v
Search
Advanced

Publications > Journals > Journal of Translational Gastroenterology> Article Full Text

  • OPEN ACCESS

Clinical Response to Sequential HAIC and TAE Combined with Tislelizumab and Lenvatinib Treatment for Hepatocellular Carcinoma Involving Lung Metastases: A Case Report

  • Jian-Rong Li,
  • Da-Long Yang,
  • Jia-Yong Su,
  • Cai-Yi Dong,
  • Wen-Yang Li,
  • Xiu-Qiong Long,
  • Xiao-Shan Qin,
  • Bin-Yan Gu,
  • Liang Ma and
  • Jian-Hong Zhong* 
 Author information 

Abstract

Lung metastasis is common in hepatocellular carcinoma (HCC) and is typically associated with a poor prognosis. In this report, we present a case of advanced HCC in a 46-year-old Chinese male with lung metastases. The patient received two cycles of sequential hepatic arterial infusion chemotherapy and transarterial embolization in combination with lenvatinib (a tyrosine kinase inhibitor) and tislelizumab (a programmed cell death protein 1 immune checkpoint inhibitor). After three months of treatment, the intrahepatic tumors showed a partial response, while the bilateral lung metastases exhibited a complete response. Concurrently, levels of alpha-fetoprotein and protein induced by vitamin K absence or antagonist-II decreased to normal levels. Systemic treatment with lenvatinib and tislelizumab was continued for 10 months. This case underscores the potential of combination therapies for advanced HCC with lung metastases and provides a novel perspective on a therapeutic approach involving sequential hepatic arterial infusion chemotherapy and transarterial embolization with immune checkpoint and tyrosine kinase inhibitors.

Keywords

Extrahepatic metastases, Hepatocellular carcinoma, Hepatic arterial infusion chemotherapy, Lenvatinib, Tislelizumab, Transarterial embolization

Introduction

Hepatocellular carcinoma (HCC) is often diagnosed at intermediate or advanced stages, resulting in missed opportunities for curative treatments.1 Hepatic arterial infusion chemotherapy (HAIC) has been widely used to treat advanced HCC.2 However, HAIC has a delayed onset of action and typically requires multiple treatment sessions. Transarterial embolization (TAE) can rapidly occlude the rich blood supply of HCC. Therefore, performing TAE after HAIC provides a strategy to quickly control intrahepatic lesions and may help prevent disease progression due to drug resistance arising from prolonged or repeated HAIC treatments. Nevertheless, studies investigating the use of sequential TAE following HAIC for HCC treatment remain limited.

Immune checkpoint inhibitors (ICIs) and tyrosine kinase inhibitors (TKIs) are standard treatments for advanced HCC.3,4 However, response rates remain suboptimal, with objective response rates (ORR) of less than 30%.5 Prospective studies have suggested that combining HAIC with ICIs and TKIs may improve outcomes in advanced HCC, achieving ORR of 60–70% while maintaining a favorable safety profile.6 However, most previous studies have focused on intrahepatic tumors, with few evaluating the efficacy of ICIs and TKIs in treating extrahepatic metastatic lesions. Here, we present the case of a Chinese male patient with advanced HCC who underwent sequential HAIC and TAE followed by treatment with lenvatinib and tislelizumab. Imaging revealed a significant reduction in intrahepatic tumor burden and complete resolution of lung metastases, offering novel insights into therapeutic strategies for advanced HCC.

