v
Search
Advanced

Publications > Journals > Journal of Translational Gastroenterology> Online First Articles

Online First Articles

The online first articles are peer reviewed, accepted, and are ready for publication, with copyediting, typesetting, proofreading and author review. They have not been assigned to a journal issue; an article will be removed from this page once it is published in a coming issue.

Articles published online first are citable. To cite an article on this page, please refer to the following example:

Jiang CH, Wu HY, Chen JY, Huang W, Huang CY, Li ZS, et al. Global Research Trends and Hot Spots in the Overlapping Fields of Functional Bowel Disorders and the Intestinal Microbiota: A Scientometric Analysis. J Transl Gastroenterol. Published online: Aug 30, 2023. doi: 10.14218/JTG.2023.00026.

Original Article

Diagnosis and Follow-up of Children with Potential Celiac Disease on a Gluten-Containing Diet: A Retrospective Cohort Study

Barak Laxer, Assaf Hoofien, Michal Kori

Published online: October 28, 2025

[ Html ] [ PDF ] [ Google Scholar ] [ Cite ]

doi:10.14218/JTG.2025.00032

Urinary Arsenic Exposure and Metabolic Dysfunction-associated Steatotic Liver Disease: A NHANES Analysis

Silpa Choday, Anne Jarvis, William Graham, Paul Kang, Justin Reynolds

Published online: August 1, 2025

[ Html ] [ PDF ] [ Google Scholar ] [ Cite ]

doi:10.14218/JTG.2025.00019

Unmasking Inflammatory Bowel Disease in Nigeria: A Multicenter Cross-sectional Analysis of Clinico-pathological and Endoscopic Findings

Yusuf Musa, Habib Tijjani Saleh, Chinwe Philomena Onyia, Abubakar Sadiq Aminu, Kenechukwu Chukwuemeka Okonkwo, Oluwafunmilayo Funke Adeniyi, Abdulkareem Lukman Olaitan, Hafizu Abdullahi Zubairu, Nasiru Altine Dankiri, Muhammad Manko, Matthew Olumuyiwa Bojuwoye, Owoseni Opeyemi Olubukola, Emuobor Odeghe, Yusuf Shehu Umar, Ganiyat Kikelomo Oyeleke, Isa Mustapha, Chinenye Unoma Nwoko, Evaristus Sunday Chukwudike

Published online: July 9, 2025

[ Html ] [ PDF ] [ Google Scholar ] [ Cite ]

doi:10.14218/JTG.2025.00011

Review Article

Herbal Approaches to Gastrointestinal Disorders: Integrating Tradition and Science

Acharya Balkrishna, Deepika Srivastava, Razia Parveen, Ankita Kukreti, Nidhi Sharma

Published online: November 6, 2025

[ Html ] [ PDF ] [ Google Scholar ] [ Cite ]

doi:10.14218/JTG.2025.00030

Pitfalls in the Diagnosis of Celiac Disease: Bridging Gaps from Serology to Clinical Practice

Vinit H. Majmudar, Kyle Nguyen-Ngo, Michael Tadros

Published online: November 24, 2025

[ Html ] [ PDF ] [ Google Scholar ] [ Cite ]

doi:10.14218/JTG.2025.00038

Case Report

Diagnosing Hypoglycemia–from Liver Cancer to Insulinoma: A Case Report

Drashya Shah, Jawad Turfa, Efsevia Vaikani, Shalini Chhabra, Devika Rao

Published online: June 11, 2025

[ Html ] [ PDF ] [ Google Scholar ] [ Cite ]

