v
Search
Advanced

Publications > Journals > Journal of Clinical and Translational Pathology> Article Full Text

  • OPEN ACCESS

Testicular Germ Cell Tumors with Somatic-type Malignancy

  • Jiaming Fan1,
  • Yong Guan1,* ,
  • Charles C. Guo2 and
  • Gang Wang3,* 
 Author information 

Abstract

Testicular cancer accounts for ∼1% of all cancers in men worldwide, with over 90% of testicular cancers being germ cell tumors (GCTs). Since the introduction of multimodal therapy, testicular GCTs have been among the most curable solid tumors. However, some patients may develop late relapse, which is defined as recurrence at least two years after the initial complete remission. Late recurrence is particularly common in patients with teratomatous GCTs and is associated with somatic-type malignancy (SM) development. Approximately 2.5–8.0% of testicular GCT patients may develop SM, a distinct secondary component that resembles cancers seen in other organs and tissues. The histological subtypes of SM are diverse and may show morphological features of sarcomas, carcinomas, embryonic-type neuroectodermal tumors, nephroblastomas, hematologic malignancies, or a combination of different forms. Several studies have demonstrated that the development of SM in testicular GCTs, particularly at metastatic sites, is associated with a poor prognosis. In the current review, we discuss the concept of GCTs with SM, the diagnostic criteria, the common histological subtypes, the pathogenesis, and the clinical outcomes of GCT patients with SM.

Keywords

Testicle, Germ cell tumor, Somatic-type malignancy, Metastasis, Prognosis

Introduction

Testicular germ cell tumor (GCT) is the most common malignancy in young men aged 15–35 years old. GCTs have a variety of histological subtypes, including seminoma, embryonal carcinoma, yolk sac tumor (YST), teratoma, and choriocarcinoma. Currently, more than 90% of patients diagnosed with a GCT can be cured.1 Although tumors are prone to metastasis, nearly 80% of patients with metastasis have good clinical outcomes.2 However, when somatic-type malignancy (SM) occurs in GCTs, the cancer-specific survival rate is only 50–60%,3–5 which is not a satisfactory prognosis for patients.

Testicular GCT with SM is a rare germ cell tumor that contains malignant components resembling somatic or nongerm cancers in other organs and tissues, accounting for 2.5–8.0% of all testicular GCT patients.6–9 SM can occur at any time during the development of GCT, showing a tendency for late recurrence.10 The poor prognosis of SM patients was previously considered to be related to the extent of the disease at onset and the feasibility of a radical surgical extirpation.3,5,8,9 Recent reports have indicated that the presence of SM in GCT metastasis may be a high-risk factor for prognosis.11,12 In this review, we discuss the concept of GCTs with SM, the diagnostic criteria, the common histological subtypes, the pathogenesis, and the clinical outcomes of GCT patients with SM.

Histopathology

Diagnostic criteria

The essential diagnostic criteria of GCT with SM include the expansile or infiltrative growth of the epithelial or mesenchymal component measuring ≥5 mm.13 Practically, to declare a tumor as SM, it should exhibit a pure population of atypical mesenchymal or epithelial cells and occupy at least one low-power field (4× objective).9 If the overgrowth involves less than one low-power field, it is considered a teratoma rather than SM. However, the above criteria are somehow subjective. In clinical practice, less stringent criteria may be applied when the tumor is separated by foci of teratoma or other germ cell tumor components, but the overall amount of tumor exceeds 5 mm in contiguous sections.13 As stated in the definition, GCT with SM should exhibit a “pure” population of atypical mesenchymal or epithelial cells. Immature teratoma may mimic an embryonic-type neuroectodermal tumor (ENT) in SM, but teratoma is usually mixed with other GCT components and does not form a large pure expansile overgrowth.

GCTs with SM exhibit a broad spectrum of histological types that resemble non-GCT malignancies in other organs and tissues. Based on their morphological and immunohistochemical characteristics, GCTs with SM can be classified as sarcoma, adenocarcinoma, ENTs, or other rare tumors, such as carcinoid tumors, hemangioendothelioma, lymphoma, or nephroblastoma.10,14

Sarcoma

As the most common type of SM, sarcoma has various forms of differentiation, including rhabdomyosarcoma, myxofibrosarcoma, angiosarcoma, and spindle cell tumors, among which rhabdomyosarcoma is the most frequently reported.12 Rhabdomyosarcomas contain rhabdomyoblasts at various stages of myogenesis (Fig. 1a). Well-differentiated rhabdomyoblasts are often elongated with abundant eosinophilic cytoplasm; while the less-differentiated primitive rhabdomyoblasts are round or elliptical cells, with scant cytoplasm in a sheet-like growth pattern (Fig. 1b). Generally, sarcomatous cells show eccentric atypical nuclei and prominent nucleoli with a high mitotic activity.

Rhabdomyosarcoma arising from testicular teratoma.
Fig. 1  Rhabdomyosarcoma arising from testicular teratoma.

(a) Overgrowth of round cells with eosinophilic cytoplasm in a sheet-like growth pattern. Note the residual teratomatous (glandular) component in the right upper corner. (b) High-power view of the tumor showing medium-to-large round cells with eosinophilic cytoplasm, eccentric atypical nuclei, and prominent nucleoli. (c) The tumor cells are strongly positive for myogenin.

Although rhabdomyosarcoma accounts for the majority of sarcomatous SMs, other sarcomas may also arise from GCTs.12,15 SM with leiomyosarcoma is characterized by a fascicular growth pattern (bundles intersect at right angles) of high-grade atypical palisading spindle cells (Fig. 2a), eosinophilic fibrillary cytoplasm, and elongated or fusiform blunt-ended nuclei (Fig. 2b). SM with leiomyosarcoma can also show primitive apparency with no appreciable smooth muscle differentiation, in which tumor necrosis is commonly seen (Fig. 2c). SM with angiosarcoma shows infiltrative proliferation of pleomorphic atypical cells with anastomosing irregular vascular spaces. In addition, low-grade myoxid sarcoma, myxofibrosarcoma, and osteosarcoma also have been reported in SMs derived from GCTs.12,15,16

Leiomyosarcoma arising from teratoma.
Fig. 2  Leiomyosarcoma arising from teratoma.

