v
Search
Advanced

Publications > Journals > Journal of Clinical and Translational Pathology> Article Full Text

  • OPEN ACCESS

Mimickers and Associated Neoplasms of Castleman Disease

  • Xiaohui Zhang1,* ,
  • Sara Niyazi2,
  • Huazhang Guo3 and
  • Ling Zhang1
 Author information 

Abstract

Background and objectives

Castleman disease (CD) is a lymphoproliferative condition with a broad range of morphological and clinical presentations. It is categorized into distinct pathological and clinical subtypes, including localized unicentric CD, idiopathic multicentric CD, and human herpesvirus 8-associated or human herpesvirus 8-negative variants. Diagnosing CD requires adherence to internationally recognized guidelines that integrate clinical, laboratory, and histological findings. However, distinguishing CD from other diseases can be complex, as numerous benign and malignant conditions can mimic its features. Additionally, individuals diagnosed with CD are at an elevated risk of developing various malignancies. In this article, we reviewed benign and malignant conditions that can mimic CD.

Methods

Literature search is conducted and reviewed.

Results

Mimickers of CD include follicular hyperplasia, indolent B-cell lymphoproliferative disorders, peripheral T-cell malignancies, classic Hodgkin lymphoma, follicular dendritic cell tumors, plasma cell disorders, immunoglobulin G4 -related lymphadenopathy, autoimmune-associated lymphadenopathy, infectious causes of lymphadenopathy, and systemic syndromes like POEMS and TAFRO. Various malignancies are associated with CD, including plasma cell proliferations, lymphomas, follicular dendritic cell neoplasms, and Kaposi sarcoma.

Conclusions

This review explores the differential diagnoses and neoplasms linked to CD, emphasizing their role in accurate classification, treatment decisions, and patient management. A comprehensive understanding of CD and its mimickers is crucial for ensuring accurate diagnosis and appropriate patient management in clinical practice.

Keywords

Castleman disease, Hyaline vascular Castleman disease, Plasma cell Castleman disease, Mimickers, Associated neoplasms, Lymphoproliferative disorder

Introduction

Castleman disease (CD) is a lymphoproliferative condition that primarily affects the lymph nodes. Clinically, it is classified into unicentric CD (UCD) and multicentric CD (MCD), while histopathologically, it is divided into hyaline vascular (HV-CD) and plasma cell (PC-CD) subtypes.1,2 UCD is confined to a single lymph node or a localized cluster of nodes within one nodal station.3,4 Most individuals with UCD remain asymptomatic, and it is primarily identified as an isolated, enlarged lymph node. Morphologically, UCD can be further categorized into the hyaline vascular type, which constitutes approximately 75% of cases, and the plasma cell variant, which makes up around 25%. In some instances, a mixed pattern incorporating features of both subtypes may also be observed.

MCD, on the other hand, involves multiple lymph node regions and is frequently accompanied by systemic manifestations and organ impairment. Patients with MCD often present with generalized lymphadenopathy, which can range from mild to extensive.3 The histopathological spectrum of MCD includes both plasmacytic and mixed morphologies.3 MCD can be further stratified into subtypes based on clinical and virological factors, such as its association with human herpesvirus 8 (HHV8), which distinguishes HHV8-positive from HHV8-negative cases. Additional subcategories include MCD linked to POEMS syndrome, characterized by polyneuropathy, organ enlargement, endocrine abnormalities, elevated monoclonal immunoglobulin levels, and dermatologic changes. Another subset is idiopathic MCD (iMCD), which may or may not present with TAFRO syndrome, a condition marked by thrombocytopenia, fluid retention, inflammatory symptoms such as fever, renal impairment, organomegaly, and bone marrow fibrosis (Fig. 1).

Overview of CD clinical subtypes and pathological variants.
Fig. 1  Overview of CD clinical subtypes and pathological variants.

The triangles represent the histological spectrum in the hyaline vascular and plasma cell variants of CD. Percentages for some CD subtypes are not available. CD, Castleman disease; HHV8, human herpesvirus 8; HIV, human immunodeficiency virus; MCD, multicentric Castleman disease; NOS, not otherwise specified.

Histopathologic features of CD

HV-CD

From a histological perspective, HV-CD exhibits distinct changes in both the follicular and interfollicular regions. One of its defining features is a notable increase in the number of follicles, a phenomenon sometimes referred to as “twinning”.3 This hyperplastic response is accompanied by regressed germinal centers that display an expanded network of follicular dendritic cells (FDCs).3,4 Additionally, sclerotic blood vessels traverse the germinal centers, contributing to the classic “hyaline-vascular” morphology, often described as having a “lollipop” appearance due to the distinctive vascular pattern.5–7

Moreover, the mantle zone demonstrates expansion, forming concentric layers of lymphocytes, creating a structure reminiscent of an “onion skin” pattern.5–7 A notable absence of sinus structures, coupled with thickening of the lymph node capsule, further underscores significant alterations in the normal lymph node framework, reinforcing the pathological hallmarks of HV-CD.

Changes within the interfollicular region are also prominent. This area is characterized by a dense network of high endothelial venules, composed of enlarged endothelial cells that frequently exhibit thickened, sclerotic walls.4,5 These alterations play a crucial role in understanding the vascular dynamics within the lymph node.

Additionally, clusters of plasmacytoid dendritic cells, marked by the expression of CD68, CD123, and TCL1, are frequently observed.8 Scattered plasma cells, immunoblasts, and eosinophils further contribute to the histopathological landscape of HV-CD.4

PC-CD

PC-CD is histologically defined by hyperplastic follicles accompanied by an interfollicular plasmacytic infiltrate. In some cases, the hyperplastic follicles exhibit hyaline vascular characteristics, including atrophic follicles and concentric lymphocyte layering, often described as an “onion skin” pattern.3,7 Unlike HV-CD, the germinal center vasculature in PC-CD generally lacks sclerotic vessel walls.4

The interfollicular space in PC-CD shows an abundance of plasma cells, predominantly polytypic, though approximately one-third of cases display monotypic plasma cells.3,6 Recognizing this distinction from HV-CD is crucial for understanding disease pathology. Another key difference from HV-CD is the presence of patent sinuses in PC-CD. Some cases of PC-CD exhibit histologic features overlapping with HV-CD, leading to the designation of a “mixed” subtype in certain instances, though this classification is rarely used in modern practice.3,9

Cytogenetics and molecular findings

In a subset of HV-CD cases, clonal cytogenetic alterations have been observed, suggesting a possible neoplastic process.5 However, these cases typically lack evidence of B-cell or T-cell clonality, reinforcing the classification of HV-CD as a neoplasm that predominantly affects follicular dendritic cells.5 Conversely, cytogenetic abnormalities are rarely detected in PC-CD.10 The absence of significant cytogenetic findings implies that PC-CD exhibits a distinct biological profile compared to HV-CD, necessitating further research to elucidate its underlying mechanisms. The incidence of cytogenetic changes in CD is unclear. A review of all investigated cases demonstrated frequent complex karyotypes, including translocations, deletions, inversions, and added chromosomal materials.11 Chromosome 7 abnormalities appear to be the most frequent.11

