v
Search
Advanced

Publications > Journals > Cancer Screening and Prevention> Article Full Text

  • OPEN ACCESS

Evidence-based Guideline on Standardized Diagnostic Imaging Reporting for Pancreatic Cystic Neoplasms in China

  • Yun Bian1,
  • Xu Fang1,
  • Zhaoshen Li2,* ,
  • Jianping Lu1,* ,
  • Chengwei Shao1,* ,
  • Shiyuan Liu3,* ,
  • Min Chen4,*  and
  • Xun Li5,* ,
  • on behalf of the Professional Committee of Pancreatic Diseases, Chinese Medical Doctor Association; the Radiology Branch of the Chinese Medical Association; the National Clinical Research Center for Digestive Diseases (Shanghai); and the Shanghai Medical Association Radiology Quality Control Center
 Author information 

Abstract

Pancreatic cystic neoplasms (PCNs) are increasingly detected in clinical practice, yet substantial variability exists in imaging interpretation and reporting, which may affect clinical decision-making. This guideline was developed to standardize diagnostic imaging evaluation and reporting for PCNs. A multidisciplinary expert panel conducted literature search and critical appraisal of domestic and international evidence, identified key clinical questions, and formulated recommendations using the Grading of Recommendations Assessment, Development and Evaluation framework. A modified Delphi consensus process and external review were performed to ensure the robustness of the recommendations. A total of 21 key questions were addressed, covering essential aspects of imaging evaluation and reporting for PCNs, including the preferred imaging modality for suspected lesions; standardized measurement of cyst size and mural nodules and their clinical significance; definitions of cyst wall and septal thickening; optimal imaging approaches for assessing the relationship between cystic lesions and the main pancreatic duct; measurement and evaluation of main pancreatic duct diameter and dilation; imaging-based classification of intraductal papillary mucinous neoplasms and serous cystic neoplasms; assessment of ductal obstruction, calcification, hemorrhage, and pancreatitis-related changes; criteria for suspicious lymph nodes; differentiation of PCNs from pancreatic pseudocysts or retention cysts; and recommended imaging modalities and follow-up intervals. This guideline provides a structured and evidence-based framework for imaging evaluation and reporting of PCNs, which may improve the consistency and clarity of imaging reports and support clinical decision-making.

Keywords

Pancreatic cyst, Pancreatic neoplasms, Pancreatic intraductal neoplasms, Diagnostic imaging, Tomography, X-ray computed tomography, Magnetic resonance imaging, Cholangiopancreatography, Magnetic resonance

Introduction

Pancreatic cystic neoplasms (PCNs) refer to cystic neoplastic lesions originating from pancreatic ductal epithelium and/or stromal tissue.1 The most common PCNs encountered clinically include intraductal papillary mucinous neoplasm (IPMN), mucinous cystic neoplasm (MCN), serous cystic neoplasm (SCN), solid pseudopapillary neoplasm (SPN), and cystic neuroendocrine neoplasm, which collectively account for approximately 90% of all PCNs.1,2 With the advancement of imaging technologies and broader use of imaging examinations, the detection rate of PCNs has increased annually, particularly with MRI detection rates ranging from approximately 2.4% to 49.1%.2 Different PCN subtypes exhibit distinct biological behaviors; for example, IPMN and MCN are considered premalignant lesions with potential progression to pancreatic ductal adenocarcinoma.3 Key imaging parameters such as tumor size, size of enhancing mural nodules, degree of main pancreatic duct dilation, thickness of cyst walls and septa, and tumor growth rate are critical factors in guidelines for assessing malignancy risk and surgical indications. Therefore, objective, accurate, and comprehensive imaging diagnostic reports are essential. However, in clinical practice, radiologists with different levels of experience and different subspecialty backgrounds may have inconsistent understanding of PCN imaging features, resulting in reports that are subjective, use non-standard terminology, lack comprehensive descriptions, and show high linguistic variability. This reduces the clinical value of imaging reports, complicates multidisciplinary communication, and leads to unnecessary repeat examinations and waste of medical resources. To standardize imaging reporting of PCNs, facilitate individualized and precise diagnosis, and enhance the standardization of imaging diagnosis for the disease in China, the National Clinical Research Center for Digestive Diseases (Shanghai), the Professional Committee of Pancreatic Diseases of the Chinese Medical Doctor Association, and the editorial board of the Chinese Journal of Pancreatic Diseases jointly initiated this guideline. Experts from radiology, pathology, surgery, internal medicine, and other fields were convened. Based on published literature and extensive expert consultation employing a modified Delphi method with multiple rounds of voting and group discussions, 21 recommendations were developed addressing imaging modalities, reporting evaluation metrics, and standards. The guideline drafting and revision were undertaken by the Department of Radiology, The First Affiliated Hospital of Naval Medical University. This guideline was formulated following the GRADE (Grading of Recommendations Assessment, Development and Evaluation) methodology,4 with evidence quality classified into four levels: high (A), moderate (B), low (C), and very low (D). Recommendations are categorized as strong or weak, where strong recommendations indicate that most patients should receive the recommended approach and clinicians can be confident that the desirable effects outweigh the undesirable effects, whereas weak recommendations reflect a closer balance between benefits and risks or lower certainty of evidence, and thus may require individualized decision-making based on patient values and clinical context.

Content of the guideline

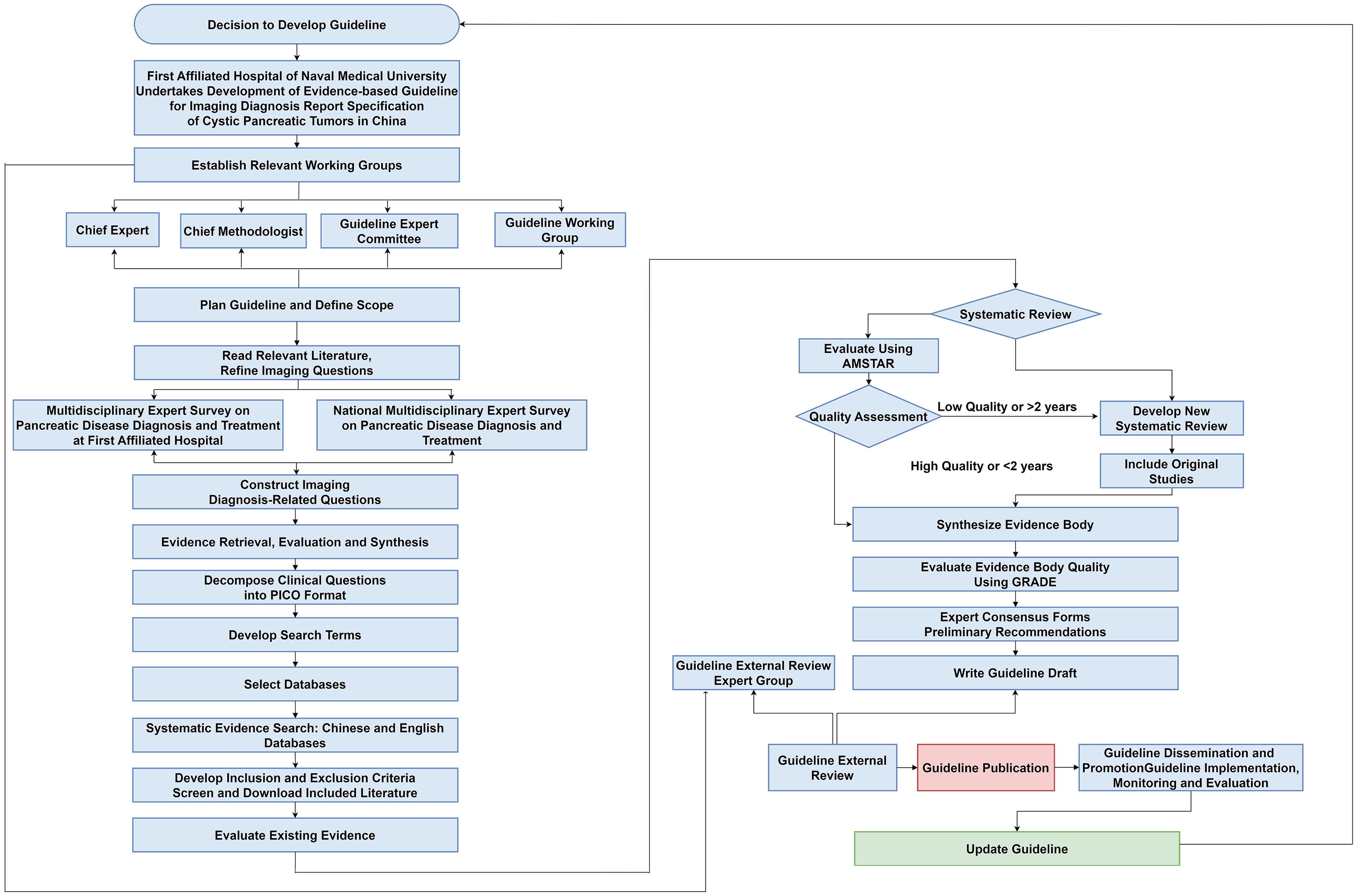
This guideline was developed in accordance with the World Health Organization (WHO) Handbook for Guideline Development,5 referencing the definition of clinical practice guidelines by the National Academies of Sciences, Engineering, and Medicine,6 the Chinese Medical Association’s “Guiding Principles for Formulating/Revising Clinical Practice Guidelines (2022 edition)”,7 and the WHO’s International Classification of Diseases, 11th Revision (ICD-11).8 Systematic reviews and research on PCN-related issues were conducted, referencing the AGREE II instrument for guideline appraisal and international standards for guideline reporting to formulate recommendations.9 The technical workflow is illustrated in Figure 1.

Technical workflow for guideline development.
Fig. 1  Technical workflow for guideline development.

Guideline sponsoring institutions

The National Clinical Research Center for Digestive Diseases (Shanghai), the Professional Committee of Pancreatic Diseases of the Chinese Medical Doctor Association, and the editorial board of the Chinese Journal of Pancreatic Diseases initiated the guideline; the Department of Radiology, The First Affiliated Hospital of Naval Medical University served as the primary implementing institution. The GRADE China Center provided methodological support. The guideline is registered on the International Practice Guidelines Registry Platform (http://www.guidelinesregistry.cn/ ) under registration number REPAPE-2023CN469.

Intended users and target population

The guideline is intended for Chinese-speaking radiologists, multidisciplinary experts involved in PCN diagnosis and treatment, and other healthcare professionals. The target population comprises patients with PCNs.

Organizational structure of guideline development

The guideline development involved five main groups: chief experts, chief methodologists, the guideline expert committee, an external review panel, and the guideline working group. Members included experts in radiology, internal medicine, surgery, oncology, pathology, evidence-based medicine, and related evaluation tools.