(a) Malignant spindle cell proliferation with a fascicular growth pattern. Note the residual teratomatous (cartilage) component in the right lower corner. (b) Relatively well-differentiated area with atypical palisading spindle cells, eosinophilic fibrillary cytoplasm, and elongated or fusiform blunt-ended nuclei. (c) More primitive area with highly atypical cells and no appreciable smooth muscle differentiation. Note the tumor necrosis in the right upper corner.

The application of immunohistochemistry is often required for diagnosing SM in the testis and metastases. The positive staining of spalt-like transcription factor 4 suggests a germ cell origin, especially with a history of GCTs.14,17 The strong expression of desmin, myogenin (Fig. 1c), and myoblast determination protein 1 can confirm the diagnosis of rhabdomyosarcoma in a GCT.12,18–20 Angiosarcomas are characterized by the expression of CD31, CD34, and ERG, and leiomyosarcoma is positive for smooth muscle actin, desmin, and caldesmon.16 Some SMs exhibit a proliferation of high-grade spindle cells with severe nuclear atypia, which may be focally immunoreactive for spalt-like transcription factor 4 but do not show any specific histological differentiation after comprehensive immunohistochemical analysis. Those SMs are considered high-grade unclassified sarcoma.

An important mimicker of sarcomatous SMs is sarcomatoid YST, especially postchemotherapy.21,22 Actually, in a study by Magers et al., 30 of 76 initially diagnosed sarcomatous SMs were reclassified as sarcomatoid YSTs after a careful morphological review and an immunohistochemical study.15 Sarcomatoid YSTs typically show a proliferation of mixed spindle and epithelioid cells with variable shapes, ranging from fusiform to polygonal.23 The nuclei are large and irregularly shaped with prominent nucleoli. Sometimes, intracytoplasmic hyaline globules and eosinophilic, intercellular basement material may be present. Unlike sarcomatous SMs, sarcomatoid YSTs are usually immunoreactive for cytokeratin and glypican 3, although they are often negative for alpha-fetoprotein.24–26

Carcinoma

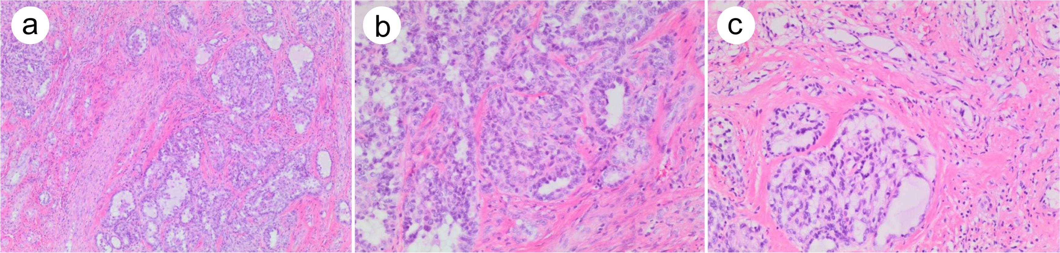
Approximately 90% of carcinomas in SMs are adenocarcinoma, although squamous cell, neuroendocrine, and poorly differentiated carcinomas also have been reported.10,15 There is a wide morphological spectrum of carcinomas in SMs arising from GCTs.8,10,15 They can present as the enteric type (characterized by pseudostratified columnar cells with hyperchromatic, elongated nuclei and prominent nucleoli, resembling colorectal adenocarcinoma), mucinous (strips of tumor cells floating in large extracellular mucin lakes, similar to those in the gastrointestinal tract), endometrioid-like, or other histological types.10,15 However, most of the adenocarcinomas are the not-otherwise-specified type (Fig. 3a), which shows an infiltrative or back-to-back confluent glandular growth pattern with high-grade cytologic atypia (Fig. 3b). It is not uncommon to have co-existing large tumor glands with a complex architecture, poorly formed infiltrating small glands, and even signet ring cells with desmoplastic stroma (Fig. 3c).

Adenocarcinoma arising from testicular teratoma.
Fig. 3  Adenocarcinoma arising from testicular teratoma.

(a) Overgrowth of variable-sized tumor glands with an infiltrative growth pattern. (b) High-power view of the large tumor glands showing cribriform structures and apparent cytological atypia. (c) Besides the large cribriform tumor gland, there are small poorly formed tumor glands with an infiltrative growth pattern.

For a pathological diagnosis, it is often necessary to differentiate SM adenocarcinoma from YST with glandular features, considering the difference in prognosis and treatment.10 Microscopically, SM adenocarcinomas usually exhibit a palisade or rosettes with abundant eosinophilic cytoplasm. The tumor cells have obvious atypia, prominent karyopyknosis, and hyperchromatic nucleoli. Adenocarcinoma mostly shows a strong expression of carcinoembryonic antigen and caudal-type homeobox 2 but is negative for alpha-fetoprotein. In contrast, YST is strongly positive for alpha-fetoprotein and glypican 3, but negative for carcinoembryonic antigen.27,28

ENT

As a pluripotential tissue, teratoma can potentially undergo malignant transformation along different elements of the embryo.29 ENT, previously called primitive neuroectodermal tumor, may result from malignant transformation along the mesodermal lines. Patients with ENT of SM are often classified as having a central nervous system-type primitive neuroectodermal tumor due to the lack of recurrent chromosomal translocation, t(11;22)(q24;q12).30 The primitive ENT component typically shows small, round, blue malignant cells in diffuse sheets (Fig. 4a). They occasionally form tubules or pseudorosettes. These tumor cells have indistinct cytoplasmic membranes, a scant clear to eosinophilic cytoplasm, and finely stippled chromatin with inconspicuous nucleoli (Fig. 4b). Mitotic figures and apoptotic bodies are frequent. There may be a basement membrane that separates the tubules from the adjacent stroma. Other growth patterns, such as medulloblastoma/supratentorial, neuroblastic tumor with abundant neuropil and true rosettes, and small cell embryonal tumor (Ewing sarcoma-like), also have been reported.

Embryonic-type neuroectodermal tumor arising from a testicular germ cell tumor.
Fig. 4  Embryonic-type neuroectodermal tumor arising from a testicular germ cell tumor.

(a) Overgrowth of small, blue, round malignant cells in a sheet-like growth pattern. Note the adjacent testicular parenchyma in the left upper corner. (b) High-power view of the tumor showing uniform small round cells with round/oval nuclei, finely stippled chromatin, inconspicuous nucleoli, scant clear-to-eosinophilic cytoplasm, and indistinct cytoplasmic membranes. Pseudorosettes (arrow) can be seen. (c) The tumor cells are strongly positive for CD99.

