v
Search
Advanced

Publications > Journals > Journal of Clinical and Translational Pathology> Article Full Text

  • OPEN ACCESS

The International System for Reporting Serous Fluid Cytopathology—An Updated Review

  • Minhua Wang1,*,
  • Ashish Chandra2 and
  • Guoping Cai1
 Author information 

Abstract

The International System (TIS) for reporting serous fluid cytopathology was published in December 2020 as a joint project by the International Academy of Cytology and the American Society of Cytopathology. The purpose was to standardize the diagnostic criteria and nomenclature used in reporting serous fluid samples, thereby improving the reproducibility of reports and improving communication between pathologists and clinicians. TIS defines a five-tier system consisting of nondiagnostic, negative for malignancy, atypia of uncertain significance, suspicious for malignancy and malignant categories. This review provides an updated summary of the reporting system, risk of malignancy, potential diagnostic pitfalls, and a practical diagnostic approach to serous fluid specimens.

Keywords

Serous fluid, International reporting system, Cytopathology, Risk of malignancy

Introduction

Serous effusion is defined as an excessive accumulation of fluid in a body cavity, which includes the pleural, pericardial, and peritoneal spaces.1 Cytological evaluation of serous fluid is useful for detecting underlying etiologies, such as malignancy, and evaluating tumor stage, as well as providing information for treatment customization.2,3 To standardize the diagnostic criteria and nomenclature used in fluid cytology reporting, The International System (TIS) for reporting serous fluid cytopathology was proposed by the International Academy of Cytology and the American Society of Cytopathology.4,5 The purposes of such a standardized reporting system are to improve the reproducibility of cytopathology reports, improve the communication between pathologists and clinicians, and provide guidance for patient management. TIS defines a five-tier category system consisting of nondiagnostic (ND), negative for malignancy (NFM), atypia of uncertain significance (AUS), suspicious for malignancy (SFM), and malignant (MAL) categories. The diagnostic criteria for each category are summarized in Table 1.6

Table 1

Diagnostic categories of TIS for reporting serous effusion cytopathology6

Diagnostic categories and definitions
I. Nondiagnostic (ND)
  Specimens with insufficient cellular elements for a cytologic interpretation
II. Negative for malignancy (NFM)
  Specimens with cellular changes completely lacking evidence of mesothelial or nonmesothelial malignancy
III. Atypia of undetermined significance (AUS)
  Specimens showing limited cellular (nuclear) and/or architectural atypia (e.g., papillary clusters or pseudoglandular formations)
IV. Suspicious for malignancy (SFM)
  Specimens showing features suspicious but not definitively diagnostic for malignancy
V. Malignant (MAL)
  Specimens include those with definitive findings and/or supportive studies indicating mesothelial or nonmesothelial malignancies

ND

Definition

A specimen is considered ND if it provides no diagnostic information in the appropriate clinical context, as in the case of acellular, highly degenerated, or hemorrhagic samples.6 The sample is deemed unsatisfactory for evaluation owing to insufficient cellularity with no cells or rare benign-appearing cells (fewer than 10 cells), such as lymphocytes, macrophages, or red blood cells. This diagnostic category should only be used after an adequate and representative amount of fluid has been processed and examined.6

Adequacy assessment

The adequacy of a specimen depends on several factors, including the volume and cellularity of the sample. Furthermore, degenerated cells, generalized hemolysis, and poorly preserved cells should be considered ND instead of interpreted as AUS. A minimum volume of at least 75–100 mL is recommended for optimal results in detecting malignancy.7 However, smaller volumes should not be rejected as they may contain adequate cellularity and cells of interest. A comment about cellularity should be stated for specimens with low cellularity. Mesothelial cells are not required for specimen adequacy.8 Specimens with no mesothelial cells can still be considered satisfactory for evaluation as long as the specimens are compatible with clinical settings. Situations such as tuberculosis and chylous effusion can result in lymphocyte-only specimens. Likewise, a sample taken from an acute infection with a neutrophil-predominant effusion can be considered adequate even without mesothelial cells. Blood-only specimens are mostly considered ND; however, it can be categorized as NFM in an appropriate clinical setting, such as tamponade, which can contribute to a blood-only pericardial fluid.8 On the other hand, specimens with adequate volume and cellularity can still be considered ND if the specimens demonstrate extensive degenerative changes.

Risk of malignancy (ROM) and clinical management

The reported ROM for this category has varied from 0 to 100%, with a mean ROM of 17 ± 8.9% as reported by a recent meta-analysis.6,9 An effusion with a ND result should be re-aspirated if clinically indicated.10

NFM

Definition

The specimen with a benign diagnosis shows no evidence of malignancy in the appropriate clinical setting.6 A serous effusion specimen obtained from peritoneal, pleural, or pericardial cavities may be considered NFM when the specimen is composed of only benign or reactive cellular components, without MAL tumor cells or cells concerning for malignancy.6

Diagnostic considerations and pitfalls

By definition, these samples are adequate for evaluation although the specimens may be paucicellular. However, the scant material may not be adequately representative of the underlying lesion and therefore could potentially result in a failure to detect an existing malignancy. In our practice, if there is no suspicion for malignancy based on cytomorphologic analysis, we usually do not perform immunohistochemistry. However, if the patients have a history of malignancy or are clinically suspicious for malignancy, we do recommend performing immunohistochemistry with a panel of two epithelial and two mesothelial markers. NFM will be rendered if epithelial markers are negative. If positivity of epithelial markers is detected, additional immunostains are performed to elucidate the origin of the tumor. In cases with low cellularity, an indeterminate diagnosis including AUS or SFM is likely to be reported with a recommendation for repeat sampling for a definite diagnosis.

ROM and clinical management

The recent meta-analysis has reported that the ROM of the NFM category ranges from 0–82% with a mean ROM of 21%.6,9 Overall, serous effusion cytology has excellent diagnostic performance with a sensitivity of 73.1%, specificity of 99.9%, a positive likelihood ratio of 2112.2, and a negative likelihood ratio of 0.27.9 Patients with a NFM diagnosis are generally followed-up clinically.10

AUS

Definition

The AUS diagnostic category is reserved for effusion specimens that lack quantitative or qualitative cytological features to be confidently diagnosed as either benign or MAL and exhibit sufficiently clear morphologic features to exclude the possibility of classifying them as ND.6 Atypical cells may include atypical cells of undetermined origin, atypical mesothelial cells, or atypical lymphoid cells, with cytological features indefinite for a diagnosis of SFM.6

Diagnostic pitfalls

AUS should be a diagnosis of exclusion and its rate kept as low as possible in order to increase clinicians’ confidence in cytologic reports. The atypical cells in this category cannot be confidently ruled out as MAL, but while they show morphological features overlapping with reactive changes, they are more likely to be only reactive changes. One of the common reasons for this uncertainty is that there is not sufficient material for further work-up.11 Another common reason is the focal positivity of epithelial markers in atypical cells.

According to TIS, atypical cells include atypical epithelial cells, atypical mesothelial cells, and atypical lymphoid cells.

ROM and clinical management

The meta-analysis study has reported an estimated ROM of AUS of 66 ± 10.6%.9 The management of AUS interpretation needs clinical correlation. If the patient does not have a history of malignancy or if fluid does not reaccumulate, in most cases follow-up is appropriate. Repeat sampling for further evaluation is recommended if the patients have a history of malignancy or fluid reaccumulates.10

SFM

Definition

The SFM category is defined as one in which the evidence falls short of confirming malignancy based on cytomorphology and results of any ancillary tests performed.6

Diagnostic considerations and pitfalls

Compared with AUS, cases with a SFM diagnosis are more likely to be MAL.12 Abnormal cells in an SFM diagnosis have notable cytological atypia and are morphologically suspicious for malignancy. These cells are classified as SFM rather than MAL for the following reasons: (1) There is no cell block for further work-up; (2) Immunohistochemistry may be noncontributory due to the cells of interest not appearing on the levels used for immunostaining; (3) There is focal positivity of epithelial markers, but the nonspecific staining of the epithelial cells in histiocytes and mesothelial cells cannot be ruled out; or (4) Suspicious cells are sparse and admixed with mesothelial cells and histiocytes, and although these cells might be highlighted by epithelial markers, they are rarely identified in hematoxylin and eosin sections.