Although there is limited understanding of the genetic landscape of CD, many molecular alterations have been identified. Sequencing studies of CD cases have identified the PDGFRB N666S mutation in UCD and the NCOA4 L261F mutation in iMCD.12,13 Other abnormalities have been identified in genes related to mitogen-activated protein kinase and interleukin pathways in UCD (FAS, FGFR3, NF1, and TGFBR2), and chromatin organization-related genes in iMCD (SETD1A, ASH1L, KMT2E, and DNMT3A).11 Exome sequencing studies have identified significantly dysregulated genes in both UCD and iMCD, including genes in the complement cascade, collagen organization, S1P3 pathway, vascular endothelial growth factor receptor pathway, humoral response, oxidative phosphorylation, and proteosome function.14 Notably, CXCL13 is upregulated in both UCD and iMCD.14,15

Diagnostic criteria

The diagnosis of HV-CD is primarily dependent on the histopathologic presence of hyaline-vascular follicles. These follicles are accompanied by a fibrotic and hypervascular stroma, often leading to sinus compression within the lymph node.3,5 Recognizing these defining characteristics is essential for distinguishing HV-CD from other lymphoproliferative disorders.

In contrast, diagnosing PC-CD requires the identification of dense interfollicular plasma cell infiltrates extending into the cortical regions of the lymph node.3 Plasma cells in PC-CD are generally polytypic, although monotypic plasmacytosis may be observed in rare cases.10 Additionally, the size of lymphoid follicles can vary, with some showing regressive changes. Morphologic evaluation of affected lymph nodes may reveal Grade 2 or 3 regressed germinal centers along with prominent plasmacytosis.3,16,17 A definitive diagnosis requires fulfilling clinical, laboratory, histologic, and exclusion criteria to effectively rule out alternative causes.

Morphologic mimickers

Many benign and malignant conditions can morphologically mimic CD, and these should be carefully excluded (Table 1).3,16

Table 1

Castleman disease mimickers

Castleman disease mimickers
Lymphomas
  Low grade B cell non-Hodgkin lymphomas
  Mature T cell lymphomas
  Classic Hodgkin lymphoma
Other malignancies
  Follicular dendritic cell sarcoma
  Plasma cell neoplasms
Autoimmune diseases
  Immunoglobulin G4 (IgG4)-related disease
  Rheumatoid arthritis/juvenile idiopathic arthritis
  Systemic lupus erythrematosus
  Adult-onset still disease
Autoimmune lymphoproliferative syndrome
Infections
  Acute Epstein-Barr virus infection
  Acute human immunodeficiency virus infection
  Human herpesvirus 8/KSHV infection
  Other infections (cytomegalovirus, toxoplasmosis, tuberculosis)

Follicular hyperplasia and low-grade B cell non-Hodgkin lymphomas

HV-CD is characterized by follicular expansion and thickened mantle zones, which may resemble follicular hyperplasia or certain low-grade B-cell non-Hodgkin lymphomas exhibiting a nodular growth pattern. These include follicular lymphoma, mantle cell lymphoma, and nodal marginal zone lymphoma. The similar histologic features observed in reactive lymphoid conditions or lymphomas can lead to diagnostic uncertainty. For example, HV-CD may display back-to-back follicles and regressed germinal centers, which could result in misinterpretation of BCL2 positivity and a mistaken diagnosis of follicular lymphoma. Conversely, follicular lymphoma may present with features resembling HV-CD, such as concentric mantle zones and sclerotic blood vessels extending into the germinal centers.18,19

A prominent mantle zone is a distinguishing characteristic of HV-CD. The mantle zone cells may express weak CD5, potentially mimicking mantle cell lymphoma with a nodular growth pattern.20 Marginal zone expansion is another feature seen in CD, sometimes creating the appearance of nodal marginal zone lymphoma. A definitive diagnosis requires excisional biopsy, followed by thorough immunohistochemical evaluation, flow cytometry, and, in some cases, molecular testing. These molecular studies may include immunoglobulin heavy and kappa light chain gene rearrangement analysis, fluorescence in situ hybridization, and next-generation sequencing, all of which are valuable in confirming proper classification.

Mature T cell lymphomas

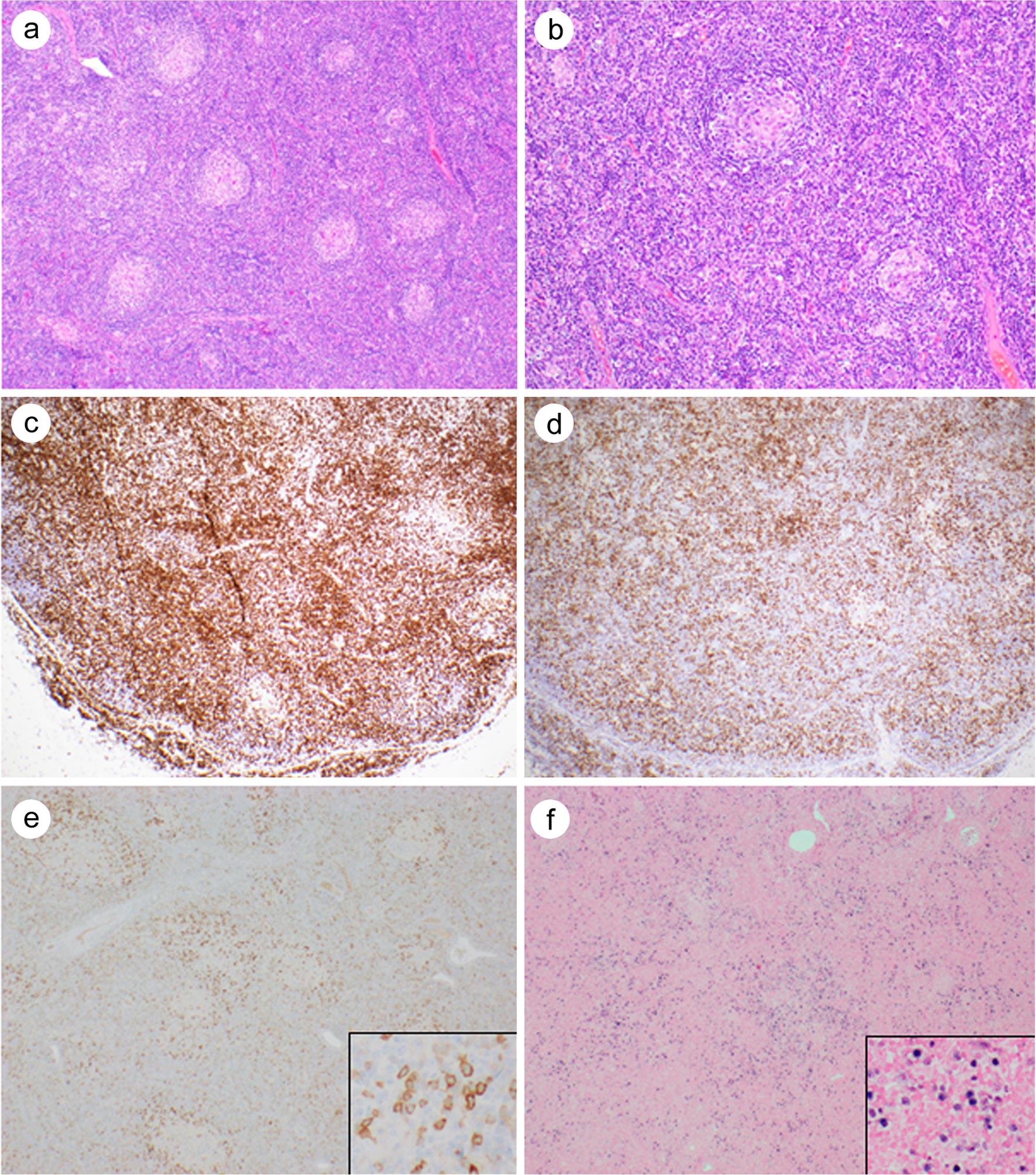
Certain nodal T follicular helper cell lymphomas, including angioimmunoblastic T-cell lymphoma, may exhibit features closely resembling HV-CD, such as increased vasculature, regressed germinal centers, and an abundance of plasma cells (Fig. 2). Additionally, proliferation of atypical T-cells expressing T follicular helper markers may be observed in CD. Peripheral T-cell lymphoma can also co-occur with CD.21 To accurately differentiate CD from T-cell lymphomas, precise subclassification is necessary, incorporating a comprehensive panel of immunohistochemical markers and molecular studies to distinguish between these entities.21