As for the immunohistochemistry studies, CD99 (Fig. 4c) and SOX11 are considered the most sensitive markers of undifferentiated ENT, with strongly diffuse positive staining.31,32 Undifferentiated ENT also expresses synaptophysin, chromogranin A, and cytokeratin. As glial differentiation markers, glial fibrillary acidic protein and S100 are typically negative in the undifferentiated ENT components, although they are positive in the differentiated ENT components.32

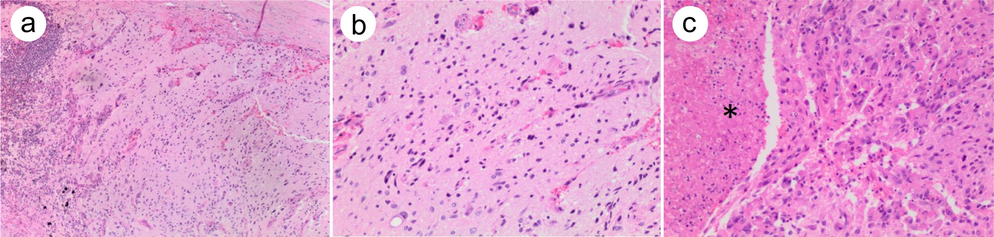
Neuroglial neoplasm

Testicular tumors with neuroglial neoplasms are extremely rare. In a recently published series of 124 testicular germ cell tumors with “somatic-type” malignancies, there was only one case (<1%) of malignant glioma.15 Additionally, Matoso’s cohort reported a broad morphological spectrum of tumors with neuroglial differentiation.22 Low-grade astrocytoma contains neuroglial components, including atypical cells with thick eosinophilic cytoplasmic processes (pilocytic features). Focally, there can be dense eosinophilic fibrillary structures resembling Rosenthal fibers. Meanwhile, ganglioglioma shows admixed variably sized glial cells with a ganglion cell component consisting of large nuclei with prominent nucleoli and abundant eosinophilic cytoplasm (Fig. 5a, b). In some areas, the fibrillary matrix shows characteristic spongy rarefaction (Fig. 5a, b). Anaplastic changes and tumor necrosis can also be seen (Fig. 5c). Gemistocytic astrocytoma presents with neoplastic cells with abundant eosinophilic cytoplasm and eccentric nuclei. Anaplastic astrocytoma is characterized by marked nuclear atypia and mitoses yet lacks microvascular proliferation, necrosis, and nuclear palisading; while glioblastoma demonstrates the presence of marked nuclear atypia, focal necrosis, pseudopalisading of tumor cells, and vascular hyperplasia. Rare gliosarcoma in GCT has been reported, which shows highly atypical spindle cell components associated with nests of nonspindle cell tumor cells with a fibrillary background. Nonetheless, the fibrillary background can be very subtle in higher grade (more cellular) lesions in which the fibrillary intercellular matrix might be difficult to recognize. However, the neuroglial nature of the tumors can be confirmed by performing immunohistochemistry for glial fibrillary acidic protein, which was positive in all the cases tested.22

Ganglioglioma in a retroperitoneal metastasis from a germ cell tumor.
Fig. 5  Ganglioglioma in a retroperitoneal metastasis from a germ cell tumor.

(a) Predominant low-grade tumor cells in the fibrillary matrix. (b) Admixed variably sized glial cells with a ganglion cell component consisting of large nuclei with prominent nucleoli and abundant eosinophilic cytoplasm. (c) Anaplastic changes and tumor necrosis (*) can be seen.

Nephroblastoma

Although nephroblastoma is rare in the testis, we cannot ignore the high incidence of metastases from GCT-derived nephroblastoma.33 In SM patients with nephroblastoma in metastatic lesions, it should be differentiated from ENT and rhabdomyosarcoma. Nephroblastoma patients have better survival outcomes than patients with the other two components.34 Microscopic examination of the stroma, blastema, and epithelial structures can successfully differentiate nephroblastoma from ENT and rhabdomyosarcoma.34 Like Wilms tumor, nephroblastoma-like SM usually demonstrates a characteristic “triphasic” admixture of primitive epithelial, blastemal, and stromal components. The epithelial components may form tubules and glomeruloid structures. The blastemal component comprises small round cells with scant cytoplasm, which reassembles ENT. However, nephroblastoma is negative for neuroendocrine markers, such as synaptophysin and chromogranin A,34 while it expresses Wilms tumor protein 1, paired box 2, and paired box 8.35,36

Other SMs

Hematologic malignancies, such as acute myeloid leukemia and several others, may also be seen in SMs derived from GCTs, and the lineage of GCT can be confirmed by the presence of i(12p), the signature chromosomal alteration in GCT.37 In addition, melanoma and well-differentiated liposarcoma, which develop in retroperitoneal sites of patients with a history of GCT several decades after the original diagnosis, also have been described.23 Even more rarely, two different types of SM in GCT may develop simultaneously.38 Oosterhuis et al. have reported that a patient with testicular GCT developed an intestinal-type adenocarcinoma and a low-grade leiomyosarcoma in a late recurrence 19 years after the initial diagnosis of GCT, highlighting the pluripotential nature of GCT.39 Similarly, we recently encountered a metastatic GCT with SM of leiomyosarcoma and neuroglial neoplasm. All of the above findings support the concept that any malignancy developing in a patient with a history of GCT should be investigated for representing SM and tested for isochromosome 12p.

