v
Search
Advanced

Publications > Journals > Journal of Clinical and Translational Pathology> Article Full Text

  • OPEN ACCESS

A New Approach to Differentiating Large Granular Lymphocytic Leukemias and Their Mimics in Light of Current Updates in the 5th Edition of the WHO Classification

  • Dylan W. Purkiss,
  • Iris E. Lee,
  • Dan Xu and
  • Jun Wang* 
 Author information 

Abstract

Background and Objective

Large granular lymphocytic leukemias (LGLLs), including T-cell LGLL and natural kill (NK)-cell LGLL variants, are rare lymphoproliferative disorders characterized by the chronic proliferation of cytotoxic lymphocytes. Despite recent advancements, challenges remain in distinguishing these entities from one another and from related disorders, such as T-cell prolymphocytic leukemia, adult T-cell leukemia/lymphoma, Sézary syndrome, and aggressive NK-cell leukemia, owing to overlapping clinical and morphologic features. This article aims to review the role of molecular and immunophenotypic markers in guiding diagnosis and prognosis of LGLLs, with brief review of their clinical and morphologic features by synthesizing current advances in molecular pathogenesis, immunophenotypic profiling, and updated World Health Organization (WHO) classification criteria in order to enhance diagnostic precision, improve prognostic assessment, and inform personalized treatment strategies for these challenging disorders.

Methods

Literature was searched through Pubmed and the recently published 5th WHO classification criteria. Articles were reviewed and analyzed with emphasis on recent molecular and cytogenetic insights.

Results

A total of 106 publications were reviewed, and the recent molecular insights—focusing on those concerning STAT3 mutations in T-cell LGLL and TET2 mutations in NK-cell LGLL which have refined diagnostic frameworks, though gaps persist in understanding their clinical relevance and variability.

Conclusions

By providing a comparative analysis of large granular lymphocytic leukemias and their differential diagnoses in cooperation of the current advances in molecular pathogenesis, immunophenotypic profiling, and updated WHO classification criteria, this work aimed to enhance diagnostic precision, improve prognostic assessment, and inform personalized treatment strategies for these challenging LGLLs.

Keywords

Leukemia, Large granular lymphocytic, Leukemia-lymphoma, Adult T-cell, Sezary syndrome, Immunophenotyping, Pathogenesis

Introduction

Large granular lymphocytic leukemias (LGLLs) encompass a spectrum of rare lymphoproliferative disorders that share overlapping diagnostic features but differ in clinical behavior, molecular markers, and therapeutic approaches. These entities pose unique diagnostic challenges due to cytologic similarities and overlapping immunophenotypic markers, often complicating early diagnosis. Misdiagnosis or delayed differentiation among these disorders may lead to inappropriate treatment strategies and impact patient outcomes. In light of recent updates in the World Health Organization’s (WHO) fifth edition for hematolymphoid tumors, this review synthesizes advances in the understanding of T-cell LGLL (T-LGLL) and related disorders to provide a practical framework for accurate diagnosis and optimized patient management.

This review explores the distinguishing features of T-LGLL, followed by a comprehensive approach to the differential diagnoses often considered for LGLLs. These include all mature T-cell and natural kill (NK)-cell leukemias, such as T-prolymphocytic leukemia/lymphoma (T-PLL), NK-cell LGLL (NK-LGLL), adult T-cell leukemia/lymphoma (ATLL), and Sézary syndrome (SS), along with brief discussions on aggressive NK-cell leukemia (ANKL). By delving into the molecular and clinical hallmarks, this review aimed to equip practitioners with a nuanced framework for the workup and management of large granular lymphocytic leukemias.

T-LGLL

T-LGLL is a rare lymphoproliferative neoplasm consisting of large granular T cells, often involving peripheral blood, bone marrow, and spleen. Splenomegaly has been reported in a wide range of T-LGLL patients (20–50%) but is usually not prominent. Hepatomegaly is less common, and lymphadenopathy is even more rare.1,2 T-LGLL accounts for less than 5% of chronic lymphoproliferative disorders and is diagnosed primarily in adults (median age: 60 years) without a predilection for sex.3

Approximately one-third of patients are asymptomatic. In the majority of symptomatic patients, clinical presentations are related to their cytopenia(s).4,5 Neutropenia is common, affecting as many as 80% of T-LGLL patients and can be defined as an absolute neutrophil count of <1,500 cells/µL. Studies have shown severe neutropenia (<500 cells/µL) in approximately one-fourth of T-LGLL cases. Complications observed with chronic neutropenia include recurrent oral, skin, and perirectal ulcers, and sometimes, severe sepsis or pneumonia.1 Anemia and thrombocytopenia are less common than neutropenia.5 Some patients present with transfusion-dependent anemia, and a subset of patients has pure red blood cell aplasia (anemia with low reticulocyte counts and no erythroid precursors in their marrow).4,6

T-LGLL is most famously associated with rheumatoid arthritis, but other autoimmune diseases like systemic lupus erythematosus and Sjögren syndrome have been linked as well. At least one-third of the T-LGLL population have serologic abnormalities (detection of rheumatoid factor, antinuclear antibody, polyclonal hypergammaglobulinemia, etc.), which reinforce an immune-activating context in T-LGLL.1,7

Monoclonal B-cell lymphocytosis can also coexist with T-LGLL (∼25% of cases), and approximately 5% of T-LGLL patients have concurrent hematologic malignancies, mostly B-cell lymphomas.8,9

Pathogenesis and molecular abnormalities

Because of T-LGLL’s association with autoimmune and hematologic disorders, as well as demonstration of seroreactivity to retroviral proteins (especially human T-cell leukemia virus-1 (HTLV-1)-related proteins), chronic antigenic stimulation is thought to play a key role in the pathogenesis of T-LGLL.10–12 The proinflammatory cytokine IL-15 and autocrine platelet-derived growth factor stimulate oligoclonal or clonal expansion of T-LGLL memory effector T cells, and these cells resist FAS/FAS ligand-mediated apoptosis.13–15

In addition, constitutive STAT3 activation and gene deregulation contribute to T-LGLL cell proliferation and survival.16,17 More recently, recurrent gain-of-function STAT5B mutations have been elucidated in CD4+ T-LGLL cases but are still rare in the CD8+ or γδ subtypes of T-LGLL.18,19 Other recurrent gene mutations in T-LGLL include TET2, TN-FAIP3, BCL11B, FLT3, and PTPN23, as well as disturbances in the PI3K/AKT and NF-κB pathways contributing to T-LGLL’s pathogenesis.20–24 Monoclonal or oligoclonal T-cell receptor (TCR) gene rearrangement is a key feature in T-LGLL. Although most cases maintain a consistent monoclonal expansion, changes in the dominant clone can occur.25