Case presentation

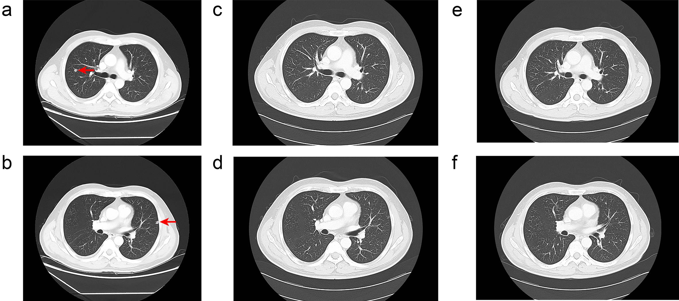
A 46-year-old Chinese male was admitted to our hospital with severe abdominal pain that had persisted for one day. The patient had a chronic hepatitis B viral infection and had not received any treatment over the past two decades. Physical examination showed no abnormalities. The patient’s Eastern Cooperative Oncology Group performance status score was 0. Serum alpha-fetoprotein level exceeded 2,000 ng/mL, and the level of protein induced by vitamin K absence or antagonist-II was 10,730 ng/mL. Enhanced computed tomography revealed two large nodular tumors located in the upper and lower segments of the right posterior lobe of the liver. The largest tumor measured 9.3 × 5.2 × 8.1 cm. Part of the tumor protruded beyond the liver surface and extended into the left lower quadrant. Hypodense areas within the tumor suggested liquefaction necrosis due to rupture and hemorrhage (Fig. 1a and b). The intrahepatic tumor burden exceeded 60% of the total liver volume. Multiple bilateral pulmonary metastases were also detected, with the largest lesion measuring 0.8 × 0.7 × 0.8 cm (Fig. 2a and b).

Computed tomography images of tumors in the liver.
Fig. 1  Computed tomography images of tumors in the liver.

(a) Abdominal image (sagittal plane). The horizontal red arrow represents the tumor in the upper part of the right posterior lobe, and the vertical red arrow represents the tumor in the lower part of the right posterior lobe (November 2, 2023). (b) Abdominal image (sagittal plane). The red arrow represents the portal vein tumor thrombus, and the red circle indicates the hematoma (November 2, 2023). (c, d) Images after the first cycle of sequential hepatic arterial infusion chemotherapy and transarterial embolization (December 7, 2023). (e, f) Images after the second cycle of sequential hepatic arterial infusion chemotherapy and transarterial embolization (January 18, 2024). (g, h) Images seven months after sequential hepatic arterial infusion chemotherapy and transarterial embolization therapy (May 10, 2024). HAIC, hepatic arterial infusion chemotherapy; TAE, transarterial embolization.

Computed tomography images of the lung showing pulmonary metastases at different time points.
Fig. 2  Computed tomography images of the lung showing pulmonary metastases at different time points.

(a, b) November 2, 2023. The red arrows indicate metastatic tumors. (c, d) January 18, 2024. No pulmonary metastases were detected. (e, f) May 10, 2024. No pulmonary metastases were detected.

The patient was clinically diagnosed with Barcelona Clinic Liver Cancer stage C HCC. After completing the necessary diagnostic tests, the patient underwent HAIC with oxaliplatin 230 mg (injection in 5% glucose; Sichuan Huiyu Pharmaceutical, China) and fluorouracil 4 g (injection, dissolved in 0.9% sodium chloride; Shanghai Xudong Haipu Pharmaceutical, China). Infusion chemotherapy was administered over 23 h, consisting of calcium leucovorin 675 mg (in 0.9% sodium chloride; Jiangsu Henrui Pharmaceutical, China) and fluorouracil 0.6 g (injection, dissolved in 0.9% sodium chloride; Shanghai Xudong Haipu Pharmaceutical, China). A catheter was inserted via the femoral artery and advanced to the celiac artery for angiography, followed by continuous 23-h drug infusion into the primary tumor-feeding branch of the right hepatic artery (Fig. S1). The procedure was uneventful, and the microcatheter was removed after the infusion. Liver and kidney function tests and a complete blood count performed the following day showed no abnormalities. On the third day after HAIC, the patient underwent TAE using 10 mL of papaverine iodized oil and 1 g of polyvinyl alcohol microspheres (colorless, 300–500 µm).4 Follow-up blood tests and liver function tests revealed no abnormalities. After completing the sequential HAIC and TAE treatments, the patient began systemic antitumor therapy with tislelizumab (BGB-A317; BeiGene, Beijing, China) and lenvatinib (Eisai, Woodcliff Lake, NJ, USA). Tislelizumab was administered intravenously every 3 weeks at a dose of 200 mg, while lenvatinib was given orally at 8 mg/day. After one month, the patient underwent a second cycle of sequential HAIC and TAE and was discharged one week later (Fig. S2).

