v
Search
Advanced

Publications > Journals > Future Integrative Medicine> Article Full Text

  • OPEN ACCESS

Formulation of a Novel Emulgel Incorporated with Alpinia calcarata Essential Oil and Assessment of Its Anti-inflammatory Activity

  • W.J.A. Banukie N. Jayasuriya1,* ,
  • L.D.A. Menuka Arawwawala2,
  • N.T. Bhavantha Dias1,
  • K. Pararamasingam1,
  • N.M.M. Fazlan1,
  • K.A. Samarasinghe2 and
  • T. Sugandhika Suresh3
 Author information 

Abstract

Alpinia calcarata (A. calcarata) Roscoe (Family: Zingiberaceae) is a rhizomatous perennial herb used in traditional medicine to treat inflammatory conditions. This study aimed to develop a topical emulgel dosage form by incorporating the essential oil of A. calcarata rhizome and to investigate it’s in vitro anti-inflammatory activity. A thin-layer chromatographic fingerprint of the essential oil of A. calcarata rhizome was developed. Then, an emulsion base containing plant oil was formulated and incorporated within a Carbopol gel base. The physical characteristics of this formulation were evaluated subsequently. The anti-inflammatory mechanism of the emulgel was determined by in vitro blood cell membrane stabilization assay and thrombolytic activity assay. The results were statistically analyzed by one-way analysis of variance. The thin-layer chromatographic fingerprint of the test oil demonstrated several bands with unique retention factor values. The formulated herbal emulgel was white, viscous, and homogeneous in appearance. The spreadability was 118 g·cm/M, and the pH of the emulgel was 6.30 at 25°C. The A. calcarata emulgel significantly (p < 0.05) inhibited heat-induced in vitro hemolysis, with the highest activity at a 50 µg/mL dose (87.68 ± 0.35%) compared to the placebo. Furthermore, this activity was found to be dependent on the essential oil concentration (r2 = 0.99) of the emulgel. Therefore, it was concluded that the essential oil of A. calcarata rhizome is an effective active ingredient to be used in a topical emulgel formulation, whereas the diverse phytochemicals present in the essential oil would be the underlying source of its anti-inflammatory activity.

Keywords

Essential oil, Emulgel, Inflammation, In vitro test, Herbal, Thin-layer chromatography

Introduction

Inflammation involves coordinated and complex mechanisms of the immune system, white blood cells, cytokines, and other biomolecules in the body to resolve an injury or eliminate a pathogenic substance. During the initial phase of inflammation, blood vessels in the affected area dilate, increasing blood flow and causing redness and warmth. Capillaries become more permeable, allowing immune cells, fluid, and proteins to enter the tissue, leading to swelling. Pain is often a result of the release of chemicals such as prostaglandins and bradykinin.1 As the harmful stimuli are neutralized and tissue repair begins, the intensity of inflammation decreases, and the immune system shifts to healing. However, when inflammation becomes chronic or uncontrolled, it can contribute to various adverse conditions such as arthritis, cardiovascular diseases, and certain cancers.2

Natural products have long played a significant role in the disease-healing process. Even today, traditional medicines (including essential oils) are widely used by many to meet their health needs, despite the development of synthetic medicines. Consequently, investigators are increasingly focusing on discovering and developing anti-inflammatory medicines derived from plants that have been used in traditional medicine.2,3A. calcarata Roscoe, a perennial herb from the Zingiberaceae family with a prominent rhizome, is cultivated in tropical regions for medicinal use. Research has demonstrated that A. calcarata rhizomes possess antibacterial, analgesic, antioxidant, anti-inflammatory, and various other pharmacological activities.4–6 However, the plant has not been widely evaluated in medicinal and pharmaceutical studies for dosage form development, despite its essential oils being well known for anti-inflammatory effects. The test essential oil and its constituent phytochemicals were found to suppress the production of inflammatory mediators such as reactive radical species, cytokines, and prostanoids in vitro, and were also reported to reduce edema and pain in mouse models.6 The present study aimed to develop a topical dosage form, specifically an emulgel, containing the essential oil of A. calcarata rhizome and to investigate its potential mechanisms of action through in vitro assays. Emulgels are currently a focus of topical dosage form development, as their dual-phase nature allows the incorporation of both hydrophilic and lipophilic active ingredients of an herbal extract. Furthermore, the gel matrix provides excellent spreadability, improving patient comfort, and enhanced bioavailability has also been confirmed with better penetration of the medication into the skin.7

