiesKey Cytomorphologic FeaturesAncillary Testing
Small cell carcinomaTumor cells 3x the size of lymphocytes; High N:C ratio with salt and pepper chromatin; Frequent mitoses and apoptoses; Molding and crush artifactPositive for pan-CK with dot-like cytoplasmic staining; Positive for NE markers (some cases may be negative); Negative for p40 and high molecular weight cytokeratins (e.g. CK5/6); Ki67 proliferation index >40%; RB1 and TP53 mutations
Reserve cell hyperplasiaReactive nuclear changes and cellular adhesions; Minimal molding, no mitoses, no kayorrhexisNegative for NE markers
Large cell neuroendocrine carcinomaLoosely cohesive groups and in syncytial fragments; Prominent nucleoli and abundant cytoplasm; Traversing vessels may be presentPositive for NE markers; Ki67 proliferation index is >40%
Basaloid squamous cell carcinomaCell clusters and peripheral palisadingPositive for p40 and HMWCKs; Negative for NE markers
Carcinoid/Atypical carcinoidSingle cells and nested/trabecular structures; Plasmacytoid, spindled, or oncocytic; Prominent nucleoli, increased mitoses, and focal necrosis may be seen in atypical carcinoidPositive for NE markers; Ki67 helpful in distinguishing from high grade neuroendocrine carcinoma
Lung adenocarcinoma3D clusters, prominent nucleoli, coarse chromatin and vacuolated cytoplasmPositive for Napsin A and CK7; Negative for NE markers
Merkel cell carcinomaIndistinguishable from small cell carcinomaPositive for CK20 in perinuclear, dot-like pattern; Positive for Merkel cell polyoma virus
Ewing sarcoma/primitive neuroectodermal tumorTumor cells 1-2x the size of lymphocytes; Round nuclei, fine chromatin, moderate vacuolated cytoplasm; tigroid backgroundPositive for CD99 and FLI1; Negative for cytokeratins; EWRS1-FLI1 fusion
NUT carcinomaSheets and nests of tumor cells; Abrupt keratinization; Vesicular chromatin and prominent nucleoliPositive for NUT, negative for NE markers and TTF1; NUTM1 gene rearrangements
Adenoid cystic carcinomaLuminal epithelial cells surrounded by myoepithelial cells and arranged in a 3D pattern; Spaces that may contain metachromatic materialPositive for LMWKs and CD117 in epithelial cells and LMWKs, p40, SMA and S100 in myoepithelial cells; MYB-NFIB fusion
LymphomasSingle intact cells; Lymphoglandular bodiesPositive for clonal lymphoid markers; Negative for cytokeratin and NE markers
ParagangliomaNests surrounded by fibrovascular septa; Abundant eosinophilic or clear cytoplasmPositive for NE markers and S100 in sustentacular cells; Negative for cytokeratins
MelanomaVariable morphology; cherry-red nucleoli; Melanin pigment in backgroundPositive for S100, SOX10, HMB45, and MART1; Negative for cytokeratins and NE markers
Metastatic lobular breast carcinomaVariable morphology; cytoplasmic vacuolization; Peripherally located nucleusPositive for breast markers; Negative for NE markers

Mesothelial proliferation vs. non-small cell carcinoma on fluid cytology

In cases of suspected mesothelioma, ancillary testing is used to establish mesothelial cell origin and to determine whether the proliferation is malignant or benign. Two epithelial and two mesothelial ICC markers are recommended to establish cell lineage in this setting. The epithelial markers claudin-4, CEA, and B72.3 are more specific in this setting than BerEP-4 and MOC31, which are known to show focal staining in a significant portion of mesotheliomas.23–26 Although calretinin and CK5/6 are sensitive mesothelial markers, it is well-known that they are both also expressed in some carcinomas.27–31 Mesothelial markers WT1 and D2-40 cannot be used to distinguish mesothelioma and serous carcinomas, which also stain positive.23,32 The loss of nuclear BAP1 expression by ICC is helpful to distinguish mesothelioma from benign mesothelial proliferation.33–37 The homozygous deletion of CDKN2A (9p21) by FISH detects mesothelioma with high specificity in this setting.35,38–41 MTAP, which is located adjacent to CDKN2A on chromosome 9, is co-deleted in 90% of tumors and therefore loss of cytoplasmic MTAP by ICC may be used as a surrogate for CKDN2A deletion.34,35,38,42,43 It is recommended that ICC for BAP1 and MTAP be performed on formalin-fixed cell blocks, as their performance is reported as suboptimal on alcohol-fixed slides.