ROM and clinical management

The meta-analysis study has reported the ROM of SFM as 82 ± 4.8%.6,9 SFM has a high ROM, which supports more aggressive management for patients diagnosed with SFM. In the appropriate clinical setting, cases with SFM may be managed similarly to MAL cases.12–14

MAL

Definition

Cases categorized as MAL are defined as effusion specimens that present cells showing cytomorphological features, either alone or in combination with ancillary studies, diagnostic of malignancy.6 This category includes primary malignancies and secondary malignancies. Malignant mesothelioma is a primary malignancy originating from mesothelial cells, accounting for 1–6% of malignant effusion cases.15 A majority of malignant effusions are metastatic carcinoma to the pleura, most commonly from the lung and breast. Other secondary malignancies include melanoma, sarcoma, and lymphoma.15,16

Diagnostic considerations and pitfalls

Mesothelial cells vs. metastatic carcinoma

Mesothelial cells, histiocytes, and small lymphocytes are normal elements in fluid specimens (Fig. 1). In daily practice, differentiating reactive mesothelial cells from malignant components is commonly encountered. To distinguish metastatic carcinoma from reactive mesothelial cells, the first step is to assess if there are a second population of cells, i.e. the alien epithelial component, in the effusion specimen. Metastatic carcinoma can form tightly packed clusters with a smooth border or are individually distributed. The challenge is that reactive mesothelial cells with cytologic atypia can form clusters even with a papillary architecture, morphologically mimicking epithelial clusters. Additionally, dispersed individual carcinoma cells may mimic reactive mesothelial cells, subsequently producing a picture of a single population of cells (Fig. 2).

Reactive mesothelial cells, histiocytes, and small lymphocytes.
Fig. 1  Reactive mesothelial cells, histiocytes, and small lymphocytes.

(a) ThinPrep, 600×. (b) Hematoxylin and eosin stain, 400×.

Metastatic lung adenocarcinoma in pleural fluid.
Fig. 2  Metastatic lung adenocarcinoma in pleural fluid.

Tumor cells show individual distribution or form loosely cohesive clusters, mimicking mesothelial cells or histiocytes. (a–b) ThinPrep, 600×. (c) Hematoxylin and eosin stain, 400×. (d–f) Tumor cells are positive for Ber-Ep4 (d) and TTF1 (e) but negative for calretinin (f); all, 200×.

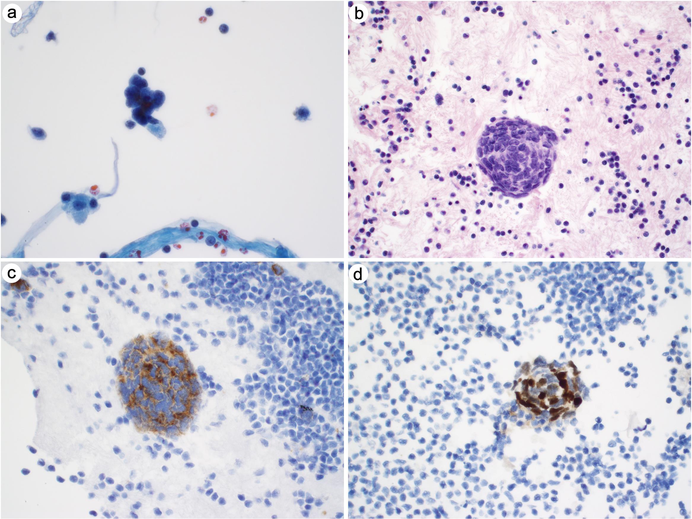
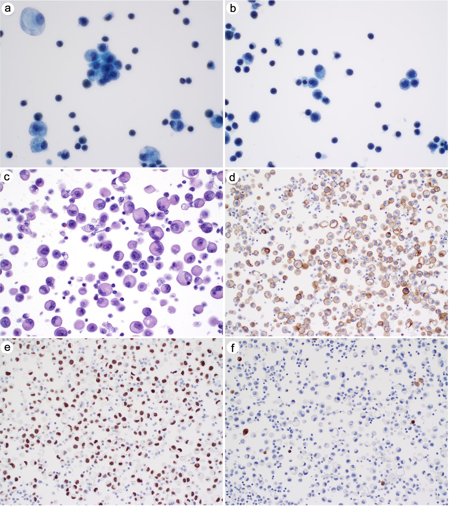
For these reasons, an immunopanel of at least two epithelial markers and two mesothelial markers are recommended to differentiate metastatic epithelial cells from mesothelial cells in effusion specimens. Mesothelial markers include calretinin, WT-1, D2-40, CK5/6, HBME-1, and thrombomodulin.17–19 Epithelial markers include claudin-4, MOC31, Ber-Ep4, BG-8, B72.3, CD15 (LeuM1) and CEA.17,19,20 Focal reactivity of epithelial markers, such as MOC31 and Ber-Ep4 can be found in reactive mesothelial cells as well as in up to 35% of mesotheliomas (Fig. 3).21 Recent studies show that claudin-4 can be used as a single marker in effusion as it is highly sensitive for metastatic carcinoma and completely negative in mesothelial cell origin (Fig. 3).21–24 A panel of claudin-4 and Ber-EP4 yields the highest combined sensitivity and specificity.22 HEG1 also holds good potential as a marker for mesothelial differentiation because it is reported to be highly sensitive for mesothelial cells but negative for carcinoma cells.25

Cells with BerEp4 positivity may be reactive mesothelial cells.
Fig. 3  Cells with BerEp4 positivity may be reactive mesothelial cells.

(a) Mesothelial cells in pericardial fluid show reactive changes, 200×. (b) Claudin-4 is negative in mesothelial cells, 200×. (c) Ber-Ep4 shows positivity in these reactive mesothelial cells, overlapping with CK5/6 staining, 200×. (d) CK5/6 highlights reactive mesothelial cells, 200×.

Tumor origin of secondary malignancy in effusions

Once the malignant component is identified, the next step is to identify the tumor origin of the metastatic carcinoma. Depending on the patient’s sex, age, and malignancy history, organ-specific markers can be included in the diagnostic panel. If the patient has a documented history of malignancy, the cytomorphology of the tumor cells is typical of the particular tumor type, direct application of organ-specific markers would be a reasonable approach. Otherwise, an approach to initially narrow down possible tumor origins by examining the expression patterns of cytokeratin, CK7, and CK20 followed by organ-specific markers might be considered. The algorithm is summarized in Figure 4. Organ-specific markers are summarized below.

Algorithm to identify the tumor origin in effusions.
Fig. 4  Algorithm to identify the tumor origin in effusions.

Lung

TTF1 and napsin A

TTF1 and napsin A are particularly useful for primary lung adenocarcinoma (Figs. 2 and 5). It should be brought to attention that histiocytes can be reactive to napsin A and may be misinterpreted as individual epithelial cells. To address this, duplex TTF1/napsin A shows nuclear TTF1 and cytoplasmic napsin A staining in different colors, which may be helpful in distinguishing histiocytes from epithelial cells, especially when tumor cells are scattered in fluid specimens.

Metastatic adenocarcinoma with lung primary.
Fig. 5  Metastatic adenocarcinoma with lung primary.

(a) ThinPrep, 600×. (b) Hematoxylin and eosin stain, 200×. (c–d) Tumor cells show positivity for TTF1 (c) and napsin A (d); all, 200×.