Immunophenotype and morphology

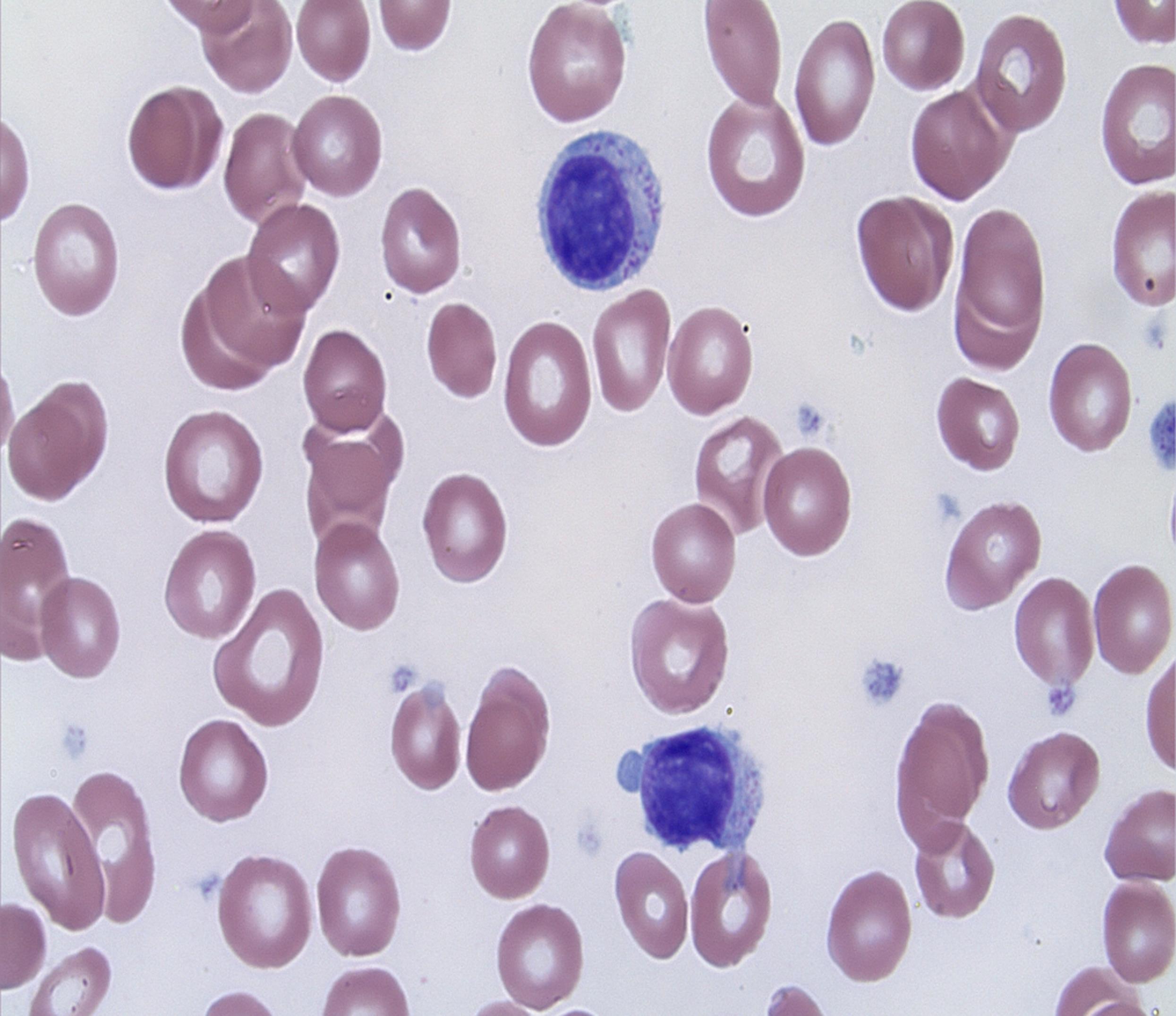
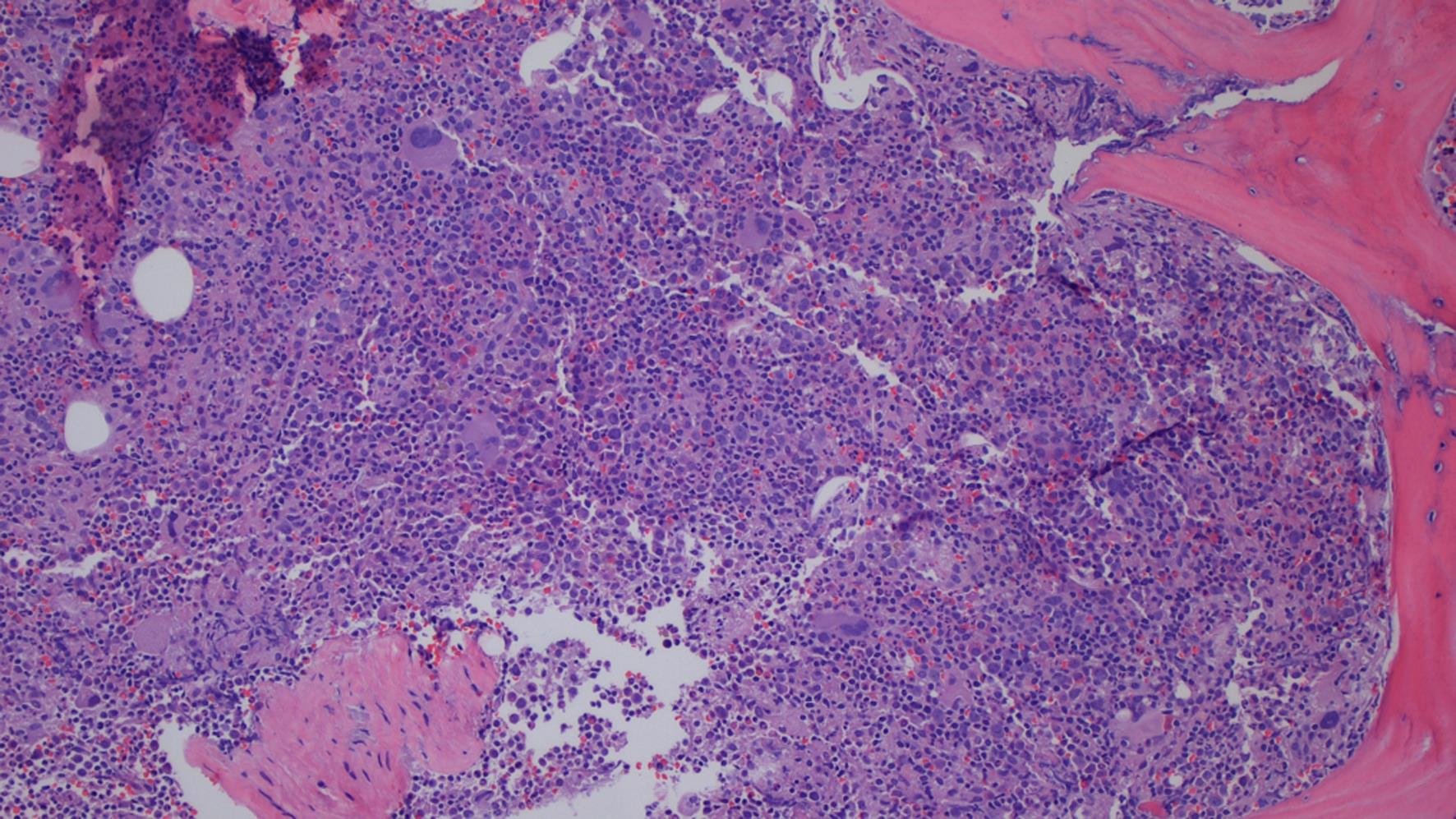
T-LGLL lymphocytes contain small to medium-sized nuclei with condensed chromatin and moderate to abundant pale cytoplasm containing varying amounts of azurophilic granules (Fig. 1). A bone marrow biopsy can be helpful in diagnosing T-LGLL and excluding other causes of cytopenia,26 although the cytological features can sometimes be difficult to appreciate in bone marrow aspirate specimens. Bone marrow biopsy specimens are usually hypercellular (Fig. 2), although normocellular and hypocellular specimens are also seen. Diffuse interstitial lymphoid infiltrates are present in the majority of cases and may be seen concurrently with non-paratrabecular lymphoid nodules. However, the lymphoid infiltrates may be subtle in some cases.27,28

T-large granular lymphocytic leukemia (T-LGLL) lymphocytes with cytoplasmic azurophilic granules in peripheral blood (Wright-Giemsa stain, original magnification 100×).
Fig. 1  T-large granular lymphocytic leukemia (T-LGLL) lymphocytes with cytoplasmic azurophilic granules in peripheral blood (Wright-Giemsa stain, original magnification 100×).
Hypercellular trephine core bone marrow biopsy with lymphoid infiltrate (Hematoxylin and Eosin stain, original magnification 100×).
Fig. 2  Hypercellular trephine core bone marrow biopsy with lymphoid infiltrate (Hematoxylin and Eosin stain, original magnification 100×).

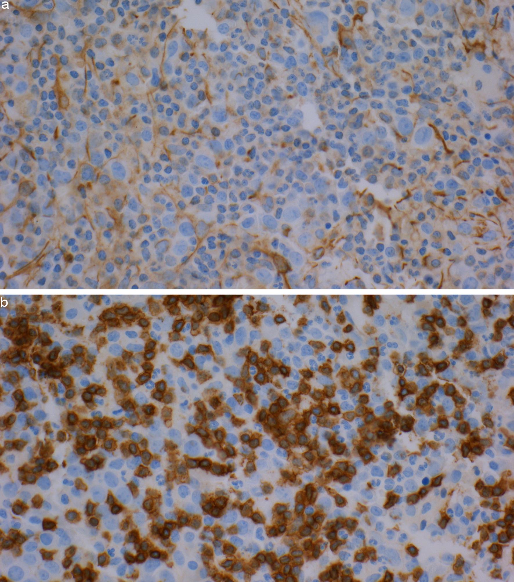
Most atypical cells are CD8+ with a mature memory effector T-cell immunophenotype (positive for CD3, CD8, CD57, CD45RA; negative for CD62L) (Fig. 3). Rare cases may express CD4 with or without CD8.29 Even rarer (<10%) are the γδ T-cell lineage cases of T-LGLL, which are CD57+ and CD16+, with partial expression of CD8, and have the Vγ9/Vδ2 profile.30,31 Immunohistochemistry will generally demonstrate expression of CD2, CD3, CD8, TCRβ, CD7, TIA1, perforin, granzyme B, and granzyme M in these lymphoid cells (Fig. 4). CD56 and CD5 are often negative (Fig. 5).29 The NK cell-associated antigens CD16 and CD57 are frequently expressed (in 80% and 90%, respectively).32