After three months of treatment, enhanced computed tomography revealed no signs of tumor progression. According to RECIST 1.1,7 the intrahepatic tumors exhibited a partial response (Fig. 1e and f), and the bilateral lung metastases showed a complete response (Fig. 2c and d). After seven months, the patient returned for follow-up, and complete response status was maintained (Figs. 1g and h, 2e and f). The levels of alpha fetoprotein and protein induced by vitamin K absence or antagonist-II decreased to normal levels (Fig. 3a and b, Table S1). In total, the patient received nine cycles of tislelizumab and seven months of lenvatinib. The patient continues to undergo regular monthly blood counts and liver function tests to monitor for adverse events. No significant immune-related adverse effects, including liver dysfunction, hypertension, or proteinuria, were observed during treatment. Follow-up is ongoing (Fig. 4).

Changes in alpha-fetoprotein levels (a) and protein induced by vitamin K absence or antagonist-II levels (b) at different time points.
Fig. 3  Changes in alpha-fetoprotein levels (a) and protein induced by vitamin K absence or antagonist-II levels (b) at different time points.

AFP, alpha-fetoprotein; HAIC, hepatic arterial infusion chemotherapy; PIVKA-II, protein induced by vitamin K absence-II; TAE, transarterial embolization.

Schematic diagram showing the treatment process.
Fig. 4  Schematic diagram showing the treatment process.

HAIC, hepatic arterial infusion chemotherapy; TAE, transarterial embolization.

Discussion

This case involved the rupture and hemorrhage of a large tumor in HCC, accompanied by lung metastasis. After two cycles of HAIC followed by TAE combined with systemic antitumor therapy using tislelizumab and lenvatinib, the patient remained progression-free for 10 months.

Transarterial chemoembolization is a common treatment for advanced HCC. Compared with transarterial chemoembolization, patients treated with HAIC showed longer median overall survival (23.1 months vs. 16.1 months), median progression-free survival (9.6 months vs. 5.4 months), and a lower incidence of serious adverse events (19% vs. 30%).2 TAE is also widely used as an interventional treatment for HCC. In HAIC, a percutaneous catheter is used to inject chemotherapeutic agents into the artery feeding the liver tumors, allowing the drugs to accumulate and exert cytotoxic effects on the tumor cells.8 Meanwhile, TAE involves catheterizing a branch of the hepatic artery that supplies blood to the tumor and infusing embolic agents. In the previous TAE-HAIC therapy for unresectable HCC with high tumor burden, the objective of TAE was not to achieve complete embolization, but rather to reduce tumor burden prior to HAIC and to avoid excessive liver damage.9 Sequential HAIC and TAE can rapidly reduce the blood supply to the tumor, leading to tumor necrosis. Considering the large tumor burden, the slow infusion of chemotherapy combined with arterial embolization may increase drug concentration in the tumor-feeding arteries, enhance the cytotoxic effect of chemotherapy, and potentially reduce the risk of metastasis following tumor rupture and hemorrhage.

ICIs and TKIs are recommended as standard treatments for advanced HCC in several guidelines.3,4 However, the ORR of HCC to ICI or TKI monotherapy remains suboptimal.10 ICIs work by antagonizing the immunosuppressive effects of tumor cells, thereby enhancing the cytotoxic activity of T cells and other immune cells. Since immune system reactivation takes time, TKIs have been reported to inhibit angiogenic growth factors, thereby suppressing tumor angiogenesis, which is a key factor associated with T-cell activation.11,12 The combination of ICIs and TKIs enhances tumor cell killing. This combined approach has been shown to improve ORR.13,14 Based on the patient’s condition, tislelizumab was selected as the ICI in this case. The therapeutic efficacy of tislelizumab has been demonstrated in previous clinical studies.10

Interestingly, in this case, the lung metastatic lesions showed a complete response to lenvatinib plus tislelizumab therapy. The lungs are the most common site of extrahepatic metastasis in HCC. Patients with advanced HCC and lung metastases have lower survival rates compared to those without metastases.15