Breast

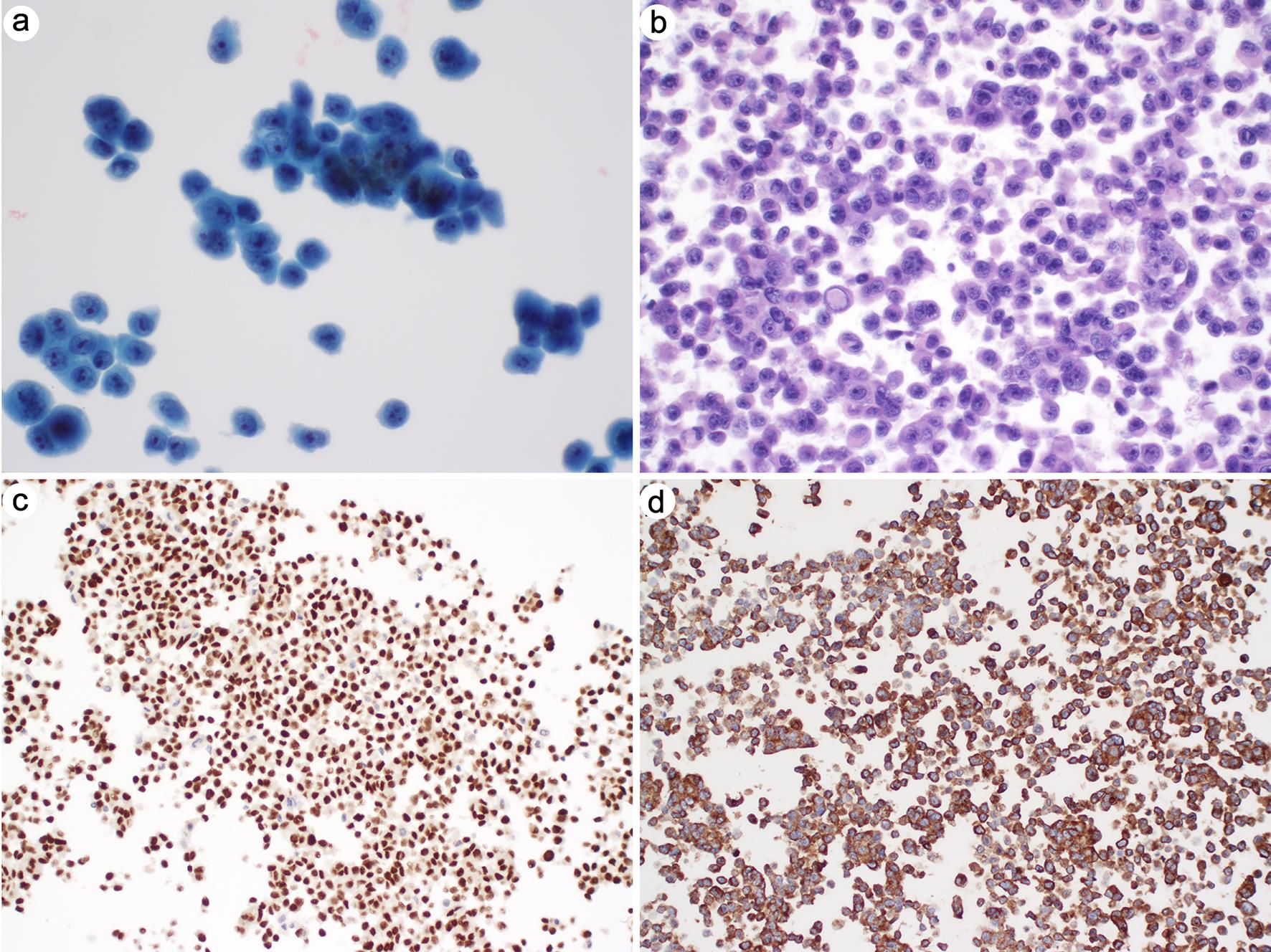
GATA3, mammaglobin, and GCDFP-15 are the traditional markers for tumors of breast origin. GATA3 is probably the most used marker to confirm metastatic breast carcinoma (Fig. 6). However, GATA3 expression has also been noted in many other organs and pathogeneses, including urothelial cancer, a subset of lung cancer, and gynecologic cancer.26–28 Therefore, a panel of mammaglobin and GCDFP-15 may be needed for distinguishing breast cancer from urothelial cancer. SOX10 and TRPS1 are newer markers which can help detect triple-negative breast cancer. Recently, TRPS1 has been reported to be a highly sensitive and specific marker for breast carcinoma, especially in triple-negative breast cancer.29–31 TRPS1 could also be used to distinguish metastatic breast cancer from urothelial cancer as this marker is negative in tumors of urothelial origin.29,31 It also should be noted that triple-negative breast carcinoma may show positivity for calretinin.20

Metastatic breast lobular carcinoma in pleural fluid.
Fig. 6  Metastatic breast lobular carcinoma in pleural fluid.

(a) ThinPrep, 400×. (b) Hematoxylin and eosin stain, 400×. (c–d) Tumor cells show positivity for MOC31 (c) and GATA3 (d); all, 200×.

Gastrointestinal tract

CDX2, SATB2, and CK20 can help distinguish gastrointestinal adenocarcinoma (Fig. 7). Mesothelial cells show focal positivity for CK20. Interpretation of CK20 staining needs to be combined with mesothelial markers and cytomorphology in hematoxylin and eosin-stained sections. CK7 and pan CK, however, have a limited role in effusion as these markers are diffusely positive in mesothelial cells and expressed at least in selective cases of gastrointestinal tumor.

Metastatic adenocarcinoma of gastrointestinal primary.
Fig. 7  Metastatic adenocarcinoma of gastrointestinal primary.

(a) ThinPrep, 600×. (b) Hematoxylin and eosin stain, 400×. (c–f) Tumor cells show positivity for claudin-4 (c) and CK7 (d) but negativity for CK20 (e) and calretinin (f); all, 200×. Calretinin highlights reactive mesothelial cells.

Gynecologic origin

PAX-8, ER, WT1 can suggest a gynecologic primary site. In high-grade serous carcinoma, p53 shows aberrant expression, including overexpression (strong nuclear staining in at least 75% of tumor cells), null pattern (loss of staining), and cytoplasmic pattern (Fig. 8).

Metastatic serous carcinoma in pleural fluid.
Fig. 8  Metastatic serous carcinoma in pleural fluid.

(a) ThinPrep, 600×. (b) Hematoxylin and eosin stain, 400×. (c–d) Tumor cells show positivity for Pax8 (c) and diffuse and strong positivity for p53 (d); all, 200×.

SOX10, HMB45, and melanin A are useful markers for confirmation of metastatic melanoma in effusion fluids (Fig. 9). INSM1, synaptophysin, chromogranin, and CD56 are the commonly used neuroendocrine markers (Fig. 10).

Metastatic melanoma in pleural fluid.
Fig. 9  Metastatic melanoma in pleural fluid.

(a) ThinPrep, 600×. (b) Hematoxylin and eosin stain, 400×. (c–d) Tumor cells show positivity for SOX10 (c) and HMB45 (d); all, 200×.

Metastatic small cell carcinoma in pleural fluid.
Fig. 10  Metastatic small cell carcinoma in pleural fluid.

(a) ThinPrep, 600×. (b) Hematoxylin and eosin stain, 400×. (c–d) Tumor cells show positivity for synaptophysin (c) and INSM1 (d); all, 400×.

Prostatic adenocarcinoma

NKX3.1, PSA, and PSAP are shown in Figure 11. Compared with PSA and PSAP, NKX3.1 may show a higher sensitivity in identifying metastatic prostate cancer, especially those of poorly differentiated carcinoma.32

Metastatic prostatic adenocarcinoma in pleural fluid.
Fig. 11  Metastatic prostatic adenocarcinoma in pleural fluid.

(a) Hematoxylin and eosin stain, 200×. (b) Tumor cells are positive for NKX3.1, 200×.

Thyroid

TTF1, PAX8, and thyroglobulin are common markers for tumors of thyroid origin. It should be noted that PAX8 might be the only marker, though, to be positive in anaplastic thyroid carcinoma.

Kidney

PAX8 is a pan-marker of tumors of renal origin, while CAIX is likely expressed in clear cell renal cell carcinoma.

Urothelial tract

GATA3 is the most commonly used marker for urothelial carcinoma. Uroplakins, p63, p40, and 34BE12 are the other markers likely expressed in tumors of urothelial origin.