(a) Negative for PAX-5, a B-cell marker. (b) Positive for CD3 (Immunoperoxidase stain, original magnification 200×).
Fig. 3  (a) Negative for PAX-5, a B-cell marker. (b) Positive for CD3 (Immunoperoxidase stain, original magnification 200×).
TIA-1 expression in T-large granular lymphocytic leukemia (T-LGLL) cells (Immunoperoxidase stain, original magnification 400×).
Fig. 4  TIA-1 expression in T-large granular lymphocytic leukemia (T-LGLL) cells (Immunoperoxidase stain, original magnification 400×).
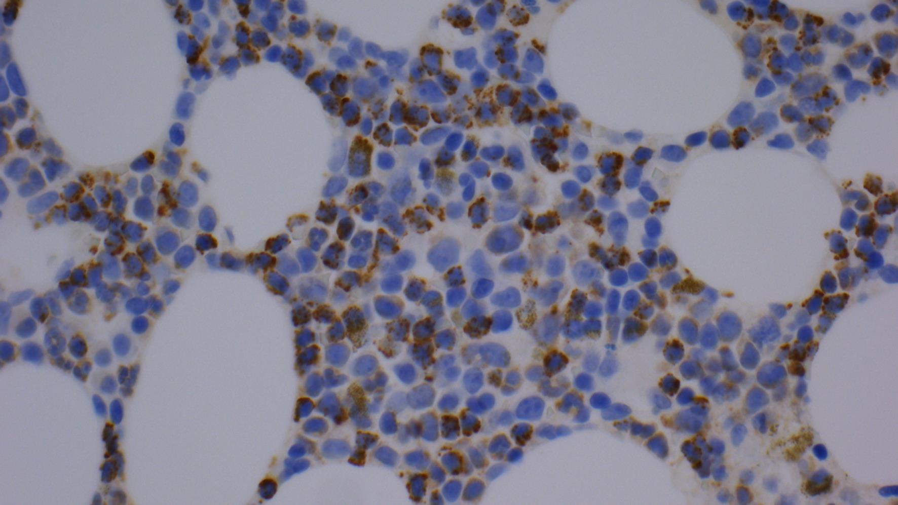
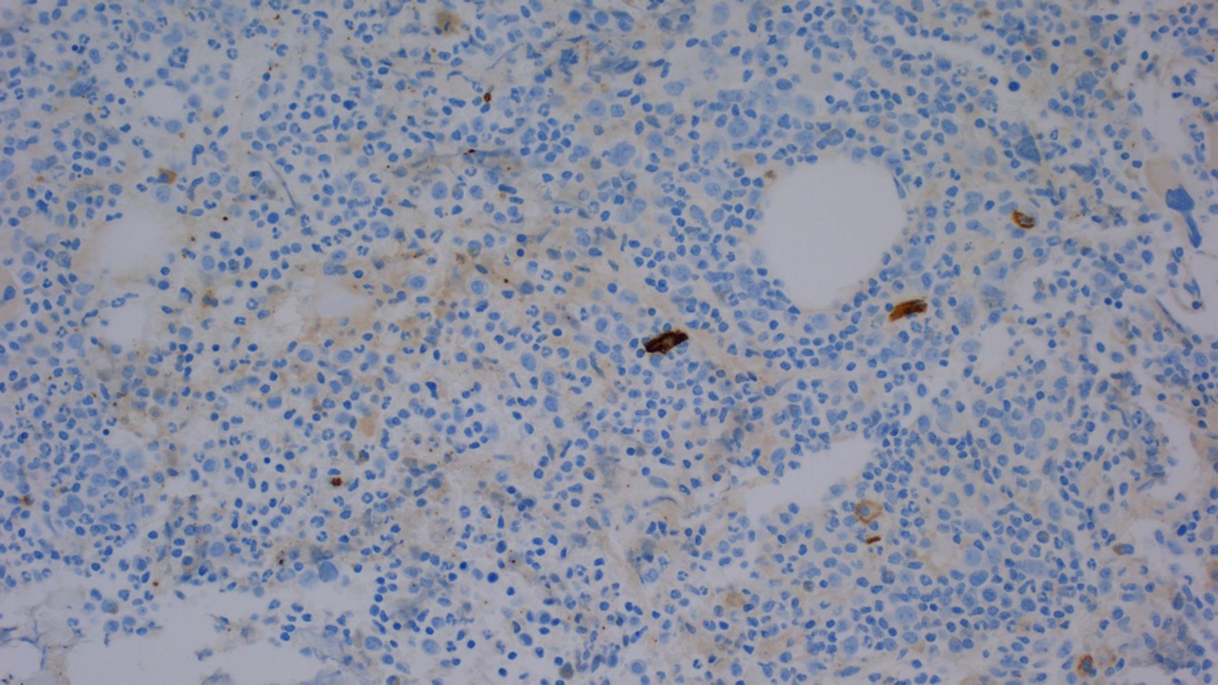
CD56 is not expressed in the T-large granular lymphocytic leukemia (T-LGLL) lymphocytes in the bone marrow (Immunoperoxidase stain, original magnification 400×).
Fig. 5  CD56 is not expressed in the T-large granular lymphocytic leukemia (T-LGLL) lymphocytes in the bone marrow (Immunoperoxidase stain, original magnification 400×).

Analysis of the TCRβ constant region and TCRVβ expression by flow cytometry is helpful in highlighting the dominant clone and assessing clonality (Fig. 6). More than one-third of T-LGLL cases will express the NK cell-associated receptors killer cell immunoglobulin-like receptor (KIR) and CD94/NKG2, representing a population of fully differentiated cytotoxic T cells. Another indicator of clonality in T-LGLL is the expression of a single KIR isoform (CD158a, CD158b, or CD158e).33–35

Immunophenotypic analysis of T-large granular lymphocytic leukemia (T-LGLL) by flow cytometry showing the gated lymphocytes are mostly CD8<sup>+</sup> T cells with T-cell receptors (TCR alpha/beta clonality).
Fig. 6  Immunophenotypic analysis of T-large granular lymphocytic leukemia (T-LGLL) by flow cytometry showing the gated lymphocytes are mostly CD8+ T cells with T-cell receptors (TCR alpha/beta clonality).

The WHO Classification of Haematolymphoid Tumours (5th ed.) lists essential and desirable criteria for T-LGLL. The presence of all three essential criteria, or two essential criteria in addition to one desirable criterion, defines the diagnosis of T-LGLL. The three essential criteria are: 1) increased circulating cytotoxic T cells (no absolute number, but levels are often >2,000 cells/µL), 2) aberrant phenotype of the T-cell population (CD8+ with downregulation of CD5 and/or CD7, and/or abnormal expression of CD16 and NK-cell-associated receptors), and 3) evidence of T-cell monoclonality by demonstrated monoclonal or oligoclonal TCR gene rearrangement. The two desirable criteria are: 1) intrasinusoidal cytotoxic lymphocytic infiltrates in the bone marrow (by immunohistochemistry (IHC)) and 2) STAT3 or STAT5B mutation.36

Prognosis

Many treatment modalities have been tested for treating symptomatic cytopenias of T-LGLL, and presently, the first-line therapy consists of a single-agent treatment with methotrexate, ciclosporin, or cyclophosphamide. Corticosteroids may be used as adjunct therapy. Overall, T-LGLL shows a good prognosis and long survival with appropriate treatment. Features such as neutropenia, transfusion-dependent anemia, and STAT3 mutations have been associated with a poorer prognosis, and there have been a few cases of T-LGLL progressing into an aggressive T-cell lymphoma.37

NK-LGLL

An important differential diagnosis to consider in the context of T-LGLL is NK-LGLL, a chronic, indolent lymphoproliferative disorder involving the peripheral blood and bone marrow in adults. It can present with cytopenias and occur in the setting of other autoimmune disorders like T-LGLL, but it is not nearly as frequent.38,39

Pathogenesis

Although the etiology is unknown, there are suggestions that stimulation of the body’s innate immunity may be a contributing factor in NK-LGLL, whether through a viral infection or some other means. It seems less likely that viral infection of NK cells is a direct factor in disease development.40STAT3 mutations are found in ∼30% of NK-LGLL patients, TET2 mutations in ∼25–30%, and concurrent STAT3 and TET2 mutations in some cases.16,41,42STAT5B mutations are very rare.24,43 The possibility of subtypes of NK-LGLL arises because studies have found CCL22 mutations (21.5% of cases), which appear to be mutually exclusive of mutations in STAT3 and STAT5B, and have a unique mechanism dependent on mutated chemokines driving NK cell tropism and tumor expansion. These mechanisms are still incompletely understood.44

Morphology and immunophenotype

The atypical cells are medium to large with abundant pale cytoplasm containing azurophilic granules and small, round nuclei with condensed chromatin. It is important to note that one cannot distinguish between NK-LGLL and T-LGLL by cytologic features alone.45 These features are difficult to appreciate in the bone marrow, but the lymphocytes will often infiltrate with an intrasinusoidal pattern.33

IHC alone is not reliable for distinguishing NK-LGLL from T-LGLL. Flow cytometric evidence must be demonstrated, where abnormal NK-cell receptor expression is the hallmark. KIR should be completely undetectable, or a restricted KIR isoform may be expressed. Other abnormal NK-cell receptor expressions seen include bright CD94/NKG2A heterodimer expression and weak/absent CD161. The atypical cells are positive for CD15, negative for sCD3, and show variable expression of CD3ε. CD56 should be positive, but may be weak or absent in 50% of cases.46,47 CD7 and CD2 may be diminished or dim; CD8 may or may not be expressed.48,49 Flow cytometry and IHC can detect expression of cytotoxic granule proteins (TIA-1, granzyme B, granzyme M), with IHC highlighting intrasinusoidal infiltration in bone marrow.32,33

Molecular abnormalities

STAT3 mutations and TET2 mutations define molecular alterations in NK-LGLL. An absence of clonal T-cell populations is seen in T-cell receptor gene rearrangement studies.16,50

Prognosis

More than half of NK-LGLL cases tend to be indolent, and treatment is not necessary unless patients have symptomatic cytopenias.

Differentiating features

Although NK-LGLL may show clinical overlap with cytopenias and autoimmune or hematological disorders, its frequency is much lower than that of T-LGLL.38,39 The most recent recommendations from the WHO are to utilize flow cytometry to demonstrate a restricted pattern of KIR expression to identify clonal expansion. However, clonality can also be determined by evaluating STAT3 and TET2 mutations if flow cytometric evaluation for KIR expression is unavailable. Additionally, T-cell receptor gene rearrangement of clonal T-cell populations, a significant finding in T-LGLL,16,41 should be negative in NK-LGLL.

