v
Search
Advanced

Publications > Journals > Journal of Clinical and Translational Pathology> Article Full Text

  • OPEN ACCESS

Updates of Prostate Cancer from the 2022 World Health Organization Classification of the Urinary and Male Genital Tumors

  • Charles C. Guo*  and
  • Bogdan Czerniak
 Author information 

Abstract

Prostate cancer is a heterogeneous disease with a wide spectrum of pathological, clinical, and molecular features. The diagnosis and classification of prostate cancer have been constantly modified with the incorporation of new data. The 5th edition of the World Health Organization (WHO) Classification of Urinary and Genital Tumors was recently published six years after the 4th edition. In this new edition, the classification of prostate cancer has been refined in the diagnostic criteria, grading, nomenclature, and genomics. This review summarizes significant updates to the new WHO classification of prostate cancer, including high-grade prostatic intraepithelial neoplasia, acinar adenocarcinoma, intraductal carcinoma, ductal carcinoma, and neuroendocrine tumors. Controversial issues in the Gleason grading are discussed, such as intraductal carcinoma and tertiary grade. We also highlight distinct genetic and epigenetic alterations in prostate cancer that may contribute to its diverse clinicopathologic features. Overall, the 5th edition of the WHO classification provides a comprehensive assessment of prostate cancer with morphologic, immunohistochemical, genomic, and clinical data, which may represent an optimal paradigm for diagnosing and treating prostate cancer.

Keywords

Prostate cancer, High-grade prostatic intraepithelial neoplasia, Intraductal carcinoma, Ductal carcinoma, Acinar carcinoma, Neuroendocrine differentiation

Introduction

Prostate cancer is the 4th most common cancer worldwide, with an estimated 1,414,259 cases in 2020.1 In the USA, prostate cancer is the most common cancer in men, with an estimated 268,490 cases in 2022, accounting for 27% of all male cancers.2 One out of every eight American men will be diagnosed with prostate cancer during their lifetime.2 However, autopsy studies have reported that the prevalence of prostate cancer in western countries is approximately 30–40% in men, which is even higher than that of clinically detected prostate cancer.3 This indicates that a large proportion of prostate cancers are indolent and are not clinically diagnosed. On the other hand, a significant proportion of prostate cancers are clinically aggressive, resulting in the second leading cause of cancer-related death in men in the United States, with 34,500 prostate cancer-related deaths per year.2

The 5th edition of the World Health Organization (WHO) Classification of the Urinary and Male Genital Tumors was recently published in 2022.4 The time interval between the 4th and 5th editions is six years, only half of that between the 3rd and 4th editions.4–6 Still, substantial advancements in the pathology and genomics of prostate cancer have been included in the new edition. In this review, we will highlight new developments in the diagnosis, nomenclature, cancer grading, and molecular features of the most common malignancies in the prostate, i.e., prostatic adenocarcinoma and neuroendocrine tumors. Other uncommon tumors, such as squamous, urothelial, mesenchymal, and hematopoietic tumors, are beyond the scope of this paper.

High-grade prostatic intraepithelial neoplasia

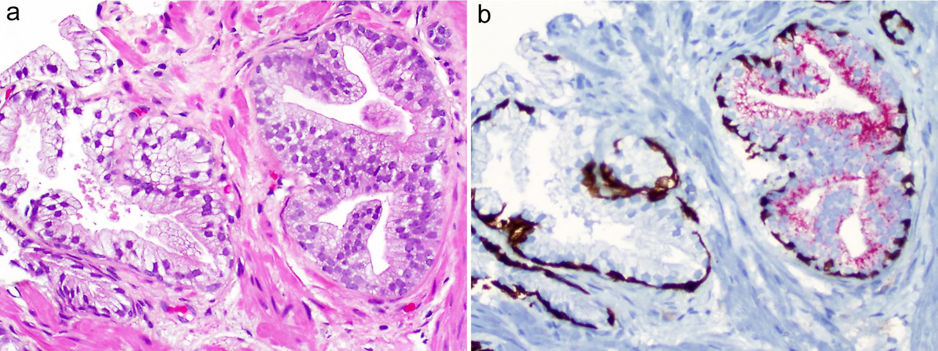
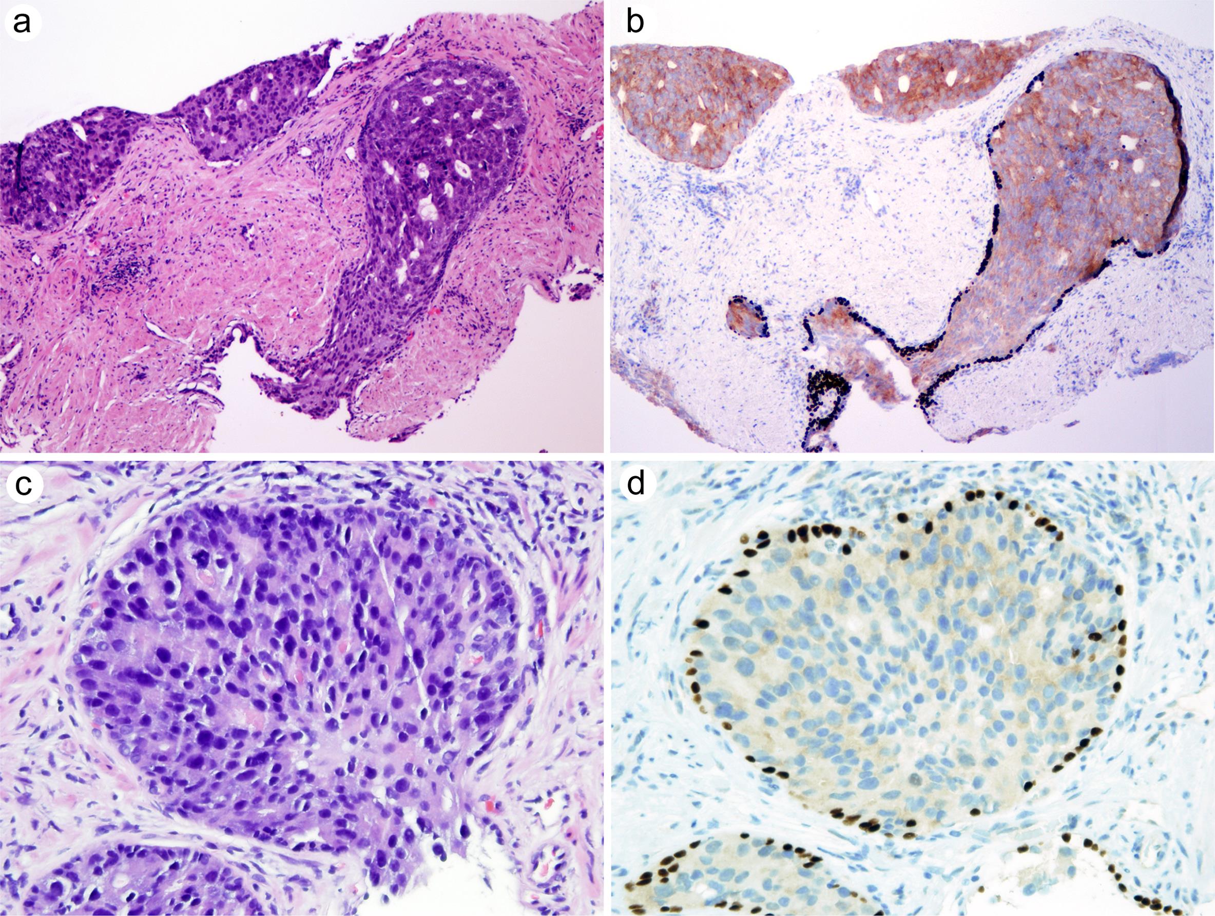
High-grade prostatic intraepithelial neoplasia (HGPIN) is the most common in situ precursor lesion of prostate cancer.7 It shares some morphological features with prostatic adenocarcinoma, such as enlarged nuclei and hyperchromasia in the secretory epithelial cells (Fig. 1). The presence of prominent nucleoli in the epithelial cells is the key diagnostic feature of HGPIN. Unlike prostatic adenocarcinoma, HGPIN is usually characterized by large glands with irregular lumens lined by multilayered cells. The basal cells are always present in HGPIN, although in a reduced number. Immunohistochemistry (IHC) for basal cell markers, such as high molecular cytokeratin CK903 and p63, may be used to highlight the presence of scattered basal cells in HGPIN. At the molecular level, HGPIN carries genetic and epigenetic alterations frequently observed in prostate cancer, such as TMPRSS2-ERG gene fusion, loss of PTEN, amplification of MYC, and telomere shortening.8–11