Reactive mesothelial proliferation vs. malignant mesothelioma

Distinguishing malignant mesothelioma from florid reactive mesothelial cells can be difficult. The cytological diagnosis of malignant mesothelioma by effusion cytology might be controversial in clinical practice, and the diagnostic value of cytology may be questionable.33,34 However, in recent years, molecular and biomarker testing that can distinguish neoplastic mesothelial cells from reactive/benign mesothelial cells has enhanced diagnostic accuracy of mesothelioma in effusions. It is currently becoming recognized that mesothelioma diagnosis in cytology specimens is possible and with high specificity and positive prediction value when an adequate sample is provided and ancillary tests are applied.35–38

Guidelines for the diagnosis of mesothelioma were proposed by the International Mesothelioma Interest Group 2015 Supplement and followed by the International Guidelines for Reporting Serous Fluids (Table 2).6,39,40 Morphology, high cellularity, presence of complex papillary structures or tissue fragments, variation in cell size and shape, and marked cytologic atypia are useful features for distinguishing and identifying mesothelioma (Table 3) (Fig. 12). Nevertheless, the role of immunohistochemistry in distinguishing mesothelioma from reactive mesothelial cells is still limited. Benign mesothelial cells show strong cytoplasmic staining for desmin and are negative for epithelial membrane antigen (EMA), while mesothelioma cells are negative for desmin but show membranous band-like staining with EMA.20,41–44 However, due to background benign mesothelium, interpretation is not always confidently conclusive. Therefore, desmin and EMA tests are not recommended for diagnostic work-up in the determination of inclusion or exclusion of mesothelioma.

Table 2

International guidelines for reporting serous effusions (mesothelioma)35

Report as “mesothelioma” in the following conditions:
  Morphologically malignant mesothelium (high cellularity and atypia) and supportive radiological findings. Additional biomarkers are optional. For pericardial fluids always confirm malignancy with biomarkers.
  Morphologically malignant but of moderate cellularity and supportive radiological findings. Perform biomarker detection to support malignancy.
  Morphologically malignant but radiological findings are not available. Perform biomarker detection to support malignancy.
  Morphologically malignant but radiological findings are negative. Perform biomarker detection to support malignancy and include a comment to raise concern for MIS.
Report as “suspicious for mesothelioma” in the following conditions:
  Morphologically malignant cases and negative radiology if biomarkers are not supportive of malignancy.
  Morphologically malignant pericardial fluid if biomarkers are not supportive of malignancy.
  Morphologically malignant but fluid is of low to moderate cellularity, positive radiological findings but negative for biomarkers.
Report as “atypical mesothelial cell proliferation” in the following conditions:
  Only when the cytologic atypia exceeds that expected in reactive conditions or if reactive mesothelium cannot be supported by ancillary tests, but the findings are not enough to raise concern for mesothelioma. The term “atypical” should not be used in the context of reactive mesothelium, which instead should be diagnosed as negative for malignancy.
Table 3

Reactive mesothelial cells vs. mesothelioma

FeatureReactive mesothelial cellsMesothelioma
CellularityLow to moderateHigh
ArchitectureIndividual, small clusters, flat sheets, and two-dimensional aggregatesLarge clusters, complex papillary structures; Three-dimensional aggregates, irregular edge
CytomorphologyComparatively uniform; Small prominent nucleoliPleomorphic; Multiple macronucleoli; Marked cytologic atypia
EMA by immunohistochemistry+ (membranous)
Desmin by immunohistochemistry+ (cytoplasmic)
MTAP by immunohistochemistryNuclear and cytoplasmLoss in 80–90% tumors with CDKN2A deletion
BAP1 by immunohistochemistryRetained nuclear staining
Homozygous deletion of p16/CDKN2A by fluorescence in situ hybridization+
Malignant mesothelioma.
Fig. 12  Malignant mesothelioma.

(a) Touch prep with Diff-Quick stain, 200×. (b) ThinPrep, 600×. (c) Hematoxylin and eosin stain, 400×. (d) Tumor cells show positivity for calretinin; 200×.

Homozygous deletion of CDKN2A (9p21) has been frequently detected in mesothelioma by fluorescence in situ hybridization testing.45 In addition, homozygous co-deletion of the MTAP gene occurs in 80–90% of tumors with CDKN2A deletion.45 MTAP expression can be detected by immunohistochemical methods, thus it can potentially be used as a surrogative marker for CDKN2A deletion.25,46 MTAP shows both nuclear and cytoplasmic staining in normal mesothelial cells, while only the loss of cytoplasmic expression, which occurs in up to 65% of mesothelioma cases,35 is considered abnormal.

BAP1 is a tumor suppressor gene product. Loss of BAP1 expression is found in up to 65% of mesotheliomas and is excluded in reactive mesothelial cells.47 A combined immunoprofile of claudin-4, HEG1, MTAP and BAP1 is recommended for differentiating metastatic carcinoma and malignant mesothelioma on cytology and in biopsy specimens with HEG1 and claudin 4 to validate the cell origins and BAP1 and MTAP to confirm mesothelial malignancy.21,25,48

Atypical lymphoid proliferation

Differential diagnosis of lymphocyte-rich serous effusions includes reactive lymphocytes and involvement by a lymphoproliferative disorder. Lymphomatous effusion accounts for 3.6–10% of effusion malignancies, including diffuse large B cell lymphoma, lymphoblastic lymphoma, chronic lymphocytic leukemia/small lymphocytic lymphoma, mantle cell lymphoma, follicular lymphoma, Burkitt’s lymphoma, anaplastic large cell lymphoma, peripheral T cell lymphoma, and Hodgkin’s lymphoma.49–56 The majority of lymphoproliferative involvement are of B cell origin,52,53 and T-lymphoblastic lymphoma is perhaps the most common lymphoma in pediatric patients (36.9%).49 Burkitt’s lymphoma is more frequently seen in peritoneal fluid compared to pleural and pericardial fluids, and involvement of effusion by Hodgkin’s lymphoma is extremely rare.49,57

High-grade non-Hodgkin’s B cell lymphoma and T cell-origin lymphoma usually contain large atypical cells with evident morphologic atypia (Fig. 13); however, low-grade B cell non-Hodgkin’s B cell lymphoma contains small to intermediate-sized lymphocytes, which are challenging to separate from reactive lymphocytes (Fig. 14). Monomorphic morphology is a valuable indicator to perform further work-up. If a cell block is available, immunohistochemical study with a B cell marker (CD20) and a T cell marker (CD3) is commonly used as an initial step to separate reactive lymphocytes from a possible lymphoproliferative disorder. Predominantly CD3-positive T cells admixed with sporadic CD20-positive B cells are characteristic of a reactive process. If a lymphoma is suspected, additional various antibodies might be needed to subtype the specific cell lineage and detect aberrant expression of markers. A panel of immunomarkers are determined based on morphologic differential diagnoses, including leukocyte common antigen (CD45), B cell markers (CD20 and PAX5), T cell markers (CD3), and other markers such as CD5, CD10, CD23, BCL-2, BCL-6, cyclinD1, CD15, CD30, ALK-1, CD138 (Tables 4 and 5).49

Non-Hodgkin B cell lymphoma.
Fig. 13  Non-Hodgkin B cell lymphoma.

Medium to large lymphocytes with prominent nucleoli are in the pleural fluid. (a) ThinPrep, 600×. (b) Hematoxylin and eosin stain, 600×.

Chronic lymphocytic leukemia in pleural effusion. Small to medium-sized lymphocytes are monotonous.
Fig. 14  Chronic lymphocytic leukemia in pleural effusion. Small to medium-sized lymphocytes are monotonous.

(a) ThinPrep, 600×. (b) Hematoxylin and eosin stain, 600×. (c–e) Neoplastic lymphocytes show positivity for CD20, PAX5 and CD5; all, 200×. (f) CD3 highlights scattered T-lymphocytes, 200×.