Ancillary testing

Non-small cell carcinoma subtyping

Specific classification of NSCC on cytopathology, either as adenocarcinoma or squamous cell carcinoma, is becoming increasingly important to guide ancillary biomarker/molecular testing and eventually targeted therapy. If established cytomorphological criteria are present, such as glandular or acinar tissue fragments and/or mucin (adenocarcinoma), or keratinization and/or intercellular bridges (squamous cell carcinoma), then the classification does not require ICC. However, in the absence of distinctive morphological features, a limited ICC panel of TTF1 and p40 is recommended.

In most lung adenocarcinoma cases, TTF1 and Napsin A are positive and p40 is negative. It is important to note that mucinous carcinoma may not stain for TTF1 (although it is often positive for Napsin A) and in such cases, a gastrointestinal primary should be excluded. Another potential pitfall is recognizing TTF1 positivity in metastatic thyroid carcinoma. In suspected cases, additional thyroid markers such as PAX8 and/or thyroglobulin should be considered.

p40 is a more specific marker of squamous cell carcinoma than high-molecular-weight cytokeratins or p63.44–46 Positive p40 staining should include >50% of tumor cellularity, although well-differentiated squamous cell carcinomas may show limited or even no staining.46 Positive p40 staining essentially excludes a high-grade neuroendocrine carcinoma in favor of a basaloid squamous cell carcinoma. Distinguishing primary from metastatic squamous cell carcinoma on cytology is challenging if not impossible. Correlation with clinical and radiological information, and detection of HPV may be helpful in cases of suspected metastases.

If a confirmed carcinoma lacks established morphologic features of adenocarcinoma or squamous cell carcinoma, TTF1, Napsin A, and p40 are all negative, and a metastasis is ruled out, then a diagnosis of NSCC-NOS can be made. In the ICC workup of NSCC, it is critical to conserve cell block material for molecular profiling. Dual immunostains, such as TTF1/Napsin A help to preserve tissue in limited specimens. Cytologic smear preparations are also increasingly being used as a sufficient source of material for molecular studies.

Molecular testing

Cytopathology specimens are a suitable source of DNA/RNA for molecular analyses, including next-generation sequencing. Molecular testing in lung cancer has a limited role in diagnosis but is used instead to detect predictive biomarkers associated with targeted therapies (including a growing number of emerging therapies). Recommendations from NCCN Guidelines for NSCC (v3.2023) include testing for EGFR mutations (exon 19 deletion, exon 21 L858R, S768I, L861Q, G719X, exon 20 insertion), KRAS G12C, BRAF V600E, ERBB2/HER2 mutations, MET exon 14 skipping mutations, and rearrangements in ALK, ROS1, RET, and NTRK1/2/3, as well as MET amplification.47,48

Other molecular/biomarker tests include PD-L1 testing and microsatellite instability (MSI) testing. Analysis of PD-L1 expression by ICC on cytology specimens has been shown to be comparable to histology specimens.49–51 However, significant variation exists between laboratories, and PD-L1 antibodies must be thoroughly validated on cytology samples prior to clinical use.52 Various additional predictive immunohistochemistry assays are also becoming more widely used, including those for ALK, ROS1, NTRK, and RET expression.49,53 Like PD-L1, the clinical application of these antibodies to cytology specimens requires rigorous validation.

Tissue stewardship is important when handling small samples with low tumor cellularity to ensure that adequate tissue remains for subsequent molecular testing. Diagnostic ICC panels may be limited in this setting to prioritize ancillary testing. Obtaining multiple samples from the same procedure may also be helpful. Cytopathology specimens are increasingly being relied upon for molecular testing in the setting of advanced lung cancer, and mindful tissue optimization will help to avoid re-biopsy. In cases where re-biopsy is not possible, liquid biopsy offers an alternative option for detection of predictive biomarkers.

Risk of malignancy and clinical management recommendation

The ROM for the “Malignant” category approaches 100% for sputum (100%), bronchial brushes/washes (94–100%), and FNAB specimens (87–100%).3,14 The clinical management of specimens in this category depends on the specific type of malignancy.