Conflict of interest declaration

The guideline development strictly adhered to WHO regulations on conflicts of interest and ethical standards for guideline development. All participants, including invited experts and consultants, completed conflict of interest disclosure forms. After evaluation, no conflicts directly related to this guideline were identified.

Selection and determination of PCN imaging reporting evidence-based practice questions

The working group conducted systematic literature searches on PCN, including published guidelines, systematic reviews, and original studies, preliminarily drafting 21 imaging evaluation questions. Two rounds of modified Delphi consultation with internal and national experts were conducted, with in-depth discussions. The finalized imaging evaluation questions are summarized in Table 1.

Table 1

Imaging evaluation questions for pancreatic cystic neoplasms

1. What is the preferred imaging modality for patients suspected of PCN?
2. At which phase or sequence should PCN size be measured?
3. How should PCN size be measured?
4. What is the clinical significance of PCN size assessment?
5. At which phase or sequence should mural nodules be observed and measured?
6. What is the clinical significance of assessing enhancing mural nodules?
7. How is thickening of cyst walls and intracystic septa defined?
8. Which sequence is optimal for evaluating the relationship between the cystic lesion and the main pancreatic duct?
9. How should the main pancreatic duct diameter be measured?
10. How is main pancreatic duct dilation defined?
11. What is the clinical significance of main pancreatic duct dilation assessment?
12. Is evaluation of the morphology of the main pancreatic duct obstruction point necessary?
13. How should IPMN be classified on imaging?
14. How should SCN be classified and diagnosed on imaging?
15. Is assessment of calcification necessary?
16. Is assessment of hemorrhage necessary?
17. What are the imaging criteria for suspicious lymph nodes?
18. Is evaluation of acute pancreatitis necessary?
19. How should PCN be differentiated from a pancreatic pseudocyst or retention cyst?
20. Which imaging modality is recommended for follow-up of patients with confirmed PCN?
21. What is the optimal follow-up interval for PCN?

Evidence retrieval

Systematic searches were performed in four English databases: PubMed, Cochrane Library, Embase, and Web of Science; and five Chinese databases: Wanfang Data, China National Knowledge Infrastructure, China Biology Medicine Disc, VIP, and Yimai Tong. International clinical guideline repositories searched included the National Guideline Clearinghouse, Scottish Intercollegiate Guidelines Network, WHO, and Guidelines International Network. Searches were limited to studies published before December 31, 2023, in English or Chinese. Reference lists of included studies were also screened.

Evidence screening and extraction

For the 21 imaging evaluation questions, four relevant guidelines and 72 other studies, including clinical trials, cohort studies, case-control studies, cross-sectional studies, case series, and case reports, were included to provide supporting evidence. After establishing inclusion and exclusion criteria, the working group and methodologists trained all members. Evidence was compiled and reviewed by the expert committee. Literature search and data extraction were independently conducted by two reviewers; discrepancies were resolved by discussion or third-party consultation.

Evidence quality assessment and grading

The GRADE approach was applied to grade the body of evidence and recommendations.4 Evidence quality was classified as high (A), moderate (B), low (C), or very low (D). Recommendations were categorized as strong or weak.

Formation of guideline recommendations

The working group synthesized domestic and international evidence, selected key issues and terminology for imaging reports, and graded evidence and recommendations to develop the first questionnaire. Using the Delphi method, a panel of 56 experts comprising specialists in radiology (n = 28), gastroenterology (n = 12), pancreatic surgery (n = 8), pathology (n = 5), and evidence-based medicine (n = 3) completed a 5-point Likert scale survey (strongly agree, mostly agree, partially agree, mostly disagree, strongly disagree). Items with ≥75% of experts responding “strongly agree” or “mostly agree” were accepted as appropriate clinical practice guideline statements. A total of 21 recommendations with supporting rationales were formulated.

External review

Following consensus on recommendations, a draft guideline was prepared and submitted to an external review panel comprising radiology and clinical experts as well as guideline methodologists for evaluation.

Funding sources and role

Funding was primarily provided by the National Natural Science Foundation of China, Shanghai Science and Technology Commission Innovation Action Plan, and Shanghai Shenkang Clinical Research Project, covering research expenses, materials, and project management.

Recommendations

This guideline focuses primarily on IPMN and MCN, with ICD-11 code D37.703. Following evidence-based methodology, 21 recommendations were finalized.

What is the preferred imaging modality for patients with suspected PCN?

Recommendation 1: MRI is the preferred imaging modality for diagnosing PCN.

Evidence quality: High; Recommendation strength: Strong

MRI T2-weighted imaging (T2WI) is highly sensitive to fluid components, resulting in a PCN detection rate of approximately 20–44% on abdominal MRI,10,11 whereas abdominal CT detects only about 3%.12 A large prospective European study reported MRI detection rates as high as 49.1%.13 Additionally, three-dimensional magnetic resonance cholangiopancreatography (MRCP) is the optimal sequence for assessing the relationship between PCN and the pancreatic duct, aiding differentiation of IPMN from other PCN types. A 2021 meta-analysis found no statistically significant difference in sensitivity or specificity between MRI and CT for distinguishing benign from malignant PCN.14 However, CT remains appropriate as the initial imaging modality in specific clinical scenarios: (1) acute presentations with suspected complications such as hemorrhage, perforation, or pancreatitis, where CT’s speed and availability are advantageous; (2) patients with MRI contraindications, including pacemakers, certain implants, or severe claustrophobia; (3) initial detection of incidental pancreatic lesions during CT performed for other indications; and (4) resource-limited settings where MRI access is restricted.

At which phase or sequence should PCN size be measured?

Recommendation 2: PCN size should be measured on contrast-enhanced CT during the pancreatic parenchymal phase and on MRI T2WI sequences.

Evidence quality: Low; Recommendation strength: Weak

On CT, the pancreatic parenchymal phase demonstrates homogeneous enhancement of normal pancreatic tissue, while PCN cystic fluid remains unenhanced, providing optimal contrast to delineate tumor margins (Fig. 2a).15 On MRI, T2WI is highly sensitive to cystic components, with PCN cyst fluid exhibiting high signal intensity against the background of normal pancreatic parenchyma, allowing clear tumor boundary visualization (Fig. 2b). Furthermore, Dunn et al.16 demonstrated that measuring PCN size on coronal T2WI improves interobserver agreement.17

Measurement methods for pancreatic cystic neoplasms.
Fig. 2  Measurement methods for pancreatic cystic neoplasms.

(a) Mucinous cystic neoplasm in the pancreatic tail. Axial contrast-enhanced pancreatic parenchymal phase computed tomography (CT) image demonstrating the optimal plane for measurement. (b) Serous cystic neoplasm in the pancreatic tail. Axial T2-weighted image demonstrating the optimal plane for measurement. (c) Branch-duct intraductal papillary mucinous neoplasm (BD-IPMN) in the pancreatic head. Coronal T2-weighted image demonstrating the optimal plane for measurement.

How should PCN size be measured?

Recommendation 3: The maximum tumor diameter should be measured on the image showing the largest cross-sectional area of the lesion.

Evidence quality: Moderate; Recommendation strength: Strong

According to the Response Evaluation Criteria in Solid Tumors (RECIST) and the structured pancreatic cancer reporting template proposed by Al-Hawary et al.,18,19 tumor size measurement is recommended at the largest diameter on the maximal cross-sectional plane of the tumor. However, there is currently no definitive evidence that RECIST accurately measures the size of cystic tumors. Measurement methods for solid tumors per RECIST can be referenced by measuring the maximal diameter of the largest tumor cross-section during the pancreatic parenchymal phase of contrast-enhanced imaging or on T2WI. It should be noted that IPMNs often present as clustered or grape-like cystic lesions, making it difficult to separate individual cysts. In such cases, the clustered lesion should be considered as a single lesion, and the maximal diameter measured from outer wall to outer wall on the largest cross-sectional plane (Fig. 2c).19 If multiple tumor foci are present, the size of each lesion should be reported.

What is the clinical significance of PCN size assessment?

Recommendation 4: Tumor size ≥4 cm is a high-risk feature for MCN malignancy and constitutes an absolute indication for surgery; tumor size ≥3 cm is a worrisome feature for branch duct IPMN malignancy and a relative indication for surgery.

Evidence quality: High; Recommendation strength: Strong

Tumor size is closely related to the benign or malignant nature of PCNs and surgical indication assessment. A systematic retrospective study (2016) indicated that tumors ≥4 cm represent a high-risk sign for MCN malignancy and recommended surgical resection with lymphadenectomy11; the 2018 European evidence-based guidelines on pancreatic cystic neoplasms (hereinafter referred to as the 2018 European Guidelines) define tumor size ≥4 cm as an absolute surgical indication for MCN.3 Another retrospective analysis of 344 MCN cases showed that when tumor size was <4 cm without other worrisome features, the malignancy probability was only 0.03%. The different size thresholds between MCN (≥4 cm) and BD-IPMN (≥3 cm) reflect distinct biological behaviors: MCN is typically a solitary mucinous tumor where larger size strongly correlates with invasive malignancy, whereas BD-IPMN represents a field defect with potential multifocal involvement, where the 3 cm threshold serves as a “worrisome feature” triggering enhanced surveillance or enhanced endoscopic ultrasound (EUS) evaluation rather than immediate surgery.20

The 2017 Revisions of international consensus Fukuoka guidelines for the management of IPMN of the pancreas (hereinafter referred to as 2017 Revised International Fukuoka Consensus Guidelines) and International evidence-based Kyoto guidelines for the management of intraductal papillary mucinous neoplasm of the pancreas define tumor size ≥3 cm as a worrisome feature for IPMN malignancy.21,22 A meta-analysis of 27 studies on branch duct IPMN ≥3 cm predicting malignancy reported an area under the curve (AUC) of 0.63 (95% CI 0.58–0.67), sensitivity 57%, and specificity 62%.23

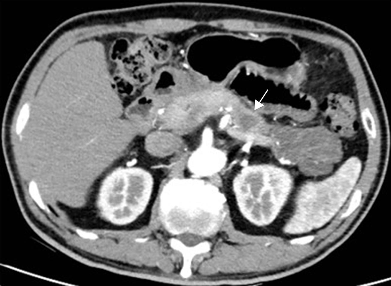
At which phase or sequence should mural nodules be observed and measured?

Recommendation 5: Measurement of enhancing mural nodules is recommended during the pancreatic parenchymal phase of contrast-enhanced CT and MRI; measurement of non-enhancing mural nodules is suggested on T2WI.

