v
Search
Advanced

Publications > Journals > Journal of Clinical and Translational Pathology> Article Full Text

  • OPEN ACCESS

Pediatric Histiocytic Disorders: Morphology, Immunophenotype and Genetics

  • Jinjun Cheng1,* ,
  • Guo Zhu2,
  • Miao Pan1,
  • Shunyou Gong3,
  • Jun Mo4 and
  • Zenggang Pan5
 Author information 

Abstract

Histiocytic disorders are rare in childhood and often present with a wide spectrum of histological and clinical symptoms, making their diagnosis challenging. The pathological classification of histiocytic disorders has been evolving during the last few decades, and new diagnostic criteria and classifications have been recently updated. Herein, we review pediatric histiocytic disorders, focusing on the pathological features of morphology, immunophenotype, and newly discovered molecular data. These insights shed light on the pathogenesis of these disorders and may become therapeutic biomarkers.

Keywords

Juvenile xanthogranuloma, Histiocytic sarcoma, ALK histiocytosis, Rosai-Dorfman-Destombes disease, Hemophagocytic lymphohistiocytosis

Introduction

Histiocytic disorders are rare in childhood, characterized by aberrant accumulation of dendritic cells or macrophages; they often present with a wide spectrum of clinical symptoms.1–5 Dendritic cells, monocytes, and macrophages are members of the mononuclear phagocyte system, mostly derived from common myeloid progenitors, and express overlapping but different terminal immunophenotypes.2,3

The early Working Group of Histiocytoses classified histiocytic disorders into Langerhans cell histiocytosis (LCH), non-Langerhans histiocytosis, and malignant histiocytosis, based on Langerhans cell antigen expression and clinical presentation.6 With the adoption of new molecular methods and integration of clinical, radiographic, pathological, phenotypic, genetic, and/or molecular features, Emile et al.7 divided histiocytic disorders into five groups, namely L (LCH and Erdheim-Chester disease [ECD]), C (cutaneous non-LCH), R (familial and sporadic Rosai-Dorfman-Destombes disease [RDD]), M (primary and secondary malignant histiocytoses), and H (hemophagocytic lymphohistiocytosis [HLH]). Moreover, multiple studies have revealed that LCH, ECD, juvenile xanthogranuloma (JXG), and RDD are characterized by pathological extracellular signal-regulated kinase (ERK) activation driven by activating somatic mutations in MAPK pathway genes.8–16 Nevertheless, novel molecular pathogeneses, such as ALK gene rearrangements, have been reported in histiocytic disorders, some of which have been included as new entities in the 5th World Health Organization (WHO) classification and the International Consensus Classification of histiocytic/dendritic cell neoplasms.17–21

HLH, often associated with macrophage activation and extreme inflammation, consists of familial and acquired subtypes.22,23 Familial HLH represents a syndrome of immune dysregulation instead of a myeloid neoplasm. The spectrum of pathogenic variants in familial HLH-associated genes has been expanding.22 However, the diagnosis and treatment of familial HLH remain challenging.24

Herein, we review the pediatric histiocytic disorders encountered in our hematopathology practice, focusing on the pathological features of morphology, immunophenotype, genetics, and clinical presentations (Tables 1 and 2).

Table 1

Clinical, pathological, and genetic features of pediatric histiocytic neoplasms

DiseaseClinical presentationPathologyGenetics
LCHMost common in childhood; solitary or multiple lesions involving bone, skin, lymph node, or other organsAtypical cells with coffee bean-like nuclei and cytoplasmic Birbeck granules
CD1a+, Langerin+, S100+, CD68+, CD163+, factor XIIIa−, CD4+
BRAF V600E (approximately 50% of LCH); MAP2K1 or ARAF mutations in BRAF-wild type LCH
JXGMost common in infants and children; solitary skin common; occasional multiple lesions involving the central nervous system, bone marrow, or other organsFoamy histiocytes with occasional Touton-type giant cells
CD1a−, Langerin−, ALK1−, CD14+, CD68+, CD163+, factor XIIIa+, S100+ in subset cases
Association with NF type 1; mutations in RAS/MAPK or PI3K signaling pathways
RDDCervical lymphadenopathy; can also involve other nodes or extranodal sites; can be primary or associated with neoplasm or immune diseasesEmperipolesis; abundant lymphoplasmacytic cells in the background
S100+, CD1a−, Langerin−, ALK1−, CD68+, CD14+, CD163+
RAS/MAPK mutations described in 40% of primary cases
Sporadic cases secondary to other immune neoplastic processes
ALK-positive histiocytosisVery rare; multifocal hematopoietic and/or central nervous system involvement; or solitary lesion in childrenNonspecific morphology overlapping with other non-LCH
CD1a−, Langerin−, S100+/−, CD68+, CD163+, factor XIIIa+/−, ALK1+
ALK gene rearrangement with or without additional mutations
HSPrimary HS is extremely rare in childhood; secondary HS occurs; aggressive clinical presentationCytological atypia, increased mitoses
CD1a−, Langerin−, S100+/−, CD163+, CD68+, CD4+
Mutations in the RAS/MAPK signaling pathway are common in both primary HS and sHS
Table 2

Comparison of current classifications of histiocytic disorders

WHO 4th Edition
International Consensus Classification
WHO 5th Edition
Tumors derived from Langerhans cellsTumors derived from Langerhans cellsLangerhans cell and other dendritic cell neoplasms
LCHLCHLCH
LCSLCSLCS
Indeterminate dendritic cell tumorIndeterminate dendritic cell histiocytosisIndeterminate dendritic cell tumor
Interdigitating dendritic cell sarcomaInterdigitating dendritic cell sarcomaInterdigitating dendritic cell sarcoma
WHO 4th Edition
International Consensus Classification
WHO 5th Edition
Histiocytic neoplasmsHistiocytic neoplasmsHistiocytic neoplasms
Disseminated JXGDisseminated JXGJXG
Erdheim-Chester diseaseErdheim-Chester diseaseErdheim-Chester disease
N/ARDDRDD
N/AALK-positive histiocytosisALK-positive histiocytosis
HSHSHS
N/AN/AMesenchymal dendritic cell neoplasms
Follicular dendritic cell sarcomaFollicular dendritic cell sarcomaFollicular dendritic cell sarcoma
Inflammatory pseudotumor-like follicular/fibroblastic dendritic cell sarcomaEBV+ inflammatory follicular dendritic cell/fibroblastic reticular cell tumorEBV+ inflammatory follicular dendritic cell sarcoma
Fibroblastic reticular cell tumorFibroblastic reticular cell sarcomaFibroblastic reticular cell tumor
N/AN/AMyofibroblastic tumors

LCH

LCH was first reported around the year 1900, with reports of children with skin lesions, lytic bone lesions, and diabetes insipidus, which were classified as Hand-Schüller-Christian disease.25 LCH can occur at any age, although it most commonly affects children. Multiple studies have shown that LCH is an inflammatory myeloid neoplasm in which genetic aberrancies are acquired in early hematopoietic progenitors and present along their differentiation into mononuclear dendritic/histiocytic cells.26–28BRAF V600E mutations have been identified in approximately 50% of all LCH cases, and MAP2K1 mutations are the main genetic driver alterations in BRAF-wild type LCH,29,30 both of which cause continuous activation of the RAS-RAF-MAPK-ERK pathway and result in proliferation, apoptosis defects, and inflammation dysregulation.27 Interestingly, Xerri et al.31 performed array-comparative genomic hybridization and targeted next-generation sequencing studies on several patients with morphological features of Langerhans cell sarcoma (LCS) and reported a somatic homozygous loss affecting the CDKN2A/B locus and somatic NOTCH1 mutations in LCS cases but not in the control LCH cases. Previous studies revealed that the Notch ligand, its receptor, and Notch activation contribute to the pathogenesis of Langerhans cell neoplasms.32,33 The significance of CDKN2A/B deletion in LCH and LCS is uncertain and warrants further investigation.