Genetics and histogenesis in the development and progression of SM

Genetic studies have suggested that GCT is associated with the acquisition of additional genetic material on the p-arm of chromosome 12, manifested as isochromosome 12p [i(12p)] or the amplification of specific areas of chromosome 12 (12p gain), and is often used as a genetic diagnostic marker of GCT.27 This characteristic chromosomal aberration is present in GCT, its various derived tumors, and at both primary and metastatic sites. The presence of i(12p) or 12p gain often means the transition from germ cell neoplasia in situ to an invasive tumor,40,41 and the overexpression of certain fragments will allow genes such as DAD-R, SOX5, and STELLA to be involved in the pathogenesis of GCT.42,43 For stem cell-like tumors in the retroperitoneum or mediastinum that are difficult to be diagnosed morphologically or serologically, studies have demonstrated that i(12p) can confirm the germ cell clonal origin of neoplasms like SM.27

Other than i(12p), additional chromosome abnormalities have been found to be associated with different subtypes of SM, and many of them are shared with their histological counterparts. For example, a rearrangement at 2q37 was identified in the transformation of embryonal rhabdomyosarcoma. The aberration of 11p may be involved in the pathogenesis of GCT with SM, such as nephroblastoma and rhabdomyosarcoma.44–46 The results of different chromosomal aberrations suggest significant genetic instability in the somatic cells of GCT. Nevertheless, it is difficult to predict the presence of secondary SM and possible subtype changes from a primary teratoma39 due to the near-triploid and unstable chromosomes of neoplasms.47 Primitive germ cells with chromosomal abnormalities can differentiate into normal somatic cells during growth, which is the normalization of the nuclei of tumor cells. However, such somatic cells may escape normalization and develop secondary malignancies due to chromosomal instability. Therefore, SM can be considered a failure to normalize cancer through a developmental pattern due to the cancer cells overturning normalizing cell-community effects.48

The development of SM in GCTs can be caused by an overgrowth of immature component(s). Testicular teratomas often show various types of immature tissues, such as neuroepithelium and rhabdomyoblasts. If the size of a pure immature component reaches 5 mm in diameter, it will meet the diagnostic criteria for SM.12,49 If the volume of an immature tissue is less than 5 mm or mixed with other GCT components, it is considered immature teratoma in the GCTs. However, the definition of “overgrowth” may be arbitrary.13

Although most SMs of GCT are often thought to arise from teratomas, the presence of SM in other nonteratomas, such as YSTs, can occasionally be found.5,9 There is no consistent conclusion about the mechanism of SM. The studies of True and Malagón have both pointed out that sarcoma in GCT cannot occur without the dedifferentiation of blastomatous stroma in YSTs.16,50 Dedifferentiation refers to the implantation of a rapidly growing and highly malignant tumor from a slowly growing and well-differentiated neoplasm.50 Indigenous differentiated cells are transformed or reprogrammed through genetic aberrations or mutations to obtain stemness properties.51,52 The manifestations of different histological types of SM that we have seen are caused by changes in the structure and regulation of the genome. However, Umbreit et al. have found that metastatic teratomas and their SM have highly concordant genetic profiles, indicating that dedifferentiation or somatic-type transformation cannot be entirely attributed to specific genetic aberrations. Their results suggest that late recurrence and SM occurrence may result from the expression or revelation of aberrant stem-like or embryonic epigenetic phenotypes instead of acquiring and accumulating genetic mutations during tumor development.1 In various studies, stem cells exhibiting this biological behavior are commonly referred to as totipotent germ cells, so-called “cancer stem cells”. When confronted with a different microenvironment, totipotent germ cells may have different epigenetic phenotypes and differentiate into more aggressive or chemotherapy-resistant somatic-type tumor cells during growth and metastasis.1,53 During cytotoxic chemotherapy treatment of GCT with SM, drugs destroy the chemosensitive germ cell component, resulting in selective growth of the resistant portion of the nongerm cell malignancy,3,8 and the SM component often shows chemotherapy resistance.54 It is highly desired for targeted therapy specifically to the “cancer stem cells” of GCT or their immediate derivatives to eliminate these highly clonogenic cells.55,56

Prognosis of SMs

With or without SMs, the most significant prognostic factor of GCTs is still the stage of the disease. The 2020 guidelines state that GCT can be divided into clinical stage I, stage II, and stage III by evaluating the tumor infiltration extent and metastasis degree of GCT.57 Stage I with SM is generally considered to have a better prognosis than stages II and III, in which metastasis is already present. In a single-center, 25-year retrospective report of SM cases, all stage-I patients survived, while the 5-year disease-specific mortality rate for stage-II and stage-III patients was 42%, and all stage-III patients died from SM. They believed that GCT staging was an important factor contributing to the survival of patients with SMs.58 Motzer and his colleagues also drew similar conclusions. Four of a total of 24 patients in stages I and II died from the disease, and all 22 patients in stage III died, with a median survival time of 28.5 months. Univariate survival analysis showed a significant correlation between staging and survival (p = 0.001).5 However, according to the multivariate survival analysis, the staging did not affect the survival of SM patients,11 while univariate analyses showed the survival impact of staging to have hazard ratios of 4.82 (95% confidence interval: 1.52–15.21) and 1.44 (95% confidence interval: 1.17–4.07), respectively, in the reports by Necchi et al.59 and Giannatempo et al.11

The key to the difference in the survival rate of patients in different stages could be whether SM occurs in the primary or metastatic sites. In the most recent large cohort study by Hwang, patients with metastatic SMs had a significantly poorer overall survival than those with SMs in the testis (5-year survival rate, 35% vs. 87%; p = 0.011), while the presence of SM in the testis was not a significant factor associated with the patient’s overall survival when the tumor was confined to the testis (clinical stage I).10 The above conclusions seem to hold true for individual histotypes of SMs. Reports have suggested that GCT with sarcomatous SM may influence the clinical outcomes.5,16 In the largest cohort study of GCT with sarcomatous SM,12 Guo et al. analyzed 33 patients, approximately 80% of whom had rhabdomyosarcoma, and the others had high-grade unclassified sarcoma, angiosarcoma, or low-grade myxoid sarcoma. Clinical follow-up revealed that the patients with SM limited to the primary testicular tumor had a similar prognosis to those without SMs at similar cancer stages. In contrast, the patients with SM in the metastasis showed a worse prognosis. Furthermore, no association was observed between a poor prognosis and histological differences in the different types of sarcomas.16,60 A pathological screening study by Ahmed of 17 patients with SM showed that 50% of patients with metastatic lesions of GCT died from sarcoma, while only 15% of patients with primary lesions died.6 Other studies have shown that compared with patients at the same stage but without SM in testicular GCT, the risk of death for patients with SM only in the primary site of the testis was not higher,61 while all 13 patients with sarcoma in the primary GCT of the testis survived, and 7 of 14 patients with sarcoma in metastases died from disease.12 Similar observations have been found in ENT. While the presence of ENT in the testis does not seem to affect the prognosis,3 the ENT component in metastatic GCT may be detrimental to the prognosis.62