T-PLL

Another differential diagnosis that must be considered when evaluating T-cell leukemia is T-PLL. T-PLL is a monoclonal peripheral T-cell leukemia with prolymphocytic features, peripheral blood T-cell lymphocytosis and/or bone marrow involvement, and evidence of TCL1A or MTCP1A rearrangement in the vast majority of cases.51

Clinical findings

T-PLL clinically features, in most frequent order, marked lymphocytosis (>100 × 109/L), splenomegaly, lymphadenopathy, thrombocytopenia, hepatomegaly, and anemia.52 There is also an increased prevalence in patients with ataxia-telangiectasia.53 Onset generally occurs in older adults, with a median age of 65 years. Patients with ataxia-telangiectasia have been found to develop it as early as adulthood.54 Approximately 30% of cases may be detected with only subclinical lymphocytosis and no other symptoms, which may later progress to active disease.52

Pathogenesis

Chromosomal rearrangements inv(14) (q11q32) and t(14;14) (q11,q32) result in the upregulation of the TCL1A gene by the TCR gene enhancer loci of TRA/TRD, or a t(X;14) (q28;q11.2) translocation, which results in MTCP1 being regulated by T-cell receptor regulatory sequences. Inappropriate expression of these oncogenes is considered the causative factor for T-PLL.55–57 Additionally, dysfunctional ataxia-telangiectasia mutated (ATM) protein is thought to have a synergistic effect, promoting a leukemogenic process unique to T-PLL, interfering with DNA damage response, disrupting genomic stability, and leading to chemotherapy resistance.58,59 Following the rearrangements and interplay with ATM, oncogenic pathways are enhanced, predominantly through AKT signaling and gain-of-function mutations in the JAK/STAT pathway.59

Morphology and immunophenotype

T-PLL has three distinct morphologic patterns. The predominant pattern is small to medium-sized cells with a prolymphocytic appearance, non-granular basophilic cytoplasm with visible nucleoli, clumped chromatin, and irregular nuclei (∼75%). The small cell variant presents with a lymphocyte appearance, small cells with dense chromatin and an inconspicuous nucleolus (∼20%). The last type consists of cells with irregular or cerebriform nuclei, similar to those seen in Sézary syndrome (∼5%). Cell morphology cannot be solely used for diagnosis, as there is significant overlap with other T-cell neoplasms.60

The immunophenotypic expression seen is positive for CD2, CD3, CD5, and CD7, while being negative for TdT and CD1a. Overexpression of TCL1A with nuclear staining is highly sensitive (>80%) for T-PLL and is not generally seen in other mature T-cell lymphomas/leukemias.61 Additionally, CD4 is usually positive, with varying CD4:CD8 patterns: CD4+/CD8 (40–60%), CD4+/CD8+ (25–41%), and CD4/CD8 (∼15%). Coexpression of CD4 and CD8 is distinctive of T-PLL and is rarely seen in adult T-cell leukemia/lymphoma. CD52 is typically expressed and serves as a therapeutic target.52,61

Molecular abnormalities

Clonal T-cell receptor gene rearrangements are present in either TCR gamma or beta.62 Rearrangements involving the TCL1 family genes (TCL1A, MTCP1) are present in all cases of T-PLL.51 Rare instances of apparent TCL1-family negative T-PLL are recognized, in which abnormalities in ATM are present, with features otherwise similar to T-PLL but without a corresponding TCL1 family genetic abnormality. As of now, this relationship is unclear, and these TCL1-family negative T-PLL entities should be classified as peripheral T-cell lymphoma, not otherwise specified (with leukemic involvement) after excluding all other possible entities.60 Approximately 75% of T-PLL cases exhibit recurrent activating mutations in IL2RG, JAK1, JAK3, and STAT5B genes, leading to constitutive STAT5 signaling.63 Additional mutations in EZH2, FBXW10, and CHEK2 may also contribute to disease development, influencing epigenetic regulation, protein degradation, and DNA repair.63

Prognosis

The majority of cases follow an aggressive course, with a subset (20–30%) starting in a stable or slowly progressive state. However, the slowly progressing cases become active within two years, with a median survival time of 21 months. Despite increased success with anti-CD52 monoclonal antibody alemtuzumab and consolidation autologous stem cell transplant, the reported median overall survival only reaches 52 months.64–66

Differentiating features

T-PLL does not have the strong association with autoimmune disease like T-LGLL.4 T-PLL is uniquely defined by TCL1A or MTCP1 rearrangements.51 CD4 and CD8 co-expression is more frequently seen in T-PLL, while NK-associated antigens CD16 and CD57 are not expressed.52,67 With respect to clinical outcome, T-PLL has a much more aggressive course, while T-LGLL is often indolent and stable.37,64 A comparison of some of the key overlapping and differentiating features of each of the large granular lymphocytic leukemias is summarized in Table 1.

Table 1

Comparison of large granular lymphocytic leukemias

Key featuresT-large granular lymphocytic leukemia (T-LGLL)NK-large granular lymphocytic leukemia (NK-LGLL)T-prolymphocytic leukemia (T-PLL)Adult T-cell leukemia/lymphoma (ATLL)Sézary syndrome (SS)
MorphologySmall to medium sized nuclei, cytoplasmic azurophilic granulesMedium to large with azurophilic granulesThree patterns: 1) Small to medium sized cells with prolymphocytic appearance; 2) Small cell variant; 3) Sézary-like appearanceVariable, pleomorphic sizes. Acute variant-flower cellsMedium to large cells with irregular grooved nuclei
ImmunophenotypeCD2+, CD3+, CD8+, CD18+, CD57+, CD45RA+TCRβ, CD7, TIA, perforin, granzyme B and granzyme MIndistinguishable from T-LGLL. Flow cytometry studies: sCD3, CD16+ NK cells. Restricted pattern of KIR expressionCD2+, CD3+, CD5+, CD7+, TdT, CD1a, CD4+, varying CD8+/−, CD52+, TCL1A overexpressionCD2+, CD3+, CD5+, CD25+, CD7, CD4+/CD8, CD4/CD8+C3+, CD4+, PD1+ (CD279); CLA+, CCR4+, CCR7+, CXCL13+/; Variable pan T-cell marker loss (CD8, CD2, CD5, CD7)
Cytogenetic/MolecularMono/oligoclonal TCR gene rearrangement. STAT3, STAT5B most common mutationsSTAT3, TET2: No T-cell gene rearrangementTCL1A or MTCP1A rearrangement. Clonal TCR rearrangements (TRG or TRB)Monoclonal integration of proviral HTLV-1 DNAClonal TCR gene rearrangement
Clinical presentationAbsolute neutropenia, strong autoimmune associationCytopenias, slight autoimmune associationMarked lymphocytosis, hepatosplenomegaly, LAD, cytopeniasVariable presentation: LAD, varied organ involvementSkin involvement, LAD
PrognosisGood prognosis, responsive to therapyVery good with mostly indolent disease processPoor (median 21–52 months with therapy)Varies based on clinical subtypePoor, significant mortality to opportunistic infection (median survival 32 months)

ATLL

ATLL is a mature CD4+ T-cell neoplasm that is associated with HTLV-1 and is another differential that should be considered with T-LGLL. ATLL occurs mostly in regions (in particular southwestern Japan, the Caribbean, intertropical Africa, the Middle East, South America, and Papua New Guinea) endemic for the retrovirus HTLV-1, especially in immunodeficient patients.50,68 The clinical presentation of ATLL is diverse, including general lymphadenopathy, cutaneous lesions, hepatosplenomegaly, and organ infiltration, such as in the central nervous system, gastrointestinal tract, bone, and lungs. Leukocytosis is common, with increased atypical lymphocytes that have cerebriform/flower-like nuclei.69 There are four clinically defined forms of ATLL: 1) acute, 2) lymphomatous, 3) smoldering, and 4) chronic. These variants are defined by the type of organ involvement, degree of leukemic manifestation, and LDH/calcium laboratory values.70

Pathogenesis

In patients with HTLV-1 infection, approximately 3–5% go on to develop ATLL.71 Patients are usually infected at a very young age with a long latent viral period, which is why the onset of ATLL usually occurs in adults.72 HTLV-1 infects cells and changes their immunophenotype, promoting viral and cell proliferation and anti-apoptosis through two crucial genes, Tax and HBZ.73,74 The efficacy and quality of the cytotoxic T lymphocyte response to HTLV-1-infected cells essentially determine the proviral load and are associated with progression to ATLL.67,75 Significant alterations seen in ATLL include clonally rearranged T-cell receptor genes and one or more HTLV-1 integration into the host genome by a series of accumulating molecular and genetic alterations/mutations (of which the specifics will not be addressed here).76,77

Morphology and immunophenotype

The histologic presentation of ATLL depends on the organ involved. In lymph nodes, a diffuse or paracortical pattern of neoplastic cell infiltration, or rarely, preserved/dilated sinuses containing the neoplastic cells, is seen.78 The cytologic morphology of ATLL T-cells is diverse. The atypical cells can range from small to large pleomorphic cells, with anaplastic forms also present. The lymphoid cells tend to have condensed chromatin with a prominent nucleolus. In the acute variant, cells with irregular multilobulated nuclei and basophilic cytoplasm are called “flower cells,” while the cells are less atypical and smaller in the smoldering or chronic variant.79,80

Tumor cells are mostly positive for CD2, CD3, CD5 but negative for CD7. CD4+ CD8 is the most common immunophenotype seen, but some can be CD4 CD8+, double-positive, or double-negative. Most cases will be CD25 positive, and in larger cells, CD30 can be variably positive. CCR4 is frequently positive in tumor cells, and FOXP3 is variably expressed.81,82