For sputum, “Malignant” samples should next undergo bronchoscopy/imaging followed by EBUS- or CT-guided FNAB. For “Malignant” bronchial brushes/washes or BALs of peripheral lung lesions, management depends on tumor size and mediastinal lymph node involvement; patients with small tumors (<3 cm) and no suspicious mediastinal lymph nodes may proceed directly to surgical resection, if surgery is not contraindicated. FNAB specimens categorized as “Malignant” that are concordant with clinical and imaging findings are sufficient to prompt definitive surgical or systemic treatment.

In cases where systemic therapy is planned but FNAB material is insufficient for predictive biomarker testing, then repeat FNAB and/or core needle biopsy may be warranted. Reflex molecular testing can help to expedite systemic treatment in patients with known or suspected advanced disease. In cases where the primary tumor is large (>3 cm), or where mediastinal/hilar lymph nodes are enlarged (>1 cm) or PET-avid, then mediastinal staging by EUS-FNAB is indicated.54,55 Clinical and radiologic findings should be reviewed and correlated with all “Malignant” cases.

Conclusions

The new WHO System provides diagnostic reporting categories that will improve communication between cytopathologists and clinicians, which ultimately will improve patient care. Given that there is limited data defining the ROM for these new categories, further research will help to refine these ROMs in subsequent editions. The system also defines key diagnostic cytomorphologic criteria for specific lesions, thereby improving the quality of reporting and communication among cytopathologists. Furthermore, the system describes current best practice recommendations for ancillary testing (see additional information in the first edition of the WHO book), which aims to optimize the use of small lung cytopathology specimens for a growing number of molecular applications. However, the WHO System is designed to focus primarily on the cytomorphology to be applicable in different practice and resource settings.

Abbreviations

AFB: 

acid-fast bacilli

BAL: 

bronchioalveolar lavage

BB: 

bronchial brushing

BW: 

bronchial wash

CK: 

cytokeratin

DLBCL: 

diffuse large B-cell lymphoma

EBUS: 

endobronchial ultrasound

FNAB: 

fine needle aspiration biopsy

GMS: 

grocott methenamine silver stain

IAC: 

International Academy of Cytology

IARC: 

International Agency for Research

ICC: 

immunocytochemistry

MSI: 

microsatellite instability

MZL: 

marginal zone lymphoma

NE: 

neuroendocrine

NSCC: 

non-small cell carcinoma

NSCLC: 

non-small cell lung carcinoma

PAS: 

periodic acid-Schiff stain

PCR: 

polymerase chain reaction

RCH: 

reserve cell hyperplasia

ROM: 

risk of malignancy

ROSE: 

rapid on-site evaluation

SCC: 

Squamous cell carcinoma

SCLC: 

small cell carcinoma

SMARCA4-UT: 

SMARCA4-deficient undifferentiated tumor

WHO System: 

World Health Organization Reporting System for Lung Cytopathology

YST: 

yolk sac tumor

Declarations

Acknowledgement

None.

Funding

The work was supported in part by NIH Research Grant P30CA016359 from the National Cancer Institute.

Conflict of interest

Dr. Kholová has been an editorial board member (since December 2022) and Dr. Cai has been an editor-in-chief (since March 2021) of Journal of Clinical and Translational Pathology. The authors have no other conflict of interest related to this publication.

Authors’ contributions

Study concept and design (DD, GC), acquisition of data (DD, IK, GC), drafting of the manuscript (DD), critical revision of the manuscript for important intellectual content (DD, IK, GC), and study supervision (GC). All authors have made a significant contribution to this study and have approved the final manuscript.