Table 4

Immunohistochemical basic panel for small lymphocytes49,61

TypePositive stainsNegative stains
Follicular lymphomaPan B cell markers (CD19, CD20, CD79a, PAX5), CD10, BCL6, BCL2CD5, CD23, cyclin D1
Chronic lymphocytic leukemia/small lymphocytic lymphomaPan B cell markers (CD19, CD20, CD79a, PAX5), CD5, CD23, LEF1CD10, cyclin D1, SOX11
Mantle cell lymphomaPan B cell markers (CD19, CD20, CD79a), CD5, cyclin D1, SOX11CD10, BCL6, CD200, LEF1
Marginal zone lymphomaPan B cell markers (CD19, CD20, CD79a)CD5, CD10, CD23, BCL6, cyclin D1, SOX1, LEF1
Table 5

Immunohistochemical basic panel for intermediate to large-size lymphocytes61

TypePositive stainsNegative stains
B-lymphoblastic lymphomaCD19, CD79a, PAX5, CD10, TdT, CD34, CD99
T-lymphoblastic lymphomaCD7, CD3, CD5, TdT, CD34, CD99, CD1a, CD117
Burkitt’s lymphomaPan B cell antigens (CD19, CD20, CD79a, PAX5), CD10, BCL6, CD38; KI67 > 95%; MYCCD5, CD23, CD138, BCL2, cyclin D1, TdT
Diffuse large B cell lymphomaPan B cell markers (CD19, CD20, CD79a, PAX5), variable expression of CD10, BCL6, MUM1, BCL2CD3, cyclin D1, TdT
Plasmablastic lymphomaCD138, CD38, IRF4/MUM1, CD79a (40%), CD10, CD56, CD30, EBER (in situ hybridization), MYCCD20, PAX5, CD45
Primary effusion lymphomaCD45, CD30 CD38, HHV8 by PCR or IHC, Epstein–Barr virusCD20

Flow cytometry is essential for distinguishing lymphoma from reactive lymphocytes and for specifying lymphoma subtypes in fluid specimens.50,58 It should be noted that neoplastic cells in large cell lymphoma are particularly fragile and can lose cell surface markers, which may result in noncontributory determination by flow cytometry analysis.53 Another pitfall of flow cytometry is that it is not sensitive in detecting T cell-origin and Hodgkin’s lymphoma.

In addition, a valuable technique is molecular testing for rearranged immunoglobulin or T cell receptor genes by PCR to assess the presence of clonal lymphoproliferation.59 Detection of immunoglobulin heavy chain by fluorescence in situ hybridization can also be helpful.60

It is noteworthy that lymphoma is rarely manifested initially in effusion; rather, it is more commonly encountered as a secondary involvement, indicative of an advanced stage.49,50 However, primary effusion lymphoma is a rare type of large B cell lymphoma that occurs primarily as pleural/pericardial/peritoneal effusion without lymph node involvement. This entity is strongly associated with HHV8 and HIV, and is usually Epstein–Barr virus-positive. The neoplastic cells are positive for CD45, CD30, EMA, HHV8, and Epstein–Barr virus EBER, but negative for CD20, CD5, CD22, CD23, and CD43.61

In conclusion, the combined application of cytological features, immunocytochemistry, flow cytometry, PCR, and fluorescence in situ hybridization can yield a correct diagnosis and classification of most lymphomatous cases.60

ROM and clinical management

The ROM of the MAL category is 99 ± 0.1% reported from the meta-analysis study.6,9 The predicted positive value is almost 100%. Clinically, diagnosis is sufficient to start treatment of these patients with an advanced clinical stage of malignancy (stage IV).

Incorporation of molecular data

Molecular testing, in conjunction with cytomorphology and immunohistochemical studies, can assist in confirming the diagnosis of malignant mesothelioma, identifying a metastatic neoplasm, and determining the origin of a metastasis.62 Paraffin-fixed cell blocks are usually prepared from effusion specimens and are essential for ancillary testing including immunohistochemistry, PCR, fluorescence in situ hybridization, and next-generation sequencing molecular testing, for both diagnostic and therapeutic purposes.62 In addition, effusion supernatants, even after centrifugation, can still provide reliable material for analyzing DNA, RNA, microRNA, and proteins expressed by tumor cells. Both cells and supernatants can yield valuable molecular information that can assist in the diagnosis.63,64

Conclusions

Since the introduction of TIS, it has been applied to pleural, peritoneal, and pericardial fluids in several studies.8,13,65–68 However, the ROM proposed in the TIS system was determined from a meta-analysis of historic data predating TIS.9 We have summarized recent studies that reclassified effusion cases using the TIS system and have provided an updated perspective on the distribution and ROM for each category in different body cavities. The distribution of each category is summarized in Table 6.8,9,11–14,56,65–76 Reported ROMs for all categories are summarized in Table 7.9,12–14,56,65–76 In summary, the distribution rates of ND, NFM, AUS, SFM and MAL range from 0–11%, 36–81%, 0.2–6%, 0.9–6.3% and 12.3–56.2%, respectively. The ROMs of ND, NFM, AUS, SFM, and MAL range from 0–100%, 1.8–51.6%, 0–88%, 49–93%, and 98–100%, respectively.

Table 6

Distribution of effusions following the International System for Reporting Serous Fluid Cytopathology

ReferenceSpecimenND, %NFM, %AUS, %SUS, %MAL, %
Zhu et al. 202214 (n = 2326)Pleural0.429.73.11947.7
Sun et al. 202266 (n = 299)Pleural57651.712.3
Xu et al. 202169 (n = 2454)Pleural1.268.16.22.222.4
Bharti et al. 202271 (n = 690)Pleural7.984.10.871.165.94
Straccia et al. 202272 (n = 1292)Pleural2.178.56.62.310.5
Ahuja et al. 202170 (n = 831)Pleural0.476.47.87.28.2
Jha et al. 202156 (n = 939)Pleural4.3774.234.692.8813.84
Pinto et al. 202165 (n = 350)Pleural1.4372.292420.57
Pergaris et al. 202168 (n = 528)Pleural0.5781.442.842.8412.31
Lobo et al. 202067 (n = 1496)Pleural0.863.10.63.631.9
Farahan et al. 20199 (n = 11799)Pleural0.369.20.63.526.4
Zhu et al. 202214 (n = 1145)Peritoneal0.228.6219.449.9
Rakheja et al. 202273 (n = 818)Peritoneal15.272.73.21.57.3
Sun et al. 202266 (n = 446)Peritoneal1177.14.10.912.4
Straccia et al. 202272 (n = 2257)Peritoneal1.3841.72.310.5
Ahuja et al. 202170 (n = 457)Peritoneal1.180.54.23.710.5
Pergaris et al. 202168 (n = 500)Peritoneal1.269.42.62.424.4
Lobo et al. 202067 (n = 763)Peritoneal0.759.9123725.2
Farahani et al. 20199 (n = 3978)Peritoneal0.359.70.42.637
Li et al. 202374 (n = 358)Pericardial4.739.512.25.338.3
Wang et al. 202312 (n = 465)Pericardial4.171.44.52.417.6
Zhu et al. 202214 (n = 117)Pericardial0.939.311.148.7
Straccia et al. 202272 (n = 241)Pericardial1.671.74.1319.5
Song et al. 202175 (n = 574)Pericardial066.69.41.722.3
Lobo et al. 202067 (n = 64)Pericardial35.91.66.356.2
Rodriguez et al. 20208 (n = 252)Pericardial084.34.31.310
Farahani et al. 20199 (n = 941)Pericardial700.21.927.9
Kolte et al. 202176 (n = 652)Combined271.62.44.719.3
Gokozan et al. 202111 (n = 911)Combined173.25.6317.2
Hou et al. 202113 (n = 2405)Combined426448
Table 7

Comparison of the ROM in previous studies

ReferenceSpecimenND, %NFM, %AUS, %SUS, %MAL, %
Farahani et al. 2019a9Combined17.4 ± 8.921 ± 0.366 ± 10.682 ± 4.899 ± 0.1
Zhu et al. 202214Pleural4029.849.399.3100
Sun et al. 202266Pleural01.837.583.3100
Xu et al. 202269Pleural26.71262.377.8100
Bharti et al. 202271Pleural30.912.910010090.2
Straccia et al. 202272Pleural18.51545.393100
Ahuja et al. 202170Pleural02.133.394.1100
Jha et al. 202156Pleural87.551.6188.2387.5100
Pinto et al. 202165Pleural4020.1642.8678.57100
Pergaris et al. 202168Pleural05.333.3393.33100
Lobo et al. 202067Pleural57.123.95076.2100
Farahan et al. 20199Pleural25.7*22.3 ± 5.671.8 ± 17.775.9 ± 9.399.2 ± 0.2
Zhu et al. 202214Peritoneal027.560.999.5100
Rakheja et al. 202273Peritoneal16.912.15080100
Sun et al. 202266Peritoneal8.31.244.4100100
Straccia et al. 202272Peritoneal19.310.443.5100100
Ahuja et al. 202170Peritoneal504.822.283.3100
Pergaris et al. 202168Peritoneal16.66938.4683.33100
Lobo et al. 202067Peritoneal10026.362.591.7100
Farahani et al. 20199Peritoneal0*27.1 ± 7.240.5 ± 0.284.6 ± 3.898.4 ± 1.1
Li et al. 202374Pericardial23.529.156.878.999.3
Wang et al. 202312Pericardial01.320100100
Zhu et al. 202214Pericardial100 *17.40100100
Straccia et al. 202272Pericardial2513.235100100
Song et al. 202175Pericardial3.720.957.189.3
Lobo et al. 202067Pericardial00No data100
Farahani et al. 20199Pericardial30.9 ± 9.2100*48.7 ± 0.199.1 ± 0.9
Kolte et al. 202176Combined23255680.690
Hou et al. 202113Combined3964