Materials and methods

Study design

This study consisted of laboratory-based in vitro experiments. No human or animal subjects were used in the experimental steps, other than in the collection of blood for in vitro analysis of the test materials, as described below.

Ethical approval

Ethical clearance for protocols involving human subjects was granted by the Ethics Review Committee of the Faculty of Medical Sciences, University of Sri Jayewardenepura, Sri Lanka, under the ethical approval certificate number B.Pharm/01/18. The study protocols strictly aligned with the ethical guidelines of the latest version of the Declaration of Helsinki (as revised in 2024). Written informed consent was obtained from all participants.

Collection and authentication of plants

Fresh rhizomes from mature plants of A. calcarata were obtained from Navagiri Indigenous Clinic and Herbal Garden, Jaffna, Sri Lanka (9.7555 N, 80.0886 E). The rhizomes were authenticated by the Bandaranaike Memorial Ayurvedic Research Institute, Nawinna, Maharagama, Sri Lanka.

Extraction of A. calcarata essential oil

Collected A. calcarata rhizomes were diced into small pieces and dried under shade for five to six days. They were hydro-distilled in a Clevenger-type apparatus for 4 h with distilled water. Essential oil was trapped in a mixture of n-pentane and ether (1:1 v/v) and dried with anhydrous sodium sulfate. The organic layer was evaporated, and the oil was collected.

Thin-layer chromatography (TLC)

Essential oil of A. calcarata rhizome was dissolved in a mixture of dichloromethane and methanol in a ratio of 1:1 (v/v), and a TLC fingerprint was developed using methanol:dichloromethane:hexane in a ratio of 0.2:8.8:1 (v/v/v) as the mobile phase. The TLC fingerprint was observed at 254 nm wavelength, and vanillin sulphate was sprayed thereafter.

Formulation of emulgel topical dosage form

Carbopol 940 was dispersed in purified water while continuously stirring using a mechanical shaker. Triethanolamine was added dropwise to adjust the pH of this gel base to pH 6.0–6.5. Tween 20 was dissolved in light liquid paraffin (Mixture 1), and Tween 80 was dissolved in purified water (Mixture 2) separately in two vessels. The essential oil of A. calcarata rhizome (dissolved in ethanol) and methyl paraben (dissolved in propylene glycol) were then combined with Mixture 1 to obtain Mixture 3. Both Mixture 2 and Mixture 3 were heated to 70–80°C separately in a water bath. Mixture 2 was added to Mixture 3 while stirring, and the combination was allowed to cool to 25°C. Finally, the resulting emulsion was thoroughly mixed with the pre-prepared gel base in a 1:1 ratio to obtain the emulgel dosage form. The composition of the formulated emulgel is shown in Table 1. The placebo emulgel was formulated using a similar method, with ethanol in place of the test essential oil.

Table 1

Composition of the Alpinia calcarata emulgel formulation

IngredientsComposition of the final emulgel
Essential oil of A. calcarata rhizome0.5 g
Carbopol 9400.5 g
Liquid paraffin2.5 g
Tween 200.6 g
Tween 802.7 g
Propylene glycol2.5 g
Ethanol1.25 g
Methyl paraben0.025 g
TriethanolamineAs needed
WaterAs needed

Physical characterization of the emulgel

The physical appearance (color, consistency, homogeneity, phase separation) and the pH of the formulated emulgel were reported. The spreadability of the emulgel was determined by the glass plate method described in previous studies.8 Viscosity of the formulation was measured using a Brookfield viscometer (spindle no. 5 at 10 rpm). The emulgel was left in a glass container undisturbed at 25°C and 35°C for 1 h to test for syneresis. The emulgel was then centrifuged at 1,000 rpm for 5 m and observed for phase separation under strain. All measurements were performed in triplicate (n = 3) and compared with the placebo emulgel formulation.