Evidence quality: Low; Recommendation strength: Weak

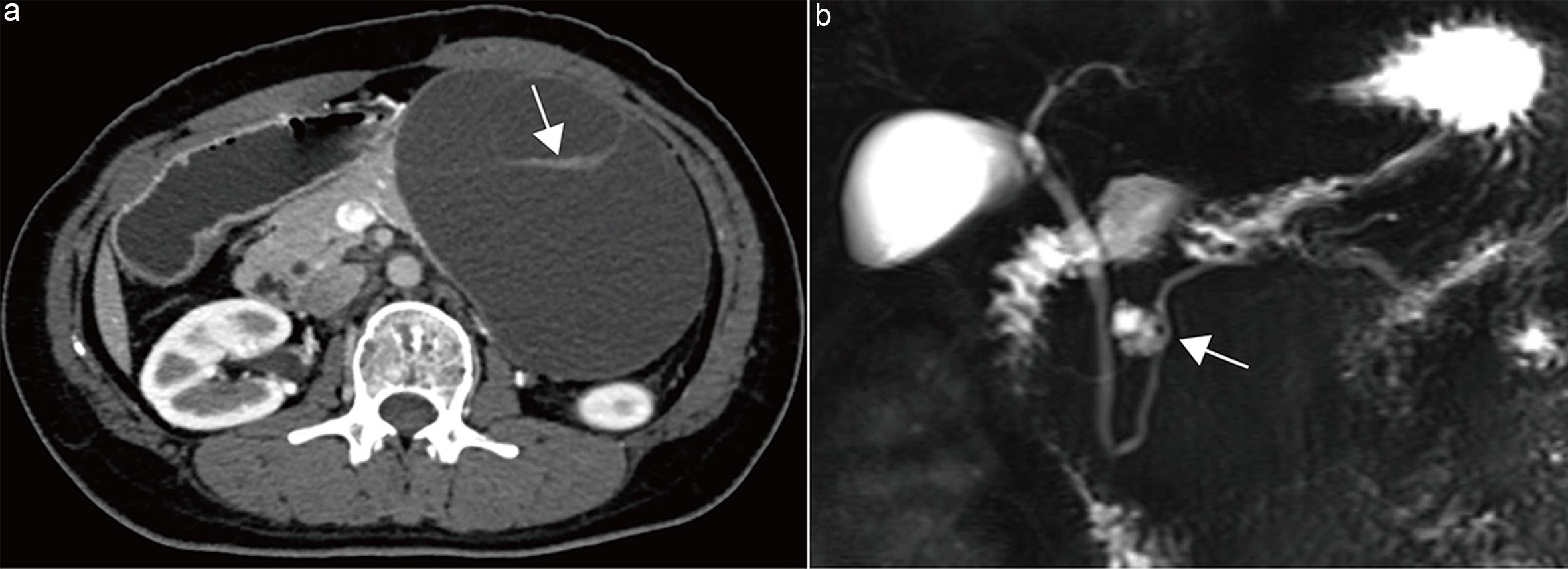
Wall nodules are defined as papillary projections ≥3 mm on the main pancreatic duct wall or cyst wall, associated with malignant tumors (carcinoma in situ or invasive carcinoma).24 For enhancing mural nodules, the pancreatic parenchymal phase of contrast-enhanced imaging provides optimal contrast between normal pancreatic parenchyma and cyst fluid, allowing clear visualization of the cyst wall structure (Fig. 3a). Non-enhancing mural nodules are difficult to visualize on post-contrast images but appear as filling defects on T2WI, where the high signal intensity of cyst fluid provides optimal contrast to delineate the nodule boundaries (Fig. 3b).17

Measurement of mural nodules.
Fig. 3  Measurement of mural nodules.

(a) Axial contrast-enhanced computed tomography (CT) image obtained during the pancreatic parenchymal phase shows an enhancing mural nodule within the main pancreatic duct in mixed-type intraductal papillary mucinous neoplasm (arrow). (b) Axial T2-weighted magnetic resonance image shows a mural nodule within the cystic lesion in a mucinous cystic neoplasm in the pancreatic tail (arrow).

Currently, there is no definitive evidence indicating whether measurement on enhanced images or T2WI is more accurate. In cases of multiple mural nodules, the largest nodule size should be measured. It is important to differentiate mural nodules from mucin balls, which are more common and lack vascular components; mucin balls do not enhance post-contrast and require assessment across multiple sequences to confirm the diagnosis. Fujita et al.25 found that contrast-EUS is superior to CT and MRI in differentiating mucin balls from mural nodules, with detection rates of 100%, 85.7%, and 71.4%, respectively.

What is the clinical significance of assessing enhancing mural nodules?

Recommendation 6: Enhancing mural nodules ≥5 mm should be considered a high-risk feature for malignancy in PCNs, whereas those <5 mm should be considered a worrisome feature.

Evidence Quality: High; Recommendation Strength: Strong

The size of enhancing mural nodules is closely related to PCN malignancy and surgical indication assessment. Both the 2017 Revised International Fukuoka Consensus Guidelines and the 2018 European Guidelines define enhancing mural nodules ≥5 mm as a high-risk feature for IPMN malignancy and enhancing mural nodules <5 mm as a worrisome feature.3,21 Lee et al.26 further confirmed the strong association between enhancing mural nodules ≥5 mm and IPMN malignancy. The 2018 European Guidelines consider any enhancing mural nodule, regardless of size, as an absolute surgical indication for MCN. Multiple studies have demonstrated that enhancing mural nodules are independent risk factors for malignant MCN.27–29

How is thickening of the cyst wall and intracystic septa defined?

Recommendation 7: Cyst wall or intracystic septa thickness >2 mm is defined as thickening.

Evidence quality: High; Recommendation strength: Strong

Cyst wall thickening may be segmental or diffuse, smooth or irregular. Choi et al.30 demonstrated a significant correlation between cyst wall thickening and malignancy. A meta-analysis showed that cyst wall and intracystic septa thickening are worrisome features of branch-duct IPMN, with a pooled sensitivity of 60% (OR = 2.3, 95% CI 0.9–5.5).22

Previous studies have variably defined cyst wall or septal thickening as >2 mm or >3 mm.31,32 Due to inconsistent measurement methods among radiologists, interobserver agreement is poor.33,34 Therefore, this guideline adopts the evaluation standard from renal cystic tumors35: cyst wall or septal thickness >2 mm is considered thickened (Fig. 4a).

Assessment of cyst wall/septal thickening and communication with the main pancreatic duct.
Fig. 4  Assessment of cyst wall/septal thickening and communication with the main pancreatic duct.

(a) Mucinous cystic neoplasm in the pancreatic tail. Axial portal venous phase computed tomography (CT) image shows thickened internal septations within the cyst, with septal thickness >2 mm (arrow). (b) Branch-duct intraductal papillary mucinous neoplasm in the pancreatic head. Magnetic resonance cholangiopancreatography demonstrates communication between the cystic lesion and the main pancreatic duct (arrow).

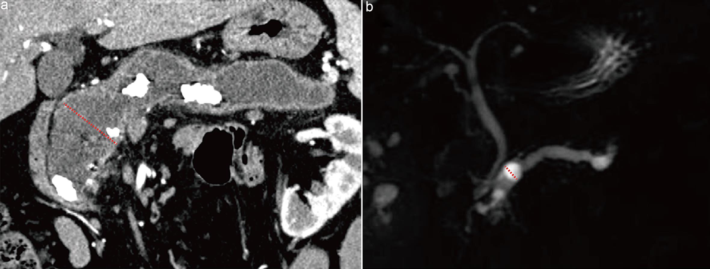
Which sequence is optimal for evaluating the relationship between the cystic lesion and the main pancreatic duct?

Recommendation 8: MRI T2WI and MRCP sequences are recommended to evaluate the relationship between cystic tumors and the main pancreatic duct.

Evidence quality: Low; Recommendation strength: Weak

All PCNs require assessment of their relationship with the main pancreatic duct, specifically to determine whether the cystic tumor communicates with the main duct. This is particularly important for differentiating branch duct IPMN from SCN and MCN. Demonstration of communication strongly suggests branch duct IPMN. Kim et al.36 compared MRI and EUS for PCN diagnosis; MRI using T2WI and MRCP showed 100% sensitivity and 90.5% accuracy for detecting communication with the main duct, whereas EUS had 88.9% sensitivity and 85.7% accuracy. Another study found comparable diagnostic performance between MRI and EUS for this purpose (AUC 0.931 vs. 0.930).37

Because cyst fluid and pancreatic juice in the main duct both appear hyperintense on T2WI and MRCP, these sequences facilitate visualization of their relationship (Fig. 4b).

How should the main pancreatic duct diameter be measured?

Recommendation 9: The maximal diameter of the main pancreatic duct should be measured on the optimal plane perpendicular to the long axis of the duct on MRCP, T2WI, or contrast-enhanced CT during the pancreatic parenchymal phase or portal venous phase.

Evidence quality: Low; Recommendation strength: Weak

MRI or MRCP is equivalent or slightly superior to CT in detecting pancreatic ductal changes,38 but CT remains the first-line modality for pancreatic lesions due to its wide availability. Some studies suggest that curved planar reconstruction of the pancreatic duct on CT can rival MRCP in diagnostic performance.39

Currently, there is no consensus on the measurement method for the main pancreatic duct. Based on existing literature,40–42 this guideline recommends measuring the maximal duct diameter on MRCP, T2WI, or contrast-enhanced CT during the pancreatic parenchymal or portal venous phase, selecting the plane perpendicular to the duct’s long axis (Fig. 5).

Methods for measuring the main pancreatic duct (MPD) diameter.
Fig. 5  Methods for measuring the main pancreatic duct (MPD) diameter.

(a) Main-duct intraductal papillary mucinous neoplasm (MD-IPMN). computed tomography (CT) curved planar reformation shows the optimal plane for measurement and the maximal diameter of the dilated MPD. (b) Main-duct IPMN. MR cholangiopancreatography (MRCP) shows measurement of the maximal diameter of the dilated MPD.

How is main pancreatic duct dilation defined?

Recommendation 10: Main pancreatic duct dilation is defined as an internal diameter >3 mm.

Evidence quality: Low; Recommendation strength: Weak

A normal main pancreatic duct diameter is ≤3 mm; >3 mm is defined as dilated.17 Some studies define dilation as ≥3 mm in the pancreatic head, ≥2 mm in the body, and ≥1 mm in the tail.43,44 The 2018 Guidelines for the Diagnostic Cross Sectional Imaging and Severity Scoring of Chronic Pancreatitis also recommend >3 mm (MRI and CT) as dilation.45

A recent population-based cross-sectional study published in Gut found that using traditional reference values on MRCP led to up to 18.2% of healthy volunteers being diagnosed with duct dilation,42 resulting in unnecessary further evaluation. The study proposed new age-adjusted upper limits for asymptomatic individuals with normal liver function and lipase levels: 3 mm for those <65 years old, and 4 mm for those ≥65 years old. However, whether to update the conventional reference remains controversial, with no consensus to date. Most CT and MRI studies continue to use >3 mm as the threshold for duct dilation.19,46

What is the clinical significance of main pancreatic duct dilation assessment?