Nodal T follicular helper cell lymphoma, angioimmunoblastic T-cell lymphoma type, mimicking Castleman disease.
Fig. 2  Nodal T follicular helper cell lymphoma, angioimmunoblastic T-cell lymphoma type, mimicking Castleman disease.

(a, b) Histology shows follicles with regressive germinal centers, with interfollicular small lymphoid cells, 40× and 100×. (c-e) Immunohistochemical stains of CD3 (c, 40×), ICOS (d, 40×), and PD1 (e, 40×, inlet 200×) show a T follicular helper cell phenotype. (f) EBER in-situ hybridization is positive (40×, inlet 200×). Molecular study was positive for clonal T-cell receptor gene rearrangements.

Classic Hodgkin lymphoma

CD can exhibit features resembling Hodgkin lymphoma, particularly due to the presence of large, atypical dendritic cells with prominent nucleoli or CD30-positive immunoblasts, that can be found within a background of plasma cells and lymphocytes.9 Classic Hodgkin lymphoma has been noted to present with Castleman-like histologic features and is most commonly associated with plasma cell-type PC-CD or mixed subtypes.1 In such cases, careful examination of the interfollicular regions for Reed-Sternberg cells displaying the characteristic immunophenotype (CD45, CD30+, CD15+/−, PAX5 weak+) is essential for establishing an accurate diagnosis.22,23

Follicular dendritic cell sarcoma

Certain HV-CD cases demonstrate prominent FDC proliferation, characterized by clusters of spindle-shaped cells interspersed with blood vessels. This proliferation is typically observed in the stromal-rich areas of HV-CD. FDCs may exhibit cytologic atypia, which could signify either a reactive proliferation of precursor dendritic cells or an early neoplastic precursor to FDC sarcoma.24 In a subset of CD cases, progression to FDC sarcoma has been reported.25 Given the histologic overlap between atypical FDC proliferation and FDC sarcoma, distinguishing between the two can be challenging. Molecular studies may provide valuable diagnostic insight.25

Plasma cell neoplasms

In PC-CD, interfollicular plasma cells can be abundant and may form sheets and clusters, occasionally mimicking the appearance of a plasma cell neoplasm.26 Immunohistochemical evaluation using kappa and lambda light chain markers or in situ hybridization typically confirms a polytypic plasma cell population, although light chain restriction may be identified in certain CD cases.9 Plasma cell neoplasms occurring in association with CD have been documented, including cases of POEMS syndrome.27 Additionally, conditions such as lymphoplasmacytic lymphoma and marginal zone lymphoma must be ruled out when a monotypic plasma cell population is present.

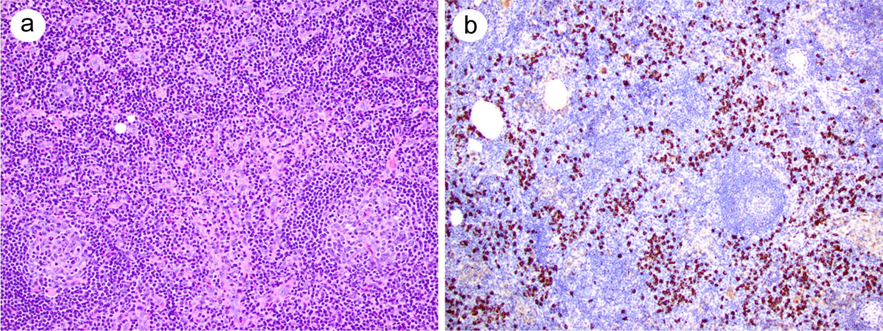
IgG4-related lymphadenopathy

IgG4-related disease (IgG4-RD) is an immune-mediated condition that typically presents as mass-forming lesions and widespread fibrosis accompanied by a lymphoplasmacytic infiltrate. Patients with IgG4-RD often exhibit lymphadenopathy with an elevated IgG4 count and an increased IgG4+/IgG+ plasma cell ratio (exceeding 40%),28,29 as well as elevated serum IgG4 levels. Morphologically, IgG4-RD can resemble multicentric CD, displaying both hyperplastic and regressed follicles with an abundance of IgG4+ plasma cells (Fig. 3).30

IgG4-related lymphadenopathy, mimicking Castleman disease.
Fig. 3  IgG4-related lymphadenopathy, mimicking Castleman disease.

(a) Histology shows follicles with regressive germinal centers, 100×. (b) Immunohistochemical stains of IgG4 show an increase in IgG4-positive plasma cells, 100×. The clinical presentation was consistent with IgG4-related lymphadenopathy. (Courtesy of Zenggang Pan, MD, PhD, Department of Pathology, University of Colorado, Anschutz, CO). IgG4, immunoglobulin G4.