References

  1. Siegel RL, Miller KD, Wagle NS, Jemal A. Cancer statistics, 2023. CA Cancer J Clin 2023;73(1):17-48 View Article PubMed/NCBI
  2. Layfield LJ. The Papanicolaou Society of Cytopathology classification for pulmonary specimens: an overview. Cytopathology 2016;27(3):149-152 View Article PubMed/NCBI
  3. Canberk S, Montezuma D, Aydın O, Demirhas MP, Denizci B, Akbas M, et al. The new guidelines of Papanicolaou Society of Cytopathology for respiratory specimens: Assessment of risk of malignancy and diagnostic yield in different cytological modalities. Diagn Cytopathol 2018;46(9):725-729 View Article PubMed/NCBI
  4. Hiroshima K, Yoshizawa A, Takenaka A, Haba R, Kawahara K, Minami Y, et al. Cytology Reporting System for Lung Cancer from the Japan Lung Cancer Society and Japanese Society of Clinical Cytology: An Interobserver Reproducibility Study and Risk of Malignancy Evaluation on Cytology Specimens. Acta Cytol 2020;64(5):452-462 View Article PubMed/NCBI
  5. Meyer KC, Raghu G, Baughman RP, Brown KK, Costabel U, du Bois RM, et al. An official American Thoracic Society clinical practice guideline: the clinical utility of bronchoalveolar lavage cellular analysis in interstitial lung disease. Am J Respir Crit Care Med 2012;185(9):1004-1014 View Article PubMed/NCBI
  6. Alsharif M, Andrade RS, Groth SS, Stelow EB, Pambuccian SE. Endobronchial ultrasound-guided transbronchial fine-needle aspiration: the University of Minnesota experience, with emphasis on usefulness, adequacy assessment, and diagnostic difficulties. Am J Clin Pathol 2008;130(3):434-443 View Article PubMed/NCBI
  7. Cardoso AV, Neves I, Magalhães A, Sucena M, Barroca H, Fernandes G. The value of rapid on-site evaluation during EBUS-TBNA. Rev Port Pneumol (2006) 2015;21(5):253-258 View Article PubMed/NCBI
  8. Roy-Chowdhuri S, Dacic S, Ghofrani M, Illei PB, Layfield LJ, Lee C, et al. Collection and Handling of Thoracic Small Biopsy and Cytology Specimens for Ancillary Studies: Guideline From the College of American Pathologists in Collaboration With the American College of Chest Physicians, Association for Molecular Pathology, American Society of Cytopathology, American Thoracic Society, Pulmonary Pathology Society, Papanicolaou Society of Cytopathology, Society of Interventional Radiology, and Society of Thoracic Radiology. Arch Pathol Lab Med 2020 View Article PubMed/NCBI
  9. Layfield LJ, Baloch Z, Elsheikh T, Litzky L, Rekhtman N, Travis WD, et al. Standardized terminology and nomenclature for respiratory cytology: The Papanicolaou Society of Cytopathology guidelines. Diagn Cytopathol 2016;44(5):399-409 View Article PubMed/NCBI
  10. Canberk S, Tischler V, Engels M. Current Topics and Practical Considerations of Cytology Practice in Lung Cancer: Reflexions from the Lung Symposium at the 42nd European Congress of Cytology, Malmö, 2019. Acta Cytol 2020;64(5):463-470 View Article PubMed/NCBI
  11. Huang M, Wei S. Overview of Molecular Testing of Cytology Specimens. Acta Cytol 2020;64(1-2):136-146 View Article PubMed/NCBI
  12. Jain D, Allen TC, Aisner DL, Beasley MB, Cagle PT, Capelozzi VL, et al. Rapid On-Site Evaluation of Endobronchial Ultrasound-Guided Transbronchial Needle Aspirations for the Diagnosis of Lung Cancer: A Perspective From Members of the Pulmonary Pathology Society. Arch Pathol Lab Med 2018;142(2):253-262 View Article PubMed/NCBI
  13. da Cunha Santos G, Saieg MA, Troncone G, Zeppa P. Cytological preparations for molecular analysis: A review of technical procedures, advantages and limitations for referring samples for testing. Cytopathology 2018;29(2):125-132 View Article PubMed/NCBI
  14. Layfield LJ, Dodd L, Witt B. Malignancy risk for the categories: Non-diagnostic, benign, atypical, suspicious, and malignant used in the categorization of endobronchial ultrasound guided-fine needle aspirates of pulmonary nodules. Diagn Cytopathol 2015;43(11):892-896 View Article PubMed/NCBI