Recommendation 11: Main pancreatic duct diameter ≥10 mm indicates a high-risk feature for IPMN malignancy.

Evidence quality: High; Recommendation strength: Strong

The degree of main pancreatic duct dilation is closely related to PCN malignancy and surgical indication assessment. International guidelines define a duct diameter ≥10 mm as a high-risk feature for IPMN malignancy and an absolute indication for surgery3,22,42; diameters between 5 and 10 mm are considered worrisome features and relative surgical indications.

A 2022 meta-analysis reported that a duct diameter ≥10 mm predicted IPMN malignancy with an AUC of 0.95 (95% CI 0.92–0.96), sensitivity 14%, and specificity 98%; a diameter between 5 and 10 mm had an AUC of 0.67 (95% CI 0.63–0.71), sensitivity 59%, and specificity 75%.23

Is evaluation of the morphology of the main pancreatic duct obstruction point necessary?

Recommendation 12: Morphological assessment of the main pancreatic duct obstruction point is necessary.

Evidence quality: High; Recommendation strength: Strong

Morphologies of main pancreatic duct obstruction include stricture and abrupt cutoff; abrupt cutoff is particularly indicative of malignancy. Lim et al.47 developed a predictive model combining four factors—abrupt cutoff of the pancreatic head/neck duct, contour changes at the cutoff, associated acute pancreatitis, and elevated CA19-9—to differentiate malignant lesions in patients with duct dilation; the model achieved an AUC of 0.84 (95% CI 0.77–0.90).

A 2022 meta-analysis including nine studies found that duct stricture and the “duct-penetrating sign” are important imaging features distinguishing autoimmune pancreatitis from pancreatic ductal adenocarcinoma, while duct cutoff had the highest sensitivity (87%) for pancreatic ductal adenocarcinoma.48

In a meta-analysis of imaging predictors for branch duct IPMN malignancy, including six studies assessing duct cutoff, the AUC was 0.67 (95% CI 0.62–0.71), sensitivity 20%, and specificity 92%.23

The 2017 Revised International Fukuoka Consensus Guidelines list abrupt duct cutoff with upstream pancreatic atrophy as a worrisome feature for IPMN malignancy.21

Therefore, this guideline recommends that imaging reports explicitly state whether main pancreatic duct obstruction is present; if so, the location and morphology (stricture versus cutoff) should be clearly described (Fig. 6).

Main-duct intraductal papillary mucinous neoplasm (MD-IPMN).
Fig. 6  Main-duct intraductal papillary mucinous neoplasm (MD-IPMN).

Axial contrast-enhanced pancreatic parenchymal phase computed tomography (CT) image shows an abrupt cutoff of the main pancreatic duct in the pancreatic body (arrow).

How should IPMN be classified on imaging?

Recommendation 13: IPMN is classified into three types: main duct type, branch duct type, and mixed duct type.

Evidence quality: High; Recommendation strength: Strong

The 2017 Revised International Fukuoka Consensus Guidelines provide clear imaging criteria for IPMN classification21: main duct type is defined by segmental or diffuse dilation of the main pancreatic duct with diameter >5 mm and no branch duct dilation; branch duct type is defined by cystic dilation of branch ducts >5 mm communicating with the main duct, with main duct diameter ≤5 mm; if the main duct diameter exceeds 5 mm, the lesion should be classified as mixed duct type.

How should SCN be classified and diagnosed on imaging?

Recommendation 14: SCN is divided into serous cystadenoma (SCA) and the rare serous cystadenocarcinoma (SCC). SCA is further classified into five subtypes: microcystic, macrocystic, solid, von Hippel–Lindau-associated, and serous–neuroendocrine tumor mixed type.

Evidence quality: High; Recommendation strength: Strong

The 2019 WHO classification of pancreatic tumors categorizes SCN into SCA and SCC.49 The microcystic subtype is the most common SCA type, composed of six or more small cysts arranged in a lobulated honeycomb pattern separated by fibrous septa converging centrally into a fibrous scar with a characteristic radiating pattern; 30–40% of microcystic SCAs show central scar calcification, the most typical imaging feature.2

Macrocystic SCA consists of a single cyst or six or fewer cysts, round or lobulated, with thin walls but lacking the central scar and calcification, making differentiation from MCN challenging. Fang et al.50 developed a diagnostic model combining T2WI radiomics, clinical, and conventional imaging features to differentiate macrocystic SCA from MCN, achieving an AUC of 0.86 (95% CI 0.75–0.96), sensitivity 91.67%, and specificity 78.95% in the validation cohort.

Solid SCA lacks cystic appearance and resembles a water-saturated sponge; due to tightly packed cells and dense fibrous septa, it appears as a solid mass on imaging, often misdiagnosed as pancreatic neuroendocrine tumor (PNET). Park et al.51 reported that markedly high T2WI signal and absence of diffusion restriction on diffusion-weighted imaging are characteristic of solid SCA, aiding differentiation from PNET. Fang et al.52 noted that solid SCA shows low density on non-contrast CT and a “fast-in, fast-out” enhancement pattern, important for distinguishing from PNET.

Approximately 12% of patients with von Hippel–Lindau syndrome develop SCA, mostly microcystic, with imaging features similar to sporadic microcystic SCA and multiple simple pancreatic cysts present.53

Serous–neuroendocrine tumor mixed type SCN is defined by the coexistence of SCA and neuroendocrine tumor within the pancreas; about 33.3% (5/15) of these cases show multifocal SCA.54

SCC is defined by the presence of synchronous or metachronous distant metastases; it is extremely rare, accounting for less than 0.2% of all SCN,52 with fewer than 40 cases reported worldwide.55

A European multicenter study including 2,622 SCN patients found that approximately 11% had main pancreatic duct dilation.56

Notably, SCN with main duct dilation is often misdiagnosed as IPMN because the dilated main duct adjacent to SCN is difficult to distinguish from true communication. One study found that in SCN patients with duct dilation,57 the downstream main duct was not dilated, whereas in IPMN, mucin secretion causes slow pancreatic juice drainage and accumulation, leading to downstream duct dilation, especially in main duct or mixed duct type IPMN located in the pancreatic body and tail. This feature can help differentiate SCN from IPMN.

Is assessment of calcification necessary?

Recommendation 15: Calcification should be assessed.

Evidence quality: Low; Recommendation strength: Weak

Calcification is common in PCNs, with distinct imaging characteristics depending on the lesion type.58

Intestinal-type IPMN malignant transformation to colloid carcinoma often contains extremely viscous gelatinous mucin, prone to sand-like calcifications.59

MCN calcifications are mostly located in the cyst wall and septa, appearing as lamellar or eggshell-like calcifications. Procacci et al.60 identified calcification as an independent predictor of MCN malignancy (OR = 13.62, 95% CI 2.22–83.56).

SCN calcifications mainly occur in microcystic types, presenting as central spherical fibrous scar calcifications with radiating fibrous septa converging centrally, forming a characteristic radiating pattern.61

SPN may show calcifications due to internal hemorrhage and necrosis with poor absorption of calcium salts.58

CT is the optimal imaging modality for calcification assessment. Non-contrast CT is most accurate for differentiating calcifications from vascular or other enhancing structures, with calcifications appearing as high-density areas (CT value ≥ 100 Hounsfield units).

Is assessment of hemorrhage necessary?

Recommendation 16: Hemorrhage should be assessed.

Evidence quality: Low; Recommendation strength: Weak

Hemorrhage is a useful imaging feature for diagnosis and differential diagnosis of PCNs. It is most common in SPN and is a major diagnostic criterion. SPN consists mainly of tumor cells and abundant stromal vessels; tumor cells form pseudopapillary structures around vessels, and when tumor cells detach, vessels rupture due to lack of support, causing hemorrhage.61

SCN cyst fluid is typically clear serous fluid, but hemorrhage can occur rarely62; one case report described SCN hemorrhage post-renal transplantation, possibly related to immunosuppressants, organ congestion, and azathioprine-induced pancreatitis.63

MRI is the best modality for hemorrhage assessment, with characteristic high signal intensity on T1-weighted imaging.

What are the imaging criteria for suspicious lymph nodes?

Recommendation 17: Lymph nodes with short-axis diameter >10 mm, heterogeneous density/signal, heterogeneous enhancement, internal necrosis, confluence, indistinct margins, and diffusion restriction on MRI, especially when multiple features coexist, strongly suggest lymph node metastasis.

Evidence quality: Low; Recommendation strength: Weak

The 2017 Revised International Fukuoka Consensus Guidelines list enlarged lymph nodes as a worrisome feature for IPMN malignancy but do not specify imaging criteria for lymph node assessment.21

Lee et al.26 used a short axis >5 mm as the imaging criterion for enlarged lymph nodes and found an association with IPMN malignancy (CT: OR = 7; MRI: OR = 6.1).

Fang et al.64 used a short axis >10 mm as the criterion and identified enlarged lymph nodes as an independent predictor of IPMN malignancy (OR = 9.69, 95% CI 0.94–99.15).

In pancreatic cancer studies, lymph nodes exhibiting a short axis >10 mm combined with heterogeneous density/signal, heterogeneous enhancement, internal necrosis, confluence, indistinct margins, and MRI diffusion restriction strongly indicate metastasis.65–67

Therefore, this guideline does not recommend relying solely on lymph node size as a worrisome feature for IPMN malignancy.

Is evaluation of acute pancreatitis necessary?

Recommendation 18: Acute pancreatitis should be assessed.

Evidence quality: High; Recommendation strength: Strong

Both the 2017 Revised International Fukuoka Consensus Guidelines and the 2018 European Guidelines consider acute pancreatitis a worrisome feature for IPMN malignancy and a relative surgical indication.3,21

The 2018 European Guidelines also list acute pancreatitis as an absolute surgical indication for MCN; if SCN causes pancreatic duct obstruction leading to secondary acute pancreatitis, surgical resection is recommended.3

The reported incidence of acute pancreatitis in IPMN patients ranges from 13% to 35%, though these data are based on surgically resected cases and may be overestimated.68–70

Secondary acute pancreatitis is mainly attributed to mucin-producing IPMN involving the main duct, where mucin obstructs the duct, impairing pancreatic juice drainage and triggering pancreatitis.

Lee et al.26 found that 42.8% of patients with malignant IPMN had a history of acute pancreatitis, significantly higher than 17.2% in non-malignant cases.

How should PCN be differentiated from a pancreatic pseudocyst or retention cyst?

Recommendation 19: Differentiation between PCN and pancreatic pseudocyst or retention cyst primarily relies on patient history; pseudocysts are secondary to pancreatitis, while retention cysts result from downstream pancreatic duct obstruction.