Aside from ICIs and TKIs, current international guidelines do not recommend additional standard treatments for extrahepatic metastases in advanced HCC.3 Local therapies, such as interventional procedures or radiotherapy, may be used depending on the patient’s specific condition but cannot replace ICIs and TKIs for managing extrahepatic disease. Subgroup analysis of the LEAP-002 trial revealed that patients with extrahepatic spread may significantly benefit from lenvatinib plus pembrolizumab.16 Another study demonstrated that patients with extrahepatic metastases from HCC can benefit from HAIC combined with lenvatinib and programmed cell death protein 1 inhibitors.17

The anti-angiogenic effects of TKIs, including lenvatinib, play a role in several steps of T-cell activation, including restoration of antigen presentation, modulation of the tumor immune microenvironment, and priming and activation of T-cell responses. Furthermore, lenvatinib has been found to reduce programmed death-ligand 1 expression and Treg differentiation by blocking fibroblast growth factor receptor 4 and inhibiting the Treg proportion via TGF-β pathway.18 HCC can be classified into “cold” and “hot” tumors based on CD8+ T-cell infiltration levels. Yuen et al.19 demonstrated in mouse models that ICIs combined with TKIs are more effective against cold tumors. While ICIs alone had limited effect on cold tumors, they were significantly more effective in hot tumors. Sorafenib, a TKI, has been shown to sensitize Trp53KO/MYCOE HCC tumors to anti-programmed cell death protein 1 therapy. DEAD-box RNA helicase 17 and PXN-AS1-IR3 have been found to promote HCC metastasis via regulation of the MYC signaling pathway.20 We speculate that the combination of ICIs and TKIs may inhibit HCC metastasis and promote the regression of metastatic lesions by modulating DEAD-box RNA helicase 17 expression and inducing upregulation of PXN-AS1-IR3, thereby activating the MYC signaling pathway.

This case suggests that sequential HAIC and TAE combined with tislelizumab and lenvatinib not only controlled intrahepatic tumor progression but also elicited meaningful responses in lung metastases. However, this remains a single-case report, limiting the generalizability of the outcomes. Further validation through prospective cohort studies and phase II clinical trials is necessary. Our prospective clinical study is currently ongoing (NCT05532319).

Conclusions

In this study, a case of HCC with lung metastasis was treated with HAIC and TAE combined with tislelizumab and lenvatinib, resulting in notable efficacy and manageable safety. This case provides clinical evidence that may serve as a foundation for future treatment strategies.

Supporting information

Supplementary material for this article is available at https://doi.org/10.14218/JTG.2025.00008 .

Fig. S1

Interventional procedure images of the first HAIC (a) followed by sequential TAE (b). HAIC, hepatic arterial infusion chemotherapy; TAE, transarterial embolization.

(TIF)

Fig. S2

Interventional procedure images of the second HAIC (a) followed by sequential TAE (b). HAIC, hepatic arterial infusion chemotherapy; TAE, transarterial embolization.

(TIF)

Table S1

Baseline clinical characteristics of the patient.

(DOCX)

Declarations

Acknowledgement

None.

Ethical statement

Ethical approval was granted by the Ethics Committee of Guangxi Medical University Cancer Hospital for this study (Approval No. KY2024386). This study was performed in accordance with the Declaration of Helsinki (as revised in 2024). The patient provided written informed consent to participate in the study. Written informed consent was also obtained for the publication of any potentially identifiable images or data included in this article.

Data sharing statement

All data generated or analyzed during this study are included in this article and its online supplementary materials. Further inquiries can be directed to the corresponding author upon formal request.

Funding

This work was supported by the Guangxi Key Research and Development Plan (GuiKe AB24010082 and GuiKe AB25069099); the Clinical Discipline Construction Project of Guangxi Medical University (GXMULJZ202403); the Guangxi Undergraduate Training Program for Innovation and Entrepreneurship (X202410598376); and the First-class Discipline Innovation-driven Talent Program of Guangxi Medical University.

Conflict of interest

All authors declare no conflicts of interest.