  15. Layfield LJ, Esebua M. A modified Papanicolaou Society of Cytopathology system for reporting respiratory cytology specimens: Implications for estimates of malignancy risk and diagnostic accuracy. Diagn Cytopathol 2021;49(11):1167-1172 View Article PubMed/NCBI
  16. Righi L, Vavalà T, Rapa I, Vatrano S, Giorcelli J, Rossi G, et al. Impact of non-small-cell lung cancer-not otherwise specified immunophenotyping on treatment outcome. J Thorac Oncol 2014;9(10):1540-1546 View Article PubMed/NCBI
  17. Walia R, Jain D, Madan K, Sharma MC, Mathur SR, Mohan A, et al. p40 & thyroid transcription factor-1 immunohistochemistry: A useful panel to characterize non-small cell lung carcinoma-not otherwise specified (NSCLC-NOS) category. Indian J Med Res 2017;146(1):42-48 View Article PubMed/NCBI
  18. Travis WD. Update on small cell carcinoma and its differentiation from squamous cell carcinoma and other non-small cell carcinomas. Mod Pathol 2012;25(Suppl 1):S18-S30 View Article PubMed/NCBI
  19. Rekhtman N. Neuroendocrine tumors of the lung: an update. Arch Pathol Lab Med 2010;134(11):1628-1638 View Article PubMed/NCBI
  20. Rooper LM, Sharma R, Li QK, Illei PB, Westra WH. INSM1 Demonstrates Superior Performance to the Individual and Combined Use of Synaptophysin, Chromogranin and CD56 for Diagnosing Neuroendocrine Tumors of the Thoracic Cavity. Am J Surg Pathol 2017;41(11):1561-1569 View Article PubMed/NCBI
  21. Mukhopadhyay S, Dermawan JK, Lanigan CP, Farver CF. Insulinoma-associated protein 1 (INSM1) is a sensitive and highly specific marker of neuroendocrine differentiation in primary lung neoplasms: an immunohistochemical study of 345 cases, including 292 whole-tissue sections. Mod Pathol 2019;32(1):100-109 View Article PubMed/NCBI
  22. Rekhtman N, Pietanza CM, Sabari J, Montecalvo J, Wang H, Habeeb O, et al. Pulmonary large cell neuroendocrine carcinoma with adenocarcinoma-like features: napsin A expression and genomic alterations. Mod Pathol 2018;31(1):111-121 View Article PubMed/NCBI
  23. Pu RT, Pang Y, Michael CW. Utility of WT-1, p63, MOC31, mesothelin, and cytokeratin (K903 and CK5/6) immunostains in differentiating adenocarcinoma, squamous cell carcinoma, and malignant mesothelioma in effusions. Diagn Cytopathol 2008;36(1):20-25 View Article PubMed/NCBI
  24. Patel A, Borczuk AC, Siddiqui MT. Utility of Claudin-4 versus BerEP4 and B72.3 in pleural fluids with metastatic lung adenocarcinoma. J Am Soc Cytopathol 2020;9(3):146-151 View Article PubMed/NCBI
  25. Jo VY, Cibas ES, Pinkus GS. Claudin-4 immunohistochemistry is highly effective in distinguishing adenocarcinoma from malignant mesothelioma in effusion cytology. Cancer Cytopathol 2014;122(4):299-306 View Article PubMed/NCBI
  26. Oda T, Ogata S, Kawaguchi S, Minabe S, Dokyu M, Takahashi H, et al. Immunocytochemical utility of claudin-4 versus those of Ber-EP4 and MOC-31 in effusion cytology. Diagn Cytopathol 2016;44(6):499-504 View Article PubMed/NCBI
  27. Hyun TS, Barnes M, Tabatabai ZL. The diagnostic utility of D2-40, calretinin, CK5/6, desmin and MOC-31 in the differentiation of mesothelioma from adenocarcinoma in pleural effusion cytology. Acta Cytol 2012;56(5):527-532 View Article PubMed/NCBI
  28. Onofre FB, Onofre AS, Pomjanski N, Buckstegge B, Grote HJ, Böcking A. 9p21 Deletion in the diagnosis of malignant mesothelioma in serous effusions additional to immunocytochemistry, DNA-ICM, and AgNOR analysis. Cancer 2008;114(3):204-215 View Article PubMed/NCBI
  29. Ordóñez NG. The diagnostic utility of immunohistochemistry in distinguishing between epithelioid mesotheliomas and squamous carcinomas of the lung: a comparative study. Mod Pathol 2006;19(3):417-428 View Article PubMed/NCBI