doi:10.14218/JTG.2025.00016

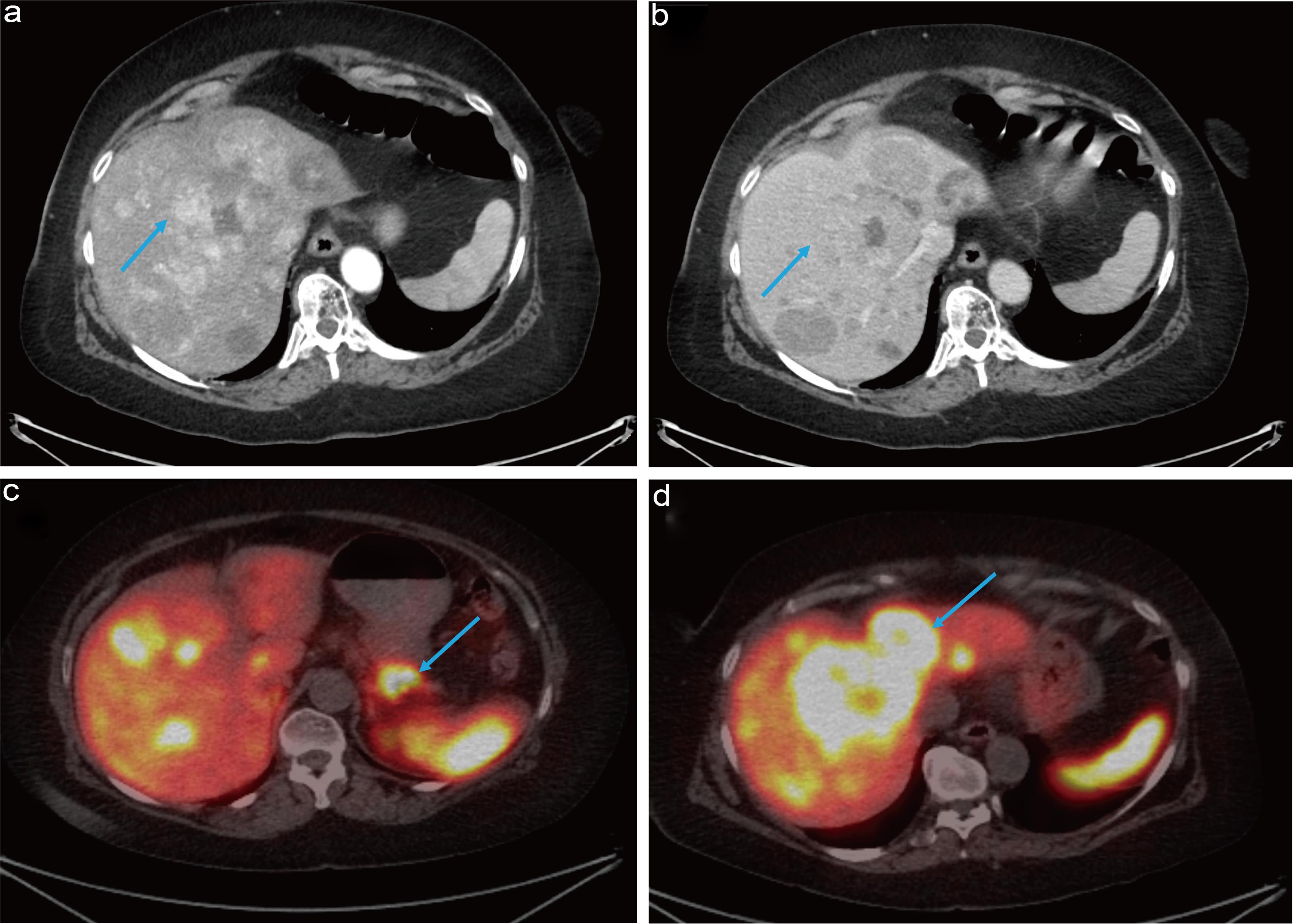
Clinical Response to Sequential HAIC and TAE Combined with Tislelizumab and Lenvatinib Treatment for Hepatocellular Carcinoma Involving Lung Metastases: A Case Report

Jian-Rong Li, Da-Long Yang, Jia-Yong Su, Cai-Yi Dong, Wen-Yang Li, Xiu-Qiong Long, Xiao-Shan Qin, Bin-Yan Gu, Liang Ma, Jian-Hong Zhong

Published online: May 28, 2025

[ Html ] [ PDF ] [ Google Scholar ] [ Cite ]

doi:10.14218/JTG.2025.00008

Short Communication

High Rate of Positive Fecal Occult Blood Test in Healthy Infants: A Nested Case-control Study

Arsal Khan, Aaron Jaynes, Fatema Ali, Yamini Virkud, Timothy Sun, Isabel O’Connell, Wayne Shreffler, Qian Yuan, Victoria Martin

Published online: November 26, 2025

[ Html ] [ PDF ] [ Google Scholar ] [ Cite ]

doi:10.14218/JTG.2025.00026

Back to Top