Assay of in vitro anti-inflammatory activity

Twelve healthy human volunteers who had no history of smoking and had not taken any medicine for the past seven days were selected, and informed consent was obtained. Then, 6 mL of venous blood was drawn from each volunteer into sterile ethylenediaminetetraacetic acid (EDTA) tubes and microcentrifuge tubes.

Determination of heat-induced hemolysis

Fresh human blood collected in EDTA tubes was centrifuged at 3,000 rpm for 15 m. The packed cells were separated, washed with normal saline, and constituted as a 10% w/v suspension with normal saline. Different concentrations of A. calcarata emulgel (6.25–50 µg/mL) prepared with phosphate-buffered saline (pH 7.4) were added to vials containing 20 µL of blood suspension. Placebo emulgel (50 µg/mL) served as the control. The effect of test samples on heat-induced hemolysis was determined by the method described in the literature.9

Determination of hypotonicity-induced hemolysis

Fresh human blood collected in EDTA tubes was centrifuged at 3,000 rpm for 15 m. The packed cells were separated, washed with normal saline, and constituted as a 40% w/v suspension with normal saline. Different concentrations of A. calcarata emulgel (100–400 µg/mL) prepared with phosphate-buffered saline (pH 7.4) were added into vials containing 2 mL of hypotonic saline (0.25% w/v) and 500 µL of blood suspension. Placebo emulgel (400 µg/mL) served as the control, whereas indomethacin (200 µg/mL) was used as the positive control. The effect of test samples on hypotonicity-induced hemolysis was determined by the method described in the literature.10

Determination of thrombolytic activity

Fresh human blood collected into pre-weighed sterile microcentrifuge tubes was incubated at 37°C for 45 m. Once the blood clot formed, serum was completely removed from the tube without disturbing the clot. Different concentrations of A. calcarata emulgel (100–400 µg/mL), streptokinase, or placebo emulgel (400 µg/mL) at a volume of 100 µL each were added to separate microcentrifuge tubes containing pre-weighed clots. All tubes were incubated again at 37°C for 90 m. The in vitro thrombolytic activity of the samples was determined as described in the literature.11

Statistical analysis

Data were presented as mean ± standard error of the mean of three replicates. One-way analysis of variance followed by Dunnett’s post-hoc test was performed using SPSS Statistics 25.0 software to determine significant group differences at α = 0.05.