The cells of origin for LCH are CD1a+, S100+, and CD207+ proliferating cells, consistent with bone marrow-derived Langerhans cells that represent antigen-presenting dendritic cells commonly located in the skin and mucosa. Consequently, the diagnosis of LCH relies on the morphology and immunophenotype of positive immunostaining for CD1a, Langerin, and S100.34,35 CD1a, S100, and Langerin might be partially expressed or completely absent in LCS. LCH neoplastic cells characteristically contain Birbeck granules, cytoplasmic structures associated with langerin.36 LCH cells also morphologically show irregular and elongated nuclei with prominent nuclear grooves and folds, fine chromatin and indistinct nucleoli, and abundant eosinophilic cytoplasm. Abundant eosinophils are usually present in the background. Rarely, LCH shows features overlap with intermediate cell histiocytosis, a predominantly adult disorder characterized by the proliferation of indeterminate cells that are immunophenotypically marked by positive staining for CD1a, CD68, and faint/focal S100, but a lack of CD207 (langerin) expression.

The clinical presentation of LCH varies greatly, ranging from unifocal to single-system multifocal, or multisystem disease. Pulmonary LCH (PLCH), as an example of single-system LCH, is an extremely rare disease in children. Recent studies on PLCH detected BRAF V600E mutations in some cases, indicating potential non-smoking etiologies, which are different from the pathogenesis of adult PLCH. For patients newly diagnosed with LCH, extensive imaging and laboratory workups might be required to assess the disease extent.25 Bone marrow biopsy and aspirate investigations are often recommended in patients with cytopenia. Current risk stratification is mainly based on the affected sites of LCH and response to initial therapy, while the genetic aberrancies have not been associated with overall survival.25 Recent studies suggest that bone marrow involvement (detection of BRAF V600E mutation by allele-specific droplet digital polymerase chain reaction or the presence of atypical LCH cells identified by flow cytometry) may indicate a higher risk for disease progression.27,37

Treatment options for LCH include the following: topical steroids, nitrogen mustard, and imiquimod; surgical resection of isolated lesions; phototherapy; and systemic methotrexate, 6-mercaptopurine, vinblastine/vincristine, thalidomide, cladribine, and/or cytarabine.25 The detailed treatment protocols have been well summarized in the literature.25,38–40

JXG

JXG is a rare non-LCH disorder, with more than half of reported cases occurring in the first year of life.41 The majority of pediatric patients with JXG present with solitary cutaneous nodules in the head and neck or other body areas.41 Extracutaneous JXG has been reported in the testis, central nervous system, liver, lungs, and other visceral organs.41–47 Systemic dissemination has been reported in less than 5% of JXG cases.41,47 In a recent study, patients with extracutaneous JXG generally had good outcomes, whereas those with intracranial lesions showed comorbidities and/or permanent damage.47

The diagnosis of JXG is straightforward in most cases, based on its morphology and immunophenotype. The classic morphology of JXG exhibits dermal infiltration of foamy histiocytes with occasional Touton giant cells, which often extend into subcutaneous tissue. However, JXGs occasionally show unusual morphology, such as mononuclear and non-foamy or rarely spindle cell morphology, which overlaps with other histiocytic disorders. These histiocytes are positive for CD68, CD163, CD4, CD11c, and factor XIIIa, but are generally negative for CD1a and S100, although S100 expression was reportedly observed in up to 32% of JXGs.48 In cases of typical JXG, diagnosis of ALK-positive histiocytosis is recommended if ALK1 immunostaining or gene rearrangement is detected.18 The morphology, immunophenotype, genetics, and clinical presentations of JXG may also overlap with ECD.13,49,50 However, the mean age at diagnosis of ECD is approximately 46 years.49,51 Although there are rare instances of ECD in children,52–54 establishing a definite diagnosis of pediatric ECD is extremely difficult.

Molecular studies have revealed copy number aberrations and proved clonality in JXG, in support of a neoplastic process, although the comprehensive genetic profile of JXG is largely unknown.10 It appears that systemic or more advanced JXGs tend to have more genomic complexity.10 Moreover, few studies of JXG have reported mutations in the MAPK signaling pathway.9,10,55–57

Most cutaneous JXGs are self-limiting or are treated by local resection, and systemic therapies are not needed. In patients with extracutaneous JXGs, complete resection appears to yield more favorable outcomes. For instance, JXG of the testis might recur after partial resection without an orchiectomy, whereas no relapse has been reported in testicular JXG after orchiectomy.46 Similarly, some JXGs of the central nervous system require additional chemotherapy and/or radiotherapy.58 Currently, there is no standard treatment for disseminated JXGs, although targeted therapy using trametinib has been attempted.59

RDD

RDD, newly recognized in the latest WHO classification, is a rare non-LCH disorder affecting both children and adults.7,60–62 Many patients present with lymphadenopathy of unilateral or bilateral cervical lymph nodes, though axillary, inguinal, and other nodes can also be affected. Up to 40% of cases of RDD involve extranodal sites such as the skin, nasal cavity, bone, and any other body sites.63–67 Since the first report, the etiology of RDD has remained a mystery and infectious, genetic, and inflammatory processes have been postulated.68 Recent studies have identified KRAS and MAP2K1 mutations in a subset of RDD, which result in activation of the MAPK/ERK signaling pathway, as seen in many other histiocytic disorders.61,69,70 RDD or RDD-like lesions are also observed in immune dysregulation diseases such as RAS-associated autoimmune leukoproliferative disease,71 and autoimmune lymphoproliferative syndrome,61,72 or secondary to certain lymphoid neoplasms.73,74 Rare cases of familial RDD have been reported and might be associated with certain germline mutations.75

The diagnosis of RDD relies on the characteristic morphology of emperipolesis, which is described as an active, non-destructive engulfment of leukocytes including lymphocytes, plasma cells, and granulocytes by histiocytes. Inflammatory cells and fibrosis are often seen in the background of RDD, making it challenging to differentiate it from other inflammatory processes (Fig. 1). The typical immunophenotype of RDD shows positivity for histiocytic markers such as S100, CD11c, CD68, CD163, cyclin D1, and OCT2.76,77 In contrast, markers such as CD1a and CD207/Langerin are usually negative.

Example of Rosai-Dorfman-Destombes disease (RDD).
Fig. 1  Example of Rosai-Dorfman-Destombes disease (RDD).

A 15-year-old boy presented with lymphadenopathy and multiple lytic bone lesions. (a) Magnetic resonance imaging (sagittal T2) shows multifocal bone lesions. (b) Biopsy and hematoxylin and eosin analysis, 100×. (c-d) An inflammatory lesion with lymphoplasmacytic cells and occasional atypical histiocytes with emperipolesis (c), positive for S100 immunostaining (d), is shown at 400×. Subsequent lymph node excision biopsy also confirmed the diagnosis of RDD by an expert hematopathologist (data not shown). RDD, Rosai-Dorfman-Destombes disease.