High-grade prostatic intraepithelial neoplasia (HGPIN) shows flat and papillary growth patterns, with the overlying epithelial cells having enlarged nuclei with prominent nucleoli.
Fig. 1  High-grade prostatic intraepithelial neoplasia (HGPIN) shows flat and papillary growth patterns, with the overlying epithelial cells having enlarged nuclei with prominent nucleoli.

Note benign prostatic glands for comparison on the left (a) (×200). Cribriform pattern is not recognized as HGPIN in the 5th edition. On immunostain, HGPIN is positive for racemase and basal cell markers (CK903 and p63) (b) (×200).

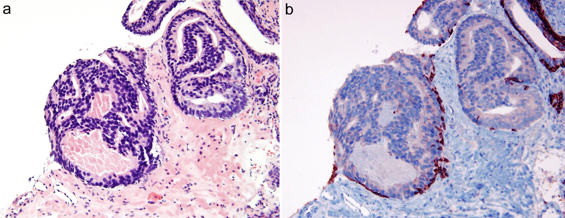
In the 5th edition, three common growth patterns, namely tufting, micropapillary, and flat, are described in HGPIN (Fig. 1). Some less frequent patterns, such as foamy, mucinous, inverted, signet ring-like, and small-cell, may also be observed in HGPIN.7,12 However, the cribriform pattern is not recognized in HGPIN, as it may be associated with intraductal carcinoma (IDC).13,14 It is now referred to as atypical intraductal proliferation (AIP), which encompasses a spectrum of intraductal proliferations that are architecturally more complex than HGPIN but fall short of IDC (Fig. 2).15 Several studies have suggested that AIP shows clinical and molecular features similar to those in IDC.15–17

Atypical intraductal proliferation (AIP) shows atypical loose cribriform glands (a) (×200). On immunostain, AIP is positive for racemase and basal cell markers (CK903 and p63) (b) (×200).
Fig. 2  Atypical intraductal proliferation (AIP) shows atypical loose cribriform glands (a) (×200). On immunostain, AIP is positive for racemase and basal cell markers (CK903 and p63) (b) (×200).

Like the previous 4th edition, the 5th edition does not recognize low-grade PIN, as it is generally difficult to differentiate it from benign prostatic glandular hyperplasia, and the frequency of diagnostic discrepancies among pathologists, including genitourinary (GU) pathology experts, is considerable.4,5 Furthermore, the biological significance of low-grade PIN remains uncertain.

As a precursor lesion, HGPIN does not require treatment. HGPIN is associated with an increased risk for prostate cancer in subsequent biopsies when it is found in a prostate biopsy with no prostate cancer. However, the risk associated with isolated HGPIN in a single biopsy tissue core has recently decreased to about 20% in patients who undergo regular PSA screening, similar to that in patients without HGPIN.18 Patients with HGPIN in multiple biopsy tissue cores still carry a significant risk of prostate cancer (30–40%).19,20 Therefore, it is recommended that the patients with multifocal HGPIN in prostate needle biopsy undergo another biopsy within a year.

Intraductal carcinoma

IDC of the prostate is characterized by an atypical proliferation of epithelial cells in native prostatic ducts or acini, which are originally noncancerous, as they still retain the basal cell layer. In most cases, IDC represents an advanced phase in prostate cancer with a retrograde spread of cancer into benign prostatic ducts or acini. The presence of IDC in the prostate is often associated with high-grade and advanced-stage prostate cancer.14,21,22 However, a small subset of IDC is not associated with invasive prostate cancer and may represent a precursor lesion that exhibits greater architectural and cytological atypia than HGPIN.23,24

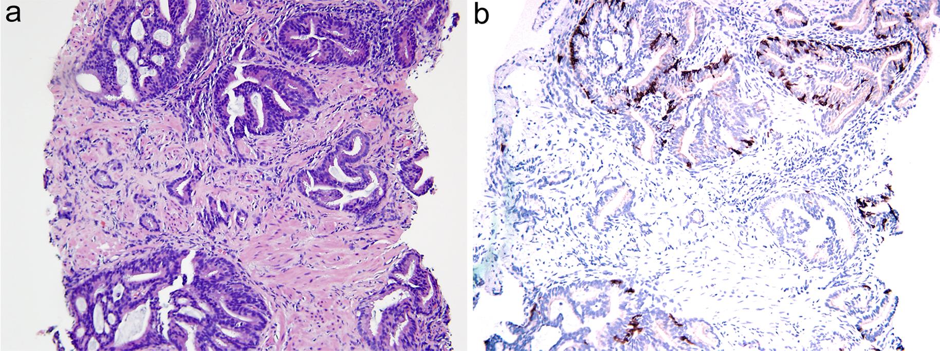
Like the 4th edition, the 5th edition largely adopts the diagnostic criteria of IDC proposed by Guo and Epstein.14 The most common growth pattern in IDC is dense cribriform, in which malignant epithelial cells account for more than 50% of the cribriform area (Fig. 3).14,25 Solid pattern without glandular spaces is also common in IDC. Sometimes, IDC may show loose cribriform or micropapillary patterns, often accompanied by comedonecrosis and marked cytological atypia. The marked cytological atypia was initially defined as enlarged nuclei that were more than six times larger than normal epithelial nuclei,14 but this criterion may be too strict.26 In the 5th edition, the nuclear size is not specified, but the variation in nuclear size and shape in IDC are more pronounced than in HGPIN.

Intraductal carcinoma (IDC) shows atypical dense cribriform glands (a) (×100), which are positive for racemase and basal cell markers (CK903 and p63) (b) (×100). IDC exhibits a solid growth pattern (c) (×200) and is positive for racemase and p63 (d) (×200).
Fig. 3  Intraductal carcinoma (IDC) shows atypical dense cribriform glands (a) (×100), which are positive for racemase and basal cell markers (CK903 and p63) (b) (×100). IDC exhibits a solid growth pattern (c) (×200) and is positive for racemase and p63 (d) (×200).