Molecular abnormalities

Molecular studies will show neoplastic T cells with monoclonal integration of proviral HTLV-1 DNA. The previous gold standard for detection was Southern blot hybridization; however, this method has high tissue requirements that small tissue samples cannot typically satisfy. A more feasible recent approach for FFPE samples uses RNA in situ hybridization with RNA scope analysis to detect the incorporation of the viral HBZ gene and quantitative PCR to detect the viral tax gene. An algorithmic combination of these two techniques demonstrates exceptional sensitivity and specificity.83,84 Demonstrating proviral integration or detecting HTLV-1 antibodies confirms an ATLL diagnosis.83

Prognosis

Clinical outcomes correlate with the clinical subtype of ATLL, with prognosis from worst to best in the acute, lymphoma, chronic, and smoldering subtypes, respectively.70,85

Differentiating features

The atypical cells of ATLL display cerebriform/flower nuclei, a clear difference from the more conventional lymphocytic T-LGLL neoplastic cell appearance with cytoplasmic azurophilic granules.79,80 It is essential to prove HTLV-1 involvement and/or monoclonal integration of HTLV-1 in ATLL to distinguish it from other LGTLLs.83

SS

SS is a rare, generalized disease with a leukemic presentation and the classic skin manifestation of erythroderma. It is composed of mature T lymphocytes with three definitive findings: 1) erythroderma, 2) generalized lymphadenopathy, and 3) clonally related neoplastic T cells with cerebriform nuclei (Sézary cells) in the skin, lymph nodes, and peripheral blood.86,87 SS accounts for only 2–3% of all cutaneous T-cell lymphomas.88

Pathogenesis

Mutational signatures 1 and 7 have been identified as key players in SS. Signature 1 is associated with age-related spontaneous deamination of methylated cytosines, while signature 7 implicates UV exposure in the pathology of SS and other cutaneous T-cell lymphomas, such as mycosis fungoides (MF), though it should not be present in other mature T-cell lymphomas/leukemias.89 The difference in the cell origin of SS and MF is that SS is a malignancy of central memory T cells or skin-homing CD4+ T cells, while MF arises from skin-resident effector memory T cells.90 Gross chromosomal instability, with recurrent gains and losses, is noted in SS, with isochromosome 17q being a recurrent feature.91 SS and MF generate type-2 T-cell cytokines that suppress Th helper 1 activity, creating a state of immunosuppression thought to contribute to tumor cell survival.92 SS, like MF, exhibits complex karyotypes with numerous abnormalities.93 A hallmark of SS is a high mutation burden, precipitated by UV radiation exposure.89 Recurrent gain-of-function mutations in PLCG1, CARD11, CD28, and CARMIL2 genes are frequently identified, leading to dysregulation of T-cell receptor signaling pathways and increased NF-κB activity.94 Numerous driver mutations in regulatory and repair pathways, including DNA repair (TP53, POT1, ATM), JAK/STAT signaling (STAT5B, JAK3), and chromatin regulation (ARID1A, TRRAP, DNMT3A, TET2), contribute to SS pathogenesis by disrupting cellular homeostasis and promoting oncogenesis.94,95

Morphology and immunophenotype

Characteristic Sézary cells are atypical lymphocytes of intermediate to large size with irregular, deeply grooved, or infolded nuclei with delicate convolutions (cerebriform nuclei). Lymph nodes are partially or completely effaced by a dense infiltration of Sézary cells. In the skin, the infiltrate is often monotonous and perivascular. Although SS presentation is distinct, as many as one-third of patients may show nonspecific histology in their biopsies.96,97

The malignant cells are typically CD3+, CD4+, and CD8, with an aberrant loss of pan T-cell antigens (CD2, CD5, CD7, and/or CD26). Sézary cells in the skin and blood will almost always express PD1 (CD279). The neoplastic cells also express cutaneous lymphocyte antigen, the skin-homing receptor (CCR4), and CCR7, with variable expression of CXCL13. They are also typically positive for TCRαβ, CD25, and ICOS. NK cell markers, such as CD158k/KIR3DL2 and NKp46, may or may not be expressed.98–102

Molecular abnormalities

T-cell receptor gene rearrangement analysis demonstrates clonality in the neoplastic Sézary cells.102–104

Prognosis

SS is very aggressive, and most patients die due to opportunistic infections. The survival rate varies depending on the stage of the disease, but the overall median survival time is reported as 32 months, with a five-year survival rate of 10–30%.88

Differentiating features

Although the classic presentation of Sézary Syndrome involves erythroderma, there may be cases of solely leukemic presentation where a thorough differential diagnosis is necessary.97 Cytologic differences, such as the classic cerebriform nuclei in Sézary versus the abundant cytoplasm, azurophilic granules, and round nuclei in T-LGLL, can be helpful.96 The neoplastic cells of Sézary Syndrome will distinctly express PD1, cutaneous lymphocyte antigen, CCR4, and CCR7, and have aberrant loss of pan T-cell antigens (CD2, CD5, CD7, and/or CD26).98,99 They will not express the NK cell-associated antigens CD16 and CD57, which are seen in T-LGLL.100,101

ANKL

Worthy of brief discussion is ANKL, which can exhibit a similar morphologic appearance to T-LGLL and NK-LGLL. It may present with neoplastic lymphocytes containing azurophilic cytoplasmic granules.105 Beyond the morphologic appearance, however, this entity diverges significantly with an aggressive and symptomatic clinical course, EBV association, and greater atypical morphologic variation. It is otherwise characterized by a typical NK-cell origin immunophenotype with no T-cell receptor expression or clonal T-cell receptor gene rearrangement.105 While it is relatively easily differentiated from the more indolent possibilities, the initial presentation of neoplastic lymphocytes with azurophilic granules should prompt consideration of this entity, as it has a severely fulminant clinical course and short survival time.106

Conclusions

This review offers a comprehensive comparative analysis of T-LGLL and related lymphoproliferative disorders, emphasizing critical diagnostic and molecular markers essential for accurate differentiation. It highlights significant advancements in the understanding of large granular lymphocytic leukemias; however, the rarity of these neoplasms poses inherent challenges. Much of the current knowledge is derived from small cohort studies, which may limit the generalizability and statistical power of conclusions regarding diagnostic criteria, molecular markers, and prognostic implications. Additionally, the overlap of clinical features among LGLLs and related disorders underscores the need for further research to refine and validate diagnostic and therapeutic approaches. These limitations highlight the ongoing necessity for larger, multi-institutional studies to strengthen the evidence base and improve clinical outcomes.

As overlapping features often blur diagnostic boundaries, precise identification of LGLLs is increasingly important for guiding optimal treatment strategies and improving patient outcomes. Recent advancements in understanding molecular alterations—such as mutations affecting pathways like STAT3 and TET2—along with updated WHO classification criteria, contribute to refining diagnostic and prognostic frameworks. These classification updates reflect an ongoing effort to clarify a complex category of lymphoproliferative diseases that remains only partially understood. Continued research into these and other molecular markers is crucial for identifying novel diagnostic tools, enhancing prognostic accuracy, and developing targeted therapies. By improving diagnostic precision, clinicians can better tailor treatments to individual patients, advancing patient care and potentially transforming outcomes for those affected by these rare and challenging hematologic disorders.

Declarations

Acknowledgement

None.

Funding

The authors received no funding for their work on this project.

Conflict of interest

The authors declare no conflict of interest.

Authors’ contributions

Study concept and design, acquisition of data, analysis and interpretation of data, drafting of the manuscript, and critical revision of the manuscript for important intellectual content (DWP, IEL, DX, JW). All authors have made significant contributions to this study and have approved the final manuscript.