In contrast, plasma cell-type idiopathic multicentric Castleman disease often presents with increased serum IgG4 concentrations and an accumulation of IgG4+ plasma cells within tissues. This is primarily driven by excessive interleukin-6 production. In some cases, the clinical and histopathological findings may overlap, leading to features that also meet the criteria for IgG4-RD.31

Distinguishing between these two entities can be challenging and requires careful evaluation of clinical features, laboratory markers, histopathologic characteristics, and response to therapy. A combination of these factors should be used to ensure proper classification and management.32–34

Other autoimmune disease related lymphadenopathy

In addition to IgG4-RD, individuals with autoimmune disorders such as rheumatoid arthritis, juvenile idiopathic arthritis, systemic lupus erythematosus, adult-onset Still’s disease, and ALPS may present with lymphadenopathy and histopathologic features resembling PC-CD. This overlap complicates the diagnostic process. Furthermore, iMCD frequently coexists with autoimmune conditions, which may develop before, concurrently with, or after the diagnosis of CD.35

Furthermore, iMCD can be associated with autoimmune diseases such as psoriasis or myasthenia gravis.36 Another relevant condition is VEXAS syndrome (vacuoles, E1 enzyme, X-linked, autoinflammatory, and somatic disorder), an adult-onset inflammatory syndrome linked to acquired UBA1 mutations.37 This syndrome can present with lymphadenopathy that mimics iMCD.38,39 The shared immunopathogenic mechanisms between autoimmune diseases and iMCD necessitate careful differentiation between these conditions.35 A thorough evaluation of clinical symptoms and laboratory parameters, including autoantibody testing, is crucial for ensuring diagnostic accuracy and distinguishing iMCD from autoimmune disorders.

Infectious lymphadenopathy (including human immunodeficiency virus (HIV)-related lymphadenopathy)

Several infectious agents, including Epstein-Barr virus (EBV), HIV, cytomegalovirus, as well as toxoplasmosis and Mycobacterium tuberculosis infections, can present with lymphadenopathy that mimics CD-like features. Given this overlap, comprehensive laboratory testing for infectious causes should be conducted before confirming a diagnosis of CD.

CD associated neoplasms

Patients with CD can develop a variety of neoplasms, including plasma cell neoplasms in POEMS syndrome, lymphomas, FDC sarcoma, Kaposi sarcoma, and others (Table 2).

Table 2

Castleman disease associated syndromes and neoplasms

Castleman disease associated syndromes
  TAFRO
  POEMS/plasma cell neoplasms
Castleman disease associated neoplasms
  Hematolymphoid neoplasms
    HHV8+ diffuse large B cell lymphoma
    Primary effusion lymphoma
    Classic Hodgkin lymphoma
    Diffuse large B cell lymphoma
    Mantle cell lymphoma
    Indolent T or B lymphoblastic proliferation
    Peripheral T cell lymphoma
    Plasma cell neoplasm
  Other malignancies
    Follicular dendritic cell sarcoma
    HHV8+ Kaposi sarcoma
    Vascular neoplasms
    Others (carcinoma, inflammatory myofibroblastic tumor, etc.)

CD-associated syndromes and underlying neoplasms

Multicentric CD encompasses subcategories linked to TAFRO and POEMS syndromes (Table 2). Unlike TAFRO syndrome, which is a hyperinflammatory disorder marked by thrombocytopenia and absent hypergammaglobulinemia,40,41 POEMS syndrome is a multisystemic disorder associated with an underlying plasma cell neoplasm. It is characterized by polyneuropathy, organomegaly, endocrine abnormalities, monoclonal gammopathy, and skin manifestations.42

A diagnosis of POEMS syndrome requires two mandatory criteria: the presence of polyneuropathy (typically demyelinating) and a monoclonal plasma cell proliferative disorder. Additionally, at least one of the three major criteria must be met, which include elevated vascular endothelial growth factor, sclerotic bone lesions, or Castleman disease. Furthermore, at least one of six minor criteria should also be present, which may include organomegaly, endocrinopathy, fluid retention, skin changes, papilledema, or thrombocytosis/polycythemia.43,44 Distinguishing POEMS syndrome from other plasma cell disorders, such as multiple myeloma, monoclonal gammopathy of undetermined significance, plasmacytoma, and smoldering multiple myeloma, is critical, as the treatment approaches differ significantly. The treatment of POEMS syndrome requires targeting the plasma cell clone with specific anti-plasma cell directed therapy, as well as symptoms with supportive treatment.45

Patients diagnosed with CD can also develop malignancies at a notably higher rate than the expected age-adjusted prevalence.46 A systematic literature review identified multiple hematologic malignancies associated with CD, including angioimmunoblastic T-cell lymphoma, mantle cell lymphoma, diffuse large B-cell lymphoma, Hodgkin lymphoma, acute myeloid leukemia, and multiple myeloma. Additionally, various solid tumors have been reported, such as adenocarcinoma, dendritic cell sarcoma, inflammatory myofibroblastic tumor, basal cell carcinoma, gastric carcinoma, medullary thyroid carcinoma, schwannoma, spindle cell sarcoma, tonsillar carcinoma, and squamous cell carcinoma of the lung.46 Among the most frequent neoplasms linked to CD are hematolymphoid malignancies, Kaposi sarcoma, and FDC sarcoma.

CD-associated hematolymphoid neoplasms

The most frequently observed hematolymphoid malignancies linked to CD include classic Hodgkin lymphoma, diffuse large B-cell lymphoma with or without HHV8 association, primary effusion lymphoma, mantle cell lymphoma, peripheral T-cell lymphoma, and plasma cell neoplasms.46–49 HHV8-positive lymphomas, such as diffuse large B-cell lymphoma and primary effusion lymphoma, often occur alongside Kaposi sarcoma and can be found in cases of HHV8-positive multicentric CD.47,48,50

When CD is associated with classic Hodgkin lymphoma, the majority of reported cases (approximately 90%) are of the plasma cell variant, with some demonstrating features of both the plasma cell and hyaline vascular variants. These findings suggest a potential relationship between PC-CD and classic Hodgkin lymphoma, particularly interfollicular variants.1 Additionally, overlapping features in classic Hodgkin lymphoma variants and PC-CD may indicate a shared IL-6-driven pathogenesis.23

Among CD-associated non-Hodgkin lymphomas, B-cell lymphomas constitute the majority of cases (70%), with mantle cell lymphoma representing 40% of these cases.23 In contrast, T-cell lymphoma is relatively uncommon, occurring in fewer than 5% of CD-associated lymphoma cases.21

There have also been documented cases of CD occurring concurrently with nasal-type natural killer/T-cell lymphoma, particularly in patients with EBV and HHV-8 co-infection. This observation suggests that EBV may play a role in the disease’s underlying pathogenesis.21,51

In addition, plasma cell dysplasia, multiple myeloma, and amyloidosis have been reported in association with multicentric CD.26,52–56 Though CD-related multiple myeloma cases are uncommon, successful treatment approaches have been described in the literature.55–57