IDC should be reported in prostate biopsy and radical prostatectomy specimens, as it is an independent predictor of high-grade and advanced-stage prostate cancer.13,27 In patients treated with radical prostatectomy, IDC is at significant risk for biochemical recurrence, decreased progression-free survival, and cancer-specific mortality.28,29 There is consensus that IDC should not be graded when it is an isolated finding without concomitant invasive cancer in prostate biopsy.13,27 However, whether IDC should be included in the Gleason score remains controversial when it coexists with invasive prostate cancer (Fig. 4).30 The Genitourinary Pathology Society (GUPS) recommends that IDC should not be included in the Gleason score, as a small subset of IDC may represent an in situ lesion.13 The International Society of Urological Pathology (ISUP) suggests that IDC may be included in the Gleason score, as the incidence of IDC as an in situ lesion is so rare that its impact is insignificant.27 The 5th edition does not endorse either recommendation because of insufficient data. Either GUPS or ISUP recommendation may be used, but pathologists should specify which version of the recommendation is used in pathology reports and publications, as it may facilitate meaningful comparison and analysis in different cohorts of patients.

IDC coexists with acinar adenocarcinoma (a) (×100). On immunostain, IDC is positive for racemase and CK903 and p63, while acinar carcinoma is positive for racemase and negative for CK903 and p63 (b) (×100). Per the GUPS guidelines, the Gleason score is graded as 6 (3 + 3) with IDC, as IDC is not included in the Gleason score. Per the ISUP guidelines, the Gleason score is graded as 7 (4 + 3) with IDC, as IDC is included in the Gleason score.
Fig. 4  IDC coexists with acinar adenocarcinoma (a) (×100). On immunostain, IDC is positive for racemase and CK903 and p63, while acinar carcinoma is positive for racemase and negative for CK903 and p63 (b) (×100). Per the GUPS guidelines, the Gleason score is graded as 6 (3 + 3) with IDC, as IDC is not included in the Gleason score. Per the ISUP guidelines, the Gleason score is graded as 7 (4 + 3) with IDC, as IDC is included in the Gleason score.

It is important to differentiate IDC from HGPIN, as their clinical implications are significantly different. In general, HGPIN does not show cribriform or solid growth patterns, and cytological atypia is less pronounced than that in IDC. When the atypical glands demonstrate architectural disorder and cytological atypia that exceeds HGPIN but do not meet the criteria for IDC, the preferred term in the 5th edition is “atypical intraductal proliferation,” although other terms, such as “atypical cribriform lesion,” “atypical intraductal cribriform proliferation,” and “low-grade ductal carcinoma,” have also been used in literature.15,17,31 Most (more than 90%) of AIP cases demonstrate loose cribriform architectures. When diagnosed on needle biopsy, AIP is considered a high risk of unsampled IDC and is associated with a significantly increased frequency (50%) of IDC on repeat biopsy.15 Therefore, it is recommended that patients with only AIP but no invasive prostate cancer may undergo immediate rebiopsy.15,17,31

IHC is often employed to demonstrate the presence of basal cells in IDC, as it may be difficult to recognize basal cells on routine hematoxylin and eosin staining. Basal cell markers, such as p63 and high molecular weight cytokeratin CK903, are recommended for prostate biopsies displaying cribriform glands without concomitant invasive prostate cancer.13 When cribriform glands are present in prostate biopsies with Gleason score 6 cancer, IHC may also be considered to differentiate IDC from Gleason pattern 4 cancer. However, it is not necessary to perform basal cell IHC on biopsies to identify IDC if the IHC results do not change the overall Gleason score. Germline BRCA2 testing has been recommended by the National Comprehensive Cancer Network, but it has not been endorsed in the 5th edition.32,33 Additionally, urothelial carcinoma may show retrograde spread in the prostate, mimicking solid pattern IDC. IHC of prostatic markers (such as NKX3.1, PSA, PSAP, PSMA, and prostein) and urothelial markers (such as GATA3, p63, high molecular weight cytokeratin, and uroplakin II) can aid the differential diagnosis.14

Ductal adenocarcinoma

Ductal adenocarcinoma is a distinct subtype of prostatic adenocarcinoma characterized by large glands lined by tall pseudostratified columnar cells. It was originally thought to be derived from Mullerian duct remnants.34 However, it is now believed to develop from the prostatic glandular cells, like acinar adenocarcinoma, as they share similar IHC and molecular profiles.35,36 It has been proposed that ductal adenocarcinoma may represent a subtype of acinar adenocarcinoma.4 As insufficient data supports this view, ductal adenocarcinoma is still maintained as a separate type from acinar adenocarcinoma in the 5th edition.

Although most ductal adenocarcinomas are found in the peripheral zone, a small subset arises from the transition zone around the prostatic urethra, causing urinary obstruction and hematuria.37 The level of PSA is elevated in ductal adenocarcinoma, but it is often lower than that in acinar adenocarcinoma. Ductal adenocarcinoma frequently metastasizes to visceral organs, such as the lungs and liver. Sometimes it metastasizes to the brain, skin, penis, and testis.38–40

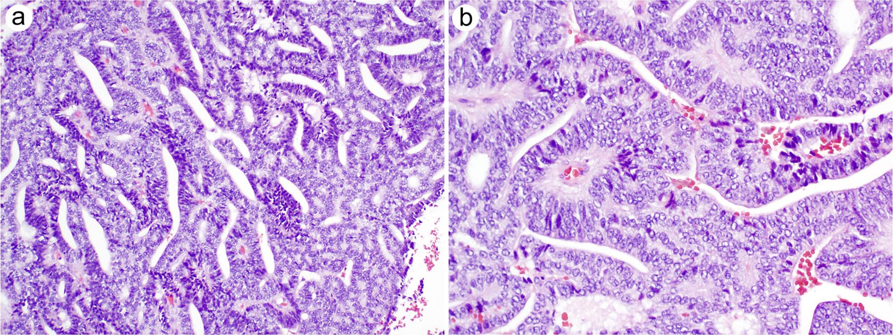
Prostatic ductal adenocarcinoma typically shows papillary and large cribriform growth patterns (Fig. 5). The papillae often have fibrovascular cores, and the cribriform glands have slit-like narrow lumens. The overlying malignant epithelium is often composed of pseudostratified columnar cells with abundant amphophilic or pale eosinophilic cytoplasm. The nucleoli are elongated and enlarged with prominent nucleoli and frequent mitotic figures. Ductal adenocarcinoma is present in 2.6% of prostate cancers and is mixed with acinar adenocarcinoma in most cases.41 The pure form accounts for only 0.2–0.4 % of prostate cancers.42,43 In radical prostatectomies, the term “ductal adenocarcinoma” is reserved arbitrarily for those cancers with >50% ductal morphology. In biopsies, the term “adenocarcinoma with ductal features” is recommended even when it shows a pure ductal pattern. It is recommended that all ductal adenocarcinomas should be assigned Gleason grade 4 except for those with comedonecrosis, which are considered to represent Gleason grade 5.

Ductal carcinoma exhibits cribriform and papillary growth patterns.
Fig. 5  Ductal carcinoma exhibits cribriform and papillary growth patterns.

The cribriform pattern shows small, narrow, slit-like spaces (a) (×200), while the papillary pattern is characterized by the fibrovascular cores lined by columnar cells (b) (×200).

Ductal adenocarcinoma should be differentiated from IDC and HGPIN. There is a significant morphological overlap between ductal adenocarcinoma and IDC. Nonetheless, ductal adenocarcinoma typically comprises tall pseudostratified columnar cells, which form cribriform glands with slit-like narrow spaces and/or papillary structures with true fibrovascular cores. In contrast, IDC comprises cuboidal cells, which form cribriform glands with round lumens and/or papillary structures without fibrovascular cores. In addition, basal cells are generally absent in ductal adenocarcinoma, while they are retained in IDC.14,35 Unlike ductal adenocarcinoma, HGPIN lacks cribriform architectures and retains the basal cell layer.