References

  1. Lamy T, Loughran TP. Clinical features of large granular lymphocyte leukemia. Semin Hematol 2003;40(3):185-195 View Article PubMed/NCBI
  2. Osuji N, Matutes E, Catovsky D, Lampert I, Wotherspoon A. Histopathology of the spleen in T-cell large granular lymphocyte leukemia and T-cell prolymphocytic leukemia: a comparative review. Am J Surg Pathol 2005;29(7):935-941 View Article PubMed/NCBI
  3. Shah MV, Hook CC, Call TG, Go RS. A population-based study of large granular lymphocyte leukemia. Blood Cancer J 2016;6(8):e455 View Article PubMed/NCBI
  4. Dhodapkar MV, Li CY, Lust JA, Tefferi A, Phyliky RL. Clinical spectrum of clonal proliferations of T-large granular lymphocytes: a T-cell clonopathy of undetermined significance?. Blood 1994;84(5):1620-1627 PubMed/NCBI
  5. Bareau B, Rey J, Hamidou M, Donadieu J, Morcet J, Reman O, et al. Analysis of a French cohort of patients with large granular lymphocyte leukemia: a report on 229 cases. Haematologica 2010;95(9):1534-1541 View Article PubMed/NCBI
  6. Park SH, Lee YJ, Kim Y, Kim HK, Lim JH, Jo JC. T-large granular lymphocytic leukemia. Blood Res 2023;58(S1):S52-S57 View Article PubMed/NCBI
  7. Naji Rad S, Rafiee B, Raju G, Solhjoo M, Anand P. T-Cell Large Granular Lymphocyte Leukemia in a Patient With Rheumatoid Arthritis. J Investig Med High Impact Case Rep 2020;8:2324709620941303 View Article PubMed/NCBI
  8. Goyal T, Thakral B, Wang SA, Bueso-Ramos CE, Shi M, Jevremovic D, et al. T-Cell Large Granular Lymphocytic Leukemia and Coexisting B-Cell Lymphomas: A Study From the Bone Marrow Pathology Group. Am J Clin Pathol 2018;149(2):164-171 View Article PubMed/NCBI
  9. Howard MT, Bejanyan N, Maciejewski JP, Hsi ED. T/NK large granular lymphocyte leukemia and coexisting monoclonal B-cell lymphocytosis-like proliferations. An unrecognized and frequent association. Am J Clin Pathol 2010;133(6):936-941 View Article PubMed/NCBI
  10. Loughran TP, Hadlock KG, Perzova R, Gentile TC, Yang Q, Foung SK, et al. Epitope mapping of HTLV envelope seroreactivity in LGL leukaemia. Br J Haematol 1998;101(2):318-324 View Article PubMed/NCBI
  11. Sokol L, Agrawal D, Loughran TP. Characterization of HTLV envelope seroreactivity in large granular lymphocyte leukemia. Leuk Res 2005;29(4):381-387 View Article PubMed/NCBI
  12. Nyland SB, Feith DJ, Poss M, Olson TL, Krissinger DJ, Poiesz BJ, et al. Retroviral sero-reactivity in LGL leukaemia patients and family members. Br J Haematol 2020;188(4):522-527 View Article PubMed/NCBI
  13. Lamy T, Liu JH, Landowski TH, Dalton WS, Loughran TP. Dysregulation of CD95/CD95 ligand-apoptotic pathway in CD3(+) large granular lymphocyte leukemia. Blood 1998;92(12):4771-4777 PubMed/NCBI
  14. Chen J, Petrus M, Bamford R, Shih JH, Morris JC, Janik JE, et al. Increased serum soluble IL-15Rα levels in T-cell large granular lymphocyte leukemia. Blood 2012;119(1):137-143 View Article PubMed/NCBI
  15. Yang J, Liu X, Nyland SB, Zhang R, Ryland LK, Broeg K, et al. Platelet-derived growth factor mediates survival of leukemic large granular lymphocytes via an autocrine regulatory pathway. Blood 2010;115(1):51-60 View Article PubMed/NCBI
  16. Jerez A, Clemente MJ, Makishima H, Koskela H, Leblanc F, Peng Ng K, et al. STAT3 mutations unify the pathogenesis of chronic lymphoproliferative disorders of NK cells and T-cell large granular lymphocyte leukemia. Blood 2012;120(15):3048-3057 View Article PubMed/NCBI
  17. Epling-Burnette PK, Liu JH, Catlett-Falcone R, Turkson J, Oshiro M, Kothapalli R, et al. Inhibition of STAT3 signaling leads to apoptosis of leukemic large granular lymphocytes and decreased Mcl-1 expression. J Clin Invest 2001;107(3):351-362 View Article PubMed/NCBI
  18. Yamane T, Kawakami T, Sekiguchi N, Kobayashi J, Ueki T, Kobayashi H, et al. High frequency of STAT3 gene mutations in T-cell receptor (TCR)γδ-type T-cell large granular lymphocytic leukaemia: implications for molecular diagnostics. Br J Haematol 2020;190(5):e301-e304 View Article PubMed/NCBI
  19. Andersson EI, Tanahashi T, Sekiguchi N, Gasparini VR, Bortoluzzi S, Kawakami T, et al. High incidence of activating STAT5B mutations in CD4-positive T-cell large granular lymphocyte leukemia. Blood 2016;128(20):2465-2468 View Article PubMed/NCBI
  20. LeBlanc FR, Pearson JM, Tan SF, Cheon H, Xing JC, Dunton W, et al. Sphingosine kinase-2 is overexpressed in large granular lymphocyte leukaemia and promotes survival through Mcl-1. Br J Haematol 2020;190(3):405-417 View Article PubMed/NCBI
  21. Schade AE, Powers JJ, Wlodarski MW, Maciejewski JP. Phosphatidylinositol-3-phosphate kinase pathway activation protects leukemic large granular lymphocytes from undergoing homeostatic apoptosis. Blood 2006;107(12):4834-4840 View Article PubMed/NCBI
  22. Kallemeijn MJ, de Ridder D, Schilperoord-Vermeulen J, van der Klift MY, Sandberg Y, van Dongen JJ, et al. Dysregulated signaling, proliferation and apoptosis impact on the pathogenesis of TCRγδ+ T cell large granular lymphocyte leukemia. PLoS One 2017;12(4):e0175670 View Article PubMed/NCBI
  23. Cheon H, Xing JC, Moosic KB, Ung J, Chan VW, Chung DS, et al. Genomic landscape of TCRαβ and TCRγδ T-large granular lymphocyte leukemia. Blood 2022;139(20):3058-3072 View Article PubMed/NCBI
  24. Teramo A, Barilà G, Calabretto G, Vicenzetto C, Gasparini VR, Semenzato G, et al. Insights Into Genetic Landscape of Large Granular Lymphocyte Leukemia. Front Oncol 2020;10:152 View Article PubMed/NCBI
  25. Clemente MJ, Wlodarski MW, Makishima H, Viny AD, Bretschneider I, Shaik M, et al. Clonal drift demonstrates unexpected dynamics of the T-cell repertoire in T-large granular lymphocyte leukemia. Blood 2011;118(16):4384-4393 View Article PubMed/NCBI
  26. Lamy T, Loughran TP. How I treat LGL leukemia. Blood 2011;117(10):2764-2774 View Article PubMed/NCBI
  27. Morice WG, Kurtin PJ, Tefferi A, Hanson CA. Distinct bone marrow findings in T-cell granular lymphocytic leukemia revealed by paraffin section immunoperoxidase stains for CD8, TIA-1, and granzyme B. Blood 2002;99(1):268-274 View Article PubMed/NCBI
  28. Osuji N, Beiske K, Randen U, Matutes E, Tjonnfjord G, Catovsky D, et al. Characteristic appearances of the bone marrow in T-cell large granular lymphocyte leukaemia. Histopathology 2007;50(5):547-554 View Article PubMed/NCBI
  29. Lima M, Almeida J, Dos Anjos Teixeira M, Alguero Md Mdel C, Santos AH, Balanzategui A, et al. TCRalphabeta+/CD4+ large granular lymphocytosis: a new clonal T-cell lymphoproliferative disorder. Am J Pathol 2003;163(2):763-771 View Article PubMed/NCBI
  30. Teramo A, Binatti A, Ciabatti E, Schiavoni G, Tarrini G, Barilà G, et al. Defining TCRγδ lymphoproliferative disorders by combined immunophenotypic and molecular evaluation. Nat Commun 2022;13(1):3298 View Article PubMed/NCBI
  31. Bourgault-Rouxel AS, Loughran TP, Zambello R, Epling-Burnette PK, Semenzato G, Donadieu J, et al. Clinical spectrum of gammadelta+ T cell LGL leukemia: analysis of 20 cases. Leuk Res 2008;32(1):45-48 View Article PubMed/NCBI
  32. Morice WG, Jevremovic D, Hanson CA. The expression of the novel cytotoxic protein granzyme M by large granular lymphocytic leukaemias of both T-cell and NK-cell lineage: an unexpected finding with implications regarding the pathobiology of these disorders. Br J Haematol 2007;137(3):237-239 View Article PubMed/NCBI
  33. Morice WG, Kurtin PJ, Leibson PJ, Tefferi A, Hanson CA. Demonstration of aberrant T-cell and natural killer-cell antigen expression in all cases of granular lymphocytic leukaemia. Br J Haematol 2003;120(6):1026-1036 View Article PubMed/NCBI
  34. Hoffmann T, De Libero G, Colonna M, Wodnar-Filipowicz A, Passweg J, Favre G, et al. Natural killer-type receptors for HLA class I antigens are clonally expressed in lymphoproliferative disorders of natural killer and T-cell type. Br J Haematol 2000;110(3):525-536 View Article PubMed/NCBI
  35. Horna P, Olteanu H, Jevremovic D, Otteson GE, Corley H, Ding W, et al. Single-Antibody Evaluation of T-Cell Receptor β Constant Chain Monotypia by Flow Cytometry Facilitates the Diagnosis of T-Cell Large Granular Lymphocytic Leukemia. Am J Clin Pathol 2021;156(1):139-148 View Article PubMed/NCBI
  36. Li W. Leukemia. Brisbane (AU): Exon Publications; 2022 View Article PubMed/NCBI