Results and discussion

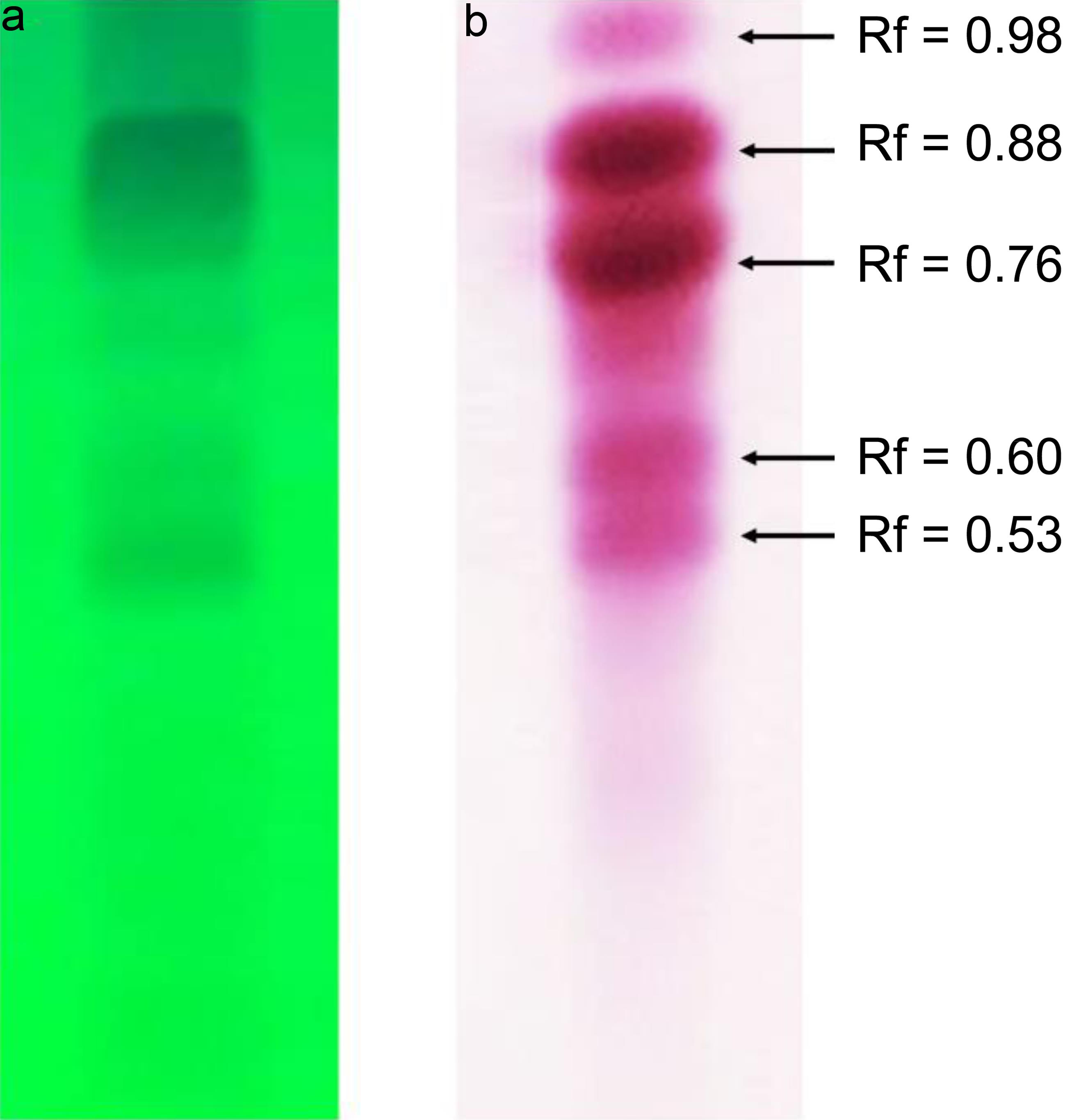
The yield of the extraction of A. calcarata essential oil was reported as 0.61% (v/w). The aqueous and ethanolic extracts of A. calcarata rhizome have been tested positive for various phytochemical classes including phenolic compounds, flavonoids, tannins, and alkaloids in previous studies.12 In the present study, different bands with unique retention factor values appeared on the TLC fingerprint profile of A. calcarata rhizome essential oil (Fig. 1), which confirmed the presence of various phytochemicals in the test plant. This further correlated with previous studies in which a larger number of phytochemicals, such as α-terpineol, 1,8-cineole, berberine, hexadecanal, phytol, olealdehyde, daucol, 9-hexadecenal, α-fenchyl acetate, hydroquinone, etc., had been identified from the test plant and its essential oil.13,14

Thin-layer chromatography fingerprints of <italic>Alpinia calcarata</italic> rhizome essential oil: (a) under 254 nm wavelength; (b) after spraying vanillin sulphate.
Fig. 1  Thin-layer chromatography fingerprints of Alpinia calcarata rhizome essential oil: (a) under 254 nm wavelength; (b) after spraying vanillin sulphate.

Rf, retention factor.