Overall, TIS defines clear diagnostic criteria for five categories: ND, NFM, AUS, SFM, and MAL. This five-tier system supports a standardized reporting structure for verifying malignancy, offering high specificity, positive predictive value, and modest to high sensitivity.67,68 Increasingly available data provide evidence that the standardized categorization system effectively stratifies malignancy risks, facilitating the triage of clinical management.77 However, despite the defined diagnostic criteria, the AUS category remains a diagnostically gray zone in effusion cytology. The definition of ND is defined, but its practical threshold varies, contributing to the wide variability in the ROM for the ND category.78 Further validation studies should be conducted to contribute more data on the ROM in each category of specific body cavities, providing more evidence for clinical management and further refining the classification. Regardless, pelvic and peritoneal washing specimens still pose diagnostic dilemmas because of the presence of Müllerian borderline tumors. Addressing this issue may require a subdivision of the TIS, a topic we did not cover in this review but one that requires further investigation.

Abbreviations

AUS: 

atypia of uncertain significance

BAP1: 

BRCA1-associated protein

CDKN2A: 

cyclin-dependent kinase inhibitor 2A

EMA: 

epithelial membrane antigen

MAL: 

malignant

MIS: 

Mesothelioma in situ

MTAP: 

methylthioadenosine phosphorylase

ND: 

nondiagnostic

NFM: 

negative for malignancy

ROM: 

risk of malignancy

SFM: 

suspicious for malignancy

TIS: 

The International System

Declarations

Acknowledgement

None.

Funding

NIH research grant P30CA016359 supported this study.

Conflict of interest

GPC is the Editor-in-Chief of Journal of Clinical and Translational Pathology. The authors have no other conflicts of interest to declare.

Authors’ contributions

Manuscript writing (MHW) and critical revision (MHW, AC, GC).