PIN-like adenocarcinoma was previously considered a subtype of ductal adenocarcinoma in the 4th edition,5 but it is now considered a subtype of acinar adenocarcinoma in the 5th edition.4 It is characterized by large, discrete glands with a flat or tufted architecture lined by pseudostratified columnar cells with elongated hyperchromatic nuclei, mimicking high-grade PIN.44,45 Unlike HGPIN, PIN-like carcinoma glands are more crowded and show the absence of basal cells on IHC. While ductal adenocarcinoma is characterized by true papillary and cribriform architectures, PIN-like carcinoma shows only flat and tufted growth patterns. It has a generally favorable prognosis and is assigned a Gleason score of 3 + 3 = 6.44,45

Ductal adenocarcinoma is an aggressive subtype of prostate cancer. The presence of ductal adenocarcinoma is a significant risk for biochemical failure and metastatic disease after definitive treatment, such as radical prostatectomy and radiotherapy.37,46 Ductal adenocarcinoma appears less responsive to androgen deprivation therapy than acinar adenocarcinoma.46 Patients with ductal adenocarcinoma treated by radical prostatectomy have a shorter disease-free survival time than those with acinar adenocarcinoma matched for a grade, stage, and nodal status.46

Prostatic acinar adenocarcinoma

Most prostate cancers are acinar adenocarcinomas, which account for approximately 95% of all cancers in the prostate.4 Prostate cancer is usually diagnosed by transrectal ultrasound (TRUS)-guided core needle biopsies. Typically, 10–14 tissue cores are obtained from different areas of the prostate, mostly corresponding to the peripheral zone.47 Recently, multiparametric (mp) MRI has been used to guide the biopsies to specific lesions in the prostate.48 This noninvasive technique shows a high sensitivity for clinically significant cancer with a Gleason score above 6.49 Combining the two synergistic imaging techniques (i.e., mpMRI and real-time TRUS) may significantly improve the accuracy of targeting suspicious lesions in the prostate.

Prostatic acinar adenocarcinoma demonstrates a wide spectrum of morphology.13,27,50 The major microscopic diagnostic criteria for prostate cancer include an infiltrative growth pattern, nuclear atypia, and loss of the basal cell layer. Minor criteria include prominent nucleoli, small round rigid lumens, intraluminal amorphous eosinophilic materials or crystalloids, blue-tinged mucinous secretions, and amphophilic cytoplasm. Only a few features are pathognomonic of prostate cancer, including perineural invasion, glomerulation, and mucinous fibroplasia (or collagenous micronodules). Sometimes, prostatic acinar adenocarcinoma shows unusual growth patterns, such as atrophic, foamy gland, microcystic, and peudohyperplastic, which mimic benign conditions and pose challenges to the diagnosis. Several histologic subtypes, including signet-ring-cell-like, sarcomatoid, and pleomorphic, are associated with highly aggressive clinical behavior.51 Overall, the diagnosis of prostate cancer is based on a constellation of histologic features rather than relying on any single criterion alone.

The Gleason grading system is the cornerstone in the pathological evaluation of prostate cancer, which is largely based on architectural patterns and does not factor nuclear and cytological features into the grade. Since it was proposed in the 1960s, the Gleason grading system has undergone several modifications.13,27,52–54 In biopsy specimens, the Gleason score is calculated by adding the primary grade to the highest grade, while the score in prostatectomy specimens is the sum of the primary grade and the second most prevalent grade. Currently, patterns 1 and 2 are no longer assigned to needle biopsy specimens and are rarely used in prostatectomy specimens. The percentage of pattern 4 should be reported in prostate biopsies containing Gleason score 7 tumors. Cribriform pattern and IDC should also be documented in prostate biopsies, as these features have prognostic significance.

A subset of prostatectomy specimens may show three different grading patterns, with the highest grade (pattern 5) being the least component. In these cases, pattern 5 is considered a tertiary pattern if it accounts for less than 5% of the tumor. Otherwise, pattern 5 will become the secondary pattern in the Gleason score. However, it remains controversial whether a tertiary Gleason pattern is recognized in radical prostatectomy specimens with Gleason scores of 3 + 3 = 6 and 4 + 4 = 8.13,27

An intuitive grade group (GG) system based on the Gleason grading system was initially proposed by the Johns Hopkins group and subsequently verified on a meta-analysis of more than 20,000 patients in a multi-intuitional study.55,56 This grade group has been adopted in the 4th WHO edition and referred to as “WHO grade.” The WHO GG closely correlates to the Gleason score and provides an advantage in communication with patients and clinicians, as it is a simpler categorization of prostate cancer. It is recommended in the 5th edition that this GG should be reported in conjunction with the Gleason score.

Recent genomic studies have revealed complex molecular alterations involved in the development of prostate cancer.57–59 Genetic and epigenetic alterations, such as activation of MYC, shortening of telomeres, inactivation of GSTP1 by hypermethylation, and TMPRSS2-ERG gene fusion, are likely involved in the initial development of prostate cancer. Loss of PTEN, inactivation of TP53, gain of 8q24, and other mutations are associated with cancer progression. AR dysfunctions, such as AR gene amplification, mutation, rearrangement, and splice variants, lead to the failure of response to androgen deprivation treatment or castration resistance in prostate cancer.60,61 Hereditary tumor syndromes, particularly homologous recombination repair defects and Lynch syndrome, are also implicated in the development of prostate cancer. Germline and somatic mutations in DNA repair genes, such as BRCA1, BRCA 2, MSH2, ATM, and others, are present in up to 20% of aggressive prostatic carcinomas.62,63 Patients with prostate cancer harboring homologous recombination repair (HRR) defects may respond favorably to the inhibition of poly (ADP-ribose) polymerase (PARP),64 whereas patients with DNA mismatch repair (dMMR)-deficient cancers are likely to benefit from immune checkpoint inhibitors.65 Prostate cancer with distinct morphological features, such as IDC and cribriform histology, is more likely to harbor genetic defects of DNA repair genes.66 It has been recommended that patients with aggressive prostate cancer may undergo germline and somatic testing for HRR mutations anddMMR deficiency to determine the eligibility for PARP inhibitor therapy or immune checkpoint blockade therapy.32

Neuroendocrine tumors

Neuroendocrine (NE) tumors were previously discussed in separate GU organs in the 3rd and 4th editions,5,6 but they are now consolidated into one chapter in the 5th edition, except for treatment-related neuroendocrine carcinoma.4 The change is to be in alignment with the structure of the 5th edition WHO series.

In prostate cancer, NE differentiation is commonly defined as the expression of NE markers, such as synaptophysin, chromogranin, CD56, TTF1, NSE, and INSM1, by IHC. Almost all prostate cancers have scattered NE cells if studied extensively with multiple NE antibodies. However, the routine use of IHC for NE markers is not recommended for prostate cancer, as the clinical significance of focal NE neuroendocrine differentiation in otherwise conventional acinar adenocarcinoma remains uncertain. Prostate cancer may show Paneth cell-like NE differentiation characterized by coarse eosinophilic cytoplasmic granules. When present in cords or single cells, they may mimic Gleason pattern 5, but studies have shown that this morphology does not behave like high-grade prostate cancer. Therefore, excluding the non-gland-forming Paneth cell-like cells in the Gleason score is recommended.67,68

Well-differentiated neuroendocrine tumor (NET) (or carcinoid tumor) is extremely rare in the prostate.69,70 It can only be diagnosed when it is not closely associated with conventional prostatic adenocarcinoma. The tumor typically shows bland, monotonous cells with mild nuclear atypia and speckled chromatin, which may form nests, acini, cords, or trabeculae. Mitoses are rare, and the Ki-67 labeling index is low. The tumor cells are immunoreactive for NE markers and negative for prostatic markers. Although it may present as a locally advanced disease, even with reginal lymph node metastasis, prostatic well-differentiated NET has a favorable prognosis.