Evidence quality: Low; Recommendation strength: Weak

Pancreatic pseudocysts and retention cysts are both classified as non-neoplastic cystic pancreatic lesions. Among these, pseudocysts represent the most common non-neoplastic cystic pancreatic lesion, accounting for approximately one-third of all pancreatic cystic lesions.71 Pseudocysts are not true cysts; their walls are formed by inflammatory organization and are lined by fibrous tissue, reactive granulomas rich in macrophages, and necrotic debris.72 However, in clinical practice, except for some lesions with characteristic imaging features, a substantial proportion of pancreatic cystic lesions exhibit overlapping imaging appearances, which is a major cause of misdiagnosis. Pseudocysts often develop secondary to acute or chronic pancreatitis; thus, a history of pancreatitis is a prerequisite for the imaging diagnosis of pseudocysts. The proportion of PCN patients complicated by pancreatitis is relatively small: only about one-third of IPMNs and 10% of MCNs may be accompanied by mild pancreatitis, and a minority of other PCN types may develop pancreatitis when the tumor volume is large enough to compress the pancreatic duct.71 Imaging features characteristic of pseudocysts include thick cyst walls, intraluminal necrotic debris deposition, and hemorrhage. The cyst fluid typically shows high signal intensity on T1-weighted imaging or fluid-fluid levels, resembling the imaging appearance of SPNs. However, pseudocysts occur without gender predilection and can present at any age, whereas SPNs predominantly affect young females, which can serve as a differential point.73 Literature reports that approximately 65% of pseudocysts communicate with the pancreatic duct,71,74 similar to the imaging features of branch duct-type IPMN; however, branch duct-type IPMNs usually demonstrate relatively homogeneous cyst fluid signal or density, rarely showing necrotic debris or hemorrhage. Additionally, the size of pseudocysts may fluctuate in the short term in accordance with the course of pancreatitis, whereas branch duct-type IPMN lesions tend to remain stable in size over short intervals.

Retention cysts are true cysts lined by epithelial cells and can be simply understood as localized dilations of the main or branch pancreatic ducts caused by downstream ductal obstruction, resulting in impaired outflow of pancreatic secretions. Most retention cysts measure 0.5–1.0 cm in diameter75; therefore, downstream ductal obstruction is a prerequisite for the imaging diagnosis of retention cysts. Retention cysts communicate with the pancreatic duct, resembling the imaging features of branch duct-type IPMN; however, retention cysts have smooth cyst walls without mural nodules or solid components.

Which imaging modality is recommended for follow-up of patients with confirmed PCN?

Recommendation 20: MRI combined with MRCP is recommended as the first-line imaging modality for follow-up of PCN patients.

Evidence quality: High; Recommendation strength: Strong

The 2017 Revised International Fukuoka Consensus Guidelines recommend CT or MRI combined with MRCP for follow-up of cysts ≤20 mm; for cysts 20–30 mm, EUS is preferred, alternating with MRI.21 The 2018 European Guidelines recommend EUS or MRI for follow-up of IPMN and MCN ≤40 mm.3 The 2020 ACR Appropriateness Criteria® Pancreatic Cyst recommend CT or MRI combined with MRCP for surveillance.76 Although EUS can clearly depict internal details of PCN such as mural nodules in IPMN and intracystic septations in SCN and MCN, it is more operator-dependent.77 Most studies demonstrate comparable diagnostic performance between MRI and CT in assessing high-risk features of PCN.78–81 MRI, without ionizing radiation, combined with MRCP can clearly visualize the pancreatic duct, enhancing mural nodules, and intracystic septations. Therefore, this guideline recommends MRI combined with MRCP as the preferred imaging modality for PCN follow-up.

What is the optimal follow-up interval for PCN?

Recommendation 21: For PCN patients with cysts ≤10 mm, follow-up is recommended every 2 years; for cysts 10–20 mm, annually; and for cysts 20–30 mm, every 6–12 months.

Evidence quality: Low; Recommendation strength: Weak

Currently, follow-up intervals for PCN without high-risk features vary among guidelines. The 2017 Revised International Fukuoka Consensus Guidelines suggest for IPMN ≤10 mm a first follow-up at 6 months, then every 2 years if stable; for cysts 10–20 mm, every 6 months in the first year, annually for the next 2 years, then every 2 years thereafter; and for cysts 20–30 mm, every 3–6 months.21 The 2018 European Guidelines recommend for IPMN and MCN ≤40 mm follow-up every 6 months in the first year, then annually.3 The Chinese guidelines for the diagnosis and treatment of pancreatic cystic neoplasm (2022) (in Chinese) (hereinafter referred to as 2022 Chinese guidelines) and Optimal Surveillance Interval of Branch Duct Intraductal Papillary Mucinous Neoplasm of the Pancreas recommend follow-up every 2 years for cysts ≤10 mm, annually for cysts 10–20 mm, and every 6–12 months for cysts 20–30 mm.82,83 This guideline endorses the follow-up intervals as per the 2022 Chinese guidelines; however, optimal follow-up intervals require further validation by large prospective studies.

Writing the diagnostic conclusion in the standardized PCN report

The diagnostic conclusion in the standardized report for PCN should include the following components: tumor name (including location and size), high-risk features, worrisome features, other relevant findings, and a recommended follow-up strategy. For patients undergoing serial follow-up, the diagnostic conclusion should also include comparison with the most recent imaging examination, when applicable (i.e., not the first examination and performed at the same institution) (Table 2).

Table 2

Standardized reporting template for CT and MRI imaging diagnosis of pancreatic cystic neoplasms

I. Cystic mass assessment
Imaging contentDescription
LocationSingle site: pancreatic head (specify uncinate process separately), pancreatic neck, pancreatic body, pancreatic tail
Multiple sites: specify involved locations
Entire pancreas
NumberSolitary lesion
Multiple lesions: specify exact number
Numerous lesions: exact number not required
SizeMeasurement sequence: pancreatic parenchymal phase contrast-enhanced CT or T2-weighted imaging (MRI)
Plane: axial, coronal, sagittal, or other reconstructed planes
Specific measurement values (mm)
Mural noduleAbsent
Present: describe presence or absence of enhancement, location, long-axis diameter
Cyst wall and intracystic septal thicknessMeasure at thickest section
Thickening defined as >2 mm
Communication with main pancreatic ductNo
Yes
Calcification (CT only)Absent
Present: describe calcification characteristics (location, pattern)
Hemorrhage (MRI only)Absent
Present: high signal on T1-weighted imaging
II. Main Pancreatic duct assessment
Imaging contentDescription
Main pancreatic duct dilationNo
Yes: measure maximal diameter in the largest plane (>3 mm = dilated)
Main pancreatic duct obstructionNo
Yes: specify location and morphology (stricture or abrupt cutoff)
Mural nodule in ductAbsent
Present: describe presence or absence of enhancement, location, long-axis diameter
Calcification in duct (CT only)Absent
Present: describe calcification characteristics
III. Other assessments
Imaging contentDescription
Lymph nodesNo suspicious lymph nodes
Suspicious lymph nodes present: describe size (short-axis diameter), location, morphological features
Acute pancreatitisAbsent
Present: describe imaging features
Other findingsAdjacent organ involvement
Vascular involvement
Other incidental findings within scan range
IV. Diagnostic conclusions
ComponentDescription
Tumor nameSpecific diagnosis or differential diagnosis
Location and size
High-risk featuresEnhancing mural nodule ≥5 mm
Main pancreatic duct ≥10 mm
Obstructive jaundice in cystic lesion of pancreatic head
Worrisome featuresCyst ≥3 cm (IPMN)
Enhancing mural nodule <5 mm
Thickened/enhancing cyst wall
Main pancreatic duct 5–9 mm
Abrupt change in pancreatic duct caliber with upstream pancreatic atrophy
Suspicious lymph nodes
Cyst growth rate ≥5 mm/2 years
Elevated serum CA19–9
Comparison with prior studiesFor follow-up examinations: compare with most recent prior imaging
Describe interval changes in size, morphology, and features
Recommended follow-up strategyCysts ≤10 mm: every 2 years
Cysts 10–20 mm: annually
Cysts 20–30 mm: every 6–12 months
High-risk features: surgical consultation

Discussion

This evidence-based guideline, developed on the basis of published evidence and clinical experience, proposes 11 strong recommendations and 10 weak recommendations for the imaging diagnosis of PCNs and establishes a standardized diagnostic reporting framework for PCNs (Table 2). The framework mainly includes four aspects: cystic lesion assessment, main pancreatic duct evaluation, other relevant assessments, and diagnostic conclusions.19,84,85 In clinical practice, this guideline may be implemented as a structured reporting framework for computed tomography and magnetic resonance imaging evaluation of PCNs. By standardizing imaging terminology, measurement methods, key reporting elements, and follow-up recommendations, it may reduce interobserver variability, improve the completeness and consistency of imaging reports, and facilitate communication among radiologists, gastroenterologists, surgeons, and multidisciplinary teams. Recent evidence further suggests that artificial intelligence-assisted CT evaluation may complement standardized imaging reporting of PCNs. In a multicenter study, a deep learning CT model improved radiologists’ diagnostic accuracy, reduced interpretation time, and showed potential real-world clinical benefit in stratified diagnosis and management of PCNs. It may also support risk stratification and guide decisions regarding surveillance, further evaluation, or surgery, while facilitating longitudinal comparison during follow-up.86 Implementation of this guideline may face certain challenges. Variations in magnetic resonance imaging availability across different regions of China, particularly in rural and resource-limited areas, may result in greater reliance on computed tomography for initial evaluation. In addition, differences in radiologist expertise and subspecialty training may affect the consistency of PCN characterization and reporting. To address these challenges, the standardized reporting template was designed to be applicable across imaging modalities, and targeted training and quality-control efforts are recommended to promote uniform implementation across institutions. Following publication, dissemination through academic conferences, journal publications, and structured training programs for radiologists and clinicians may further facilitate the application of this guideline in clinical practice. Given the complexity and heterogeneity of PCNs and individual patient variability, these recommendations should be interpreted and applied appropriately in specific clinical settings to support individualized and precise diagnosis.

Conclusions

This evidence-based guideline proposes 21 recommendations and establishes a standardized diagnostic imaging reporting framework for PCNs. The guideline may improve the completeness, consistency, and clarity of imaging reports, facilitate communication between radiologists and clinicians, and support individualized clinical decision-making in China.

Declarations

Acknowledgement

None.

Chief Experts

Zhaoshen Li (The First Affiliated Hospital of Naval Medical University); Zhuan Liao (The First Affiliated Hospital of Naval Medical University); Shiyuan Liu (The Second Affiliated Hospital of Naval Medical University); Min Chen (Beijing Hospital); Xun Li (The First Hospital of Lanzhou University).

Chief Methodologist

Yaolong Chen (Lanzhou University).