  37. Matutes E, Wotherspoon AC, Parker NE, Osuji N, Isaacson PG, Catovsky D. Transformation of T-cell large granular lymphocyte leukaemia into a high-grade large T-cell lymphoma. Br J Haematol 2001;115(4):801-806 View Article PubMed/NCBI
  38. Poullot E, Zambello R, Leblanc F, Bareau B, De March E, Roussel M, et al. Chronic natural killer lymphoproliferative disorders: characteristics of an international cohort of 70 patients. Ann Oncol 2014;25(10):2030-2035 View Article PubMed/NCBI
  39. Dong N, Castillo Tokumori F, Isenalumhe L, Zhang Y, Tandon A, Knepper TC, et al. Large granular lymphocytic leukemia - A retrospective study of 319 cases. Am J Hematol 2021;96(7):772-780 View Article PubMed/NCBI
  40. Béziat V, Liu LL, Malmberg JA, Ivarsson MA, Sohlberg E, Björklund AT, et al. NK cell responses to cytomegalovirus infection lead to stable imprints in the human KIR repertoire and involve activating KIRs. Blood 2013;121(14):2678-2688 View Article PubMed/NCBI
  41. Pastoret C, Desmots F, Drillet G, Le Gallou S, Boulland ML, Thannberger A, et al. Linking the KIR phenotype with STAT3 and TET2 mutations to identify chronic lymphoproliferative disorders of NK cells. Blood 2021;137(23):3237-3250 View Article PubMed/NCBI
  42. Gasparini VR, Binatti A, Coppe A, Teramo A, Vicenzetto C, Calabretto G, et al. A high definition picture of somatic mutations in chronic lymphoproliferative disorder of natural killer cells. Blood Cancer J 2020;10(4):42 View Article PubMed/NCBI
  43. Rajala HL, Eldfors S, Kuusanmäki H, van Adrichem AJ, Olson T, Lagström S, et al. Discovery of somatic STAT5b mutations in large granular lymphocytic leukemia. Blood 2013;121(22):4541-4550 View Article PubMed/NCBI
  44. Baer C, Kimura S, Rana MS, Kleist AB, Flerlage T, Feith DJ, et al. CCL22 mutations drive natural killer cell lymphoproliferative disease by deregulating microenvironmental crosstalk. Nat Genet 2022;54(5):637-648 View Article PubMed/NCBI
  45. Ullah F, Markouli M, Orland M, Ogbue O, Dima D, Omar N, et al. Large Granular Lymphocytic Leukemia: Clinical Features, Molecular Pathogenesis, Diagnosis and Treatment. Cancers (Basel) 2024;16(7):1307 View Article PubMed/NCBI
  46. de Mel S, Li JB, Abid MB, Tang T, Tay HM, Ting WC, et al. The utility of flow cytometry in differentiating NK/T cell lymphoma from indolent and reactive NK cell proliferations. Cytometry B Clin Cytom 2018;94(1):159-168 View Article PubMed/NCBI
  47. Cao F, Zhao H, Li Y, Dai S, Wang C. Clinicopathological and phenotypic features of chronic NK cell lymphocytosis identified among patients with asymptomatic lymphocytosis. Int J Lab Hematol 2015;37(6):783-790 View Article PubMed/NCBI
  48. Semenzato G, Calabretto G, Barilà G, Gasparini VR, Teramo A, Zambello R. Not all LGL leukemias are created equal. Blood Rev 2023;60:101058 View Article PubMed/NCBI
  49. Kurt H, Jorgensen JL, Amin HM, Patel KP, Wang SA, Lin P, et al. Chronic lymphoproliferative disorder of NK-cells: A single-institution review with emphasis on relative utility of multimodality diagnostic tools. Eur J Haematol 2018;100(5):444-454 View Article PubMed/NCBI
  50. Phillips AA, Shapira I, Willim RD, Sanmugarajah J, Solomon WB, Horwitz SM, et al. A critical analysis of prognostic factors in North American patients with human T-cell lymphotropic virus type-1-associated adult T-cell leukemia/lymphoma: a multicenter clinicopathologic experience and new prognostic score. Cancer 2010;116(14):3438-3446 View Article PubMed/NCBI
  51. WHO Classification of Tumours Editorial Board. Haematolymphoid tumours (WHO classification of tumours series, 5th ed, vol. 11). Lyon, France: IARC Publications; 2024
  52. Matutes E, Brito-Babapulle V, Swansbury J, Ellis J, Morilla R, Dearden C, et al. Clinical and laboratory features of 78 cases of T-prolymphocytic leukemia. Blood 1991;78(12):3269-3274 PubMed/NCBI
  53. Taylor AM, Metcalfe JA, Thick J, Mak YF. Leukemia and lymphoma in ataxia telangiectasia. Blood 1996;87(2):423-438 PubMed/NCBI
  54. Suarez F, Mahlaoui N, Canioni D, Andriamanga C, Dubois d’Enghien C, Brousse N, et al. Incidence, presentation, and prognosis of malignancies in ataxia-telangiectasia: a report from the French national registry of primary immune deficiencies. J Clin Oncol 2015;33(2):202-208 View Article PubMed/NCBI
  55. Brito-Babapulle V, Catovsky D. Inversions and tandem translocations involving chromosome 14q11 and 14q32 in T-prolymphocytic leukemia and T-cell leukemias in patients with ataxia telangiectasia. Cancer Genet Cytogenet 1991;55(1):1-9 View Article PubMed/NCBI
  56. Braun T, Dechow A, Friedrich G, Seifert M, Stachelscheid J, Herling M. Advanced Pathogenetic Concepts in T-Cell Prolymphocytic Leukemia and Their Translational Impact. Front Oncol 2021;11:775363 View Article PubMed/NCBI
  57. Frater JL. T-cell prolymphocytic leukemia: Review of an entity and its differential diagnostic considerations. Int J Lab Hematol 2020;42(Suppl 1):90-98 View Article PubMed/NCBI
  58. Schrader A, Crispatzu G, Oberbeck S, Mayer P, Pützer S, von Jan J, et al. Actionable perturbations of damage responses by TCL1/ATM and epigenetic lesions form the basis of T-PLL. Nat Commun 2018;9(1):697 View Article PubMed/NCBI
  59. Gutierrez M, Bladek P, Goksu B, Murga-Zamalloa C, Bixby D, Wilcox R. T-Cell Prolymphocytic Leukemia: Diagnosis, Pathogenesis, and Treatment. Int J Mol Sci 2023;24(15):12106 View Article PubMed/NCBI
  60. Fang H, Beird HC, Wang SA, Ibrahim AF, Tang Z, Tang G, et al. T-prolymphocytic leukemia: TCL1 or MTCP1 rearrangement is not mandatory to establish diagnosis. Leukemia 2023;37(9):1919-1921 View Article PubMed/NCBI
  61. Sun Y, Tang G, Hu Z, Thakral B, Miranda RN, Medeiros LJ, et al. Comparison of karyotyping, TCL1 fluorescence in situ hybridisation and TCL1 immunohistochemistry in T cell prolymphocytic leukaemia. J Clin Pathol 2018;71(4):309-315 View Article PubMed/NCBI
  62. Kotrova M, Novakova M, Oberbeck S, Mayer P, Schrader A, Knecht H, et al. Next-generation amplicon TRB locus sequencing can overcome limitations of flow-cytometric Vβ expression analysis and confirms clonality in all T-cell prolymphocytic leukemia cases. Cytometry A 2018;93(11):1118-1124 View Article PubMed/NCBI
  63. Kiel MJ, Velusamy T, Rolland D, Sahasrabuddhe AA, Chung F, Bailey NG, et al. Integrated genomic sequencing reveals mutational landscape of T-cell prolymphocytic leukemia. Blood 2014;124(9):1460-1472 View Article PubMed/NCBI
  64. Colon Ramos A, Tarekegn K, Aujla A, Garcia de de Jesus K, Gupta S. T-Cell Prolymphocytic Leukemia: An Overview of Current and Future Approaches. Cureus 2021;13(2):e13237 View Article PubMed/NCBI
  65. Chandran R, Gardiner SK, Fenske TS, Spurgeon ES. Survival trends in T cell prolymphocytic leukemia: A SEER database analysis. Leuk Lymphoma 2016;57(4):942-944 View Article PubMed/NCBI
  66. Varadarajan I, Ballen K. Advances in Cellular Therapy for T-Cell Prolymphocytic Leukemia. Front Oncol 2022;12:781479 View Article PubMed/NCBI
  67. Herling M, Patel KA, Teitell MA, Konopleva M, Ravandi F, Kobayashi R, et al. High TCL1 expression and intact T-cell receptor signaling define a hyperproliferative subset of T-cell prolymphocytic leukemia. Blood 2008;111(1):328-337 View Article PubMed/NCBI
  68. Nosaka K, Iwanaga M, Imaizumi Y, Ishitsuka K, Ishizawa K, Ishida Y, et al. Epidemiological and clinical features of adult T-cell leukemia-lymphoma in Japan, 2010-2011: A nationwide survey. Cancer Sci 2017;108(12):2478-2486 View Article PubMed/NCBI
  69. Teshima T, Akashi K, Shibuya T, Taniguchi S, Okamura T, Harada M, et al. Central nervous system involvement in adult T-cell leukemia/lymphoma. Cancer 1990;65(2):327-332 View Article PubMed/NCBI
  70. Katsuya H, Ishitsuka K, Utsunomiya A, Hanada S, Eto T, Moriuchi Y, et al. Treatment and survival among 1594 patients with ATL. Blood 2015;126(24):2570-2577 View Article PubMed/NCBI
  71. Kondo T, Kono H, Miyamoto N, Yoshida R, Toki H, Matsumoto I, et al. Age- and sex-specific cumulative rate and risk of ATLL for HTLV-I carriers. Int J Cancer 1989;43(6):1061-1064 View Article PubMed/NCBI
  72. Iwanaga M, Watanabe T, Yamaguchi K. Adult T-cell leukemia: a review of epidemiological evidence. Front Microbiol 2012;3:322 View Article PubMed/NCBI
  73. Bangham CRM, Matsuoka M. Human T-cell leukaemia virus type 1: parasitism and pathogenesis. Philos Trans R Soc Lond B Biol Sci 2017;372(1732):20160272 View Article PubMed/NCBI