Treatment of RDD depends on its clinical presentation. Sporadic RDD is often self-resolved.60,61 However, most RDDs might need local resection, and few patients have been reported to respond to targeted therapies.59,78 Moreover, some patients show resistance to conventional treatments and consequently have poor outcomes. Identifying these high-risk patients and establishing a risk stratification of RDD will be critical in the future.

ALK-positive histiocytosis

ALK-positive histiocytosis, recently recognized in the latest WHO classification, was first reported by Chan et al.79 in three infants with multiorgan involvement including the bone marrow, spleen, and liver. Additional cases in older children and adults were identified by Chang et al.20 A recent study of a large cohort of 39 cases by Emile et al.18 described the heterogenous pathological and clinical features of this entity. In their study, a group of patients with multisystemic ALK-positive histiocytosis were divided into two groups: Group 1A, comprised of cases similar to infantile cases reported by Chan et al.,79 and Group 1B, comprised of cases featuring central nervous system involvement in both children and adults. Among the remaining patients with solitary disease manifestations, more than 80% were children.18 Both the morphology and immunophenotype of the ALK-positive histiocytosis are heterogeneous, substantially overlapping with other non-LCH such as JXG.18,19,80,81 The diagnostic criteria include confirming ALK1 immunoreactivity and/or identifying an ALK gene rearrangement. The specific D5F3 clone of the ALK antibody can identify false negative cases.18 Although the partners of ALK fusion genes are varied, most patients respond to ALK inhibitor therapy according to a recent study.18

Moreover, depending on the cell origin of ALK1 immunoreactivity on histiocytes or myofibroblasts, occasional atypical cases of ALK-positive histiocytosis show ambiguous morphology and immunophenotype and overlap with inflammatory myofibroblastic tumors and other soft tissue tumors.82–85

Histiocytic sarcoma

Malignant histiocytosis was initially reported by Rappaport86 as a systemic, progressive, invasive proliferation of morphologically atypical histiocytes and their precursors. Recently, this condition became more commonly referred to as histiocytic sarcoma (HS). HS predominantly affects adults, although it can occur at any age.7,15,16,87 It can arise as a primary neoplasm or in the context of transdifferentiation from other antecedent or concurrent hematologic malignancies.15,16,88,89

Primary HS is extremely rare in children, whereas HS secondary to hematopoietic malignancies (sHS) commonly occurs in pediatric patients.15,90 A recent study by Egan et al.15 reported mutations in RAS/MAPK pathway genes in 14 out of 16 cases of sHS associated with mature or precursor B-cell and T-cell neoplasms. Interestingly, sHS shares a similar mutation profile and somatic hypermutation of IGH genes to its associated mature B-cell neoplasms, indicating a possible transdifferentiation process in sHS. For sHS associated with precursor hematopoietic malignancies, the sHS and their associated precursor neoplasms share common genetic aberrations and colonic divergence.15,90

The current diagnostic criteria for HS rely on the integration of cytological atypia, histiocytic immunophenotype, genetic abnormalities, and aggressive clinical presentation.15,16,74,86,91 However, occasionally, JXG and LCH can show aggressive clinical presentation without malignant histopathological features such as cytological atypia or increased mitoses.44,92,93 This makes it difficult to determine whether a case should be diagnosed as sHS or disseminated JXG secondary to hematopoietic malignancy (Fig. 2). Nevertheless, in the era of precision medicine, identification of underlying mutations in the RAS/MAPK signaling pathway is important to guide future therapeutic strategies.94,95

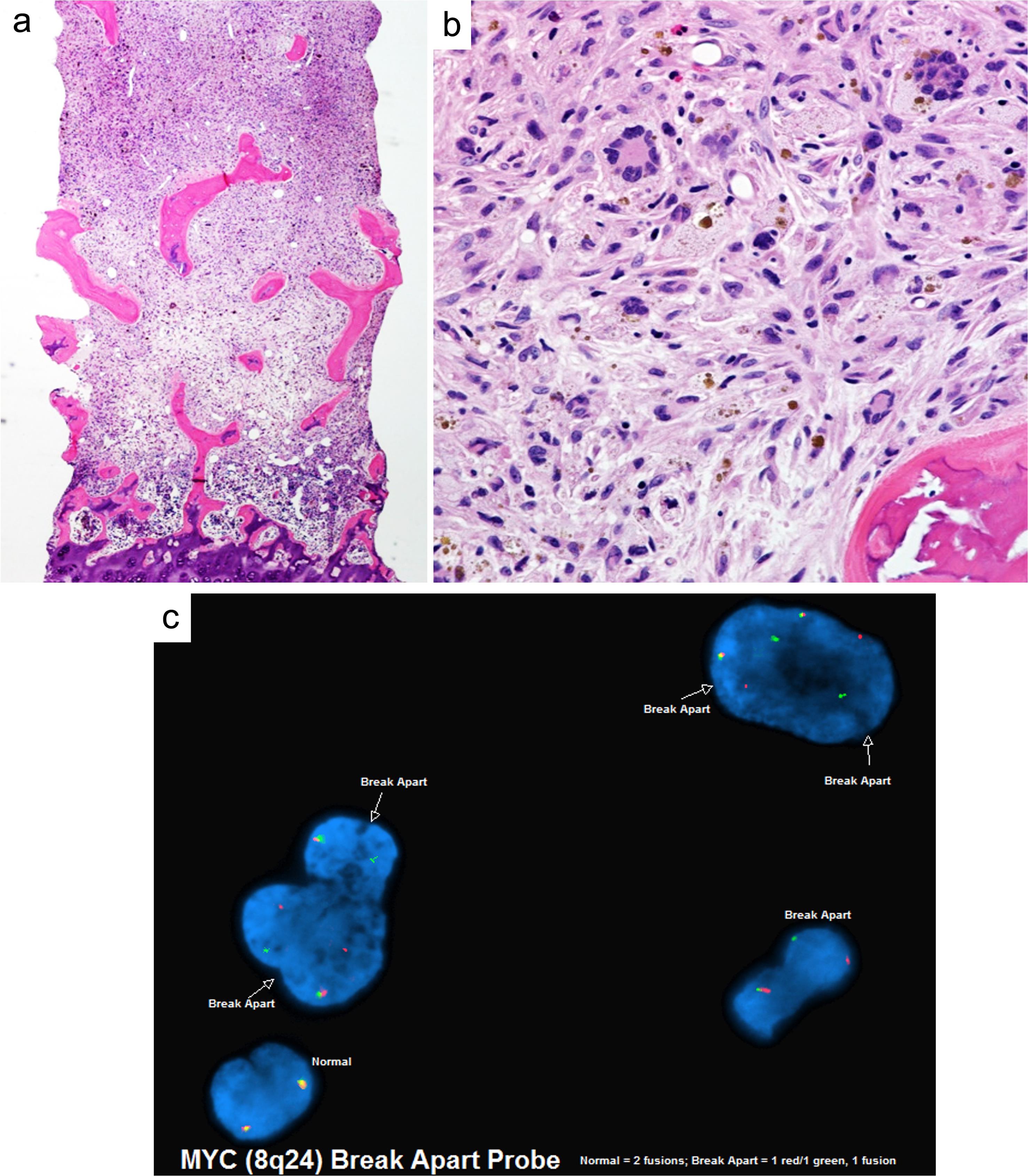
Example of histiocytic sarcoma secondary to T-lymphoblastic leukemia with MYC proto-oncogene gene rearrangement.
Fig. 2  Example of histiocytic sarcoma secondary to T-lymphoblastic leukemia with MYC proto-oncogene gene rearrangement.