Multiple essential oils have shown topical anti-inflammatory or dermato-therapeutic potential when formulated as emulgels or nanoemulgels. A nanoemulgel incorporated with tea tree oil (Melaleuca alternifolia) has demonstrated antimicrobial actions, improved dermal drug delivery, and wound-healing effects in a previous study. Essential oils of sesame (Sesamum indicum), thyme (Thymus vulgaris), clove (Syzygium aromaticum), and cinnamon (Cinnamomum zeylanicum) have also been successfully incorporated into emulgel formulations with enhanced pharmaceutical and anti-inflammatory properties.15,16 Although the anti-inflammatory activity of the essential oil of A. calcarata rhizomes had been recorded previously, studies had not been conducted to formulate any topical dosage form by incorporating the essential oil. The use of topical dosage forms in the treatment of dermal inflammatory conditions has several benefits, such as localized application, prolongation of the duration of action, easy termination of medication when needed, etc.17

In the present study, methyl paraben was used as the preserving agent, and Carbopol 940 was used as the gelling agent. Other than Carbopol, hydroxylpropylmethyl cellulose, carboxymethylcellulose sodium, or sodium alginate could be considered as suitable gelling agents.18 Use of novel and optimized polymers facilitates the formulation of stable emulsions due to their additional emulsifying ability. The test emulgel dosage form formulated in the present study had a smooth, white, viscous, and homogeneous appearance similar to that of the placebo emulgel. Spreadability of the test emulgel was 118.0 ± 0.3 g·cm/m, and the pH was 6.30 ± 0.00 at 25°C. Topical preparations are recommended to have a mild acidic pH similar to the physiological pH of the skin, which is 5.0–6.5.19 Hence, the pH of the test formulation as well as the placebo (pH 6.52 ± 0.00) was acceptable, avoiding the risk of irritation after skin application. Spreadability refers to how easily a gel can be distributed over the skin. Good spreadability ensures that the emulgel forms a uniform layer and is more likely to be perceived as convenient to use.20 The emulgel had a viscosity of 4.322 ± 0.124 Pa·s, showing pseudoplastic flow (shear-thinning behavior). Moreover, no syneresis or phase separation upon centrifugation was observed in the test or placebo dosage forms in respective tests.

Owing to the resemblance of the erythrocyte cell membrane structure to the lysosomal lipid bilayer membrane, protection against heat-induced hemolysis or hypotonicity-induced hemolysis of erythrocytes could be extrapolated to stabilization of lysosomal membranes.21,22 The herbal emulgel significantly (p < 0.05) inhibited the heat-induced hemolysis of erythrocytes in vitro compared to the placebo, while the highest inhibitory activity of 87.68 ± 0.35% was observed at the 50 µg/mL dose (Fig. 2). Inhibition of hemolysis induced by heat was dependent (r2 = 0.99) on the dose of emulgel present in the test sample. According to the data shown in Table 2, the highest activity against hypotonicity-induced hemolysis (among test samples) was observed at a 400 µg/mL dose. Indomethacin showed the most potent activity among all the samples, which was also significant (p < 0.05) compared to the placebo. However, the test formulation did not show a significant membrane-stabilizing effect via hypotonicity-induced hemolysis at lower doses. A similar phenomenon had been discovered previously, where stigmastane steroids isolated from Alchornea floribunda leaves significantly inhibited heat-induced hemolysis of human erythrocytes in vitro, without affecting hypotonicity-induced hemolysis.23 It is possible that the interaction of various compounds in A. calcarata essential oil (such as 1,8-cineole and α-pinene) with membrane proteins provided protection to red blood cell membranes against heat-induced lysis; however, they were not capable of protecting cell membranes in hypotonic conditions, in which the primary mechanism occurred through osmotic imbalance of the cell.24

Dose-dependent inhibition of heat-induced hemolysis by emulgel containing <italic>Alpinia calcarata</italic> rhizome essential oil.
Fig. 2  Dose-dependent inhibition of heat-induced hemolysis by emulgel containing Alpinia calcarata rhizome essential oil.
Table 2

Effect of Alpinia calcarata emulgel on in vitro hypotonicity-induced hemolysis

SampleConcentration (µg/mL)Percentage inhibition of hemolysis (%)
Alpinia calcarata essential oil1002.78 ± 0.01
2004.72 ± 0.01
3006.00 ± 0.21
4007.29 ± 0.19*
Indomethacin20051.28 ± 0.15*
Placebo4001.85 ± 0.32