Indolent T or B lymphoblastic proliferation

Indolent T-lymphoblastic proliferations (iT-LBP) can occur in CD and may resemble T-lymphoblastic leukemia/lymphoma.58,59 These proliferations are extrathymic, non-clonal expansions of immature T cells characterized by a lack of significant morphologic atypia, aberrant antigen expression, and monoclonality, as well as an indolent clinical course. Given its benign nature, iT-LBP does not require specific treatment.60

Additional immunohistochemical studies demonstrating negative CD1a staining are useful in distinguishing iT-LBP from T-lymphoblastic leukemia/lymphoma.61 LMO2 is another marker that aids in differentiating iT-LBP from T-lymphoblastic leukemia/lymphoma, as it is negative in the former and positive in the latter.62

Studies suggest that T-lymphoblastic proliferation is not uncommon in CD. A retrospective review by Ohgami et al. found T-lymphoblasts in 22 of 26 CD cases, with scattered lymphoblasts in 16 cases and dense clusters in six cases.63 Diagnosing iT-LBP requires identifying T-lymphoblastic proliferation in interfollicular regions as sheets or dense clusters, while preserving the follicular lymphoid architecture. Additionally, as mentioned previously, small- to medium-sized immature T cells lack significant morphologic atypia, aberrant antigen expression, or clonality.64

According to the 5th edition of the World Health Organization classification, the essential diagnostic criteria for iT-LBP include: a clinically indolent course, no evidence of T-lymphoblastic leukemia/lymphoma, confluent T-lymphoblast groups lacking atypia or tissue destruction, immunophenotypically normal precursor thymocytes (most often CD4+/CD8+), and absence of clonal T-cell receptor gene rearrangements.65 Bone marrow involvement is also not observed in iT-LBP.

The pathogenesis of iT-LBP remains unclear, but it is hypothesized that these T lymphoblasts originate from the thymus. A local microenvironment resembling thymic conditions may facilitate the homing and proliferation of these cells.66 Indolent B-cell lymphoblast/hematogone proliferation in Castleman disease has also been documented.58 We have observed a similar case involving concurrent CD and B-cell lymphoblast/hematogone proliferation (Fig. 4).

A case of Castleman disease with indolent B lymphoblast proliferation.
Fig. 4  A case of Castleman disease with indolent B lymphoblast proliferation.

(a, b) Histology shows features consistent with Castleman disease, hyaline-vascular variant, with foci of slightly immature lymphoid cells, 40× and 100×. (c-f) Immunohistochemical stains for CD10 (c, 100×), TdT (d, 100×), CD3 (e, 100×), and PAX5 (f, 100×) show the presence of B lymphoblasts in focal areas.

CD-associated FDC sarcoma

FDC proliferation is a well-recognized histological feature of HV-CD, frequently observed alongside germinal center regression. It is not uncommon for HV-CD cases to exhibit prominent FDC proliferation or FDC dysplasia, contributing to the unique histopathological appearance of the disease.67,68 A subset of cases (7–10%) may progress to FDC sarcoma, often arising in association with HV-CD.24,69

FDC atypia can be identified in follicular and interfollicular stromal regions, typically displaying binucleated or multinucleated morphology. The nuclei may appear small and centrally located with a smudged chromatin pattern. FDC proliferation may occur in isolation or give rise to a distinct FDC neoplasm. A diagnosis of FDC sarcoma requires identifying sheets of ovoid to spindle-shaped cells that exhibit immunophenotypic markers characteristic of FDCs (CD21+, CD23+, CD35+, and clusterin+). However, distinguishing FDC sarcoma from stroma-rich HV-CD can be challenging due to overlapping histological features.

There is growing evidence that HV-CD may serve as a precursor lesion for FDC sarcoma. Studies suggest that CD is a clonal neoplastic process, with follicular dendritic cells likely representing the cell of origin.5 The tumor suppressor p53 may contribute to the transformation process, although the exact pathogenesis remains unclear.70

CD-associated Kaposi sarcoma

The coexistence of Kaposi sarcoma and HHV8-positive multicentric CD has been extensively documented. This association is frequently observed in HIV-positive patients; however, cases in HIV-negative individuals have also been reported.71–74 One study demonstrated that small Kaposi sarcoma-like foci have frequently been found within lymph nodes involved by multicentric CD.75 While the clinical implications of these microscopic lesions remain unclear, thorough histopathologic assessment is recommended to recognize the potential coexistence of Kaposi sarcoma and CD.76

Conclusions

CD presents with a broad spectrum of morphological and clinical manifestations. Diagnosis relies on a combination of clinical, laboratory, histologic, and exclusion criteria. Given that CD has numerous benign and malignant mimickers, it is essential to rule out alternative reactive and neoplastic conditions before confirming a diagnosis. Patients with CD may develop various neoplasms, including plasma cell neoplasms, lymphomas, follicular dendritic cell sarcoma, and Kaposi sarcoma. A comprehensive understanding of CD and its mimickers is crucial for ensuring an accurate diagnosis and appropriate patient management in clinical practice.

In this article, we reviewed benign and malignant conditions that can mimic CD, including follicular hyperplasia, indolent B-cell lymphoproliferative disorders, peripheral T-cell malignancies, classic Hodgkin lymphoma, FDC tumors, plasma cell disorders, IgG4-related lymphadenopathy, autoimmune-associated lymphadenopathy, infectious causes of lymphadenopathy, and systemic syndromes like POEMS and TAFRO. We also reviewed various malignancies associated with CD, including plasma cell proliferations, lymphomas, FDC neoplasms, and Kaposi sarcoma. This review explores the differential diagnoses and neoplasms linked to CD, emphasizing their role in accurate classification, treatment decisions, and patient management. Additionally, an understanding of the underlying molecular mechanisms in these processes may provide a future research direction to better characterize the disease.

Declarations

Acknowledgement

We thank Dr. Zenggang Pan at the department of pathology, University of Colorado, Anschutz, for providing images for IgG4-related lymphadenopathy.

Funding

The authors have received no funding.

Conflict of interest

The authors declare no conflict of interest related to this publication.

Authors’ contributions

XZ and LZ conceptualized the review. XZ and SN performed literature search, wrote and revised the manuscript. HG provided case images and revised the manuscript. LZ conducted literature search and revised the manuscript. All authors have made significant contributions to this review and have approved the final manuscript.