Guideline Expert Committee (in alphabetical order by surname)

Yun Bian (The First Affiliated Hospital of Naval Medical University); Xu Fang (The First Affiliated Hospital of Naval Medical University); Shiwei Guo (The First Affiliated Hospital of Naval Medical University); Qiang Hao (The First Affiliated Hospital of Naval Medical University); Hui Jiang (The First Affiliated Hospital of Naval Medical University); Gang Jin (The First Affiliated Hospital of Naval Medical University); Zhendong Jin (The First Affiliated Hospital of Naval Medical University); Jing Li (The First Affiliated Hospital of Naval Medical University); Jianping Lu (The First Affiliated Hospital of Naval Medical University); Yanfang Liu (The First Affiliated Hospital of Naval Medical University); Chao Ma (The First Affiliated Hospital of Naval Medical University); Chengwei Shao (The First Affiliated Hospital of Naval Medical University); Kaixuan Wang (The First Affiliated Hospital of Naval Medical University); Li Wang (The First Affiliated Hospital of Naval Medical University); Tiegong Wang (The First Affiliated Hospital of Naval Medical University); Xianbao Zhan (The First Affiliated Hospital of Naval Medical University); Jianming Zheng (The First Affiliated Hospital of Naval Medical University); Kailian Zheng (The First Affiliated Hospital of Naval Medical University).

External Review Panel (in alphabetical order by surname)

Kemin Chen (Ruijin Hospital, Shanghai Jiao Tong University School of Medicine); Shiting Feng (The First Affiliated Hospital, Sun Yat-sen University); Dajing Guo (The Second Affiliated Hospital of Chongqing Medical University); Huijie Jiang (The Second Affiliated Hospital of Harbin Medical University); Shenghong Ju (Zhongda Hospital, Southeast University); Junqiang Lei (The First Hospital of Lanzhou University); Zhen Li (Tongji Hospital, Tongji Medical College, Huazhong University of Science and Technology); Ailian Liu (The First Affiliated Hospital of Dalian Medical University); Gaifang Liu (Hebei General Hospital); Han Lü (Beijing Friendship Hospital, Capital Medical University); Liu Ouyang (Shanghai Fourth People’s Hospital, Tongji University); Yi Qian (The Second Affiliated Hospital of Naval Medical University); Jinrong Qu (Affiliated Cancer Hospital of Zhengzhou University, Henan Cancer Hospital); Dong Shang (The First Affiliated Hospital of Dalian Medical University); Chenghao Shao (The Second Affiliated Hospital of Naval Medical University); Yu Shi (Shengjing Hospital of China Medical University); Bei Sun (The First Affiliated Hospital of Harbin Medical University); Jian Wang (The First Affiliated Hospital of Army Medical University); Song Wang (Longhua Hospital, Shanghai University of Traditional Chinese Medicine); Yi Xiao (The Second Affiliated Hospital of Naval Medical University); Wei Xing (The First People’s Hospital of Changzhou); Huadan Xue (Peking Union Medical College Hospital); Fuhua Yan (Ruijin Hospital, Shanghai Jiao Tong University School of Medicine); Zhenghan Yang (Beijing Friendship Hospital, Capital Medical University); Risheng Yu (The Second Affiliated Hospital, Zhejiang University School of Medicine); Hongmei Zhang (Cancer Hospital, Chinese Academy of Medical Sciences); Shuqian Zhang (Hebei General Hospital); Mengsu Zeng (Zhongshan Hospital, Fudan University); Ning Zhong (Qilu Hospital of Shandong University).

Guideline Working Group (in alphabetical order by surname)

Xiaolu Bian (The First Affiliated Hospital of Naval Medical University); Yun Bian (The First Affiliated Hospital of Naval Medical University); Shiyue Chen (The First Affiliated Hospital of Naval Medical University); Xu Fang (The First Affiliated Hospital of Naval Medical University); Hui Jiang (The First Affiliated Hospital of Naval Medical University); Jing Li (The First Affiliated Hospital of Naval Medical University); Xuezhou Li (The First Affiliated Hospital of Naval Medical University); Qi Li (Hospital of PLA Unit 96601); Fang Liu (The First Affiliated Hospital of Naval Medical University); Shiyu Ma (The First Affiliated Hospital of Naval Medical University); Tiegong Wang (The First Affiliated Hospital of Naval Medical University); Wei Yin (The First Affiliated Hospital of Naval Medical University); Yelin Yang (The First Affiliated Hospital of Naval Medical University); Jieyu Yu (The First Affiliated Hospital of Naval Medical University); Jian Zhou (The First Affiliated Hospital of Naval Medical University); Yunshuo Zhang (The First Affiliated Hospital of Naval Medical University).

Drafting Authors

Yun Bian (The First Affiliated Hospital of Naval Medical University); Xu Fang (The First Affiliated Hospital of Naval Medical University).

Funding

This work was supported in part by the National Science Foundation for Scientists of China (grant nos. 82171930, 82271972, 82371955, and 62402501), the Clinical Research Plan of SHDC (grant no. SHDC2022CRD028), the Shanghai Municipal Health Commission Seed Program for Research and Translation of Medical New Technologies Project (grant nos. 2024ZZ1015, 2025ZZ1015), the Plan for Promoting Scientific Research Paradigm Reform and Enhancing Disciplinary Advancement through Artificial Intelligence (grant no. 2024RGZD001), and the Special Project for Clinical Research in the Health Industry of the Shanghai Municipal Health Commission (grant no. 202540148). The funders had no role in the study design, data collection and analysis, decision to publish, or preparation of the paper.

Conflict of interest

Prof. Zhaoshen Li serves as Honorary Editor-in-Chief, and Prof. Xun Li serves as an Editorial Board Member of Cancer Screening and Prevention. The authors declare no other conflicts of interest.

Authors’ contributions

Study concept and design (ZSL, ZL, SYL, MC, XL), methodological design and guidance (YLC), and draft of the manuscript (YB, XF). Members of the Guideline Expert Committee participated in guideline development, Delphi consultation, and recommendation formulation. Members of the External Review Panel provided independent review and critical feedback. Members of the Guideline Working Group conducted evidence retrieval, screening, and data organization. All authors critically revised the manuscript for important intellectual content and approved the final version.