  30. Ordóñez NG. What are the current best immunohistochemical markers for the diagnosis of epithelioid mesothelioma? A review and update. Hum Pathol 2007;38(1):1-16 View Article PubMed/NCBI
  31. Ordóñez NG. The diagnostic utility of immunohistochemistry and electron microscopy in distinguishing between peritoneal mesotheliomas and serous carcinomas: a comparative study. Mod Pathol 2006;19(1):34-48 View Article PubMed/NCBI
  32. Bassarova AV, Nesland JM, Davidson B. D2-40 is not a specific marker for cells of mesothelial origin in serous effusions. Am J Surg Pathol 2006;30(7):878-882 View Article PubMed/NCBI
  33. Althakfi W, Gazzo S, Blanchet M, Isaac S, Piaton E, Villeneuve L, et al. The value of BRCA-1-associated protein 1 expression and cyclin-dependent kinase inhibitor 2A deletion to distinguish peritoneal malignant mesothelioma from peritoneal location of carcinoma in effusion cytology specimens. Cytopathology 2020;31(1):5-11 View Article PubMed/NCBI
  34. Berg KB, Dacic S, Miller C, Cheung S, Churg A. Utility of Methylthioadenosine Phosphorylase Compared With BAP1 Immunohistochemistry, and CDKN2A and NF2 Fluorescence In Situ Hybridization in Separating Reactive Mesothelial Proliferations From Epithelioid Malignant Mesotheliomas. Arch Pathol Lab Med 2018;142(12):1549-1553 View Article PubMed/NCBI
  35. Hida T, Hamasaki M, Matsumoto S, Sato A, Tsujimura T, Kawahara K, et al. Immunohistochemical detection of MTAP and BAP1 protein loss for mesothelioma diagnosis: Comparison with 9p21 FISH and BAP1 immunohistochemistry. Lung Cancer 2017;104:98-105 View Article PubMed/NCBI
  36. Andrici J, Sheen A, Sioson L, Wardell K, Clarkson A, Watson N, et al. Loss of expression of BAP1 is a useful adjunct, which strongly supports the diagnosis of mesothelioma in effusion cytology. Mod Pathol 2015;28(10):1360-1368 View Article PubMed/NCBI
  37. Davidson B, Tötsch M, Wohlschlaeger J, Hager T, Pinamonti M. The diagnostic role of BAP1 in serous effusions. Hum Pathol 2018;79:122-126 View Article PubMed/NCBI
  38. Kinoshita Y, Hida T, Hamasaki M, Matsumoto S, Sato A, Tsujimura T, et al. A combination of MTAP and BAP1 immunohistochemistry in pleural effusion cytology for the diagnosis of mesothelioma. Cancer Cytopathol 2018;126(1):54-63 View Article PubMed/NCBI
  39. Savic S, Franco N, Grilli B, Barascud Ade V, Herzog M, Bode B, et al. Fluorescence in situ hybridization in the definitive diagnosis of malignant mesothelioma in effusion cytology. Chest 2010;138(1):137-144 View Article PubMed/NCBI
  40. Kinoshita Y, Hamasaki M, Matsumoto S, Yoshimura M, Sato A, Tsujimura T, et al. Fluorescence in situ hybridization detection of chromosome 22 monosomy in pleural effusion cytology for the diagnosis of mesothelioma. Cancer Cytopathol 2021;129(7):526-536 View Article PubMed/NCBI
  41. Yoshimura M, Kinoshita Y, Hamasaki M, Matsumoto S, Hida T, Oda Y, et al. Highly expressed EZH2 in combination with BAP1 and MTAP loss, as detected by immunohistochemistry, is useful for differentiating malignant pleural mesothelioma from reactive mesothelial hyperplasia. Lung Cancer 2019;130:187-193 View Article PubMed/NCBI
  42. Kinoshita Y, Hamasaki M, Yoshimura M, Matsumoto S, Iwasaki A, Nabeshima K. Hemizygous loss of NF2 detected by fluorescence in situ hybridization is useful for the diagnosis of malignant pleural mesothelioma. Mod Pathol 2020;33(2):235-244 View Article PubMed/NCBI
  43. Illei PB, Rusch VW, Zakowski MF, Ladanyi M. Homozygous deletion of CDKN2A and codeletion of the methylthioadenosine phosphorylase gene in the majority of pleural mesotheliomas. Clin Cancer Res 2003;9(6):2108-2113 PubMed/NCBI
  44. Rossi G, Pelosi G, Barbareschi M, Graziano P, Cavazza A, Papotti M. Subtyping non-small cell lung cancer: relevant issues and operative recommendations for the best pathology practice. Int J Surg Pathol 2013;21(4):326-336 View Article PubMed/NCBI