High-grade neuroendocrine carcinoma (NEC) is divided into small-cell and large-cell NECs based on nuclear size. An arbitrary cutoff of three lymphocyte diameters has been proposed in the 5th edition.4 In the prostate, small-cell NEC (SCNEC) is far more common than large-cell NEC.69 Like its lung counterpart, prostatic SCNEC may show solid, acinar, and trabecular growth patterns.71 The tumor cells have a high nuclear/cytoplasmic ratio with “salt-and-pepper” chromatin, inconspicuous nucleoli, and scant cytoplasm. Nuclear molding may be present and geographic necrosis is common. Mitotic and apoptotic activities are high in SCNEC. A considerable subset (40–50%) of SCNECs are admixed with prostatic adenocarcinoma. Molecular studies indicate that SCNEC represents a progression of conventional prostatic adenocarcinoma with clonal expansion from its precursor lesion. Although a Gleason score is generally not assigned to SCNEC, it may be assigned to the adenocarcinoma component in mixed SCNECs. SCNEC is usually positive for various NE markers. While INSM1 shows a superior sensitivity for NE differentiation, CD56 is less specific for NE differentiation.72 However, the expression of NE markers by IHC is not required if the tumor shows characteristic morphologic features of SCNEC. Expressions of RB1, TP53, PTEN, and AR genes are often lost in SCNEC. Interestingly, the TMPRSS-ERG gene fusion can be detected in prostatic SCNEC by FISH or RT-PCR method, which may aid in determining the prostatic origin of SCNEC.73 SCNEC is highly aggressive, and most patients develop metastatic disease with a dismal prognosis. Patients usually respond poorly to androgen deprivation treatment, but some may benefit from platinum-based chemotherapy regimens.74

Large-cell NEC (LCNEC) is extremely rare in the prostate. LCNEC may show nested, acinar, and trabecular growth patterns.75 The tumor cells have high-grade large nuclei with prominent nucleoli. Necrosis and apoptosis are common. The mitotic activity is high, and the Ki-67 labeling index may be as high as 90%. The tumor is often diffusely positive for NE markers, such as synaptophysin, chromogranin, TTF1, INSM1, and CD56, but it is negative for prostatic markers, such as PSA, PSAP, and AR. Pure LCNEC is extremely rare. Most LCNECs are admixed with SCNEC or acinar adenocarcinoma in the prostate. LCNEC is a highly aggressive disease with rapid dissemination. Patients have a poor prognosis with a median survival time of less than one year.75

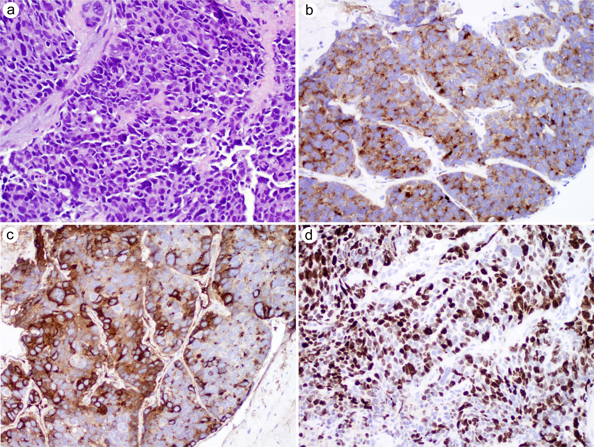
Treatment-related neuroendocrine prostatic carcinoma (t-NEPC) is a new entity in the 5th edition. It is designated as prostate cancer that exhibits complete or partial NE differentiation after androgen deprivation treatment. Studies have reported that t-NEPC is present in 10–15% of castration-resistant prostate cancers.76,77 It is likely to be derived from transdifferentiation of castration-resistant prostate cancer via lineage plasticity characterized by AR indifference and activation of neural-like markers.78 Genetic alterations, particularly mutations of the TP53, RB1, and PTEN genes, are likely to contribute to the transdifferentiation of castration-resistant prostate cancer to t-NEPC.76,78 Patients with t-NEPC show clinical features similar to those with SCNEC. Morphologically, T-NEPC exhibits a spectrum of histological features, including pure SCNEC, mixed tumors with SCNEC and adenocarcinoma, and poorly differentiated adenocarcinoma (Fig. 6).77,79 The IHC staining patterns of t-NEPC are similar to those of prostatic SCNEC. Patients with t-NEPC have a dismal prognosis with a median survival time of only seven months.76,79 Pure SCNEC is associated with a significantly worse outcome than those with mixed histology.80

Treatment-related neuroendocrine prostatic carcinoma.
Fig. 6  Treatment-related neuroendocrine prostatic carcinoma.

It shows mixed features of small-cell carcinoma and poorly differentiated acinar adenocarcinoma (a) (×200). It is positive for synaptophysin (b) (×200) and chromogranin (c) (×200). It shows high mitotic activity with the K-67 labeling index >50% (d) (×200).

Summary

Prostate cancer is a heterogeneous disease demonstrating a wide spectrum of pathological, clinical, and molecular variations. The 5th edition of the WHO Classification of Urinary and Male Genital Tumors makes important revisions in the diagnosis and classification of prostate cancer by incorporating new data. The cribriform pattern is not recognized as HGPIN and is now considered AIP, which is suspicious but falls short of IDC. The grading of IDC remains controversial, particularly when it is accompanied by invasive prostate cancer. PIN-like prostatic adenocarcinoma is now considered a subtype of acinar adenocarcinoma rather than ductal adenocarcinoma. Although t-NEPC shows a clinical behavior similar to SCNEC, it exhibits diverse histologic features ranging from high-grade adenocarcinoma to SCNEC. Recent molecular studies have revealed that genetic and epigenetic alterations in prostate cancer may contribute to its diverse clinicopathologic features. Although the application of molecular profiling has substantially impacted prostate cancer, morphology remains the foundation for diagnosing and classifying prostate cancer. The 5th edition provides a comprehensive approach with a combination of morphologic, immunohistochemical, genomic, and clinical data that may represent an optimal taxonomic paradigm of prostate cancer and improve the diagnosis and treatment of this complex disease.

Abbreviations

AIP: 

atypical intraductal proliferation

dMMR: 

DNA mismatch repair

GG: 

grade group

GU: 

genitourinary

GUPS: 

genitourinary pathology society

HGPIN: 

high-grade prostatic intraepithelial neoplasia

HRR: 

homologous recombination repair

IDC: 

intraductal carcinoma

IHC: 

immunohistochemistry

ISUP: 

international society of urological pathology

LCNEC: 

large-cell neuroendocrine carcinoma

NE: 

neuroendocrine

NEC: 

neuroendocrine carcinoma

NET: 

neuroendocrine tumor

PARP: 

poly ADP-ribose polymerase

PIN: 

prostatic intraepithelial neoplasia

SCNEC: 

small-cell neuroendocrine carcinoma

t-NEPC: 

treatment-related neuroendocrine prostatic carcinoma

TRUS: 

transrectal ultrasound

WHO: 

world health organization.

Declarations

Acknowledgement

None.