References

  1. Gardner TB, Park WG, Allen PJ. Diagnosis and Management of Pancreatic Cysts. Gastroenterology 2024;167(3):454-468 View Article PubMed/NCBI
  2. Miller FH, Lopes Vendrami C, Recht HS, Wood CG, Mittal P, Keswani RN, et al. Pancreatic Cystic Lesions and Malignancy: Assessment, Guidelines, and the Field Defect. Radiographics 2022;42(1):87-105 View Article PubMed/NCBI
  3. European Study Group on Cystic Tumours of the Pancreas. European evidence-based guidelines on pancreatic cystic neoplasms. Gut 2018;67(5):789-804 View Article PubMed/NCBI
  4. Guyatt GH, Oxman AD, Vist GE, Kunz R, Falck-Ytter Y, Alonso-Coello P, et al. GRADE: an emerging consensus on rating quality of evidence and strength of recommendations. BMJ 2008;336(7650):924-926 View Article PubMed/NCBI
  5. World Health Organization. WHO handbook for guideline development. 2nd ed. Geneva: World Health Organization; 2014
  6. Institute of Medicine (US) Committee on Standards for Developing Trustworthy Clinical Practice Guidelines. In: Graham R, Mancher M, Miller Wolman D, Greenfield S, Steinberg E (eds). Clinical Practice Guidelines We Can Trust. Washington (DC): National Academies Press (US); 2011 View Article PubMed/NCBI
  7. Chen YL, Yang KH, Wang XQ, Kang DY, Zhan SY, Wang JY, et al. Guiding Principles for the Development/Revision of Clinical Diagnosis and Treatment Guidelines in China (2022 Edition) (in Chinese). Natl Med J China 2022;102(10):697-703 View Article
  8. Brouwers MC, Kho ME, Browman GP, Burgers JS, Cluzeau F, Feder G, et al. AGREE II: advancing guideline development, reporting and evaluation in health care. CMAJ 2010;182(18):E839-E842 View Article PubMed/NCBI
  9. Chen Y, Yang K, Marušic A, Qaseem A, Meerpohl JJ, Flottorp S, et al. A Reporting Tool for Practice Guidelines in Health Care: The RIGHT Statement. Ann Intern Med 2017;166(2):128-132 View Article PubMed/NCBI
  10. Zhang XM, Mitchell DG, Dohke M, Holland GA, Parker L. Pancreatic cysts: depiction on single-shot fast spin-echo MR images. Radiology 2002;223(2):547-553 View Article PubMed/NCBI
  11. Vilela A, Quingalahua E, Vargas A, Hawa F, Shannon C, Carpenter ES, et al. Global Prevalence of Pancreatic Cystic Lesions in the General Population on Magnetic Resonance Imaging: A Systematic Review and Meta-analysis. Clin Gastroenterol Hepatol 2024;22(9):1798-1809.e6 View Article PubMed/NCBI
  12. Laffan TA, Horton KM, Klein AP, Berlanstein B, Siegelman SS, Kawamoto S, et al. Prevalence of unsuspected pancreatic cysts on MDCT. AJR Am J Roentgenol 2008;191(3):802-807 View Article PubMed/NCBI
  13. Kromrey ML, Bülow R, Hübner J, Paperlein C, Lerch MM, Ittermann T, et al. Prospective study on the incidence, prevalence and 5-year pancreatic-related mortality of pancreatic cysts in a population-based study. Gut 2018;67(1):138-145 View Article PubMed/NCBI
  14. Udare A, Agarwal M, Alabousi M, McInnes M, Rubino JG, Marcaccio M, et al. Diagnostic Accuracy of MRI for Differentiation of Benign and Malignant Pancreatic Cystic Lesions Compared to CT and Endoscopic Ultrasound: Systematic Review and Meta-analysis. J Magn Reson Imaging 2021;54(4):1126-1137 View Article PubMed/NCBI
  15. Do RK, Katz SS, Gollub MJ, Li J, LaFemina J, Zabor EC, et al. Interobserver agreement for detection of malignant features of intraductal papillary mucinous neoplasms of the pancreas on MDCT. AJR Am J Roentgenol 2014;203(5):973-979 View Article PubMed/NCBI
  16. Dunn DP, Brook OR, Brook A, Revah G, Jawadi S, Sun M, et al. Measurement of pancreatic cystic lesions on magnetic resonance imaging: efficacy of standards in reducing inter-observer variability. Abdom Radiol (NY) 2016;41(3):500-507 View Article PubMed/NCBI
  17. Hecht EM, Khatri G, Morgan D, Kang S, Bhosale PR, Francis IR, et al. Intraductal papillary mucinous neoplasm (IPMN) of the pancreas: recommendations for Standardized Imaging and Reporting from the Society of Abdominal Radiology IPMN disease focused panel. Abdom Radiol (NY) 2021;46(4):1586-1606 View Article PubMed/NCBI
  18. NCCN Clinical Practice Guidelines in Oncology: Pancreatic Adenocarcinoma (Version1.2026). 2026. Available from: https://nccn.org/guidelines/guidelines-detail?category=1&id=1455
  19. Al-Hawary MM, Francis IR, Chari ST, Fishman EK, Hough DM, Lu DS, et al. Pancreatic ductal adenocarcinoma radiology reporting template: consensus statement of the Society of Abdominal Radiology and the American Pancreatic Association. Radiology 2014;270(1):248-260 View Article PubMed/NCBI
  20. Goh BK, Tan YM, Chung YF, Chow PK, Cheow PC, Wong WK, et al. A review of mucinous cystic neoplasms of the pancreas defined by ovarian-type stroma: clinicopathological features of 344 patients. World J Surg 2006;30(12):2236-2245 View Article PubMed/NCBI
  21. Tanaka M, Fernández-Del Castillo C, Kamisawa T, Jang JY, Levy P, Ohtsuka T, et al. Revisions of international consensus Fukuoka guidelines for the management of IPMN of the pancreas. Pancreatology 2017;17(5):738-753 View Article PubMed/NCBI
  22. Ohtsuka T, Fernandez-Del Castillo C, Furukawa T, Hijioka S, Jang JY, Lennon AM, et al. International evidence-based Kyoto guidelines for the management of intraductal papillary mucinous neoplasm of the pancreas. Pancreatology 2024;24(2):255-270 View Article PubMed/NCBI
  23. Zhao W, Liu S, Cong L, Zhao Y. Imaging Features for Predicting High-Grade Dysplasia or Malignancy in Branch Duct Type Intraductal Papillary Mucinous Neoplasm of the Pancreas: A Systematic Review and Meta-Analysis. Ann Surg Oncol 2022;29(2):1297-1312 View Article PubMed/NCBI
  24. Sugiyama M, Atomi Y. Intraductal papillary mucinous tumors of the pancreas: imaging studies and treatment strategies. Ann Surg 1998;228(5):685-691 View Article PubMed/NCBI
  25. Fujita M, Itoi T, Ikeuchi N, Sofuni A, Tsuchiya T, Ishii K, et al. Effectiveness of contrast-enhanced endoscopic ultrasound for detecting mural nodules in intraductal papillary mucinous neoplasm of the pancreas and for making therapeutic decisions. Endosc Ultrasound 2016;5(6):377-383 View Article PubMed/NCBI
  26. Lee JE, Choi SY, Min JH, Yi BH, Lee MH, Kim SS, et al. Determining Malignant Potential of Intraductal Papillary Mucinous Neoplasm of the Pancreas: CT versus MRI by Using Revised 2017 International Consensus Guidelines. Radiology 2019;293(1):134-143 View Article PubMed/NCBI
  27. Postlewait LM, Ethun CG, McInnis MR, Merchant N, Parikh A, Idrees K, et al. Association of Preoperative Risk Factors With Malignancy in Pancreatic Mucinous Cystic Neoplasms: A Multicenter Study. JAMA Surg 2017;152(1):19-25 View Article PubMed/NCBI
  28. Vullierme MP, Gregory J, Rebours V, Cros J, Abelhady-Attia Y, Vilgrain V, et al. MRI is useful to suggest and exclude malignancy in mucinous cystic neoplasms of the pancreas. Eur Radiol 2022;32(2):1297-1307 View Article PubMed/NCBI
  29. Keane MG, Shamali A, Nilsson LN, Antila A, Millastre Bocos J, Marijinissen Van Zanten M, et al. Risk of malignancy in resected pancreatic mucinous cystic neoplasms. Br J Surg 2018;105(4):439-446 View Article PubMed/NCBI
  30. Choi SY, Kim JH, Yu MH, Eun HW, Lee HK, Han JK. Diagnostic performance and imaging features for predicting the malignant potential of intraductal papillary mucinous neoplasm of the pancreas: a comparison of EUS, contrast-enhanced CT and MRI. Abdom Radiol (NY) 2017;42(5):1449-1458 View Article PubMed/NCBI
  31. Chiu SS, Lim JH, Lee WJ, Chang KT, Oh DK, Lee KT, et al. Intraductal papillary mucinous tumour of the pancreas: differentiation of malignancy and benignancy by CT. Clin Radiol 2006;61(9):776-783 View Article PubMed/NCBI
  32. Hwang DW, Jang JY, Lim CS, Lee SE, Yoon YS, Ahn YJ, et al. Determination of malignant and invasive predictors in branch duct type intraductal papillary mucinous neoplasms of the pancreas: a suggested scoring formula. J Korean Med Sci 2011;26(6):740-746 View Article PubMed/NCBI
  33. Choi SY, Min JH, Kim JH, Park HJ, Kim YY, Han YE, et al. Interobserver Variability and Diagnostic Performance in Predicting Malignancy of Pancreatic Intraductal Papillary Mucinous Neoplasm with MRI. Radiology 2023;308(1):e222463 View Article PubMed/NCBI
  34. Kim SH, Lee JM, Lee ES, Baek JH, Kim JH, Han JK, et al. Intraductal papillary mucinous neoplasms of the pancreas: evaluation of malignant potential and surgical resectability by using MR imaging with MR cholangiography. Radiology 2015;274(3):723-733 View Article PubMed/NCBI
  35. Silverman SG, Pedrosa I, Ellis JH, Hindman NM, Schieda N, Smith AD, et al. Bosniak Classification of Cystic Renal Masses, Version 2019: An Update Proposal and Needs Assessment. Radiology 2019;292(2):475-488 View Article PubMed/NCBI
  36. Kim YC, Choi JY, Chung YE, Bang S, Kim MJ, Park MS, et al. Comparison of MRI and endoscopic ultrasound in the characterization of pancreatic cystic lesions. AJR Am J Roentgenol 2010;195(4):947-952 View Article PubMed/NCBI
  37. Kim JH, Eun HW, Park HJ, Hong SS, Kim YJ. Diagnostic performance of MRI and EUS in the differentiation of benign from malignant pancreatic cyst and cyst communication with the main duct. Eur J Radiol 2012;81(11):2927-2935 View Article PubMed/NCBI
  38. Fukukura Y, Fujiyoshi F, Hamada H, Takao S, Aikou T, Hamada N, et al. Intraductal papillary mucinous tumors of the pancreas. Comparison of helical CT and MR imaging. Acta Radiol 2003;44(5):464-471 View Article PubMed/NCBI
  39. Sahani DV, Kadavigere R, Blake M, Fernandez-Del Castillo C, Lauwers GY, Hahn PF. Intraductal papillary mucinous neoplasm of pancreas: multi-detector row CT with 2D curved reformations—correlation with MRCP. Radiology 2006;238(2):560-569 View Article PubMed/NCBI
  40. Kim TH, Song TJ, Lee SO, Park CH, Moon JH, Pih GY, et al. Main duct and mixed type intraductal papillary mucinous neoplasms without enhancing mural nodules: Duct diameter of less than 10 mm and segmental dilatation of main pancreatic duct are findings support surveillance rather than immediate surgery. Pancreatology 2019;19(8):1054-1060 View Article PubMed/NCBI
  41. Anderson SW, Soto JA. Pancreatic duct evaluation: accuracy of portal venous phase 64 MDCT. Abdom Imaging 2009;34(1):55-63 View Article PubMed/NCBI
  42. Beyer G, Kasprowicz F, Hannemann A, Aghdassi A, Thamm P, Volzke H, et al. Definition of age-dependent reference values for the diameter of the common bile duct and pancreatic duct on MRCP: a population-based, cross-sectional cohort study. Gut 2023;72(9):1738-1744 View Article PubMed/NCBI
  43. Krishna N, Tummala P, Reddy AV, Mehra M, Agarwal B. Dilation of both pancreatic duct and the common bile duct on computed tomography and magnetic resonance imaging scans in patients with or without obstructive jaundice. Pancreas 2012;41(5):767-772 View Article PubMed/NCBI
  44. Ladas SD, Tassios PS, Giorgiotis K, Rokkas T, Theodosiou P, Raptis SA. Pancreatic duct width: its significance as a diagnostic criterion for pancreatic disease. Hepatogastroenterology 1993;40(1):52-55 PubMed/NCBI
  45. Frøkjær JB, Akisik F, Farooq A, Akpinar B, Dasyam A, Drewes AM, et al. Guidelines for the Diagnostic Cross Sectional Imaging and Severity Scoring of Chronic Pancreatitis. Pancreatology 2018;18(7):764-773 View Article PubMed/NCBI
  46. Fukukura Y, Fujiyoshi F, Sasaki M, Nakajo M. Pancreatic duct: morphologic evaluation with MR cholangiopancreatography after secretin stimulation. Radiology 2002;222(3):674-680 View Article PubMed/NCBI
  47. Lim CY, Min JH, Hwang JA, Choi SY, Ko SE. Assessment of main pancreatic duct cutoff with dilatation, but without visible pancreatic focal lesion on MDCT: a novel diagnostic approach for malignant stricture using a CT-based nomogram. Eur Radiol 2022;32(12):8285-8295 View Article PubMed/NCBI
  48. Ha J, Choi SH, Kim KW, Kim JH, Kim HJ. MRI features for differentiation of autoimmune pancreatitis from pancreatic ductal adenocarcinoma: A systematic review and meta-analysis. Dig Liver Dis 2022;54(7):849-856 View Article PubMed/NCBI
  49. WHO Classification of Tumours Editorial Board. WHO Classification of Tumours: Digestive System Tumours. 5th ed. Lyon: International Agency for Research on Cancer; 2019
  50. Fang X, Zhang Q, Liu F, Li J, Wang T, Cao K, et al. T2-Weighted Image Radiomics Nomogram to Predict Pancreatic Serous and Mucinous Cystic Neoplasms. Acad Radiol 2023;30(8):1562-1571 View Article PubMed/NCBI
  51. Park HS, Kim SY, Hong SM, Park SH, Lee SS, Byun JH, et al. Hypervascular solid-appearing serous cystic neoplasms of the pancreas: Differential diagnosis with neuroendocrine tumours. Eur Radiol 2016;26(5):1348-1358 View Article PubMed/NCBI
  52. Fang X, Jiang H, Cao K, Li J, Liu F, Wang L, et al. Distinguishing pancreatic solid serous cystadenomas from nonfunctional pancreatic neuroendocrine tumors by computed tomography: A propensity score analysis. Medicine (Baltimore) 2022;101(37):e30523 View Article PubMed/NCBI
  53. Leung RS, Biswas SV, Duncan M, Rankin S. Imaging features of von Hippel-Lindau disease. Radiographics 2008;28(1):65-79 View Article PubMed/NCBI
  54. Li Y, Dai M, Chang X, Hu W, Chen J, Guo J, et al. Mixed serous neuroendocrine neoplasm of the pancreas: Case report and literature review. Medicine (Baltimore) 2016;95(34):e4205 View Article PubMed/NCBI
  55. Van Dyke TJ, Johlin FC, Bellizzi AM, Howe JR. Serous Cystadenocarcinoma of the Pancreas: Clinical Features and Management of a Rare Tumor. Dig Surg 2016;33(3):240-248 View Article PubMed/NCBI
  56. Jais B, Rebours V, Malleo G, Salvia R, Fontana M, Maggino L, et al. Serous cystic neoplasm of the pancreas: a multinational study of 2622 patients under the auspices of the International Association of Pancreatology and European Pancreatic Club (European Study Group on Cystic Tumors of the Pancreas). Gut 2016;65(2):305-312 View Article PubMed/NCBI
  57. Wang X, Fang X, Bian Y, Wang L, Shao CW, Lu JP. Medical imaging in misdiagnosing serous cystic neoplasms of the pancreas with pancreatic duct dilatation as other pancreatic lessions (in Chinese). Chin J Hepatobiliary Surg 2022;28(7):510-514 View Article
  58. Verde F, Fishman EK. Calcified pancreatic and peripancreatic neoplasms: spectrum of pathologies. Abdom Radiol (NY) 2017;42(11):2686-2697 View Article PubMed/NCBI
  59. Fouladi DF, Raman SP, Hruban RH, Fishman EK, Kawamoto S. Invasive Intraductal Papillary Mucinous Neoplasms: CT Features of Colloid Carcinoma Versus Tubular Adenocarcinoma of the Pancreas. AJR Am J Roentgenol 2020;214(5):1092-1100 View Article PubMed/NCBI
  60. Procacci C, Carbognin G, Accordini S, Biasiutti C, Guarise A, Lombardo F, et al. CT features of malignant mucinous cystic tumors of the pancreas. Eur Radiol 2001;11(9):1626-1630 View Article PubMed/NCBI
  61. Bian Y, Jiang H, Zheng J, Shao C, Lu J. Basic Pancreatic Lesions: Radiologic-pathologic Correlation. J Transl Int Med 2022;10(1):18-27 View Article PubMed/NCBI
  62. Choi JY, Kim MJ, Lee JY, Lim JS, Chung JJ, Kim KW, et al. Typical and atypical manifestations of serous cystadenoma of the pancreas: imaging findings with pathologic correlation. AJR Am J Roentgenol 2009;193(1):136-142 View Article PubMed/NCBI
  63. Sakaguchi T, Nakamura S, Suzuki S, Konno H, Fujita K, Suzuki K, et al. Intracystic hemorrhage of pancreatic serous cystadenoma after renal transplantation: report of a case. Surg Today 2000;30(7):667-669 View Article PubMed/NCBI
  64. Fang X, Liu F, Li J, Cao K, Wang T, Zhang H, et al. Computed tomography nomogram to predict a high-risk intraductal papillary mucinous neoplasm of the pancreas. Abdom Radiol (NY) 2021;46(11):5218-5228 View Article PubMed/NCBI
  65. Bian Y, Zheng Z, Fang X, Jiang H, Zhu M, Yu J, et al. Artificial Intelligence to Predict Lymph Node Metastasis at CT in Pancreatic Ductal Adenocarcinoma. Radiology 2023;306(1):160-169 View Article PubMed/NCBI
  66. Adham S, Ferri M, Lee SY, Larocque N, Alwahbi OA, Ruo L, et al. Pancreatic ductal adenocarcinoma (PDAC) regional nodal disease at standard lymphadenectomy: is MRI accurate for identifying node-positive patients?. Eur Radiol 2023;33(9):5976-5983 View Article PubMed/NCBI
  67. Lee JH, Han SS, Hong EK, Cho HJ, Joo J, Park EY, et al. Predicting lymph node metastasis in pancreatobiliary cancer with magnetic resonance imaging: A prospective analysis. Eur J Radiol 2019;116:1-7 View Article PubMed/NCBI
  68. Xu JH, Ni CY, Zhuang YY, Li L, Lin Y, Xia ZS, et al. Acute pancreatitis in intraductal papillary mucinous neoplasm: a single-center retrospective cohort study with systematic review and meta-analysis. BMC Gastroenterol 2023;23(1):424 View Article PubMed/NCBI
  69. Pitakteerabundit T, Fagenholz PJ, Luckhurst CM, Albutt KH, Zhang ML, Mino-Kenudson M, et al. Acute pancreatitis in intraductal papillary mucinous neoplasm: Associations with epithelial subtype, degree of dysplasia, and risk of recurrence. Surgery 2025;181:109038 View Article PubMed/NCBI
  70. Tsutsumi K, Ohtsuka T, Oda Y, Sadakari Y, Mori Y, Aishima S, et al. A history of acute pancreatitis in intraductal papillary mucinous neoplasms of the pancreas is a potential predictive factor for malignant papillary subtype. Pancreatology 2010;10(6):707-712 View Article PubMed/NCBI
  71. Ozaki K, Ikeno H, Kaizaki Y, Maeda K, Higuchi S, Kosaka N, et al. Pearls and pitfalls of imaging features of pancreatic cystic lesions: a case-based approach with imaging-pathologic correlation. Jpn J Radiol 2021;39(2):118-142 View Article PubMed/NCBI
  72. Whitcomb DC, Frulloni L, Garg P, Greer JB, Schneider A, Yadav D, et al. Chronic pancreatitis: An international draft consensus proposal for a new mechanistic definition. Pancreatology 2016;16(2):218-224 View Article PubMed/NCBI
  73. Ventriglia A, Manfredi R, Mehrabi S, Boninsegna E, Negrelli R, Pedrinolla B, et al. MRI features of solid pseudopapillary neoplasm of the pancreas. Abdom Imaging 2014;39(6):1213-1220 View Article PubMed/NCBI
  74. Habashi S, Draganov PV. Pancreatic pseudocyst. World J Gastroenterol 2009;15(1):38-47 View Article PubMed/NCBI
  75. Abdelkader A, Hunt B, Hartley CP, Panarelli NC, Giorgadze T. Cystic Lesions of the Pancreas: Differential Diagnosis and Cytologic-Histologic Correlation. Arch Pathol Lab Med 2020;144(1):47-61 View Article PubMed/NCBI
  76. Fábrega-Foster K, Kamel IR, Horowitz JM, Arif-Tiwari H, Bashir MR, Chernyak V, et al. ACR Appropriateness Criteria® Pancreatic Cyst. J Am Coll Radiol 2020;17(5S):S198-S206 View Article PubMed/NCBI
  77. Hakim S, Coronel E, González GMN, Ge PS, Chari ST, Thosani N, et al. An international study of interobserver variability of “string sign” of pancreatic cysts among experienced endosonographers. Endosc Ultrasound 2021;10(1):39-50 View Article PubMed/NCBI
  78. Liu H, Cui Y, Shao J, Shao Z, Su F, Li Y. The diagnostic role of CT, MRI/MRCP, PET/CT, EUS and DWI in the differentiation of benign and malignant IPMN: A meta-analysis. Clin Imaging 2021;72:183-193 View Article PubMed/NCBI
  79. Sultana A, Jackson R, Tim G, Bostock E, Psarelli EE, Cox TF, et al. What Is the Best Way to Identify Malignant Transformation Within Pancreatic IPMN: A Systematic Review and Meta-Analyses. Clin Transl Gastroenterol 2015;6(12):e130 View Article PubMed/NCBI
  80. Huynh T, Ali K, Vyas S, Dezsi K, Strickland D, Basinski T, et al. Comparison of imaging modalities for measuring the diameter of intraductal papillary mucinous neoplasms of the pancreas. Pancreatology 2020;20(3):448-453 View Article PubMed/NCBI
  81. Ippolito D, Maino C, Pecorelli A, De Vito A, Riva L, Talei Franzesi C, et al. Incidental pancreatic cystic lesions: comparison between CT with model-based algorithm and MRI. Radiography (Lond) 2021;27(2):554-560 View Article PubMed/NCBI
  82. Li ZS, Jin ZD, Li X, National Clinical Research Center for Digestive Diseases (Shanghai); Professional Committee of Pancreatic Disease, Chinese Medical Doctor Association. Chinese guidelines for the diagnosis and treatment of pancreatic cystic neoplasm (2022) (in Chinese). Chin J Pancreatol 2022;22(6):401-414 View Article
  83. Han Y, Kwon W, Lee M, Jung HS, Yun WG, Cho YJ, et al. Optimal Surveillance Interval of Branch Duct Intraductal Papillary Mucinous Neoplasm of the Pancreas. JAMA Surg 2024;159(4):389-396 View Article PubMed/NCBI
  84. Barrs C, Itani M, Zulfiqar M, Mhlanga J, Francis IR, Morani A, et al. Gastroenteropancreatic neuroendocrine neoplasm imaging: standard reporting templates. Abdom Radiol (NY) 2022;47(12):3986-3992 View Article PubMed/NCBI
  85. Dromain C, Vullierme MP, Hicks RJ, Prasad V, O’Toole D, de Herder WW, et al. ENETS standardized (synoptic) reporting for radiological imaging in neuroendocrine tumours. J Neuroendocrinol 2022;34(3):e13044 View Article PubMed/NCBI
  86. Yuan X, Chen C, Shi Z, Liu W, Zhang X, Yang M, et al. Deep learning CT model for stratified diagnosis of pancreatic cystic neoplasms: multicenter development, validation, and real-world clinical impact. NPJ Digit Med 2025;8(1):609 View Article PubMed/NCBI