  45. Pelosi G, Rossi G, Cavazza A, Righi L, Maisonneuve P, Barbareschi M, et al. ΔNp63 (p40) distribution inside lung cancer: a driver biomarker approach to tumor characterization. Int J Surg Pathol 2013;21(3):229-239 View Article PubMed/NCBI
  46. Yatabe Y, Dacic S, Borczuk AC, Warth A, Russell PA, Lantuejoul S, et al. Best Practices Recommendations for Diagnostic Immunohistochemistry in Lung Cancer. J Thorac Oncol 2019;14(3):377-407 View Article PubMed/NCBI
  47. Planchard D, Popat S, Kerr K, Novello S, Smit EF, Faivre-Finn C, et al. Metastatic non-small cell lung cancer: ESMO Clinical Practice Guidelines for diagnosis, treatment and follow-up. Ann Oncol 2018;29(Suppl 4):iv192-iv237 View Article PubMed/NCBI
  48. Lindeman NI, Cagle PT, Aisner DL, Arcila ME, Beasley MB, Bernicker EH, et al. Updated Molecular Testing Guideline for the Selection of Lung Cancer Patients for Treatment With Targeted Tyrosine Kinase Inhibitors: Guideline From the College of American Pathologists, the International Association for the Study of Lung Cancer, and the Association for Molecular Pathology. J Mol Diagn 2018;20(2):129-159 View Article PubMed/NCBI
  49. Jain D, Nambirajan A, Borczuk A, Chen G, Minami Y, Moreira AL, et al. Immunocytochemistry for predictive biomarker testing in lung cancer cytology. Cancer Cytopathol 2019;127(5):325-339 View Article PubMed/NCBI
  50. Noll B, Wang WL, Gong Y, Zhao J, Kalhor N, Prieto V, et al. Programmed death ligand 1 testing in non-small cell lung carcinoma cytology cell block and aspirate smear preparations. Cancer Cytopathol 2018;126(5):342-352 View Article PubMed/NCBI
  51. Lozano MD, Abengozar-Muela M, Echeveste JI, Subtil JC, Bertó J, Gúrpide A, et al. Programmed death-ligand 1 expression on direct Pap-stained cytology smears from non-small cell lung cancer: Comparison with cell blocks and surgical resection specimens. Cancer Cytopathol 2019;127(7):470-480 View Article PubMed/NCBI
  52. Kirbis IS, Kholová I. Comments to: Nationwide differences in cytology fixation and processing methods and their impact on interlaboratory variation in PD-L1 positivity. Virchows Arch 2023;482(4):797-798 View Article PubMed/NCBI
  53. Matter MS, Chijioke O, Savic S, Bubendorf L. Narrative review of molecular pathways of kinase fusions and diagnostic approaches for their detection in non-small cell lung carcinomas. Transl Lung Cancer Res 2020;9(6):2645-2655 View Article PubMed/NCBI
  54. Postmus PE, Kerr KM, Oudkerk M, Senan S, Waller DA, Vansteenkiste J, et al. Early and locally advanced non-small-cell lung cancer (NSCLC): ESMO Clinical Practice Guidelines for diagnosis, treatment and follow-up. Ann Oncol 2017;28(suppl_4):iv1-iv21 View Article PubMed/NCBI
  55. Gosney JR, Paz-Ares L, Jänne P, Kerr KM, Leighl NB, Lozano MD, et al. Pathologist-initiated reflex testing for biomarkers in non-small-cell lung cancer: expert consensus on the rationale and considerations for implementation. ESMO Open 2023;8(4):101587 View Article PubMed/NCBI

About this Article

Cite this article
Dolezal D, Kholová I, Cai G. The World Health Organization Reporting System for Lung Cytopathology–A Review of the First Edition. J Clin Transl Pathol. 2024;4(1):18-35. doi: 10.14218/JCTP.2023.00068.
Copy        Export to RIS        Export to EndNote
Article History
Received Revised Accepted Published
December 17, 2023 January 27, 2023 February 10, 2024 March 11, 2024
DOI http://dx.doi.org/10.14218/JCTP.2023.00068
  • Journal of Clinical and Translational Pathology
  • pISSN 2993-5202
  • eISSN 2771-165X
Back to Top

The World Health Organization Reporting System for Lung Cytopathology–A Review of the First Edition

Darin Dolezal, Ivana Kholová, Guoping Cai
  • Reset Zoom
  • Download TIFF