Thrombosis is characterized by the development of a blood clot (thrombus) in the circulatory system, which leads to vascular blockade in inflammation. Medicinal agents and plant substances with thrombolytic activity dissolve fibrin clots, thereby restoring normal blood flow. This process alleviates moderate inflammation and its symptoms in the body.25 In the thrombolytic assay of the present study, none of the tested doses of emulgel showed significant activity (p > 0.05), as shown in Figure 3. The lack of significant thrombolytic activity may be due to the inability of active constituents of A. calcarata essential oil to primarily target membrane stabilization rather than fibrinolytic pathways. Most essential oils are rich in terpenes and other lipophilic molecules, which interact strongly with the lipid bilayer of cell membranes, thereby stabilizing erythrocyte and lysosomal membranes.26 In contrast, thrombolysis requires direct activation of enzymatic and non-enzymatic fibrin degradation pathways. Essential oil constituents of the test plant may not possess such enzymatic activity, nor do they directly interact with thrombolytic pathways.

Thrombolytic activity of emulgel containing <italic>Alpinia calcarata</italic> rhizome essential oil.
Fig. 3  Thrombolytic activity of emulgel containing Alpinia calcarata rhizome essential oil.

Values are expressed as mean ± standard error of the mean (SEM); *Significant at p < 0.05 compared to placebo. ACE, Alpinia calcarata emulgel.

The present study was limited by its exclusive reliance on in vitro assays, which, however, provided valuable preliminary insights into the therapeutic mechanisms of the plant. Furthermore, the mechanistic investigations were restricted to erythrocyte membrane stabilization, necessitating future studies that incorporate more elaborate analyses, such as modulation of inflammatory proteins (such as prostaglandins and cytokines), enzymes (such as lipoxygenase and cyclooxygenase), and cell signaling pathways.27 The absence of in vivo validation is also a barrier to the direct translational relevance of the findings. Additionally, the test formulation should be optimized through broad dose-response studies to ensure its formulation efficacy and stability.

Conclusions

The emulgel formulated with essential oil of A. calcarata rhizome demonstrated concentration-dependent anti-inflammatory activity by inhibiting cell membrane lysis. The observed in vitro activity can be attributed to the presence of various bioactive phytochemicals, including phenolics and terpenoids. The emulgel formulation exhibited favorable physicochemical properties, indicating its suitability as a promising topical dosage form.

Declarations

Acknowledgement

None.

Ethical statement

Ethical clearance for protocols involving human subjects was granted by the Ethics Review Committee of the Faculty of Medical Sciences, University of Sri Jayewardenepura, Sri Lanka, under the ethical approval certificate number B.Pharm/01/18. The study protocols strictly aligned with the ethical guidelines of the latest version of the Declaration of Helsinki (as revised in 2024). Written informed consent was obtained from all participants.

Data sharing statement

The data used in support of the findings of this study are included within the article.

Funding

This study did not receive any funding for its planning, execution, or publication.

Conflict of interest

The authors declare that they have no competing interests.

Authors’ contributions

Conceptualization (BNJ, MA, SS), funding acquisition (BNJ, MA), investigation (BNJ, MA, KP, MF, KS), resources (BNJ, MA, KP, MF, KS), formal analysis (BNJ, MA, BD, KP, MF, SS), supervision (BNJ, MA, SS), writing-original draft (BNJ, MA, BD, KP, MF, KS, SS), writing - review & editing (BNJ, MA, BD, SS). All authors have made significant contributions to this study and have approved the final manuscript.