There are also some histotype-specific prognostic impacts of GCTs with SM. Comiter et al. have shown that adenocarcinoma mostly presented a less obvious malignant performance in their cohort compared with sarcoma and ENT.3 However, Hwang’s cohort found that patients with carcinomatous SMs had a significantly worse prognosis than patients with sarcomatous SMs and ENT.10 Another study showed that the histological type did not seem to be an independent prognostic factor by multivariate analysis.60 Such a discrepancy may be due to the limited number of cases in these studies. Some studies have pointed out that the interval period of the adenocarcinoma-type SM is longer than that of other components of SM.5,63 Moreover, Necchi et al. have shown a worse prognosis in adenocarcinoma than in other SMs, which may be attributed to the higher resistance to chemotherapy of adenocarcinoma compared to ENT and sarcoma.59 Furthermore, univariate survival analysis of delayed diagnosis of SM in a survey of 320 patients revealed significant differences, and the hazard ratio of delayed diagnosis of adenocarcinoma was 1.94 (95% confidence interval: 1.18–3.19) compared to those of other types of SM.11 It is generally believed that carcinomas occur later than sarcomas, but they have worse prognoses once they occur. Additionally, the grading and level of differentiation of the SM component may also play a role in the prognosis. In Matoso’s study of SMs with neuroglial differentiation, among the seven patients having clinical follow-up, the only patient who died of the disease was the one with gliosarcoma (World Health Organization grade IV) who developed a lung metastasis morphologically similar to the gliosarcoma of the retroperitoneal lymph node dissection specimen.22 We should also comprehensively consider the role of disease extension and management when we evaluate the effect of the tissue type on prognosis.64

Notably, although the testis harbors most cases, it is not the only primary site of GCT. GCTs can also be found in the mediastinum and other extragonadal tissues. Of interest, studies have found that SM in GCT of the testis is more likely to be metastatic but less aggressive than those primarily from the mediastinum or other extragonadal tissues.16 From a prognostic perspective, the survival of patients with gonadal primary sites were better than those with primary sites outside of the gonads and mediastinum in SM patients.11 These findings indicate that the primary location of GCT tumors also impacts the prognosis of patients with SM.

Management of SMs

Surgery is still the mainstream management, whether the SM is in a primary or metastatic site. Chemotherapeutic regimens, such as bleomycin, etoposide, and cisplatin as well as etoposide, ifosfamide, and cisplatin, are often applied as the initial management or preoperative treatment to assist in the resection of the untransformed GCTs. For high-risk patients, retroperitoneal lymph node dissection needs to be performed routinely.65 For primary testicular GCTs without metastasis or SM, total resection of the testicular mass after chemotherapy can prevent malignant transformation of the residual mass.64 For GCT with metastasis, unclear margins, or SM in metastatic lesions, a specific chemotherapeutic regimen followed by surgery can often benefit survival.16 Incomplete resection of the tumor has been listed as a poor prognostic factor in studies by Nitta and Necchi and predisposes patients to recurrent SM;59,66 therefore, multiple repeat resections are recommended in these cases.60

Although GCTs are sensitive to platinum-based chemotherapeutic agents, the SM components are often resistant to such regimens. Therefore, chemotherapy should be guided by the direction of SM transformation after routine lymph node dissection for patients having metastatic lesions with SM. Patients with rhabdomyosarcoma mostly receive the mesna, doxorubicin, ifosfamide, and dacarbazine regimen. Meanwhile, ENT is sensitive to a combination of cyclophosphamide, doxorubicin, vincristine, ifosfamide, and etoposide. For adenocarcinoma, fluorouracil combined with leucovorin and irinotecan is recommended. Leukemia is more likely to respond to cytarabine and idarubicin.63 The probability of recurrence varies among the different histological types, and ENT is the most prone to relapse.30 It has been suggested that patients with ENT should adopt the specific therapy of cyclophosphamide, doxorubicin, and vincristine, alternating with ifosfamide and etoposide, and then undergo surgical resection of recurrent lesions.29,30 In addition, salvage chemotherapy can often improve the survival of relapsed patients. However, clinicians still need to consider that a higher number of previous chemotherapeutic regimens is associated with a poorer prognosis in patients with relapsed SM.11 Therefore, whether SM is in the primary, metastatic, or recurrent site, we still recommend radical surgical resection if possible.

Conclusions

SM is rare in patients with GCT, but SM often shows resistance to platinum-based chemotherapy and has a tendency of late recurrence, thus presenting a poor prognosis. There are many histopathological subtypes of SM, but no clear conclusion has been reached regarding its impact on patient prognosis. However, many studies conclude that SM in metastatic sites of GCT is a risk factor for a poor prognosis. Although various hypotheses of the pathogenesis of SM offer the possibility of targeted therapy, currently, we believe that once the identity of the SM mass is confirmed by i(12p) testing at either the primary or metastatic sites of GCT, surgery should be performed immediately along with chemotherapy to achieve a cure. If the patient is ineligible for surgery, chemotherapy guided by the lineage of SM transformation should be conducted as soon as possible to improve the patient prognosis.

Abbreviations

ENT: 

embryonic-type neuroectodermal tumor

GCTs: 

germ cell tumor

IHC: 

immunohistochemistry

SM: 

somatic-type malignancy

YST: 

yolk sac tumor

Declarations

Acknowledgement

None.

Funding

This work was supported by a project (20JCYBJC01240) funded by the Tianjin Science and Technology Plan.

Conflict of interest

Guo CC has been an associate editor of Journal of Clinical and Translational Pathology since May 2021.The other authors have no conflict of interests to declare.

Authors’ contributions

Conceptualization (JF, YG, and GW), manuscript drafting (JF, YG, and GW), review and editing (JF, YG, CG, and GW), visualization (JF, YG, and GW). All authors have made a significant contribution to this study and have approved the final manuscript.