Funding

The study was supported by the NIH/NCI under award number P30CA016672.

Conflict of interest

Guo CC has been an associate editor of the Journal of Clinical and Translational Pathology since January 2021. The authors have disclosed that they have no significant relationships with, or financial interest in, any commercial companies pertaining to this article.

Authors’ contributions

CCG was involved in study design, interpretation of data, manuscript writing, and critical revision. BC was involved in manuscript writing and critical revision. All authors have made a significant contribution to this study and have approved the final manuscript.

References

  1. Sung H, Ferlay J, Siegel RL, Laversanne M, Soerjomataram I, Jemal A, et al. Global Cancer Statistics 2020: GLOBOCAN Estimates of Incidence and Mortality Worldwide for 36 Cancers in 185 Countries. CA Cancer J Clin 2021;71(3):209-249 View Article PubMed/NCBI
  2. Siegel RL, Miller KD, Fuchs HE, Jemal A. Cancer statistics, 2022. CA Cancer J Clin 2022;72(1):7-33 View Article PubMed/NCBI
  3. Zlotta AR, Egawa S, Pushkar D, Govorov A, Kimura T, Kido M, et al. Prevalence of prostate cancer on autopsy: cross-sectional study on unscreened Caucasian and Asian men. J Natl Cancer Inst 2013;105(14):1050-1058 View Article PubMed/NCBI
  4. Board WCoTE. Urinary and Male Genital Tumours, 5 ed. Lyon (France): International Agency for Research on Cancer; 2022
  5. Moch H, Ulbright TM, Retuer VE. WHO Classification of Tumours of the Urinary System and Male Genital Organs, 4 ed. Lyon, France: IARC Press; 2016
  6. Eble J SG, Epstein J, Sesterhenn I. Pathology and genetics of tumours of the urinary system and male genital organs, 3 ed. Lyon, France: IARC Press; 2004
  7. Bostwick DG, Cheng L. Precursors of prostate cancer. Histopathology 2012;60(1):4-27 View Article PubMed/NCBI
  8. Meeker AK, Hicks JL, Platz EA, March GE, Bennett CJ, Delannoy MJ, et al. Telomere shortening is an early somatic DNA alteration in human prostate tumorigenesis. Cancer Res 2002;62(22):6405-6409 PubMed/NCBI
  9. Qian J, Jenkins RB, Bostwick DG. Detection of chromosomal anomalies and c-myc gene amplification in the cribriform pattern of prostatic intraepithelial neoplasia and carcinoma by fluorescence in situ hybridization. Mod Pathol 1997;10(11):1113-1119 PubMed/NCBI
  10. Mosquera JM, Perner S, Genega EM, Sanda M, Hofer MD, Mertz KD, et al. Characterization of TMPRSS2-ERG fusion high-grade prostatic intraepithelial neoplasia and potential clinical implications. Clin Cancer Res 2008;14(11):3380-3385 View Article PubMed/NCBI
  11. Yoshimoto M, Cutz JC, Nuin PA, Joshua AM, Bayani J, Evans AJ, et al. Interphase FISH analysis of PTEN in histologic sections shows genomic deletions in 68% of primary prostate cancer and 23% of high-grade prostatic intra-epithelial neoplasias. Cancer Genet Cytogenet 2006;169(2):128-137 View Article PubMed/NCBI
  12. Merrimen JL, Evans AJ, Srigley JR. Preneoplasia in the prostate gland with emphasis on high grade prostatic intraepithelial neoplasia. Pathology 2013;45(3):251-263 View Article PubMed/NCBI
  13. Epstein JI, Amin MB, Fine SW, Algaba F, Aron M, Baydar DE, et al. The 2019 Genitourinary Pathology Society (GUPS) White Paper on Contemporary Grading of Prostate Cancer. Arch Pathol Lab Med 2021;145(4):461-493 View Article PubMed/NCBI
  14. Guo CC, Epstein JI. Intraductal carcinoma of the prostate on needle biopsy: Histologic features and clinical significance. Mod Pathol 2006;19(12):1528-1535 View Article PubMed/NCBI
  15. Shah RB, Nguyen JK, Przybycin CG, Reynolds JP, Cox R, Myles J, et al. Atypical intraductal proliferation detected in prostate needle biopsy is a marker of unsampled intraductal carcinoma and other adverse pathological features: a prospective clinicopathological study of 62 cases with emphasis on pathological outcomes. Histopathology 2019;75(3):346-353 View Article PubMed/NCBI
  16. Hickman RA, Yu H, Li J, Kong M, Shah RB, Zhou M, et al. Atypical Intraductal Cribriform Proliferations of the Prostate Exhibit Similar Molecular and Clinicopathologic Characteristics as Intraductal Carcinoma of the Prostate. Am J Surg Pathol 2017;41(4):550-556 View Article PubMed/NCBI
  17. Shah RB, Magi-Galluzzi C, Han B, Zhou M. Atypical cribriform lesions of the prostate: relationship to prostatic carcinoma and implication for diagnosis in prostate biopsies. Am J Surg Pathol 2010;34(4):470-477 View Article PubMed/NCBI
  18. Epstein JI, Herawi M. Prostate needle biopsies containing prostatic intraepithelial neoplasia or atypical foci suspicious for carcinoma: implications for patient care. J Urol 2006;175(3 Pt ;1):820-834 View Article PubMed/NCBI
  19. Netto GJ, Epstein JI. Widespread high-grade prostatic intraepithelial neoplasia on prostatic needle biopsy: a significant likelihood of subsequently diagnosed adenocarcinoma. Am J Surg Pathol 2006;30(9):1184-1188 View Article PubMed/NCBI
  20. Merrimen JL, Jones G, Walker D, Leung CS, Kapusta LR, Srigley JR. Multifocal high grade prostatic intraepithelial neoplasia is a significant risk factor for prostatic adenocarcinoma. J Urol 2009;182(2):485-490 View Article PubMed/NCBI
  21. McNeal JE, Yemoto CE. Spread of adenocarcinoma within prostatic ducts and acini. Morphologic and clinical correlations. Am J Surg Pathol 1996;20(7):802-814 View Article PubMed/NCBI
  22. Cohen RJ, Chan WC, Edgar SG, Robinson E, Dodd N, Hoscek S, et al. Prediction of pathological stage and clinical outcome in prostate cancer: an improved pre-operative model incorporating biopsy-determined intraductal carcinoma. Br J Urol 1998;81(3):413-418 View Article PubMed/NCBI
  23. Miyai K, Divatia MK, Shen SS, Miles BJ, Ayala AG, Ro JY. Heterogeneous clinicopathological features of intraductal carcinoma of the prostate: a comparison between “precursor-like” and “regular type” lesions. Int J Clin Exp Pathol 2014;7(5):2518-2526 PubMed/NCBI
  24. Robinson BD, Epstein JI. Intraductal carcinoma of the prostate without invasive carcinoma on needle biopsy: emphasis on radical prostatectomy findings. J Urol 2010;184(4):1328-1333 View Article PubMed/NCBI
  25. Cohen RJ, Wheeler TM, Bonkhoff H, Rubin MA. A proposal on the identification, histologic reporting, and implications of intraductal prostatic carcinoma. Arch Pathol Lab Med 2007;131(7):1103-1109 View Article PubMed/NCBI