A 2 year-old boy with mediastinal mass, hepatosplenomegaly, and circulating blasts was diagnosed with T-lymphoblastic leukemia with MYC-gene rearrangement by fluorescence in situ hybridization (FISH) and aberrant cytogenetics displaying 46,XY,t(8;14)(q24;q11.2) and der(12)t(12;20)(q11;q13.3), der(20)t(12;20)(q21;q13.3)[9]/46,XY[5]. The patient was partially responsive to chemotherapy before receiving a matched unrelated donor cord blood transplant. (a-b) On day 110 after transplant, bone marrow biopsy revealed diffuse infiltration of atypical histiocytes and occasional Touton giant cells, as shown here under hematoxylin and eosin staining at (a) 40× magnification and (b) 400× magnification. (c) FISH confirmed the persistence of MYC gene rearrangement. Positron emission tomography-computed tomography scan revealed disseminated disease. The patient died despite chemotherapy following the Langerhans cell histiocytosis III protocol. FISH, fluorescence in situ hybridization.

HLH

HLH is a syndrome characterized by severe systemic hyperinflammation. Patients present with unremitting fever, cytopenias, hepatosplenomegaly, elevation of HLH biomarkers, multiorgan failure, and a high mortality rate.22,23 HLH can be driven by genetic abnormalities (familial) or acquired (secondary) etiologies associated with infection, autoimmune, or malignant processes.96,97

Familial HLH is associated with genetic mutations in PRF1, UNC13D, STXBP2, and STX1. Other less frequent genetic defects affect genes involved in granule/pigment abnormalities (RAB27A, LYST, and AP3B1), X-linked lymphoproliferative disease genes (SH2D1A and XIAP), and others such as NLRC4 and CDC42. HLH is also associated with diseases that involve susceptibility to the Epstein-Barr virus (EBV), such as primary immune deficiencies and inborn errors of metabolism.22 The acquired etiology of HLH is broad, including underlying rheumatologic diseases, autoinflammatory disorders, infections, and malignancies.

The diagnosis of HLH is challenging. The criteria proposed by the Histiocyte Society, which are widely accepted, include fever, splenomegaly, cytopenias, hypertriglyceridemia and/or hypofibrinogenemia, hemophagocytosis, decreased natural killer-cell function, elevated ferritin level, and elevated soluble IL-2 receptor level. A diagnosis of HLH should be considered if a patient meets five out of these eight criteria. Genetic screening for HLH-associated mutations or evaluation of the triggered etiologies can help establish the diagnosis. Macrophage activation syndrome, a form of secondary HLH, often occurs in febrile patients with systemic juvenile inflammatory arthritis or other rheumatologic conditions. This syndrome is characterized by fever, high ferritin levels, thrombocytopenia, elevated aspartate aminotransferase levels, elevated triglycerides, and low fibrinogen levels.98

HLH is thought to result from impaired function of cytotoxic T-cells and natural killer cells, which can be identified by flow cytometry analysis. For instance, McCall et al.99 and Lin et al.100 observed an expansion of CD8 T-cell populations with variable decrease or loss of expression of CD5, CD7, and/or CD3 in both EBV-associated and non-EBV-associated HLH. Further studies showed that this aberrant T-cell immunophenotype may help discriminate EBV-negative secondary HLH from EBV-positive and familial HLH.101,102 Occasionally, clonal CD8+ T-cell expansion may be detected in HLH (Fig. 3), which poses a diagnostic challenge as it can resemble T-cell neoplasm.103

Example of aberrant T-cell population in familial hemophagocytic lymphohistiocytosis.
Fig. 3  Example of aberrant T-cell population in familial hemophagocytic lymphohistiocytosis.

A 1-month-old female infant presented with multiorgan failure and cytopenia and underwent a bone marrow biopsy. (a) Aspirate showed hemophagocytosis (Giemsa stain, 100×). (b) Flow cytometry identified an abnormal CD8+ CD5 T-cell population. Genetic testing confirmed a mutation in the PRF1 gene. Despite aggressive treatment, the patient died shortly thereafter.

Treatment of HLH should start as soon as this disease is suspected. Besides promptly addressing the underlying etiology, the current treatment for HLH often consists of immunosuppressive and chemotherapeutic drugs and targeted therapy to eliminate T-cell and macrophage activation and mitigate the cytokine storm.22,104

Conclusions

Pediatric histiocytic disorders present with a wide range of clinical signs and symptoms, pathologies, and genetic aberrations. Accurate diagnosis by specialized pathologists is essential for effective management of these conditions. Close follow-up is critical to monitor any long-term sequelae in these patients.

Abbreviations

ALK: 

anaplastic lymphoma kinase

EBV: 

Epstein-Barr virus

ERK: 

extracellular signal-regulated kinase

FISH: 

fluorescence in situ hybridization

HLH: 

hemophagocytic lymphohistiocytosis

HS: 

histiocytic sarcoma

JXG: 

juvenile xanthogranuloma

LCH: 

Langerhans cell histiocytosis

LCS: 

Langerhans cell sarcoma

LCS: 

langerhans cell sarcoma

MAPK: 

mitogen-activated protein kinase

N/A: 

not applicable

NF: 

neurofibromatosis

PI3K: 

phosphoinositide 3-kinase

RDD: 

Rosai-Dorfman-Destombes disease

sHS: 

histiocytic sarcoma secondary to hematopoietic malignancies

WHO: 

World Health Organization

Declarations

Acknowledgement

None.

Funding

None.

Conflict of interest

The authors declare that they have no conflicts of interest related to the publication of this manuscript.

Authors’ contributions

Study concept and design (JC), acquisition of data (JC, GZ, MP,JM, SG,ZP), analysis and interpretation of data (JC, GZ, MP,JM, SG,ZP), drafting of the manuscript (JC), critical revision of the manuscript for important intellectual content (JC,GZ, MP,JM, SG,ZP). All authors have made a significant contribution to this study and have approved the final manuscript..