References

  1. Shidham BV, Atkinson BF. Cytopathologic diagnosis of serous fluids. Philadelphia: Saunders; 2007
  2. Heidari B, Bijani K, Eissazadeh M, Heidari P. Exudative pleural effusion: effectiveness of pleural fluid analysis and pleural biopsy. East Mediterr Health J 2007;13(4):765-773 PubMed/NCBI
  3. Nance KV, Shermer RW, Askin FB. Diagnostic efficacy of pleural biopsy as compared with that of pleural fluid examination. Mod Pathol 1991;4(3):320-324 PubMed/NCBI
  4. Chandra A, Crothers B, Iyama-Kurtycz D, Schmitt F. The International System for Serous Fluid Cytopathology. Berlin, Heidelberg, Germany: Springer; 2020
  5. Chandra A, Crothers B, Kurtycz D, Schmitt F. Announcement: The International System for Reporting Serous Fluid Cytopathology. Acta Cytol 2019;63(5):349-351 View Article PubMed/NCBI
  6. Chandra A, Crothers B, Kurtycz D, Schmitt F. The International System for Reporting Serous Fluid Cytopathology. 1st ed. Cham: Springer; 2020
  7. Coconubo DM, Baskota SU, Li R, Srivastava P, Cuda J, Khader S. Reassessing the optimal volume for malignancy detection in serous fluid cytology. Cancer Cytopathol 2022;130(7):551-557 View Article PubMed/NCBI
  8. Rodriguez EF, Jones R, Gabrielson M, Santos D, Pastorello RG, Maleki Z. Application of the International System for Reporting Serous Fluid Cytopathology (ISRSFC) on Reporting Pericardial Effusion Cytology. Acta Cytol 2020;64(5):477-485 View Article PubMed/NCBI
  9. Farahani SJ, Baloch Z. Are we ready to develop a tiered scheme for the effusion cytology? A comprehensive review and analysis of the literature. Diagn Cytopathol 2019;47(11):1145-1159 View Article PubMed/NCBI
  10. Pinto D, Chandra A, Crothers BA, Kurtycz DFI, Schmitt F. The international system for reporting serous fluid cytopathology-diagnostic categories and clinical management. J Am Soc Cytopathol 2020;9(6):469-477 View Article PubMed/NCBI
  11. Gokozan HN, Harbhajanka A, Lyden S, Michael CW. Root cause analysis of indeterminate diagnoses in serous fluids cytopathology. Diagn Cytopathol 2021;49(5):633-639 View Article PubMed/NCBI
  12. Wang M, Sun T, Jiao J, Wang H. Application of the International System for Reporting Serous Fluid Cytopathology to pericardial fluid: Root cause analysis of indeterminate diagnoses, cytohistological correlation, and assessment of malignancy risk. Cancer Cytopathol 2023;131(7):433-441 View Article PubMed/NCBI
  13. Hou T, Landon G, Stewart J, Roy-Chowdhuri S. The value of a tiered cytology diagnostic reporting system in assessing the risk of malignancy in indeterminate serous effusions. Cancer Cytopathol 2021;129(1):75-82 View Article PubMed/NCBI
  14. Zhu YL, Ren WH, Wang Q, Jin HZ, Guo YY, Lin DM. A retrospective analysis of serous effusions based on the newly proposed international system for reporting serous fluid cytopathology: a report of 3633 cases in an oncological center. Diagn Pathol 2022;17(1):56 View Article PubMed/NCBI
  15. Skok K, Hladnik G, Grm A, Crnjac A. Malignant Pleural Effusion and Its Current Management: A Review. Medicina (Kaunas) 2019;55(8):490 View Article PubMed/NCBI
  16. Gayen S. Malignant Pleural Effusion: Presentation, Diagnosis, and Management. Am J Med 2022;135(10):1188-1192 View Article PubMed/NCBI
  17. Husain AN, Colby T, Ordonez N, Krausz T, Attanoos R, Beasley MB, et al. Guidelines for pathologic diagnosis of malignant mesothelioma: 2012 update of the consensus statement from the International Mesothelioma Interest Group. Arch Pathol Lab Med 2013;137(5):647-667 View Article PubMed/NCBI
  18. Hyun TS, Barnes M, Tabatabai ZL. The diagnostic utility of D2-40, calretinin, CK5/6, desmin and MOC-31 in the differentiation of mesothelioma from adenocarcinoma in pleural effusion cytology. Acta Cytol 2012;56(5):527-532 View Article PubMed/NCBI
  19. Lyons-Boudreaux V, Mody DR, Zhai J, Coffey D. Cytologic malignancy versus benignancy: how useful are the “newer” markers in body fluid cytology?. Arch Pathol Lab Med 2008;132(1):23-28 View Article PubMed/NCBI
  20. Mneimneh WS, Jiang Y, Harbhajanka A, Michael CW. Immunochemistry in the work-up of mesothelioma and its differential diagnosis and mimickers. Diagn Cytopathol 2021;49(5):582-595 View Article PubMed/NCBI
  21. Bernardi L, Bizzarro T, Pironi F, Szymczuk S, Buda R, Fabbri E, et al. The “Brescia panel” (Claudin-4 and BRCA-associated protein 1) in the differential diagnosis of mesotheliomas with epithelioid features versus metastatic carcinomas. Cancer Cytopathol 2021;129(4):275-282 View Article PubMed/NCBI
  22. Najjar S, Gan Q, Stewart J, Sneige N. The utility of claudin-4 versus MOC-31 and Ber-EP4 in the diagnosis of metastatic carcinoma in cytology specimens. Cancer Cytopathol 2023;131(4):245-253 View Article PubMed/NCBI
  23. Patel A, Borczuk AC, Siddiqui MT. Utility of Claudin-4 versus BerEP4 and B72.3 in pleural fluids with metastatic lung adenocarcinoma. J Am Soc Cytopathol 2020;9(3):146-151 View Article PubMed/NCBI
  24. Oda T, Ogata S, Kawaguchi S, Minabe S, Dokyu M, Takahashi H, et al. Immunocytochemical utility of claudin-4 versus those of Ber-EP4 and MOC-31 in effusion cytology. Diagn Cytopathol 2016;44(6):499-504 View Article PubMed/NCBI
  25. Hiroshima K, Wu D, Hamakawa S, Tsuruoka S, Ozaki D, Orikasa H, et al. HEG1, BAP1, and MTAP are useful in cytologic diagnosis of malignant mesothelioma with effusion. Diagn Cytopathol 2021;49(5):622-632 View Article PubMed/NCBI
  26. Miettinen M, McCue PA, Sarlomo-Rikala M, Rys J, Czapiewski P, Wazny K, et al. GATA3: a multispecific but potentially useful marker in surgical pathology: a systematic analysis of 2500 epithelial and nonepithelial tumors. Am J Surg Pathol 2014;38(1):13-22 View Article PubMed/NCBI
  27. Reiswich V, Schmidt CE, Lennartz M, Höflmayer D, Hube-Magg C, Weidemann S, et al. GATA3 Expression in Human Tumors: A Tissue Microarray Study on 16,557 Tumors. Pathobiology 2023;90(4):219-232 View Article PubMed/NCBI
  28. Zhao L, Antic T, Witten D, Paner GP, Taxy JB, Husain A, et al. Is GATA3 expression maintained in regional metastases?: a study of paired primary and metastatic urothelial carcinomas. Am J Surg Pathol 2013;37(12):1876-1881 View Article PubMed/NCBI
  29. Ai D, Yao J, Yang F, Huo L, Chen H, Lu W, et al. TRPS1: a highly sensitive and specific marker for breast carcinoma, especially for triple-negative breast cancer. Mod Pathol 2021;34(4):710-719 View Article PubMed/NCBI
  30. Yoon EC, Wang G, Parkinson B, Huo L, Peng Y, Wang J, et al. TRPS1, GATA3, and SOX10 expression in triple-negative breast carcinoma. Hum Pathol 2022;125:97-107 View Article PubMed/NCBI
  31. Wang M, Stendahl K, Cai G, Adeniran A, Harigopal M, Gilani SM. Evaluation of TRPS1 Expression in Pleural Effusion Cytology Specimens With Metastatic Breast Carcinoma. Am J Clin Pathol 2022;158(3):416-425 View Article PubMed/NCBI
  32. Wang M, Abi-Raad R, Adeniran AJ, Cai G. Expression of NKX3.1, Prostatic Specific Antigen and Prostatic Specific Alkaline Phosphatase in Cytology Specimens of Metastatic Prostatic Carcinoma. J Clin Transl Pathol 2021;1(1):16-20 PubMed/NCBI
  33. Husain AN, Colby TV, Ordóñez NG, Krausz T, Borczuk A, Cagle PT, et al. Guidelines for pathologic diagnosis of malignant mesothelioma: a consensus statement from the International Mesothelioma Interest Group. Arch Pathol Lab Med 2009;133(8):1317-1331 View Article PubMed/NCBI
  34. Husain AN, Colby TV, Ordóñez NG, Allen TC, Attanoos RL, Beasley MB, et al. Guidelines for Pathologic Diagnosis of Malignant Mesothelioma 2017 Update of the Consensus Statement From the International Mesothelioma Interest Group. Arch Pathol Lab Med 2018;142(1):89-108 View Article PubMed/NCBI
  35. Michael CW. The cytologic diagnosis of mesothelioma: are we there yet?. J Am Soc Cytopathol 2023;12(2):89-104 View Article PubMed/NCBI
  36. Pedio G, Landolt-Weber U. Cytologic presentation of malignant mesothelioma in pleural effusions. Exp Cell Biol 1988;56(4):211-216 View Article PubMed/NCBI
  37. Hjerpe A, Abd-Own S, Dobra K. Cytopathologic Diagnosis of Epithelioid and Mixed-Type Malignant Mesothelioma: Ten Years of Clinical Experience in Relation to International Guidelines. Arch Pathol Lab Med 2018;142(8):893-901 View Article PubMed/NCBI
  38. Segal A, Sterrett GF, Frost FA, Shilkin KB, Olsen NJ, Musk AW, et al. A diagnosis of malignant pleural mesothelioma can be made by effusion cytology: results of a 20 year audit. Pathology 2013;45(1):44-48 View Article PubMed/NCBI
  39. Hjerpe A, Ascoli V, Bedrossian CW, Boon ME, Creaney J, Davidson B, et al. Guidelines for the Cytopathologic Diagnosis of Epithelioid and Mixed-Type Malignant Mesothelioma: a secondary publication. Cytopathology 2015;26(3):142-156 View Article PubMed/NCBI
  40. Michael CW. Serous fluid cytopathology: Past, present, and future. Diagn Cytopathol 2021;49(5):577-581 View Article PubMed/NCBI
  41. Attanoos RL, Griffin A, Gibbs AR. The use of immunohistochemistry in distinguishing reactive from neoplastic mesothelium. A novel use for desmin and comparative evaluation with epithelial membrane antigen, p53, platelet-derived growth factor-receptor, P-glycoprotein and Bcl-2. Histopathology 2003;43(3):231-238 View Article PubMed/NCBI
  42. Saad RS, Cho P, Liu YL, Silverman JF. The value of epithelial membrane antigen expression in separating benign mesothelial proliferation from malignant mesothelioma: a comparative study. Diagn Cytopathol 2005;32(3):156-159 View Article PubMed/NCBI