  74. Nakahata S, Enriquez-Vera D, Jahan MI, Sugata K, Satou Y. Understanding the Immunopathology of HTLV-1-Associated Adult T-Cell Leukemia/Lymphoma: A Comprehensive Review. Biomolecules 2023;13(10):1543 View Article PubMed/NCBI
  75. Bangham CR. CTL quality and the control of human retroviral infections. Eur J Immunol 2009;39(7):1700-1712 View Article PubMed/NCBI
  76. Kataoka K, Nagata Y, Kitanaka A, Shiraishi Y, Shimamura T, Yasunaga J, et al. Integrated molecular analysis of adult T cell leukemia/lymphoma. Nat Genet 2015;47(11):1304-1315 View Article PubMed/NCBI
  77. Kogure Y, Kameda T, Koya J, Yoshimitsu M, Nosaka K, Yasunaga JI, et al. Whole-genome landscape of adult T-cell leukemia/lymphoma. Blood 2022;139(7):967-982 View Article PubMed/NCBI
  78. Lage LA, Cabral TC, Costa Rde O, Gonçalves Mde C, Levy D, Zerbini MC, et al. Primary nodal peripheral T-cell lymphomas: diagnosis and therapeutic considerations. Rev Bras Hematol Hemoter 2015;37(4):277-284 View Article PubMed/NCBI
  79. Ohshima K. Pathological features of diseases associated with human T-cell leukemia virus type I. Cancer Sci 2007;98(6):772-778 View Article PubMed/NCBI
  80. Tsukasaki K, Imaizumi Y, Tawara M, Fujimoto T, Fukushima T, Hata T, et al. Diversity of leukaemic cell morphology in ATL correlates with prognostic factors, aberrant immunophenotype and defective HTLV-1 genotype. Br J Haematol 1999;105(2):369-375 View Article PubMed/NCBI
  81. Takeshita M, Akamatsu M, Ohshima K, Kobari S, Kikuchi M, Suzumiya J, et al. CD30 (Ki-1) expression in adult T-cell leukaemia/lymphoma is associated with distinctive immunohistological and clinical characteristics. Histopathology 1995;26(6):539-546 View Article PubMed/NCBI
  82. Karube K, Ohshima K, Tsuchiya T, Yamaguchi T, Kawano R, Suzumiya J, et al. Expression of FoxP3, a key molecule in CD4CD25 regulatory T cells, in adult T-cell leukaemia/lymphoma cells. Br J Haematol 2004;126(1):81-84 View Article PubMed/NCBI
  83. Yamada K, Miyoshi H, Yoshida N, Shimono J, Sato K, Nakashima K, et al. Human T-cell lymphotropic virus HBZ and tax mRNA expression are associated with specific clinicopathological features in adult T-cell leukemia/lymphoma. Mod Pathol 2021;34(2):314-326 View Article PubMed/NCBI
  84. Takatori M, Sakihama S, Miyara M, Imaizumi N, Miyagi T, Ohshiro K, et al. A new diagnostic algorithm using biopsy specimens in adult T-cell leukemia/lymphoma: combination of RNA in situ hybridization and quantitative PCR for HTLV-1. Mod Pathol 2021;34(1):51-58 View Article PubMed/NCBI
  85. Stuver R, Horwitz SM, Epstein-Peterson ZD. Treatment of Adult T-Cell Leukemia/Lymphoma: Established Paradigms and Emerging Directions. Curr Treat Options Oncol 2023;24(8):948-964 View Article PubMed/NCBI
  86. Henn A, Michel L, Fite C, Deschamps L, Ortonne N, Ingen-Housz-Oro S, et al. Sézary syndrome without erythroderma. J Am Acad Dermatol 2015;72(6):1003-9.e1 View Article PubMed/NCBI
  87. Lee H. Mycosis fungoides and Sézary syndrome. Blood Res 2023;58(S1):66-82 View Article PubMed/NCBI
  88. Willemze R, Jaffe ES, Burg G, Cerroni L, Berti E, Swerdlow SH, et al. WHO-EORTC classification for cutaneous lymphomas. Blood 2005;105(10):3768-3785 View Article PubMed/NCBI
  89. Jones CL, Degasperi A, Grandi V, Amarante TD, Mitchell TJ, Nik-Zainal S, et al. Spectrum of mutational signatures in T-cell lymphoma reveals a key role for UV radiation in cutaneous T-cell lymphoma. Sci Rep 2021;11(1):3962 View Article PubMed/NCBI
  90. Campbell JJ, Clark RA, Watanabe R, Kupper TS. Sezary syndrome and mycosis fungoides arise from distinct T-cell subsets: a biologic rationale for their distinct clinical behaviors. Blood 2010;116(5):767-771 View Article PubMed/NCBI
  91. Vermeer MH, van Doorn R, Dijkman R, Mao X, Whittaker S, van Voorst Vader PC, et al. Novel and highly recurrent chromosomal alterations in Sézary syndrome. Cancer Res 2008;68(8):2689-2698 View Article PubMed/NCBI
  92. Hwang ST, Janik JE, Jaffe ES, Wilson WH. Mycosis fungoides and Sézary syndrome. Lancet 2008;371(9616):945-957 View Article PubMed/NCBI
  93. Batista DA, Vonderheid EC, Hawkins A, Morsberger L, Long P, Murphy KM, et al. Multicolor fluorescence in situ hybridization (SKY) in mycosis fungoides and Sézary syndrome: search for recurrent chromosome abnormalities. Genes Chromosomes Cancer 2006;45(4):383-391 View Article PubMed/NCBI
  94. Park J, Daniels J, Wartewig T, Ringbloom KG, Martinez-Escala ME, Choi S, et al. Integrated genomic analyses of cutaneous T-cell lymphomas reveal the molecular bases for disease heterogeneity. Blood 2021;138(14):1225-1236 View Article PubMed/NCBI
  95. Choi J, Goh G, Walradt T, Hong BS, Bunick CG, Chen K, et al. Genomic landscape of cutaneous T cell lymphoma. Nat Genet 2015;47(9):1011-1019 View Article PubMed/NCBI
  96. Scheffer E, Meijer CJ, van Vloten WA, Willemze R. A histologic study of lymph nodes from patients with the Sézary syndrome. Cancer 1986;57(12):2375-2380 View Article PubMed/NCBI
  97. Trotter MJ, Whittaker SJ, Orchard GE, Smith NP. Cutaneous histopathology of Sézary syndrome: a study of 41 cases with a proven circulating T-cell clone. J Cutan Pathol 1997;24(5):286-291 View Article PubMed/NCBI
  98. Klemke CD, Booken N, Weiss C, Nicolay JP, Goerdt S, Felcht M, et al. Histopathological and immunophenotypical criteria for the diagnosis of Sézary syndrome in differentiation from other erythrodermic skin diseases: a European Organisation for Research and Treatment of Cancer (EORTC) Cutaneous Lymphoma Task Force Study of 97 cases. Br J Dermatol 2015;173(1):93-105 View Article PubMed/NCBI
  99. Cetinözman F, Jansen PM, Vermeer MH, Willemze R. Differential expression of programmed death-1 (PD-1) in Sézary syndrome and mycosis fungoides. Arch Dermatol 2012;148(12):1379-1385 View Article PubMed/NCBI
  100. Fierro MT, Comessatti A, Quaglino P, Ortoncelli M, Osella Abate S, Ponti R, et al. Expression pattern of chemokine receptors and chemokine release in inflammatory erythroderma and Sézary syndrome. Dermatology 2006;213(4):284-292 View Article PubMed/NCBI
  101. Ortonne N, Huet D, Gaudez C, Marie-Cardine A, Schiavon V, Bagot M, et al. Significance of circulating T-cell clones in Sezary syndrome. Blood 2006;107(10):4030-4038 View Article PubMed/NCBI
  102. Miyashiro D, Sanches JA. Mycosis fungoides and Sézary syndrome: clinical presentation, diagnosis, staging, and therapeutic management. Front Oncol 2023;13:1141108 View Article PubMed/NCBI
  103. Whittaker SJ, Smith NP. Diagnostic value of T-cell receptor beta gene rearrangement analysis on peripheral blood lymphocytes of patients with erythroderma. J Invest Dermatol 1992;99(3):361-362 View Article PubMed/NCBI
  104. Ponti R, Quaglino P, Novelli M, Fierro MT, Comessatti A, Peroni A, et al. T-cell receptor gamma gene rearrangement by multiplex polymerase chain reaction/heteroduplex analysis in patients with cutaneous T-cell lymphoma (mycosis fungoides/Sézary syndrome) and benign inflammatory disease: correlation with clinical, histological and immunophenotypical findings. Br J Dermatol 2005;153(3):565-573 View Article PubMed/NCBI
  105. Chan JK, Sin VC, Wong KF, Ng CS, Tsang WY, Chan CH, et al. Nonnasal lymphoma expressing the natural killer cell marker CD56: a clinicopathologic study of 49 cases of an uncommon aggressive neoplasm. Blood 1997;89(12):4501-4513 PubMed/NCBI
  106. Song SY, Kim WS, Ko YH, Kim K, Lee MH, Park K. Aggressive natural killer cell leukemia: clinical features and treatment outcome. Haematologica 2002;87(12):1343-1345 PubMed/NCBI

About this Article

Cite this article
Purkiss DW, Lee IE, Xu D, Wang J. A New Approach to Differentiating Large Granular Lymphocytic Leukemias and Their Mimics in Light of Current Updates in the 5th Edition of the WHO Classification. J Clin Transl Pathol. 2025;5(1):9-19. doi: 10.14218/JCTP.2024.00043.
Copy        Export to RIS        Export to EndNote
Article History
Received Revised Accepted Published
November 22, 2024 December 24, 2024 December 24, 2024 January 21, 2025
DOI http://dx.doi.org/10.14218/JCTP.2024.00043
  • Journal of Clinical and Translational Pathology
  • pISSN 2993-5202
  • eISSN 2771-165X
Back to Top

A New Approach to Differentiating Large Granular Lymphocytic Leukemias and Their Mimics in Light of Current Updates in the 5th Edition of the WHO Classification

Dylan W. Purkiss, Iris E. Lee, Dan Xu, Jun Wang
  • Reset Zoom
  • Download TIFF