References

  1. Wang W, Medeiros LJ. Castleman Disease. Surg Pathol Clin 2019;12(3):849-863 View Article PubMed/NCBI
  2. Zhou T, Wang HW, Pittaluga S, Jaffe ES. Multicentric Castleman disease and the evolution of the concept. Pathologica 2021;113(5):339-353 View Article PubMed/NCBI
  3. Wu D, Lim MS, Jaffe ES. Pathology of Castleman Disease. Hematol Oncol Clin North Am 2018;32(1):37-52 View Article PubMed/NCBI
  4. Dispenzieri A, Fajgenbaum DC. Overview of Castleman disease. Blood 2020;135(16):1353-1364 View Article PubMed/NCBI
  5. Chang KC, Wang YC, Hung LY, Huang WT, Tsou JH, M Jones D, et al. Monoclonality and cytogenetic abnormalities in hyaline vascular Castleman disease. Mod Pathol 2014;27(6):823-831 View Article PubMed/NCBI
  6. Chisholm KM, Fleming MD. Histologic and Laboratory Characteristics of Symptomatic and Asymptomatic Castleman Disease in the Pediatric Population. Am J Clin Pathol 2020;153(6):821-832 View Article PubMed/NCBI
  7. Fraticelli S, Lucioni M, Neri G, Marchiori D, Cristinelli C, Merli M, et al. T-Cells Subsets in Castleman Disease: Analysis of 28 Cases Including Unicentric, Multicentric and HHV8-Related Clinical Forms. Int J Mol Sci 2023;24(9):7813 View Article PubMed/NCBI
  8. Jegalian AG, Facchetti F, Jaffe ES. Plasmacytoid dendritic cells: physiologic roles and pathologic states. Adv Anat Pathol 2009;16(6):392-404 View Article PubMed/NCBI
  9. El Hussein S, Evans AG, Fang H, Wang W, Medeiros LJ. Unicentric Castleman Disease: Illustration of Its Morphologic Spectrum and Review of the Differential Diagnosis. Arch Pathol Lab Med 2024;148(1):99-106 View Article PubMed/NCBI
  10. Reichard KK, Robinett S, Foucar MK. Clonal cytogenetic abnormalities in the plasma cell variant of Castleman disease. Cancer Genet 2011;204(6):323-327 View Article PubMed/NCBI
  11. Butzmann A, Kumar J, Sridhar K, Gollapudi S, Ohgami RS. A Review of Genetic Abnormalities in Unicentric and Multicentric Castleman Disease. Biology (Basel) 2021;10(4):251 View Article PubMed/NCBI
  12. Li Z, Lan X, Li C, Zhang Y, Wang Y, Xue W, et al. Recurrent PDGFRB mutations in unicentric Castleman disease. Leukemia 2019;33(4):1035-1038 View Article PubMed/NCBI
  13. You L, Lin Q, Zhao J, Shi F, Young KH, Qian W. Whole-exome sequencing identifies novel somatic alterations associated with outcomes in idiopathic multicentric Castleman disease. Br J Haematol 2020;188(5):e64-e67 View Article PubMed/NCBI
  14. Horna P, King RL, Jevremovic D, Fajgenbaum DC, Dispenzieri A. The lymph node transcriptome of unicentric and idiopathic multicentric Castleman disease. Haematologica 2023;108(1):207-218 View Article PubMed/NCBI
  15. Pierson SK, Katz L, Williams R, Mumau M, Gonzalez M, Guzman S, et al. CXCL13 is a predictive biomarker in idiopathic multicentric Castleman disease. Nat Commun 2022;13(1):7236 View Article PubMed/NCBI
  16. Fajgenbaum DC, Uldrick TS, Bagg A, Frank D, Wu D, Srkalovic G, et al. International, evidence-based consensus diagnostic criteria for HHV-8-negative/idiopathic multicentric Castleman disease. Blood 2017;129(12):1646-1657 View Article PubMed/NCBI
  17. Saeed-Abdul-Rahman I, Al-Amri AM. Castleman disease. Korean J Hematol 2012;47(3):163-177 View Article PubMed/NCBI
  18. Pina-Oviedo S, Miranda RN, Lin P, Manning JT, Medeiros LJ. Follicular lymphoma with hyaline-vascular Castleman-like features: analysis of 6 cases and review of the literature. Hum Pathol 2017;68:136-146 View Article PubMed/NCBI
  19. Koh J, Jeon YK. Morphologic variant of follicular lymphoma reminiscent of hyaline-vascular Castleman disease. J Pathol Transl Med 2020;54(3):253-257 View Article PubMed/NCBI
  20. Liu Q, Pittaluga S, Davies-Hill T, Raffeld M, Xi L, Jaffe ES. Increased CD5-positive polyclonal B cells in Castleman disease: a diagnostic pitfall. Histopathology 2013;63(6):877-880 View Article PubMed/NCBI
  21. Liu S, Wang Y, Hu T, Zhang C, Zheng Z. Peripheral T cell lymphoma coexisting with Castleman’s disease: A case report and literature review. Medicine (Baltimore) 2020;99(2):e18650 View Article PubMed/NCBI
  22. Phulware RH, Ramteke P, Yadav R, Iyer VK, Mallick S. Cytology of Castleman’s disease (hyaline-vascular type) masquerading as Hodgkin’s lymphoma. Am J Blood Res 2022;12(6):196-200 PubMed/NCBI
  23. Lyapichev KA, You MJ, Vega F, Solis LM, Medeiros LJ. Classic Hodgkin lymphoma and Castleman disease: an entity appears to be emerging. Virchows Arch 2020;477(3):437-444 View Article PubMed/NCBI
  24. Medina EA, Fuehrer NE, Miller FR, Kinney MC, Higgins RA. Dysplastic follicular dendritic cells in hyaline-vascular Castleman disease: a rare occurrence creating diagnostic difficulty. Pathol Int 2016;66(9):535-539 View Article PubMed/NCBI
  25. Nagy A, Bhaduri A, Shahmarvand N, Shahryari J, Zehnder JL, Warnke RA, et al. Next-generation sequencing of idiopathic multicentric and unicentric Castleman disease and follicular dendritic cell sarcomas. Blood Adv 2018;2(5):481-491 View Article PubMed/NCBI
  26. Pilon VA, Gomez LG, Butler JJ. Systemic amyloidosis associated with a benign mesenteric lymphoid mass. Am J Clin Pathol 1982;78(1):112-116 View Article PubMed/NCBI
  27. Duminuco A, Romano A, Sabattini E, Villari L, Del Fabro V, Elia F, et al. Multicentric Castleman Disease and Concurrent Hematological Disorders: The Occurrence of Plasmacytoma and the Hypotheses Arising from Literature Review. Acta Haematol 2023;146(4):331-337 View Article PubMed/NCBI
  28. Sato Y, Notohara K, Kojima M, Takata K, Masaki Y, Yoshino T. IgG4-related disease: historical overview and pathology of hematological disorders. Pathol Int 2010;60(4):247-258 View Article PubMed/NCBI