References

  1. Pan Z, Xu ML. Histiocytic and Dendritic Cell Neoplasms. Surg Pathol Clin 2019;12(3):805-829 View Article PubMed/NCBI
  2. Milne P, Bigley V, Bacon CM, Néel A, McGovern N, Bomken S, et al. Hematopoietic origin of Langerhans cell histiocytosis and Erdheim-Chester disease in adults. Blood 2017;130(2):167-175 View Article PubMed/NCBI
  3. McClain K. Histiocytic disorders: insights into novel biology and implications for therapy of Langerhans cell histiocytosis and Erdheim-Chester disease. Hematology Am Soc Hematol Educ Program 2020;2020(1):395-399 View Article PubMed/NCBI
  4. Kim HM, Yang WI, Lyu CJ, Hahn SM, Yoon SO. Descriptive Analysis of Histiocytic and Dendritic Cell Neoplasms: A Single-Institution Experience. Yonsei Med J 2020;61(9):774-779 View Article PubMed/NCBI
  5. Yoon HS. A recent update on histiocytic disorder in children: focus on diagnosis and treatment. Clin Pediatr Hematol Oncol 2020;27:32-42 View Article
  6. Jaffe R. Pathology of histiocytosis X. Perspect Pediatr Pathol 1987;9:4-47 PubMed/NCBI
  7. Emile JF, Abla O, Fraitag S, Horne A, Haroche J, Donadieu J, Histiocyte Society, et al. Revised classification of histiocytoses and neoplasms of the macrophage-dendritic cell lineages. Blood 2016;127(22):2672-2681 View Article PubMed/NCBI
  8. Razanamahery J, Diamond EL, Cohen-Aubart F, Plate KH, Lourida G, Charlotte F, et al. Erdheim-Chester disease with concomitant Rosai-Dorfman like lesions: a distinct entity mainly driven by MAP2K1. Haematologica 2020;105(1):e5-e8 View Article PubMed/NCBI
  9. Picarsic J, Pysher T, Zhou H, Fluchel M, Pettit T, Whitehead M, et al. BRAF V600E mutation in Juvenile Xanthogranuloma family neoplasms of the central nervous system (CNS-JXG): a revised diagnostic algorithm to include pediatric Erdheim-Chester disease. Acta Neuropathol Commun 2019;7(1):168 View Article PubMed/NCBI
  10. Paxton CN, O’Malley DP, Bellizzi AM, Alkapalan D, Fedoriw Y, Hornick JL, et al. Genetic evaluation of juvenile xanthogranuloma: genomic abnormalities are uncommon in solitary lesions, advanced cases may show more complexity. Mod Pathol 2017;30(9):1234-1240 View Article PubMed/NCBI
  11. Wu KJ, Li SH, Liao JB, Chiou CC, Wu CS, Chen CC. NRAS Mutations May Be Involved in the Pathogenesis of Cutaneous Rosai Dorfman Disease: A Pilot Study. Biology (Basel) 2021;10(5):396 View Article PubMed/NCBI
  12. Wang Q, Ren H, Zheng L, Wang J, Zhong D. Recurrent central nervous system Rosai-Dorfman disease with KRAS mutation: a case report. Diagn Pathol 2023;18(1):21 View Article PubMed/NCBI
  13. Haroche J, Cohen-Aubart F, Amoura Z. Erdheim-Chester disease. Blood 2020;135(16):1311-1318 View Article PubMed/NCBI
  14. Bonometti A, Ferrario G, Parafioriti A, Giardino D, Simonetti F, Ginori A, et al. MAP2K1-driven mixed Langerhans cell histiocytosis, Rosai-Dorfman-Destombes disease and Erdheim-Chester disease, clonally related to acute myeloid leukemia. J Cutan Pathol 2021;48(5):637-643 View Article PubMed/NCBI
  15. Egan C, Lack J, Skarshaug S, Pham TA, Abdullaev Z, Xi L, et al. The mutational landscape of histiocytic sarcoma associated with lymphoid malignancy. Mod Pathol 2021;34(2):336-347 View Article PubMed/NCBI
  16. Egan C, Nicolae A, Lack J, Chung HJ, Skarshaug S, Pham TA, et al. Genomic profiling of primary histiocytic sarcoma reveals two molecular subgroups. Haematologica 2020;105(4):951-960 View Article PubMed/NCBI
  17. Gupta GK, Xi L, Pack SD, Jones JB, Pittaluga S, Raffeld M, et al. ALK-positive histiocytosis with KIF5B-ALK fusion in an adult female. Haematologica 2019;104(11):e534-e536 View Article PubMed/NCBI
  18. Kemps PG, Picarsic J, Durham BH, Hélias-Rodzewicz Z, Hiemcke-Jiwa L, van den Bos C, et al. ALK-positive histiocytosis: a new clinicopathologic spectrum highlighting neurologic involvement and responses to ALK inhibition. Blood 2022;139(2):256-280 View Article PubMed/NCBI
  19. Huang H, Gheorghe G, North PE, Suchi M. Expanding the Phenotype of ALK-positive Histiocytosis: A Report of 2 Cases. Pediatr Dev Pathol 2018;21(5):449-455 View Article PubMed/NCBI
  20. Chang KTE, Tay AZE, Kuick CH, Chen H, Algar E, Taubenheim N, et al. ALK-positive histiocytosis: an expanded clinicopathologic spectrum and frequent presence of KIF5B-ALK fusion. Mod Pathol 2019;32(5):598-608 View Article PubMed/NCBI
  21. Khoury JD, Solary E, Abla O, Akkari Y, Alaggio R, Apperley JF, et al. The 5th edition of the World Health Organization Classification of Haematolymphoid Tumours: Myeloid and Histiocytic/Dendritic Neoplasms. Leukemia 2022;36(7):1703-1719 View Article PubMed/NCBI
  22. Canna SW, Marsh RA. Pediatric hemophagocytic lymphohistiocytosis. Blood 2020;135(16):1332-1343 View Article PubMed/NCBI
  23. Carvelli J, Piperoglou C, Farnarier C, Vely F, Mazodier K, Audonnet S, et al. Functional and genetic testing in adults with HLH reveals an inflammatory profile rather than a cytotoxicity defect. Blood 2020;136(5):542-552 View Article PubMed/NCBI
  24. Jesudas R, Nichols KE. Recent advances in the treatment of hemophagocytic lymphohistiocytosis and macrophage activation syndrome. Curr Opin Allergy Clin Immunol 2022;22(6):364-370 View Article PubMed/NCBI
  25. Allen CE, Ladisch S, McClain KL. How I treat Langerhans cell histiocytosis. Blood 2015;126(1):26-35 View Article PubMed/NCBI
  26. Milne P, Bomken S, Slater O, Kumar A, Nelson A, Roy S, et al. Lineage switching of the cellular distribution of BRAFV600E in multisystem Langerhans cell histiocytosis. Blood Adv 2023;7(10):2171-2176 View Article PubMed/NCBI
  27. Kudo K, Toki T, Kanezaki R, Tanaka T, Kamio T, Sato T, et al. BRAF V600E-positive cells as molecular markers of bone marrow disease in pediatric Langerhans cell histiocytosis. Haematologica 2022;107(7):1719-1725 View Article PubMed/NCBI
  28. Rodriguez-Galindo C, Allen CE. Langerhans cell histiocytosis. Blood 2020;135(16):1319-1331 View Article PubMed/NCBI
  29. Badalian-Very G, Vergilio JA, Degar BA, MacConaill LE, Brandner B, Calicchio ML, et al. Recurrent BRAF mutations in Langerhans cell histiocytosis. Blood 2010;116(11):1919-1923 View Article PubMed/NCBI