  43. Ikeda K, Tate G, Suzuki T, Kitamura T, Mitsuya T. Diagnostic usefulness of EMA, IMP3, and GLUT-1 for the immunocytochemical distinction of malignant cells from reactive mesothelial cells in effusion cytology using cytospin preparations. Diagn Cytopathol 2011;39(6):395-401 View Article PubMed/NCBI
  44. Shen J, Pinkus GS, Deshpande V, Cibas ES. Usefulness of EMA, GLUT-1, and XIAP for the cytologic diagnosis of malignant mesothelioma in body cavity fluids. Am J Clin Pathol 2009;131(4):516-523 View Article PubMed/NCBI
  45. Marjon K, Cameron MJ, Quang P, Clasquin MF, Mandley E, Kunii K, et al. MTAP Deletions in Cancer Create Vulnerability to Targeting of the MAT2A/PRMT5/RIOK1 Axis. Cell Rep 2016;15(3):574-587 View Article PubMed/NCBI
  46. Churg A, Naso JR. The Separation of Benign and Malignant Mesothelial Proliferations: New Markers and How to Use Them. Am J Surg Pathol 2020;44(11):e100-e112 View Article PubMed/NCBI
  47. Cigognetti M, Lonardi S, Fisogni S, Balzarini P, Pellegrini V, Tironi A, et al. BAP1 (BRCA1-associated protein 1) is a highly specific marker for differentiating mesothelioma from reactive mesothelial proliferations. Mod Pathol 2015;28(8):1043-1057 View Article PubMed/NCBI
  48. Chandra A. The Brescia panel and The International System for Reporting Serous Fluid Cytopathology. Cancer Cytopathol 2021;129(4):262-263 View Article PubMed/NCBI
  49. Patel T, Patel P, Mehta S, Shah M, Jetly D, Khanna N. The value of cytology in diagnosis of serous effusions in malignant lymphomas: An experience of a tertiary care center. Diagn Cytopathol 2019;47(8):776-782 View Article PubMed/NCBI
  50. Das DK, Al-Juwaiser A, George SS, Francis IM, Sathar SS, Sheikh ZA, et al. Cytomorphological and immunocytochemical study of non-Hodgkin’s lymphoma in pleural effusion and ascitic fluid. Cytopathology 2007;18(3):157-167 View Article PubMed/NCBI
  51. Johnston WW. The malignant pleural effusion. A review of cytopathologic diagnoses of 584 specimens from 472 consecutive patients. Cancer 1985;56(4):905-909 View Article PubMed/NCBI
  52. Savvidou K, Dimitrakopoulou A, Kafasi N, Konstantopoulos K, Vassilakopoulos T, Angelopoulou M, et al. Diagnostic role of cytology in serous effusions of patients with hematologic malignancies. Diagn Cytopathol 2019;47(5):404-411 View Article PubMed/NCBI
  53. Tong LC, Ko HM, Saieg MA, Boerner S, Geddie WR, da Cunha Santos G. Subclassification of lymphoproliferative disorders in serous effusions: a 10-year experience. Cancer Cytopathol 2013;121(5):261-270 View Article PubMed/NCBI
  54. Malik I, Abubakar S, Rizwana I, Alam F, Rizvi J, Khan A. Clinical features and management of malignant ascites. J Pak Med Assoc 1991;41(2):38-40 PubMed/NCBI
  55. Valdés L, Alvarez D, Valle JM, Pose A, San José E. The etiology of pleural effusions in an area with high incidence of tuberculosis. Chest 1996;109(1):158-162 View Article PubMed/NCBI
  56. Jha S, Sethy M, Adhya AK. Application of the International System for Reporting Serous Fluid Cytopathology in routine reporting of pleural effusion and assessment of the risk of malignancy. Diagn Cytopathol 2021;49(10):1089-1098 View Article PubMed/NCBI
  57. Olson PR, Silverman JF, Powers CN. Pleural fluid cytology of Hodgkin’s disease: cytomorphologic features and the value of immunohistochemical studies. Diagn Cytopathol 2000;22(1):21-24 View Article PubMed/NCBI
  58. Das DK. Serous effusions in malignant lymphomas: a review. Diagn Cytopathol 2006;34(5):335-347 View Article PubMed/NCBI
  59. Boone E, Verhaaf B, Langerak AW. PCR-based analysis of rearranged immunoglobulin or T-cell receptor genes by GeneScan analysis or heteroduplex analysis for clonality assessment in lymphoma diagnostics. Methods Mol Biol 2013;971:65-91 View Article PubMed/NCBI
  60. Zeppa P, Sosa Fernandez LV, Cozzolino I, Ronga V, Genesio R, Salatiello M, et al. Immunoglobulin heavy-chain fluorescence in situ hybridization-chromogenic in situ hybridization DNA probe split signal in the clonality assessment of lymphoproliferative processes on cytological samples. Cancer Cytopathol 2012;120(6):390-400 View Article PubMed/NCBI
  61. Board WCoTE. WHO Classification of Tumours Editorial Board. Haematolymphoid tumours. 5 ed. Lyon (France): International Agency for Research on Cancer; 2022
  62. Pinto D, Chandra A, Schmitt F. The International System for Reporting Serous Fluid Cytopathology: How to Incorporate Molecular Data in Cytopathology Reports. Journal of Molecular Pathology 2021;2:66-76 View Article
  63. Davidson B. Molecular testing on serous effusions. Diagn Cytopathol 2021;49(5):640-646 View Article PubMed/NCBI
  64. Husain H, Nykin D, Bui N, Quan D, Gomez G, Woodward B, et al. Cell-Free DNA from Ascites and Pleural Effusions: Molecular Insights into Genomic Aberrations and Disease Biology. Mol Cancer Ther 2017;16(5):948-955 View Article PubMed/NCBI
  65. Pinto D, Cruz E, Branco D, Linares C, Carvalho C, Silva A, et al. Cytohistological Correlation in Pleural Effusions Based on the International System for Reporting Serous Fluid Cytopathology. Diagnostics (Basel) 2021;11(6):1126 View Article PubMed/NCBI
  66. Sun T, Wang M, Wang H. Risk of malignancy assessment of the International System for Reporting Serous Fluid Cytopathology: Experience in a community hospital setting and comparison with other studies. Cancer Cytopathol 2022;130(12):964-973 View Article PubMed/NCBI
  67. Lobo C, Costa J, Petronilho S, Monteiro P, Leça L, Schmitt F. Cytohistological correlation in serous effusions using the newly proposed International System for Reporting Serous Fluid Cytopathology: Experience of an oncological center. Diagn Cytopathol 2021;49(5):596-605 View Article PubMed/NCBI
  68. Pergaris A, Stefanou D, Keramari P, Sousouris S, Kavantzas N, Gogas H, et al. Application of the International System for Reporting Serous Fluid Cytopathology with Cytohistological Correlation and Risk of Malignancy Assessment. Diagnostics (Basel) 2021;11(12):2223 View Article PubMed/NCBI
  69. Xu Y, Hu AY, Wang SM, Wang Q, Pan YC, Zhang SH. A retrospective analysis of pleural effusion specimens based on the newly proposed International System for Reporting Serous Fluid Cytopathology. Diagn Cytopathol 2021;49(9):997-1007 View Article PubMed/NCBI
  70. Ahuja S, Malviya A. Categorisation of serous effusions using the International System for Reporting Serous Fluid Cytopathology and assessment of risk of malignancy with diagnostic accuracy. Cytopathology 2022;33(2):176-184 View Article PubMed/NCBI
  71. Bharti S, Nalwa A, Elhence PA, Rao M, Bharti JN, Khera S, et al. Risk Stratification of Pleural Fluid Cytology Based on the International System for Reporting Serous Fluid Cytology in a Tertiary Care Centre. Acta Cytol 2022;66(5):449-456 View Article PubMed/NCBI
  72. Straccia P, Chiappetta M, Magnini D, Cancellieri A. Application of the International System for Reporting Serous Fluid Cytopathology (TIS): A retrospective institutional study. Cytopathology 2022;33(3):305-311 View Article PubMed/NCBI
  73. Rakheja G, Singh M, Priyadarshnee B, Marimuthu B, Dhar L, Jain S, et al. Categorisation of peritoneal serous effusions using the International System for Reporting Serous Fluid Cytopathology-A study on gynaecological samples. Cytopathology 2023;34(2):138-145 View Article PubMed/NCBI
  74. Li JJX, Cheung W, Ng JKM, Tse GM. Application of algorithmic cytomorphological assessment and immunocytochemistry with the international system for reporting serous fluid cytopathology on pericardial fluid cytology. J Clin Pathol 2023 View Article PubMed/NCBI
  75. Song MJ, Jo U, Jeong JS, Cho KJ, Gong G, Cho YM, et al. Clinico-cytopathologic analysis of 574 Pericardial Effusion Specimens: Application of the international system for reporting serous fluid cytopathology (ISRSFC) and long-term clinical follow-up. Cancer Med 2021;10(24):8899-8908 View Article PubMed/NCBI
  76. Kolte S, Zaheer S, Aden D, Ranga S. Application of the international system for reporting serous fluid cytopathology on reporting various body fluids; experience of a tertiary care hospital. Cytojournal 2022;19:52 View Article PubMed/NCBI
  77. Mikou P, Pergaris A, Engels M, Chandra A. Review of the impact of the International System for Serous Fluid Cytopathology. Cytopathology 2024;35(1):16-22 View Article PubMed/NCBI
  78. VandenBussche CJ, Crothers B, Chandra A, Schmitt F, Kurtycz DFI. The international system for reporting serous fluid cytopathology: The initial project survey. Cytopathology 2023;34(3):191-197 View Article PubMed/NCBI

About this Article

Cite this article
Wang M, Chandra A, Cai G. The International System for Reporting Serous Fluid Cytopathology—An Updated Review. J Clin Transl Pathol. 2023;3(4):160-177. doi: 10.14218/JCTP.2023.00025.
Copy        Export to RIS        Export to EndNote
Article History
Received Revised Accepted Published
August 17, 2023 October 29, 2023 November 20, 2023 December 20, 2023
DOI http://dx.doi.org/10.14218/JCTP.2023.00025
  • Journal of Clinical and Translational Pathology
  • pISSN 2993-5202
  • eISSN 2771-165X
Back to Top

The International System for Reporting Serous Fluid Cytopathology—An Updated Review

Minhua Wang, Ashish Chandra, Guoping Cai
  • Reset Zoom
  • Download TIFF