Authors’ contributions

Data acquisition (JRL, DLY, JYS, CYD, WYL, XQL, XSQ, BYG, LM, JHZ), data arrangement, drafting of the manuscript, revision (JRL, JHZ), and data analysis (JRL, DLY, JYS, CYD, WYL, XQL, XSQ, BYG, LM). All authors had full access to all data in the study and approved the final version of the manuscript.

References

  1. Zhong JH, Peng NF, You XM, Ma L, Xiang X, Wang YY, et al. Tumor stage and primary treatment of hepatocellular carcinoma at a large tertiary hospital in China: A real-world study. Oncotarget 2017;8(11):18296-18302 View Article PubMed/NCBI
  2. Li QJ, He MK, Chen HW, Fang WQ, Zhou YM, Xu L, et al. Hepatic Arterial Infusion of Oxaliplatin, Fluorouracil, and Leucovorin Versus Transarterial Chemoembolization for Large Hepatocellular Carcinoma: A Randomized Phase III Trial. J Clin Oncol 2022;40(2):150-160 View Article PubMed/NCBI
  3. Singal AG, Llovet JM, Yarchoan M, Mehta N, Heimbach JK, Dawson LA, et al. AASLD Practice Guidance on prevention, diagnosis, and treatment of hepatocellular carcinoma. Hepatology 2023;78(6):1922-1965 View Article PubMed/NCBI
  4. Zhou J, Sun H, Wang Z, Cong W, Zeng M, Zhou W, et al. Guidelines for the Diagnosis and Treatment of Primary Liver Cancer (2022 Edition). Liver Cancer 2023;12(5):405-444 View Article PubMed/NCBI
  5. Zhong JH, Chen K, Su Z, Liu SP, Zeng FJ, Ye L, et al. Systematic treatment in unresectable hepatocellular carcinoma: The most concerns. iLIVER 2024;3(3):100112 View Article
  6. Zhang TQ, Geng ZJ, Zuo MX, Li JB, Huang JH, Huang ZL, et al. Camrelizumab (a PD-1 inhibitor) plus apatinib (an VEGFR-2 inhibitor) and hepatic artery infusion chemotherapy for hepatocellular carcinoma in Barcelona Clinic Liver Cancer stage C (TRIPLET): a phase II study. Signal Transduct Target Ther 2023;8(1):413 View Article PubMed/NCBI
  7. Eisenhauer EA, Therasse P, Bogaerts J, Schwartz LH, Sargent D, Ford R, et al. New response evaluation criteria in solid tumours: revised RECIST guideline (version 1.1). Eur J Cancer 2009;45(2):228-247 View Article PubMed/NCBI
  8. Iwamoto H, Shimose S, Shirono T, Niizeki T, Kawaguchi T. Hepatic arterial infusion chemotherapy for advanced hepatocellular carcinoma in the era of chemo-diversity. Clin Mol Hepatol 2023;29(3):593-604 View Article PubMed/NCBI
  9. Cai H, Chen S, Tang S, Xiao Y, Shi F, Wu Z, et al. Lenvatinib and tislelizumab versus atezolizumab and bevacizumab in combination with TAE-HAIC for unresectable hepatocellular carcinoma with high tumor burden: a multicenter retrospective cohort study. Cancer Immunol Immunother 2025;74(3):88 View Article PubMed/NCBI
  10. Qin S, Kudo M, Meyer T, Bai Y, Guo Y, Meng Z, et al. Tislelizumab vs Sorafenib as First-Line Treatment for Unresectable Hepatocellular Carcinoma: A Phase 3 Randomized Clinical Trial. JAMA Oncol 2023;9(12):1651-1659 View Article PubMed/NCBI
  11. Kato Y, Tabata K, Kimura T, Yachie-Kinoshita A, Ozawa Y, Yamada K, et al. Lenvatinib plus anti-PD-1 antibody combination treatment activates CD8+ T cells through reduction of tumor-associated macrophage and activation of the interferon pathway. PLoS One 2019;14(2):e0212513 View Article PubMed/NCBI
  12. Siska PJ, Beckermann KE, Rathmell WK, Haake SM. Strategies to overcome therapeutic resistance in renal cell carcinoma. Urol Oncol 2017;35(3):102-110 View Article PubMed/NCBI