About this Article

Cite this article
Bian Y, Fang X, Li Z, Lu J, Shao C, Liu S, et al. Evidence-based Guideline on Standardized Diagnostic Imaging Reporting for Pancreatic Cystic Neoplasms in China. Cancer Screen Prev. Published online: Apr 21, 2026. doi: 10.14218/CSP.2025.00030.
Copy        Export to RIS        Export to EndNote
Article History
Received Revised Accepted Published
December 12, 2025 February 1, 2026 March 31, 2026 April 21, 2026
DOI http://dx.doi.org/10.14218/CSP.2025.00030
  • Cancer Screening and Prevention
  • pISSN 2993-6314
  • eISSN 2835-3315
Back to Top

Evidence-based Guideline on Standardized Diagnostic Imaging Reporting for Pancreatic Cystic Neoplasms in China

Yun Bian, Xu Fang, Zhaoshen Li, Jianping Lu, Chengwei Shao, Shiyuan Liu, Min Chen, Xun Li and on behalf of the Professional Committee of Pancreatic Diseases, Chinese Medical Doctor Association; the Radiology Branch of the Chinese Medical Association; the National Clinical Research Center for Digestive Diseases (Shanghai); and the Shanghai Medical Association Radiology Quality Control Center
  • Reset Zoom
  • Download TIFF