References

  1. Roe K. An inflammation classification system using cytokine parameters. Scand J Immunol 2021;93(2):e12970 View Article PubMed/NCBI
  2. Zhang Y, Tang J, Liu Q, Ge J, Ma Z, Mou J, et al. Biological, functional and network pharmacological exploration of essential oils in treatment and healthcare of human diseases. Future Integr Med 2023;2(1):23-31 View Article
  3. Saggar S, Mir PA, Kumar N, Chawla A, Uppal J, Shilpa, et al. Traditional and herbal medicines: opportunities and challenges. Pharmacogn Res 2022;14(2):107-114 View Article
  4. Melanathuru V, Rengarajan S, Thangavel N. Comparative study of antioxidant and anticancer activity of Alpinia calcarata and Alpinia galanga. Int J Pharm Pharm Sci 2017;9(12):186-193 View Article
  5. Mahmuda F, Daula AFMSU, Naznin S, Yeasmin F, Basher MA. Analgesic, anxiolytic and sedative-like activities of leaves of Alpinia calcarata Roscoe in mice. J Med Plants Res 2020;14(4):155-163 View Article
  6. Chandrakanthan M, Handunnetti SM, Premakumara GSA, Kathirgamanathar S. Topical Anti-Inflammatory Activity of Essential Oils of Alpinia calcarata Rosc., Its Main Constituents, and Possible Mechanism of Action. Evid Based Complement Alternat Med 2020;2020:2035671 View Article PubMed/NCBI
  7. Talat M, Zaman M, Khan R, Jamshaid M, Akhtar M, Mirza AZ. Emulgel: an effective drug delivery system. Drug Dev Ind Pharm 2021;47(8):1193-1199 View Article PubMed/NCBI
  8. Iraqui P, Chakraborty T, Das MK, Yadav RNS. Herbal antimicrobial gel with leaf extract of Cassia alata L. J Drug Deliv Ther 2019;9(3):82-94 View Article
  9. Abbas MW, Hussain M, Akhtar S, Ismail T, Qamar M, Shafiq Z, et al. Bioactive Compounds, Antioxidant, Anti-Inflammatory, Anti-Cancer, and Toxicity Assessment of Tribulus terrestris-In Vitro and In Vivo Studies. Antioxidants (Basel) 2022;11(6):1160 View Article PubMed/NCBI
  10. Banik B, Das MK. Therapeutic potential of Alstonia scholaris latex in the management of inflammatory diseases: an in vitro approach. Pharmacogn Res 2023;15(3):478-483 View Article
  11. Uddin MZ, Rifat AB, Mitu FY, Haque T, Mazid MA. Thrombolytic potentials of some medicinal plants used by the local people for cardiovascular diseases in Bangladesh. Bangladesh J Plant Taxon 2021;28(2):405-412 View Article
  12. Arambewela LS, Arawwawala LD. Standardization of Alpinia calcarata Roscoe rhizomes. Pharmacognosy Res 2010;2(5):285-288 View Article PubMed/NCBI
  13. Singh S, Sahoo BC, Kar SK, Sahoo A, Nayak S, Kar B, et al. Chemical constituents analysis of Alpinia galanga and Alpinia calcarata. Res J Pharm Technol 2020;13(10):4735-4739 View Article
  14. Nampoothiri SV, Esakkiduraic T, Pitchumania K. Isolation and HPLC quantification of berberine alkaloid from Alpinia galanga and Alpinia calcarata. Int J Pharm Sci Res 2017;8(6):97-104
  15. Bujubarah MM, Elsewedy HS, Shehata TM, Soliman WE. Formulation by design of an innovative tea tree oil nanoemulgel incorporating mupirocin for enhanced wound healing activity. Appl Sci 2023;13(24):13244 View Article
  16. Abdelhamed FM, Abdeltawab NF, ElRakaiby MT, Shamma RN, Moneib NA. Antibacterial and Anti-Inflammatory Activities of Thymus vulgaris Essential Oil Nanoemulsion on Acne Vulgaris. Microorganisms 2022;10(9):1874 View Article PubMed/NCBI