  13. Qin S, Chan SL, Gu S, Bai Y, Ren Z, Lin X, et al. Camrelizumab plus rivoceranib versus sorafenib as first-line therapy for unresectable hepatocellular carcinoma (CARES-310): a randomised, open-label, international phase 3 study. Lancet 2023;402(10408):1133-1146 View Article PubMed/NCBI
  14. Zhang W, Tong S, Hu B, Wan T, Tang H, Zhao F, et al. Lenvatinib plus anti-PD-1 antibodies as conversion therapy for patients with unresectable intermediate-advanced hepatocellular carcinoma: a single-arm, phase II trial. J Immunother Cancer 2023;11(9):e007366 View Article PubMed/NCBI
  15. Schütte K, Schinner R, Fabritius MP, Möller M, Kuhl C, Iezzi R, et al. Impact of Extrahepatic Metastases on Overall Survival in Patients with Advanced Liver Dominant Hepatocellular Carcinoma: A Subanalysis of the SORAMIC Trial. Liver Cancer 2020;9(6):771-786 View Article PubMed/NCBI
  16. Llovet JM, Kudo M, Merle P, Meyer T, Qin S, Ikeda M, et al. Lenvatinib plus pembrolizumab versus lenvatinib plus placebo for advanced hepatocellular carcinoma (LEAP-002): a randomised, double-blind, phase 3 trial. Lancet Oncol 2023;24(12):1399-1410 View Article PubMed/NCBI
  17. Guan R, Zhang N, Deng M, Lin Y, Huang G, Fu Y, et al. Patients with hepatocellular carcinoma extrahepatic metastases can benefit from hepatic arterial infusion chemotherapy combined with lenvatinib plus programmed death-1 inhibitors. Int J Surg 2024;110(7):4062-4073 View Article PubMed/NCBI
  18. Torrens L, Montironi C, Puigvehí M, Mesropian A, Leslie J, Haber PK, et al. Immunomodulatory Effects of Lenvatinib Plus Anti-Programmed Cell Death Protein 1 in Mice and Rationale for Patient Enrichment in Hepatocellular Carcinoma. Hepatology 2021;74(5):2652-2669 View Article PubMed/NCBI
  19. Yuen VW, Chiu DK, Law CT, Cheu JW, Chan CY, Wong BP, et al. Using mouse liver cancer models based on somatic genome editing to predict immune checkpoint inhibitor responses. J Hepatol 2023;78(2):376-389 View Article PubMed/NCBI
  20. Zhou HZ, Li F, Cheng ST, Xu Y, Deng HJ, Gu DY, et al. DDX17-regulated alternative splicing that produced an oncogenic isoform of PXN-AS1 to promote HCC metastasis. Hepatology 2022;75(4):847-865 View Article PubMed/NCBI

About this Article

Cite this article
Li JR, Yang DL, Su JY, Dong CY, Li WY, Long XQ, et al. Clinical Response to Sequential HAIC and TAE Combined with Tislelizumab and Lenvatinib Treatment for Hepatocellular Carcinoma Involving Lung Metastases: A Case Report. J Transl Gastroenterol. Published online: May 28, 2025. doi: 10.14218/JTG.2025.00008.
Copy        Export to RIS        Export to EndNote
Article History
Received Revised Accepted Published
February 21, 2025 April 29, 2025 May 9, 2025 May 28, 2025
DOI http://dx.doi.org/10.14218/JTG.2025.00008
  • Journal of Translational Gastroenterology
  • eISSN 2994-8754
Back to Top

Clinical Response to Sequential HAIC and TAE Combined with Tislelizumab and Lenvatinib Treatment for Hepatocellular Carcinoma Involving Lung Metastases: A Case Report

Jian-Rong Li, Da-Long Yang, Jia-Yong Su, Cai-Yi Dong, Wen-Yang Li, Xiu-Qiong Long, Xiao-Shan Qin, Bin-Yan Gu, Liang Ma, Jian-Hong Zhong
  • Reset Zoom
  • Download TIFF