  30. Brown NA, Furtado LV, Betz BL, Kiel MJ, Weigelin HC, Lim MS, et al. High prevalence of somatic MAP2K1 mutations in BRAF V600E-negative Langerhans cell histiocytosis. Blood 2014;124(10):1655-1658 View Article PubMed/NCBI
  31. Xerri L, Adélaïde J, Popovici C, Garnier S, Guille A, Mescam-Mancini L, et al. CDKN2A/B Deletion and Double-hit Mutations of the MAPK Pathway Underlie the Aggressive Behavior of Langerhans Cell Tumors. Am J Surg Pathol 2018;42(2):150-159 View Article PubMed/NCBI
  32. Hutter C, Kauer M, Simonitsch-Klupp I, Jug G, Schwentner R, Leitner J, et al. Notch is active in Langerhans cell histiocytosis and confers pathognomonic features on dendritic cells. Blood 2012;120(26):5199-5208 View Article PubMed/NCBI
  33. Kvedaraite E, Milne P, Khalilnezhad A, Chevrier M, Sethi R, Lee HK, et al. Notch-dependent cooperativity between myeloid lineages promotes Langerhans cell histiocytosis pathology. Sci Immunol 2022;7(78):eadd3330 View Article PubMed/NCBI
  34. Sholl LM, Hornick JL, Pinkus JL, Pinkus GS, Padera RF. Immunohistochemical analysis of langerin in langerhans cell histiocytosis and pulmonary inflammatory and infectious diseases. Am J Surg Pathol 2007;31(6):947-952 View Article PubMed/NCBI
  35. Lau SK, Chu PG, Weiss LM. Immunohistochemical expression of Langerin in Langerhans cell histiocytosis and non-Langerhans cell histiocytic disorders. Am J Surg Pathol 2008;32(4):615-619 View Article PubMed/NCBI
  36. Nezelof C, Basset F, Diebold N. [Histiocytosis X: a differentiated histiocytic process]. Pathol Biol (Paris) 1975;23(6):499 PubMed/NCBI
  37. Olexen CM, Rosso DA, Nowak W, Fortunati D, Errasti AE, Carrera Silva EA. Monitoring Circulating CD207(+)CD1a(+) Cells in Langerhans Cell Histiocytosis and Clinical Implications. J Immunol 2022;209(2):270-279 View Article PubMed/NCBI
  38. Steinbok P, Cheong A, Dix DB, Bhatia S, Handler MH, Limbrick DD, et al. Nonoperative Management of Childhood Calvarial Langerhans-Cell Histiocytosis. N Engl J Med 2022;386(26):2532-2534 View Article PubMed/NCBI
  39. Eckstein OS, Nuchtern JG, Mallory GB, Guillerman RP, Musick MA, Barclay M, et al. Management of severe pulmonary Langerhans cell histiocytosis in children. Pediatr Pulmonol 2020;55(8):2074-2081 View Article PubMed/NCBI
  40. Gulati N, Allen CE. Langerhans cell histiocytosis: Version 2021. Hematol Oncol 2021;39(Suppl 1):15-23 View Article PubMed/NCBI
  41. Dehner LP. Juvenile xanthogranulomas in the first two decades of life: a clinicopathologic study of 174 cases with cutaneous and extracutaneous manifestations. Am J Surg Pathol 2003;27(5):579-593 View Article PubMed/NCBI
  42. Clark EE, Walton M, Chow LML, Boyd JT, Yohannan MD, Arya S. Disseminated Juvenile Xanthogranuloma with a Novel MYH9-FLT3 Fusion Presenting as a Blueberry Muffin Rash in a Neonate. AJP Rep 2023;13(1):e5-e10 View Article PubMed/NCBI
  43. Janssen D, Harms D. Juvenile xanthogranuloma in childhood and adolescence: a clinicopathologic study of 129 patients from the kiel pediatric tumor registry. Am J Surg Pathol 2005;29(1):21-28 View Article PubMed/NCBI
  44. Narváez-Moreno B, Pulpillo-Ruiz Á, De Zulueta-Dorado T, Conejo-Mir J. Disseminated juvenile xanthogranuloma associated with follicular lymphoma in an adult: successful treatment with chemotherapy and rituximab. A review of the literature. Actas Dermosifiliogr 2013;104(3):242-246 View Article PubMed/NCBI
  45. Pawińska-Wa Sikowska K, Cwiklinska M, Wyrobek E, Balwierz W, Bukowska-Strakova K, Dluzniewska A, et al. Disseminated Juvenile Xanthogranuloma and Hemophagocytic Lymphohistiocytosis Developed During Treatment of Acute Lymphoblastic Leukemia: Case Report. Front Oncol 2020;10:921 View Article PubMed/NCBI
  46. Suson K, Mathews R, Goldstein JD, Dehner LP. Juvenile xanthogranuloma presenting as a testicular mass in infancy: a clinical and pathologic study of three cases. Pediatr Dev Pathol 2010;13(1):39-45 View Article PubMed/NCBI
  47. Zou T, Wei A, Ma H, Lian H, Liu Y, Wang D, et al. Systemic juvenile xanthogranuloma: A systematic review. Pediatr Blood Cancer 2023;70(5):e30232 View Article PubMed/NCBI
  48. Salari B, Dehner LP. Juvenile and adult xanthogranuloma: A 30-year single-center experience and review of the disorder and its relationship to other histiocytoses. Ann Diagn Pathol 2022;58:151940 View Article PubMed/NCBI
  49. Goyal G, Heaney ML, Collin M, Cohen-Aubart F, Vaglio A, Durham BH, et al. Erdheim-Chester disease: consensus recommendations for evaluation, diagnosis, and treatment in the molecular era. Blood 2020;135(22):1929-1945 View Article PubMed/NCBI
  50. Ozkaya N, Rosenblum MK, Durham BH, Pichardo JD, Abdel-Wahab O, Hameed MR, et al. The histopathology of Erdheim-Chester disease: a comprehensive review of a molecularly characterized cohort. Mod Pathol 2018;31(4):581-597 View Article PubMed/NCBI
  51. Estrada-Veras JI, O’Brien KJ, Boyd LC, Dave RH, Durham B, Xi L, et al. The clinical spectrum of Erdheim-Chester disease: an observational cohort study. Blood Adv 2017;1(6):357-366 View Article PubMed/NCBI
  52. Tran TA, Fabre M, Pariente D, Craiu I, Haroche J, Charlotte F, et al. Erdheim-Chester disease in childhood: a challenging diagnosis and treatment. J Pediatr Hematol Oncol 2009;31(10):782-786 View Article PubMed/NCBI
  53. Gupta AK, M AW, Meena JP, ArunRaj ST, Mridha A, Naranje P, et al. A rare presentation of Erdheim Chester disease in a pediatric patient subsequently cured on the LCH III protocol. Cancer Rep (Hoboken) 2021;4(1):e1304 View Article PubMed/NCBI
  54. Pegoraro F, Mazzariol M, Trambusti I, Bakhshi S, Mallick S, Dunkel IJ, et al. Childhood-onset Erdheim-Chester disease in the molecular era: clinical phenotypes and long-term outcomes of 21 patients. Blood 2023;142(13):1167-1171 View Article PubMed/NCBI
  55. Techavichit P, Sosothikul D, Chaichana T, Teerapakpinyo C, Thorner PS, Shuangshoti S. BRAF V600E mutation in pediatric intracranial and cranial juvenile xanthogranuloma. Hum Pathol 2017;69:118-122 View Article PubMed/NCBI