References

  1. Umbreit EC, Siddiqui BA, Hwang MJ, Joon AY, Maity T, Westerman ME, et al. Origin of Subsequent Malignant Neoplasms in Patients with History of Testicular Germ Cell Tumor. Cancers (Basel) 2020;12(12):3755 View Article PubMed/NCBI
  2. Carver BS, Serio AM, Bajorin D, Motzer RJ, Stasi J, Bosl GJ, et al. Improved clinical outcome in recent years for men with metastatic nonseminomatous germ cell tumors. J Clin Oncol 2007;25(35):5603-5608 View Article PubMed/NCBI
  3. Comiter CV, Kibel AS, Richie JP, Nucci MR, Renshaw AA. Prognostic features of teratomas with malignant transformation: a clinicopathological study of 21 cases. J Urol 1998;159(3):859-863 PubMed/NCBI
  4. Little JS, Foster RS, Ulbright TM, Donohue JP. Unusual neoplasms detected in testis cancer patients undergoing post-chemotherapy retroperitoneal lymphadenectomy. J Urol 1994;152(4):1144-1149 View Article PubMed/NCBI
  5. Motzer RJ, Amsterdam A, Prieto V, Sheinfeld J, Murty VV, Mazumdar M, et al. Teratoma with malignant transformation: diverse malignant histologies arising in men with germ cell tumors. J Urol 1998;159(1):133-138 View Article PubMed/NCBI
  6. Ahmed T, Bosl GJ, Hajdu SI. Teratoma with malignant transformation in germ cell tumors in men. Cancer 1985;56(4):860-863 View Article PubMed/NCBI
  7. Carver BS, Shayegan B, Serio A, Motzer RJ, Bosl GJ, Sheinfeld J. Long-term clinical outcome after postchemotherapy retroperitoneal lymph node dissection in men with residual teratoma. J Clin Oncol 2007;25(9):1033-1037 View Article PubMed/NCBI
  8. Colecchia M, Necchi A, Paolini B, Nicolai N, Salvioni R. Teratoma with somatic-type malignant components in germ cell tumors of the testis: a clinicopathologic analysis of 40 cases with outcome correlation. Int J Surg Pathol 2011;19(3):321-327 View Article PubMed/NCBI
  9. Ulbright TM, Loehrer PJ, Roth LM, Einhorn LH, Williams SD, Clark SA. The development of non-germ cell malignancies within germ cell tumors. A clinicopathologic study of 11 cases. Cancer 1984;54(9):1824-1833 View Article PubMed/NCBI
  10. Hwang MJ, Hamza A, Zhang M, Tu SM, Pisters LL, Czerniak B, et al. Somatic-type Malignancies in Testicular Germ Cell Tumors: A Clinicopathologic Study of 63 Cases. Am J Surg Pathol 2022;46(1):11-17 View Article PubMed/NCBI
  11. Giannatempo P, Pond GR, Sonpavde G, Albany C, Loriot Y, Sweeney CJ, et al. Treatment and Clinical Outcomes of Patients with Teratoma with Somatic-Type Malignant Transformation: An International Collaboration. J Urol 2016;196(1):95-100 View Article PubMed/NCBI
  12. Guo CC, Punar M, Contreras AL, Tu SM, Pisters L, Tamboli P, et al. Testicular germ cell tumors with sarcomatous components: an analysis of 33 cases. Am J Surg Pathol 2009;33(8):1173-1178 View Article PubMed/NCBI
  13. WHO Classification of Tumours Editorial Board. Urinary and Male Genital Tumours. In: WHO Classification of Tumours. 5th ed, vol 8. International Agency for Research on Cancer 2022. Available from: https://publications.iarc.fr/610. Accessed February 2, 2023
  14. Pantaleo MA, Mandruzzato M, Indio V, Urbini M, Nannini M, Gatto L, et al. Case Report: The Complete Remission of a Mixed Germ Cell Tumor With Somatic Type Malignancy of Sarcoma Type With a GCT-Oriented Therapy: Clinical Findings and Genomic Profiling. Front Oncol 2021;11:633543 View Article PubMed/NCBI
  15. Magers MJ, Kao CS, Cole CD, Rice KR, Foster RS, Einhorn LH, et al. “Somatic-type” malignancies arising from testicular germ cell tumors: a clinicopathologic study of 124 cases with emphasis on glandular tumors supporting frequent yolk sac tumor origin. Am J Surg Pathol 2014;38(10):1396-1409 View Article PubMed/NCBI
  16. Malagón HD, Valdez AM, Moran CA, Suster S. Germ cell tumors with sarcomatous components: a clinicopathologic and immunohistochemical study of 46 cases. Am J Surg Pathol 2007;31(9):1356-1362 View Article PubMed/NCBI
  17. Miettinen M, Wang Z, McCue PA, Sarlomo-Rikala M, Rys J, Biernat W, et al. SALL4 expression in germ cell and non-germ cell tumors: a systematic immunohistochemical study of 3215 cases. Am J Surg Pathol 2014;38(3):410-420 View Article PubMed/NCBI
  18. Iqbal HA, Anjum R, Naseem N. Rare Variant of Adult Rhabdomyosarcoma Presenting as a Palatal Swelling. Pak J Med Sci 2021;37(3):922-925 View Article PubMed/NCBI
  19. Sumerauer D, Vicha A, Zuntova A, Stejskalova E, Krskova L, Kabickova E, et al. Teratoma in an adolescent with malignant transformation into embryonal rhabdomyosarcoma: case report. J Pediatr Hematol Oncol 2006;28(10):688-692 View Article PubMed/NCBI
  20. Wang J, Kazmi SA. Teratoma with malignant transformation: a case report with pathological, cytogenetic, and immunohistochemistry analysis. Sarcoma 2011;2011:450743 View Article PubMed/NCBI
  21. Howitt BE, Magers MJ, Rice KR, Cole CD, Ulbright TM. Many postchemotherapy sarcomatous tumors in patients with testicular germ cell tumors are sarcomatoid yolk sac tumors: a study of 33 cases. Am J Surg Pathol 2015;39(2):251-259 View Article PubMed/NCBI
  22. Matoso A, Idrees MT, Rodriguez FJ, Ibrahim J, Perrino CM, Ulbright TM, et al. Neuroglial Differentiation and Neoplasms in Testicular Germ Cell Tumors Lack Immunohistochemical Evidence of Alterations Characteristic of Their CNS Counterparts: A Study of 13 Cases. Am J Surg Pathol 2019;43(3):422-431 View Article PubMed/NCBI
  23. Guo CC, Czerniak B. Somatic-type malignancies in testicular germ cell tumors. Hum Pathol 2022;127:123-135 View Article PubMed/NCBI