  26. Varma M, Delahunt B, Egevad L, Samaratunga H, Kristiansen G. Intraductal carcinoma of the prostate: a critical re-appraisal. Virchows Arch 2019;474(5):525-534 View Article PubMed/NCBI
  27. van Leenders G, van der Kwast TH, Grignon DJ, Evans AJ, Kristiansen G, Kweldam CF, et al. The 2019 International Society of Urological Pathology (ISUP) Consensus Conference on Grading of Prostatic Carcinoma. Am J Surg Pathol 2020;44(8):e87-e99 View Article PubMed/NCBI
  28. Dinerman BF, Khani F, Golan R, Bernstein AN, Cosiano MF, Margolis DJ, et al. Population-based study of the incidence and survival for intraductal carcinoma of the prostate. Urol Oncol 2017;35(12):673.e679-673.e614 View Article PubMed/NCBI
  29. Kimura K, Tsuzuki T, Kato M, Saito AM, Sassa N, Ishida R, et al. Prognostic value of intraductal carcinoma of the prostate in radical prostatectomy specimens. Prostate 2014;74(6):680-687 View Article PubMed/NCBI
  30. Varma M, Epstein JI. Head to head: should the intraductal component of invasive prostate cancer be graded?. Histopathology 2021;78(2):231-239 View Article PubMed/NCBI
  31. Zhou M. Intraductal carcinoma of the prostate: the whole story. Pathology 2013;45(6):533-539 View Article PubMed/NCBI
  32. Giri VN, Knudsen KE, Kelly WK, Cheng HH, Cooney KA, Cookson MS, et al. Implementation of Germline Testing for Prostate Cancer: Philadelphia Prostate Cancer Consensus Conference 2019. J Clin Oncol 2020;38(24):2798-2811 View Article PubMed/NCBI
  33. Lozano R, Salles DC, Sandhu S, Aragón IM, Thorne H, López-Campos F, et al. Association between BRCA2 alterations and intraductal and cribriform histologies in prostate cancer. Eur J Cancer 2021;147:74-83 View Article PubMed/NCBI
  34. Seipel AH, Delahunt B, Samaratunga H, Egevad L. Ductal adenocarcinoma of the prostate: histogenesis, biology and clinicopathological features. Pathology 2016;48(5):398-405 View Article PubMed/NCBI
  35. Seipel AH, Samaratunga H, Delahunt B, Wiklund P, Clements M, Egevad L. Immunohistochemistry of ductal adenocarcinoma of the prostate and adenocarcinomas of non-prostatic origin: a comparative study. Apmis 2016;124(4):263-270 View Article PubMed/NCBI
  36. Seipel AH, Whitington T, Delahunt B, Samaratunga H, Mayrhofer M, Wiklund P, et al. Genetic profile of ductal adenocarcinoma of the prostate. Hum Pathol 2017;69:1-7 View Article PubMed/NCBI
  37. Brinker DA, Potter SR, Epstein JI. Ductal adenocarcinoma of the prostate diagnosed on needle biopsy: correlation with clinical and radical prostatectomy findings and progression. Am J Surg Pathol 1999;23(12):1471-1479 View Article PubMed/NCBI
  38. Ellis CL, Epstein JI. Metastatic prostate adenocarcinoma to the penis: a series of 29 cases with predilection for ductal adenocarcinoma. Am J Surg Pathol 2015;39(1):67-74 View Article PubMed/NCBI
  39. Tu SM, Reyes A, Maa A, Bhowmick D, Pisters LL, Pettaway CA, et al. Prostate carcinoma with testicular or penile metastases. Clinical, pathologic, and immunohistochemical features. Cancer 2002;94(10):2610-2617 View Article PubMed/NCBI
  40. Copeland JN, Amin MB, Humphrey PA, Tamboli P, Ro JY, Gal AA. The morphologic spectrum of metastatic prostatic adenocarcinoma to the lung: special emphasis on histologic features overlapping with other pulmonary neoplasms. Am J Clin Pathol 2002;117(4):552-557 View Article PubMed/NCBI
  41. Seipel AH, Wiklund F, Wiklund NP, Egevad L. Histopathological features of ductal adenocarcinoma of the prostate in 1,051 radical prostatectomy specimens. Virchows Arch 2013;462(4):429-436 View Article PubMed/NCBI
  42. Epstein JI, Woodruff JM. Adenocarcinoma of the prostate with endometrioid features. A light microscopic and immunohistochemical study of ten cases. Cancer 1986;57(1):111-119 View Article PubMed/NCBI
  43. Bostwick DG, Kindrachuk RW, Rouse RV. Prostatic adenocarcinoma with endometrioid features. Clinical, pathologic, and ultrastructural findings. Am J Surg Pathol 1985;9(8):595-609 View Article PubMed/NCBI
  44. Tavora F, Epstein JI. High-grade prostatic intraepithelial neoplasialike ductal adenocarcinoma of the prostate: a clinicopathologic study of 28 cases. Am J Surg Pathol 2008;32(7):1060-1067 View Article PubMed/NCBI
  45. Hameed O, Humphrey PA. Stratified epithelium in prostatic adenocarcinoma: a mimic of high-grade prostatic intraepithelial neoplasia. Mod Pathol 2006;19(7):899-906 View Article PubMed/NCBI
  46. Ranasinghe W, Shapiro DD, Hwang H, Wang X, Reichard CA, Elsheshtawi M, et al. Ductal Prostate Cancers Demonstrate Poor Outcomes with Conventional Therapies. Eur Urol 2021;79(2):298-306 View Article PubMed/NCBI
  47. Rosoff JS, Prasad SM, Savage SJ. Ultrasonography in prostate cancer: current roles and potential applications in radiorecurrent disease. World J Urol 2013;31(6):1353-1359 View Article PubMed/NCBI
  48. Kasivisvanathan V, Rannikko AS, Borghi M, Panebianco V, Mynderse LA, Vaarala MH, et al. MRI-Targeted or Standard Biopsy for Prostate-Cancer Diagnosis. N Engl J Med 2018;378(19):1767-1777 View Article PubMed/NCBI
  49. van der Leest M, Cornel E, Israël B, Hendriks R, Padhani AR, Hoogenboom M, et al. Head-to-head Comparison of Transrectal Ultrasound-guided Prostate Biopsy Versus Multiparametric Prostate Resonance Imaging with Subsequent Magnetic Resonance-guided Biopsy in Biopsy-naïve Men with Elevated Prostate-specific Antigen: A Large Prospective Multicenter Clinical Study. Eur Urol 2019;75(4):570-578 View Article PubMed/NCBI
  50. Magi-Galluzzi C. Prostate cancer: diagnostic criteria and role of immunohistochemistry. Mod Pathol 2018;31(S1):S12-21 View Article PubMed/NCBI
  51. Humphrey PA. Variants of acinar adenocarcinoma of the prostate mimicking benign conditions. Modern Pathology 2018;31(1):64-70 View Article PubMed/NCBI
  52. Epstein JI, Allsbrook WC, Amin MB, Egevad LL. The 2005 International Society of Urological Pathology (ISUP) Consensus Conference on Gleason Grading of Prostatic Carcinoma. Am J Surg Pathol 2005;29(9):1228-1242 View Article PubMed/NCBI
  53. Epstein JI, Egevad L, Amin MB, Delahunt B, Srigley JR, Humphrey PA. The 2014 International Society of Urological Pathology (ISUP) Consensus Conference on Gleason Grading of Prostatic Carcinoma: Definition of Grading Patterns and Proposal for a New Grading System. Am J Surg Pathol 2016;40(2):244-252 View Article PubMed/NCBI