  56. Chakraborty R, Hampton OA, Abhyankar H, Zinn DJ, Grimes A, Skull B, et al. Activating MAPK1 (ERK2) mutation in an aggressive case of disseminated juvenile xanthogranuloma. Oncotarget 2017;8(28):46065-46070 View Article PubMed/NCBI
  57. Seidel MG, Brcic L, Hoefler G, Hutter C, Minkov M, Steffen LS, et al. Concurrence of a kinase-dead BRAF and an oncogenic KRAS gain-of-function mutation in juvenile xanthogranuloma. Pediatr Blood Cancer 2023;70(4):e30060 View Article PubMed/NCBI
  58. Deisch JK, Patel R, Koral K, Cope-Yokoyama SD. Juvenile xanthogranulomas of the nervous system: A report of two cases and review of the literature. Neuropathology 2013;33(1):39-46 View Article PubMed/NCBI
  59. Aaroe A, Kurzrock R, Goyal G, Goodman AM, Patel H, Ruan G, et al. Successful treatment of non-Langerhans cell histiocytosis with the MEK inhibitor trametinib: a multicenter analysis. Blood Adv 2023;7(15):3984-3992 View Article PubMed/NCBI
  60. Rodriguez-Galindo C, Helton KJ, Sánchez ND, Rieman M, Jeng M, Wang W. Extranodal Rosai-Dorfman disease in children. J Pediatr Hematol Oncol 2004;26(1):19-24 View Article PubMed/NCBI
  61. Elbaz Younes I, Sokol L, Zhang L. Rosai-Dorfman Disease between Proliferation and Neoplasia. Cancers (Basel) 2022;14(21):5271 View Article PubMed/NCBI
  62. Goyal G, Young JR, Koster MJ, Tobin WO, Vassallo R, Ryu JH, et al. The Mayo Clinic Histiocytosis Working Group Consensus Statement for the Diagnosis and Evaluation of Adult Patients With Histiocytic Neoplasms: Erdheim-Chester Disease, Langerhans Cell Histiocytosis, and Rosai-Dorfman Disease. Mayo Clin Proc 2019;94(10):2054-2071 View Article PubMed/NCBI
  63. Al-Saad K, Thorner P, Ngan BY, Gerstle JT, Kulkarni AV, Babyn P, et al. Extranodal Rosai-Dorfman disease with multifocal bone and epidural involvement causing recurrent spinal cord compression. Pediatr Dev Pathol 2005;8(5):593-598 View Article PubMed/NCBI
  64. Ahmed A, Crowson N, Magro CM. A comprehensive assessment of cutaneous Rosai-Dorfman disease. Ann Diagn Pathol 2019;40:166-173 View Article PubMed/NCBI
  65. Adeleye AO, Amir G, Fraifeld S, Shoshan Y, Umansky F, Spektor S. Diagnosis and management of Rosai-Dorfman disease involving the central nervous system. Neurol Res 2010;32(6):572-578 View Article PubMed/NCBI
  66. Demicco EG, Rosenberg AE, Björnsson J, Rybak LD, Unni KK, Nielsen GP. Primary Rosai-Dorfman disease of bone: a clinicopathologic study of 15 cases. Am J Surg Pathol 2010;34(9):1324-1333 View Article PubMed/NCBI
  67. Furia S, Nannini N, Pascarella A, Breda C. Mediastinal Rosai-Dorfman Disease With Widespread Lesions: When Surgical Biopsy Is Needed. Ann Thorac Surg 2020;109(1):e45-e47 View Article PubMed/NCBI
  68. Rosai J, Dorfman RF. Sinus histiocytosis with massive lymphadenopathy. A newly recognized benign clinicopathological entity. Arch Pathol 1969;87(1):63-70 PubMed/NCBI
  69. Diamond EL, Durham BH, Haroche J, Yao Z, Ma J, Parikh SA, et al. Diverse and Targetable Kinase Alterations Drive Histiocytic Neoplasms. Cancer Discov 2016;6(2):154-165 View Article PubMed/NCBI
  70. Garces S, Medeiros LJ, Patel KP, Li S, Pina-Oviedo S, Li J, et al. Mutually exclusive recurrent KRAS and MAP2K1 mutations in Rosai-Dorfman disease. Mod Pathol 2017;30(10):1367-1377 View Article PubMed/NCBI
  71. Ragotte RJ, Dhanrajani A, Pleydell-Pearce J, Del Bel KL, Tarailo-Graovac M, van Karnebeek C, et al. The importance of considering monogenic causes of autoimmunity: A somatic mutation in KRAS causing pediatric Rosai-Dorfman syndrome and systemic lupus erythematosus. Clin Immunol 2017;175:143-146 View Article PubMed/NCBI
  72. Maric I, Pittaluga S, Dale JK, Niemela JE, Delsol G, Diment J, et al. Histologic features of sinus histiocytosis with massive lymphadenopathy in patients with autoimmune lymphoproliferative syndrome. Am J Surg Pathol 2005;29(7):903-911 View Article PubMed/NCBI
  73. Chen LYC, Slack GW, Carruthers MN. IgG4-related disease and Rosai-Dorfman-Destombes disease. Lancet 2021;398(10307):1213-1214 View Article PubMed/NCBI
  74. Campo E, Jaffe ES, Cook JR, Quintanilla-Martinez L, Swerdlow SH, Anderson KC, et al. The International Consensus Classification of Mature Lymphoid Neoplasms: a report from the Clinical Advisory Committee. Blood 2022;140(11):1229-1253 View Article PubMed/NCBI
  75. Kismet E, Köseoglu V, Atay AA, Deveci S, Demirkaya E, Tuncer K. Sinus histiocytosis with massive lymphadenopathy in three brothers. Pediatr Int 2005;47(4):473-476 View Article PubMed/NCBI
  76. Ravindran A, Goyal G, Go RS, Rech KL, Mayo Clinic Histiocytosis Working Group. Rosai-Dorfman Disease Displays a Unique Monocyte-Macrophage Phenotype Characterized by Expression of OCT2. Am J Surg Pathol 2021;45(1):35-44 View Article PubMed/NCBI
  77. Baraban E, Sadigh S, Rosenbaum J, Van Arnam J, Bogusz AM, Mehr C, et al. Cyclin D1 expression and novel mutational findings in Rosai-Dorfman disease. Br J Haematol 2019;186(6):837-844 View Article PubMed/NCBI
  78. Jacobsen E, Shanmugam V, Jagannathan J. Rosai-Dorfman Disease with Activating KRAS Mutation - Response to Cobimetinib. N Engl J Med 2017;377(24):2398-2399 View Article PubMed/NCBI
  79. Chan JK, Lamant L, Algar E, Delsol G, Tsang WY, Lee KC, et al. ALK+ histiocytosis: a novel type of systemic histiocytic proliferative disorder of early infancy. Blood 2008;112(7):2965-2968 View Article PubMed/NCBI
  80. Lucas CG, Gilani A, Solomon DA, Liang X, Maher OM, Chamyan G, et al. ALK-positive histiocytosis with KIF5B-ALK fusion in the central nervous system. Acta Neuropathol 2019;138(2):335-337 View Article PubMed/NCBI
  81. Rossi S, Gessi M, Barresi S, Tamburrini G, Giovannoni I, Ruggiero A, et al. ALK-rearranged histiocytosis: Report of two cases with involvement of the central nervous system. Neuropathol Appl Neurobiol 2021;47(6):878-881 View Article PubMed/NCBI