  17. Herbig ME, Evers DH, Gorissen S, Köllmer M. Rational Design of Topical Semi-Solid Dosage Forms-How Far Are We?. Pharmaceutics 2023;15(7):1822 View Article PubMed/NCBI
  18. Hanif AM, Bushra R, Shafiq Y, Aslam N, Mughal MA, Huma A, et al. Influence of different gelling polymers on dexibuprofen gel formulation: In-vitro characterization and stability profile. Pak J Pharm Sci 2023;36(1):287-293 View Article
  19. Lukić M, Pantelić I, Savić SD. Towards optimal pH of the skin and topical formulations: from the current state of the art to tailored products. Cosmetics 2021;8(3):69 View Article
  20. Tan PL, Rajagopal M, Chinnappan S, Selvaraja M, Leong MY, Tan LF, et al. Formulation and physicochemical evaluation of green cosmeceutical herbal face cream containing standardized mangosteen peel extract. Cosmetics 2022;9(3):46 View Article
  21. Umukoro S, Alabi AO, Eduviere AT, Ajayi AM, Oluwole OG. Anti-inflammatory and membrane stabilizing properties of methyl jasmonate in rats. Chin J Nat Med 2017;15(3):202-209 View Article PubMed/NCBI
  22. Jayasuriya WJABN, Handunnetti SM, Wanigatunge CA, Fernando GH, Abeytunga DTU, Suresh TS. Anti-Inflammatory Activity of Pleurotus ostreatus, a Culinary Medicinal Mushroom, in Wistar Rats. Evid Based Complement Alternat Med 2020;2020:6845383 View Article PubMed/NCBI
  23. Okoye FB, Osadebe PO, Proksch P, Edrada-Ebel RA, Nworu CS, Esimone CO. Anti-inflammatory and membrane-stabilizing stigmastane steroids from Alchornea floribunda leaves. Planta Med 2010;76(2):172-177 View Article PubMed/NCBI
  24. Devi NM, Nagarajan S, Singh CB, Khan MMA, Khan A, Khan N, et al. Antioxidant, Diabetic and Inflammatory Activities of Alpinia calcarata Roscoe Extract. Chem Biodivers 2024;21(6):e202300970 View Article PubMed/NCBI
  25. Sadeghi M, Safaeian L, Ghazvini MA, Ramezani M. Evaluation of fibrinolytic and antioxidant effects of Allium affine hydroalcoholic extract. Res Pharm Sci 2017;12(4):299-306 View Article PubMed/NCBI
  26. Sari I, Yahya M, Jantan I, Ginting B, Elfahmi, Angelina M, et al. Comprehensive UHPLC-MS/MS and GC-MS Metabolite Profiling and Anti-Inflammatory Effect of the Ethanol Extract and Essential Oil of Cymbopogon citratus (DC.) Staph Grown in Aceh, Indonesia. Chem Biodivers 2025;22(11):e00668 View Article PubMed/NCBI
  27. Huang X, Li Y, Sabier M, Si J, Wang P, Shen Y, et al. Guidelines for the in vitro determination of anti-inflammatory activity. eFood 2024;5(3):e160 View Article

About this Article

Cite this article
Jayasuriya WBN, Arawwawala LM, Dias NB, Pararamasingam K, Fazlan N, Samarasinghe K, et al. Formulation of a Novel Emulgel Incorporated with Alpinia calcarata Essential Oil and Assessment of Its Anti-inflammatory Activity. Future Integr Med. 2025;4(4):250-254. doi: 10.14218/FIM.2025.00029.
Copy        Export to RIS        Export to EndNote
Article History
Received Revised Accepted Published
May 26, 2025 August 31, 2025 September 20, 2025 November 28, 2025
DOI http://dx.doi.org/10.14218/FIM.2025.00029
  • Future Integrative Medicine
  • pISSN 2993-5253
  • eISSN 2835-6357
Back to Top

Formulation of a Novel Emulgel Incorporated with Alpinia calcarata Essential Oil and Assessment of Its Anti-inflammatory Activity

W.J.A. Banukie N. Jayasuriya, L.D.A. Menuka Arawwawala, N.T. Bhavantha Dias, K. Pararamasingam, N.M.M. Fazlan, K.A. Samarasinghe, T. Sugandhika Suresh
  • Reset Zoom
  • Download TIFF