  24. Nogales FF, Preda O, Nicolae A. Yolk sac tumours revisited. A review of their many faces and names. Histopathology 2012;60(7):1023-1033 View Article PubMed/NCBI
  25. Nogales FF, Quiñonez E, López-Marín L, Dulcey I, Preda O. A diagnostic immunohistochemical panel for yolk sac (primitive endodermal) tumours based on an immunohistochemical comparison with the human yolk sac. Histopathology 2014;65(1):51-59 View Article PubMed/NCBI
  26. Ulbright TM, Tickoo SK, Berney DM, Srigley JR, Members of the ISUP Immunohistochemistry in Diagnostic Urologic Pathology Group. Best practices recommendations in the application of immunohistochemistry in testicular tumors: report from the International Society of Urological Pathology consensus conference. Am J Surg Pathol 2014;38(8):e50-e59 View Article PubMed/NCBI
  27. Fichtner A, Richter A, Filmar S, Gaisa NT, Schweyer S, Reis H, et al. The detection of isochromosome i(12p) in malignant germ cell tumours and tumours with somatic malignant transformation by the use of quantitative real-time polymerase chain reaction. Histopathology 2021;78(4):593-606 View Article PubMed/NCBI
  28. Suzuki T, Kimura N, Shizawa S, Yabuki N, Yamaki T, Sasano H, et al. Yolk sac tumor of the stomach with an adenocarcinomatous component: a case report with immunohistochemical analysis. Pathol Int 1999;49(6):557-562 View Article PubMed/NCBI
  29. Ehrlich Y, Beck SDW, Ulbright TM, Cheng L, Brames MJ, Andreoiu M, et al. Outcome analysis of patients with transformed teratoma to primitive neuroectodermal tumor. Ann Oncol 2010;21(9):1846-1850 View Article PubMed/NCBI
  30. Al-Hader AA, Jain A, Al-Nasrallah N, Einhorn LH. Metastatic malignant transformation of teratoma to primitive neuroectodermal tumor (PNET): results with PNET-based chemotherapy. Am J Clin Oncol 2015;38(4):364-366 View Article PubMed/NCBI
  31. Mhawech-Fauceglia P, Herrmann F, Penetrante R, Beck A, Sait S, Block AM, et al. Diagnostic utility of FLI-1 monoclonal antibody and dual-colour, break-apart probe fluorescence in situ (FISH) analysis in Ewing’s sarcoma/primitive neuroectodermal tumour (EWS/PNET). A comparative study with CD99 and FLI-1 polyclonal antibodies. Histopathology 2006;49(6):569-575 View Article PubMed/NCBI
  32. Magers MJ, Perrino CM, Ulbright TM, Idrees MT. Immunophenotypic Characterization of Germ Cell Tumor-Derived Primitive Neuroectodermal Tumors: Evidence for Frequent Neuronal and/or Glial Differentiation. Arch Pathol Lab Med 2021;145(8):953-959 View Article PubMed/NCBI
  33. Mikuz G, Colecchia M. Teratoma with somatic-type malignant components of the testis. A review and an update. Virchows Arch 2012;461(1):27-32 View Article PubMed/NCBI
  34. Michael H, Hull MT, Foster RS, Sweeney CJ, Ulbright TM. Nephroblastoma-like tumors in patients with testicular germ cell tumors. Am J Surg Pathol 1998;22(9):1107-1114 View Article PubMed/NCBI
  35. Davis JL, Matsumura L, Weeks DA, Troxell ML. PAX2 expression in Wilms tumors and other childhood neoplasms. Am J Surg Pathol 2011;35(8):1186-1194 View Article PubMed/NCBI
  36. Ghanem MA, Van der Kwast TH, Den Hollander JC, Sudaryo MK, Oomen MH, Noordzij MA, et al. Expression and prognostic value of Wilms’ tumor 1 and early growth response 1 proteins in nephroblastoma. Clin Cancer Res 2000;6(11):4265-4271 PubMed/NCBI
  37. Taylor J, Donoghue MT, Ho C, Petrova-Drus K, Al-Ahmadie HA, Funt SA, et al. Germ cell tumors and associated hematologic malignancies evolve from a common shared precursor. J Clin Invest 2020;130(12):6668-6676 View Article PubMed/NCBI
  38. Kum JB, Ulbright TM, Williamson SR, Wang M, Zhang S, Foster RS, et al. Molecular genetic evidence supporting the origin of somatic-type malignancy and teratoma from the same progenitor cell. Am J Surg Pathol 2012;36(12):1849-1856 View Article PubMed/NCBI
  39. Oosterhuis JW, Peeters SH, Smit VT, Stoop H, Looijenga LH, Elzevier HW, et al. Patient with two secondary somatic-type malignancies in a late recurrence of a testicular non-seminoma: illustration of potential and flaw of the cancer stem cell therapy concept. Int J Dev Biol 2013;57(2-4):153-157 View Article PubMed/NCBI
  40. Bosl GJ, Ilson DH, Rodriguez E, Motzer RJ, Reuter VE, Chaganti RS. Clinical relevance of the i(12p) marker chromosome in germ cell tumors. J Natl Cancer Inst 1994;86(5):349-355 View Article PubMed/NCBI
  41. Rosenberg C, Van Gurp RJ, Geelen E, Oosterhuis JW, Looijenga LH. Overrepresentation of the short arm of chromosome 12 is related to invasive growth of human testicular seminomas and nonseminomas. Oncogene 2000;19(51):5858-5862 View Article PubMed/NCBI
  42. Korn WM, Oide Weghuis DE, Suijkerbuijk RF, Schmidt U, Otto T, du Manoir S, et al. Detection of chromosomal DNA gains and losses in testicular germ cell tumors by comparative genomic hybridization. Genes Chromosomes Cancer 1996;17(2):78-87 View Article PubMed/NCBI
  43. Zafarana G, Gillis AJ, van Gurp RJ, Olsson PG, Elstrodt F, Stoop H, et al. Coamplification of DAD-R, SOX5, and EKI1 in human testicular seminomas, with specific overexpression of DAD-R, correlates with reduced levels of apoptosis and earlier clinical manifestation. Cancer Res 2002;62(6):1822-1831 PubMed/NCBI
  44. Emerson RE, Ulbright TM, Zhang S, Foster RS, Eble JN, Cheng L. Nephroblastoma arising in a germ cell tumor of testicular origin. Am J Surg Pathol 2004;28(5):687-692 View Article PubMed/NCBI