  29. Bledsoe JR, Ferry JA, Neyaz A, Boiocchi L, Strock C, Dresser K, et al. IgG4-related Lymphadenopathy: A Comparative Study of 41 Cases Reveals Distinctive Histopathologic Features. Am J Surg Pathol 2021;45(2):178-192 View Article PubMed/NCBI
  30. Satou A, Notohara K, Zen Y, Nakamura S, Yoshino T, Okazaki K, et al. Clinicopathological differential diagnosis of IgG4-related disease: A historical overview and a proposal of the criteria for excluding mimickers of IgG4-related disease. Pathol Int 2020;70(7):391-402 View Article PubMed/NCBI
  31. Cheng CC, Chen YC, Hsu YH, Su KY. Idiopathic Multicentric Castleman Disease with Strikingly Elevated IgG4 Concentration in the Serum and Abundant IgG4-Positive Cells in the Tissue: A Case Report. Diagnostics (Basel) 2022;12(9):2261 View Article PubMed/NCBI
  32. Nishikori A, Nishimura MF, Nishimura Y, Notohara K, Satou A, Moriyama M, et al. Investigation of IgG4-positive cells in idiopathic multicentric Castleman disease and validation of the 2020 exclusion criteria for IgG4-related disease. Pathol Int 2022;72(1):43-52 View Article PubMed/NCBI
  33. Nishikori A, Nishimura MF, Fajgenbaum DC, Nishimura Y, Maehama K, Haratake T, et al. Diagnostic challenges of the idiopathic plasmacytic lymphadenopathy (IPL) subtype of idiopathic multicentric Castleman disease (iMCD): Factors to differentiate from IgG4-related disease. J Clin Pathol 2024 View Article PubMed/NCBI
  34. Peng Q, Wu F, Shi Y, Wang J, Zhai Z, Wang Z. Idiopathic multicentric castleman’s disease mimicking immunoglobulin G4-related disease responding well to Bortezomib: a case report. BMC Nephrol 2023;24(1):290 View Article PubMed/NCBI
  35. Sun DP, Chen WM, Wang L, Wang Z, Liang JH, Zhu HY, et al. Clinical characteristics and immunological abnormalities of Castleman disease complicated with autoimmune diseases. J Cancer Res Clin Oncol 2021;147(7):2107-2115 View Article PubMed/NCBI
  36. Muskardin TW, Peterson BA, Molitor JA. Castleman disease and associated autoimmune disease. Curr Opin Rheumatol 2012;24(1):76-83 View Article PubMed/NCBI
  37. Beck DB, Ferrada MA, Sikora KA, Ombrello AK, Collins JC, Pei W, et al. Somatic Mutations in UBA1 and Severe Adult-Onset Autoinflammatory Disease. N Engl J Med 2020;383(27):2628-2638 View Article PubMed/NCBI
  38. Philip R, Cadro V, Aouba A, Chantepie S, Bracquemart C, Dumont A. VEXAS syndrome: A new mimicker of idiopathic multicentric Castleman disease. Joint Bone Spine 2024;91(4):105731 View Article PubMed/NCBI
  39. Staels F, Betrains A, Woei-A-Jin FJSH, Boeckx N, Beckers M, Bervoets A, et al. Case Report: VEXAS Syndrome: From Mild Symptoms to Life-Threatening Macrophage Activation Syndrome. Front Immunol 2021;12:678927 View Article PubMed/NCBI
  40. Masaki Y, Arita K, Sakai T, Takai K, Aoki S, Kawabata H. Castleman disease and TAFRO syndrome. Ann Hematol 2022;101(3):485-490 View Article PubMed/NCBI
  41. Igawa T, Sato Y. TAFRO Syndrome. Hematol Oncol Clin North Am 2018;32(1):107-118 View Article PubMed/NCBI
  42. Dispenzieri A. POEMS syndrome: Update on diagnosis, risk-stratification, and management. Am J Hematol 2023;98(12):1934-1950 View Article PubMed/NCBI
  43. Dispenzieri A. POEMS syndrome: 2021 Update on diagnosis, risk-stratification, and management. Am J Hematol 2021;96(7):872-888 View Article PubMed/NCBI
  44. Suichi T, Misawa S, Sato Y, Beppu M, Sakaida E, Sekiguchi Y, et al. Proposal of new clinical diagnostic criteria for POEMS syndrome. J Neurol Neurosurg Psychiatry 2019;90(2):133-137 View Article PubMed/NCBI
  45. Bou Zerdan M, George TI, Bunting ST, Chaulagain CP. Recent Advances in the Treatment and Supportive Care of POEMS Syndrome. J Clin Med 2022;11(23):7011 View Article PubMed/NCBI
  46. Liu AY, Nabel CS, Finkelman BS, Ruth JR, Kurzrock R, van Rhee F, et al. Idiopathic multicentric Castleman’s disease: a systematic literature review. Lancet Haematol 2016;3(4):e163-e175 View Article PubMed/NCBI
  47. Katano H, Sato Y, Kurata T, Mori S, Sata T. Expression and localization of human herpesvirus 8-encoded proteins in primary effusion lymphoma, Kaposi’s sarcoma, and multicentric Castleman’s disease. Virology 2000;269(2):335-344 View Article PubMed/NCBI
  48. Ascoli V, Signoretti S, Onetti-Muda A, Pescarmona E, Della-Rocca C, Nardi F, et al. Primary effusion lymphoma in HIV-infected patients with multicentric Castleman’s disease. J Pathol 2001;193(2):200-209 View Article PubMed/NCBI
  49. Larroche C, Cacoub P, Soulier J, Oksenhendler E, Clauvel JP, Piette JC, et al. Castleman’s disease and lymphoma: report of eight cases in HIV-negative patients and literature review. Am J Hematol 2002;69(2):119-126 View Article PubMed/NCBI
  50. Oksenhendler E, Boulanger E, Galicier L, Du MQ, Dupin N, Diss TC, et al. High incidence of Kaposi sarcoma-associated herpesvirus-related non-Hodgkin lymphoma in patients with HIV infection and multicentric Castleman disease. Blood 2002;99(7):2331-2336 View Article PubMed/NCBI
  51. Larroche C, Agbalika F, Poirel H, Martin A, Gautheret-Dejean A, Raphaël M, et al. Epstein-Barr virus and human herpesvirus 8 coinfection and concomitant extranodal nasal-type NK/T cell lymphoma and Castleman disease: case report. Clin Infect Dis 2003;36(9):e107-e110 View Article PubMed/NCBI
  52. Ordi J, Grau JM, Junqué A, Nomdedeu B, Palacin A, Cardesa A. Secondary (AA) amyloidosis associated with Castleman’s disease. Report of two cases and review of the literature. Am J Clin Pathol 1993;100(4):394-397 View Article PubMed/NCBI
  53. Perfetti V, Bellotti V, Maggi A, Arbustini E, De Benedetti F, Paulli M, et al. Reversal of nephrotic syndrome due to reactive amyloidosis (AA-type) after excision of localized Castleman’s disease. Am J Hematol 1994;46(3):189-193 View Article PubMed/NCBI