  82. Jaffe ES, Chan JKC. Histiocytoses converge through common pathways. Blood 2022;139(2):157-159 View Article PubMed/NCBI
  83. Tran TAN, Chang KTE, Kuick CH, Goh JY, Chang CC. Local ALK-Positive Histiocytosis With Unusual Morphology and Novel TRIM33-ALK Gene Fusion. Int J Surg Pathol 2021;29(5):543-549 View Article PubMed/NCBI
  84. Yuan CT, Chen JS, Huang YL, Zhang MS, Hsieh MS. ALK-positive histiocytosis presenting as a solitary pulmonary nodule. Br J Haematol 2022;199(1):7 View Article PubMed/NCBI
  85. Fujiki T, Sakai Y, Ikawa Y, Takenaka M, Noguchi K, Kuroda R, et al. Pediatric inflammatory myofibroblastic tumor of the bladder with ALK-FN1 fusion successfully treated by alectinib. Pediatr Blood Cancer 2023;70(4):e30172 View Article PubMed/NCBI
  86. Rappaport H. Tumors of the hematopoietic system. Atlas of Tumor Pathology. Washington, DC: Armed Forces Institute of Pathology; 1966;3(8)
  87. Hornick JL, Jaffe ES, Fletcher CD. Extranodal histiocytic sarcoma: clinicopathologic analysis of 14 cases of a rare epithelioid malignancy. Am J Surg Pathol 2004;28(9):1133-1144 View Article PubMed/NCBI
  88. Shao H, Xi L, Raffeld M, Feldman AL, Ketterling RP, Knudson R, et al. Clonally related histiocytic/dendritic cell sarcoma and chronic lymphocytic leukemia/small lymphocytic lymphoma: a study of seven cases. Mod Pathol 2011;24(11):1421-1432 View Article PubMed/NCBI
  89. Kumar J, Al-Kawaaz M, Martin BA, Hegazi MM, Tan B, Gratzinger D. Histiocytic Sarcoma With CCND1 Gene Rearrangement Clonally Related and Transdifferentiated From Mantle Cell Lymphoma. Am J Clin Pathol 2022;158(4):449-455 View Article PubMed/NCBI
  90. Feldman AL, Berthold F, Arceci RJ, Abramowsky C, Shehata BM, Mann KP, et al. Clonal relationship between precursor T-lymphoblastic leukaemia/lymphoma and Langerhans-cell histiocytosis. Lancet Oncol 2005;6(6):435-437 View Article PubMed/NCBI
  91. Alaggio R, Amador C, Anagnostopoulos I, Attygalle AD, Araujo IBO, Berti E, et al. The 5th edition of the World Health Organization Classification of Haematolymphoid Tumours: Lymphoid Neoplasms. Leukemia 2022;36(7):1720-1748 View Article PubMed/NCBI
  92. Chan WH, Shah A, Bae G, Hambro C, Martin BA, Brown R, et al. Disseminated non-Langerhans cell histiocytosis with an IRF2BP2-NTRK1 gene fusion identified by next-generation sequencing. JAAD Case Rep 2020;6(11):1156-1158 View Article PubMed/NCBI
  93. Batista AC, Mendonça EF, Arantes Elias LS, Andrade BA, Almeida OP, León JE. Nonlipidized juvenile xanthogranuloma: an unusual variant with a potential diagnostic pitfall. Int J Pediatr Otorhinolaryngol 2012;76(2):295-299 View Article
  94. Venkataraman V, Massoth LR, Sullivan RJ, Friedmann AM. Secondary histiocytic sarcoma with BRAF(V600E) mutation responsive to MAPK-targeted therapy presenting with recurrence with mTOR mutation responsive to mTOR-targeted therapy. Pediatr Blood Cancer 2021;68(10):e29166 View Article PubMed/NCBI
  95. Rassidakis GZ, Stromberg O, Xagoraris I, Jatta K, Sonnevi K. Trametinib and Dabrafenib in histiocytic sarcoma transdifferentiated from chronic lymphocytic leukemia with a K-RAS and a unique BRAF mutation. Ann Hematol 2020;99(3):649-651 View Article PubMed/NCBI
  96. Song Z, Tu D, Tang G, Liu N, Tai Z, Yang J, et al. Hemophagocytic lymphohistiocytosis and disseminated intravascular coagulation are underestimated, but fatal adverse events in chimeric antigen receptor T-cell therapy. Haematologica 2023;108(8):2067-2079 View Article PubMed/NCBI
  97. Allen J, McCambridge MM, Kincaid H, Kalter JA. Incidence of Secondary Hemophagocytic Lymphohistiocytosis in Critically-Ill COVID-19 Patients. Cureus 2021;13(7):e16735 View Article PubMed/NCBI
  98. Henderson LA, Cron RQ. Macrophage Activation Syndrome and Secondary Hemophagocytic Lymphohistiocytosis in Childhood Inflammatory Disorders: Diagnosis and Management. Paediatr Drugs 2020;22(1):29-44 View Article PubMed/NCBI
  99. McCall CM, Mudali S, Arceci RJ, Small D, Fuller S, Gocke CD, et al. Flow cytometric findings in hemophagocytic lymphohistiocytosis. Am J Clin Pathol 2012;137(5):786-794 View Article PubMed/NCBI
  100. Lin MT, Chang HM, Huang CJ, Chen WL, Lin CY, Lin CY, et al. Massive expansion of EBV+ monoclonal T cells with CD5 down regulation in EBV-associated haemophagocytic lymphohistiocytosis. J Clin Pathol 2007;60(1):101-103 View Article PubMed/NCBI
  101. Park MS, Yoo IY, Kim HJ, Kim SH, Kim SJ, Cho D. Flow Cytometric Analysis of T Cells in Hemophagocytic Lymphohistiocytosis. Ann Lab Med 2019;39(5):430-437 View Article PubMed/NCBI
  102. Wada T, Sakakibara Y, Nishimura R, Toma T, Ueno Y, Horita S, et al. Down-regulation of CD5 expression on activated CD8+ T cells in familial hemophagocytic lymphohistiocytosis with perforin gene mutations. Hum Immunol 2013;74(12):1579-1585 View Article PubMed/NCBI
  103. Toga A, Wada T, Sakakibara Y, Mase S, Araki R, Tone Y, et al. Clinical significance of cloned expansion and CD5 down-regulation in Epstein-Barr Virus (EBV)-infected CD8+ T lymphocytes in EBV-associated hemophagocytic lymphohistiocytosis. J Infect Dis 2010;201(12):1923-1932 View Article PubMed/NCBI
  104. Lounder DT, Bin Q, de Min C, Jordan MB. Treatment of refractory hemophagocytic lymphohistiocytosis with emapalumab despite severe concurrent infections. Blood Adv 2019;3(1):47-50 View Article PubMed/NCBI

About this Article

Cite this article
Cheng J, Zhu G, Pan M, Gong S, Mo J, Pan Z. Pediatric Histiocytic Disorders: Morphology, Immunophenotype and Genetics. J Clin Transl Pathol. 2023;3(4):151-159. doi: 10.14218/JCTP.2023.00027.
Copy        Export to RIS        Export to EndNote
Article History
Received Revised Accepted Published
August 4, 2023 October 31, 2023 November 20, 2023 December 13, 2023
DOI http://dx.doi.org/10.14218/JCTP.2023.00027
  • Journal of Clinical and Translational Pathology
  • pISSN 2993-5202
  • eISSN 2771-165X
Back to Top

Pediatric Histiocytic Disorders: Morphology, Immunophenotype and Genetics

Jinjun Cheng, Guo Zhu, Miao Pan, Shunyou Gong, Jun Mo, Zenggang Pan
  • Reset Zoom
  • Download TIFF