  45. Looijenga LH, Abraham M, Gillis AJ, Saunders GF, Oosterhuis JW. Testicular germ cell tumors of adults show deletions of chromosomal bands 11p13 and 11p15.5, but no abnormalities within the zinc-finger regions and exons 2 and 6 of the Wilms’ tumor 1 gene. Genes Chromosomes Cancer 1994;9(3):153-160 View Article PubMed/NCBI
  46. Dao DD, Schroeder WT, Chao LY, Kikuchi H, Strong LC, Riccardi VM, et al. Genetic mechanisms of tumor-specific loss of 11p DNA sequences in Wilms tumor. Am J Hum Genet 1987;41(2):202-217 PubMed/NCBI
  47. Oosterhuis JW, Castedo SM, de Jong B, Cornelisse CJ, Dam A, Sleijfer DT, et al. Ploidy of primary germ cell tumors of the testis. Pathogenetic and clinical relevance. Lab Invest 1989;60(1):14-21 PubMed/NCBI
  48. Levin M. Morphogenetic fields in embryogenesis, regeneration, and cancer: non-local control of complex patterning. Biosystems 2012;109(3):243-261 View Article PubMed/NCBI
  49. Ulbright TM, Hattab EM, Zhang S, Ehrlich Y, Foster RS, Einhorn LH, et al. Primitive neuroectodermal tumors in patients with testicular germ cell tumors usually resemble pediatric-type central nervous system embryonal neoplasms and lack chromosome 22 rearrangements. Mod Pathol 2010;23(7):972-980 View Article PubMed/NCBI
  50. True LD, Otis CN, Delprado W, Scully RE, Rosai J. Spermatocytic seminoma of testis with sarcomatous transformation. A report of five cases. Am J Surg Pathol 1988;12(2):75-82 View Article PubMed/NCBI
  51. Takahashi K, Tanabe K, Ohnuki M, Narita M, Ichisaka T, Tomoda K, et al. Induction of pluripotent stem cells from adult human fibroblasts by defined factors. Cell 2007;131(5):861-872 View Article PubMed/NCBI
  52. Yu J, Vodyanik MA, Smuga-Otto K, Antosiewicz-Bourget J, Frane JL, Tian S, et al. Induced pluripotent stem cell lines derived from human somatic cells. Science 2007;318(5858):1917-1920 View Article PubMed/NCBI
  53. Nettersheim D, Schorle H. The plasticity of germ cell cancers and its dependence on the cellular microenvironment. J Cell Mol Med 2017;21(8):1463-1467 View Article PubMed/NCBI
  54. Azizi M, Aydin AM, Cheriyan SK, Peyton CC, Montanarella M, Gilbert SM, et al. Therapeutic strategies for uncommon testis cancer histologies: teratoma with malignant transformation and malignant testicular sex cord stromal tumors. Transl Androl Urol 2020;9(Suppl 1):S91-S103 View Article PubMed/NCBI
  55. Dean M, Fojo T, Bates S. Tumour stem cells and drug resistance. Nat Rev Cancer 2005;5(4):275-284 View Article PubMed/NCBI
  56. Reya T, Morrison SJ, Clarke MF, Weissman IL. Stem cells, cancer, and cancer stem cells. Nature 2001;414(6859):105-111 View Article PubMed/NCBI
  57. Laguna MP, Albers P, Algaba F, Bokemeyer C, Boormans JL, Fischer S, et al. EAU Guidelines on Testicular Cancer. EAU Guidelines Office, Arnhem: The Netherlands; 2020. Available from: http://uroweb.org/guidelines/compilations-of-all-guidelines/. Accessed February 1, 2023
  58. Spiess PE, Pisters LL, Liu P, Pettaway CA, Kamat AM, Gomez JA, et al. Malignant transformation of testicular teratoma: a chemoresistant phenotype. Urol Oncol 2008;26(6):595-599 View Article PubMed/NCBI
  59. Necchi A, Colecchia M, Nicolai N, Piva L, Catanzaro M, Biasoni D, et al. Towards the definition of the best management and prognostic factors of teratoma with malignant transformation: a single-institution case series and new proposal. BJU Int 2011;107(7):1088-1094 View Article PubMed/NCBI
  60. Rice KR, Magers MJ, Beck SD, Cary KC, Einhorn LH, Ulbright TM, et al. Management of germ cell tumors with somatic type malignancy: pathological features, prognostic factors and survival outcomes. J Urol 2014;192(5):1403-1409 View Article PubMed/NCBI
  61. International Germ Cell Consensus Classification: a prognostic factor-based staging system for metastatic germ cell cancers. International Germ Cell Cancer Collaborative Group. J Clin Oncol 1997;15(2):594-603 View Article PubMed/NCBI
  62. Michael H, Hull MT, Ulbright TM, Foster RS, Miller KD. Primitive neuroectodermal tumors arising in testicular germ cell neoplasms. Am J Surg Pathol 1997;21(8):896-904 View Article PubMed/NCBI
  63. Donadio AC, Motzer RJ, Bajorin DF, Kantoff PW, Sheinfeld J, Houldsworth J, et al. Chemotherapy for teratoma with malignant transformation. J Clin Oncol 2003;21(23):4285-4291 View Article PubMed/NCBI
  64. El Mesbahi O, Terrier-Lacombe MJ, Rebischung C, Theodore C, Vanel D, Fizazi K. Chemotherapy in patients with teratoma with malignant transformation. Eur Urol 2007;51(5):1306-1312 View Article PubMed/NCBI
  65. Ganjoo KN, Foster RS, Michael H, Donohue JP, Einhorn LH. Germ cell tumor associated primitive neuroectodermal tumors. J Urol 2001;165(5):1514-1516 PubMed/NCBI
  66. Nitta S, Kawai K, Kimura T, Kandori S, Kawahara T, Kojima T, et al. Advanced germ cell tumor patients undergoing post-chemotherapy retroperitoneal lymph node dissection: Impact of residual teratoma on prognosis. Int J Urol 2021;28(8):840-847 View Article PubMed/NCBI

About this Article

Cite this article
Fan J, Guan Y, Guo CC, Wang G. Testicular Germ Cell Tumors with Somatic-type Malignancy. J Clin Transl Pathol. 2023;3(1):35-42. doi: 10.14218/JCTP.2022.00028.
Copy        Export to RIS        Export to EndNote
Article History
Received Revised Accepted Published
October 29, 2022 December 25, 2022 February 1, 2023 February 22, 2023
DOI http://dx.doi.org/10.14218/JCTP.2022.00028
  • Journal of Clinical and Translational Pathology
  • pISSN 2993-5202
  • eISSN 2771-165X
Back to Top

Testicular Germ Cell Tumors with Somatic-type Malignancy

Jiaming Fan, Yong Guan, Charles C. Guo, Gang Wang
  • Reset Zoom
  • Download TIFF