  54. Bernabei L, Waxman A, Caponetti G, Fajgenbaum DC, Weiss BM. AA amyloidosis associated with Castleman disease: A case report and review of the literature. Medicine (Baltimore) 2020;99(6):e18978 View Article PubMed/NCBI
  55. Yuan ZG, Dun XY, Li YH, Hou J. Treatment of multicentric Castleman’s Disease accompanying multiple myeloma with bortezomib: a case report. J Hematol Oncol 2009;2:19 View Article PubMed/NCBI
  56. Yang D, Zhou X, Zhao Y, Cao S, Su A, Zhang X, et al. A rare case of multicentric castleman’s disease transforms into multiple myeloma and its successful treatment. Cancer Biol Ther 2018;19(11):949-952 View Article PubMed/NCBI
  57. Khan AA, Siraj F, Bhargava M, Aggarwal S. Successful treatment of multicentric Castleman’s disease accompanying myeloma with bortezomib. BMJ Case Rep 2012;2012:bcr2012007646 View Article PubMed/NCBI
  58. Qian YW, Weissmann D, Goodell L, August D, Strair R. Indolent T-lymphoblastic proliferation in Castleman lymphadenopathy. Leuk Lymphoma 2009;50(2):306-308 View Article PubMed/NCBI
  59. Yasuda H, Tsutsui M, Ota Y, Tanaka M, Komatsu N. Indolent T-lymphoblastic proliferation concomitant with acinic cell carcinoma mimicking T-lymphoblastic lymphoma: case report and literature review. Histopathology 2018;72(5):862-866 View Article PubMed/NCBI
  60. Saglam A, Singh K, Gollapudi S, Kumar J, Brar N, Butzmann A, et al. Indolent T-lymphoblastic proliferation: A systematic review of the literature analyzing the epidemiologic, clinical, and pathologic features of 45 cases. Int J Lab Hematol 2022;44(4):700-711 View Article PubMed/NCBI
  61. Yang F, Liu T, Zhao H, Hu Z, Xiao L, Liu Y, et al. Indolent T-lymphblastic proliferation: report of a case involving the upper aerodigestive tract. Int J Clin Exp Pathol 2014;7(9):6350-6356 PubMed/NCBI
  62. Brar N, Butzmann A, Kumar J, Peerani R, Morgan EA, Grigoriadis G, et al. LIM domain only 2 (LMO2) expression distinguishes T-lymphoblastic leukemia/lymphoma from indolent T-lymphoblastic proliferations. Histopathology 2020;77(6):984-988 View Article PubMed/NCBI
  63. Ohgami RS, Zhao S, Ohgami JK, Leavitt MO, Zehnder JL, West RB, et al. TdT+ T-lymphoblastic populations are increased in Castleman disease, in Castleman disease in association with follicular dendritic cell tumors, and in angioimmunoblastic T-cell lymphoma. Am J Surg Pathol 2012;36(11):1619-1628 View Article PubMed/NCBI
  64. Ohgami RS, Arber DA, Zehnder JL, Natkunam Y, Warnke RA. Indolent T-lymphoblastic proliferation (iT-LBP): a review of clinical and pathologic features and distinction from malignant T-lymphoblastic lymphoma. Adv Anat Pathol 2013;20(3):137-140 View Article PubMed/NCBI
  65. Parrens M, Ott G, Ohgami RS. Haematolymphoid tumours. Lyon (France): International Agency for Research on Cancer; 2024
  66. Wang ZM, Xiao WB, Zheng SS, Sun K, Wang LJ. Hepatocellular carcinoma with indolent T-lymphoblastic proliferation. Leuk Lymphoma 2006;47(11):2424-2426 View Article PubMed/NCBI
  67. Chan JK, Tsang WY, Ng CS. Follicular dendritic cell tumor and vascular neoplasm complicating hyaline-vascular Castleman’s disease. Am J Surg Pathol 1994;18(5):517-525 View Article PubMed/NCBI
  68. Lin O, Frizzera G. Angiomyoid and follicular dendritic cell proliferative lesions in Castleman’s disease of hyaline-vascular type: a study of 10 cases. Am J Surg Pathol 1997;21(11):1295-1306 View Article PubMed/NCBI
  69. Facchetti F, Simbeni M, Lorenzi L. Follicular dendritic cell sarcoma. Pathologica 2021;113(5):316-329 View Article PubMed/NCBI
  70. Chan AC, Chan KW, Chan JK, Au WY, Ho WK, Ng WM. Development of follicular dendritic cell sarcoma in hyaline-vascular Castleman’s disease of the nasopharynx: tracing its evolution by sequential biopsies. Histopathology 2001;38(6):510-518 View Article PubMed/NCBI
  71. Liu W, Lacouture ME, Jiang J, Kraus M, Dickstein J, Soltani K, et al. KSHV/HHV8-associated primary cutaneous plasmablastic lymphoma in a patient with Castleman’s disease and Kaposi’s sarcoma. J Cutan Pathol 2006;33(Suppl 2):46-51 View Article PubMed/NCBI
  72. Pinto LW, Nunes EP. Simultaneous lymph node involvement by Castleman disease and Kaposi sarcoma. Rev Bras Hematol Hemoter 2011;33(1):73-76 View Article PubMed/NCBI
  73. Bollen J, Polstra A, Van Der Kuyl A, Weel J, Noorduyn L, Van Oers M, et al. Multicentric Castleman’s disease and Kaposi’s sarcoma in a cyclosporin treated, HIV-1 negative patient: case report. BMC Blood Disord 2003;3(1):3 View Article PubMed/NCBI
  74. Yaghoobi R, Pazyar N, Tavakoli S. Co-Existence of Multicentric Castleman’s Disease and Kaposi’s Sarcoma. Indian J Dermatol 2015;60(3):323 View Article PubMed/NCBI
  75. Naresh KN, Rice AJ, Bower M. Lymph nodes involved by multicentric Castleman disease among HIV-positive individuals are often involved by Kaposi sarcoma. Am J Surg Pathol 2008;32(7):1006-1012 View Article PubMed/NCBI
  76. Cronin DM, Warnke RA. Castleman disease: an update on classification and the spectrum of associated lesions. Adv Anat Pathol 2009;16(4):236-246 View Article PubMed/NCBI

About this Article

Cite this article
Zhang X, Niyazi S, Guo H, Zhang L. Mimickers and Associated Neoplasms of Castleman Disease. J Clin Transl Pathol. 2025;5(1):20-29. doi: 10.14218/JCTP.2024.00047.
Copy        Export to RIS        Export to EndNote
Article History
Received Revised Accepted Published
December 10, 2024 February 25, 2025 March 4, 2025 March 24, 2025
DOI http://dx.doi.org/10.14218/JCTP.2024.00047
  • Journal of Clinical and Translational Pathology
  • pISSN 2993-5202
  • eISSN 2771-165X
Back to Top

Mimickers and Associated Neoplasms of Castleman Disease

Xiaohui Zhang, Sara Niyazi, Huazhang Guo, Ling Zhang
  • Reset Zoom
  • Download TIFF