  54. Gleason DF. Classification of prostatic carcinomas. Cancer Chemother Rep 1966;50(3):125-128 PubMed/NCBI
  55. Pierorazio PM, Walsh PC, Partin AW, Epstein JI. Prognostic Gleason grade grouping: data based on the modified Gleason scoring system. BJU Int 2013;111(5):753-760 View Article PubMed/NCBI
  56. Epstein JI, Zelefsky MJ, Sjoberg DD, Nelson JB, Egevad L, Magi-Galluzzi C, et al. A Contemporary Prostate Cancer Grading System: A Validated Alternative to the Gleason Score. Eur Urol 2016;69(3):428-435 View Article PubMed/NCBI
  57. The Molecular Taxonomy of Primary Prostate Cancer. Cell 2015;163(4):1011-1025 View Article PubMed/NCBI
  58. Robinson D, Van Allen EM, Wu YM, Schultz N, Lonigro RJ, Mosquera JM, et al. Integrative Clinical Genomics of Advanced Prostate Cancer. Cell 2015;162(2):454 View Article PubMed/NCBI
  59. Wang G, Zhao D, Spring DJ, DePinho RA. Genetics and biology of prostate cancer. Genes Dev 2018;32(17-18):1105-1140 View Article PubMed/NCBI
  60. Li Y, Yang R, Henzler CM, Ho Y, Passow C, Auch B, et al. Diverse AR Gene Rearrangements Mediate Resistance to Androgen Receptor Inhibitors in Metastatic Prostate Cancer. Clin Cancer Res 2020;26(8):1965-1976 View Article PubMed/NCBI
  61. Antonarakis ES, Lu C, Wang H, Luber B, Nakazawa M, Roeser JC, et al. AR-V7 and resistance to enzalutamide and abiraterone in prostate cancer. N Engl J Med 2014;371(11):1028-1038 View Article PubMed/NCBI
  62. Mateo J, Boysen G, Barbieri CE, Bryant HE, Castro E, Nelson PS, et al. DNA Repair in Prostate Cancer: Biology and Clinical Implications. Eur Urol 2017;71(3):417-425 View Article PubMed/NCBI
  63. Pritchard CC, Mateo J, Walsh MF, De Sarkar N, Abida W, Beltran H, et al. Inherited DNA-Repair Gene Mutations in Men with Metastatic Prostate Cancer. N Engl J Med 2016;375(5):443-453 View Article PubMed/NCBI
  64. Loehr A, Hussain A, Patnaik A, Bryce AH, Castellano D, Font A, et al. Emergence of BRCA Reversion Mutations in Patients with Metastatic Castration-resistant Prostate Cancer After Treatment with Rucaparib. Eur Urol 2022 View Article PubMed/NCBI
  65. Abida W, Cheng ML, Armenia J, Middha S, Autio KA, Vargas HA, et al. Analysis of the Prevalence of Microsatellite Instability in Prostate Cancer and Response to Immune Checkpoint Blockade. JAMA Oncol 2019;5(4):471-478 View Article PubMed/NCBI
  66. Guedes LB, Antonarakis ES, Schweizer MT, Mirkheshti N, Almutairi F, Park JC, et al. MSH2 Loss in Primary Prostate Cancer. Clin Cancer Res 2017;23(22):6863-6874 View Article PubMed/NCBI
  67. So JS, Gordetsky J, Epstein JI. Variant of prostatic adenocarcinoma with Paneth cell-like neuroendocrine differentiation readily misdiagnosed as Gleason pattern 5. Hum Pathol 2014;45(12):2388-2393 View Article PubMed/NCBI
  68. Tamas EF, Epstein JI. Prognostic significance of paneth cell-like neuroendocrine differentiation in adenocarcinoma of the prostate. Am J Surg Pathol 2006;30(8):980-985 View Article PubMed/NCBI
  69. Fine SW. Neuroendocrine tumors of the prostate. Mod Pathol 2018;31(S1):S122-132 View Article PubMed/NCBI
  70. Freschi M, Colombo R, Naspro R, Rigatti P. Primary and pure neuroendocrine tumor of the prostate. Eur Urol 2004;45(2):166-169 View Article PubMed/NCBI
  71. Wang W, Epstein JI. Small cell carcinoma of the prostate. A morphologic and immunohistochemical study of 95 cases. Am J Surg Pathol 2008;32(1):65-71 View Article PubMed/NCBI
  72. Xin Z, Zhang Y, Jiang Z, Zhao L, Fan L, Wang Y, et al. Insulinoma-associated protein 1 is a novel sensitive and specific marker for small cell carcinoma of the prostate. Hum Pathol 2018;79:151-159 View Article PubMed/NCBI
  73. Guo CC, Dancer JY, Wang Y, Aparicio A, Navone NM, Troncoso P, et al. TMPRSS2-ERG gene fusion in small cell carcinoma of the prostate. Hum Pathol 2011;42(1):11-17 View Article PubMed/NCBI
  74. Aparicio AM, Harzstark AL, Corn PG, Wen S, Araujo JC, Tu SM, et al. Platinum-based chemotherapy for variant castrate-resistant prostate cancer. Clin Cancer Res 2013;19(13):3621-3630 View Article PubMed/NCBI
  75. Evans AJ, Humphrey PA, Belani J, van der Kwast TH, Srigley JR. Large cell neuroendocrine carcinoma of prostate: a clinicopathologic summary of 7 cases of a rare manifestation of advanced prostate cancer. Am J Surg Pathol 2006;30(6):684-693 View Article PubMed/NCBI
  76. Akamatsu S, Inoue T, Ogawa O, Gleave ME. Clinical and molecular features of treatment-related neuroendocrine prostate cancer. Int J Urol 2018;25(4):345-351 View Article PubMed/NCBI
  77. Beltran H, Rickman DS, Park K, Chae SS, Sboner A, MacDonald TY, et al. Molecular characterization of neuroendocrine prostate cancer and identification of new drug targets. Cancer Discov 2011;1(6):487-495 View Article PubMed/NCBI
  78. Park JW, Lee JK, Sheu KM, Wang L, Balanis NG, Nguyen K, et al. Reprogramming normal human epithelial tissues to a common, lethal neuroendocrine cancer lineage. Science 2018;362(6410):91-95 View Article PubMed/NCBI
  79. Mosquera JM, Beltran H, Park K, MacDonald TY, Robinson BD, Tagawa ST, et al. Concurrent AURKA and MYCN gene amplifications are harbingers of lethal treatment-related neuroendocrine prostate cancer. Neoplasia 2013;15(1):1-10 View Article PubMed/NCBI
  80. Conteduca V, Oromendia C, Eng KW, Bareja R, Sigouros M, Molina A, et al. Clinical features of neuroendocrine prostate cancer. Eur J Cancer 2019;121:7-18 View Article PubMed/NCBI

About this Article

Cite this article
Guo CC, Czerniak B. Updates of Prostate Cancer from the 2022 World Health Organization Classification of the Urinary and Male Genital Tumors. J Clin Transl Pathol. 2023;3(1):26-34. doi: 10.14218/JCTP.2022.00029.
Copy        Export to RIS        Export to EndNote
Article History
Received Revised Accepted Published
November 12, 2022 December 14, 2022 December 16, 2022 January 17, 2023
DOI http://dx.doi.org/10.14218/JCTP.2022.00029
  • Journal of Clinical and Translational Pathology
  • pISSN 2993-5202
  • eISSN 2771-165X
Back to Top

Updates of Prostate Cancer from the 2022 World Health Organization Classification of the Urinary and Male Genital Tumors

Charles C. Guo, Bogdan Czerniak
  • Reset Zoom
  • Download TIFF